【土日も診療】保険診療を中心とした栗原歯科医院
東京都北区東十条に位置する栗原歯科医院は、開院から25年にわたり多くの患者様を診療してまいりました。この長い歴史で培った経験が栗原歯科医院の大きな強みとなっており、患者様のニーズに応じた質の高い歯科治療を提供しています。特に保険診療を中心に、患者様の負担を最小限に抑えながらも、丁寧で確実な治療を行うことを大切にしております。また、必要に応じて高度な技術を用いた自由診療にも対応し、幅広い選択肢を用意しております。
患者様に快適に通院していただけるよう、明るく丁寧な対応をスタッフ一同心がけています。治療だけでなく、患者様との信頼関係を築くことを重視し、一人ひとりの症状やご要望に真摯に向き合いながら最適な治療プランをご提案いたします。
また、治療に使用する技工物においても高い品質を追求しています。国内の信頼性の高い技工所と提携し、精密な技工物を提供することで、見た目の美しさだけでなく、長期間の使用にも耐えうる耐久性を確保しております。これにより、患者様の歯と口腔内の健康を長期的にサポートできる治療を実現しています。
今後も地域の皆様に信頼される歯科医院として、安心で確実な診療を提供してまいります。
患者様に快適に通院していただけるよう、明るく丁寧な対応をスタッフ一同心がけています。治療だけでなく、患者様との信頼関係を築くことを重視し、一人ひとりの症状やご要望に真摯に向き合いながら最適な治療プランをご提案いたします。
また、治療に使用する技工物においても高い品質を追求しています。国内の信頼性の高い技工所と提携し、精密な技工物を提供することで、見た目の美しさだけでなく、長期間の使用にも耐えうる耐久性を確保しております。これにより、患者様の歯と口腔内の健康を長期的にサポートできる治療を実現しています。
今後も地域の皆様に信頼される歯科医院として、安心で確実な診療を提供してまいります。
歯周病治療のこだわりポイント

歯周病と全身疾患の関連性が近年注目されており、その要因として歯周病原菌や炎症性サイトカイン、内毒素(LPS)などが挙げられます。これらは歯周病の病巣から血管を通じて全身に巡り、悪影響を及ぼすことがわかっています。歯周病は単なる口腔の問題にとどまらず、全身の健康にも影響を与える疾患であり、特に若い世代においても注意が必要です。
若年性歯周炎は、一般的に40代以降に進行する歯周病とは異なり、20代から30代という若い世代で発症する特徴があります。このタイプの歯周炎は進行が速く、前歯に症状が現れやすい一方で奥歯にはあまり影響が出ないことが多いです。進行の速さと特異な症状から、一般的な歯周病の治療方法が効果を発揮しにくい場合があります。歯ブラシによるセルフケアや市販薬だけでは症状を改善できないため、早期に歯科医院を受診して適切な治療を受けることが重要です。
歯周病の影響は若年性歯周炎に限らず、日本人成人の約80%が何らかの形で歯周病に罹患しているとされますが、初期段階では自覚症状がほとんどないため、多くの場合見過ごされています。こうした症状が進行する前に定期的に栗原歯科医院で歯科検診を受け、治療や予防のためのクリーニングを受けることをおすすめしております。
若年性歯周炎は、一般的に40代以降に進行する歯周病とは異なり、20代から30代という若い世代で発症する特徴があります。このタイプの歯周炎は進行が速く、前歯に症状が現れやすい一方で奥歯にはあまり影響が出ないことが多いです。進行の速さと特異な症状から、一般的な歯周病の治療方法が効果を発揮しにくい場合があります。歯ブラシによるセルフケアや市販薬だけでは症状を改善できないため、早期に歯科医院を受診して適切な治療を受けることが重要です。
歯周病の影響は若年性歯周炎に限らず、日本人成人の約80%が何らかの形で歯周病に罹患しているとされますが、初期段階では自覚症状がほとんどないため、多くの場合見過ごされています。こうした症状が進行する前に定期的に栗原歯科医院で歯科検診を受け、治療や予防のためのクリーニングを受けることをおすすめしております。
医院としての理念・方針

