【東船橋駅 北口から徒歩5分】【土日も21:00まで診療】【日本歯科審美学会所属】幅広い補綴治療と審美歯科に注力し家族で通える さの歯科
さの歯科は、JR東船橋駅北口から徒歩5分の場所にあり、土日も含めて夜21時まで診療している歯科医院です。平日は水曜から日曜まで診療しており、月曜・火曜・祝日は休診日です。平日のお仕事帰りや週末しか通院が難しい患者様にも配慮した診療体制が整っておりますので、ライフスタイルに合わせた通院が可能です。
診療内容は一般歯科をはじめ、審美歯科や欠損補綴治療に力を入れており、特にセラミックやジルコニアによる補綴治療では、院長が審美歯科専門のクリニックで培った経験を活かし、美しさと機能性を追求した治療が行われています。また、顎関節症や咬み合わせに対するプレート療法やナイトガードの提案も特徴のひとつです。
さらに、小児歯科では予防処置を中心に対応し、キッズスペースも設置されているため、お子様連れの方も安心してご来院ください。院内では患者様の声に丁寧に耳を傾け、納得できる治療を提供することを心がけています。
診療内容は一般歯科をはじめ、審美歯科や欠損補綴治療に力を入れており、特にセラミックやジルコニアによる補綴治療では、院長が審美歯科専門のクリニックで培った経験を活かし、美しさと機能性を追求した治療が行われています。また、顎関節症や咬み合わせに対するプレート療法やナイトガードの提案も特徴のひとつです。
さらに、小児歯科では予防処置を中心に対応し、キッズスペースも設置されているため、お子様連れの方も安心してご来院ください。院内では患者様の声に丁寧に耳を傾け、納得できる治療を提供することを心がけています。
歯冠修復、欠損補綴のこだわりポイント

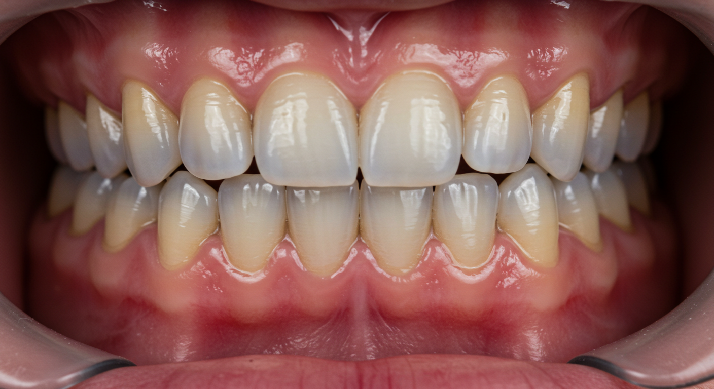
さの歯科が得意とするのは、「歯冠修復・欠損補綴」です。歯冠修復とは、むし歯や破折などで損傷した歯を元の形と機能に戻す治療であり、欠損補綴は歯を失った部分を人工の歯で補う治療を指します。特にさの歯科では、見た目の自然さと耐久性の両立にこだわり、患者様の希望に沿った多様な選択肢を用意しています。
セラミックやジルコニアといった素材を使用した詰め物・被せ物に加え、ブリッジや入れ歯などの補綴治療も幅広く対応しています。これらの治療では、それぞれの素材の特性を活かしながら、患者様の口腔内の状態や生活スタイルに合った方法を提案しています。また、白くて自然な見た目を重視する患者様には、金属を一切使わないオールセラミックや、金属アレルギーにも配慮されたスマイルデンチャーの選択肢もあります。
ブリッジ治療においては、土台となる歯の状態に合わせた慎重な診断が行われており、無理な治療を避ける配慮もなされています。補綴治療を成功させるためには、審美性だけでなく機能性も大切です。そのため、さの歯科では素材の選定から装着後の調整まで、丁寧な対応が行われています。
歯を失ったことで食事や見た目に悩む方も、安心してご相談ください。自然な見た目と快適なかみ心地を取り戻すお手伝いをいたします。
セラミックやジルコニアといった素材を使用した詰め物・被せ物に加え、ブリッジや入れ歯などの補綴治療も幅広く対応しています。これらの治療では、それぞれの素材の特性を活かしながら、患者様の口腔内の状態や生活スタイルに合った方法を提案しています。また、白くて自然な見た目を重視する患者様には、金属を一切使わないオールセラミックや、金属アレルギーにも配慮されたスマイルデンチャーの選択肢もあります。
ブリッジ治療においては、土台となる歯の状態に合わせた慎重な診断が行われており、無理な治療を避ける配慮もなされています。補綴治療を成功させるためには、審美性だけでなく機能性も大切です。そのため、さの歯科では素材の選定から装着後の調整まで、丁寧な対応が行われています。
歯を失ったことで食事や見た目に悩む方も、安心してご相談ください。自然な見た目と快適なかみ心地を取り戻すお手伝いをいたします。
