【土曜日診療対応】【伊勢原駅徒歩15分】歯並びに関するお悩みを解消するため、患者様一人ひとりに合わせた丁寧で専門的な治療を提供する「新倉矯正歯科」
新倉矯正歯科では、歯並びに関するお悩みを解消するため、患者様一人ひとりに合わせた丁寧で専門的な治療を提供しています。多くの方が歯並びを整えることで外観を美しくしたいと考えますが、実はそれと同じくらい大切なのは、歯と歯の周りを健康に保つための良い噛み合わせを作ることです。良い噛み合わせを持っていることは、食事が快適にできるだけでなく、顎や歯の健康を守るためにも重要です。
また、噛み合わせがしっかりしていることで、将来的に歯や顎に負担がかかりにくくなり、長期的に見ても健康的な口腔状態を維持することができます。良く噛める歯と顎を持っていることは、長寿社会において非常に大きな幸せであり、それを支えるのが矯正治療です。
新倉矯正歯科では、良い噛み合わせを作ることに焦点を当てた矯正治療を専門に行っています。矯正治療は一度に結果が出るものではなく、長期的な治療が必要となることがありますが、だからこそ、一人ひとりの患者様に寄り添い、責任を持って治療を進めていきます。地域に密着した診療を心がけ、自宅での開業にこだわっているため、患者様が通いやすく、安心して治療を受けられる環境を整えています。
また、新倉矯正歯科は土曜日も診療を行っており、平日が忙しい方々にとっても通院しやすいよう配慮しています。お仕事や学校などで平日が忙しい方でも、週末に合わせて通院できるため、治療を受ける時間を確保しやすくなっています。
歯並びや噛み合わせに関してお悩みの方は、ぜひ新倉矯正歯科にご相談ください。患者様のご要望にしっかりお応えできるよう、これからも丁寧な診療を続けてまいります。
また、噛み合わせがしっかりしていることで、将来的に歯や顎に負担がかかりにくくなり、長期的に見ても健康的な口腔状態を維持することができます。良く噛める歯と顎を持っていることは、長寿社会において非常に大きな幸せであり、それを支えるのが矯正治療です。
新倉矯正歯科では、良い噛み合わせを作ることに焦点を当てた矯正治療を専門に行っています。矯正治療は一度に結果が出るものではなく、長期的な治療が必要となることがありますが、だからこそ、一人ひとりの患者様に寄り添い、責任を持って治療を進めていきます。地域に密着した診療を心がけ、自宅での開業にこだわっているため、患者様が通いやすく、安心して治療を受けられる環境を整えています。
また、新倉矯正歯科は土曜日も診療を行っており、平日が忙しい方々にとっても通院しやすいよう配慮しています。お仕事や学校などで平日が忙しい方でも、週末に合わせて通院できるため、治療を受ける時間を確保しやすくなっています。
歯並びや噛み合わせに関してお悩みの方は、ぜひ新倉矯正歯科にご相談ください。患者様のご要望にしっかりお応えできるよう、これからも丁寧な診療を続けてまいります。
矯正歯科のこだわりポイント

新倉歯科医院では、矯正歯科を専門に、患者様一人ひとりの歯並びや噛み合わせの改善に取り組んでいます。新倉矯正歯科は1954年に開院し、今年で70年目を迎えました。現院長は2代目であり、45年間の経験を持つ矯正歯科専門医として、これまで数多くの患者様の歯並び改善をサポートしてきました。
矯正治療の目的は、単に見た目の美しさを追求することだけではありません。良い歯並びを作ることで、歯と歯茎、さらには顎の健康を保つことができます。正しい噛み合わせを実現することで、食事や会話の際に快適さを提供し、長期的に健康な口腔環境を維持することができます。特に矯正治療は、成長期に行うことで、顎の骨の発達を助け、より効果的な結果が期待できますが、大人になってからでも矯正治療は可能です。
新倉矯正歯科では、患者様との信頼関係を大切にし、治療期間中はもちろん、治療後のアフターケアも重視しています。治療後も定期的なフォローアップを行い、歯並びが安定した状態を維持できるようサポートしています。また、矯正治療の経験が豊富な院長が、患者様の状態に応じた最適な治療計画を立て、納得のいく治療を提供しています。
