【野間駅から車で2分】4つの専門資格を持つ院長が歯周病からインプラントまで幅広く対応する みはま歯科クリニック
みはま歯科クリニックは、名鉄知多新線「野間駅」から車で約2分の場所にあり、専用駐車場も完備されているため、お車での通院も快適です。診療は月曜から土曜の9:00~12:00/14:00~18:00で、木曜・日曜・祝日は休診日です。
院長は、日本歯周病学会の「専門医」をはじめ、臨床歯周病学会「認定医」「歯周インプラント認定医」、日本顎咬合学会「認定医」の4つの専門資格を有しており、高度な専門性を活かした診療が特長です。とくに歯周病治療では、位相差顕微鏡による細菌の可視化や、薬剤による内科的アプローチなど、科学的根拠に基づいた診療が行われています。
また、診療室はすべて完全個室となっており、プライバシーに配慮したリラックスできる空間で治療が進められます。口腔内スキャナーやマイクロスコープ、3Dレントゲンなど最新設備を備え、より精密で身体にやさしい診療を実現しています。
歯周病やインプラント、矯正、ホワイトニングなど幅広い分野に対応し、地域の皆様の口腔健康を長く支える歯科医院です。
院長は、日本歯周病学会の「専門医」をはじめ、臨床歯周病学会「認定医」「歯周インプラント認定医」、日本顎咬合学会「認定医」の4つの専門資格を有しており、高度な専門性を活かした診療が特長です。とくに歯周病治療では、位相差顕微鏡による細菌の可視化や、薬剤による内科的アプローチなど、科学的根拠に基づいた診療が行われています。
また、診療室はすべて完全個室となっており、プライバシーに配慮したリラックスできる空間で治療が進められます。口腔内スキャナーやマイクロスコープ、3Dレントゲンなど最新設備を備え、より精密で身体にやさしい診療を実現しています。
歯周病やインプラント、矯正、ホワイトニングなど幅広い分野に対応し、地域の皆様の口腔健康を長く支える歯科医院です。
歯周病治療のこだわりポイント
細菌レベルで歯周病を見極める
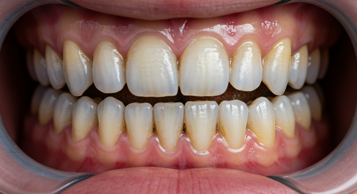
みはま歯科クリニックでは、歯周病治療において高い専門性と先進的なアプローチを融合させた診療を提供しています。歯周病は、歯を支える骨や歯肉が細菌により炎症を起こす病気で、進行すると歯の動揺や喪失に至ることもあります。初期の段階では自覚症状が少ないため、知らず知らずのうちに進行してしまうことも珍しくありません。
治療にあたっては、まず位相差顕微鏡で口腔内の細菌を観察し、患者様一人ひとりの状態を把握します。そのうえで、薬剤を用いた内科的治療を組み合わせることで、効率よく細菌を除去し、炎症を抑えることが可能です。このように従来のスケーリングなどの外科的処置と、薬剤を用いた内科的手法を併用することにより、治療効果の向上を図っています。
さらに、担当の歯科衛生士による定期的なメンテナンスを通じて、治療後の良好な状態を維持するためのサポートも充実しています。歯科衛生士は専用機器を使ってバイオフィルムやプラークを除去し、再発を防ぐ体制を整えています。
専門医の知識とチーム体制により、患者様が安心して受診できる環境が整っている点も特徴です。症状が軽いうちの早期対応はもちろん、進行してしまったケースでも、適切な治療と管理によって健康な口腔環境の回復を目指すことができます。
治療にあたっては、まず位相差顕微鏡で口腔内の細菌を観察し、患者様一人ひとりの状態を把握します。そのうえで、薬剤を用いた内科的治療を組み合わせることで、効率よく細菌を除去し、炎症を抑えることが可能です。このように従来のスケーリングなどの外科的処置と、薬剤を用いた内科的手法を併用することにより、治療効果の向上を図っています。
さらに、担当の歯科衛生士による定期的なメンテナンスを通じて、治療後の良好な状態を維持するためのサポートも充実しています。歯科衛生士は専用機器を使ってバイオフィルムやプラークを除去し、再発を防ぐ体制を整えています。
