【大久保駅南口より徒歩3分】【大久保駅エリアで45年】実績と経験による安心の治療、痛みに配慮したやさしい対応で皆様の歯の健康をサポートする「第二浜野歯科医院」
第二浜野歯科医院は、大久保駅南口より徒歩3分に位置する歯科クリニックです。開院以来、地域の皆様に親しまれる歯科医院として、多くの患者様にご来院いただいています。
虫歯治療などを行う一般歯科をはじめ、口腔外科、審美歯科、義歯治療、インプラントなど幅広い診療を行っています。患者様の様々なご要望にお応えできるよう、保険診療から自由診療まで、多種多様な治療法をご用意しています。
皆様は、歯医者にどんなイメージをお持ちでしょうか?「痛い」「怖い」「できれば行きたくない」といったイメージをお持ちの方が多いと思います。第二浜野歯科医院では、そのような不安をお持ちの患者様にも、少しでもリラックスして治療を受けていただけるように、患者様とのコミュニケーションを大切にしています。また、治療の際には、できるだけ痛みを抑えた治療を心がけています。
第二浜野歯科医院には女性歯科医師も在籍しておりますので、女性医師をご希望の方はお気軽にご相談ください。また、第二浜野歯科医院では設備の整った技工室も併設しており、専属の技工士が直接患者様のお口の状態を確認することによって、お一人お一人に合った美しい歯をお作りします。義歯の修理などもその場で行うことが可能ですので、お気軽にお声掛けください。
スタッフ一同、皆様のご来院を心よりお待ちしております。
虫歯治療などを行う一般歯科をはじめ、口腔外科、審美歯科、義歯治療、インプラントなど幅広い診療を行っています。患者様の様々なご要望にお応えできるよう、保険診療から自由診療まで、多種多様な治療法をご用意しています。
皆様は、歯医者にどんなイメージをお持ちでしょうか?「痛い」「怖い」「できれば行きたくない」といったイメージをお持ちの方が多いと思います。第二浜野歯科医院では、そのような不安をお持ちの患者様にも、少しでもリラックスして治療を受けていただけるように、患者様とのコミュニケーションを大切にしています。また、治療の際には、できるだけ痛みを抑えた治療を心がけています。
第二浜野歯科医院には女性歯科医師も在籍しておりますので、女性医師をご希望の方はお気軽にご相談ください。また、第二浜野歯科医院では設備の整った技工室も併設しており、専属の技工士が直接患者様のお口の状態を確認することによって、お一人お一人に合った美しい歯をお作りします。義歯の修理などもその場で行うことが可能ですので、お気軽にお声掛けください。
スタッフ一同、皆様のご来院を心よりお待ちしております。
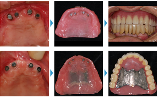
インプラント治療のこだわりポイント

インプラントは、歯を失った部分に人工の歯根を埋め込み、その上に人工の歯を被せて歯を補う治療です。インプラントは、顎の骨にしっかりと固定するため、まるで自分の歯のような嚙みごこちで、おいしく食事をとることができます。また、治療したところがわからないほど自然な見た目で、人目を気にすることなく会話や食事が楽しめます。
第二浜野歯科医院では、インプラント埋入手術の際には、血圧、脈拍、心電図等によって全身の管理を行い、安全な手術を行っています。手術時間はわずか15分ほどです。40年の経験と熟練の技術、また細心の注意をはらって行うため、成功率は99.8%と極めて高い数字を誇っています。
また、第二浜野歯科医院の院長は東京大学医学部歯科口腔外科に所属しておりますので、安心して治療を受けて頂けます。
第二浜野歯科医院では、京セラメディカル社製のインプラントを使用しています。POIインプラントは、非常に安定した素材であるチタンでできており、表面加工によって骨との結合性が良いのが特徴です。チタンは生体親和性が高く、人工関節など様々な分野で広く使われています。
第二浜野歯科医院の院長は、京セラ株式会社の依頼を受け、初期に使用された京セラ製サファイヤインプラントの形状やタイプを考案、さらに現在多くの歯科医院で使用されているPOI及びPOI EXインプラントの形態、術式、埋入用ドリル等の開発にも携わっております。このような京セラメディカル株式会社との協力関係により、非常に高いインプラントの成功率を実現しています。
また、第二浜野歯科医院ではコンピューターシミュレーションシステムの導入によって、骨形態を正確に把握し、必要であればCT撮影した画像を用いて診断を行っています。
安心、安全なインプラント治療を提供していますので、インプラント治療をお考えの方は、ぜひお気軽にご相談ください。
