【祝日診療】【インプラント専門誌に掲載】科学的根拠に基づいた治療を行う師岡歯科医院
師岡歯科医院は、患者様の身体的、精神的、そして経済的な不安を少しでも軽減することを目指し、丁寧な対話を大切にしています。歯科治療に対する不安を取り除くことで、患者様が積極的に治療に臨み、最良の結果を得られるよう努めております。師岡歯科医院の治療方針は、科学的根拠に基づいた予知性の高い歯科医療の提供であり、常に最新の技術と知識を活用し、安心して治療を受けていただける環境を整えております。
師岡歯科医院の得意治療として、インプラント治療や審美歯科に特化しています。インプラント治療では、経験豊富な医師が高品質な材料を用い、自然な噛み心地を実現します。また、審美歯科では患者様の笑顔をより美しくするため、細やかなカウンセリングを通じて理想の歯並びや色味を提供いたします。すべての治療において、患者様のご希望を最大限に尊重し、安心・安全な歯科医療を目指しています。
アクセスも非常に便利で、上福岡駅から徒歩3分の場所に位置しており、通院がしやすい立地です。患者様の健康と笑顔を守るため、全スタッフが一丸となってサポートいたします。皆様のご来院を心よりお待ちしております。
師岡歯科医院の得意治療として、インプラント治療や審美歯科に特化しています。インプラント治療では、経験豊富な医師が高品質な材料を用い、自然な噛み心地を実現します。また、審美歯科では患者様の笑顔をより美しくするため、細やかなカウンセリングを通じて理想の歯並びや色味を提供いたします。すべての治療において、患者様のご希望を最大限に尊重し、安心・安全な歯科医療を目指しています。
アクセスも非常に便利で、上福岡駅から徒歩3分の場所に位置しており、通院がしやすい立地です。患者様の健康と笑顔を守るため、全スタッフが一丸となってサポートいたします。皆様のご来院を心よりお待ちしております。
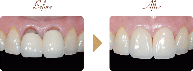
インプラント治療のこだわりポイント
インプラント治療
インプラント治療は、歯を失った顎骨に人工歯根を埋め込み、天然歯の代わりをする治療法です。師岡歯科医院では歯根型インプラントを使用し、材質には主にチタンを採用しています。この人工歯根(インプラント体)が顎骨と結合することが治療の鍵となります。顎骨の状態や質も重要な要素で、適切な骨量が必要です。
初期症状として、歯を失ったままにしておくと、隣接する歯への負担が増し、歯列全体のバランスが崩れることがあります。さらに、顎骨が徐々に痩せていくことで、口腔内の調和が乱れることもあります。その結果、顔の輪郭が変わる可能性や、残存する歯への負荷が増加し、虫歯や歯周病のリスクが高まることもあります。
インプラント治療を行うことで、失った歯を補い、残存する歯や顎骨への負担を軽減できます。師岡歯科医院では、可能な限り天然歯を保存する方針のもと、患者様に最適な治療計画を提供しております。また、治療後のメンテナンスを重視し、インプラントの長期的な使用をサポートしています。最新の技術を活かしたα-tite IMPLANTの導入により、治療後のトラブルを最小限に抑え、長期間にわたり安定した口腔環境を維持することが可能です。
初期症状として、歯を失ったままにしておくと、隣接する歯への負担が増し、歯列全体のバランスが崩れることがあります。さらに、顎骨が徐々に痩せていくことで、口腔内の調和が乱れることもあります。その結果、顔の輪郭が変わる可能性や、残存する歯への負荷が増加し、虫歯や歯周病のリスクが高まることもあります。
インプラント治療を行うことで、失った歯を補い、残存する歯や顎骨への負担を軽減できます。師岡歯科医院では、可能な限り天然歯を保存する方針のもと、患者様に最適な治療計画を提供しております。また、治療後のメンテナンスを重視し、インプラントの長期的な使用をサポートしています。最新の技術を活かしたα-tite IMPLANTの導入により、治療後のトラブルを最小限に抑え、長期間にわたり安定した口腔環境を維持することが可能です。
医院としての理念・方針
十分満足していただけるように治療いたします
