【吉祥寺駅から徒歩7分】【厚生労働省認定医療機関】高度な専門技術で歯の保存を追求する林歯科医院
林歯科医院は、JR吉祥寺駅から徒歩7分という便利な場所に位置しています。林歯科医院の大きな特徴は、歯を極力抜かない保存治療への強いこだわりです。根管治療においては通常多くの回数を要するところを、ほぼ1回の治療で完了させる高度な技術を有しています。
最新の医療設備としては、カールツァイス製マイクロスコープやCTなどを導入し、肉眼では確認できない病巣や根管まで精密に診断することが可能となっています。これにより治療の精度が格段に向上し、予後の良好な結果につながるのです。
また、インプラント治療では永久固定方式を採用し、定期的なネジ締めが不要なメンテナンスフリーの安全な治療を実現しました。高度な技術と最新設備の組み合わせにより、患者様が生涯にわたり自分自身の歯で食事を楽しめる口腔環境の維持を目指しています。1982年の開院以来、多くの患者様が歯を失うことなく健康な状態を保っていることからも、その技術の高さがうかがえます。
最新の医療設備としては、カールツァイス製マイクロスコープやCTなどを導入し、肉眼では確認できない病巣や根管まで精密に診断することが可能となっています。これにより治療の精度が格段に向上し、予後の良好な結果につながるのです。
また、インプラント治療では永久固定方式を採用し、定期的なネジ締めが不要なメンテナンスフリーの安全な治療を実現しました。高度な技術と最新設備の組み合わせにより、患者様が生涯にわたり自分自身の歯で食事を楽しめる口腔環境の維持を目指しています。1982年の開院以来、多くの患者様が歯を失うことなく健康な状態を保っていることからも、その技術の高さがうかがえます。
根管治療のこだわりポイント

林歯科医院では、根管治療を得意としており、他院では複数回の通院が必要な治療をほぼ1回で完了させる高い技術力を持っています。一般的に根管治療は歯髄の感染により歯が痛む、腫れる、咬めなくなるといった症状の治療として行われます。これは歯科医師の技術によって歯の寿命を大きく左右する重要な治療です。
林歯科医院の根管治療は、マイクロスコープを用いた精密な診断と処置、ニッケルチタンファイルなど高品質な器具の使用により、短時間で効果的な治療を可能にしています。通常は何度も治療を繰り返す必要があるところを、徹底した技術と効率的な処置で治療回数を最小限に抑えることができるのです。
治療後は緻密な根管充填を行い、再発を防止することに注力しています。そのため治療後の経過が極めて良好で、再発率が非常に低いという結果につながっています。このように科学的かつ効率的なアプローチによって、患者様の時間的負担を軽減しながらも質の高い治療を提供しているのが林歯科医院の強みでしょう。
林歯科医院の根管治療は、マイクロスコープを用いた精密な診断と処置、ニッケルチタンファイルなど高品質な器具の使用により、短時間で効果的な治療を可能にしています。通常は何度も治療を繰り返す必要があるところを、徹底した技術と効率的な処置で治療回数を最小限に抑えることができるのです。
治療後は緻密な根管充填を行い、再発を防止することに注力しています。そのため治療後の経過が極めて良好で、再発率が非常に低いという結果につながっています。このように科学的かつ効率的なアプローチによって、患者様の時間的負担を軽減しながらも質の高い治療を提供しているのが林歯科医院の強みでしょう。
医院としての理念・方針

・歯の保存を最優先に考える医療
林歯科医院では、抜歯を極力避け、保存治療を第一に考えています。歯を失うことは咀嚼機能の低下だけでなく、全身の健康にも影響を及ぼす可能性があるため、最後まで諦めずに歯を残す努力をすることが重要です。
・科学的根拠に基づいた治療アプローチ
高精度な診断機器と熟練した技術を組み合わせることで、科学的根拠に基づいた治療を提供することを重視しています。マイクロスコープやCTなどの先進設備を活用し、肉眼では見えない部分まで確認することで、治療の確実性を高めることが可能です。
・長期的視点での口腔健康維持
