【土曜も診療】バリアフリー設計の小坂歯科医院
小坂歯科医院は上野駅から徒歩3分の好立地にあり、バリアフリー設計を採用した院内環境の整備を行っております。これにより、車椅子やベビーカーをご利用の方、高齢の患者様にも安全で通いやすい環境を提供しております。また、1人1人の患者様に対して十分な診療時間を確保し、少なくとも30分以上の時間をかけ、きめ細やかな診療を心掛けています。
診療の流れとして、まずお電話にて治療予約を承り、患者様にご希望の時間にご来院いただきます。初診時には、問診票に記入いただき、患者様の治療に対するご要望やご不安、ご来院までの全身状態について丁寧に伺います。これは、歯科治療を行ううえで患者様の全身の健康状態の把握が重要となるためです。
その後、歯やお口の状態についての診査・検査を実施し、患者様のご希望に沿った治療計画をご提案いたします。十分にご理解・ご納得いただいたうえで診療を開始し、患者様に最適な治療を提供できるよう努めております。
診療の流れとして、まずお電話にて治療予約を承り、患者様にご希望の時間にご来院いただきます。初診時には、問診票に記入いただき、患者様の治療に対するご要望やご不安、ご来院までの全身状態について丁寧に伺います。これは、歯科治療を行ううえで患者様の全身の健康状態の把握が重要となるためです。
その後、歯やお口の状態についての診査・検査を実施し、患者様のご希望に沿った治療計画をご提案いたします。十分にご理解・ご納得いただいたうえで診療を開始し、患者様に最適な治療を提供できるよう努めております。
歯周病治療のこだわりポイント
中等度歯周炎の症例
歯周病は、虫歯と同様に適切なブラッシングが行われていないことから、プラーク中の細菌が原因で引き起こされる病気です。日本では成人の6~7割以上が罹患しているといわれ、放置すると歯を失う危険性があります。健康な歯周組織では、歯と歯茎の境目である歯内溝の深さは1~2㎜ですが、歯周病病原菌の影響や噛み合わせの不調和が重なると歯周ポケットが深くなり、歯を支える骨(歯槽骨)が痛みなく失われていきます。
治療としては、歯周ポケット内の歯の表面を徹底的に清掃し、健康ではない不良肉芽を取り除き、歯と歯肉の新しい面を露出させることで治癒を促します。この治療により、歯周組織の回復を目指します。また、歯周病を防ぐためには、患者様それぞれに適したブラッシング法を身につけていただくことが重要です。個々の歯の形状やプラークがたまりやすい部位が異なるため、染め出しによるプラークの可視化を用いたブラッシング指導を行い、効果的なセルフケアをサポートしています。
治療としては、歯周ポケット内の歯の表面を徹底的に清掃し、健康ではない不良肉芽を取り除き、歯と歯肉の新しい面を露出させることで治癒を促します。この治療により、歯周組織の回復を目指します。また、歯周病を防ぐためには、患者様それぞれに適したブラッシング法を身につけていただくことが重要です。個々の歯の形状やプラークがたまりやすい部位が異なるため、染め出しによるプラークの可視化を用いたブラッシング指導を行い、効果的なセルフケアをサポートしています。
医院としての理念・方針
しっかりと説明をしてから治療を開始します
患者様にとって安心して治療を受けていただけるよう、十分なコミュニケーションを大切にし、丁寧な診療を心掛けております。そのため、小坂歯科医院では1人1人の患者様に対して少なくとも30分以上の時間をかけて症状やお悩みを丁寧にお伺いしたうえで、最適な治療方針をご提案し、治療を行います。また、診療に入る前に、治療内容についてわかりやすくご説明し、患者様ご自身がしっかりと納得されたうえで治療を進めるといったインフォームドコンセントを徹底しております。患者様に安心して通院していただけるよう配慮しながら、待合室には雑誌やウォーターサーバーを設置するなどの工夫でリラックスできる環境作りにも力を入れ、信頼関係の構築を目指しています。
院長について
▽略歴
私立市川学園中学校·高校卒業
国立東京医科歯科大学歯学部卒業(大学6年)
国立東京医科歯科大学歯学部大学院 修了
