【土曜も診療】無痛治療を提供する小川歯科医院
小川歯科医院では、患者様に安心して治療を受けていただくために無痛治療を重視しています。無痛治療とは、痛みを最小限に抑えた治療を実現する方法であり、その実践には多様な治療器具や技術が用いられています。歯科治療において痛みを感じさせないことは長年の課題とされ、多くの研究が進められてきました。小川歯科医院では、痛みを抑える最新技術としてレーザー治療を採用しています。
レーザー治療は、麻酔を使用せずに多くの処置が可能で、痛みを最小限に抑えることが特徴です。さらに、麻酔注射に伴う痛みや不快感がなく、治療中のストレスを軽減します。また、細菌の除去効果を有しており、処置後の治癒を早める点でも優れています。
また、小川歯科医院では抜歯は最後の手段とし、できる限り歯を残すことを目指しています。ただし、歯周病が進行した歯を無理に残すことは、病巣を温存するリスクを伴います。このため、治療には多くの労力が必要となるほか、患者様自身にも日々の正確な歯磨きが求められます。歯の健康を維持するためには、歯科医師と患者様が連携して治療と予防を進めることが大切です。そのため、定期的な検診やクリーニング、ブラッシング指導などの予防治療も積極的に行っております。
レーザー治療は、麻酔を使用せずに多くの処置が可能で、痛みを最小限に抑えることが特徴です。さらに、麻酔注射に伴う痛みや不快感がなく、治療中のストレスを軽減します。また、細菌の除去効果を有しており、処置後の治癒を早める点でも優れています。
また、小川歯科医院では抜歯は最後の手段とし、できる限り歯を残すことを目指しています。ただし、歯周病が進行した歯を無理に残すことは、病巣を温存するリスクを伴います。このため、治療には多くの労力が必要となるほか、患者様自身にも日々の正確な歯磨きが求められます。歯の健康を維持するためには、歯科医師と患者様が連携して治療と予防を進めることが大切です。そのため、定期的な検診やクリーニング、ブラッシング指導などの予防治療も積極的に行っております。
根管治療のこだわりポイント

深いむし歯が神経に達している場合や、歯周病で歯が揺れ、根が露出して強い痛みを伴う場合には、神経を取る処置が必要になることがあります。しかし、このような状況でも適切な根管治療を行うことで歯の寿命を延ばすことが可能です。
神経を取った後は、神経が入っていた根管を丁寧に清掃し、根の先端まで薬剤を充填します。この処置は、かぶせ物や補綴物の土台を作る重要な工程であり、歯を保存するために欠かせません。ただし、根管の形状は歯の種類によって異なり、非常に複雑な場合もあります。このため、治療は手探りの作業となり、十分に行わなければ根の先端に病変が発生する原因となる可能性があります。
小川歯科医院では、従来の方法に加え、最新の薬剤である3MIX-MP法を取り入れ、難しい根管治療にも徹底的に対応しています。この治療は非常に繊細な作業であり、患者様には複数回の通院をお願いすることがありますが、これこそが歯を抜かずに保存するための重要な基礎作りとなります。
根管治療は歯の健康を維持するうえで欠かせない大切な処置です。時間と手間をかけて行うことで、歯をできる限り長く守ることができます。丁寧な治療を通じて、患者様の歯の健康を支えています。
神経を取った後は、神経が入っていた根管を丁寧に清掃し、根の先端まで薬剤を充填します。この処置は、かぶせ物や補綴物の土台を作る重要な工程であり、歯を保存するために欠かせません。ただし、根管の形状は歯の種類によって異なり、非常に複雑な場合もあります。このため、治療は手探りの作業となり、十分に行わなければ根の先端に病変が発生する原因となる可能性があります。
小川歯科医院では、従来の方法に加え、最新の薬剤である3MIX-MP法を取り入れ、難しい根管治療にも徹底的に対応しています。この治療は非常に繊細な作業であり、患者様には複数回の通院をお願いすることがありますが、これこそが歯を抜かずに保存するための重要な基礎作りとなります。
根管治療は歯の健康を維持するうえで欠かせない大切な処置です。時間と手間をかけて行うことで、歯をできる限り長く守ることができます。丁寧な治療を通じて、患者様の歯の健康を支えています。
医院としての理念・方針

