【名古屋駅より車で7分】歯周病学博士による専門ケアを行う歯科名駅南
歯科名駅南は、名古屋駅から車で7分の場所にあり、専用駐車場を備えているためお車での通院も便利です。診療時間は月・火・水・金・土曜の9:30〜13:00、14:30〜19:00で、土曜午後は17:00までの診療となっています。平日は夜まで対応しているためお仕事帰りにも通いやすく、祝日のある週には木曜も診療しており、忙しい方に配慮した体制です。
大きな特長として、院長が歯周病学の博士号を取得し、大学非常勤助教としての経験を持つ点が挙げられます。科学的根拠に基づく診療を軸に、専門性の高い歯周病治療と予防ケアを提供しています。歯周病は自覚症状が少なく進行する病気ですが、専門知識を活かした診査と治療により、患者様の健康を長期的にサポートします。
また、院内は和モダンを基調とした落ち着きある空間で、清潔に保たれた環境で安心して治療を受けられます。診療方針として「できるだけ歯を削らない・抜かない」ことを重視しており、患者様への丁寧な説明を徹底しています。虫歯や入れ歯、小児歯科、矯正治療まで幅広く対応し、ご家族皆様が安心して通える体制を整えています。
地域に根ざし、大切な歯を守るための診療を続ける歯科医院として、幅広い世代に信頼される存在です。
大きな特長として、院長が歯周病学の博士号を取得し、大学非常勤助教としての経験を持つ点が挙げられます。科学的根拠に基づく診療を軸に、専門性の高い歯周病治療と予防ケアを提供しています。歯周病は自覚症状が少なく進行する病気ですが、専門知識を活かした診査と治療により、患者様の健康を長期的にサポートします。
また、院内は和モダンを基調とした落ち着きある空間で、清潔に保たれた環境で安心して治療を受けられます。診療方針として「できるだけ歯を削らない・抜かない」ことを重視しており、患者様への丁寧な説明を徹底しています。虫歯や入れ歯、小児歯科、矯正治療まで幅広く対応し、ご家族皆様が安心して通える体制を整えています。
地域に根ざし、大切な歯を守るための診療を続ける歯科医院として、幅広い世代に信頼される存在です。
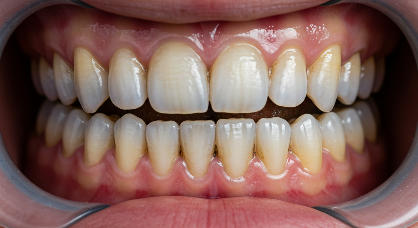
歯周病治療のこだわりポイント

歯科名駅南では、歯周病治療に特に力を入れており、患者様のお口の健康を長く維持するためのサポートを行っています。歯周病とは、歯を支える歯茎や骨に炎症が起こる病気で、進行すると歯がぐらつき、最終的には抜けてしまうこともあります。初期段階では自覚症状が少ないため、知らないうちに進行してしまうことが多く、早期発見と継続的な管理が重要です。
院長は、愛知学院大学大学院にて歯周病学を専攻し博士号を取得しており、現在も同大学の非常勤助教として後進の指導にあたっています。このような高度な専門性を活かし、患者様の症状やリスクに応じた最適な治療と予防プランを提供しています。ブラッシング指導や専用機器によるクリーニング、定期的なチェックによって、歯周病の進行を防ぎ、健康な歯茎の維持を目指します。
また、治療にあたっては丁寧なカウンセリングを行い、患者様が安心して治療に臨めるよう心がけています。治療の内容や経過についても分かりやすく説明することで、納得のいく診療を提供しています。歯周病は全身の健康にも影響を及ぼすことがあるため、口腔内の環境を整えることは生活の質を高めることにもつながります。気になる症状がある方は、早めに相談し、適切なケアを受けることをおすすめします。
院長は、愛知学院大学大学院にて歯周病学を専攻し博士号を取得しており、現在も同大学の非常勤助教として後進の指導にあたっています。このような高度な専門性を活かし、患者様の症状やリスクに応じた最適な治療と予防プランを提供しています。ブラッシング指導や専用機器によるクリーニング、定期的なチェックによって、歯周病の進行を防ぎ、健康な歯茎の維持を目指します。
また、治療にあたっては丁寧なカウンセリングを行い、患者様が安心して治療に臨めるよう心がけています。治療の内容や経過についても分かりやすく説明することで、納得のいく診療を提供しています。歯周病は全身の健康にも影響を及ぼすことがあるため、口腔内の環境を整えることは生活の質を高めることにもつながります。気になる症状がある方は、早めに相談し、適切なケアを受けることをおすすめします。
医院としての理念・方針