一時的な痛みの解消だけでなく、生涯にわたって自分の歯で食事ができるよう、長期的な視点での治療計画を立てています。定期的なメンテナンスと予防ケアを通じて、患者様の口腔健康を継続的にサポートすることが大切です。
林歯科医院では、抜歯を極力避け、保存治療を第一に考えています。歯を失うことは咀嚼機能の低下だけでなく、全身の健康にも影響を及ぼす可能性があるため、最後まで諦めずに歯を残す努力をすることが重要です。
・科学的根拠に基づいた治療アプローチ
高精度な診断機器と熟練した技術を組み合わせることで、科学的根拠に基づいた治療を提供することを重視しています。マイクロスコープやCTなどの先進設備を活用し、肉眼では見えない部分まで確認することで、治療の確実性を高めることが可能です。
・長期的視点での口腔健康維持
一時的な痛みの解消だけでなく、生涯にわたって自分の歯で食事ができるよう、長期的な視点での治療計画を立てています。定期的なメンテナンスと予防ケアを通じて、患者様の口腔健康を継続的にサポートすることが大切です。
永久固定式でメンテナンスフリーのインプラント治療

林歯科医院では、インプラント治療において高い専門性と豊富な経験を持っています。天然歯以上の咬合力を持ち、長期間使用できるインプラントは、残存歯に負担をかけることなく、自然な噛み心地を実現する優れた補綴治療法です。
林歯科医院のインプラント治療の特徴は、永久固定方式を採用している点にあります。他院でよく見られる定期的なネジ締めが必要なスクリュー固定方式ではなく、メンテナンスフリーの方式を取り入れることで、患者様の負担を軽減しています。また、京セラ製インプラントを使用し、地域でも多数の症例実績を誇っているのです。
インプラント治療では骨量が少ない場合に施術が難しくなることがありますが、林歯科医院では骨造成技術を駆使することにより、通常では対応が困難な症例にも対応することが可能となっています。インプラント治療用の専用機器を用いて周辺組織へのダメージを最小限に抑え、安全かつ予知性の高い治療を提供しています。これらの総合的なアプローチにより、患者様の生活の質を向上させる確かな治療が実現できるのです。
林歯科医院のインプラント治療の特徴は、永久固定方式を採用している点にあります。他院でよく見られる定期的なネジ締めが必要なスクリュー固定方式ではなく、メンテナンスフリーの方式を取り入れることで、患者様の負担を軽減しています。また、京セラ製インプラントを使用し、地域でも多数の症例実績を誇っているのです。
インプラント治療では骨量が少ない場合に施術が難しくなることがありますが、林歯科医院では骨造成技術を駆使することにより、通常では対応が困難な症例にも対応することが可能となっています。インプラント治療用の専用機器を用いて周辺組織へのダメージを最小限に抑え、安全かつ予知性の高い治療を提供しています。これらの総合的なアプローチにより、患者様の生活の質を向上させる確かな治療が実現できるのです。
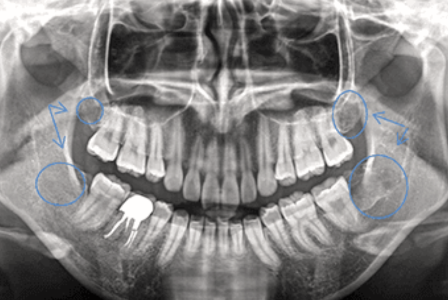
精密診断と最小侵襲による即日抜歯治療

林歯科医院では、口腔外科、特に親知らずの抜歯治療において高度な専門性を発揮しています。埋伏智歯や難抜歯の処置を得意としており、CTを用いて下歯槽管との位置関係を正確に診断し、マイクロルーペやバリオサージなどの専門機器を活用した治療を行っています。
通常の抜歯では困難とされる症例でも、林歯科医院では即日抜歯が可能な場合が多く、最小限の術野で処置を行うことで骨や歯周組織へのダメージを極力抑えることが可能です。そのため、術後の出血、痛み、腫れなどの不快症状を最小限に抑え、早期回復が期待できるのです。
これらの技術力の高さから、他の歯科医院からの紹介も多く受けており、地域の歯科医療における専門性の高さを示しています。抜歯は患者様にとって不安を感じやすい処置ですが、高度な技術と設備により、安心して治療を受けることができる環境が整っています。口腔外科処置の質の高さは、患者様の術後の生活の質にも直結するため、この分野における専門性の高さは歯科医院選びの重要な要素です。
