brand
サイトの特徴・使い方 閲覧履歴 会員登録 ログイン
トップ  -  東京都  -  品川区  -  大崎オーバルコート歯科・矯正歯科室
口コミを投稿
Teech(ティーチ)を見たとお伝えください
03-5739-1625

大崎オーバルコート歯科・矯正歯科室

所在地
東京都 品川区 東五反田2-16-1 ザ・パークタワー1F
最寄駅
大崎駅 北改札口 東口 徒歩4分
「かかりつけ歯科医機能強化型診療所」認定。治療から予防まで、患者様の口腔健康を全面的にサポート
お気軽にお問い合わせください
お気軽にお問い合わせください
お気軽にお問い合わせください
出典:大崎オーバルコート歯科・矯正歯科室
お気軽にお問い合わせください
大崎オーバルコート歯科・矯正歯科室は、患者様の歯科医院訪問時の不安や緊張を深く理解し、心からのサポートを提供しています。JR大崎駅から徒歩4分の場所に位置するこのクリニックは、虫歯治療、親知らずの抜歯、マイクロスコープを用いた精密な治療、インプラント、義歯、美容歯科、マウスピースを活用した矯正治療(インビザラインやクリアコネクト)、ホワイトニング、そして高度な根管治療など、多様な歯科サービスを提供しています。また、訪問歯科診療にも対応しており、幅広い患者様のニーズに応えています。

患者様一人ひとりの声に耳を傾け、それぞれの状況に合わせた治療を心がけています。トリートメントコーディネーターによる細やかなカウンセリングを通じて、患者様が納得し、同意する治療プランを提案しています。歯周病認定医や歯周病認定歯科衛生士、インプラント専門医、インビザライン認定医が在籍し、予防歯科にも力を入れています。

「痛くない、削らない、抜かない」という診療方針を掲げる大崎オーバルコート歯科室は、治療から予防まで、患者様の口腔健康を全面的にサポートしています。治療器具の滅菌消毒にも徹底し、安全かつ安心な治療環境を提供しています。

さらに、この歯科室は「かかりつけ歯科医機能強化型診療所」として認定されており、医療連携や医療安全対策、重症化予防など、高い基準を満たしています。
歯冠修復、欠損補綴のこだわりポイント
患者様の安心を第一に 患者様の安心を第一に
歯をなるべく削らない虫歯治療
人間の歯は一度削ってしまえば元に戻る事は二度とありません。そして、歯は治療すればするほど寿命が短くなります。大崎オーバルコート歯科・矯正歯科室では、一生涯患者様自身の歯で生活できるよう「可能な限り歯を削る量を少なくする」ことをモットーとしています。そのために必要な設備(「拡大鏡」「極細ドリル」「う蝕検知液」)を整え、専門的な治療技術を学んだスタッフが治療を行います。

痛みの少ない治療
大崎オーバルコート歯科・矯正歯科室では、可能な限り痛みを押さえた歯科治療を提供するため、極細の注射針を用いて表面麻酔を行います。また、電動麻酔注射を導入しているため、ゆっくりと麻酔をしていくことで痛みを和らげることができます。
各治療方法のメリットとデメリットについて、患者様が質問しやすい環境でしっかりとご説明させていただいた上で治療を開始いたしますので、ご安心ください。
医院としての理念・方針
大崎オーバルコート歯科・矯正歯科室 の4つのコンセプト 大崎オーバルコート歯科・矯正歯科室 の4つのコンセプト
大崎オーバルコート歯科・矯正歯科室では「患者様の話をよく聞き、気持ちに寄り添い応えること」を理念としています。さらに、患者様に安心して大崎オーバルコート歯科・矯正歯科室へご来院いただけるよう、4つのコンセプトを掲げております。

徹底した衛生管理
安全で清潔な院内環境の取り組みとして、国際基準の滅菌器 (アイクレープとオートクレープ)を導入しています。患者様のお口へ入る器具類は、治療ごとにすべて滅菌消毒を行い、その他の基本的な器具も全て患者様ごとの滅菌を施しています。安全で清潔な院内環境への取り組みの結果、大崎オーバルコート歯科・矯正歯科室は厚生労働大臣が定める施設基準に適合した医療機関として認可されています。

患者様に最適な治療計画をご提案
患者様の口腔内の状態を丁寧にご説明し、患者様の希望に沿った治療計画をご提案します。また、大崎オーバルコート歯科・矯正歯科室ではトリートメントコーディネーターが在籍しておりますので、医師に聞きづらいことを治療前にご質問いただける環境を整えております。

