【土日診療・駐車場完備】顎関節まで考慮した専門的な治療を提供する内山のりよ矯正歯科医院
長崎市のめがね橋駅や浜町アーケード駅などからアクセスしやすい場所に位置する内山のりよ矯正歯科医院は、矯正治療を専門に行う医療機関です。歯並びの乱れは、見た目のコンプレックスを引き起こすだけでなく、日々のブラッシングが難しくなることで虫歯や歯周病のリスクを大幅に高めてしまいます。また、噛み合わせの悪さが全身のバランスを崩し、肩こりや頭痛などの不調を招くケースも少なくありません。内山のりよ矯正歯科医院では、一時的な美しさを追求するのではなく、将来にわたって患者様がお口の健康を維持できるよう、根本的な原因にアプローチする質の高い治療を提供しています。
内山のりよ矯正歯科医院の最大の特徴は、単に歯をきれいに並べることだけを目的とせず、気持ちよく咀嚼できる機能的な顎関節の獲得を重視している点です。矯正治療を行う前に顎関節の状態を詳細に診査し、顔貌の改善や健康な歯周組織の構築、そして治療後の長期的な安定を見据えた緻密な診断と治療計画を立てます。休日は隔週で日曜日も診療を行っており、平日お忙しい患者様でも無理なく通院を継続できる環境が整えられています。白やベージュを基調とした落ち着きのある清潔な院内で、患者様一人ひとりに寄り添いながら、美しい口元と健康な身体づくりの両面から誠実にサポートを行っています。
内山のりよ矯正歯科医院の最大の特徴は、単に歯をきれいに並べることだけを目的とせず、気持ちよく咀嚼できる機能的な顎関節の獲得を重視している点です。矯正治療を行う前に顎関節の状態を詳細に診査し、顔貌の改善や健康な歯周組織の構築、そして治療後の長期的な安定を見据えた緻密な診断と治療計画を立てます。休日は隔週で日曜日も診療を行っており、平日お忙しい患者様でも無理なく通院を継続できる環境が整えられています。白やベージュを基調とした落ち着きのある清潔な院内で、患者様一人ひとりに寄り添いながら、美しい口元と健康な身体づくりの両面から誠実にサポートを行っています。
矯正歯科のこだわりポイント
唇側矯正装置(セラミック製)
矯正治療において、内山のりよ矯正歯科医院が特に力を入れているのが、他人の視線を気にすることなく治療を進められる舌側矯正と、顎の機能を重視した専門的なアプローチです。歯列矯正は長期間に及ぶことが多く、装置が目立つことに強い抵抗感や不安を抱いて治療をためらってしまう患者様は決して珍しくありません。治療を先延ばしにしてしまうと、噛み合わせの不具合がさらに進行し、将来的に歯を失うリスクや、治療そのものが大掛かりになってしまう可能性が高まります。内山のりよ矯正歯科医院では、歯の裏側に装置を付ける舌側矯正を採用することで、審美的なストレスを大幅に軽減し、患者様が前向きに治療に取り組めるよう配慮しています。
また、内山のりよ矯正歯科医院は、見た目の改善だけにとどまらない、機能的な咬合の確立に強いこだわりを持っています。食事の際にしっかりと噛めること、そして顎の関節に無理な負担がかからないことは、生涯にわたって食事を楽しみ、健康的な生活を送るための欠かせない基盤となります。最新の歯科用CTなどの検査機器を駆使して骨格や顎関節の状態を正確に把握し、個々の患者様に最も適した治療計画を立案します。高い専門知識と豊富な経験を持つ内山のりよ矯正歯科医院は、機能性と審美性の両方を高い次元で満たす治療を通じて、患者様の心身の健康と自信に満ちた笑顔を全力で支えています。
また、内山のりよ矯正歯科医院は、見た目の改善だけにとどまらない、機能的な咬合の確立に強いこだわりを持っています。食事の際にしっかりと噛めること、そして顎の関節に無理な負担がかからないことは、生涯にわたって食事を楽しみ、健康的な生活を送るための欠かせない基盤となります。最新の歯科用CTなどの検査機器を駆使して骨格や顎関節の状態を正確に把握し、個々の患者様に最も適した治療計画を立案します。高い専門知識と豊富な経験を持つ内山のりよ矯正歯科医院は、機能性と審美性の両方を高い次元で満たす治療を通じて、患者様の心身の健康と自信に満ちた笑顔を全力で支えています。
医院としての理念・方針
カウンセリングルーム
内山のりよ矯正歯科医院では、矯正治療の本来の目的を、単なる見た目の歯並びの改善にとどまらず、患者様が気持ちよく咀嚼できる機能的な状態へと導くことであると位置づけています。そのため、顎関節を中心とした精密な診断を何よりも大切にしています。
