【JR亀田駅より車で約15分】【亀田早通バス停より徒歩8分】削らない・抜かない治療で皆様の健康な歯を守る「ふれあい歯科クリニック」
ふれあい歯科クリニックは、JR亀田駅より車で15分、亀田早通バス停より徒歩8分に位置する歯科クリニックです。虫歯や歯周病の治療はもちろん、小児歯科・根管治療・審美歯科・歯の移植など幅広い診療を行っております。お子様からご年配の方まで幅広い年代、様々な症例に対応可能となっております。
ふれあい歯科クリニックでは、皆様の大切な歯を守るために、できるだけ「削らない・抜かない」治療を行なっています。歯は削れば削るほど、寿命が短くなってしまいます。さらに虫歯が進行し神経を抜いた場合には、歯の寿命は半分になってしまうといっても過言ではありません。
最近では、質の良い詰め物などもありますが、やはり天然の歯にはかないません。一生持たせることはほぼ不可能です。
高齢になったときに20本の歯が残っていれば、問題なく食事をとることができると言われています。
一生健康な歯で、快適な生活を送るには、悪くなる前に予防することがもっとも大切です。そのためふれあい歯科クリニックでは、定期的な検診とメンテナンスに力を入れています。
ふれあい歯科クリニックは、悪くなった歯を治療するために通う歯医者から、健康な歯を維持するために気持ちよく通っていただける歯医者になりたいとの思いで、日々診療にあたっています。
地域の方々とのふれあいを大切に、心のこもった医療、サービスで皆様から愛される医院を目指しています。皆様のご来院を心よりお待ちしております。
ふれあい歯科クリニックでは、皆様の大切な歯を守るために、できるだけ「削らない・抜かない」治療を行なっています。歯は削れば削るほど、寿命が短くなってしまいます。さらに虫歯が進行し神経を抜いた場合には、歯の寿命は半分になってしまうといっても過言ではありません。
最近では、質の良い詰め物などもありますが、やはり天然の歯にはかないません。一生持たせることはほぼ不可能です。
高齢になったときに20本の歯が残っていれば、問題なく食事をとることができると言われています。
一生健康な歯で、快適な生活を送るには、悪くなる前に予防することがもっとも大切です。そのためふれあい歯科クリニックでは、定期的な検診とメンテナンスに力を入れています。
ふれあい歯科クリニックは、悪くなった歯を治療するために通う歯医者から、健康な歯を維持するために気持ちよく通っていただける歯医者になりたいとの思いで、日々診療にあたっています。
地域の方々とのふれあいを大切に、心のこもった医療、サービスで皆様から愛される医院を目指しています。皆様のご来院を心よりお待ちしております。
小児歯科のこだわりポイント

お子様の大切な歯を守りたい、その一心で小児歯科での治療を行なっています。
お子様を歯科医院に連れていくときには、「治療を怖がって泣いたらどうしよう」「うちの子暴れたりしないかしら」など、おうちの方の不安は尽きないと思います。お子様自身も、初めての歯医者で、何をされるかわからないという不安や恐怖でいっぱいになってしまうかもしれません。
ふれあい歯科クリニックでは、お子様に無理に治療を進めることはいたしません。一人一人その子にあったペースで治療を進めていきますので、安心してお越しください。
子どもの歯を守るには予防が何より大切です。子どもの歯は、大人の歯に比べて歯質がやわらかく、虫歯に対する抵抗性も弱いため、虫歯になりやすく進行も早いといった特徴があるからです。また、痛みも感じにくいため、虫歯になっても気づきにくいといったこともあります。
お子様の歯を虫歯から守るには、定期的に検診を受け、予防の処置を受けることが大切です。定期的に検診を受けることによって、虫歯を早期に発見することもでき、治療も最小限で済ませることができます。