(第3保存:現在 歯髄生物学分野)
東京医科歯科大学歯学部付属病院 勤務(2年間)
新宿区西落合木村歯科医院 勤務(3年間)
1998年4月1日小坂歯科医院 開業
私立市川学園中学校·高校卒業
国立東京医科歯科大学歯学部卒業(大学6年)
国立東京医科歯科大学歯学部大学院 修了
(第3保存:現在 歯髄生物学分野)
東京医科歯科大学歯学部付属病院 勤務(2年間)
新宿区西落合木村歯科医院 勤務(3年間)
1998年4月1日小坂歯科医院 開業
インプラント治療は自然な歯に近い機能と審美性を提供します
インプラントは周囲の歯への負担が少ない治療法です
歯が欠損した際、従来はブリッジなどの治療法により隣接する健康な歯を削ることや、義歯の安定を図るために過剰な負担をかける必要がありました。しかし、これらの治療法は機能面や審美性に課題があり、満足できないケースが多く見られました。インプラント治療は、欠損部の骨に人工歯根を埋め込むことで、自然な歯に近い機能と審美性を提供する先端的な治療法です。インプラントは周囲の歯に負担をかけず、隣在歯の負荷を軽減する役割も担い、長期にわたる安定した咬合を実現します。
治療前には、模型作成、レントゲン写真による検査、問診などを総合的に行い、患者様と治療内容を十分に相談した上で、合意を得た後に治療を開始します。インプラント手術には通常の虫歯治療と同様の浸潤麻酔を使用するため、処置中に痛みを感じることはほとんどありません。虫歯治療を受ける際のような感覚で臨んでいただければ、恐怖心や負担も少なく、インプラント治療が身近な選択肢となるよう努めています。
治療前には、模型作成、レントゲン写真による検査、問診などを総合的に行い、患者様と治療内容を十分に相談した上で、合意を得た後に治療を開始します。インプラント手術には通常の虫歯治療と同様の浸潤麻酔を使用するため、処置中に痛みを感じることはほとんどありません。虫歯治療を受ける際のような感覚で臨んでいただければ、恐怖心や負担も少なく、インプラント治療が身近な選択肢となるよう努めています。
取り外し式と固定式の義歯があります
パーシャルデンチャーの症例
義歯には患者様の状態に応じて多様な種類があり、保険診療の範囲内で対応できるため、経済的な負担を軽減することが可能です。歯を失った際に義歯で補う方法として、毎日着脱して手入れを行う取り外し式義歯と、セメントで固定して取り外しの必要がない固定式義歯があります。どちらも健康保険適用の範囲で治療が可能で、従来から用いられてきた信頼性の高い治療法です。
取り外し式の部分入れ歯は、両隣の歯にバネをかけて安定を図るタイプが一般的です。また、ブリッジは欠損部の両側の歯を削り被せ物で補強し、失われた部分を人工歯で補填する方法であり、固定式義歯の一例です。クラウンなどの差し歯を装着する際には、歯の根の部分にコア(土台)を作ります。この土台は義歯の耐久性に関わる重要な部分であり、強固な土台であれば義歯の交換も可能です。しかし、コアが不安定で無理に外そうとすると歯の破損や抜歯が必要になる場合もあるため、素材選びは慎重に行う必要があります。
また、義歯治療においては、隣接する歯に負担がかかることも課題です。バネや削合による影響で虫歯や歯周病のリスクが高まることもあります。このようなケースには、インプラント治療を検討することも一つの選択肢です。インプラントはすべての部位に適応するわけではありませんが、さまざまな部位で対応が可能です。
取り外し式の部分入れ歯は、両隣の歯にバネをかけて安定を図るタイプが一般的です。また、ブリッジは欠損部の両側の歯を削り被せ物で補強し、失われた部分を人工歯で補填する方法であり、固定式義歯の一例です。クラウンなどの差し歯を装着する際には、歯の根の部分にコア(土台)を作ります。この土台は義歯の耐久性に関わる重要な部分であり、強固な土台であれば義歯の交換も可能です。しかし、コアが不安定で無理に外そうとすると歯の破損や抜歯が必要になる場合もあるため、素材選びは慎重に行う必要があります。
