【日本補綴歯科学会 認定医 指導医 在籍】質の高い医療の提供を目指す 岡村歯科医院
岡村歯科医院は、博多駅から徒歩3分と交通の便が良く、誰でも通いやすい歯科医院です。最寄駅から徒歩圏内のため、お車がないという方でも快適に通院可能な環境となっています。
院長は「日本補綴歯科学会 認定医 指導医」の資格を有しており、補綴治療を得意としています。補綴治療とは、主に修復物を使って歯を補う治療です。たとえば、虫歯治療の後に銀歯を被せるのも補綴治療の一環です。岡村歯科医院ではそんな補綴治療の中でも冠や咬み合わせ治療、失われた歯の再構築などを積極的に行っています。人工歯根を使ったインプラント治療も可能です。
このほか、一般歯科をはじめ、予防歯科や審美歯科にも対応し、ヒアルロン酸を使った施術を行っていることも大きな特徴です。エイジングケアが可能なヒアルロン酸は歯科医療でも利用されるようになり、ヒアルロン酸を注入することで口元のシワ改善が目指せます。歯の治療だけでなく、若々しい口元を目指したい方におすすめの方法です。
院長は「日本補綴歯科学会 認定医 指導医」の資格を有しており、補綴治療を得意としています。補綴治療とは、主に修復物を使って歯を補う治療です。たとえば、虫歯治療の後に銀歯を被せるのも補綴治療の一環です。岡村歯科医院ではそんな補綴治療の中でも冠や咬み合わせ治療、失われた歯の再構築などを積極的に行っています。人工歯根を使ったインプラント治療も可能です。
このほか、一般歯科をはじめ、予防歯科や審美歯科にも対応し、ヒアルロン酸を使った施術を行っていることも大きな特徴です。エイジングケアが可能なヒアルロン酸は歯科医療でも利用されるようになり、ヒアルロン酸を注入することで口元のシワ改善が目指せます。歯の治療だけでなく、若々しい口元を目指したい方におすすめの方法です。
歯冠修復、欠損補綴のこだわりポイント
専門医が高度な医療を提供します
補綴(ほてつ)治療とは、失われた歯や損傷した歯を修復・再構築し、噛む力や見た目を回復するための歯科治療の一つです。岡村歯科医院では、補綴治療において高い専門性を持ち、特にクラウン(被せ物)や噛み合わせの調整、歯を失った部分の機能回復に力を入れています。見た目の美しさだけでなく、食事や会話といった日常生活の質にも直結するため、適切な補綴治療は非常に重要です。
岡村歯科医院では、従来の手作業による補綴治療に加えて最新のデジタル技術を積極的に導入しています。歯の3Dスキャンを行い、コンピュータ上で精密な設計をすることで、より正確でスピーディーな補綴物の製作が可能になりました。CAD/CAM技術による補綴物の作製は短期間での治療や再製作にも柔軟に対応でき、患者様にとっての負担を大きく軽減します。
また、インプラントや義歯といった補綴手法についても、最新の知識と技術をもとに、患者様の状態やご希望に合わせた最適な治療法を提案しています。岡村歯科医院では、補綴治療を通じて患者様が自然な笑顔を取り戻し、快適な毎日を送れるよう全力でサポートしています。
岡村歯科医院では、従来の手作業による補綴治療に加えて最新のデジタル技術を積極的に導入しています。歯の3Dスキャンを行い、コンピュータ上で精密な設計をすることで、より正確でスピーディーな補綴物の製作が可能になりました。CAD/CAM技術による補綴物の作製は短期間での治療や再製作にも柔軟に対応でき、患者様にとっての負担を大きく軽減します。
また、インプラントや義歯といった補綴手法についても、最新の知識と技術をもとに、患者様の状態やご希望に合わせた最適な治療法を提案しています。岡村歯科医院では、補綴治療を通じて患者様が自然な笑顔を取り戻し、快適な毎日を送れるよう全力でサポートしています。
医院としての理念・方針
患者様に信頼される歯科医院を目指しています
