【古市駅から徒歩10分】地域包括ケアを実践するコープ共立歯科
コープ共立歯科は、アストラムライン古市駅から徒歩10分、JR緑井駅からも徒歩圏内に位置するアクセス良好な歯科医院です。駐車場完備に加え、無料送迎バスも運行しており、幅広い世代の患者様が通いやすい環境が整っています。診療時間は月・火・水・金曜の8:30〜11:30、12:00〜16:30、17:00〜19:30で、平日夜間の診療にも対応しているため、お仕事帰りにも通院しやすい点が魅力です。
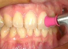
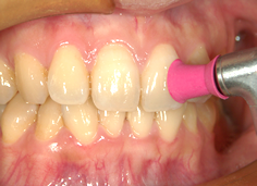
同院では、予防治療に力を入れており、定期検診ではデジタルレントゲンを用いた精密な診断と、専用器具によるプラーク除去を実施しています。PMTC(プロフェッショナル・メカニカル・トゥース・クリーニング)による清掃も行い、虫歯や歯周病の予防を徹底しています。
また、訪問歯科診療にも注力しており、寝たきりや通院が難しい方のご自宅で治療やケアを提供。広島医療生活協同組合と連携し、地域包括ケアの一環として、地域全体の健康を支えています。
同院では、予防治療に力を入れており、定期検診ではデジタルレントゲンを用いた精密な診断と、専用器具によるプラーク除去を実施しています。PMTC(プロフェッショナル・メカニカル・トゥース・クリーニング)による清掃も行い、虫歯や歯周病の予防を徹底しています。
また、訪問歯科診療にも注力しており、寝たきりや通院が難しい方のご自宅で治療やケアを提供。広島医療生活協同組合と連携し、地域包括ケアの一環として、地域全体の健康を支えています。
予防治療のこだわりポイント

コープ共立歯科は、虫歯や歯周病を未然に防ぐための予防治療に力を入れている歯科医院です。治療が必要になる前に健康な状態を維持することを目的として、定期的なチェックやクリーニングを通じた継続的な口腔ケアを実践しています。
予防処置の一環として、PMTC(プロフェッショナル・メカニカル・トゥース・クリーニング)を導入。これは、毎日の歯磨きでは落としきれない歯垢や着色汚れを専用機器で除去し、歯の表面を清潔に保つことで虫歯や歯周病、口臭の予防に役立つ処置です。
また、デジタルレントゲンを活用した精密な診断体制も整っており、患者様の年齢やライフスタイルに合わせたアドバイスを行いながら、無理のない予防計画をサポートしています。院内はバリアフリー設計で、キッズコーナーも完備されているため、お子様からご高齢の方まで安心して通える環境です。歯を削らずに健康を守るための予防歯科を希望する方に適した歯科医院といえます。
予防処置の一環として、PMTC(プロフェッショナル・メカニカル・トゥース・クリーニング)を導入。これは、毎日の歯磨きでは落としきれない歯垢や着色汚れを専用機器で除去し、歯の表面を清潔に保つことで虫歯や歯周病、口臭の予防に役立つ処置です。
また、デジタルレントゲンを活用した精密な診断体制も整っており、患者様の年齢やライフスタイルに合わせたアドバイスを行いながら、無理のない予防計画をサポートしています。院内はバリアフリー設計で、キッズコーナーも完備されているため、お子様からご高齢の方まで安心して通える環境です。歯を削らずに健康を守るための予防歯科を希望する方に適した歯科医院といえます。
医院としての理念・方針

コープ共立歯科では、患者様の立場に立った診療を大切にし、すべての方に安心と信頼を提供できる歯科医療を目指しています。特に、地域包括ケアの考え方に基づき、医科や介護との連携を重視しながら、地域の健康を支える存在としての役割を果たしています。
通院が難しい患者様には訪問歯科診療を提供し、寝たきりや認知症の方にも適切な口腔ケアを届ける体制が整っています。こうした取り組みは、高齢化社会における地域貢献の一環として位置づけられており、医療生活協同組合の理念とも強く結びついています。