この地域に開院してから約25年、これまで多くの患者様を診療してきました。長年の経験と実績に基づいた治療が医院の大きな特徴であり、患者様にできる限り保険診療の範囲内で提供することを心掛けています。
地域の皆様に支えられ、現在では高いリピート率を誇る歯科医院として評価をいただいております。多くの患者様が継続してご来院される背景には、丁寧な診療と信頼を大切にする姿勢があると自負しております。これからも変わらぬ治療を通じて地域の皆様の健康を支え続けることを目指し、医療の質をさらに向上させる努力を重ねてまいります。患者様一人ひとりに寄り添い、安心して通院いただける歯科医院を目指して診療を続けてまいります。
地域の皆様に支えられ、現在では高いリピート率を誇る歯科医院として評価をいただいております。多くの患者様が継続してご来院される背景には、丁寧な診療と信頼を大切にする姿勢があると自負しております。これからも変わらぬ治療を通じて地域の皆様の健康を支え続けることを目指し、医療の質をさらに向上させる努力を重ねてまいります。患者様一人ひとりに寄り添い、安心して通院いただける歯科医院を目指して診療を続けてまいります。
院長について

▽略歴
昭和60年3月
日本大学歯学部卒業
昭和60年4月
日本大学歯学部歯科病院 保存修復学講座入局
昭和63年5月
栗原歯科医院開業
昭和60年3月
日本大学歯学部卒業
昭和60年4月
日本大学歯学部歯科病院 保存修復学講座入局
昭和63年5月
栗原歯科医院開業
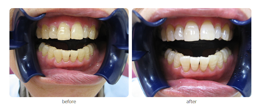
高度なオフィスホワイトニングを提供

日々の歯磨きや歯科医院での定期的なデンタルケアでは落としきれない歯の内部の色素沈着に対しては、薬剤やレーザーを使用するホワイトニングが効果的です。歯の表面を削ることなく色素を分解し、歯本来の白さを取り戻します。笑顔を引き立てる白い歯は、見た目の印象を向上させるだけでなく、自己肯定感の向上にもつながります。
歯が変色する原因にはコーヒーやお茶、タバコ等の色素が取り込まれてしまうことや、加齢が上げられます。
ホワイトニングの方法としてはオフィスホワイトニングとホームホワイトニングがありますが、栗原歯科医院ではより効果の高いオフィスホワイトニングを採用しています。この治療では、ホワイトニングジェルを歯の表面に塗布し、専用の機器で特殊な光を照射することで歯を短時間で白くします。ホームホワイトニングと比較して強い薬剤を使用するため、その日のうちに効果を実感できる場合が多いです。ただし、即効性がある反面、効果の持続期間がホームホワイトニングに比べて短いという特徴もあります。治療効果を長持ちさせるためには、適切なアフターケアと日常的な口腔ケアが重要です。
歯が変色する原因にはコーヒーやお茶、タバコ等の色素が取り込まれてしまうことや、加齢が上げられます。
ホワイトニングの方法としてはオフィスホワイトニングとホームホワイトニングがありますが、栗原歯科医院ではより効果の高いオフィスホワイトニングを採用しています。この治療では、ホワイトニングジェルを歯の表面に塗布し、専用の機器で特殊な光を照射することで歯を短時間で白くします。ホームホワイトニングと比較して強い薬剤を使用するため、その日のうちに効果を実感できる場合が多いです。ただし、即効性がある反面、効果の持続期間がホームホワイトニングに比べて短いという特徴もあります。治療効果を長持ちさせるためには、適切なアフターケアと日常的な口腔ケアが重要です。
歯石の除去で予防治療