また、フッ素塗布で歯を強化したり、奥歯の溝にシーラント処置を行うことで、虫歯予防の効果が期待できます。
お子様の歯を守るために、できる限り早い時期から予防に取り組みましょう。
お子様を歯科医院に連れていくときには、「治療を怖がって泣いたらどうしよう」「うちの子暴れたりしないかしら」など、おうちの方の不安は尽きないと思います。お子様自身も、初めての歯医者で、何をされるかわからないという不安や恐怖でいっぱいになってしまうかもしれません。
ふれあい歯科クリニックでは、お子様に無理に治療を進めることはいたしません。一人一人その子にあったペースで治療を進めていきますので、安心してお越しください。
子どもの歯を守るには予防が何より大切です。子どもの歯は、大人の歯に比べて歯質がやわらかく、虫歯に対する抵抗性も弱いため、虫歯になりやすく進行も早いといった特徴があるからです。また、痛みも感じにくいため、虫歯になっても気づきにくいといったこともあります。
お子様の歯を虫歯から守るには、定期的に検診を受け、予防の処置を受けることが大切です。定期的に検診を受けることによって、虫歯を早期に発見することもでき、治療も最小限で済ませることができます。
また、フッ素塗布で歯を強化したり、奥歯の溝にシーラント処置を行うことで、虫歯予防の効果が期待できます。
お子様の歯を守るために、できる限り早い時期から予防に取り組みましょう。
医院としての理念・方針

基本理念:安心・安全な治療をご提供します
・痛みの少ない治療をご提供
歯医者にかかりたくない最大の理由は、「痛いから」といわれています。痛みを伴う治療は、患者様にとって、身体的にも精神的にも大きな負担となってしまいます。ふれあい歯科クリニックでは、最新の設備、技術を導入し、できる限り痛みを軽減した治療の提供に努めています。
・プライバシーに配慮
ふれあい歯科クリニックの診療室は、すべて個室となっており、まわりを気にせずリラックスして治療をうけていただけます。治療に関して、ご質問などがありましたら、遠慮なくご相談ください。
・わかりやすい説明
同じ症状であっても、歯科治療には様々な治療の選択肢があります。ふれあい歯科クリニックでは、患者様のお口の状態をしっかりと診断し、最善の治療法をご提案いたします。その際、なぜその治療法が最適なのかを、写真や模型、動画などを使ってわかりやすくご説明します。
また、口腔内CCDカメラ(超小型カメラ)を導入し、今まで確認してもらうのがむずかしかった、虫歯や歯石などをモニターを使って映し出すことが可能になりました。治療前、治療後を写真で見て確認できるため、安心して治療を受けていただけます。
・体の負担が少ないレントゲンを使用
ふれあい歯科クリニックで使用しているデジタルレントゲンは、従来のフィルム式と比べてX線量が1/4~1/10程度と低いため、体の負担が少なくレントゲン検査が行えます。また、鮮明な画像が撮影でき、精度が高い診断が可能、デジタル画像のため経年的な劣化もありません。のちに同じ場所の変化を確認する場合にも正確な診断が行えます。
この他にも、徹底した衛生管理を行い、患者様の安心・安全を第一に診療を行っております。また、医院の出入り口のスロープや手すりなどの設置、車いすで入れるトイレや診療室、キッズコーナーのある個室診療室も完備しております。
地域の皆様にとって通いたくなる歯科医院を目指し、心のこもったサービスをご提供いたします。
・痛みの少ない治療をご提供
歯医者にかかりたくない最大の理由は、「痛いから」といわれています。痛みを伴う治療は、患者様にとって、身体的にも精神的にも大きな負担となってしまいます。ふれあい歯科クリニックでは、最新の設備、技術を導入し、できる限り痛みを軽減した治療の提供に努めています。
・プライバシーに配慮