また、義歯治療においては、隣接する歯に負担がかかることも課題です。バネや削合による影響で虫歯や歯周病のリスクが高まることもあります。このようなケースには、インプラント治療を検討することも一つの選択肢です。インプラントはすべての部位に適応するわけではありませんが、さまざまな部位で対応が可能です。
ホワイトニング治療で自信と若返りを促進
自然で美しい白い歯にします
加齢などによる歯の変色自体は病気ではなく、審美的な観点から治療が行われますが、歯を白くすることで、外見への自信が高まり、精神的な若返りを感じることができます。そのため、見た目に対する意識の向上を目指す方にはホワイトニング治療が適しています。
ホワイトニング治療の過程として、最初に治療の注意事項について説明し、口腔内の診査を行って適応症かどうかを確認します。その後、歯科医師や歯科衛生士による機械的な歯面清掃を前処置として実施し、表面の汚れを除去することで、ホワイトニングの効果が均一になるよう準備を整えます。次に、歯の色を診査し、治療前の色調を記録した上で、患者様の歯型を採取して専用のマウストレーを作製します。このトレーは、患者様の口腔内に合わせたものであり、ホワイトニングジェルを効果的に作用させるためのものです。
治療時には、このマウストレーにホワイトニングジェルを注入して装着し、歯の色調を改善します。治療の進行は、患者様の状況や希望に合わせて調整され、自然な白さを目指して実施されます。
ホワイトニング治療の過程として、最初に治療の注意事項について説明し、口腔内の診査を行って適応症かどうかを確認します。その後、歯科医師や歯科衛生士による機械的な歯面清掃を前処置として実施し、表面の汚れを除去することで、ホワイトニングの効果が均一になるよう準備を整えます。次に、歯の色を診査し、治療前の色調を記録した上で、患者様の歯型を採取して専用のマウストレーを作製します。このトレーは、患者様の口腔内に合わせたものであり、ホワイトニングジェルを効果的に作用させるためのものです。
治療時には、このマウストレーにホワイトニングジェルを注入して装着し、歯の色調を改善します。治療の進行は、患者様の状況や希望に合わせて調整され、自然な白さを目指して実施されます。
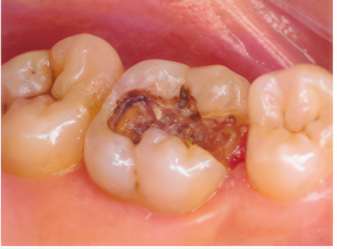
虫歯治療は進行度に応じて治療します
機能性や審美性も考慮します
歯は表層からエナメル質、象牙質、歯髄の三層構造から成り、歯根膜を介して歯槽骨に支持されています。適切なブラッシングが行われない場合、歯表面に残った磨き残しがプラークとなり、その中の細菌が虫歯や歯周病を引き起こします。虫歯の原因菌であるストレプトコッカス・ミュータンスは糖分を栄養源として酸を生成し、この酸が歯のエナメル質を溶かして虫歯を発生させます。虫歯の進行には、摂取する糖分の量、歯質の強度、そして放置する時間の長さが影響します。
前歯の虫歯治療では、虫歯が小さい場合には歯に近い色のレジン(樹脂)で充填を行います。虫歯が広範囲に及ぶ場合は、歯を覆うクラウン(被せ物)による処置を行いますが、審美面に配慮し、見た目に金属が露出しないように工夫されています。奥歯の虫歯に対しては、接触面に虫歯が発生した場合、虫歯部分を除去してから型を取り、適合の良い金属で詰める治療を行います。噛み合わせ面に小規模な虫歯が限局している場合には、レジン充填を用いることも可能です。
これらの治療法は、それぞれの歯の位置や虫歯の進行状態、また審美的な要素を考慮して選択され、機能と見た目の両面において自然な仕上がりを目指しています。
前歯の虫歯治療では、虫歯が小さい場合には歯に近い色のレジン(樹脂)で充填を行います。虫歯が広範囲に及ぶ場合は、歯を覆うクラウン(被せ物)による処置を行いますが、審美面に配慮し、見た目に金属が露出しないように工夫されています。奥歯の虫歯に対しては、接触面に虫歯が発生した場合、虫歯部分を除去してから型を取り、適合の良い金属で詰める治療を行います。噛み合わせ面に小規模な虫歯が限局している場合には、レジン充填を用いることも可能です。