顔貌や歯列の改善はもちろんのこと、機能的な噛み合わせと顎関節の獲得、健康な歯周組織の維持、そして治療を終えた後の長期的な安定性を目標に掲げています。患者様が一生涯ご自身の歯で健康に過ごせるよう、専門医院ならではの高度な診断と誠実な治療を提供しています。
顔貌や歯列の改善はもちろんのこと、機能的な噛み合わせと顎関節の獲得、健康な歯周組織の維持、そして治療を終えた後の長期的な安定性を目標に掲げています。患者様が一生涯ご自身の歯で健康に過ごせるよう、専門医院ならではの高度な診断と誠実な治療を提供しています。
院長について
▽略歴
1992年
長崎大学歯学部卒業
長崎大学歯学部附属病院歯科矯正学講座勤務(常勤)
1997年
よごさわ歯科矯正(東京都港区)勤務
整美会矯正歯科センター(東京都新宿区)勤務
2002年
下山歯科矯正(東京都江戸川区)勤務
2003年
内山のりよ矯正歯科医院開設
1992年
長崎大学歯学部卒業
長崎大学歯学部附属病院歯科矯正学講座勤務(常勤)
1997年
よごさわ歯科矯正(東京都港区)勤務
整美会矯正歯科センター(東京都新宿区)勤務
2002年
下山歯科矯正(東京都江戸川区)勤務
2003年
内山のりよ矯正歯科医院開設
【舌側矯正】周囲に気づかれずに美しい歯並びへ
舌側矯正装置(金属製)
歯の表側に装置を付けることに抵抗があり、治療に踏み切れない患者様は多くいらっしゃいます。治療を見送ることで、清掃不良による虫歯のリスクは年齢とともに上昇してしまいます。内山のりよ矯正歯科医院では、歯の裏側に矯正装置を装着する舌側矯正を提供しています。
この治療法は、会話中や食事の際にも装置が目立たず、周囲の視線を気にすることなく歯並びを整えることが可能です。矯正中の精神的なストレスが軽減されることは、長期にわたる治療を前向きに乗り切るための大きなメリットとなります。内山のりよ矯正歯科医院は、専門的な技術を要する舌側矯正を通じて、患者様の美しい口元作りをサポートします。
この治療法は、会話中や食事の際にも装置が目立たず、周囲の視線を気にすることなく歯並びを整えることが可能です。矯正中の精神的なストレスが軽減されることは、長期にわたる治療を前向きに乗り切るための大きなメリットとなります。内山のりよ矯正歯科医院は、専門的な技術を要する舌側矯正を通じて、患者様の美しい口元作りをサポートします。
【スプリント治療】顎関節から整え安定した噛み合わせへ
スタビライゼーションスプリント
歯並びに問題がある場合、無意識に顎をずらして噛んでいるケースが多く見られます。そのままの状態で矯正治療を開始すると、顎関節に負担がかかり、治療後に歯並びが元の状態に戻ってしまう原因となります。顎関節のズレは年齢とともに進行し、顔の歪みを引き起こすこともあるため、事前の正確な診断が非常に重要です。
内山のりよ矯正歯科医院では、本格的な矯正治療に入る前にスプリント治療を取り入れ、顎の関節を本来の正しい位置へと導きます。適切な顎関節の位置で歯を動かすことにより、歯や周囲の組織への負担を最小限に抑えることが可能です。内山のりよ矯正歯科医院は、患者様が見た目の美しさだけでなく、生涯にわたって後戻りしにくい安定した噛み合わせを手に入れられるよう丁寧にサポートいたします。
内山のりよ矯正歯科医院では、本格的な矯正治療に入る前にスプリント治療を取り入れ、顎の関節を本来の正しい位置へと導きます。適切な顎関節の位置で歯を動かすことにより、歯や周囲の組織への負担を最小限に抑えることが可能です。内山のりよ矯正歯科医院は、患者様が見た目の美しさだけでなく、生涯にわたって後戻りしにくい安定した噛み合わせを手に入れられるよう丁寧にサポートいたします。
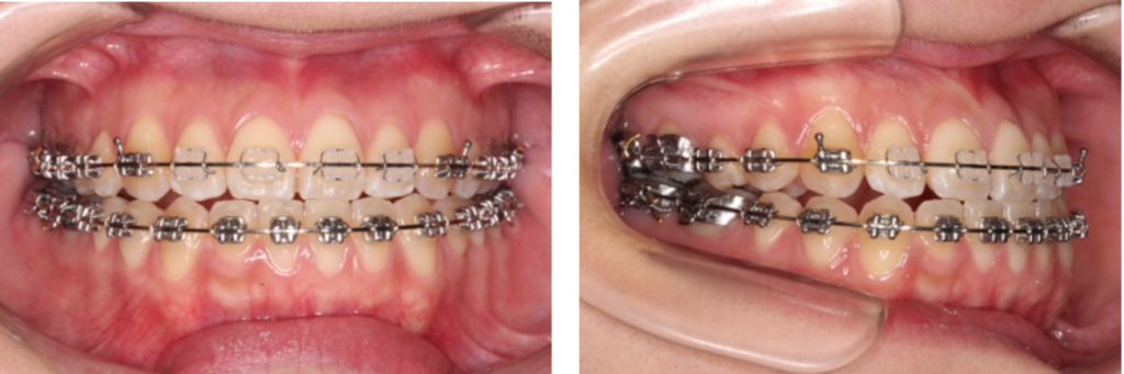
【外科矯正】骨格的なズレを根本から整える専門治療
治療前と治療後の比較
上下のアゴの骨格に大きなズレがある場合、通常の歯列矯正だけでは噛み合わせを十分に改善できないことがあります。このような著しい症状に対しては、外科手術と矯正治療を組み合わせた外科矯正が有効な選択肢となります。根本的な原因である骨格の問題からアプローチすることで、食事や会話といった日常的な機能の回復を図ることができます。