患者様に少しでも痛みを感じさせない治療を提供するため、さまざまな工夫を重ね、最善の対応を心がけています。多くの方が歯科医院に対し「怖い」「できれば行きたくない」といった印象をお持ちかもしれません。そのため、患者様の不安に寄り添い、痛みを最小限に抑える治療を目指しています。
初診時には、患者様の不安を丁寧にお聞きし、歯周病検査や口腔内写真の撮影を行った上で、一つひとつの原因についてわかりやすく説明いたします。患者様にご納得いただいてから治療を進めることを大切にしています。
また、治療は完了が目的ではなく、長期的な口腔健康を維持するための予防が重要だと考えています。治療後も定期健診やクリーニングを通じて患者様と一緒に健康なお口の環境を保つ努力を続けています。患者様の大切な歯を1本でも多く守るために、最善を尽くします。
初診時には、患者様の不安を丁寧にお聞きし、歯周病検査や口腔内写真の撮影を行った上で、一つひとつの原因についてわかりやすく説明いたします。患者様にご納得いただいてから治療を進めることを大切にしています。
また、治療は完了が目的ではなく、長期的な口腔健康を維持するための予防が重要だと考えています。治療後も定期健診やクリーニングを通じて患者様と一緒に健康なお口の環境を保つ努力を続けています。患者様の大切な歯を1本でも多く守るために、最善を尽くします。
院長について

歯を失う原因である歯周病を徹底的に治療

歯周病は、症状が現れるまでに長い時間を要する疾患であり、「静かなる病(Silent Disease)」とも呼ばれるほど進行が緩やかです。しかし、放置すると歯に付着した細菌が歯肉に炎症を起こし、さらに歯を支える骨を溶かしてしまうため、生活習慣病の一つとして注意が必要です。自覚症状が出る頃には進行している場合が多いため、早期発見のための徹底した歯周病検査が重要となります。
歯周病検査では、まずレントゲン写真を撮影します。肉眼では確認できない虫歯の有無や、歯を支える骨の状態を詳しく確認します。さらに口腔内写真を撮影し、複数の角度からお口の中を観察します。歯肉の色や炎症の状態がわかりやすく、正面からだけでなく横側や内側も拡大して確認することで、虫歯や歯周病の詳細な状態が把握できます。必要と判断した写真については、保険点数に関係なく追加で撮影しています。
次に、歯周ポケットの深さを測定します。歯と歯肉の間の溝が深くなると、そこに細菌が溜まり、悪循環を引き起こします。測定は専用のプローブを用い、一本の歯に対して4か所を診断し、全ての歯について詳細なデータを収集します。また、歯の動揺度も確認し、0度から3度までの4段階でグラつきの程度を評価します。
これらの検査に基づき、具体的な治療方法を決定し、患者様一人ひとりに最適な歯周病治療を提供しています。
歯周病検査では、まずレントゲン写真を撮影します。肉眼では確認できない虫歯の有無や、歯を支える骨の状態を詳しく確認します。さらに口腔内写真を撮影し、複数の角度からお口の中を観察します。歯肉の色や炎症の状態がわかりやすく、正面からだけでなく横側や内側も拡大して確認することで、虫歯や歯周病の詳細な状態が把握できます。必要と判断した写真については、保険点数に関係なく追加で撮影しています。
次に、歯周ポケットの深さを測定します。歯と歯肉の間の溝が深くなると、そこに細菌が溜まり、悪循環を引き起こします。測定は専用のプローブを用い、一本の歯に対して4か所を診断し、全ての歯について詳細なデータを収集します。また、歯の動揺度も確認し、0度から3度までの4段階でグラつきの程度を評価します。
これらの検査に基づき、具体的な治療方法を決定し、患者様一人ひとりに最適な歯周病治療を提供しています。
歯を残すための予防治療

歯にも寿命があり、予防を怠ると前歯は約60年、奥歯は約50年とされています。現在の日本人の平均的な歯の保有本数は、80歳でわずか7本程度と報告されています。そのため、今ある歯を大切に守るためには、定期的な予防歯科の受診と正しい歯磨き習慣の徹底が必要不可欠です。歯磨きの目的は食べカスを取るだけでなく、歯垢を取り除くことにあります。歯垢1mgには約1億の細菌が含まれており、これが歯周病や虫歯の主な原因となります。
予防歯科では、ひとりひとりに合った歯ブラシや歯間ブラシの選び方や使用方法を指導しています。欧米では一般的なフロスや歯間ブラシが、現在の日本では浸透していないのが現状です。正しい歯磨き方法を身につけることで磨き残しを減らし、口腔内の健康を保つことができます。また、歯科衛生士によるプロフェッショナルケアでは、頑固なステインや深い歯周ポケット内の歯石を徹底的に除去し、健康な歯ぐきを回復させます。
さらに、バイオフィルムと呼ばれる細菌の膜は、毎日の歯磨きだけでは除去できないため、専門的なクリーニングが必要です。このプロケアにより、虫歯や歯周病、口臭などのトラブルを未然に防ぐことができます。特に加齢に伴い薄くなるエナメル質を強化することで、歯の健康を保つだけでなく、若々しい見た目の維持にもつながります。
予防歯科では、ひとりひとりに合った歯ブラシや歯間ブラシの選び方や使用方法を指導しています。欧米では一般的なフロスや歯間ブラシが、現在の日本では浸透していないのが現状です。正しい歯磨き方法を身につけることで磨き残しを減らし、口腔内の健康を保つことができます。また、歯科衛生士によるプロフェッショナルケアでは、頑固なステインや深い歯周ポケット内の歯石を徹底的に除去し、健康な歯ぐきを回復させます。
さらに、バイオフィルムと呼ばれる細菌の膜は、毎日の歯磨きだけでは除去できないため、専門的なクリーニングが必要です。このプロケアにより、虫歯や歯周病、口臭などのトラブルを未然に防ぐことができます。特に加齢に伴い薄くなるエナメル質を強化することで、歯の健康を保つだけでなく、若々しい見た目の維持にもつながります。
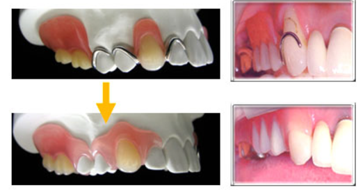
目立たない入れ歯を提供します

