【東福山駅から車で5分・吉田東バス停徒歩3分】補綴治療を軸に包括的な歯科医療を提供する なべしま歯科医院
なべしま歯科医院は、広島県福山市春日町に位置し、東福山駅から車で約5分、吉田東バス停から徒歩3分の場所にあります。表側6台、裏側4台の駐車場を完備しており、公共交通機関・自家用車どちらでも通いやすい環境が整っています。診療時間は月・火・水・金・土の9:00〜12:30/14:00〜18:30で、木曜・日曜・祝日は休診ですが、祝日のある週は木曜も診療しており、忙しい方にも通いやすい体制です。
同院では、補綴治療を専門とする日本補綴歯科学会専門医が在籍し、入れ歯・クラウン・インプラントといった幅広い補綴分野に対応しています。見た目の美しさだけでなく、噛む力や発音といった機能面まで考慮した治療を行い、長期的な快適さを重視しています。
さらに、小児歯科・歯周病治療にも対応し、家族全員の口腔ケアをサポート。CTや口腔内カメラを用いた精密な診断、丁寧なカウンセリングによって、治療内容をわかりやすく説明しています。補綴専門医による確かな技術と包括的な歯科医療で、患者様一人ひとりに寄り添う地域密着型の歯科医院です。
同院では、補綴治療を専門とする日本補綴歯科学会専門医が在籍し、入れ歯・クラウン・インプラントといった幅広い補綴分野に対応しています。見た目の美しさだけでなく、噛む力や発音といった機能面まで考慮した治療を行い、長期的な快適さを重視しています。
さらに、小児歯科・歯周病治療にも対応し、家族全員の口腔ケアをサポート。CTや口腔内カメラを用いた精密な診断、丁寧なカウンセリングによって、治療内容をわかりやすく説明しています。補綴専門医による確かな技術と包括的な歯科医療で、患者様一人ひとりに寄り添う地域密着型の歯科医院です。
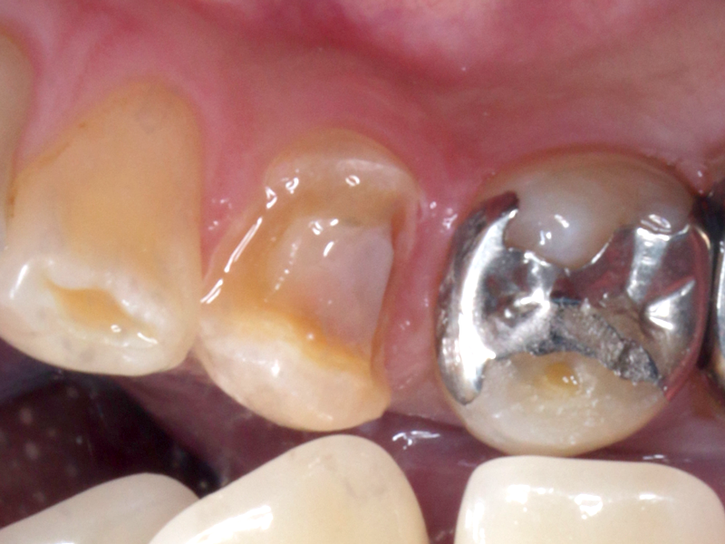
歯冠修復、欠損補綴のこだわりポイント

なべしま歯科医院では、歯冠修復や欠損補綴といった補綴治療に高い専門性を有しており、患者様の多様なニーズに応じた治療を提供しています。補綴治療とは、むし歯や外傷で失われた歯の機能や見た目を、被せ物や入れ歯、インプラントなどで回復する治療分野です。これにより、しっかり噛めるようになるだけでなく、発音や見た目の改善にもつながります。
院長は東京医科歯科大学の生体補綴歯科学分野で研究・教育・臨床に従事し、現在も日本補綴歯科学会の専門医として活動しています。補綴治療における深い知見と経験を活かし、審美性だけでなく噛み合わせや長期安定性まで考慮した精密な治療計画を立案しています。
治療の初期段階では、丁寧な診査とカウンセリングを行い、CT撮影や口腔内写真を用いて患者様と情報を共有します。その上で、被せ物の形状や素材を含む最適な補綴方法を提案し、見た目と機能の両面からご満足いただける結果を目指しています。
歯を失ったままにしておくと、周囲の歯並びや噛み合わせに悪影響が出ることがあります。なべしま歯科医院では、そのようなトラブルを未然に防ぐための補綴治療を通じて、患者様が快適な生活を送れるようサポートしています。噛みにくさや見た目にお悩みの方は、まずはお気軽にご相談ください。
院長は東京医科歯科大学の生体補綴歯科学分野で研究・教育・臨床に従事し、現在も日本補綴歯科学会の専門医として活動しています。補綴治療における深い知見と経験を活かし、審美性だけでなく噛み合わせや長期安定性まで考慮した精密な治療計画を立案しています。