ふれあい歯科クリニックの診療室は、すべて個室となっており、まわりを気にせずリラックスして治療をうけていただけます。治療に関して、ご質問などがありましたら、遠慮なくご相談ください。
・わかりやすい説明
同じ症状であっても、歯科治療には様々な治療の選択肢があります。ふれあい歯科クリニックでは、患者様のお口の状態をしっかりと診断し、最善の治療法をご提案いたします。その際、なぜその治療法が最適なのかを、写真や模型、動画などを使ってわかりやすくご説明します。
また、口腔内CCDカメラ(超小型カメラ)を導入し、今まで確認してもらうのがむずかしかった、虫歯や歯石などをモニターを使って映し出すことが可能になりました。治療前、治療後を写真で見て確認できるため、安心して治療を受けていただけます。
・体の負担が少ないレントゲンを使用
ふれあい歯科クリニックで使用しているデジタルレントゲンは、従来のフィルム式と比べてX線量が1/4~1/10程度と低いため、体の負担が少なくレントゲン検査が行えます。また、鮮明な画像が撮影でき、精度が高い診断が可能、デジタル画像のため経年的な劣化もありません。のちに同じ場所の変化を確認する場合にも正確な診断が行えます。
この他にも、徹底した衛生管理を行い、患者様の安心・安全を第一に診療を行っております。また、医院の出入り口のスロープや手すりなどの設置、車いすで入れるトイレや診療室、キッズコーナーのある個室診療室も完備しております。
地域の皆様にとって通いたくなる歯科医院を目指し、心のこもったサービスをご提供いたします。
院長について

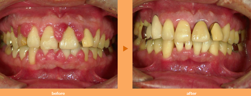
歯周病:歯を失う原因第一位です

歯周病は、歯茎や歯を支える骨が溶けてしまい、最終的に歯を失うという恐ろしい疾患です。40代以降のほとんどがかかっているといわれる歯周病は、歯を失う原因の第一位となっており、言わば国民病です。
歯周病の原因は、細菌のかたまり「プラーク」です。プラークは食後数時間で形成され、歯の表面に付着します。プラークは、酸素のない場所を好むので、歯と歯茎のあいだ(歯周ポケット)に潜りこみ、時間と共に増殖していきます。このプラーク中の細菌が出す毒素によって、歯茎に炎症が起き、歯周組織が破壊されてしまいます。
歯周病の怖いところは、初期の段階では、ほとんど自覚症状がないことです。口の中がネバネバしたり、歯茎の赤味があっても、痛みなどの症状はないため、見過ごされがちです。中等度の歯周病になると、骨が溶け歯がグラグラするといった症状があらわれ、硬いものが噛めないといった状態になります。
歯周病は、放っておくと歯を失ってしまうとてもおそろしい病気ですが、予防することは可能です。予防の基本は、日常の歯磨きをしっかりと行い、プラークを除去することです。プラークは歯と歯茎のあいだなどに付着していることが多いので、意識して歯磨きを行いましょう。
また、落としきれなかったプラークは、石灰化し硬い歯石になり、歯磨きだけでは落とすことができなくなってしまいます。歯石は歯科医院のクリーニングを定期的に受けることで落とすことができます。
大切な歯で一生快適に過ごすために、歯周病予防に努めましょう。
歯周病の原因は、細菌のかたまり「プラーク」です。プラークは食後数時間で形成され、歯の表面に付着します。プラークは、酸素のない場所を好むので、歯と歯茎のあいだ(歯周ポケット)に潜りこみ、時間と共に増殖していきます。このプラーク中の細菌が出す毒素によって、歯茎に炎症が起き、歯周組織が破壊されてしまいます。
歯周病の怖いところは、初期の段階では、ほとんど自覚症状がないことです。口の中がネバネバしたり、歯茎の赤味があっても、痛みなどの症状はないため、見過ごされがちです。中等度の歯周病になると、骨が溶け歯がグラグラするといった症状があらわれ、硬いものが噛めないといった状態になります。