新倉歯科医院は、地域に密着した診療を行い、自宅で開業しているため、急患にも対応可能です。治療を始める前には、患者様一人ひとりの不安や疑問にしっかりと向き合い、安心して治療を受けられるよう配慮しています。
矯正治療を考えている方、歯並びや噛み合わせに関して悩んでいる方は、ぜひ新倉歯科医院にご相談ください。長期的な視点で、患者様の健康と美しい歯並びをサポートいたします。
矯正治療の目的は、単に見た目の美しさを追求することだけではありません。良い歯並びを作ることで、歯と歯茎、さらには顎の健康を保つことができます。正しい噛み合わせを実現することで、食事や会話の際に快適さを提供し、長期的に健康な口腔環境を維持することができます。特に矯正治療は、成長期に行うことで、顎の骨の発達を助け、より効果的な結果が期待できますが、大人になってからでも矯正治療は可能です。
新倉矯正歯科では、患者様との信頼関係を大切にし、治療期間中はもちろん、治療後のアフターケアも重視しています。治療後も定期的なフォローアップを行い、歯並びが安定した状態を維持できるようサポートしています。また、矯正治療の経験が豊富な院長が、患者様の状態に応じた最適な治療計画を立て、納得のいく治療を提供しています。
新倉歯科医院は、地域に密着した診療を行い、自宅で開業しているため、急患にも対応可能です。治療を始める前には、患者様一人ひとりの不安や疑問にしっかりと向き合い、安心して治療を受けられるよう配慮しています。
矯正治療を考えている方、歯並びや噛み合わせに関して悩んでいる方は、ぜひ新倉歯科医院にご相談ください。長期的な視点で、患者様の健康と美しい歯並びをサポートいたします。
医院としての理念・方針

新倉歯科医院は、1954年(昭和29年)の開院から、地域に根ざした診療を70年間続けてまいりました。新倉矯正歯科の理念は、患者様との長いお付き合いを大切にし、信頼関係を築くことにあります。現院長は2代目で、矯正歯科を専門としており、45年間の経験を持つ矯正専門医として診療にあたっています。
新倉矯正歯科の矯正治療は、単なる治療を超えた生涯にわたるサポートを目指しています。例えば、学生時代に矯正治療を受けた患者様が、数年ぶりに親知らずのことや歯並びに関して再度相談に訪れることも珍しくありません。さらに、20年以上にわたって定期的に通院されている患者様もいらっしゃいます。これらは、新倉矯正歯科が大切にしている「患者様との長期的なお付き合い」の一端を表しています。
また、新倉矯正歯科は自宅で開業しており、地域密着型の診療を行っています。そのため、急患の対応も柔軟に行うことができ、患者様が困ったときにすぐに相談できる安心感を提供しています。責任を持った診療を通じて、患者様が健康で快適な生活を送れるようサポートしています。
新倉歯科医院では、矯正治療を通じて患者様の未来を見据えた健康づくりを支え、患者様との信頼を深めていきます。これからも地域の皆様に寄り添い、長いお付き合いを続けてまいります。
新倉矯正歯科の矯正治療は、単なる治療を超えた生涯にわたるサポートを目指しています。例えば、学生時代に矯正治療を受けた患者様が、数年ぶりに親知らずのことや歯並びに関して再度相談に訪れることも珍しくありません。さらに、20年以上にわたって定期的に通院されている患者様もいらっしゃいます。これらは、新倉矯正歯科が大切にしている「患者様との長期的なお付き合い」の一端を表しています。
また、新倉矯正歯科は自宅で開業しており、地域密着型の診療を行っています。そのため、急患の対応も柔軟に行うことができ、患者様が困ったときにすぐに相談できる安心感を提供しています。責任を持った診療を通じて、患者様が健康で快適な生活を送れるようサポートしています。
新倉歯科医院では、矯正治療を通じて患者様の未来を見据えた健康づくりを支え、患者様との信頼を深めていきます。これからも地域の皆様に寄り添い、長いお付き合いを続けてまいります。
院長について

▽略歴
1951年(昭和26年) 当地で生まれる
1969年(昭和44年) 平塚江南高校卒業
1975年(昭和50年) 東京歯科大学卒業
1979年(昭和54年) 東京歯科大学大学院博士課程修了(歯科矯正学専攻)
2021年(令和3年) 東海大学医学部非常勤講師(矯正歯科担当)退職
