【土曜日診療対応】【深谷駅徒歩3分】「やり直しのない治療」を心がけており、患者様一人一人の症状やニーズに合わせた最適な治療法をご提案する「木村歯科医院」
木村歯科医院では、患者様にとって優しい治療を提供することを最も大切にしています。そのため、治療を行う際には「やり直しのない治療」を心がけており、患者様一人一人の症状やニーズに合わせた最適な治療法をご提案しています。木村歯科医院では、歯周病やインプラント治療を中心にした総合的なアプローチを行っており、長期的に美しく、かつ持続可能な治療を目指しています。
治療に関して悩んでいる方々に、木村歯科医院では幅広い対応が可能です。他院で「抜歯が必要」と言われた重度の歯周病の方や、骨が薄くてインプラント治療が難しいと言われた方にも、木村歯科医院では新たな治療方法を提案し、可能な限りお力になります。また、歯周病の影響で矯正治療ができないと考えている方や、前歯の治療後に見た目に納得できない方にも、見た目の改善だけでなく機能的にも満足いただけるよう、丁寧な治療を行います。定期健診を受けているのに状態が悪化していると感じる方や、応急処置しか受けていないと感じる方も、木村歯科医院でしっかりとした治療を受けることができます。
木村歯科医院の治療は、応急的な対応に留まらず、根本的な治療を行い、再発を防ぐことを目指しています。患者様が安心して治療を受けられるよう、十分な説明とサポートを行い、疑問や不安があればいつでもお気軽にご相談いただけます。
木村歯科医院は、深谷駅北口から徒歩3分の場所にあります。お近くにお越しの際は、ぜひ一度ご相談ください。
治療に関して悩んでいる方々に、木村歯科医院では幅広い対応が可能です。他院で「抜歯が必要」と言われた重度の歯周病の方や、骨が薄くてインプラント治療が難しいと言われた方にも、木村歯科医院では新たな治療方法を提案し、可能な限りお力になります。また、歯周病の影響で矯正治療ができないと考えている方や、前歯の治療後に見た目に納得できない方にも、見た目の改善だけでなく機能的にも満足いただけるよう、丁寧な治療を行います。定期健診を受けているのに状態が悪化していると感じる方や、応急処置しか受けていないと感じる方も、木村歯科医院でしっかりとした治療を受けることができます。
木村歯科医院の治療は、応急的な対応に留まらず、根本的な治療を行い、再発を防ぐことを目指しています。患者様が安心して治療を受けられるよう、十分な説明とサポートを行い、疑問や不安があればいつでもお気軽にご相談いただけます。
木村歯科医院は、深谷駅北口から徒歩3分の場所にあります。お近くにお越しの際は、ぜひ一度ご相談ください。
歯周病治療のこだわりポイント

歯周病でお悩みの方へ。定期的に歯医者に通っても症状が進行していると感じたことはありませんか?歯周病は、歯と歯茎の間にできるポケットに細菌が溜まり、毒素が炎症や骨の破壊を引き起こす病気です。進行を防ぐためには、歯周ポケットを浅くし、細菌が繁殖しにくい環境を作る必要があります。木村歯科医院では、患者様のブラッシング効果を最大限に引き出すための最先端の治療法を提供しています。
歯周病は、初期には症状が出ないことが多く、見過ごされがちです。歯周病が進行すると歯を失う原因となり、特に50歳以上ではその割合が高くなります。木村歯科医院では、歯周外科手術や歯肉移植、再生療法など、症例に応じた最適な治療を行い、歯を残すためのサポートをしています。
また、骨の再生が必要な場合には、エムドゲインジェルを使用した治療を行い、失った骨を再生させることができます。さらに、歯周病を引き起こす細菌を抗生物質で除菌する抗菌療法を提供し、歯茎の改善を図ります。
歯周病は早期に対応することで進行を防ぎ、歯を守ることができます。お悩みの方は、ぜひご相談ください。
歯周病は、初期には症状が出ないことが多く、見過ごされがちです。歯周病が進行すると歯を失う原因となり、特に50歳以上ではその割合が高くなります。木村歯科医院では、歯周外科手術や歯肉移植、再生療法など、症例に応じた最適な治療を行い、歯を残すためのサポートをしています。
また、骨の再生が必要な場合には、エムドゲインジェルを使用した治療を行い、失った骨を再生させることができます。さらに、歯周病を引き起こす細菌を抗生物質で除菌する抗菌療法を提供し、歯茎の改善を図ります。
歯周病は早期に対応することで進行を防ぎ、歯を守ることができます。お悩みの方は、ぜひご相談ください。
医院としての理念・方針