第二浜野歯科医院では、インプラント埋入手術の際には、血圧、脈拍、心電図等によって全身の管理を行い、安全な手術を行っています。手術時間はわずか15分ほどです。40年の経験と熟練の技術、また細心の注意をはらって行うため、成功率は99.8%と極めて高い数字を誇っています。
また、第二浜野歯科医院の院長は東京大学医学部歯科口腔外科に所属しておりますので、安心して治療を受けて頂けます。
第二浜野歯科医院では、京セラメディカル社製のインプラントを使用しています。POIインプラントは、非常に安定した素材であるチタンでできており、表面加工によって骨との結合性が良いのが特徴です。チタンは生体親和性が高く、人工関節など様々な分野で広く使われています。
第二浜野歯科医院の院長は、京セラ株式会社の依頼を受け、初期に使用された京セラ製サファイヤインプラントの形状やタイプを考案、さらに現在多くの歯科医院で使用されているPOI及びPOI EXインプラントの形態、術式、埋入用ドリル等の開発にも携わっております。このような京セラメディカル株式会社との協力関係により、非常に高いインプラントの成功率を実現しています。
また、第二浜野歯科医院ではコンピューターシミュレーションシステムの導入によって、骨形態を正確に把握し、必要であればCT撮影した画像を用いて診断を行っています。
安心、安全なインプラント治療を提供していますので、インプラント治療をお考えの方は、ぜひお気軽にご相談ください。
医院としての理念・方針

第二浜野歯科医院では、患者様のご希望を第一に様々な取り組みで、診療を行っています。
・幅広く丁寧な診療を行っています
第二浜野歯科医院では、虫歯治療、歯周病治療をはじめ、予防歯科では歯石除去やPMTC、難しい親知らずの抜歯、嚙み合わせ治療まで、幅広い診療を行っており、様々な症例に対応しています。女性医師も在籍しており、やさしく丁寧な対応をいたしますので、歯医者の治療に不安や恐怖心をお持ちの方でも安心して治療を受けていただけます。
・見た目と体に配慮した治療を行なっています
保険診療の詰め物においては、メタルインレー(金属の詰め物)だけでなく、金属を使用しないCRインレー(コンポジットインレー)の治療も行っています。又、CAD/CAMもご用意していますので、金属アレルギーの方にも安心して治療を受けていただけます。
・患者様のお口に合った被せ物、義歯を製作しています
第二浜野歯科医院では、院内に技工室を併設しており、専属の技工士が常駐しております。そのため、歯の色の確認や義歯の修理などにもその場で対応が可能です。また、技工士が直接患者様のお口の状態を確認できるため、患者様にぴったりのものを製作することができます。
・幅広く丁寧な診療を行っています
第二浜野歯科医院では、虫歯治療、歯周病治療をはじめ、予防歯科では歯石除去やPMTC、難しい親知らずの抜歯、嚙み合わせ治療まで、幅広い診療を行っており、様々な症例に対応しています。女性医師も在籍しており、やさしく丁寧な対応をいたしますので、歯医者の治療に不安や恐怖心をお持ちの方でも安心して治療を受けていただけます。
・見た目と体に配慮した治療を行なっています
保険診療の詰め物においては、メタルインレー(金属の詰め物)だけでなく、金属を使用しないCRインレー(コンポジットインレー)の治療も行っています。又、CAD/CAMもご用意していますので、金属アレルギーの方にも安心して治療を受けていただけます。
・患者様のお口に合った被せ物、義歯を製作しています
第二浜野歯科医院では、院内に技工室を併設しており、専属の技工士が常駐しております。そのため、歯の色の確認や義歯の修理などにもその場で対応が可能です。また、技工士が直接患者様のお口の状態を確認できるため、患者様にぴったりのものを製作することができます。
院長について

▽略歴
1974年 日本大学歯学部卒業
1974~1978年 日本大学歯学部、補綴学教室勤務
1978年9月11日 第二浜野歯科医院開院
1985年 日本大学医学部において医学博士の学位取得
【資格】
日本補綴歯科学会 専門医、指導医
日本顎咬合学会認定医(咬み合わせ認定医)
1974年 日本大学歯学部卒業
1974~1978年 日本大学歯学部、補綴学教室勤務
1978年9月11日 第二浜野歯科医院開院
1985年 日本大学医学部において医学博士の学位取得
【資格】
日本補綴歯科学会 専門医、指導医
日本顎咬合学会認定医(咬み合わせ認定医)
審美歯科:美しい見た目を作る治療です