歯科名駅南では、「患者様の歯をできるだけ削らず、抜かずに守ること」を基本方針としています。歯は一度削ったり抜いたりすると元には戻らず、治療を重ねることで徐々に弱くなってしまいます。そのため、できる限り天然歯を活かし、将来を見据えた治療を行うことを大切にしています。
また、治療前には分かりやすく丁寧な説明を行い、患者様が納得された上で進めるよう心がけています。治療の流れや内容に対して疑問や不安がある場合には、いつでも歯科医師やスタッフに相談できる体制を整えています。
さらに、患者様一人ひとりの口腔状態や生活背景に合わせた最適な治療を提供することを重視しています。虫歯や歯周病の予防はもちろん、再発を防ぐためのメンテナンスや正しいセルフケアの指導にも力を入れており、通院後の健康維持までサポートしています。
また、治療前には分かりやすく丁寧な説明を行い、患者様が納得された上で進めるよう心がけています。治療の流れや内容に対して疑問や不安がある場合には、いつでも歯科医師やスタッフに相談できる体制を整えています。
さらに、患者様一人ひとりの口腔状態や生活背景に合わせた最適な治療を提供することを重視しています。虫歯や歯周病の予防はもちろん、再発を防ぐためのメンテナンスや正しいセルフケアの指導にも力を入れており、通院後の健康維持までサポートしています。
院長について
▽略歴
愛知学院大学 歯学部 卒
愛知学院大学 大学院 歯学研究科 卒
博士号取得(歯周病学専攻)
愛知学院大学歯学部 歯周病学講座 非常勤助教
愛知学院大学歯学部 歯科理工学講座 非常勤助教
愛知学院大学 歯学部 卒
愛知学院大学 大学院 歯学研究科 卒
博士号取得(歯周病学専攻)
愛知学院大学歯学部 歯周病学講座 非常勤助教
愛知学院大学歯学部 歯科理工学講座 非常勤助教
噛み合わせ整え健康な毎日

矯正歯科は、歯並びや噛み合わせを改善することで、見た目の美しさだけでなく、虫歯や歯周病の予防、発音や咀嚼機能の向上にもつながる重要な治療です。治療に際しては、患者様一人ひとりの悩みや希望をしっかりとお伺いし、最適な方法を提案しています。
専門性の高い分野であるため、治療前には丁寧なカウンセリングを行い、歯並びの状態や治療の流れ、期間、費用について詳しく説明します。患者様が不安なく治療を始められるように、わかりやすく納得のいく対応を心がけています。
不正な歯並びは、見た目の問題だけでなく、歯磨きがしにくくなることで虫歯や歯周病の原因となったり、噛み合わせの不調によって顎関節や姿勢への影響を引き起こすこともあります。そのため、適切なタイミングでの矯正治療が推奨されます。
整った歯並びは、清潔な口腔環境を保つだけでなく、自信を持って笑える毎日にもつながります。お子様から大人の方まで、歯並びに関する悩みをお持ちの方は、ぜひ一度ご相談ください。無理のない計画で、理想の口元を目指していきましょう。
専門性の高い分野であるため、治療前には丁寧なカウンセリングを行い、歯並びの状態や治療の流れ、期間、費用について詳しく説明します。患者様が不安なく治療を始められるように、わかりやすく納得のいく対応を心がけています。
不正な歯並びは、見た目の問題だけでなく、歯磨きがしにくくなることで虫歯や歯周病の原因となったり、噛み合わせの不調によって顎関節や姿勢への影響を引き起こすこともあります。そのため、適切なタイミングでの矯正治療が推奨されます。
整った歯並びは、清潔な口腔環境を保つだけでなく、自信を持って笑える毎日にもつながります。お子様から大人の方まで、歯並びに関する悩みをお持ちの方は、ぜひ一度ご相談ください。無理のない計画で、理想の口元を目指していきましょう。
お子様の歯を守る丁寧な診療

小児歯科は、お子様の歯の健康を守るために欠かせない診療分野です。乳歯のむし歯はもちろん、永久歯への生え替わりの時期や歯並び、噛み合わせの発育を見守ることも重要です。お子様の将来の健康なお口のためには、小さな頃からの適切なケアが大切です。
治療にあたっては、お子様が歯科医院に対して恐怖心を抱かないよう、無理に治療を進めることはありません。まずは会話や雰囲気に慣れていただくところから始め、徐々に治療へと進めていきます。緊張をやわらげる工夫を行い、お子様が自分から進んで通いたくなるような環境づくりに取り組んでいます。
さらに、年齢に応じたブラッシング指導や生活習慣のアドバイスを行うことで、むし歯の予防にも注力しています。お子様が正しい歯磨きの方法を身につけることは、将来にわたって大きな財産となります。ご家庭でのケアと歯科医院での専門的なケアを組み合わせて、お口の健康を長く維持しましょう。