また、患者様一人ひとりの背景や状態に応じた丁寧な説明と対応を心がけ、納得のいく診療を提供することにも力を入れています。口腔内の健康を通じて、全身の健康や生活の質の向上につながるよう、スタッフ全員が一丸となって取り組んでいます。これからも、信頼される歯科医院として地域に根差し、長く支えられる存在を目指して歩み続けます。
通院が難しい患者様には訪問歯科診療を提供し、寝たきりや認知症の方にも適切な口腔ケアを届ける体制が整っています。こうした取り組みは、高齢化社会における地域貢献の一環として位置づけられており、医療生活協同組合の理念とも強く結びついています。
また、患者様一人ひとりの背景や状態に応じた丁寧な説明と対応を心がけ、納得のいく診療を提供することにも力を入れています。口腔内の健康を通じて、全身の健康や生活の質の向上につながるよう、スタッフ全員が一丸となって取り組んでいます。これからも、信頼される歯科医院として地域に根差し、長く支えられる存在を目指して歩み続けます。
削らず守る、新しい虫歯治療

虫歯は、口の中の細菌が糖分を分解して作る酸によって、歯が溶かされる病気です。初期段階では痛みが少なく、気づかないまま進行することが多いため、定期的なチェックが非常に重要です。虫歯が進行すると、冷たいものがしみる、噛んだときに痛む、強いズキズキとした痛みを伴うなど、日常生活に大きな支障をきたすようになります。さらに放置すると、歯の神経にまで達し、抜歯が必要になる場合もあります。
治療では、虫歯に侵された部分を除去し、詰め物や被せ物で修復します。できるだけ歯を削らず、患者様の負担を軽減することを意識した処置が行われます。虫歯の大きさや進行具合に応じて、適切な材料や方法を選択し、見た目の自然さと機能性を両立させます。
虫歯は治療後の再発リスクもあるため、予防の意識も欠かせません。定期検診やPMTCといったクリーニング、正しいブラッシング指導を通じて、再発防止に努めることが勧められます。特に、小さなお子様やご高齢の患者様に対しても丁寧な説明と対応がなされ、安心して通える環境が整えられています。気になる症状がある場合は、早めの受診が健康維持につながります。
治療では、虫歯に侵された部分を除去し、詰め物や被せ物で修復します。できるだけ歯を削らず、患者様の負担を軽減することを意識した処置が行われます。虫歯の大きさや進行具合に応じて、適切な材料や方法を選択し、見た目の自然さと機能性を両立させます。
虫歯は治療後の再発リスクもあるため、予防の意識も欠かせません。定期検診やPMTCといったクリーニング、正しいブラッシング指導を通じて、再発防止に努めることが勧められます。特に、小さなお子様やご高齢の患者様に対しても丁寧な説明と対応がなされ、安心して通える環境が整えられています。気になる症状がある場合は、早めの受診が健康維持につながります。
健康な歯茎で噛む力を守る

歯周病は、歯のまわりにある歯茎や骨に炎症を起こし、気づかないうちに進行することが多い病気です。歯茎の腫れや出血、口臭が強くなるなどの症状が見られるようになると、すでに中等度以上の段階に進行している場合があります。進行を放置すれば歯を支える骨が溶け、歯を失うリスクが高まるため、早めの対応が重要です。
歯周病治療では、まず原因となるプラークや歯石を専門的な技術で除去し、炎症を引き起こしている部位の清掃を徹底します。さらに、毎日のセルフケアの質を高めるために、正しい歯磨き方法のアドバイスも行います。こうした積み重ねが、歯茎の状態改善や再発防止につながります。
加えて、歯茎の奥深くに潜む汚れや細菌を除去する処置を行うことで、治癒を促進し、健康な口内環境を整えることが可能です。再発を防ぐには、治療後も継続的に状態を確認し、適切なタイミングでケアを行うことが求められます。
歯周病は、見た目の問題だけでなく、噛む力の低下や全身の健康リスクにもつながるため、気になる症状があれば、まずはお口の状態を確認してみてください。