師岡歯科医院は、患者様の経済的負担を軽減し、効率的な咀嚼機能の回復を目指しています。包括的歯科治療を通じて、最適な治療を提供することを大切に考えています。歯科治療は虫歯治療、歯髄治療、歯周病治療、補綴治療など多岐にわたります。師岡歯科医院では、これらすべての治療において高いクオリティを維持することを目標としています。
また、最先端の歯科医療技術と機器を導入し、患者様に満足いただける治療を提供しています。包括的歯科治療では、最善を尽くすことが重要です。師岡歯科医院は、患者様に合った治療を行い、口腔内の健康と快適な生活をサポートいたします。
さらに、治療前に十分な説明と相談を行うことで、患者様に安心して治療を受けていただけるよう配慮しています。予防歯科にも力を入れており、定期的なケアを通じて健康な口腔環境を維持できるようサポートいたします。
今後も最先端の技術と経験を活かし、患者様に最高の歯科医療を提供し続けることをお約束いたします。
また、最先端の歯科医療技術と機器を導入し、患者様に満足いただける治療を提供しています。包括的歯科治療では、最善を尽くすことが重要です。師岡歯科医院は、患者様に合った治療を行い、口腔内の健康と快適な生活をサポートいたします。
さらに、治療前に十分な説明と相談を行うことで、患者様に安心して治療を受けていただけるよう配慮しています。予防歯科にも力を入れており、定期的なケアを通じて健康な口腔環境を維持できるようサポートいたします。
今後も最先端の技術と経験を活かし、患者様に最高の歯科医療を提供し続けることをお約束いたします。
院長について
早期発見と治療で歯を残す
予防歯科
予防歯科は、虫歯や歯周病を未然に防ぐための大切な取り組みです。師岡歯科医院では、患者様が健康な歯を維持できるよう、定期的なケアと適切な指導を行っております。虫歯や歯周病は、口腔内のプラークや歯石が原因で発生することが多く、適切なブラッシングや専門的なクリーニングが不可欠です。
初期の虫歯や歯周病は、痛みがほとんどないため見過ごされがちですが、早期発見が鍵となります。初期症状として、歯ぐきの腫れや軽い出血、または口臭の増加が見られることがあります。これらの症状を放置すると、歯ぐきがさらに炎症を起こし、歯がぐらついたり、最悪の場合、歯を失うことにもつながります。
師岡歯科医院では、歯石除去やフッ素塗布、さらには生活習慣のアドバイスを通じて、患者様の歯の健康を守るサポートを行っております。予防歯科は、将来的な痛みや費用を防ぐためにも重要なケアです。患者様一人ひとりに合った最適な予防法をご提案し、安心して通院いただける環境を整えております。
初期の虫歯や歯周病は、痛みがほとんどないため見過ごされがちですが、早期発見が鍵となります。初期症状として、歯ぐきの腫れや軽い出血、または口臭の増加が見られることがあります。これらの症状を放置すると、歯ぐきがさらに炎症を起こし、歯がぐらついたり、最悪の場合、歯を失うことにもつながります。
師岡歯科医院では、歯石除去やフッ素塗布、さらには生活習慣のアドバイスを通じて、患者様の歯の健康を守るサポートを行っております。予防歯科は、将来的な痛みや費用を防ぐためにも重要なケアです。患者様一人ひとりに合った最適な予防法をご提案し、安心して通院いただける環境を整えております。
熟練技術による自然な歯並びと輝き
審美歯科
審美歯科は、患者様が抱える歯の形、色、歯並びに関するコンプレックスを改善するための治療です。師岡歯科医院では、科学的な根拠に基づいた包括的な審美歯科治療を提供し、美しさだけでなく機能的な面も重視して治療を進めています。
歯の形態や色に対する不満の原因は、先天的な要因や過去の治療によるものなど、さまざまです。初期症状としては、歯の色が気になる、歯並びが悪い、噛み合わせに違和感があるといった悩みが多く見られます。これらの問題を放置すると、見た目に対するコンプレックスが深まり、食事や会話など日常生活での支障を感じることがあります。
師岡歯科医院では、各患者様の希望に応じた治療法を選択します。例えば、歯の色調に関する審美的不満に対しては、歯の表面を削りラミネートベニアを装着することで改善を図ります。また、過去に施されたメタルボンドクラウンに対する不満に対しては、ジルコニアクラウンを用いた再補綴を行い、より自然で美しい見た目を追求します。さらに、急ぎの場合には、コンポジットレジン修復による侵襲の少ない審美的回復を行い、患者様のニーズに応えます。