治療の初期段階では、丁寧な診査とカウンセリングを行い、CT撮影や口腔内写真を用いて患者様と情報を共有します。その上で、被せ物の形状や素材を含む最適な補綴方法を提案し、見た目と機能の両面からご満足いただける結果を目指しています。
歯を失ったままにしておくと、周囲の歯並びや噛み合わせに悪影響が出ることがあります。なべしま歯科医院では、そのようなトラブルを未然に防ぐための補綴治療を通じて、患者様が快適な生活を送れるようサポートしています。噛みにくさや見た目にお悩みの方は、まずはお気軽にご相談ください。
医院としての理念・方針

なべしま歯科医院では、歯科治療を通じて地域の皆様の健康寿命の延伸に貢献することを理念に掲げています。患者様一人ひとりのライフスタイルや健康状態を丁寧に把握し、それに基づいた最適な治療法を提案することで、無理のない通院と確実な治療を実現しています。また、目の前の症状を治すだけでなく、お口全体の状態を診査し、将来的なリスクに備えた総合的な口腔ケアに取り組んでいます。
治療の際にはレントゲンや口腔内写真、図や動画を用いたわかりやすい説明を行い、納得いただいた上で進めることを重視しています。さらに、科学的な根拠に基づいた診療を心がけ、論文データや実績に裏打ちされた方法を採用しています。こうした姿勢は、患者様の不安を和らげ、信頼関係の構築にもつながっています。
すべての世代の患者様に安心して通っていただけるよう、常に知識と技術の研鑽を続けながら、質の高い歯科医療の提供を目指しています。
治療の際にはレントゲンや口腔内写真、図や動画を用いたわかりやすい説明を行い、納得いただいた上で進めることを重視しています。さらに、科学的な根拠に基づいた診療を心がけ、論文データや実績に裏打ちされた方法を採用しています。こうした姿勢は、患者様の不安を和らげ、信頼関係の構築にもつながっています。
すべての世代の患者様に安心して通っていただけるよう、常に知識と技術の研鑽を続けながら、質の高い歯科医療の提供を目指しています。
院長について
▽略歴
東京医科歯科大学 歯学部歯学科 卒業
倉敷中央病院 歯科 勤務
東京医科歯科大学大学院 生体補綴歯科学分野 修了
東京医科歯科大学大学院 生体補綴歯科学分野 医員
東京医科歯科大学大学院 生体補綴歯科学分野 非常勤講師
新宿西口歯科医院 勤務
吉崎歯科医院 勤務
ヒロ歯科クリニック 勤務
東京医科歯科大学 歯学部歯学科 卒業
倉敷中央病院 歯科 勤務
東京医科歯科大学大学院 生体補綴歯科学分野 修了
東京医科歯科大学大学院 生体補綴歯科学分野 医員
東京医科歯科大学大学院 生体補綴歯科学分野 非常勤講師
新宿西口歯科医院 勤務
吉崎歯科医院 勤務
ヒロ歯科クリニック 勤務
噛む力を取り戻すインプラント治療

インプラント治療は、歯を失った部分に人工の歯根を埋め込み、その上に人工の歯を装着して、見た目と噛む機能を回復させる治療法です。しっかりと噛めるようになるだけでなく、周囲の健康な歯を削る必要がないため、口腔全体のバランスを保ちやすい点が特徴です。
治療前にはCT撮影や模型製作などによる精密な診査を行い、最終的な被せ物の形を考慮してインプラントの位置を決定します。これにより、噛み合わせ・審美性・清掃性のすべてを高い水準で両立させることができます。
手術は局所麻酔で行われ、1本あたり30〜60分ほどで完了します。骨の量が不足している場合には、骨の再生処置を併用することもあります。手術後は2〜4か月ほどでインプラントが骨と結合し、その後に上部構造(人工歯)を装着します。
インプラントは年齢を問わず行うことができますが、全身疾患の有無や生活習慣によって適応が異なります。糖尿病や喫煙習慣がある場合には医科と連携しながら慎重に進められます。