専門医の知識とチーム体制により、患者様が安心して受診できる環境が整っている点も特徴です。症状が軽いうちの早期対応はもちろん、進行してしまったケースでも、適切な治療と管理によって健康な口腔環境の回復を目指すことができます。
医院としての理念・方針
患者様へ
みはま歯科クリニックでは、日本歯周病学会専門医をはじめ、臨床歯周病学会や顎咬合学会の認定医資格を有する院長が、歯周病の根本的な治療と再発防止に取り組んでいます。歯周病は、歯を支える歯肉や骨が炎症を起こす病気で、自覚症状がないまま進行し、最終的には歯の喪失に至ることもあるため、早期発見と継続的な管理が重要です。
当院では、位相差顕微鏡を用いて口腔内の細菌を可視化し、患者様ごとの状態に合わせた診断を行います。その結果に基づき、薬剤による内科的アプローチとスケーリングなどの外科的処置を組み合わせて、炎症の原因となる細菌を効果的に減らす治療を行っています。
また、マイクロスコープや口腔内スキャナー、3Dレントゲンといった先進設備を活用し、治療の精度向上にも注力。治療後の良好な状態を保つために、専任の歯科衛生士によるプロフェッショナルケアや生活習慣へのアドバイスも丁寧に行っています。
こうした専門的な知識とチーム体制によって、軽度の歯ぐきの違和感から進行した歯周病まで、幅広いケースに対応しています。
当院では、位相差顕微鏡を用いて口腔内の細菌を可視化し、患者様ごとの状態に合わせた診断を行います。その結果に基づき、薬剤による内科的アプローチとスケーリングなどの外科的処置を組み合わせて、炎症の原因となる細菌を効果的に減らす治療を行っています。
また、マイクロスコープや口腔内スキャナー、3Dレントゲンといった先進設備を活用し、治療の精度向上にも注力。治療後の良好な状態を保つために、専任の歯科衛生士によるプロフェッショナルケアや生活習慣へのアドバイスも丁寧に行っています。
こうした専門的な知識とチーム体制によって、軽度の歯ぐきの違和感から進行した歯周病まで、幅広いケースに対応しています。
院長について
所属学会
日本歯周病学会 専門医
臨床歯周病学会 認定医
〃 歯周インプラント 認定医
顎咬合学会 認定医
日本矯正歯科学会 会員
日本口腔インプラント学会 会員
日本審美歯科学会 会員
日本再生歯科フォーラム 会員
日本歯周病学会 専門医
臨床歯周病学会 認定医
〃 歯周インプラント 認定医
顎咬合学会 認定医
日本矯正歯科学会 会員
日本口腔インプラント学会 会員
日本審美歯科学会 会員
日本再生歯科フォーラム 会員
噛める幸せをインプラントで実感
噛む力と見た目を両立する治療
インプラント治療は、歯を失った部分の顎の骨に人工の歯根を埋め込み、その上に人工の歯を装着する方法です。見た目の自然さに加え、しっかりと噛む機能が回復するため、食事や会話の際も安心感が得られます。取り外しが不要なため、従来の入れ歯に不便を感じていた方にも適しています。
治療前にはCT撮影を行い、三次元的に顎の骨の形状や密度を把握した上で、専用のシミュレーションソフトを用いて綿密な治療計画を立てます。この過程により、安全性と見た目の美しさを両立した治療が可能となります。患者様一人ひとりの骨の状態や口腔内の環境に合わせた、無理のない手術計画が重視されています。
治療を担当する歯科医師は、インプラントに関する認定資格を保有し、これまでの経験を活かして高い技術力で対応しています。また、治療後のメンテナンスにも力を入れており、専用の清掃器具を使ったセルフケアの指導や、半年ごとの定期健診によるチェック体制が整えられています。
失った歯を補うだけでなく、他の健康な歯に負担をかけない点も大きな利点です。快適な生活を取り戻すための選択肢として、インプラント治療は非常に有効です。