歯の形態や色に対する不満の原因は、先天的な要因や過去の治療によるものなど、さまざまです。初期症状としては、歯の色が気になる、歯並びが悪い、噛み合わせに違和感があるといった悩みが多く見られます。これらの問題を放置すると、見た目に対するコンプレックスが深まり、食事や会話など日常生活での支障を感じることがあります。
師岡歯科医院では、各患者様の希望に応じた治療法を選択します。例えば、歯の色調に関する審美的不満に対しては、歯の表面を削りラミネートベニアを装着することで改善を図ります。また、過去に施されたメタルボンドクラウンに対する不満に対しては、ジルコニアクラウンを用いた再補綴を行い、より自然で美しい見た目を追求します。さらに、急ぎの場合には、コンポジットレジン修復による侵襲の少ない審美的回復を行い、患者様のニーズに応えます。
他人に気づかれない歯並び治療
矯正歯科
師岡歯科医院では透明なプラスチック製のアライナーを提供しています。アライナーは患者様ごとにオーダーメイドで作成され、取り外しが可能で、日常生活においても利便性が高く、装着していることをほとんど気にせずに矯正治療を進めることができます。透明な素材で作られているため、他の方に気づかれることも少なく、仕事や学校での活動にも影響を与えにくいのが特徴です。
歯並びやかみ合わせの乱れは生まれつきの要因や成長過程での癖、あるいは歯の生え方の問題など、さまざまな原因によって引き起こされます。これを放置すると、咀嚼機能の低下や歯の健康を損ねる可能性が高まり、健康な歯を維持することが難しくなります。また、見た目の問題が自己肯定感に影響を与え、心理的な負担となることもあります。そのため、早期の治療が非常に重要です。
初期症状には、歯並びの乱れや顎の位置の違和感、歯がうまく噛み合わないといった問題があります。これを放置すると、食事の際に咀嚼に支障が出るほか、歯と歯の間に汚れがたまりやすくなり、虫歯や歯周病のリスクが高まります。さらに、かみ合わせが悪いことで顎に負担がかかり、頭痛や肩こりなどの全身症状につながることもあります。
快適で効果的な治療を提供し、理想的な歯並びを実現するお手伝いをいたします。透明なアライナーを使った矯正治療で、自信を持って笑顔を見せていただけるよう努めてまいります。
歯並びやかみ合わせの乱れは生まれつきの要因や成長過程での癖、あるいは歯の生え方の問題など、さまざまな原因によって引き起こされます。これを放置すると、咀嚼機能の低下や歯の健康を損ねる可能性が高まり、健康な歯を維持することが難しくなります。また、見た目の問題が自己肯定感に影響を与え、心理的な負担となることもあります。そのため、早期の治療が非常に重要です。
初期症状には、歯並びの乱れや顎の位置の違和感、歯がうまく噛み合わないといった問題があります。これを放置すると、食事の際に咀嚼に支障が出るほか、歯と歯の間に汚れがたまりやすくなり、虫歯や歯周病のリスクが高まります。さらに、かみ合わせが悪いことで顎に負担がかかり、頭痛や肩こりなどの全身症状につながることもあります。
快適で効果的な治療を提供し、理想的な歯並びを実現するお手伝いをいたします。透明なアライナーを使った矯正治療で、自信を持って笑顔を見せていただけるよう努めてまいります。
欠損補綴で楽しい生活を取り戻す
欠損補綴
歯が欠損することは、見た目だけでなく、生活の質にも大きな影響を与えます。欠損補綴は、失った歯を補う治療法で、患者様の健康と生活の質を取り戻す重要な手段です。欠損が発生する原因には、むし歯や歯周病、外傷などが挙げられます。特に歯周病は進行が遅く、気づかないうちに歯を支える骨が溶けてしまうことがあります。
初期の段階では、欠損した部位に違和感を感じることがあるかもしれません。食事中に噛みにくい、隣の歯に負担がかかる、といった症状が見られることがあります。しかし、このまま放置しておくと、咀嚼機能が低下するだけでなく、隣接する歯が移動して噛み合わせが乱れる可能性もあります。さらに、顎の骨が痩せてしまうことによって、顔の見た目にも変化が生じることがあるため、早期の対応が重要です。
師岡歯科医院では、欠損補綴の治療法として、ブリッジ、入れ歯、インプラントといった選択肢を提供しております。
