brand
サイトの特徴・使い方 閲覧履歴 会員登録 ログイン
トップ  -  埼玉県  -  さいたま市大宮区  -  大竹歯科クリニック
口コミを投稿
Teech(ティーチ)を見たとお伝えください
048-644-9922

大竹歯科クリニック

得意治療: 歯周病治療
所在地
埼玉県 さいたま市大宮区 桜木町2-297 桜ビル2F
最寄駅
大宮駅 西口 徒歩8分
【大宮駅西口より徒歩8分】【日本臨床歯周病学会認定医・日本保存学会専門医 在籍】プレミアムな歯科治療を提供する大竹歯科クリニック
①待合室②受付③診療室
①待合室②受付③診療室
①待合室②受付③診療室
出典:大竹歯科クリニック
①待合室②受付③診療室
大竹歯科クリニックは、大宮駅西口より徒歩8分の位置にある歯科医院です。1997年の開業以来、良質な歯科医療を目指し地域の皆様と共に歩んできました。当クリニックでは、患者様の健康を第一に考え、『プレミアム歯科治療』を提供しています。

歯周組織の長期的な健康と安定化を図る歯周病再生療法を基盤に治療を行っています。自然な美しさと高い適合精度を追求した超精密・審美治療を組み合わせることで、理想的な噛み合わせの実現を目指しています。必要に応じてインプラント治療も緻密に取り入れ、総合的な口腔ケアを行っています。

大竹敦院長はより良い歯科治療を提供するため、国内外で多くの研修を重ね、日々自己研鑽に励んでいます。日本臨床歯周病学会認定医としての資格を持ち、日本歯周病学会やアメリカ歯周病学会にも所属しています。

大竹歯科クリニックの目標は、単に虫歯を治療するだけでなく歯科治療を通じて患者様の全身の健康に貢献することです。歯の大切さを丁寧に説明し、一人ひとりに最適な治療計画を立てています。患者様が体の芯から真に健康になることを願い、日々の診療に取り組んでいます。
歯周病治療のこだわりポイント
他医院で抜歯と診断されても諦めないで下さい 他医院で抜歯と診断されても諦めないで下さい
大竹歯科クリニックは、患者様の大切な歯を守るために最先端の歯科医療を提供し続けています。歯周病専門外来では歯周病認定医による安心の治療を行っており、軽度から重度まで幅広い症例に対応しています。

最新の医療機器を駆使した精密な診断が可能です。高精度X線CT撮影装置を用いることで、従来の2次元X線写真では困難だった骨吸収状態の詳細な把握が可能となりました。歯を抜かずに守るための最適な治療法を提案できます。

治療においては、2000年からいち早く導入したエムドゲインによる歯周組織再生療法が注目されています。この画期的な治療法は、患者様の負担を軽減しつつ細胞レベルでの組織再生を促進します。さらに2014年からはPRGF(骨再生治療)を取り入れ、治療期間の短縮と高い効果を実現しています。

大竹歯科クリニックは常に最新の技術を取り入れながら、患者様一人ひとりに寄り添った丁寧な治療を心がけています。埼玉県内で歯周病にお悩みの方々に、希望と安心を提供する歯科医療を実践しています。
医院としての理念・方針
大竹歯科クリニックの歯科医師で、日本保存学会専門医の大竹 開です 大竹歯科クリニックの歯科医師で、日本保存学会専門医の大竹 開です
大竹歯科クリニックは『プレミアム歯科治療』を提供しております。これは歯の重要性を深く理解し、全身の健康に直結するという考えに基づいています。単に虫歯を治すだけでなく、歯周組織の健康維持や再生にも力を入れています。

治療方針として、再治療が不要な長持ちする施術や、歯を極力削らない方法を採用しています。理想的な噛み合わせの実現と、自然な美しさの追求にも注力しています。これらの要素を組み合わせることで、患者様の身体全体の健康増進を目指しています。

大竹歯科クリニックは、自分が受けたい治療を患者様にも提供するという理念のもと、高度な技術と丁寧な説明を心がけています。保険診療では対応できない場合もありますが、それは最高品質の治療を維持するためです。患者様一人ひとりに合わせたオーダーメイドの治療を通じて、口腔の健康と全身の健康の両立を目指しています。
院長について
院長の大竹 敦
院長の大竹 敦
▽略歴
1984年
筑波大学 第2学群 農林学類 生物応用科学系 卒業
1990年
日本大学 歯科部 卒業
1991年
一ツ橋歯科クリニック 勤務
鈴木 尚先生に師事。欠損歯列・症例への対応を学ぶ。
包括歯科医療研究会に所属
1997年9月
大竹歯科クリニック開設
最先端技術が支える根管治療:大竹歯科クリニックの取り組み
歯科用CTやマイクロスコープを用いての治療もできます 歯科用CTやマイクロスコープを用いての治療もできます
大竹歯科クリニックでは、患者様の歯を可能な限り残すことを目指し、高度な根管治療を提供しています。根管治療は虫歯や歯根の病気で神経を取った際に必要不可欠な処置です。