歯周病は、放っておくと歯を失ってしまうとてもおそろしい病気ですが、予防することは可能です。予防の基本は、日常の歯磨きをしっかりと行い、プラークを除去することです。プラークは歯と歯茎のあいだなどに付着していることが多いので、意識して歯磨きを行いましょう。
また、落としきれなかったプラークは、石灰化し硬い歯石になり、歯磨きだけでは落とすことができなくなってしまいます。歯石は歯科医院のクリーニングを定期的に受けることで落とすことができます。
大切な歯で一生快適に過ごすために、歯周病予防に努めましょう。
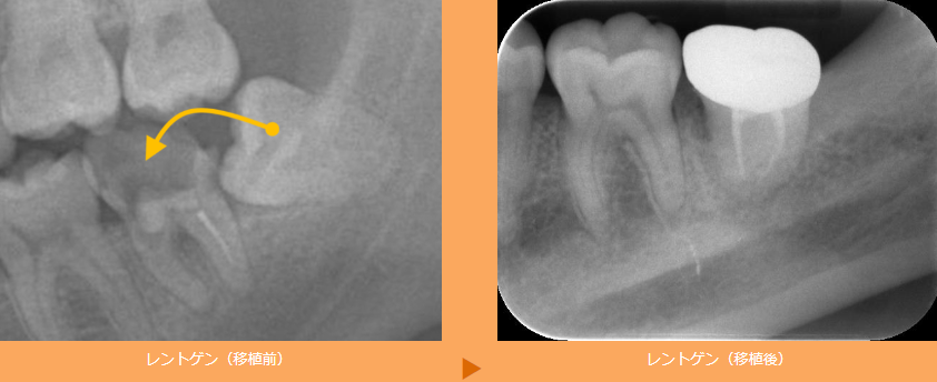
歯の移植:失った歯を、自分の歯で補う治療です

歯を失った場合、何らかの方法で歯を補うことが必要です。もっとも知られている方法には、入れ歯やブリッジがあります。近年では、インプラント治療も広く行われるようになりました。
インプラント治療は、他の歯を傷つけることなく、天然の歯と同等の機能性と見た目を再現できるため、非常に優れた治療法です。しかし、費用が高額になるため、躊躇する方も多くいらっしゃいます。
そのような方に、ご提案しているのが「歯の移植」です。歯の移植とは、抜歯しても咬み合わせに影響のない親知らずを抜いて、歯を失った部分に移植する方法です。
「歯の移植」はあまり聞きなれないかもしれませんが、実は1950~1960年代頃から行われている歴史ある治療法です。歯の移植は抜歯した歯を、新しい場所で機能させる治療法です。
歯の根の周りには「歯根膜」という組織があり、この中には再生能力の高い細胞がたくさん含まれています。この細胞は再生の必要がない場合には眠っているのですが、ここに移植という刺激を与えることで再生能力を復活させるのです。これによって、移植した歯は、新しい場所で機能するようになります。
歯の移植は、患者様の年齢や全身の状態などの条件が揃わないとできない治療です。歯の移植にご興味のある方は、ぜひ一度お気軽にご相談ください。
インプラント治療は、他の歯を傷つけることなく、天然の歯と同等の機能性と見た目を再現できるため、非常に優れた治療法です。しかし、費用が高額になるため、躊躇する方も多くいらっしゃいます。
そのような方に、ご提案しているのが「歯の移植」です。歯の移植とは、抜歯しても咬み合わせに影響のない親知らずを抜いて、歯を失った部分に移植する方法です。
「歯の移植」はあまり聞きなれないかもしれませんが、実は1950~1960年代頃から行われている歴史ある治療法です。歯の移植は抜歯した歯を、新しい場所で機能させる治療法です。
歯の根の周りには「歯根膜」という組織があり、この中には再生能力の高い細胞がたくさん含まれています。この細胞は再生の必要がない場合には眠っているのですが、ここに移植という刺激を与えることで再生能力を復活させるのです。これによって、移植した歯は、新しい場所で機能するようになります。
歯の移植は、患者様の年齢や全身の状態などの条件が揃わないとできない治療です。歯の移植にご興味のある方は、ぜひ一度お気軽にご相談ください。
予防管理:治療後のメインテナンスは、健康な口腔環境を維持するためにとても大切です

歯の治療をした後は、定期的にメインテナンスをすることが大切です。定期的にメインテナンスをすることで、口腔内を良い状態に保つことができます。
ふれあい歯科クリニックでは、治療が終わった患者様に定期健診をおすすめしています。定期健診では、歯科衛生士を中心に皆様のお口の健康管理をサポートしていきます。
衛生士は担当制となっており、毎回同じ衛生士が担当します。そのため、患者様のお口の状態をしっかりと把握することができ、わずかな異常や病気の再発などを早期に発見することが可能です。これによって、最小限の治療で済ませることができるので、患者様の負担を軽減することにつながります。