歯周病治療では、まず原因となるプラークや歯石を専門的な技術で除去し、炎症を引き起こしている部位の清掃を徹底します。さらに、毎日のセルフケアの質を高めるために、正しい歯磨き方法のアドバイスも行います。こうした積み重ねが、歯茎の状態改善や再発防止につながります。
加えて、歯茎の奥深くに潜む汚れや細菌を除去する処置を行うことで、治癒を促進し、健康な口内環境を整えることが可能です。再発を防ぐには、治療後も継続的に状態を確認し、適切なタイミングでケアを行うことが求められます。
歯周病は、見た目の問題だけでなく、噛む力の低下や全身の健康リスクにもつながるため、気になる症状があれば、まずはお口の状態を確認してみてください。
違和感のない義歯づくりをサポート

入れ歯(有床義歯)は、歯を失った際に機能や見た目を補うための代表的な治療法です。噛む力の回復や発音のサポートに加え、自然な口元の見た目を取り戻す役割を担い、日常生活の質を高めることにつながります。治療では、残っている歯の状態や本数に応じて、部分入れ歯と総入れ歯の中から最適な方法が選択されます。
入れ歯は装着直後に違和感を覚えることもありますが、調整を重ねることで快適に使用できるようになります。コープ共立歯科には歯科技工士が常駐しており、修理や微調整をスピーディーに行える環境が整っている点も特徴です。患者様一人ひとりの要望に応じてきめ細かく対応し、使い心地の良い入れ歯を提供しています。
さらに、訪問診療でも入れ歯の作製や調整を実施しており、通院が難しい方にも専門的なケアを届けています。長く快適に使用するためには定期的なメンテナンスが欠かせません。違和感や不具合を感じた際は早めの相談が推奨されており、患者様の生活の質向上を支える治療として信頼されています。
入れ歯は装着直後に違和感を覚えることもありますが、調整を重ねることで快適に使用できるようになります。コープ共立歯科には歯科技工士が常駐しており、修理や微調整をスピーディーに行える環境が整っている点も特徴です。患者様一人ひとりの要望に応じてきめ細かく対応し、使い心地の良い入れ歯を提供しています。
さらに、訪問診療でも入れ歯の作製や調整を実施しており、通院が難しい方にも専門的なケアを届けています。長く快適に使用するためには定期的なメンテナンスが欠かせません。違和感や不具合を感じた際は早めの相談が推奨されており、患者様の生活の質向上を支える治療として信頼されています。
訪問診療で安心の口腔ケア

訪問歯科診療は、加齢や病気、障がいなどにより通院が困難な方に対して、歯科医師やスタッフが自宅や施設を訪問し、治療や口腔ケアを提供する医療サービスです。外出が難しい場合でも、虫歯や歯周病の治療、入れ歯の調整、口腔内清掃など、幅広い処置を受けられることが大きな利点です。
対象となるのは、寝たきりの方や認知症をお持ちの方、通院に介助が必要な高齢者、入退院後の療養中の方などで、患者様の状態や生活環境に合わせた柔軟な診療が行われます。コープ共立歯科では、医療保険と介護保険の両方を利用でき、交通費などの追加料金がかからない仕組みを整え、安心して利用できる体制を構築しています。
また、地域の医療機関や介護施設との連携にも力を入れ、退院後のフォローや施設内での口腔ケアにも積極的に関わっています。特に、NST(栄養サポートチーム)に参加し、口腔機能と栄養状態の両面から全身の健康維持をサポートしている点が特徴です。訪問可能な範囲はおおむね16km圏内で、広範囲の地域に対応しています。通院が難しい方の生活の質向上を支える取り組みとして、地域に根ざした診療を行っています。
対象となるのは、寝たきりの方や認知症をお持ちの方、通院に介助が必要な高齢者、入退院後の療養中の方などで、患者様の状態や生活環境に合わせた柔軟な診療が行われます。コープ共立歯科では、医療保険と介護保険の両方を利用でき、交通費などの追加料金がかからない仕組みを整え、安心して利用できる体制を構築しています。