治療前にはCT撮影を行い、三次元的に顎の骨の形状や密度を把握した上で、専用のシミュレーションソフトを用いて綿密な治療計画を立てます。この過程により、安全性と見た目の美しさを両立した治療が可能となります。患者様一人ひとりの骨の状態や口腔内の環境に合わせた、無理のない手術計画が重視されています。
治療を担当する歯科医師は、インプラントに関する認定資格を保有し、これまでの経験を活かして高い技術力で対応しています。また、治療後のメンテナンスにも力を入れており、専用の清掃器具を使ったセルフケアの指導や、半年ごとの定期健診によるチェック体制が整えられています。
失った歯を補うだけでなく、他の健康な歯に負担をかけない点も大きな利点です。快適な生活を取り戻すための選択肢として、インプラント治療は非常に有効です。
美しく整えるマウスピース矯正
インビザライン
マウスピース矯正は、透明に近いアライナーと呼ばれる装置を使って歯並びを整える新しい矯正治療の方法です。従来のワイヤー矯正とは異なり、装置が目立ちにくいため、日常生活で周囲の目を気にすることなく矯正を進めることができます。
この治療は、患者様の歯並びに合わせて作成された専用のマウスピースを段階的に交換していくことで、少しずつ歯を理想的な位置へと移動させていきます。取り外しが可能なため、食事や歯磨きも普段通りに行うことができ、衛生的な状態を保ちやすいのも大きな利点です。
さらに、三次元治療計画ソフトを使うことで、治療前から完了までの歯の動きや最終的な仕上がりを、画像や動画で確認することが可能です。これにより、治療の全体像を把握しやすくなり、納得したうえで進められる安心感があります。
ただし、装置の装着時間を守らないと歯は予定通りに動きません。自由度が高い反面、患者様自身が装着を管理する責任も求められます。また、口腔内の状態によってはマウスピース単体では対応できず、補助的にワイヤーを併用する必要がある場合もあります。
見た目と快適さを兼ね備えたこの矯正法は、治療中も自然な笑顔を保ちたい方にとって、日常生活に寄り添った選択肢といえるでしょう。
この治療は、患者様の歯並びに合わせて作成された専用のマウスピースを段階的に交換していくことで、少しずつ歯を理想的な位置へと移動させていきます。取り外しが可能なため、食事や歯磨きも普段通りに行うことができ、衛生的な状態を保ちやすいのも大きな利点です。
さらに、三次元治療計画ソフトを使うことで、治療前から完了までの歯の動きや最終的な仕上がりを、画像や動画で確認することが可能です。これにより、治療の全体像を把握しやすくなり、納得したうえで進められる安心感があります。
ただし、装置の装着時間を守らないと歯は予定通りに動きません。自由度が高い反面、患者様自身が装着を管理する責任も求められます。また、口腔内の状態によってはマウスピース単体では対応できず、補助的にワイヤーを併用する必要がある場合もあります。
見た目と快適さを兼ね備えたこの矯正法は、治療中も自然な笑顔を保ちたい方にとって、日常生活に寄り添った選択肢といえるでしょう。
見た目と機能を両立するセラミック修復
変色に強い、美しい歯を再現
セラミック修復は、歯の欠損や形の異常、変色などを自然な見た目で回復する治療法です。保険診療で使用されるプラスチック素材とは異なり、セラミックは変色しにくく、摩耗にも強いという特性を持っています。さらに、金属を使用しないタイプもあるため、金属アレルギーの方にも安心して利用できます。
この治療法では、患者様の歯の色や形に合わせて丁寧に調整された人工歯を装着し、周囲の歯と調和する自然な見た目を実現します。中でもオールセラミッククラウンは、金属を一切使わずに高い審美性を追求した修復方法であり、前歯など美しさが重視される部分に適しています。