また、毎回同じ衛生士が担当することで、コミュニケーションをとりやすくなり、患者様がリラックスして施術を受けることができる点もメリットのひとつです。
健康な歯を維持するには、毎日の正しいブラッシングに加えて、定期的に歯科医院でのプロフェッショナルケアを受けることが大切です。ぜひふれあい歯科クリニックの予防管理をご活用ください。
ふれあい歯科クリニックでは、治療が終わった患者様に定期健診をおすすめしています。定期健診では、歯科衛生士を中心に皆様のお口の健康管理をサポートしていきます。
衛生士は担当制となっており、毎回同じ衛生士が担当します。そのため、患者様のお口の状態をしっかりと把握することができ、わずかな異常や病気の再発などを早期に発見することが可能です。これによって、最小限の治療で済ませることができるので、患者様の負担を軽減することにつながります。
また、毎回同じ衛生士が担当することで、コミュニケーションをとりやすくなり、患者様がリラックスして施術を受けることができる点もメリットのひとつです。
健康な歯を維持するには、毎日の正しいブラッシングに加えて、定期的に歯科医院でのプロフェッショナルケアを受けることが大切です。ぜひふれあい歯科クリニックの予防管理をご活用ください。
審美治療:歯の色や形を整える治療です

審美治療は、歯の機能性の回復だけでなく、見た目のきれいさ、自然な仕上がりに重点をおいた治療です。
虫歯治療や根の治療で歯を削った場合、失った歯質を何らかの材料で補うことが必要です。以前の保険治療では金属を使用していましたが、近年では条件が揃えば、保険内の治療でも白い材料を使うことができるようになりました。
しかし、保険治療で使う材料には色や形などの制限があり、長く使っていると変色したりといったことがあります。
自分の歯に合った色や形、模様などを再現したい場合は、保険外診療になります。保険治療に比べて費用がかかりますが、自然な見た目を再現でき、経年劣化の心配もありません。保険外治療の材料には、様々なものがありますので、ご興味のある方は、遠慮なくご相談ください。
歯の黄ばみや黒ずみを改善したい方には、ホワイトニングが効果的です。ホワイトニングには歯科医院で行う「オフィスホワイトニング」と自宅で行う「ホームホワイトニング」があります。一般的には、そのどちらかを行いますが、ふれあい歯科クリニックではふたつを同時に行うため、短期間でご希望の白さにすることが可能です。
白い歯は清潔感があり、気分も明るくなるものです。歯の色でお悩みの方は、ぜひお気軽にご相談ください。
虫歯治療や根の治療で歯を削った場合、失った歯質を何らかの材料で補うことが必要です。以前の保険治療では金属を使用していましたが、近年では条件が揃えば、保険内の治療でも白い材料を使うことができるようになりました。
しかし、保険治療で使う材料には色や形などの制限があり、長く使っていると変色したりといったことがあります。
自分の歯に合った色や形、模様などを再現したい場合は、保険外診療になります。保険治療に比べて費用がかかりますが、自然な見た目を再現でき、経年劣化の心配もありません。保険外治療の材料には、様々なものがありますので、ご興味のある方は、遠慮なくご相談ください。
歯の黄ばみや黒ずみを改善したい方には、ホワイトニングが効果的です。ホワイトニングには歯科医院で行う「オフィスホワイトニング」と自宅で行う「ホームホワイトニング」があります。一般的には、そのどちらかを行いますが、ふれあい歯科クリニックではふたつを同時に行うため、短期間でご希望の白さにすることが可能です。
白い歯は清潔感があり、気分も明るくなるものです。歯の色でお悩みの方は、ぜひお気軽にご相談ください。