1951年(昭和26年) 当地で生まれる
1969年(昭和44年) 平塚江南高校卒業
1975年(昭和50年) 東京歯科大学卒業
1979年(昭和54年) 東京歯科大学大学院博士課程修了(歯科矯正学専攻)
2021年(令和3年) 東海大学医学部非常勤講師(矯正歯科担当)退職
乳歯と永久歯が混じり合う時期の混合歯列期の矯正治療

混合歯列期は、乳歯と永久歯が混じり合う時期で、通常6歳から12歳くらいの間に見られます。この時期は、歯が生え変わる過渡的な時期であり、噛み合わせに問題が生じることがよくあります。特に、前歯部反対咬合(受け口)、開咬(前歯が開いている状態)、臼歯部交叉咬合(奥歯の噛み合わせが逆になる状態)などの噛み合わせの問題が現れることがあり、これらは早期に治療を始めることで改善が見込まれます。
この時期に行う矯正治療は、成長期を活かした治療が可能であり、歯や顎の発育を促進するため、将来的に複雑な治療を避けることができます。治療には、取り外し可能な床型矯正装置や、ビムラー装置などの可撤式装置、さらに固定式のリンガルアーチ、上顎拡大装置などを使用することが一般的です。
また、顎の成長を誘導するために、ヘッドギアやチンキャップといった補助装置も使用されることがあります。これらの装置は、歯並びだけでなく顎の位置や成長にも働きかけ、噛み合わせの問題を解消するために重要な役割を果たします。
混合歯列期の矯正治療では、早期に問題を認識し、適切な治療を施すことで、将来的な歯並びのトラブルを防ぐことができます。この時期に行う治療は、成長のバランスを整えるため、治療後の維持管理もしやすく、患者様の健康な歯並びと顎の発達をサポートすることができます。
歯並びや噛み合わせにお悩みの方は、この時期を逃さず、早期に矯正治療を検討することが大切です。適切な治療を行うことで、将来の歯の健康と美しい笑顔を守ることができます。
この時期に行う矯正治療は、成長期を活かした治療が可能であり、歯や顎の発育を促進するため、将来的に複雑な治療を避けることができます。治療には、取り外し可能な床型矯正装置や、ビムラー装置などの可撤式装置、さらに固定式のリンガルアーチ、上顎拡大装置などを使用することが一般的です。
また、顎の成長を誘導するために、ヘッドギアやチンキャップといった補助装置も使用されることがあります。これらの装置は、歯並びだけでなく顎の位置や成長にも働きかけ、噛み合わせの問題を解消するために重要な役割を果たします。
混合歯列期の矯正治療では、早期に問題を認識し、適切な治療を施すことで、将来的な歯並びのトラブルを防ぐことができます。この時期に行う治療は、成長のバランスを整えるため、治療後の維持管理もしやすく、患者様の健康な歯並びと顎の発達をサポートすることができます。
歯並びや噛み合わせにお悩みの方は、この時期を逃さず、早期に矯正治療を検討することが大切です。適切な治療を行うことで、将来の歯の健康と美しい笑顔を守ることができます。
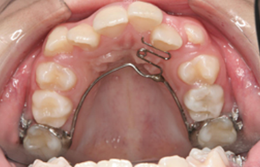
逆被蓋を改善する固定式リンガルアーチ矯正

固定式リンガルアーチ矯正は、主に噛み合わせの問題を改善するために使用される矯正装置の一つです。特に、逆被蓋(上の前歯が下の前歯に被さっている状態)を改善するために効果的です。逆被蓋があると、食事や発音に支障が出ることがありますが、固定式リンガルアーチを用いることで、歯の位置を正しい位置に誘導し、自然で健康的な噛み合わせを取り戻すことができます。
この装置は、歯の裏側に固定するため、外見上目立たず、矯正治療中の見た目を気にすることなく治療が進められます。固定式であるため、患者様が装置を外す手間がなく、治療を計画的に進めることができます。また、リンガルアーチは顎の成長をうまく誘導する効果があり、特に成長期の子どもや若年層に非常に有効です。
治療費用は、固定式リンガルアーチの装置料として、88,000円~110,000円(税込)となっており、治療の内容や期間により費用が異なる場合があります。治療を始める前にしっかりとカウンセリングを行い、患者様に合った治療計画と費用をご案内いたします。