医院としての理念・方針

さの歯科では、地域の患者様が安心して通える歯科医院を目指し、お子様からご高齢の方まで、それぞれの年代やライフステージに合った治療を提案しています。治療のスタートはお口の中を見ることではなく、まずお悩みやご希望を丁寧に伺うことから始めており、対話を重視した診療を大切にしています。また、診療にあたっては妥協を許さず、見えにくい部分にまでこだわる姿勢を貫いています。歯科用ルーペを活用し、細部まで精密に診ることで、より質の高い治療を提供しています。地元・船橋で生まれ育った院長が、地域への感謝を胸に、医療を通じて社会貢献したいという思いで取り組んでいることも理念のひとつです。誠実な姿勢で、患者様一人ひとりと向き合うことを大切にしている歯科医院です。
院長について
▽略歴
米国留学
大学院卒業
東京医科歯科大学 勤務(母校)
都内歯科クリニック 勤務
2015年12月「さの歯科」開院(旧・渡辺歯科医院の1階にて)
米国留学
大学院卒業
東京医科歯科大学 勤務(母校)
都内歯科クリニック 勤務
2015年12月「さの歯科」開院(旧・渡辺歯科医院の1階にて)
むし歯治療:早期発見と丁寧な処置で歯を守る

むし歯は初期段階では痛みが少なく、自覚症状が出にくいため、気づかないうちに進行してしまうことがあります。特に小さな黒ずみや違和感を放置すると、歯の神経にまで進行し、抜歯や神経の治療が必要になることもあるため、早期の対応が重要です。
むし歯治療は、進行度に応じて適切な処置を行います。初期のむし歯であれば、最小限の範囲で歯を削り、白い詰め物を使って修復します。中等度以上のむし歯になると、削った部分に合わせて型を取り、セラミックやレジンなどの詰め物や被せ物で補います。さらに進行して神経に達した場合には、神経を取り除く「根管治療」と呼ばれる処置が必要となります。
治療を行う際は、見た目や噛み心地の自然さにも配慮し、使用する素材の選択肢を丁寧にご説明いたします。また、治療後の再発を防ぐために、日常のケア方法や通院のタイミングについても患者様に合わせたご提案を行います。治療後も定期的なチェックと適切なケアを継続することで、大切な歯を長く守ることにつながります。
むし歯治療は、進行度に応じて適切な処置を行います。初期のむし歯であれば、最小限の範囲で歯を削り、白い詰め物を使って修復します。中等度以上のむし歯になると、削った部分に合わせて型を取り、セラミックやレジンなどの詰め物や被せ物で補います。さらに進行して神経に達した場合には、神経を取り除く「根管治療」と呼ばれる処置が必要となります。
治療を行う際は、見た目や噛み心地の自然さにも配慮し、使用する素材の選択肢を丁寧にご説明いたします。また、治療後の再発を防ぐために、日常のケア方法や通院のタイミングについても患者様に合わせたご提案を行います。治療後も定期的なチェックと適切なケアを継続することで、大切な歯を長く守ることにつながります。
歯周病の早期発見と予防が健康への第一歩

歯周病は、歯ぐきや歯を支える骨に炎症を起こす病気で、自覚症状が乏しいまま進行するのが特徴です。初期段階では歯ぐきの腫れや出血といった軽い症状でとどまりますが、悪化すると歯を支える骨が溶け、最終的には歯が抜け落ちる原因にもなります。日々のブラッシングでは取りきれない歯石や汚れが蓄積し、細菌が増えることで発症します。
この病気は、重症化するまで気づかれにくいため、定期的なチェックと早期の処置が非常に重要です。歯ぐきから出血する、口臭が気になる、歯が揺れるといった症状に気づいた場合は、早めの受診をおすすめします。治療では、歯にこびりついた歯石やプラークを取り除き、歯ぐきの炎症を抑えることから始めます。加えて、日常生活でのブラッシング指導も行い、再発を防ぐためのサポートも欠かしません。
歯周病は、口腔内の問題にとどまらず、糖尿病や心疾患など全身の健康にも関わることが指摘されています。健康な毎日を守るためにも、予防と早期対応を心がけてください。