岡村歯科医院は、患者様の健やかな口腔環境と快適な日常生活を支えるために誠実で心のこもった歯科医療を提供しています。一般歯科から審美歯科まで幅広く対応し、見た目の美しさと機能の両立を目指した治療に力を入れているのが特徴です。ただ単に症状を治すだけでなく、患者様との信頼関係の構築にも重きを置き、お一人おひとりの声にしっかりと耳を傾けます。
また、アメリカでの大学院留学経験を活かし、世界中の最新文献や治療法をもとに、安全性と持続性を重視した選択を行っています。西洋の先端技術と日本の伝統的な手法を融合させることで、患者様にとって最も適した治療を提供可能です。常に謙虚な姿勢を忘れず、質の高い医療と丁寧な対応で患者様の満足度の向上に努めています。
また、アメリカでの大学院留学経験を活かし、世界中の最新文献や治療法をもとに、安全性と持続性を重視した選択を行っています。西洋の先端技術と日本の伝統的な手法を融合させることで、患者様にとって最も適した治療を提供可能です。常に謙虚な姿勢を忘れず、質の高い医療と丁寧な対応で患者様の満足度の向上に努めています。
院長について
▽資格
日本補綴歯科学会 認定医 指導医
日本補綴歯科学会 認定医 指導医
ヒアルロン酸施術:シワ対策に有効です
歯科医院でもエイジングケアが行えます
ヒアルロン酸は体内にもともと存在する成分で、水分を多く保持する性質があり、肌のハリやうるおいを保つ働きをしています。この性質を活かし、加齢によって減少するヒアルロン酸を口元に注入することで、シワを内側からふっくらと持ち上げ、自然な若々しさを取り戻す治療がヒアルロン酸注入法です。
この施術はメスを使用せず、局所麻酔のもとで行われるため、痛みや体への負担が少ないのが特徴です。特に歯科では噛み合わせの変化や入れ歯、抜歯後の影響でできた口元のシワに対して、専門的な視点からより適切なアプローチを行えます。
ヒアルロン酸の効果は永続的ではありませんが、一般的には6ヶ月から1年程度持続します。時間の経過とともに体内に吸収されていくため、効果を保つには定期的な追加注入が必要です。また、注入箇所や患者様の体質によって、持続期間には個人差があります。
この施術はメスを使用せず、局所麻酔のもとで行われるため、痛みや体への負担が少ないのが特徴です。特に歯科では噛み合わせの変化や入れ歯、抜歯後の影響でできた口元のシワに対して、専門的な視点からより適切なアプローチを行えます。
ヒアルロン酸の効果は永続的ではありませんが、一般的には6ヶ月から1年程度持続します。時間の経過とともに体内に吸収されていくため、効果を保つには定期的な追加注入が必要です。また、注入箇所や患者様の体質によって、持続期間には個人差があります。
メタルフリー治療:金属アレルギーの方も安心の治療法です
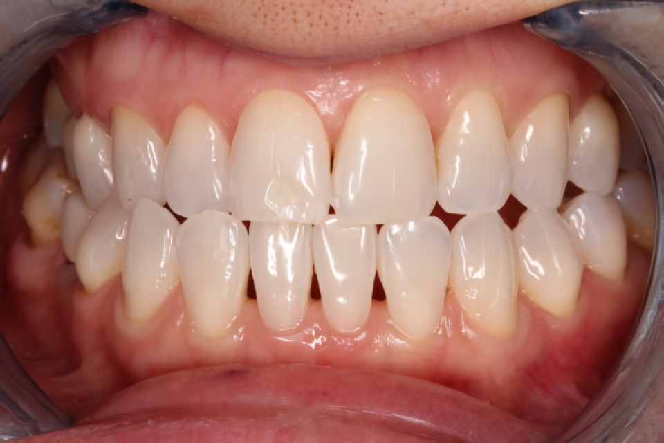
セラミックで治療を行った歯
メタルフリー治療とは、金属を一切使わずに行う歯科治療のことです。保険診療でよく使われる銀歯は複数の金属を混ぜた合金でできており、中にはアレルギーを引き起こす恐れのある成分も含まれています。特にパラジウムは体内に蓄積されることがあり、パラジウムが原因で金属アレルギーが突然発症するリスクもあるため注意が必要です。
岡村歯科医院では患者様の健康を最優先に考え、金属を使わないメタルフリー治療を推奨しています。特にオールセラミック治療は身体への負担を抑えつつ、自然な見た目と高い耐久性を兼ね備えているため、多くの患者様に選ばれています。
また、歯の健康を保つために歯質が十分残っている場合は、全体を覆うクラウンではなく部分的な被せ物で対応し、必要以上に歯を削ることを避けています。金属アレルギーのリスクがなく、天然歯に近い自然な仕上がりを実現できるのが大きな魅力です。
岡村歯科医院では患者様の健康を最優先に考え、金属を使わないメタルフリー治療を推奨しています。特にオールセラミック治療は身体への負担を抑えつつ、自然な見た目と高い耐久性を兼ね備えているため、多くの患者様に選ばれています。