ノンクラスプデンチャーは、快適性と審美性を兼ね備えた入れ歯として注目されています。この入れ歯は通常の部分入れ歯に見られる金属バネ(クラスプ)がなく、自然な見た目を実現します。金属バネは入れ歯の固定に重要ですが、見た目に影響を与える場合があります。ノンクラスプデンチャーでは樹脂を使用するため、口を開けても金属が目立たず、美しい仕上がりを保つことができます。
金属を使用しないため、金属アレルギーの心配がなく、樹脂の色は歯ぐきに近い自然な色合いで作られます。また、患者様の口腔環境に合わせた強度と弾性で製作されるため、残存歯や歯ぐきに負担をかけません。しっかりとフィットして噛み心地も良く、快適に食事を楽しむことができます。
ノンクラスプデンチャーは薄く軽い素材で作られており、従来の入れ歯に比べて装着時の違和感が少ないことが特徴です。また、柔軟性が高く破折しにくいため、長期間安心して使用できます。この入れ歯を装着することで、入れ歯をしていると気づかれにくく、大きく笑っても自然な見た目を保つことができます。
審美性だけでなく、機能性や耐久性にも優れたノンクラスプデンチャーは、従来の入れ歯に感じられる不満や制約を大幅に軽減します。笑顔に自信を持ちたい方におすすめの選択肢です。治療や詳細については、ぜひご来院時にお尋ねください。
金属を使用しないため、金属アレルギーの心配がなく、樹脂の色は歯ぐきに近い自然な色合いで作られます。また、患者様の口腔環境に合わせた強度と弾性で製作されるため、残存歯や歯ぐきに負担をかけません。しっかりとフィットして噛み心地も良く、快適に食事を楽しむことができます。
ノンクラスプデンチャーは薄く軽い素材で作られており、従来の入れ歯に比べて装着時の違和感が少ないことが特徴です。また、柔軟性が高く破折しにくいため、長期間安心して使用できます。この入れ歯を装着することで、入れ歯をしていると気づかれにくく、大きく笑っても自然な見た目を保つことができます。
審美性だけでなく、機能性や耐久性にも優れたノンクラスプデンチャーは、従来の入れ歯に感じられる不満や制約を大幅に軽減します。笑顔に自信を持ちたい方におすすめの選択肢です。治療や詳細については、ぜひご来院時にお尋ねください。
ホワイトニングで白く美しい歯になります