逆被蓋や噛み合わせにお悩みの方は、固定式リンガルアーチ矯正を検討することで、快適な生活と美しい歯並びを手に入れることができます。
この装置は、歯の裏側に固定するため、外見上目立たず、矯正治療中の見た目を気にすることなく治療が進められます。固定式であるため、患者様が装置を外す手間がなく、治療を計画的に進めることができます。また、リンガルアーチは顎の成長をうまく誘導する効果があり、特に成長期の子どもや若年層に非常に有効です。
治療費用は、固定式リンガルアーチの装置料として、88,000円~110,000円(税込)となっており、治療の内容や期間により費用が異なる場合があります。治療を始める前にしっかりとカウンセリングを行い、患者様に合った治療計画と費用をご案内いたします。
逆被蓋や噛み合わせにお悩みの方は、固定式リンガルアーチ矯正を検討することで、快適な生活と美しい歯並びを手に入れることができます。
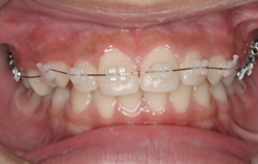
見た目の美しさと治療効果を兼ね備えたセラミックブラケット矯正

セラミックブラケット矯正は、見た目の美しさと治療効果を兼ね備えた矯正方法の一つです。特に部分矯正において効果的で、歯並びを整えたい部分に集中して治療を行うことができます。セラミック製のブラケットは、透明感のある素材で作られており、金属製のブラケットに比べて目立ちにくいため、矯正治療中の見た目を気にされる方に最適です。装置が歯に馴染みやすく、自然な仕上がりが得られるのが特徴です。
部分矯正では、特に気になる部分を矯正するため、治療の範囲を絞って行うことができます。全体的な矯正治療が必要ない場合でも、部分矯正を選ぶことで、効率的に歯並びを整えることができ、短期間で結果を実感できます。セラミックブラケットは、通常の矯正装置と比べて患者様にとっても快適で、見た目にも配慮された治療が可能です。
装置料は165,000円~220,000円(税込)で、治療の内容や範囲、期間によって異なります。治療を始める前に、しっかりとカウンセリングを行い、患者様に合った治療計画を提案します。
部分矯正や見た目に配慮した治療をお考えの方は、セラミックブラケット矯正をぜひご検討ください。美しい歯並びと快適な治療を提供いたします。
部分矯正では、特に気になる部分を矯正するため、治療の範囲を絞って行うことができます。全体的な矯正治療が必要ない場合でも、部分矯正を選ぶことで、効率的に歯並びを整えることができ、短期間で結果を実感できます。セラミックブラケットは、通常の矯正装置と比べて患者様にとっても快適で、見た目にも配慮された治療が可能です。
装置料は165,000円~220,000円(税込)で、治療の内容や範囲、期間によって異なります。治療を始める前に、しっかりとカウンセリングを行い、患者様に合った治療計画を提案します。
部分矯正や見た目に配慮した治療をお考えの方は、セラミックブラケット矯正をぜひご検討ください。美しい歯並びと快適な治療を提供いたします。
小学校高学年~中・高校生~成人の方に提供する永久歯列期の矯正

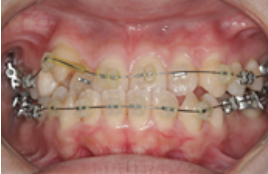
永久歯列期(小学校高学年~中・高校生~成人)の矯正治療では、歯並びや噛み合わせの改善が重要な課題となります。新倉矯正歯科では、主にマルチブラケット装置を使用し、Dr. McLaughlin(アメリカ)、Dr. Bennett(イギリス)、Dr. Trevisi(ブラジル)によって開発されたストレートワイヤーテクニックを採用しています。この方法では、角度付きの0.022インチのブラケットを使用し、精密な治療が可能です。また、目立たないセラミックブラケットや摩擦の少ないセルフライゲイティングブラケットも選べます。
さらに、必要に応じてMicro-Implant Anchorage System(マイクロインプラント固定源システム)を使用し、顎骨内に固定源を埋め込むことで、歯の移動を効率的に行います。重度の骨格性下顎前突症や顎変形症には、東海大学病院口腔外科と連携して外科矯正治療を行い、より複雑な問題にも対応しています。
新倉矯正歯科では、患者様一人ひとりに合わせた最適な治療を提供し、長期的な治療をサポートしています。