治療後は定期的なメインテナンスを通じて噛み合わせや清掃状態を確認し、長期的な安定を維持します。自分の歯のように快適に噛める環境を目指す方にとって、有力な選択肢となる治療法です。
治療前にはCT撮影や模型製作などによる精密な診査を行い、最終的な被せ物の形を考慮してインプラントの位置を決定します。これにより、噛み合わせ・審美性・清掃性のすべてを高い水準で両立させることができます。
手術は局所麻酔で行われ、1本あたり30〜60分ほどで完了します。骨の量が不足している場合には、骨の再生処置を併用することもあります。手術後は2〜4か月ほどでインプラントが骨と結合し、その後に上部構造(人工歯)を装着します。
インプラントは年齢を問わず行うことができますが、全身疾患の有無や生活習慣によって適応が異なります。糖尿病や喫煙習慣がある場合には医科と連携しながら慎重に進められます。
治療後は定期的なメインテナンスを通じて噛み合わせや清掃状態を確認し、長期的な安定を維持します。自分の歯のように快適に噛める環境を目指す方にとって、有力な選択肢となる治療法です。
快適な毎日を支える入れ歯治療

入れ歯は、歯を失った部分を補うための重要な治療手段です。うまく噛めない、動いて痛い、目立つバネが気になるなど、入れ歯に関する悩みは少なくありません。こうしたお悩みを解消するためには、見た目だけでなく、咬み合わせや機能性を考慮した精密な設計と製作が必要です。
治療ではまず、口腔内の状態や残っている歯の健康状態を丁寧に診査し、必要に応じて咬合器やワックスアップを用いたシミュレーションを行います。これにより、治療のゴールを患者様と共有した上で計画的に治療を進めることができます。
入れ歯の種類には、金属床義歯やレジン床義歯のほか、審美性に優れたテレスコープ義歯、磁石を使ったアタッチメント義歯などがあります。それぞれの特徴を活かし、患者様の口腔状態やライフスタイルに合わせた選択が可能です。
使い心地を向上させるためには、沈み込みを防ぎ、残っている歯への負担を最小限にする設計が重要です。また、金属床義歯は薄く作れるため話しやすく、熱も伝わりやすいため食事の楽しさも損なわれません。
入れ歯でお困りの方も、もう一度、専門性の高い治療で新しい選択肢を見つけてみてください。
治療ではまず、口腔内の状態や残っている歯の健康状態を丁寧に診査し、必要に応じて咬合器やワックスアップを用いたシミュレーションを行います。これにより、治療のゴールを患者様と共有した上で計画的に治療を進めることができます。
入れ歯の種類には、金属床義歯やレジン床義歯のほか、審美性に優れたテレスコープ義歯、磁石を使ったアタッチメント義歯などがあります。それぞれの特徴を活かし、患者様の口腔状態やライフスタイルに合わせた選択が可能です。
使い心地を向上させるためには、沈み込みを防ぎ、残っている歯への負担を最小限にする設計が重要です。また、金属床義歯は薄く作れるため話しやすく、熱も伝わりやすいため食事の楽しさも損なわれません。
入れ歯でお困りの方も、もう一度、専門性の高い治療で新しい選択肢を見つけてみてください。
成長に合わせた小児歯科治療を提供

小児歯科では、お子様の成長段階に合わせて、むし歯の予防と治療を行い、健康な永久歯列へのスムーズな移行をサポートします。むし歯の予防には日々のブラッシングだけでなく、食習慣の見直しや定期的なフッ素塗布、シーラントによるケアも重要です。
治療にあたっては、まずは脱灰の状態や汚れの付き方を確認し、必要に応じてフッ素塗布や歯磨き指導を実施します。小さなむし歯であれば、早期の処置で進行を食い止めることが可能です。すでにむし歯が進行してしまっている場合には、丁寧な治療と説明を通じて、お子様が安心して治療を受けられるよう心がけています。