ホワイトニングは、歯を削ることなく、長期間蓄積した汚れや先天的な歯の黄ばみを改善し、歯を美しく白くする治療方法です。元の歯の色以上に白さを追求したい患者様にも適しており、安全かつリラックスした状態で受けられるのが特徴です。
歯の美白は、ただ白くするだけでなく、結婚式や卒業式、入社式など特別なイベントに向けて自信を持って笑顔を見せられるようサポートしてくれます。白い歯は若々しさや健康的な印象を与えるため、コミュニケーションにおいても自信を高める一助となりますし、白い歯は女性にとってメイク映えを良くし、美しさをより際立たせるポイントです。
小川歯科医院で行うホワイトニングには、厚生労働省が認可したホワイトニングライトを使用しています。高い安全性が確認されており、ビヨンドホワイトニングの場合、平均でおよそ5段階明るくなる効果が期待されます。徐々に変化を実感できる方法です。
また、自宅で行うホームホワイトニングも提供しています。この方法では、歯科医院で患者様個人に合わせたマウスピースを作成し、そのマウスピースに高粘度のホワイトニングジェルを注入して使用します。毎日2時間程度装着するだけで、簡便かつ効率的に歯を漂白することが可能です。2種類の方法を提供しているため、ライフスタイルに合わせて選択することができます。
歯の美白は、ただ白くするだけでなく、結婚式や卒業式、入社式など特別なイベントに向けて自信を持って笑顔を見せられるようサポートしてくれます。白い歯は若々しさや健康的な印象を与えるため、コミュニケーションにおいても自信を高める一助となりますし、白い歯は女性にとってメイク映えを良くし、美しさをより際立たせるポイントです。
小川歯科医院で行うホワイトニングには、厚生労働省が認可したホワイトニングライトを使用しています。高い安全性が確認されており、ビヨンドホワイトニングの場合、平均でおよそ5段階明るくなる効果が期待されます。徐々に変化を実感できる方法です。
また、自宅で行うホームホワイトニングも提供しています。この方法では、歯科医院で患者様個人に合わせたマウスピースを作成し、そのマウスピースに高粘度のホワイトニングジェルを注入して使用します。毎日2時間程度装着するだけで、簡便かつ効率的に歯を漂白することが可能です。2種類の方法を提供しているため、ライフスタイルに合わせて選択することができます。
自由診療のリスク・副作用、その他
自由診療について
患者様のさまざまなニーズに応えるために自由診療を提供しております。しかし、自由診療には健康保険適用外の治療が含まれるため、以下の点にご注意ください。
【リスクについて】
自由診療には、保険適用治療に比べて高度かつ専門的な治療が含まれる場合があります。これらの治療はより高い技術を要求されるため、一般的な治療よりもリスクが高まる可能性があります。
【副作用について】
すべての医療行為には副作用のリスクが伴います。自由診療の場合、使用する材料や治療方法が特殊な場合があるため、通常の治療とは異なる副作用が発生する可能性があります。
【費用について】
自由診療は健康保険の適用外であるため、保険診療と比較して高額になることがあります。治療前には必ず費用の詳細について説明を行い、ご同意をいただいてから治療を開始します。
【治療の選択について】
患者様の健康状態や希望に合わせて、最適な治療計画を提案します。自由診療は選択肢の一つであり、必ずしもすべての患者様に適しているわけではありません。
【その他の注意事項】
治療後のフォローアップやメンテナンスについても、自由診療の範囲内で行うことがあります。これには追加の費用が発生する場合があります。
患者様一人ひとりに合った治療を心がけております。自由診療を含むすべての治療オプションについて、十分な説明とともに、患者様のご理解とご同意を得ることを重視しています。ご不明な点やご心配なことがございましたら、遠慮なくご相談ください。
患者様のさまざまなニーズに応えるために自由診療を提供しております。しかし、自由診療には健康保険適用外の治療が含まれるため、以下の点にご注意ください。
【リスクについて】
自由診療には、保険適用治療に比べて高度かつ専門的な治療が含まれる場合があります。これらの治療はより高い技術を要求されるため、一般的な治療よりもリスクが高まる可能性があります。
【副作用について】
すべての医療行為には副作用のリスクが伴います。自由診療の場合、使用する材料や治療方法が特殊な場合があるため、通常の治療とは異なる副作用が発生する可能性があります。
【費用について】
自由診療は健康保険の適用外であるため、保険診療と比較して高額になることがあります。治療前には必ず費用の詳細について説明を行い、ご同意をいただいてから治療を開始します。
【治療の選択について】
患者様の健康状態や希望に合わせて、最適な治療計画を提案します。自由診療は選択肢の一つであり、必ずしもすべての患者様に適しているわけではありません。
【その他の注意事項】
治療後のフォローアップやメンテナンスについても、自由診療の範囲内で行うことがあります。これには追加の費用が発生する場合があります。
患者様一人ひとりに合った治療を心がけております。自由診療を含むすべての治療オプションについて、十分な説明とともに、患者様のご理解とご同意を得ることを重視しています。ご不明な点やご心配なことがございましたら、遠慮なくご相談ください。
この医院の口コミはまだありません
受付時間
診療時間 | 日 | 月 | 火 | 水 | 木 | 金 | 土 |
---|---|---|---|---|---|---|---|
09:30 ~ 12:30 | |||||||
14:00 ~ 19:00 | |||||||
14:00 ~ 17:00 |
休診日:木曜・日曜・祝日
アクセスマップ
基本情報
医院名 | 小川歯科医院 |
所在地 | 〒114-0001 東京都 北区 東十条1-20-15 |
最寄駅 | 東十条駅 南口 徒歩3分 |
診療内容 | 歯冠修復、欠損補綴 / 根管治療 / 歯周病治療 / 予防治療 / 口腔外科治療 / 有床義歯 / インプラント治療 |
医院ID | 15152 |