さらに、必要に応じてMicro-Implant Anchorage System(マイクロインプラント固定源システム)を使用し、顎骨内に固定源を埋め込むことで、歯の移動を効率的に行います。重度の骨格性下顎前突症や顎変形症には、東海大学病院口腔外科と連携して外科矯正治療を行い、より複雑な問題にも対応しています。
新倉矯正歯科では、患者様一人ひとりに合わせた最適な治療を提供し、長期的な治療をサポートしています。
自由診療のリスク・副作用、その他
自由診療について
患者様のさまざまなニーズに応えるために自由診療を提供しております。しかし、自由診療には健康保険適用外の治療が含まれるため、以
下の点にご注意ください。
【リスクについて】
自由診療には、保険適用治療に比べて高度かつ専門的な治療が含まれる場合があります。これらの治療はより高い技術を要求されるため、
一般的な治療よりもリスクが高まる可能性があります。
【副作用について】
すべての医療行為には副作用のリスクが伴います。自由診療の場合、使用する材料や治療方法が特殊な場合があるため、通常の治療と
は異なる副作用が発生する可能性があります。
【費用について】
自由診療は健康保険の適用外であるため、保険診療と比較して高額になることがあります。治療前には必ず費用の詳細について説明を行
い、ご同意をいただいてから治療を開始します。
【治療の選択について】
患者様の健康状態や希望に合わせて、最適な治療計画を提案します。自由診療は選択肢の一つであり、必ずしもすべての患者様に適して
いるわけではありません。
【その他の注意事項】
治療後のフォローアップやメンテナンスについても、自由診療の範囲内で行うことがあります。これには追加の費用が発生する場合がありま
す。
患者様一人ひとりに合った治療を心がけております。自由診療を含むすべての治療オプションについて、十分な説明とともに、患者様のご
理解とご同意を得ることを重視しています。ご不明な点やご心配なことがございましたら、遠慮なくご相談ください。
患者様のさまざまなニーズに応えるために自由診療を提供しております。しかし、自由診療には健康保険適用外の治療が含まれるため、以
下の点にご注意ください。
【リスクについて】
自由診療には、保険適用治療に比べて高度かつ専門的な治療が含まれる場合があります。これらの治療はより高い技術を要求されるため、
一般的な治療よりもリスクが高まる可能性があります。
【副作用について】
すべての医療行為には副作用のリスクが伴います。自由診療の場合、使用する材料や治療方法が特殊な場合があるため、通常の治療と
は異なる副作用が発生する可能性があります。
【費用について】
自由診療は健康保険の適用外であるため、保険診療と比較して高額になることがあります。治療前には必ず費用の詳細について説明を行
い、ご同意をいただいてから治療を開始します。
【治療の選択について】
患者様の健康状態や希望に合わせて、最適な治療計画を提案します。自由診療は選択肢の一つであり、必ずしもすべての患者様に適して
いるわけではありません。
【その他の注意事項】
治療後のフォローアップやメンテナンスについても、自由診療の範囲内で行うことがあります。これには追加の費用が発生する場合がありま
す。
患者様一人ひとりに合った治療を心がけております。自由診療を含むすべての治療オプションについて、十分な説明とともに、患者様のご
理解とご同意を得ることを重視しています。ご不明な点やご心配なことがございましたら、遠慮なくご相談ください。
この医院の口コミはまだありません
受付時間
診療時間 | 日 | 月 | 火 | 水 | 木 | 金 | 土 |
---|---|---|---|---|---|---|---|
10:00 ~ 12:00 | |||||||
13:30 ~ 18:30 |
休診日:第2・第4水曜・木曜・日曜・祝日
アクセスマップ
基本情報
医院名 | 新倉矯正歯科 |
所在地 | 〒259-1145 神奈川県 伊勢原市 板戸403 |
最寄駅 | 伊勢原駅 北口 徒歩15分 |
診療内容 | 矯正歯科 |
医院ID | 36297 |