内山のりよ矯正歯科医院では、機能的な噛み合わせを長期的に維持できるよう、手術の前後に綿密な矯正治療を行っています。顎の関節に不安がある患者様には、事前にスプリントを用いて状態を正確に把握してから治療を開始いたします。外科手術を伴う治療には不安を感じる方も多いですが、内山のりよ矯正歯科医院は専門的な視点から確実な治療計画をご提案し、患者様を丁寧にサポートいたします。
内山のりよ矯正歯科医院では、機能的な噛み合わせを長期的に維持できるよう、手術の前後に綿密な矯正治療を行っています。顎の関節に不安がある患者様には、事前にスプリントを用いて状態を正確に把握してから治療を開始いたします。外科手術を伴う治療には不安を感じる方も多いですが、内山のりよ矯正歯科医院は専門的な視点から確実な治療計画をご提案し、患者様を丁寧にサポートいたします。
自由診療のリスク・副作用、その他
自由診療について
患者様のさまざまなニーズに応えるために自由診療を提供しております。しかし、自由診療には健康保険適用外の治療が含まれるため、以下の点にご注意ください。
【リスクについて】
自由診療には、保険適用治療に比べて高度かつ専門的な治療が含まれる場合があります。これらの治療はより高い技術を要求されるため、一般的な治療よりもリスクが高まる可能性があります。
【副作用について】
すべての医療行為には副作用のリスクが伴います。自由診療の場合、使用する材料や治療方法が特殊な場合があるため、通常の治療とは異なる副作用が発生する可能性があります。
【費用について】
自由診療は健康保険の適用外であるため、保険診療と比較して高額になることがあります。治療前には必ず費用の詳細について説明を行い、ご同意をいただいてから治療を開始します。
【治療の選択について】
患者様の健康状態や希望に合わせて、最適な治療計画を提案します。自由診療は選択肢の一つであり、必ずしもすべての患者様に適しているわけではありません。
【その他の注意事項】
治療後のフォローアップやメンテナンスについても、自由診療の範囲内で行うことがあります。これには追加の費用が発生する場合があります。
患者様一人ひとりに合った治療を心がけております。自由診療を含むすべての治療オプションについて、十分な説明とともに、患者様のご理解とご同意を得ることを重視しています。ご不明な点やご心配なことがございましたら、遠慮なくご相談ください。
患者様のさまざまなニーズに応えるために自由診療を提供しております。しかし、自由診療には健康保険適用外の治療が含まれるため、以下の点にご注意ください。
【リスクについて】
自由診療には、保険適用治療に比べて高度かつ専門的な治療が含まれる場合があります。これらの治療はより高い技術を要求されるため、一般的な治療よりもリスクが高まる可能性があります。
【副作用について】
すべての医療行為には副作用のリスクが伴います。自由診療の場合、使用する材料や治療方法が特殊な場合があるため、通常の治療とは異なる副作用が発生する可能性があります。
【費用について】
自由診療は健康保険の適用外であるため、保険診療と比較して高額になることがあります。治療前には必ず費用の詳細について説明を行い、ご同意をいただいてから治療を開始します。
【治療の選択について】
患者様の健康状態や希望に合わせて、最適な治療計画を提案します。自由診療は選択肢の一つであり、必ずしもすべての患者様に適しているわけではありません。
【その他の注意事項】
治療後のフォローアップやメンテナンスについても、自由診療の範囲内で行うことがあります。これには追加の費用が発生する場合があります。
患者様一人ひとりに合った治療を心がけております。自由診療を含むすべての治療オプションについて、十分な説明とともに、患者様のご理解とご同意を得ることを重視しています。ご不明な点やご心配なことがございましたら、遠慮なくご相談ください。
この医院の口コミはまだありません
受付時間
| 診療時間 | 日 | 月 | 火 | 水 | 木 | 金 | 土 |
|---|---|---|---|---|---|---|---|
| 10:00 ~ 18:00 | |||||||
| 10:00 ~ 17:00 |
休診日:隔週の月曜・木曜・隔週の日曜・祝日
アクセスマップ
基本情報
| 医院名 | 内山のりよ矯正歯科医院 |
| 所在地 | 〒850-0852 長崎県 長崎市 万屋町3-16-2F |
| 最寄駅 | めがね橋駅 徒歩3分 |
| 診療内容 | 矯正歯科 / 咬み合わせ治療 |
| 医院ID | 77638 |