木村歯科医院では、患者様に優しい治療を提供することを最も大切にしています。「優しい治療」とは、やり直しが少なく、長持ちする治療を指し、再発を防ぐことができる治療法を追求しています。治療のやり直しや再発が多い原因は、部分的な応急処置に焦点を当てていることが多いためです。実際、木村歯科医院で治療をやり直すケースの約7割は、応急的な治療の結果として再発したものです。歯の治療は、全体のバランスが重要で、部分的な治療では長期的な健康維持が難しくなります。
木村歯科医院では、まず口の中全体をしっかり診査し、歯周病や虫歯などの根本的な原因をしっかりと治療します。可能な限り天然の歯を削らず、歯を守る治療を心がけています。また、神経を取らないように配慮し、歯が割れやすくなるのを防ぐため慎重に治療を進めています。根の治療についても、数年後の歯茎の腫れなどを防ぐため、徹底的に行います。適合の良い被せ物を使用し、わずかな隙間でも虫歯が再発しないようにしています。さらに、噛み合わせの調整をしっかり行い、全身に影響を与えないよう配慮しています。
治療後は、定期的なメンテナンスを行い、治療効果が長続きするようサポートします。これにより、再発ややり直しが少なく、患者様が安心して長期間、快適に過ごせるようにしています。木村歯科医院では、患者様一人一人に最適な治療を提供し、健康な口内環境を維持できるよう努めています。
木村歯科医院では、まず口の中全体をしっかり診査し、歯周病や虫歯などの根本的な原因をしっかりと治療します。可能な限り天然の歯を削らず、歯を守る治療を心がけています。また、神経を取らないように配慮し、歯が割れやすくなるのを防ぐため慎重に治療を進めています。根の治療についても、数年後の歯茎の腫れなどを防ぐため、徹底的に行います。適合の良い被せ物を使用し、わずかな隙間でも虫歯が再発しないようにしています。さらに、噛み合わせの調整をしっかり行い、全身に影響を与えないよう配慮しています。
治療後は、定期的なメンテナンスを行い、治療効果が長続きするようサポートします。これにより、再発ややり直しが少なく、患者様が安心して長期間、快適に過ごせるようにしています。木村歯科医院では、患者様一人一人に最適な治療を提供し、健康な口内環境を維持できるよう努めています。
院長について

▽略歴
平成4年 日本歯科大学卒業
平成4年 日本歯科大学卒業
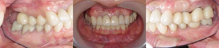
見た目だけでなく、機能性や快適さを追求したインプラント治療

インプラント治療は、歯が抜けた部分に人工の歯根を埋め込み、顎の骨としっかりと固定した後、人工の歯を装着する治療法です。この方法により、天然歯と同様の咀嚼機能を取り戻し、入れ歯では対応できなかったケースや、ブリッジで隣の歯を削る必要があった場合に代わる理想的な選択肢となります。木村歯科医院では、インプラントと天然歯が長期間共存できるように、骨が薄い場合の造骨手術や歯茎が薄く見た目が悪い場合には歯肉移植など、さまざまな治療法を取り入れています。これにより、重度の歯周病や骨の状態が良くない方にも対応可能です。
インプラント治療の最大の利点は、隣の健康な歯を削らずに治療できる点です。例えば、前歯一本を失った場合、従来の治療法であるブリッジでは、両隣の健康な歯を削る必要がありますが、インプラント治療ではその心配はありません。見た目も機能も自然に回復できるため、患者様にとっては負担が少なく、より快適な生活を送ることができます。
また、全ての歯を失った場合にも、インプラントを使用することで、総入れ歯にありがちな不安やガタつきを解消し、しっかりと固定された噛みごこちを実現します。さらに、インプラントは安定性が高いため、硬い食べ物でも安心して食べることができ、入れ歯のようにズレる心配もありません。
インプラント治療は、見た目だけでなく、機能性や快適さを追求した治療法です。患者様一人一人に最適な方法を提供し、より自然で健康的な口腔環境を取り戻すお手伝いをします。
インプラント治療の最大の利点は、隣の健康な歯を削らずに治療できる点です。例えば、前歯一本を失った場合、従来の治療法であるブリッジでは、両隣の健康な歯を削る必要がありますが、インプラント治療ではその心配はありません。見た目も機能も自然に回復できるため、患者様にとっては負担が少なく、より快適な生活を送ることができます。
また、全ての歯を失った場合にも、インプラントを使用することで、総入れ歯にありがちな不安やガタつきを解消し、しっかりと固定された噛みごこちを実現します。さらに、インプラントは安定性が高いため、硬い食べ物でも安心して食べることができ、入れ歯のようにズレる心配もありません。
インプラント治療は、見た目だけでなく、機能性や快適さを追求した治療法です。患者様一人一人に最適な方法を提供し、より自然で健康的な口腔環境を取り戻すお手伝いをします。
歯周組織を健全に整え、長期的に美しさを維持できる治療を提供する審美歯科