健康な歯を維持する予防歯科
これからの歯科治療で重要なことは、虫歯や歯周病の治療ではなく、それらの予防を目的とした予防歯科の観点を取り入れることです。大崎オーバルコート歯科・矯正歯科室では、患者様の口腔内の状態に合わせた、メンテナンスの方法や定期検診の時期についてご指導しております。

「なるべく抜かない・削らない」治療法
大崎オーバルコート歯科・矯正歯科室では、本当に悪い部分だけを削除・修復する治療(ミニマルインターベンション)を推奨しています。これまで何度も虫歯や歯周病を再発している方や、精度の高い効果的な治療を希望される方にこそ、大崎オーバルコート歯科・矯正歯科室の治療を受けていただきたいと考えております。
院長について
理事長の小林 伸
理事長の小林 伸
■略歴
日本歯科大学 生命歯学部卒業
日本歯科大学付属病院 臨床研修歯科医 修了
医療法人社団良真会大崎オーバルコート歯科室院長就任
2015年大崎オーバルコート歯科室を良真会より独立
2016年3月医療法人社団KDS設立、理事長就任
2020年4月隣接区画に大崎オーバルコート歯科室 予防・口腔ケアセンター設立
2022年11月中目黒ゲートタウン歯科室開院
「歯を削る量の少ない」虫歯治療
精密な治療を可能とする「拡大鏡」 精密な治療を可能とする「拡大鏡」
人間の歯は一度削ってしまうと、元に戻る事は二度となく、治療を行うほど本来の歯の寿命は短くなります。そのため大崎オーバルコート歯科・矯正歯科室では、生涯に渡りご自身の歯で健康に生活して頂くために「可能な限り歯を削る量を少なくする」ことを大切に治療を行っております。

精密な治療を可能とする「拡大鏡」
従来は肉眼で見ながら治療を行うしかありませんでしたが、拡大鏡を取り入れたことで視野を拡大でき、治療部分をしっかり確認することができるため、精密な治療が可能となりました。

必要最低限の部分を削ることのできる「極細ドリル」
大崎オーバルコート歯科・矯正歯科室では、現在利用できるドリルの中でも細いドリルを使用して歯を削ることで、健康な歯まで削ることなく必要な箇所のみを削ることが可能です。

虫歯の感染部位が視覚的に分かる「う蝕検知液」
う蝕検知液とは、虫歯の部分のみを赤く染めることのできる薬剤です。う蝕検知液を使用することで、不必要な歯まで削ることなく、必要な感染部位のみを正確に除去することができます。
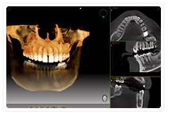
正確な診断を可能にするCTスキャン
3次元的な立体画像 3次元的な立体画像
歯科治療では、正確な症状と原因把握をした上で、症状と最適な治療方法を患者様に提示し、ご納得いただいた上で治療に取り組むことが大切です。そのため大崎オーバルコート歯科・矯正歯科室では、治療に際して、CT撮影・検査診断を行なった上で、治療計画を立案・提案させていただいております。

大崎オーバルコート歯科・矯正歯科室では最新の歯科用CTスキャン装置を導入しており、従来レントゲンでは把握できなかった口腔内の多くの情報を得ることができます。これは、2次元的な平面での診断しかできないレントゲンと異なり、歯科用CTスキャンでは3次元的な立体画像を得られるためです。

歯科用CTスキャンと患者様への詳細なヒアリングを元に、症状・考えうる治療法・リスクについてしっかりとご説明した上で治療方針を決めてまいりますので、ご安心ください。
かかりつけ歯科医機能強化型診療所に認定
全国で10%程 かかりつけ歯科医機能強化型診療所 全国で10%程 かかりつけ歯科医機能強化型診療所
大崎オーバルコート歯科・矯正歯科室は、厚生労働省によるかかりつけ歯科医機能強化型診療所(か強診)の認定を受けています。この認定を受けるには医療連携、医療安全対策、重症化予防などの厳しい条件をクリアする必要があり、「予防治療」に関する継続的な検査やメンテナンスなどを組織的に行えることも条件の1つです。

こうした認定が行われる背景には、厚生労働省が従来の「削ったり詰め物を使う治療」を見直し、「予防治療」に歯科治療をシフトしたことが関係しており、認定を受けている歯科医院は、まだ全国で10%程しかありません。

大崎オーバルコート歯科・矯正歯科室では、予防治療を通して地域の皆様のライフステージ(乳幼児期から高齢期まで)に応じた口の健康を守り続けたいと考えております。虫歯や歯周病のみに限らず、幅広い症例に対応しておりますので、ぜひお気軽にご相談してください。
予防歯科の観点からみた新たな歯科治療
歯科医院での定期的なメンテナンスが大切 歯科医院での定期的なメンテナンスが大切
歯周病の治療で重要なことは、歯科医院での定期的なメンテナンスと毎日の正しい歯磨きです。そのため大崎オーバルコート歯科・矯正歯科室では、定期的なメンテナンスのご提案のほか、正しいブラッシング指導も行っております。