幼い時期から定期的に通院し、歯科医院に慣れることは、お子様の成長にとって非常に意義のある体験です。お子様の歯の健康を守るため、ぜひ早めの受診をご検討ください。
治療にあたっては、お子様が歯科医院に対して恐怖心を抱かないよう、無理に治療を進めることはありません。まずは会話や雰囲気に慣れていただくところから始め、徐々に治療へと進めていきます。緊張をやわらげる工夫を行い、お子様が自分から進んで通いたくなるような環境づくりに取り組んでいます。
さらに、年齢に応じたブラッシング指導や生活習慣のアドバイスを行うことで、むし歯の予防にも注力しています。お子様が正しい歯磨きの方法を身につけることは、将来にわたって大きな財産となります。ご家庭でのケアと歯科医院での専門的なケアを組み合わせて、お口の健康を長く維持しましょう。
幼い時期から定期的に通院し、歯科医院に慣れることは、お子様の成長にとって非常に意義のある体験です。お子様の歯の健康を守るため、ぜひ早めの受診をご検討ください。
痛くなる前に受ける虫歯治療

虫歯は、口腔内の細菌が糖分を分解して酸を作り出し、歯を溶かしていく病気です。初期の段階では痛みが出にくいため、気づかないまま進行してしまうこともあります。進行が進むと冷たいものや甘いものがしみるようになり、やがてズキズキとした強い痛みが現れ、歯の神経にまで達してしまう場合もあります。
虫歯を放置すると、治療が複雑になるだけでなく、歯を失うリスクも高まります。そのため、少しでも違和感を感じたら早めに受診し、適切な処置を受けることが大切です。虫歯治療では、感染した歯質を除去し、レジンや詰め物、被せ物などを用いて修復を行います。できるだけ削る量を抑え、歯を残すことを意識した治療が一般的に行われています。
さらに、虫歯治療の後も再発を防ぐためには、日頃のブラッシングやフッ素塗布、定期的な検診が欠かせません。特に食生活や歯磨きの習慣を見直すことで、虫歯になりにくい環境を整えることができます。虫歯を早期に発見し、適切に対処することで、健康な歯を長く保つことが可能です。
お子様から大人の方まで、虫歯は誰にでも起こりうる身近な病気です。大切な歯を守るためにも、日々のケアと専門的なチェックを組み合わせ、健康な口腔環境を維持していきましょう。
虫歯を放置すると、治療が複雑になるだけでなく、歯を失うリスクも高まります。そのため、少しでも違和感を感じたら早めに受診し、適切な処置を受けることが大切です。虫歯治療では、感染した歯質を除去し、レジンや詰め物、被せ物などを用いて修復を行います。できるだけ削る量を抑え、歯を残すことを意識した治療が一般的に行われています。
さらに、虫歯治療の後も再発を防ぐためには、日頃のブラッシングやフッ素塗布、定期的な検診が欠かせません。特に食生活や歯磨きの習慣を見直すことで、虫歯になりにくい環境を整えることができます。虫歯を早期に発見し、適切に対処することで、健康な歯を長く保つことが可能です。
お子様から大人の方まで、虫歯は誰にでも起こりうる身近な病気です。大切な歯を守るためにも、日々のケアと専門的なチェックを組み合わせ、健康な口腔環境を維持していきましょう。
定期健診がもたらす一生の健康

歯科における定期健診は、症状が出てから受ける治療とは異なり、健康な状態を維持するために行う大切な予防活動です。定期的に専門的なチェックを受けることで、日常のケアでは見つけにくいリスクを早期に察知することができます。
健診では、目に見える問題だけでなく、咬み合わせの変化や磨き残しの傾向、歯肉の状態など、総合的に確認が行われます。患者様ごとに異なるお口の傾向を把握し、それに合わせたアドバイスが得られるのも、定期健診の大きなメリットです。
お子様の場合は、歯の生え替わりや成長に応じた管理が重要です。小さな変化を見逃さず、早めの対策をとることで、将来のトラブルを未然に防ぐことができます。大人の方には、歯周組織の変化や歯のすり減り、加齢に伴う問題への気づきが得られる貴重な機会となります。
定期健診は、単なる確認ではなく、生活習慣を見直すきっかけとしても有効です。患者様のライフスタイルに寄り添い、健康的な口腔環境を支える役割を果たします。継続的なチェックで、大切な歯を一生使い続けられる環境を整えていきましょう。
健診では、目に見える問題だけでなく、咬み合わせの変化や磨き残しの傾向、歯肉の状態など、総合的に確認が行われます。患者様ごとに異なるお口の傾向を把握し、それに合わせたアドバイスが得られるのも、定期健診の大きなメリットです。