自由診療のリスク・副作用、その他
自由診療について
患者様のさまざまなニーズに応えるために自由診療を提供しております。しかし、自由診療には健康保険適用外の治療が含まれるため、以下の点にご注意ください。
【リスクについて】
自由診療には、保険適用治療に比べて高度かつ専門的な治療が含まれる場合があります。これらの治療はより高い技術を要求されるため、一般的な治療よりもリスクが高まる可能性があります。
【副作用について】
すべての医療行為には副作用のリスクが伴います。自由診療の場合、使用する材料や治療方法が特殊な場合があるため、通常の治療とは異なる副作用が発生する可能性があります。
【費用について】
自由診療は健康保険の適用外であるため、保険診療と比較して高額になることがあります。治療前には必ず費用の詳細について説明を行い、ご同意をいただいてから治療を開始します。
【治療の選択について】
患者様の健康状態や希望に合わせて、最適な治療計画を提案します。自由診療は選択肢の一つであり、必ずしもすべての患者様に適しているわけではありません。
【その他の注意事項】
治療後のフォローアップやメンテナンスについても、自由診療の範囲内で行うことがあります。これには追加の費用が発生する場合があります。
患者様一人ひとりに合った治療を心がけております。自由診療を含むすべての治療オプションについて、十分な説明とともに、患者様のご理解とご同意を得ることを重視しています。ご不明な点やご心配なことがございましたら、遠慮なくご相談ください。
患者様のさまざまなニーズに応えるために自由診療を提供しております。しかし、自由診療には健康保険適用外の治療が含まれるため、以下の点にご注意ください。
【リスクについて】
自由診療には、保険適用治療に比べて高度かつ専門的な治療が含まれる場合があります。これらの治療はより高い技術を要求されるため、一般的な治療よりもリスクが高まる可能性があります。
【副作用について】
すべての医療行為には副作用のリスクが伴います。自由診療の場合、使用する材料や治療方法が特殊な場合があるため、通常の治療とは異なる副作用が発生する可能性があります。
【費用について】
自由診療は健康保険の適用外であるため、保険診療と比較して高額になることがあります。治療前には必ず費用の詳細について説明を行い、ご同意をいただいてから治療を開始します。
【治療の選択について】
患者様の健康状態や希望に合わせて、最適な治療計画を提案します。自由診療は選択肢の一つであり、必ずしもすべての患者様に適しているわけではありません。
【その他の注意事項】
治療後のフォローアップやメンテナンスについても、自由診療の範囲内で行うことがあります。これには追加の費用が発生する場合があります。
患者様一人ひとりに合った治療を心がけております。自由診療を含むすべての治療オプションについて、十分な説明とともに、患者様のご理解とご同意を得ることを重視しています。ご不明な点やご心配なことがございましたら、遠慮なくご相談ください。
この医院の口コミはまだありません
受付時間
診療時間 | 日 | 月 | 火 | 水 | 木 | 金 | 土 |
---|---|---|---|---|---|---|---|
09:00 ~ 12:30 | |||||||
14:00 ~ 18:00 | |||||||
14:00 ~ 17:00 |
休診日:木曜・日曜・祝日
アクセスマップ
基本情報
医院名 | ふれあい歯科クリニック |
所在地 | 〒950-0168 新潟県 新潟市江南区 早通6-7-34 |
最寄駅 | JR亀田駅 車で約15分 |
診療内容 | 歯冠修復、欠損補綴 / 根管治療 / 歯周病治療 / 予防治療 / 小児歯科 / 口腔外科治療 / 有床義歯 |
医院ID | 82581 |