最新の医療機器を駆使した精密な診断と治療を行っております。歯科用CTを用いた三次元診断により、歯根の形態や根管の数、破折の有無などを詳細に把握します。さらにマイクロスコープを使用することで最大12.5倍まで拡大した視野で治療を行い、精度を格段に向上させています。

また高弾性Ni-Tiファイルの使用により、湾曲した歯根にも対応可能です。ラバーダムを用いて唾液からの細菌感染を防ぎ、再治療のリスクを低減しています。保険外治療ではMTAセメントを使用し、可能な限り歯の神経を残す治療を行っています。これにより歯の寿命を延ばし、患者様の口腔の健康を長期的に維持することが可能となります。

大竹歯科クリニックはこうした先進的な技術と丁寧な説明を通じて、患者様の不安を解消し信頼できる歯科治療を提供しています。
最先端技術が支える安全で確実なインプラント治療
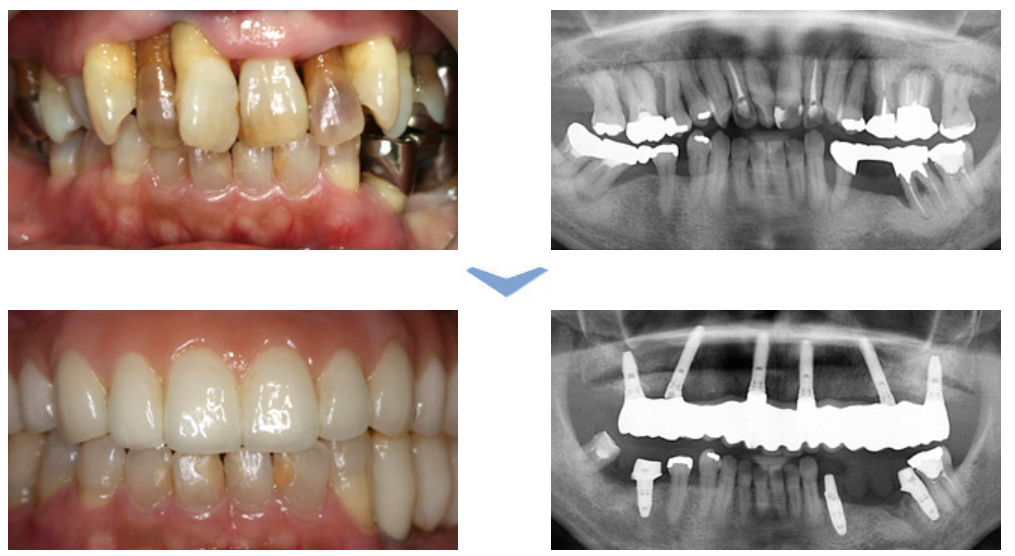
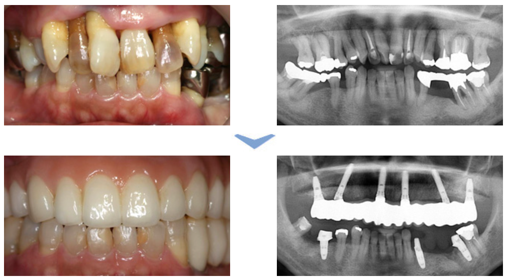
実際に施術した患者様の一例です 実際に施術した患者様の一例です
大竹歯科クリニックでは、最新の技術を駆使した安全で確実なインプラント治療を提供しています。特に注目すべきは、光機能化処理を施したインプラントの使用です。

この革新的な技術はチタンエイジング現象を克服し、インプラントの性能を最大限に引き出します。特定波長の紫外線照射により、インプラント表面の生体親和性が回復し、骨細胞の成長・分化速度が3倍に加速されます。

その結果従来50%程度だった骨接触率が98%以上に向上し、治療期間の短縮とインプラント生存率の大幅な改善が実現しました。また高精度X線CT撮影装置の導入により、より精密な診断と安全な治療が可能となりました。

大竹歯科クリニックのインプラント治療は詳細な診断から手術、そしてメンテナンスまで、一貫した丁寧なケアを提供します。患者様の口腔の健康と機能回復を最優先に考え、最新の技術と豊富な経験を活かした治療を行っています。
噛み合わせと顎関節症:健康な口腔機能を目指す
下顎のずれは全身の不調に繋がります 下顎のずれは全身の不調に繋がります
大竹歯科クリニックでは、噛み合わせと顎関節症に関する専門的な治療を提供しています。噛み合わせは姿勢や全身の健康に大きな影響を与えるため、適切な治療が重要です。

顎関節症は、口の開閉時に違和感や痛みを感じる症状の総称です。具体的には顎がカクカクと音を立てる、スムーズに開閉できない、痛みで口が開けられないなどの症状が挙げられます。また頭痛や肩こり、腰痛といった全身症状を伴うこともあります。

従来、顎関節症の原因は顎関節自体の位置や形態に起因すると考えられてきました。しかし最新の見解では、身体全体の歪みが下顎の位置に影響を与えていることが分かっています。この新しい知見に基づいた治療アプローチを採用しています。