通常の抜歯では困難とされる症例でも、林歯科医院では即日抜歯が可能な場合が多く、最小限の術野で処置を行うことで骨や歯周組織へのダメージを極力抑えることが可能です。そのため、術後の出血、痛み、腫れなどの不快症状を最小限に抑え、早期回復が期待できるのです。
これらの技術力の高さから、他の歯科医院からの紹介も多く受けており、地域の歯科医療における専門性の高さを示しています。抜歯は患者様にとって不安を感じやすい処置ですが、高度な技術と設備により、安心して治療を受けることができる環境が整っています。口腔外科処置の質の高さは、患者様の術後の生活の質にも直結するため、この分野における専門性の高さは歯科医院選びの重要な要素です。
3Dスキャナーで実現する精密なセラミック治療

林歯科医院のセラミック審美治療は、生体親和性が高く耐久性と抗菌性に優れた素材を使用しています。天然歯と見分けがつかないほど優れた審美性を持つセラミックを採用しており、銀歯治療で懸念される審美的問題や腐食、二次う蝕のリスクを回避することができます。
林歯科医院では、究極の適合性を実現するために3Dスキャナーによる光学印象が可能です。これにより唾液の微小漏洩によって生じる二次う蝕や根尖病巣の発生を防ぐことが可能になるのです。また、使用されるセラミックは抗菌性に優れ、プラーク付着が少ないという特性を持っており、長期的な口腔健康を維持することができます。
さらに林歯科医院で使用されているセラミックは、硬さが天然歯に近く非常に粒子が細かいため、過度に硬いセラミックで起こりがちな歯根破折や対合歯・隣在歯の摩耗を防ぐことができる特徴があります。このように科学的な根拠に基づいた素材選択と精密な技術により、審美性と機能性を両立させた治療を提供しているのです。美しい歯並びは自信につながり、患者様の生活の質を向上させる重要な要素となります。
林歯科医院では、究極の適合性を実現するために3Dスキャナーによる光学印象が可能です。これにより唾液の微小漏洩によって生じる二次う蝕や根尖病巣の発生を防ぐことが可能になるのです。また、使用されるセラミックは抗菌性に優れ、プラーク付着が少ないという特性を持っており、長期的な口腔健康を維持することができます。
さらに林歯科医院で使用されているセラミックは、硬さが天然歯に近く非常に粒子が細かいため、過度に硬いセラミックで起こりがちな歯根破折や対合歯・隣在歯の摩耗を防ぐことができる特徴があります。このように科学的な根拠に基づいた素材選択と精密な技術により、審美性と機能性を両立させた治療を提供しているのです。美しい歯並びは自信につながり、患者様の生活の質を向上させる重要な要素となります。
先進的な再生医療を取り入れた歯周病治療

林歯科医院の歯周病治療は、初期から重度のケースまで幅広く対応しています。一般的に歯周病治療は期間がかかるイメージがありますが、林歯科医院では重度の場合でも早期に歯周外科治療を実施し、歯周組織再生剤エムドゲイン、リグロス、骨補填材β-TCP、メンブレンなどを積極的に活用することで効果的な治療を行っています。
軽度の歯周病は数回の治療で回復が見込めますが、重度の歯周病に対しては根管治療と歯周治療を併用することで、より効果的な治療結果を得ることが可能です。歯周組織再生治療を行うことで、一度諦めていた重度の歯周病でも回復が期待できるようになります。
歯周病は単なる口腔内の問題だけでなく、心臓病や糖尿病、認知症など全身疾患との関連性も指摘されており、早期発見・早期治療が非常に重要です。林歯科医院では科学的な根拠に基づいた治療アプローチにより、歯を支える組織を再生し、長期的な口腔の健康維持を実現しています。適切な歯周病治療により、将来的な歯の喪失リスクを低減し、健康な口腔環境を保つことができるのです。
軽度の歯周病は数回の治療で回復が見込めますが、重度の歯周病に対しては根管治療と歯周治療を併用することで、より効果的な治療結果を得ることが可能です。歯周組織再生治療を行うことで、一度諦めていた重度の歯周病でも回復が期待できるようになります。