乳歯が早く抜けた場合や、歯並びに影響を及ぼす可能性がある場合には、「保隙」と呼ばれるスペースの確保も行います。これにより、後続の永久歯が正しい位置に生えるようサポートします。
必要に応じて、小児歯科専門医や矯正歯科専門医と連携し、専門的な視点からも治療を進めます。お子様が将来も健康な歯を維持できるよう、小児期からの継続的なケアを心がけてください。
治療にあたっては、まずは脱灰の状態や汚れの付き方を確認し、必要に応じてフッ素塗布や歯磨き指導を実施します。小さなむし歯であれば、早期の処置で進行を食い止めることが可能です。すでにむし歯が進行してしまっている場合には、丁寧な治療と説明を通じて、お子様が安心して治療を受けられるよう心がけています。
乳歯が早く抜けた場合や、歯並びに影響を及ぼす可能性がある場合には、「保隙」と呼ばれるスペースの確保も行います。これにより、後続の永久歯が正しい位置に生えるようサポートします。
必要に応じて、小児歯科専門医や矯正歯科専門医と連携し、専門的な視点からも治療を進めます。お子様が将来も健康な歯を維持できるよう、小児期からの継続的なケアを心がけてください。
歯ぐきの健康を守るための本格ケア

歯周病は、歯を支える骨や歯ぐきに炎症が起こる病気で、進行すると歯のぐらつきや脱落につながる恐れがあります。初期には自覚症状が乏しく、気づかないうちに悪化しているケースも少なくありません。歯ぐきからの出血、腫れ、口臭などの症状がある場合は、早めの受診が大切です。
治療の基本は、原因となるプラークや歯石の除去です。これは患者様ご自身の丁寧な歯磨きと、歯科医院でのプロフェッショナルケアの両立によって効果が高まります。また、噛み合わせの悪さや力の偏りも歯周病の進行を早める要因の一つであり、必要に応じて調整や固定も行います。
重度のケースでは、歯周外科や再生療法が必要となることもあります。治療に先立ち、レントゲンや口腔内写真を用いて現状を把握し、治療計画を立案します。糖尿病や喫煙などの全身的なリスク因子がある場合には、医科と連携しながら総合的に対応します。
治療後は、状態に応じてメインテナンスを行い、歯ぐきや噛み合わせの変化に合わせて調整します。適切なケアを継続して受けることで、歯の寿命を延ばし、健康な口腔環境を維持することが可能です。違和感や不安を感じたら、早めの対応を心がけてください。
治療の基本は、原因となるプラークや歯石の除去です。これは患者様ご自身の丁寧な歯磨きと、歯科医院でのプロフェッショナルケアの両立によって効果が高まります。また、噛み合わせの悪さや力の偏りも歯周病の進行を早める要因の一つであり、必要に応じて調整や固定も行います。
重度のケースでは、歯周外科や再生療法が必要となることもあります。治療に先立ち、レントゲンや口腔内写真を用いて現状を把握し、治療計画を立案します。糖尿病や喫煙などの全身的なリスク因子がある場合には、医科と連携しながら総合的に対応します。
治療後は、状態に応じてメインテナンスを行い、歯ぐきや噛み合わせの変化に合わせて調整します。適切なケアを継続して受けることで、歯の寿命を延ばし、健康な口腔環境を維持することが可能です。違和感や不安を感じたら、早めの対応を心がけてください。
自由診療のリスク・副作用、その他
自由診療について
患者様のさまざまなニーズに応えるために自由診療を提供しております。しかし、自由診療には健康保険適用外の治療が含まれるため、以下の点にご注意ください。