噛み合わせの改善には、単に歯同士の接触を見るだけでなく顎の骨(下顎)の動きに注目することが重要です。理想的な噛み合わせとは、顎の運動(筋肉・関節)と歯の接触が調和している状態を指します。

大竹歯科クリニックでは、最新の治療法であるボディ・バランス・コントロールの理念を取り入れています。下顎のずれが身体全体の歪みを引き起こすという考えに基づき、顎関節症の症状改善だけでなく全身の不快症状の緩和も期待できます。
審美歯科治療の最前線:メタルフリーオールセラミックス治療
安心・安全の診療スペースを整えていきます 安心・安全の診療スペースを整えていきます
大竹歯科クリニックでは、最新の技術と機器を駆使した精密審美治療を提供しています。従来の歯科治療とは一線を画す、高度な精度と美しさを追求した治療が特徴です。CEREC ACシステムを導入しており、コンピューターによる設計と高品位セラミックスブロックの削り出しにより、短時間で高精度な修復物を作製します。従来の金属製の被せ物と比べ審美性に優れ、プラークが付着しにくいという利点があります。

治療の流れは診査・診断から始まり、基礎治療、精密形成、そして修復物の設計・製作へと進みます。口腔内のデジタルスキャンにより、従来の型取りが不要となり患者様の負担が軽減されます。

またCarl Zeiss社製の手術用マイクロスコープを使用することで、5〜20倍の高倍率での治療が可能となります。これによりより精密で低侵襲な治療を実現しています。

大竹歯科クリニックは最新の技術と機器を活用し、患者様一人ひとりに合わせた精密で美しい歯科治療を提供しています。定期的なフォローアップにより、長期的な口腔の健康維持もサポートしています。
自由診療のリスク・副作用、その他
自由診療について
患者様のさまざまなニーズに応えるために自由診療を提供しております。しかし、自由診療には健康保険適用外の治療が含まれるため、以下の点にご注意ください。

【リスクについて】
自由診療には、保険適用治療に比べて高度かつ専門的な治療が含まれる場合があります。これらの治療はより高い技術を要求されるため、一般的な治療よりもリスクが高まる可能性があります。

【副作用について】
すべての医療行為には副作用のリスクが伴います。自由診療の場合、使用する材料や治療方法が特殊な場合があるため、通常の治療とは異なる副作用が発生する可能性があります。

【費用について】
自由診療は健康保険の適用外であるため、保険診療と比較して高額になることがあります。治療前には必ず費用の詳細について説明を行い、ご同意をいただいてから治療を開始します。

【治療の選択について】
患者様の健康状態や希望に合わせて、最適な治療計画を提案します。自由診療は選択肢の一つであり、必ずしもすべての患者様に適しているわけではありません。

【その他の注意事項】
治療後のフォローアップやメンテナンスについても、自由診療の範囲内で行うことがあります。これには追加の費用が発生する場合があります。
患者様一人ひとりに合った治療を心がけております。自由診療を含むすべての治療オプションについて、十分な説明とともに、患者様のご理解とご同意を得ることを重視しています。ご不明な点やご心配なことがございましたら、遠慮なくご相談ください。
この医院の口コミはまだありません
受付時間
診療時間
09:30 ~ 13:00
14:30 ~ 19:00
14:30 ~ 17:00
休診日:日曜・祝日
アクセスマップ
基本情報
医院名 大竹歯科クリニック
所在地 〒330-0854 埼玉県 さいたま市大宮区 桜木町2-297 桜ビル2F
最寄駅 大宮駅 西口 徒歩8分
診療内容 歯冠修復、欠損補綴 / 根管治療 / 歯周病治療 / 予防治療 / 矯正歯科 / 口腔外科治療 / インプラント治療 / 咬み合わせ治療 / 顎関節症治療
医院ID 44874
048-644-9922
Teech(ティーチ)を見たとお伝えください
Feature Teechの特徴
1

あなたの「今の症状に合った」歯科医院が探せます

icons

歯科医院が広告掲載する際、得意な治療1つのみを選択し広告しています。これにより2つのメリットが得られます。

①あなたの今の症状に合った治療を1番得意とする歯科医院のみ検索できます。

②表示される歯科医院の数が絞られるため、今の症状に合った歯科医院を効率よく検索できます。

2

その歯科医院で「本当に治療した患者さんの口コミ」を掲載

icons

歯科検索サイトには、その歯科医院で治療を受けていない方の口コミが散見されますが、Teechへの口コミ投稿には、領収書の添付を必須としているため、本当にその歯科医院で治療した患者さんの口コミが掲載されています。また、口コミ点数・件数によって検索結果が上下しないため(標準検索した場合)、サクラの口コミ投稿の誘因を減らしています。

3

「プロが選ぶプロ」の歯科医院を探せます

icons

掲載している医院に3医院(自医院を除く)までオススメできる機能を付与することで、プロが選ぶプロの歯科医院を探せます。

4

「先生の人柄」が分かるご挨拶動画を設置

icons

外からは見えにくい歯科医院ですが、事前に先生の人柄が伝わるように、院長のご挨拶動画を掲載しております。