審美歯科とは、噛むといった機能面の回復だけでなく、見た目の美しさにもこだわった治療です。
第二浜野歯科医院では、院内に技工室を併設しているため、セラミックの白く美しい被せ物を低価格で提供しています。
・ハイブリッドセラミック
ハイブリッドセラミックとは、レジン(プラスチック)とセラミックを混ぜた素材で、レジンよりも強度においてすぐれています。また、適度な柔軟性があるため、割れにくいといった特徴があります。レジンは、比較的短期間で着色してしまいますが、ハイブリッドセラミックは、
変色しにくい点もメリットのひとつです。
・メタルセラミック
メタルセラミックとは、歯の内側に金属を使用した被せ物です。セラミックだけでは不足しがちな強度を補うために、内側に金属を使用しています。自然な白さで美しい見た目を再現でき、変色しにくいといった特徴があります。
・ジルコニアオールセラミッククラウン
ジルコニアは人工ダイヤモンドといわれるほど、高い強度を持ち、曲げる力にも強いため破損しにくいのが特徴です。見た目も天然の歯に非常に近く、前歯の治療にも大変適しています。
患者様のお口の状態やご希望によって、最適なものをご提案しますので、見た目にこだわった治療をご希望の方は、ぜひお気軽にご相談ください。
第二浜野歯科医院では、院内に技工室を併設しているため、セラミックの白く美しい被せ物を低価格で提供しています。
・ハイブリッドセラミック
ハイブリッドセラミックとは、レジン(プラスチック)とセラミックを混ぜた素材で、レジンよりも強度においてすぐれています。また、適度な柔軟性があるため、割れにくいといった特徴があります。レジンは、比較的短期間で着色してしまいますが、ハイブリッドセラミックは、
変色しにくい点もメリットのひとつです。
・メタルセラミック
メタルセラミックとは、歯の内側に金属を使用した被せ物です。セラミックだけでは不足しがちな強度を補うために、内側に金属を使用しています。自然な白さで美しい見た目を再現でき、変色しにくいといった特徴があります。
・ジルコニアオールセラミッククラウン
ジルコニアは人工ダイヤモンドといわれるほど、高い強度を持ち、曲げる力にも強いため破損しにくいのが特徴です。見た目も天然の歯に非常に近く、前歯の治療にも大変適しています。
患者様のお口の状態やご希望によって、最適なものをご提案しますので、見た目にこだわった治療をご希望の方は、ぜひお気軽にご相談ください。
義歯:様々な種類をご用意しています

義歯にとってもっとも大切なことは、お口にしっかりとフィットし、よく噛めることです。従来の義歯は、顎堤がないなどお口の状態によっては、安定せず噛み心地が悪いといった欠点がありました。
第二浜野歯科医院では、マグネット義歯、アタッチメント義歯といった従来の義歯の欠点を解消した義歯を提供しています。
・マグネット義歯
マグネット義歯とはその名の通り、磁力によって固定する義歯です。残っている歯の根の部分に磁性金属を取り付け、義歯に磁石を埋め込む方式です。一般的な義歯のように金属の留め具がないのが特徴です。
400ガウス、600ガウス、800ガウスの、それぞれ異なったマグネットの吸着力を利用することで、顎堤が無く、通常の義歯では不安定な場合でもしっかりと固定してよく噛む事ができます。
下顎の骨の吸収が進み、義歯が浮いて噛めない方にもこれらのマグネットを使用することにより義歯を安定させることが可能です。
・アタッチメント義歯
アタッチメント義歯とは、部分入れ歯の一種で、アタッチメントという特殊な装置を使用することで、違和感の少ない小さな形態の義歯を作ることができます。お口の状態によっては適応にならない場合もありますが、適応できた場合には針金を使用しないため、見た目の美しい義歯に仕上げることができます。
義歯を作りたい、また現在使用している義歯に不具合がある方は、ぜひお気軽にご相談ください。
第二浜野歯科医院では、マグネット義歯、アタッチメント義歯といった従来の義歯の欠点を解消した義歯を提供しています。
・マグネット義歯
マグネット義歯とはその名の通り、磁力によって固定する義歯です。残っている歯の根の部分に磁性金属を取り付け、義歯に磁石を埋め込む方式です。一般的な義歯のように金属の留め具がないのが特徴です。
400ガウス、600ガウス、800ガウスの、それぞれ異なったマグネットの吸着力を利用することで、顎堤が無く、通常の義歯では不安定な場合でもしっかりと固定してよく噛む事ができます。
下顎の骨の吸収が進み、義歯が浮いて噛めない方にもこれらのマグネットを使用することにより義歯を安定させることが可能です。