審美歯科治療では、見た目だけでなく、長期間持続する美しい歯並びを作り出すことが重要です。どんなに美しいセラミック冠を入れても、土台となる歯周組織が健全でないと、歯茎との調和が取れた美しい結果にはなりません。木村歯科医院では、歯周組織を健全に整え、長期的に美しさを維持できる治療を提供しています。
ホームホワイトニングでは、薬剤を塗布したマウスピースを使用し、削らずに歯を白くすることができます。スーパーポリリンホワイトニングは、歯を傷めずに透明感のある白さを実現し、白さが長持ちします。さらに、メラニン色素除去治療で、黒ずんだ歯茎をピンク色に改善することも可能です。
ラミネートベニア修復やオールセラミック修復では、前歯の隙間を埋めたり、金属を使用せず自然な美しさを追求します。オールセラミックは、色調がぴったり合えば、天然の歯と区別がつかない美しさを提供します。
審美歯科治療は、見た目と機能性を兼ね備えた治療法で、長期的に満足のいく結果を提供します。どんな悩みもお気軽にご相談ください。
ホームホワイトニングでは、薬剤を塗布したマウスピースを使用し、削らずに歯を白くすることができます。スーパーポリリンホワイトニングは、歯を傷めずに透明感のある白さを実現し、白さが長持ちします。さらに、メラニン色素除去治療で、黒ずんだ歯茎をピンク色に改善することも可能です。
ラミネートベニア修復やオールセラミック修復では、前歯の隙間を埋めたり、金属を使用せず自然な美しさを追求します。オールセラミックは、色調がぴったり合えば、天然の歯と区別がつかない美しさを提供します。
審美歯科治療は、見た目と機能性を兼ね備えた治療法で、長期的に満足のいく結果を提供します。どんな悩みもお気軽にご相談ください。
歯並びや噛み合わせを改善し、口腔機能を向上させる治療を提供する矯正歯科

矯正治療は、歯並びや噛み合わせを改善し、口腔機能を向上させる治療です。歯並びの悪さが噛み合わせの悪さに繋がり、これが歯周病の原因となることがあります。木村歯科医院では、歯周病治療と矯正治療を組み合わせ、機能的で美しい治療結果を提供します。歯磨きやメンテナンスをしているのに歯周病が進行する方や歯並びに悩んでいる方は、ぜひご相談ください。
治療方法には、全体矯正と部分矯正の2種類があります。全体矯正は、すべての歯を理想的な歯並びと噛み合わせに整える治療で、歯周病や顎関節症の改善にも効果がありますが、費用と期間がかかります。部分矯正は、前歯など見える部分のみを治療し、短期間で費用を抑えることができますが、理想的な噛み合わせは作れません。
矯正装置には、メタルブラケット、セラミックブラケット、マウスピース矯正があり、木村歯科医院ではインビザライン社のマウスピースを使用しています。インビザラインは、最新技術とAI解析に基づいた信頼性の高い治療法です。
歯並びや噛み合わせの悩みを解消するため、最適な矯正治療を提供しますので、ぜひご相談ください。
治療方法には、全体矯正と部分矯正の2種類があります。全体矯正は、すべての歯を理想的な歯並びと噛み合わせに整える治療で、歯周病や顎関節症の改善にも効果がありますが、費用と期間がかかります。部分矯正は、前歯など見える部分のみを治療し、短期間で費用を抑えることができますが、理想的な噛み合わせは作れません。
矯正装置には、メタルブラケット、セラミックブラケット、マウスピース矯正があり、木村歯科医院ではインビザライン社のマウスピースを使用しています。インビザラインは、最新技術とAI解析に基づいた信頼性の高い治療法です。
歯並びや噛み合わせの悩みを解消するため、最適な矯正治療を提供しますので、ぜひご相談ください。
さまざまな治療を組み合わせて行う高度な総合治療