この病気は、重症化するまで気づかれにくいため、定期的なチェックと早期の処置が非常に重要です。歯ぐきから出血する、口臭が気になる、歯が揺れるといった症状に気づいた場合は、早めの受診をおすすめします。治療では、歯にこびりついた歯石やプラークを取り除き、歯ぐきの炎症を抑えることから始めます。加えて、日常生活でのブラッシング指導も行い、再発を防ぐためのサポートも欠かしません。
歯周病は、口腔内の問題にとどまらず、糖尿病や心疾患など全身の健康にも関わることが指摘されています。健康な毎日を守るためにも、予防と早期対応を心がけてください。
小児歯科:お子様の成長に寄り添う歯の健康管理

小児歯科は、乳幼児期から永久歯が生え揃う学童期までのお子様を対象とした診療科目です。主にむし歯の治療や予防処置を行うほか、歯並びや噛み合わせの状態を確認し、必要に応じた指導や治療を行います。特に乳歯と永久歯が混在する時期は、歯のトラブルが起こりやすいため、定期的な通院が大切です。
公式サイトでは、現在むし歯治療や抜歯といった処置は一部制限されており、クリーニングやフッ素塗布など予防を中心とした対応となっています。ただし、お子様の健やかな成長を歯科医療の面から支えるという考えは変わらず、お母様と一緒に丈夫で美しい歯を育てていく姿勢が示されています。
お子様が歯科治療に対して不安を感じないよう、優しく丁寧な対応を心がけることが重要です。また、定期的なフッ素塗布や歯みがき指導を通じて、将来のむし歯リスクを減らすことができます。成長に応じた口腔ケアを行い、お子様の笑顔を守るためにも、早めの受診と継続的なサポートが大切です。
公式サイトでは、現在むし歯治療や抜歯といった処置は一部制限されており、クリーニングやフッ素塗布など予防を中心とした対応となっています。ただし、お子様の健やかな成長を歯科医療の面から支えるという考えは変わらず、お母様と一緒に丈夫で美しい歯を育てていく姿勢が示されています。
お子様が歯科治療に対して不安を感じないよう、優しく丁寧な対応を心がけることが重要です。また、定期的なフッ素塗布や歯みがき指導を通じて、将来のむし歯リスクを減らすことができます。成長に応じた口腔ケアを行い、お子様の笑顔を守るためにも、早めの受診と継続的なサポートが大切です。
親知らずや顎の痛みに対応する口腔外科治療

口腔外科は、むし歯や歯周病といった一般的な歯科治療では扱えない、お口まわりの外科的処置を行う分野です。具体的には、親知らずの抜歯、顎関節症の治療、外傷による歯の破折や脱臼、炎症、腫瘍、嚢胞(のうほう)などの診断と治療が含まれます。特に親知らずの抜歯は、前の歯に悪影響を与えるリスクや、磨き残しによる炎症を防ぐためにも、適切な判断と処置が求められます。
また、顎関節症の症状としては、口の開けづらさや顎の痛み、カクカクという音などがあり、放置しておくと生活の質に大きく影響する場合もあります。口腔外科では、こうした症状に対し、マウスピースの使用や噛み合わせの調整などを行い、負担の少ない治療を目指します。
さらに、万が一の事故や転倒によって歯が折れたり抜けたりした場合にも、応急処置とその後の対応が非常に重要です。口腔内のトラブルは放置すると悪化することがあるため、違和感を覚えた際は、早めに専門的な診断を受けてください。患者様の症状に応じた的確な判断と丁寧な説明を心がけています。
また、顎関節症の症状としては、口の開けづらさや顎の痛み、カクカクという音などがあり、放置しておくと生活の質に大きく影響する場合もあります。口腔外科では、こうした症状に対し、マウスピースの使用や噛み合わせの調整などを行い、負担の少ない治療を目指します。
さらに、万が一の事故や転倒によって歯が折れたり抜けたりした場合にも、応急処置とその後の対応が非常に重要です。口腔内のトラブルは放置すると悪化することがあるため、違和感を覚えた際は、早めに専門的な診断を受けてください。患者様の症状に応じた的確な判断と丁寧な説明を心がけています。