初期の段階では、欠損した部位に違和感を感じることがあるかもしれません。食事中に噛みにくい、隣の歯に負担がかかる、といった症状が見られることがあります。しかし、このまま放置しておくと、咀嚼機能が低下するだけでなく、隣接する歯が移動して噛み合わせが乱れる可能性もあります。さらに、顎の骨が痩せてしまうことによって、顔の見た目にも変化が生じることがあるため、早期の対応が重要です。
師岡歯科医院では、欠損補綴の治療法として、ブリッジ、入れ歯、インプラントといった選択肢を提供しております。
自由診療のリスク・副作用、その他
自由診療について
患者様のさまざまなニーズに応えるために自由診療を提供しております。しかし、自由診療には健康保険適用外の治療が含まれるため、以下の点にご注意ください。
【リスクについて】
自由診療には、保険適用治療に比べて高度かつ専門的な治療が含まれる場合があります。これらの治療はより高い技術を要求されるため、一般的な治療よりもリスクが高まる可能性があります。
【副作用について】
すべての医療行為には副作用のリスクが伴います。自由診療の場合、使用する材料や治療方法が特殊な場合があるため、通常の治療とは異なる副作用が発生する可能性があります。
【費用について】
自由診療は健康保険の適用外であるため、保険診療と比較して高額になることがあります。治療前には必ず費用の詳細について説明を行い、ご同意をいただいてから治療を開始します。
【治療の選択について】
患者様の健康状態や希望に合わせて、最適な治療計画を提案します。自由診療は選択肢の一つであり、必ずしもすべての患者様に適しているわけではありません。
【その他の注意事項】
治療後のフォローアップやメンテナンスについても、自由診療の範囲内で行うことがあります。これには追加の費用が発生する場合があります。
患者様一人ひとりに合った治療を心がけております。自由診療を含むすべての治療オプションについて、十分な説明とともに、患者様のご理解とご同意を得ることを重視しています。ご不明な点やご心配なことがございましたら、遠慮なくご相談ください。
患者様のさまざまなニーズに応えるために自由診療を提供しております。しかし、自由診療には健康保険適用外の治療が含まれるため、以下の点にご注意ください。
【リスクについて】
自由診療には、保険適用治療に比べて高度かつ専門的な治療が含まれる場合があります。これらの治療はより高い技術を要求されるため、一般的な治療よりもリスクが高まる可能性があります。
【副作用について】
すべての医療行為には副作用のリスクが伴います。自由診療の場合、使用する材料や治療方法が特殊な場合があるため、通常の治療とは異なる副作用が発生する可能性があります。
【費用について】
自由診療は健康保険の適用外であるため、保険診療と比較して高額になることがあります。治療前には必ず費用の詳細について説明を行い、ご同意をいただいてから治療を開始します。
【治療の選択について】
患者様の健康状態や希望に合わせて、最適な治療計画を提案します。自由診療は選択肢の一つであり、必ずしもすべての患者様に適しているわけではありません。
【その他の注意事項】
治療後のフォローアップやメンテナンスについても、自由診療の範囲内で行うことがあります。これには追加の費用が発生する場合があります。
患者様一人ひとりに合った治療を心がけております。自由診療を含むすべての治療オプションについて、十分な説明とともに、患者様のご理解とご同意を得ることを重視しています。ご不明な点やご心配なことがございましたら、遠慮なくご相談ください。
この医院の口コミはまだありません
受付時間
| 診療時間 | 日 | 月 | 火 | 水 | 木 | 金 | 土 |
|---|---|---|---|---|---|---|---|
| 14:00 ~ 18:00 |
*完全予約制(電話予約のみ)
アクセスマップ
基本情報
| 医院名 | 師岡歯科医院 |
| 所在地 | 〒162-0043 東京都 新宿区 早稲田南町52-2 |
| 最寄駅 | 上福岡駅 東口 徒歩3分 |
| 診療内容 | 歯冠修復、欠損補綴 / 根管治療 / 歯周病治療 / 予防治療 / 小児歯科 / 矯正歯科 / 口腔外科治療 / 有床義歯 / インプラント治療 |
| 医院ID | 11585 |