また、セラミックは化学的に安定しているため、口腔内でも変質しにくく、生体親和性にも優れています。これにより、長期的に見ても歯肉への刺激が少なく、安心して使い続けることができます。日常生活の中で自然な笑顔を取り戻すためにも、見た目と機能性の両立は大切です。
ラミネートベニアのように歯を大きく削らず、表面に薄いセラミックを貼る方法もあり、軽度の歯の色や形の悩みにも対応できます。機能回復に加えて美しさも求める方にとって、セラミック修復は非常に有効な選択肢といえるでしょう。見た目にこだわりたい方には特におすすめです。
この治療法では、患者様の歯の色や形に合わせて丁寧に調整された人工歯を装着し、周囲の歯と調和する自然な見た目を実現します。中でもオールセラミッククラウンは、金属を一切使わずに高い審美性を追求した修復方法であり、前歯など美しさが重視される部分に適しています。
また、セラミックは化学的に安定しているため、口腔内でも変質しにくく、生体親和性にも優れています。これにより、長期的に見ても歯肉への刺激が少なく、安心して使い続けることができます。日常生活の中で自然な笑顔を取り戻すためにも、見た目と機能性の両立は大切です。
ラミネートベニアのように歯を大きく削らず、表面に薄いセラミックを貼る方法もあり、軽度の歯の色や形の悩みにも対応できます。機能回復に加えて美しさも求める方にとって、セラミック修復は非常に有効な選択肢といえるでしょう。見た目にこだわりたい方には特におすすめです。
むし歯や歯周病を防ぐための予防治療
未来のために今できる予防
予防治療は、むし歯や歯周病といったお口のトラブルを未然に防ぐことを目的としたケアです。症状が出てからの治療ではなく、健康な状態を保つために定期的な管理とメンテナンスを行うことが、歯を長く残すための鍵となります。特に、治療が一通り終わった患者様や、今は症状のない方にも大切な習慣です。
予防治療では、まず歯科衛生士が口腔内の状態をチェックし、必要に応じて専門的な清掃やブラッシング指導を行います。毎日の歯磨きだけでは取りきれないプラークやバイオフィルムを除去することで、再発や進行を防ぐことができます。
中でも「PMTC」と呼ばれるプロフェッショナルクリーニングでは、歯と歯の間や歯茎の縁にある汚れを専用の機器で丁寧に取り除きます。この処置により、歯肉の炎症が改善されるだけでなく、再石灰化を促すフッ素の塗布も行われ、むし歯に強い歯へと導いてくれます。
また、日常的に取り込んでしまう食べ物の着色やタバコのヤニなども、予防ケアによってきれいに落とすことが可能です。定期的に予防処置を受けることで、見た目の清潔感も保たれます。
予防治療は、トラブルが起こってからの対応ではなく、健康なお口を維持するための前向きな取り組みです。未来の歯を守る第一歩として、定期的なチェックと専門的なケアを習慣にしてみてください。
予防治療では、まず歯科衛生士が口腔内の状態をチェックし、必要に応じて専門的な清掃やブラッシング指導を行います。毎日の歯磨きだけでは取りきれないプラークやバイオフィルムを除去することで、再発や進行を防ぐことができます。
中でも「PMTC」と呼ばれるプロフェッショナルクリーニングでは、歯と歯の間や歯茎の縁にある汚れを専用の機器で丁寧に取り除きます。この処置により、歯肉の炎症が改善されるだけでなく、再石灰化を促すフッ素の塗布も行われ、むし歯に強い歯へと導いてくれます。
また、日常的に取り込んでしまう食べ物の着色やタバコのヤニなども、予防ケアによってきれいに落とすことが可能です。定期的に予防処置を受けることで、見た目の清潔感も保たれます。
予防治療は、トラブルが起こってからの対応ではなく、健康なお口を維持するための前向きな取り組みです。未来の歯を守る第一歩として、定期的なチェックと専門的なケアを習慣にしてみてください。
自由診療のリスク・副作用、その他
自由診療について