お子様の場合は、歯の生え替わりや成長に応じた管理が重要です。小さな変化を見逃さず、早めの対策をとることで、将来のトラブルを未然に防ぐことができます。大人の方には、歯周組織の変化や歯のすり減り、加齢に伴う問題への気づきが得られる貴重な機会となります。
定期健診は、単なる確認ではなく、生活習慣を見直すきっかけとしても有効です。患者様のライフスタイルに寄り添い、健康的な口腔環境を支える役割を果たします。継続的なチェックで、大切な歯を一生使い続けられる環境を整えていきましょう。
自由診療のリスク・副作用、その他
自由診療について
患者様のさまざまなニーズに応えるために自由診療を提供しております。しかし、自由診療には健康保険適用外の治療が含まれるため、以下の点にご注意ください。
【リスクについて】
自由診療には、保険適用治療に比べて高度かつ専門的な治療が含まれる場合があります。これらの治療はより高い技術を要求されるため、一般的な治療よりもリスクが高まる可能性があります。
【副作用について】
すべての医療行為には副作用のリスクが伴います。自由診療の場合、使用する材料や治療方法が特殊な場合があるため、通常の治療とは異なる副作用が発生する可能性があります。
【費用について】
自由診療は健康保険の適用外であるため、保険診療と比較して高額になることがあります。治療前には必ず費用の詳細について説明を行い、ご同意をいただいてから治療を開始します。
【治療の選択について】
患者様の健康状態や希望に合わせて、最適な治療計画を提案します。自由診療は選択肢の一つであり、必ずしもすべての患者様に適しているわけではありません。
【その他の注意事項】
治療後のフォローアップやメンテナンスについても、自由診療の範囲内で行うことがあります。これには追加の費用が発生する場合があります。
患者様一人ひとりに合った治療を心がけております。自由診療を含むすべての治療オプションについて、十分な説明とともに、患者様のご理解とご同意を得ることを重視しています。ご不明な点やご心配なことがございましたら、遠慮なくご相談ください。
患者様のさまざまなニーズに応えるために自由診療を提供しております。しかし、自由診療には健康保険適用外の治療が含まれるため、以下の点にご注意ください。
【リスクについて】
自由診療には、保険適用治療に比べて高度かつ専門的な治療が含まれる場合があります。これらの治療はより高い技術を要求されるため、一般的な治療よりもリスクが高まる可能性があります。
【副作用について】
すべての医療行為には副作用のリスクが伴います。自由診療の場合、使用する材料や治療方法が特殊な場合があるため、通常の治療とは異なる副作用が発生する可能性があります。
【費用について】
自由診療は健康保険の適用外であるため、保険診療と比較して高額になることがあります。治療前には必ず費用の詳細について説明を行い、ご同意をいただいてから治療を開始します。
【治療の選択について】
患者様の健康状態や希望に合わせて、最適な治療計画を提案します。自由診療は選択肢の一つであり、必ずしもすべての患者様に適しているわけではありません。
【その他の注意事項】
治療後のフォローアップやメンテナンスについても、自由診療の範囲内で行うことがあります。これには追加の費用が発生する場合があります。
患者様一人ひとりに合った治療を心がけております。自由診療を含むすべての治療オプションについて、十分な説明とともに、患者様のご理解とご同意を得ることを重視しています。ご不明な点やご心配なことがございましたら、遠慮なくご相談ください。
この医院の口コミはまだありません
受付時間
診療時間 | 日 | 月 | 火 | 水 | 木 | 金 | 土 |
---|---|---|---|---|---|---|---|
09:30 ~ 13:00 | |||||||
14:30 ~ 19:00 | |||||||
14:30 ~ 17:00 |
休診日:木曜・日曜・祝日
※祝日のある週は木曜日診療
アクセスマップ
基本情報
医院名 | 歯科名駅南 |
所在地 | 〒450-0003 愛知県 名古屋市中村区 名駅南3-16-15 ASビル1F |
最寄駅 | 名古屋駅より車で7分 |
診療内容 | 歯冠修復、欠損補綴 / 歯周病治療 / 予防治療 / 小児歯科 / 矯正歯科 / 有床義歯 |
医院ID | 20109 |