・アタッチメント義歯
アタッチメント義歯とは、部分入れ歯の一種で、アタッチメントという特殊な装置を使用することで、違和感の少ない小さな形態の義歯を作ることができます。お口の状態によっては適応にならない場合もありますが、適応できた場合には針金を使用しないため、見た目の美しい義歯に仕上げることができます。
義歯を作りたい、また現在使用している義歯に不具合がある方は、ぜひお気軽にご相談ください。
歯周病:歯を失う原因第1位の病気です

歯周病は、自覚症状がないままにじわじわと進行し、気付いた時には手遅れになっていることも多い、とても怖い病気です。40代以上の8割がかかっているといわれ、早い人では10代からかかっていることもあります。
歯周病にかかると、つぎのような症状があらわれます。
・歯が浮いた感じがする
・口臭がする
・口の中がネバつく
・歯茎の痛みや出血がある
・歯が動く
このような症状をほうっておくと、将来的に歯を失うことにつながってしまいます。
歯周病の治療で、もっとも大切なのは原因となっている歯石を取り除くことです。歯石を取り除くことで、歯の表面がつるつるになり、汚れがつきにくくなるため、歯周病の進行を食い止めることができます。歯石は歯磨きでは除去できないため、歯科医院でクリーニングを受けましょう。
また、日頃のブラッシングを正しく行うことも非常に重要です。正しいブラッシングは、それぞれのお口の状態によって違います。第二浜野歯科医院では、患者様のお口の状態をしっかりと診断し、最適なブラッシング方法をご指導いたします。
歯周病は早期発見、早期治療が大切です。気になる症状がありましたら、できるだけ早めに受診をして、適切な治療を行ないましょう。
歯周病にかかると、つぎのような症状があらわれます。
・歯が浮いた感じがする
・口臭がする
・口の中がネバつく
・歯茎の痛みや出血がある
・歯が動く
このような症状をほうっておくと、将来的に歯を失うことにつながってしまいます。
歯周病の治療で、もっとも大切なのは原因となっている歯石を取り除くことです。歯石を取り除くことで、歯の表面がつるつるになり、汚れがつきにくくなるため、歯周病の進行を食い止めることができます。歯石は歯磨きでは除去できないため、歯科医院でクリーニングを受けましょう。
また、日頃のブラッシングを正しく行うことも非常に重要です。正しいブラッシングは、それぞれのお口の状態によって違います。第二浜野歯科医院では、患者様のお口の状態をしっかりと診断し、最適なブラッシング方法をご指導いたします。
歯周病は早期発見、早期治療が大切です。気になる症状がありましたら、できるだけ早めに受診をして、適切な治療を行ないましょう。
顎関節症:できるだけ早めに治療しましょう

顎関節症になると、つぎのような症状があらわれます。
・痛み
口を開け閉めするときに、耳の前を指で触ると、関節が動くのがわかります。この動いている部分が顎関節で、下顎の付け根に位置しています。痛みを感じる場所が、この場所である場合、顎関節症の可能性が高くなります。
それ以外のこめかみや頬、顎の骨のうしろ、また痛みはあるけれどはっきりと場所がわからない場合には、食べ物を噛む筋肉の痛みであることがほとんどです。
・口を大きく開けられない
この病気の特徴的な症状のひとつに、口が開きにくい、大きく開けられない、急に開けられなくなったというものがあります。このときに、痛みはあることもあれば、ないこともあります。
目安としては、口を開けたときに指3本がたてに入れば、口は十分に開いています。指3本以下で、患者様自身が痛みや不自由を感じていれば、顎関節症の症状といえます。また、開けるときにまがってしまう、ひっかかるような感じがするといった場合も同様です。
・音がする
食事などで口を開けたときに、「コキン」「ゴリゴリ」「ミシミシ」といった音を感じる場合も、この病気の症状といえます。
この病気は、放っておくと症状が悪化したり、嚙み合わせにも問題が起きることもあります。気になる症状がありましたら、ぜひお早めに第二浜野歯科医院までご相談ください。
・痛み
口を開け閉めするときに、耳の前を指で触ると、関節が動くのがわかります。この動いている部分が顎関節で、下顎の付け根に位置しています。痛みを感じる場所が、この場所である場合、顎関節症の可能性が高くなります。
それ以外のこめかみや頬、顎の骨のうしろ、また痛みはあるけれどはっきりと場所がわからない場合には、食べ物を噛む筋肉の痛みであることがほとんどです。
・口を大きく開けられない