自由診療のリスク・副作用、その他
自由診療について
患者様のさまざまなニーズに応えるために自由診療を提供しております。しかし、自由診療には健康保険適用外の治療が含まれるため、以下の点にご注意ください。
【リスクについて】
自由診療には、保険適用治療に比べて高度かつ専門的な治療が含まれる場合があります。これらの治療はより高い技術を要求されるため、一般的な治療よりもリスクが高まる可能性があります。
【副作用について】
すべての医療行為には副作用のリスクが伴います。自由診療の場合、使用する材料や治療方法が特殊な場合があるため、通常の治療とは異なる副作用が発生する可能性があります。
【費用について】
自由診療は健康保険の適用外であるため、保険診療と比較して高額になることがあります。治療前には必ず費用の詳細について説明を行い、ご同意をいただいてから治療を開始します。
【治療の選択について】
患者様の健康状態や希望に合わせて、最適な治療計画を提案します。自由診療は選択肢の一つであり、必ずしもすべての患者様に適しているわけではありません。
【その他の注意事項】
治療後のフォローアップやメンテナンスについても、自由診療の範囲内で行うことがあります。これには追加の費用が発生する場合があります。
患者様一人ひとりに合った治療を心がけております。自由診療を含むすべての治療オプションについて、十分な説明とともに、患者様のご理解とご同意を得ることを重視しています。ご不明な点やご心配なことがございましたら、遠慮なくご相談ください。
患者様のさまざまなニーズに応えるために自由診療を提供しております。しかし、自由診療には健康保険適用外の治療が含まれるため、以下の点にご注意ください。
【リスクについて】
自由診療には、保険適用治療に比べて高度かつ専門的な治療が含まれる場合があります。これらの治療はより高い技術を要求されるため、一般的な治療よりもリスクが高まる可能性があります。
【副作用について】
すべての医療行為には副作用のリスクが伴います。自由診療の場合、使用する材料や治療方法が特殊な場合があるため、通常の治療とは異なる副作用が発生する可能性があります。
【費用について】
自由診療は健康保険の適用外であるため、保険診療と比較して高額になることがあります。治療前には必ず費用の詳細について説明を行い、ご同意をいただいてから治療を開始します。
【治療の選択について】
患者様の健康状態や希望に合わせて、最適な治療計画を提案します。自由診療は選択肢の一つであり、必ずしもすべての患者様に適しているわけではありません。
【その他の注意事項】
治療後のフォローアップやメンテナンスについても、自由診療の範囲内で行うことがあります。これには追加の費用が発生する場合があります。
患者様一人ひとりに合った治療を心がけております。自由診療を含むすべての治療オプションについて、十分な説明とともに、患者様のご理解とご同意を得ることを重視しています。ご不明な点やご心配なことがございましたら、遠慮なくご相談ください。
この医院の口コミはまだありません
受付時間
診療時間 | 日 | 月 | 火 | 水 | 木 | 金 | 土 |
---|---|---|---|---|---|---|---|
11:00 ~ 13:00 | |||||||
15:00 ~ 21:00 |
休診日:月曜・火曜・祝日
※現在休診中
アクセスマップ
基本情報
医院名 | さの歯科 |
所在地 | 〒273-0002 千葉県 船橋市 東船橋3-35-23 佐野ビル1階 |
最寄駅 | 東船橋駅北口より徒歩5分 |
診療内容 | 歯冠修復、欠損補綴 / 根管治療 / 歯周病治療 / 予防治療 / 小児歯科 / 矯正歯科 / 口腔外科治療 / 有床義歯 / インプラント治療 / 咬み合わせ治療 / 顎関節症治療 |
医院ID | 41264 |