歯周病は単なる口腔内の問題だけでなく、心臓病や糖尿病、認知症など全身疾患との関連性も指摘されており、早期発見・早期治療が非常に重要です。林歯科医院では科学的な根拠に基づいた治療アプローチにより、歯を支える組織を再生し、長期的な口腔の健康維持を実現しています。適切な歯周病治療により、将来的な歯の喪失リスクを低減し、健康な口腔環境を保つことができるのです。
自由診療のリスク・副作用、その他
自由診療について
患者様のさまざまなニーズに応えるために自由診療を提供しております。しかし、自由診療には健康保険適用外の治療が含まれるため、以下の点にご注意ください。
【リスクについて】
自由診療には、保険適用治療に比べて高度かつ専門的な治療が含まれる場合があります。これらの治療はより高い技術を要求されるため、一般的な治療よりもリスクが高まる可能性があります。
【副作用について】
すべての医療行為には副作用のリスクが伴います。自由診療の場合、使用する材料や治療方法が特殊な場合があるため、通常の治療とは異なる副作用が発生する可能性があります。
【費用について】
自由診療は健康保険の適用外であるため、保険診療と比較して高額になることがあります。治療前には必ず費用の詳細について説明を行い、ご同意をいただいてから治療を開始します。
【治療の選択について】
患者様の健康状態や希望に合わせて、最適な治療計画を提案します。自由診療は選択肢の一つであり、必ずしもすべての患者様に適しているわけではありません。
【その他の注意事項】
治療後のフォローアップやメンテナンスについても、自由診療の範囲内で行うことがあります。これには追加の費用が発生する場合があります。
患者様一人ひとりに合った治療を心がけております。自由診療を含むすべての治療オプションについて、十分な説明とともに、患者様のご理解とご同意を得ることを重視しています。ご不明な点やご心配なことがございましたら、遠慮なくご相談ください。
患者様のさまざまなニーズに応えるために自由診療を提供しております。しかし、自由診療には健康保険適用外の治療が含まれるため、以下の点にご注意ください。
【リスクについて】
自由診療には、保険適用治療に比べて高度かつ専門的な治療が含まれる場合があります。これらの治療はより高い技術を要求されるため、一般的な治療よりもリスクが高まる可能性があります。
【副作用について】
すべての医療行為には副作用のリスクが伴います。自由診療の場合、使用する材料や治療方法が特殊な場合があるため、通常の治療とは異なる副作用が発生する可能性があります。
【費用について】
自由診療は健康保険の適用外であるため、保険診療と比較して高額になることがあります。治療前には必ず費用の詳細について説明を行い、ご同意をいただいてから治療を開始します。
【治療の選択について】
患者様の健康状態や希望に合わせて、最適な治療計画を提案します。自由診療は選択肢の一つであり、必ずしもすべての患者様に適しているわけではありません。
【その他の注意事項】
治療後のフォローアップやメンテナンスについても、自由診療の範囲内で行うことがあります。これには追加の費用が発生する場合があります。
患者様一人ひとりに合った治療を心がけております。自由診療を含むすべての治療オプションについて、十分な説明とともに、患者様のご理解とご同意を得ることを重視しています。ご不明な点やご心配なことがございましたら、遠慮なくご相談ください。
この医院の口コミはまだありません
受付時間
診療時間 | 日 | 月 | 火 | 水 | 木 | 金 | 土 |
---|---|---|---|---|---|---|---|
10:00 ~ 13:00 | |||||||
14:30 ~ 18:00 |
休診日:木曜・土曜・日曜・祝日
アクセスマップ
基本情報
医院名 | 林歯科医院 |
所在地 | 〒180-0003 東京都 武蔵野市 吉祥寺南町2-20-1 オリンピックマンション |
最寄駅 | 吉祥寺駅 南口 徒歩7分 |
診療内容 | 歯冠修復、欠損補綴 / 根管治療 / 歯周病治療 / 予防治療 / 口腔外科治療 / 有床義歯 |
医院ID | 2520 |