この病気の特徴的な症状のひとつに、口が開きにくい、大きく開けられない、急に開けられなくなったというものがあります。このときに、痛みはあることもあれば、ないこともあります。
目安としては、口を開けたときに指3本がたてに入れば、口は十分に開いています。指3本以下で、患者様自身が痛みや不自由を感じていれば、顎関節症の症状といえます。また、開けるときにまがってしまう、ひっかかるような感じがするといった場合も同様です。
・音がする
食事などで口を開けたときに、「コキン」「ゴリゴリ」「ミシミシ」といった音を感じる場合も、この病気の症状といえます。
この病気は、放っておくと症状が悪化したり、嚙み合わせにも問題が起きることもあります。気になる症状がありましたら、ぜひお早めに第二浜野歯科医院までご相談ください。
自由診療のリスク・副作用、その他
自由診療について
患者様のさまざまなニーズに応えるために自由診療を提供しております。しかし、自由診療には健康保険適用外の治療が含まれるため、以下の点にご注意ください。
【リスクについて】
自由診療には、保険適用治療に比べて高度かつ専門的な治療が含まれる場合があります。これらの治療はより高い技術を要求されるため、一般的な治療よりもリスクが高まる可能性があります。
【副作用について】
すべての医療行為には副作用のリスクが伴います。自由診療の場合、使用する材料や治療方法が特殊な場合があるため、通常の治療とは異なる副作用が発生する可能性があります。
【費用について】
自由診療は健康保険の適用外であるため、保険診療と比較して高額になることがあります。治療前には必ず費用の詳細について説明を行い、ご同意をいただいてから治療を開始します。
【治療の選択について】
患者様の健康状態や希望に合わせて、最適な治療計画を提案します。自由診療は選択肢の一つであり、必ずしもすべての患者様に適しているわけではありません。
【その他の注意事項】
治療後のフォローアップやメンテナンスについても、自由診療の範囲内で行うことがあります。これには追加の費用が発生する場合があります。
患者様一人ひとりに合った治療を心がけております。自由診療を含むすべての治療オプションについて、十分な説明とともに、患者様のご理解とご同意を得ることを重視しています。ご不明な点やご心配なことがございましたら、遠慮なくご相談ください。
患者様のさまざまなニーズに応えるために自由診療を提供しております。しかし、自由診療には健康保険適用外の治療が含まれるため、以下の点にご注意ください。
【リスクについて】
自由診療には、保険適用治療に比べて高度かつ専門的な治療が含まれる場合があります。これらの治療はより高い技術を要求されるため、一般的な治療よりもリスクが高まる可能性があります。
【副作用について】
すべての医療行為には副作用のリスクが伴います。自由診療の場合、使用する材料や治療方法が特殊な場合があるため、通常の治療とは異なる副作用が発生する可能性があります。
【費用について】
自由診療は健康保険の適用外であるため、保険診療と比較して高額になることがあります。治療前には必ず費用の詳細について説明を行い、ご同意をいただいてから治療を開始します。
【治療の選択について】
患者様の健康状態や希望に合わせて、最適な治療計画を提案します。自由診療は選択肢の一つであり、必ずしもすべての患者様に適しているわけではありません。
【その他の注意事項】
治療後のフォローアップやメンテナンスについても、自由診療の範囲内で行うことがあります。これには追加の費用が発生する場合があります。
患者様一人ひとりに合った治療を心がけております。自由診療を含むすべての治療オプションについて、十分な説明とともに、患者様のご理解とご同意を得ることを重視しています。ご不明な点やご心配なことがございましたら、遠慮なくご相談ください。
この医院の口コミはまだありません
受付時間
診療時間 | 日 | 月 | 火 | 水 | 木 | 金 | 土 |
---|---|---|---|---|---|---|---|
10:00 ~ 13:00 | |||||||
14:30 ~ 18:30 |
休診日:土曜・日曜・祝日
アクセスマップ
基本情報
医院名 | 第二浜野歯科医院 |
所在地 | 〒169-0074 東京都 新宿区 北新宿1-1-11 2F |
最寄駅 | 大久保駅 南口 徒歩3分 |
診療内容 | 歯冠修復、欠損補綴 / 根管治療 / 歯周病治療 / 予防治療 / 小児歯科 / 口腔外科治療 / 有床義歯 / インプラント治療 / 顎関節症治療 |
医院ID | 19206 |