総合治療は、歯周病治療、インプラント治療、矯正治療、補綴治療など、さまざまな治療を組み合わせて行う高度な治療法です。これらの治療には、すべて専門医レベルの高い技術が求められ、治療計画の立案から実施まで、細部にわたる精密な処置が必要です。しかし、技術だけでは完璧な結果は得られません。患者様の協力があってこそ、初めて成功する治療であり、治療の進行やアフターケアにも積極的な参加が必要です。
例えば、歯周病の治療を行い、その後インプラントや矯正治療を組み合わせることで、機能的で美しい歯並びと噛み合わせを実現することができます。補綴治療では、失った歯を補うためにインプラントを使用したり、セラミックや義歯を使って、見た目と機能を両立させることが可能です。
総合治療の大きな特徴は、患者様の口腔全体を一つのシステムとして捉え、最適な治療を複数の分野で連携して行う点にあります。歯周病治療で歯茎の健康を整えた後、インプラントや矯正治療で噛み合わせを改善し、最終的に美しい補綴物を装着することで、長期的に維持可能な口腔健康を手に入れることができます。
このように、総合的な治療により、歯の機能や見た目だけでなく、患者様の生活の質を向上させることが可能です。木村歯科医院では、患者様一人一人の状況に合わせた治療計画を立て、最適な結果を追求しています。
例えば、歯周病の治療を行い、その後インプラントや矯正治療を組み合わせることで、機能的で美しい歯並びと噛み合わせを実現することができます。補綴治療では、失った歯を補うためにインプラントを使用したり、セラミックや義歯を使って、見た目と機能を両立させることが可能です。
総合治療の大きな特徴は、患者様の口腔全体を一つのシステムとして捉え、最適な治療を複数の分野で連携して行う点にあります。歯周病治療で歯茎の健康を整えた後、インプラントや矯正治療で噛み合わせを改善し、最終的に美しい補綴物を装着することで、長期的に維持可能な口腔健康を手に入れることができます。
このように、総合的な治療により、歯の機能や見た目だけでなく、患者様の生活の質を向上させることが可能です。木村歯科医院では、患者様一人一人の状況に合わせた治療計画を立て、最適な結果を追求しています。
自由診療のリスク・副作用、その他
自由診療について
患者様のさまざまなニーズに応えるために自由診療を提供しております。しかし、自由診療には健康保険適用外の治療が含まれるため、以
下の点にご注意ください。
【リスクについて】
自由診療には、保険適用治療に比べて高度かつ専門的な治療が含まれる場合があります。これらの治療はより高い技術を要求されるため、
一般的な治療よりもリスクが高まる可能性があります。
【副作用について】
すべての医療行為には副作用のリスクが伴います。自由診療の場合、使用する材料や治療方法が特殊な場合があるため、通常の治療と
は異なる副作用が発生する可能性があります。
【費用について】
自由診療は健康保険の適用外であるため、保険診療と比較して高額になることがあります。治療前には必ず費用の詳細について説明を行
い、ご同意をいただいてから治療を開始します。
【治療の選択について】
患者様の健康状態や希望に合わせて、最適な治療計画を提案します。自由診療は選択肢の一つであり、必ずしもすべての患者様に適して
いるわけではありません。
【その他の注意事項】
治療後のフォローアップやメンテナンスについても、自由診療の範囲内で行うことがあります。これには追加の費用が発生する場合がありま
す。
患者様一人ひとりに合った治療を心がけております。自由診療を含むすべての治療オプションについて、十分な説明とともに、患者様のご
理解とご同意を得ることを重視しています。ご不明な点やご心配なことがございましたら、遠慮なくご相談ください。
患者様のさまざまなニーズに応えるために自由診療を提供しております。しかし、自由診療には健康保険適用外の治療が含まれるため、以
下の点にご注意ください。
【リスクについて】
自由診療には、保険適用治療に比べて高度かつ専門的な治療が含まれる場合があります。これらの治療はより高い技術を要求されるため、
一般的な治療よりもリスクが高まる可能性があります。
【副作用について】
すべての医療行為には副作用のリスクが伴います。自由診療の場合、使用する材料や治療方法が特殊な場合があるため、通常の治療と
は異なる副作用が発生する可能性があります。
【費用について】
自由診療は健康保険の適用外であるため、保険診療と比較して高額になることがあります。治療前には必ず費用の詳細について説明を行
い、ご同意をいただいてから治療を開始します。
【治療の選択について】
患者様の健康状態や希望に合わせて、最適な治療計画を提案します。自由診療は選択肢の一つであり、必ずしもすべての患者様に適して
いるわけではありません。
【その他の注意事項】
治療後のフォローアップやメンテナンスについても、自由診療の範囲内で行うことがあります。これには追加の費用が発生する場合がありま
す。
患者様一人ひとりに合った治療を心がけております。自由診療を含むすべての治療オプションについて、十分な説明とともに、患者様のご
理解とご同意を得ることを重視しています。ご不明な点やご心配なことがございましたら、遠慮なくご相談ください。
この医院の口コミはまだありません
受付時間
診療時間 | 日 | 月 | 火 | 水 | 木 | 金 | 土 |
---|---|---|---|---|---|---|---|
09:00 ~ 12:30 | |||||||
14:00 ~ 18:30 | |||||||
14:00 ~ 18:00 |
休診日:木曜・日曜・祝日
アクセスマップ
基本情報
医院名 | 木村歯科医院 |
所在地 | 〒366-0824 埼玉県 深谷市 西島町2-18-15 |
最寄駅 | 深谷駅 北口 徒歩3分 |
診療内容 | 歯冠修復、欠損補綴 / 根管治療 / 歯周病治療 / 予防治療 / 小児歯科 / 矯正歯科 / 口腔外科治療 / 有床義歯 / インプラント治療 |
医院ID | 46540 |