【リスクについて】
自由診療には、保険適用治療に比べて高度かつ専門的な治療が含まれる場合があります。これらの治療はより高い技術を要求されるため、一般的な治療よりもリスクが高まる可能性があります。
【副作用について】
すべての医療行為には副作用のリスクが伴います。自由診療の場合、使用する材料や治療方法が特殊な場合があるため、通常の治療とは異なる副作用が発生する可能性があります。
【費用について】
自由診療は健康保険の適用外であるため、保険診療と比較して高額になることがあります。治療前には必ず費用の詳細について説明を行い、ご同意をいただいてから治療を開始します。
【治療の選択について】
患者様の健康状態や希望に合わせて、最適な治療計画を提案します。自由診療は選択肢の一つであり、必ずしもすべての患者様に適しているわけではありません。
【その他の注意事項】
治療後のフォローアップやメンテナンスについても、自由診療の範囲内で行うことがあります。これには追加の費用が発生する場合があります。
患者様一人ひとりに合った治療を心がけております。自由診療を含むすべての治療オプションについて、十分な説明とともに、患者様のご理解とご同意を得ることを重視しています。ご不明な点やご心配なことがございましたら、遠慮なくご相談ください。
患者様のさまざまなニーズに応えるために自由診療を提供しております。しかし、自由診療には健康保険適用外の治療が含まれるため、以下の点にご注意ください。
【リスクについて】
自由診療には、保険適用治療に比べて高度かつ専門的な治療が含まれる場合があります。これらの治療はより高い技術を要求されるため、一般的な治療よりもリスクが高まる可能性があります。
【副作用について】
すべての医療行為には副作用のリスクが伴います。自由診療の場合、使用する材料や治療方法が特殊な場合があるため、通常の治療とは異なる副作用が発生する可能性があります。
【費用について】
自由診療は健康保険の適用外であるため、保険診療と比較して高額になることがあります。治療前には必ず費用の詳細について説明を行い、ご同意をいただいてから治療を開始します。
【治療の選択について】
患者様の健康状態や希望に合わせて、最適な治療計画を提案します。自由診療は選択肢の一つであり、必ずしもすべての患者様に適しているわけではありません。
【その他の注意事項】
治療後のフォローアップやメンテナンスについても、自由診療の範囲内で行うことがあります。これには追加の費用が発生する場合があります。
患者様一人ひとりに合った治療を心がけております。自由診療を含むすべての治療オプションについて、十分な説明とともに、患者様のご理解とご同意を得ることを重視しています。ご不明な点やご心配なことがございましたら、遠慮なくご相談ください。
この医院の口コミはまだありません
受付時間
診療時間 | 日 | 月 | 火 | 水 | 木 | 金 | 土 |
---|---|---|---|---|---|---|---|
09:00 ~ 12:30 | |||||||
14:00 ~ 18:30 |
休診日:木曜・日曜・祝日
※ただし、祝日のある週は木曜診療あり
アクセスマップ
基本情報
医院名 | なべしま歯科医院 |
所在地 | 〒721-0907 広島県 福山市 春日町1-2-47 |
最寄駅 | 東福山駅から車で5分 |
診療内容 | 歯冠修復、欠損補綴 / 根管治療 / 歯周病治療 / 予防治療 / 小児歯科 / 口腔外科治療 / 有床義歯 / インプラント治療 / 咬み合わせ治療 |
医院ID | 75195 |