歯石は、歯垢が石灰化して硬くなったものであり、毎日しっかり歯を磨いていても食事をすれば必ず形成されます。一度歯石ができてしまうと、歯磨きだけでは取り除くことができません。歯垢が蓄積し始めてから約2日間で歯石が形成され、1か月ほど経つとその歯石はさらに硬く大きくなります。
放置すると歯石が細菌の温床となり、歯周病を引き起こす可能性が高くなるため、歯石除去は口腔の健康を保つ上で非常に重要です。歯石そのものは健康に直接悪影響を及ぼしませんが、歯垢や歯石に潜む細菌が歯周病を進行させる原因となり、全身の健康にも悪影響を与える可能性があります。
定期的に歯石を取り除くことで、将来的に入れ歯に頼らず、自分の歯で食事を楽しむことが期待できます。特に若い頃から正しい歯磨き習慣を身につけ、定期的なクリーニングを受けることは、歯の寿命を延ばすために非常に効果的です。歯石除去には、超音波スケーラーという器具を使用し、歯の表面に付着した頑固な歯石や汚れを効率的に取り除きます。歯を削るような音がしますが、実際には歯は削られず、痛みもほとんど感じない方が多いため、安心して受診していただけます。
汚れは日常の歯磨きだけでは完全に除去できないため、半年に一度の定期的なクリーニングを推奨しています。
放置すると歯石が細菌の温床となり、歯周病を引き起こす可能性が高くなるため、歯石除去は口腔の健康を保つ上で非常に重要です。歯石そのものは健康に直接悪影響を及ぼしませんが、歯垢や歯石に潜む細菌が歯周病を進行させる原因となり、全身の健康にも悪影響を与える可能性があります。
定期的に歯石を取り除くことで、将来的に入れ歯に頼らず、自分の歯で食事を楽しむことが期待できます。特に若い頃から正しい歯磨き習慣を身につけ、定期的なクリーニングを受けることは、歯の寿命を延ばすために非常に効果的です。歯石除去には、超音波スケーラーという器具を使用し、歯の表面に付着した頑固な歯石や汚れを効率的に取り除きます。歯を削るような音がしますが、実際には歯は削られず、痛みもほとんど感じない方が多いため、安心して受診していただけます。
汚れは日常の歯磨きだけでは完全に除去できないため、半年に一度の定期的なクリーニングを推奨しています。
自由診療のリスク・副作用、その他
自由診療について
患者様のさまざまなニーズに応えるために自由診療を提供しております。しかし、自由診療には健康保険適用外の治療が含まれるため、以下の点にご注意ください。
【リスクについて】
自由診療には、保険適用治療に比べて高度かつ専門的な治療が含まれる場合があります。これらの治療はより高い技術を要求されるため、一般的な治療よりもリスクが高まる可能性があります。
【副作用について】
すべての医療行為には副作用のリスクが伴います。自由診療の場合、使用する材料や治療方法が特殊な場合があるため、通常の治療とは異なる副作用が発生する可能性があります。
【費用について】
自由診療は健康保険の適用外であるため、保険診療と比較して高額になることがあります。治療前には必ず費用の詳細について説明を行い、ご同意をいただいてから治療を開始します。
【治療の選択について】
患者様の健康状態や希望に合わせて、最適な治療計画を提案します。自由診療は選択肢の一つであり、必ずしもすべての患者様に適しているわけではありません。
【その他の注意事項】
治療後のフォローアップやメンテナンスについても、自由診療の範囲内で行うことがあります。これには追加の費用が発生する場合があります。
患者様一人ひとりに合った治療を心がけております。自由診療を含むすべての治療オプションについて、十分な説明とともに、患者様のご理解とご同意を得ることを重視しています。ご不明な点やご心配なことがございましたら、遠慮なくご相談ください。
患者様のさまざまなニーズに応えるために自由診療を提供しております。しかし、自由診療には健康保険適用外の治療が含まれるため、以下の点にご注意ください。
【リスクについて】
自由診療には、保険適用治療に比べて高度かつ専門的な治療が含まれる場合があります。これらの治療はより高い技術を要求されるため、一般的な治療よりもリスクが高まる可能性があります。
【副作用について】
すべての医療行為には副作用のリスクが伴います。自由診療の場合、使用する材料や治療方法が特殊な場合があるため、通常の治療とは異なる副作用が発生する可能性があります。
【費用について】
自由診療は健康保険の適用外であるため、保険診療と比較して高額になることがあります。治療前には必ず費用の詳細について説明を行い、ご同意をいただいてから治療を開始します。
【治療の選択について】
患者様の健康状態や希望に合わせて、最適な治療計画を提案します。自由診療は選択肢の一つであり、必ずしもすべての患者様に適しているわけではありません。
【その他の注意事項】
治療後のフォローアップやメンテナンスについても、自由診療の範囲内で行うことがあります。これには追加の費用が発生する場合があります。
患者様一人ひとりに合った治療を心がけております。自由診療を含むすべての治療オプションについて、十分な説明とともに、患者様のご理解とご同意を得ることを重視しています。ご不明な点やご心配なことがございましたら、遠慮なくご相談ください。
この医院の口コミはまだありません
受付時間
診療時間 | 日 | 月 | 火 | 水 | 木 | 金 | 土 |
---|---|---|---|---|---|---|---|
10:00 ~ 12:30 | |||||||
15:00 ~ 20:30 | |||||||
16:00 ~ 20:30 | |||||||
15:00 ~ 18:00 | |||||||
15:00 ~ 17:30 |
休診日:祝日・第一金曜日・第一土曜日
金曜の午後の診療は16:00~18:00
アクセスマップ
基本情報
医院名 | 栗原歯科医院 |
所在地 | 〒114-0001 東京都 北区 東十条3-5-9 |
最寄駅 | 東十条駅 北口東側 徒歩5分 |
診療内容 | 歯冠修復、欠損補綴 / 根管治療 / 歯周病治療 / 予防治療 / 小児歯科 / 矯正歯科 / 口腔外科治療 / インプラント治療 |
医院ID | 15164 |