さらに、大崎オーバルコート歯科・矯正歯科室では予防歯科の観点から、虫歯や歯周病を予防する様々なメニューをご用意しております。

スケーリング
歯周ポケットの中に隠れている歯周病の原因、歯石をスケーラーという器具を使って取り除くことで、歯周病の予防を図ります。

ルートプレーニング
目に見えない歯周ポケット深部に入り込んだ歯石をスケーラーで取り除き、さらに歯根を滑らかな面に仕上げる治療です。歯周ポケットが深いと歯肉の下に歯石が付着し毒素が根面に浸透してしまいます。そのため、原因物質を除去し。根面の汚染物質を取り除きます。

フラップオペレーション
ルートプレーニングでも取り切れない部分の汚れや、バイオフィルムを取り除く治療です。歯肉に「切開」を加えることで、歯肉の深い部分まで直接目で見ることが可能になり、歯根の表面まで綺麗にできます。治療の際は麻酔を用いるため、痛みはほとんどありませんのでご安心ください。
自由診療のリスク・副作用、その他
自由診療について
患者様のさまざまなニーズに応えるために自由診療を提供しております。しかし、自由診療には健康保険適用外の治療が含まれるため、以下の点にご注意ください。

【リスクについて】
自由診療には、保険適用治療に比べて高度かつ専門的な治療が含まれる場合があります。これらの治療はより高い技術を要求されるため、一般的な治療よりもリスクが高まる可能性があります。

【副作用について】
すべての医療行為には副作用のリスクが伴います。自由診療の場合、使用する材料や治療方法が特殊な場合があるため、通常の治療とは異なる副作用が発生する可能性があります。

【費用について】
自由診療は健康保険の適用外であるため、保険診療と比較して高額になることがあります。治療前には必ず費用の詳細について説明を行い、ご同意をいただいてから治療を開始します。

【治療の選択について】
患者様の健康状態や希望に合わせて、最適な治療計画を提案します。自由診療は選択肢の一つであり、必ずしもすべての患者様に適しているわけではありません。

【その他の注意事項】
治療後のフォローアップやメンテナンスについても、自由診療の範囲内で行うことがあります。これには追加の費用が発生する場合があります。
患者様一人ひとりに合った治療を心がけております。自由診療を含むすべての治療オプションについて、十分な説明とともに、患者様のご理解とご同意を得ることを重視しています。ご不明な点やご心配なことがございましたら、遠慮なくご相談ください。
この医院の口コミはまだありません
受付時間
診療時間
09:30 ~ 14:00
14:30 ~ 17:30
09:30 ~ 13:30
14:00 ~ 16:30
休診日:日曜・祝日
アクセスマップ
基本情報
医院名 大崎オーバルコート歯科・矯正歯科室
所在地 〒 東京都 品川区 東五反田2-16-1 ザ・パークタワー1F
最寄駅 大崎駅 北改札口 東口 徒歩4分
診療内容 歯冠修復、欠損補綴 / 歯周病治療 / 予防治療 / 小児歯科 / 矯正歯科 / 口腔外科治療 / 有床義歯 / インプラント治療 / 咬み合わせ治療 / 訪問診療
医院ID 84417
03-5739-1625
Teech(ティーチ)を見たとお伝えください
Feature Teechの特徴
1

あなたの「今の症状に合った」歯科医院が探せます

icons

歯科医院が広告掲載する際、得意な治療1つのみを選択し広告しています。これにより2つのメリットが得られます。

①あなたの今の症状に合った治療を1番得意とする歯科医院のみ検索できます。

②表示される歯科医院の数が絞られるため、今の症状に合った歯科医院を効率よく検索できます。

2

その歯科医院で「本当に治療した患者さんの口コミ」を掲載

icons

歯科検索サイトには、その歯科医院で治療を受けていない方の口コミが散見されますが、Teechへの口コミ投稿には、領収書の添付を必須としているため、本当にその歯科医院で治療した患者さんの口コミが掲載されています。また、口コミ点数・件数によって検索結果が上下しないため(標準検索した場合)、サクラの口コミ投稿の誘因を減らしています。

3

「プロが選ぶプロ」の歯科医院を探せます

icons

掲載している医院に3医院(自医院を除く)までオススメできる機能を付与することで、プロが選ぶプロの歯科医院を探せます。

4

「先生の人柄」が分かるご挨拶動画を設置

icons

外からは見えにくい歯科医院ですが、事前に先生の人柄が伝わるように、院長のご挨拶動画を掲載しております。