また、地域の医療機関や介護施設との連携にも力を入れ、退院後のフォローや施設内での口腔ケアにも積極的に関わっています。特に、NST(栄養サポートチーム)に参加し、口腔機能と栄養状態の両面から全身の健康維持をサポートしている点が特徴です。訪問可能な範囲はおおむね16km圏内で、広範囲の地域に対応しています。通院が難しい方の生活の質向上を支える取り組みとして、地域に根ざした診療を行っています。
自由診療のリスク・副作用、その他
自由診療について
患者様のさまざまなニーズに応えるために自由診療を提供しております。しかし、自由診療には健康保険適用外の治療が含まれるため、以下の点にご注意ください。
【リスクについて】
自由診療には、保険適用治療に比べて高度かつ専門的な治療が含まれる場合があります。これらの治療はより高い技術を要求されるため、一般的な治療よりもリスクが高まる可能性があります。
【副作用について】
すべての医療行為には副作用のリスクが伴います。自由診療の場合、使用する材料や治療方法が特殊な場合があるため、通常の治療とは異なる副作用が発生する可能性があります。
【費用について】
自由診療は健康保険の適用外であるため、保険診療と比較して高額になることがあります。治療前には必ず費用の詳細について説明を行い、ご同意をいただいてから治療を開始します。
【治療の選択について】
患者様の健康状態や希望に合わせて、最適な治療計画を提案します。自由診療は選択肢の一つであり、必ずしもすべての患者様に適しているわけではありません。
【その他の注意事項】
治療後のフォローアップやメンテナンスについても、自由診療の範囲内で行うことがあります。これには追加の費用が発生する場合があります。
患者様一人ひとりに合った治療を心がけております。自由診療を含むすべての治療オプションについて、十分な説明とともに、患者様のご理解とご同意を得ることを重視しています。ご不明な点やご心配なことがございましたら、遠慮なくご相談ください。
患者様のさまざまなニーズに応えるために自由診療を提供しております。しかし、自由診療には健康保険適用外の治療が含まれるため、以下の点にご注意ください。
【リスクについて】
自由診療には、保険適用治療に比べて高度かつ専門的な治療が含まれる場合があります。これらの治療はより高い技術を要求されるため、一般的な治療よりもリスクが高まる可能性があります。
【副作用について】
すべての医療行為には副作用のリスクが伴います。自由診療の場合、使用する材料や治療方法が特殊な場合があるため、通常の治療とは異なる副作用が発生する可能性があります。
【費用について】
自由診療は健康保険の適用外であるため、保険診療と比較して高額になることがあります。治療前には必ず費用の詳細について説明を行い、ご同意をいただいてから治療を開始します。
【治療の選択について】
患者様の健康状態や希望に合わせて、最適な治療計画を提案します。自由診療は選択肢の一つであり、必ずしもすべての患者様に適しているわけではありません。
【その他の注意事項】
治療後のフォローアップやメンテナンスについても、自由診療の範囲内で行うことがあります。これには追加の費用が発生する場合があります。
患者様一人ひとりに合った治療を心がけております。自由診療を含むすべての治療オプションについて、十分な説明とともに、患者様のご理解とご同意を得ることを重視しています。ご不明な点やご心配なことがございましたら、遠慮なくご相談ください。
この医院の口コミはまだありません
受付時間
診療時間 | 日 | 月 | 火 | 水 | 木 | 金 | 土 |
---|---|---|---|---|---|---|---|
08:30 ~ 11:30 | |||||||
12:00 ~ 16:30 | |||||||
17:00 ~ 19:30 |
休診日:木曜午後(第1・第3)・日曜・祝日
アクセスマップ
基本情報
医院名 | コープ共立歯科 |
所在地 | 〒731-0121 広島県 広島市安佐南区 中須2-20-39 |
最寄駅 | 古市駅から徒歩10分 |
診療内容 | 歯冠修復、欠損補綴 / 歯周病治療 / 予防治療 / 小児歯科 / 有床義歯 / 訪問診療 |
医院ID | 75128 |