また、歯の健康を保つために歯質が十分残っている場合は、全体を覆うクラウンではなく部分的な被せ物で対応し、必要以上に歯を削ることを避けています。金属アレルギーのリスクがなく、天然歯に近い自然な仕上がりを実現できるのが大きな魅力です。
審美・矯正歯科:美しい歯を目指すことに重点を置いた治療です
綺麗な歯並びは印象を良くします
審美歯科は、単なる病気の治療を超え、歯並びや歯の色を考慮しながら見た目の美しさを追求する分野です。欠けた歯や変色した冠を修復し、オールセラミック冠を用いることで、自然な歯の美しさを再現します。
さらに、矯正治療と組み合わせることで歯を削る量を最小限に抑えながら治療が可能です。また、ホワイトニングを併用することで、より白く健康的な口元を目指せます。岡村歯科医院では、患者様の美しさと歯の健康を最優先に考えた治療を心がけています。
審美治療で使われることのあるジルコニアセラミックスは、高い強度を持つ材料ですがガラスセラミックスに比べると透明感はやや劣ります。とはいえ、最近では透明度の向上したジルコニア素材も登場しています。
ジルコニアのメリットは強度の高さに加え、変色した歯や金属製の土台を隠せるマスキング効果がある点です。強度はガラスセラミックスの約2倍とされ、耐久性に優れています。
また、矯正治療では目立ちにくいマウスピース矯正も採用しており、見た目を気にせず治療を進められるのが特徴です。
さらに、矯正治療と組み合わせることで歯を削る量を最小限に抑えながら治療が可能です。また、ホワイトニングを併用することで、より白く健康的な口元を目指せます。岡村歯科医院では、患者様の美しさと歯の健康を最優先に考えた治療を心がけています。
審美治療で使われることのあるジルコニアセラミックスは、高い強度を持つ材料ですがガラスセラミックスに比べると透明感はやや劣ります。とはいえ、最近では透明度の向上したジルコニア素材も登場しています。
ジルコニアのメリットは強度の高さに加え、変色した歯や金属製の土台を隠せるマスキング効果がある点です。強度はガラスセラミックスの約2倍とされ、耐久性に優れています。
また、矯正治療では目立ちにくいマウスピース矯正も採用しており、見た目を気にせず治療を進められるのが特徴です。
予防歯科:お口の健康を維持するための取り組みです
唾液検査も可能です
予防歯科は、虫歯や歯周病の発症を防ぎ、口腔内の健康を長期間維持するための大切な取り組みです。定期的な歯科検診や歯石除去、フッ素塗布などの専門的なケアに加え、日々の正しい歯磨きや食生活の指導も欠かせません。こうした予防を心がけることで将来的な大がかりな治療の必要性を減らし、健康で美しい口元を保つことが可能になります。
岡村歯科医院では、より効果的な予防のために最新の唾液検査SMTを導入しています。個々の口腔内の状態を詳しく把握し、検査結果に基づいた最適なケアを提案できるのが特徴です。患者様一人ひとりに合わせた予防プラン作りに役立っています。
予防歯科においては、加齢や病気によって起こる口腔機能低下症も見逃せない問題です。噛む力や飲み込みの力が弱まることで誤嚥性肺炎のリスクが高まり、唾液の減少や筋力低下は発音障害や虫歯・歯周病の悪化を招きます。
歯の欠損による咬合力低下も加わり、全身の健康に影響を及ぼすことから早期発見と適切なケアが必要です。若い方も含めた幅広い世代で日頃の口腔ケアと定期検診が推奨されます。
岡村歯科医院では、より効果的な予防のために最新の唾液検査SMTを導入しています。個々の口腔内の状態を詳しく把握し、検査結果に基づいた最適なケアを提案できるのが特徴です。患者様一人ひとりに合わせた予防プラン作りに役立っています。
予防歯科においては、加齢や病気によって起こる口腔機能低下症も見逃せない問題です。噛む力や飲み込みの力が弱まることで誤嚥性肺炎のリスクが高まり、唾液の減少や筋力低下は発音障害や虫歯・歯周病の悪化を招きます。
歯の欠損による咬合力低下も加わり、全身の健康に影響を及ぼすことから早期発見と適切なケアが必要です。若い方も含めた幅広い世代で日頃の口腔ケアと定期検診が推奨されます。