これらの治療法は、それぞれの歯の位置や虫歯の進行状態、また審美的な要素を考慮して選択され、機能と見た目の両面において自然な仕上がりを目指しています。
自由診療のリスク・副作用、その他
自由診療について
患者様のさまざまなニーズに応えるために自由診療を提供しております。しかし、自由診療には健康保険適用外の治療が含まれるため、以下の点にご注意ください。
【リスクについて】
自由診療には、保険適用治療に比べて高度かつ専門的な治療が含まれる場合があります。これらの治療はより高い技術を要求されるため、一般的な治療よりもリスクが高まる可能性があります。
【副作用について】
すべての医療行為には副作用のリスクが伴います。自由診療の場合、使用する材料や治療方法が特殊な場合があるため、通常の治療とは異なる副作用が発生する可能性があります。
【費用について】
自由診療は健康保険の適用外であるため、保険診療と比較して高額になることがあります。治療前には必ず費用の詳細について説明を行い、ご同意をいただいてから治療を開始します。
【治療の選択について】
患者様の健康状態や希望に合わせて、最適な治療計画を提案します。自由診療は選択肢の一つであり、必ずしもすべての患者様に適しているわけではありません。
【その他の注意事項】
治療後のフォローアップやメンテナンスについても、自由診療の範囲内で行うことがあります。これには追加の費用が発生する場合があります。
患者様一人ひとりに合った治療を心がけております。自由診療を含むすべての治療オプションについて、十分な説明とともに、患者様のご理解とご同意を得ることを重視しています。ご不明な点やご心配なことがございましたら、遠慮なくご相談ください。
患者様のさまざまなニーズに応えるために自由診療を提供しております。しかし、自由診療には健康保険適用外の治療が含まれるため、以下の点にご注意ください。
【リスクについて】
自由診療には、保険適用治療に比べて高度かつ専門的な治療が含まれる場合があります。これらの治療はより高い技術を要求されるため、一般的な治療よりもリスクが高まる可能性があります。
【副作用について】
すべての医療行為には副作用のリスクが伴います。自由診療の場合、使用する材料や治療方法が特殊な場合があるため、通常の治療とは異なる副作用が発生する可能性があります。
【費用について】
自由診療は健康保険の適用外であるため、保険診療と比較して高額になることがあります。治療前には必ず費用の詳細について説明を行い、ご同意をいただいてから治療を開始します。
【治療の選択について】
患者様の健康状態や希望に合わせて、最適な治療計画を提案します。自由診療は選択肢の一つであり、必ずしもすべての患者様に適しているわけではありません。
【その他の注意事項】
治療後のフォローアップやメンテナンスについても、自由診療の範囲内で行うことがあります。これには追加の費用が発生する場合があります。
患者様一人ひとりに合った治療を心がけております。自由診療を含むすべての治療オプションについて、十分な説明とともに、患者様のご理解とご同意を得ることを重視しています。ご不明な点やご心配なことがございましたら、遠慮なくご相談ください。
この医院の口コミはまだありません
受付時間
| 診療時間 | 日 | 月 | 火 | 水 | 木 | 金 | 土 |
|---|---|---|---|---|---|---|---|
| 09:30 ~ 13:00 | |||||||
| 14:30 ~ 19:30 | |||||||
| 14:30 ~ 17:00 |
休診日:日曜・祝日
アクセスマップ
基本情報
| 医院名 | 小坂歯科医院 |
| 所在地 | 〒110-0015 東京都 台東区 東上野3-11-2 オルビタールバースビル4F |
| 最寄駅 | 上野駅 昭和通り側地上ゆきエレベーター 徒歩3分 |
| 診療内容 | 歯冠修復、欠損補綴 / 根管治療 / 歯周病治療 / 予防治療 / 口腔外科治療 / 有床義歯 / インプラント治療 |
| 医院ID | 15216 |