患者様のさまざまなニーズに応えるために自由診療を提供しております。しかし、自由診療には健康保険適用外の治療が含まれるため、以下の点にご注意ください。
【リスクについて】
自由診療には、保険適用治療に比べて高度かつ専門的な治療が含まれる場合があります。これらの治療はより高い技術を要求されるため、一般的な治療よりもリスクが高まる可能性があります。
【副作用について】
すべての医療行為には副作用のリスクが伴います。自由診療の場合、使用する材料や治療方法が特殊な場合があるため、通常の治療とは異なる副作用が発生する可能性があります。
【費用について】
自由診療は健康保険の適用外であるため、保険診療と比較して高額になることがあります。治療前には必ず費用の詳細について説明を行い、ご同意をいただいてから治療を開始します。
【治療の選択について】
患者様の健康状態や希望に合わせて、最適な治療計画を提案します。自由診療は選択肢の一つであり、必ずしもすべての患者様に適しているわけではありません。
【その他の注意事項】
治療後のフォローアップやメンテナンスについても、自由診療の範囲内で行うことがあります。これには追加の費用が発生する場合があります。
患者様一人ひとりに合った治療を心がけております。自由診療を含むすべての治療オプションについて、十分な説明とともに、患者様のご理解とご同意を得ることを重視しています。ご不明な点やご心配なことがございましたら、遠慮なくご相談ください。
患者様のさまざまなニーズに応えるために自由診療を提供しております。しかし、自由診療には健康保険適用外の治療が含まれるため、以下の点にご注意ください。
【リスクについて】
自由診療には、保険適用治療に比べて高度かつ専門的な治療が含まれる場合があります。これらの治療はより高い技術を要求されるため、一般的な治療よりもリスクが高まる可能性があります。
【副作用について】
すべての医療行為には副作用のリスクが伴います。自由診療の場合、使用する材料や治療方法が特殊な場合があるため、通常の治療とは異なる副作用が発生する可能性があります。
【費用について】
自由診療は健康保険の適用外であるため、保険診療と比較して高額になることがあります。治療前には必ず費用の詳細について説明を行い、ご同意をいただいてから治療を開始します。
【治療の選択について】
患者様の健康状態や希望に合わせて、最適な治療計画を提案します。自由診療は選択肢の一つであり、必ずしもすべての患者様に適しているわけではありません。
【その他の注意事項】
治療後のフォローアップやメンテナンスについても、自由診療の範囲内で行うことがあります。これには追加の費用が発生する場合があります。
患者様一人ひとりに合った治療を心がけております。自由診療を含むすべての治療オプションについて、十分な説明とともに、患者様のご理解とご同意を得ることを重視しています。ご不明な点やご心配なことがございましたら、遠慮なくご相談ください。
この医院の口コミはまだありません
受付時間
| 診療時間 | 日 | 月 | 火 | 水 | 木 | 金 | 土 |
|---|---|---|---|---|---|---|---|
| 09:00 ~ 12:00 | |||||||
| 14:00 ~ 18:00 | |||||||
| 14:00 ~ 17:00 |
休診日:木曜・日曜・祝日
アクセスマップ
基本情報
| 医院名 | みはま歯科クリニック |
| 所在地 | 〒470-3235 愛知県 知多郡美浜町 野間字中町98-3 |
| 最寄駅 | 野間駅より車で2分 |
| 診療内容 | 歯冠修復、欠損補綴 / 根管治療 / 歯周病治療 / 予防治療 / 小児歯科 / 矯正歯科 / 口腔外科治療 / インプラント治療 / 咬み合わせ治療 / 顎関節症治療 |
| 医院ID | 20332 |