自由診療のリスク・副作用、その他
自由診療について
患者様のさまざまなニーズに応えるために自由診療を提供しております。しかし、自由診療には健康保険適用外の治療が含まれるため、以下の点にご注意ください。
【リスクについて】
自由診療には、保険適用治療に比べて高度かつ専門的な治療が含まれる場合があります。これらの治療はより高い技術を要求されるため、一般的な治療よりもリスクが高まる可能性があります。
【副作用について】
すべての医療行為には副作用のリスクが伴います。自由診療の場合、使用する材料や治療方法が特殊な場合があるため、通常の治療とは異なる副作用が発生する可能性があります。
【費用について】
自由診療は健康保険の適用外であるため、保険診療と比較して高額になることがあります。治療前には必ず費用の詳細について説明を行い、ご同意をいただいてから治療を開始します。
【治療の選択について】
患者様の健康状態や希望に合わせて、最適な治療計画を提案します。自由診療は選択肢の一つであり、必ずしもすべての患者様に適しているわけではありません。
【その他の注意事項】
治療後のフォローアップやメンテナンスについても、自由診療の範囲内で行うことがあります。これには追加の費用が発生する場合があります。
患者様一人ひとりに合った治療を心がけております。自由診療を含むすべての治療オプションについて、十分な説明とともに、患者様のご理解とご同意を得ることを重視しています。ご不明な点やご心配なことがございましたら、遠慮なくご相談ください。
患者様のさまざまなニーズに応えるために自由診療を提供しております。しかし、自由診療には健康保険適用外の治療が含まれるため、以下の点にご注意ください。
【リスクについて】
自由診療には、保険適用治療に比べて高度かつ専門的な治療が含まれる場合があります。これらの治療はより高い技術を要求されるため、一般的な治療よりもリスクが高まる可能性があります。
【副作用について】
すべての医療行為には副作用のリスクが伴います。自由診療の場合、使用する材料や治療方法が特殊な場合があるため、通常の治療とは異なる副作用が発生する可能性があります。
【費用について】
自由診療は健康保険の適用外であるため、保険診療と比較して高額になることがあります。治療前には必ず費用の詳細について説明を行い、ご同意をいただいてから治療を開始します。
【治療の選択について】
患者様の健康状態や希望に合わせて、最適な治療計画を提案します。自由診療は選択肢の一つであり、必ずしもすべての患者様に適しているわけではありません。
【その他の注意事項】
治療後のフォローアップやメンテナンスについても、自由診療の範囲内で行うことがあります。これには追加の費用が発生する場合があります。
患者様一人ひとりに合った治療を心がけております。自由診療を含むすべての治療オプションについて、十分な説明とともに、患者様のご理解とご同意を得ることを重視しています。ご不明な点やご心配なことがございましたら、遠慮なくご相談ください。
この医院の口コミはまだありません
受付時間
| 診療時間 | 日 | 月 | 火 | 水 | 木 | 金 | 土 |
|---|---|---|---|---|---|---|---|
| 09:30 ~ 19:00 | |||||||
| 09:30 ~ 13:00 | |||||||
| 14:00 ~ 17:00 |
日曜・祝日
アクセスマップ
基本情報
| 医院名 | 岡村歯科医院 |
| 所在地 | 〒812-0012 福岡県 福岡市博多区 博多駅中央街4-8 ユーコウビル6F(グリーンホテル隣) |
| 最寄駅 | 博多駅 東4番出口 徒歩3分 |
| 診療内容 | 歯冠修復、欠損補綴 / 根管治療 / 歯周病治療 / 予防治療 / 矯正歯科 / 口腔外科治療 / 有床義歯 / インプラント治療 / 咬み合わせ治療 |
| 医院ID | 75863 |