【中目黒駅から徒歩6分】【無痛虫歯治療】痛くなく優しく丁寧な治療を行う小幡歯科
小幡歯科中目黒医院は、中目黒駅から徒歩6分という利便性の高い立地にございます。歯科医院に来られる際、多くの患者様は不安や緊張を抱えていることでしょう。小幡歯科中目黒医院では、そのような患者様の思いを十分に理解し、できる限り快適な診療体験を提供することを目指しております。診療においては「できるだけ痛くない、できるだけ削らない、できるだけ抜かない」という治療方針を徹底し、無痛治療を心掛けております。
また、審美治療や矯正治療など幅広いニーズに対応しております。審美治療では、サンライズセラミックメタルボンドやジルコニアなど多様な選択肢を用意し、患者様に最適な治療を提案いたします。さらに、削らず神経を取らない「ドックベストセメント」による無痛虫歯治療や、着脱可能な矯正装置を使用した歯を抜かない矯正治療も行っております。
歯周病治療や口臭治療においては、歯周病菌を死滅させる効果のある「パーフェクトペリオ水」を導入し、口腔内環境を改善し、患者様の健康を支援します。風邪やインフルエンザ、誤嚥性肺炎の予防にも役立つ「パーフェクトペリオ水」を活用し、患者様の健康で幸福な生活をお手伝いいたします。私たちスタッフ一同、患者様に「来てよかった」と思っていただける歯科医院を目指し、日々努力を続けております。
また、審美治療や矯正治療など幅広いニーズに対応しております。審美治療では、サンライズセラミックメタルボンドやジルコニアなど多様な選択肢を用意し、患者様に最適な治療を提案いたします。さらに、削らず神経を取らない「ドックベストセメント」による無痛虫歯治療や、着脱可能な矯正装置を使用した歯を抜かない矯正治療も行っております。
歯周病治療や口臭治療においては、歯周病菌を死滅させる効果のある「パーフェクトペリオ水」を導入し、口腔内環境を改善し、患者様の健康を支援します。風邪やインフルエンザ、誤嚥性肺炎の予防にも役立つ「パーフェクトペリオ水」を活用し、患者様の健康で幸福な生活をお手伝いいたします。私たちスタッフ一同、患者様に「来てよかった」と思っていただける歯科医院を目指し、日々努力を続けております。
得意な治療のこだわりポイント
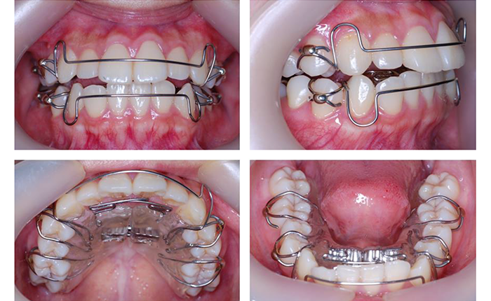
歯科矯正
矯正歯科治療は、見た目の歯並びの改善だけでなく、顎関節症や歯周病により歯並びが悪くなった場合にも有効です。小幡歯科中目黒医院では、見えない装置や着脱可能な装置など、多種多様な治療方法をご用意しています。矯正治療の際に歯を抜く必要はなく、患者様の希望や目的に応じた治療を行います。例えば、夜寝る時だけ装置を使用する治療もあり、大人の患者様にも人気です。
矯正装置として、SlideXのように自動で装置が動くものもあり、この装置は単に歯並びを整えるだけでなく、顎の骨を成長させて歯が並ぶスペースを作る療法です。これは、歯並びを改善するだけでなく、お口の機能を本来の状態に戻し、全身的な機能の改善にもつながります。また、取り外しが可能なため、虫歯のリスクを軽減し、口内を清潔に保ちやすくなります。
従来の矯正治療では歯を抜き、ワイヤーを使って無理に整列させることが一般的でしたが、SlideXは顎の成長を促進することで自然に歯並びを整えることを目指します。「歯を抜いて整える」ではなく、「顎を成長させて整える」という治療方針です。
矯正装置として、SlideXのように自動で装置が動くものもあり、この装置は単に歯並びを整えるだけでなく、顎の骨を成長させて歯が並ぶスペースを作る療法です。これは、歯並びを改善するだけでなく、お口の機能を本来の状態に戻し、全身的な機能の改善にもつながります。また、取り外しが可能なため、虫歯のリスクを軽減し、口内を清潔に保ちやすくなります。
従来の矯正治療では歯を抜き、ワイヤーを使って無理に整列させることが一般的でしたが、SlideXは顎の成長を促進することで自然に歯並びを整えることを目指します。「歯を抜いて整える」ではなく、「顎を成長させて整える」という治療方針です。
医院としての理念・方針
無痛治療を可能な限り行います
小幡歯科中目黒医院では「優しく温かく」をモットーに、患者様一人ひとりに寄り添った診療を提供しています。スタッフ一同、丁寧で安心感のある診療を心がけ、患者様がリラックスできる環境作りを大切にしています。小幡歯科中目黒医院の診療内容は、一般歯科をはじめ、小児・成人の矯正歯科、審美歯科、咬合治療(顎関節症)、口腔外科、インプラントなど多岐にわたります。
近年、複雑な社会環境の中で心の不調を抱える方が増えています。これが原因でストレスや口の中の痛み、違和感など、全身に及ぶ症状を訴える患者様も少なくありません。小幡歯科中目黒医院では、そうした方々への対応としてヒプノセラピーを応用した心療歯科を提供しています。これにより、患者様の心と体の両面から最良の治療を行うことを目指しています。
また、患者様とのコミュニケーションを大切にし、常に高いレベルの治療技術を提供することを目標としています。治療の質だけでなく、患者様が安心して治療を受けられるような環境を整え、スタッフ一同が一丸となって患者様の健康を支える診療を心がけています。
近年、複雑な社会環境の中で心の不調を抱える方が増えています。これが原因でストレスや口の中の痛み、違和感など、全身に及ぶ症状を訴える患者様も少なくありません。小幡歯科中目黒医院では、そうした方々への対応としてヒプノセラピーを応用した心療歯科を提供しています。これにより、患者様の心と体の両面から最良の治療を行うことを目指しています。
また、患者様とのコミュニケーションを大切にし、常に高いレベルの治療技術を提供することを目標としています。治療の質だけでなく、患者様が安心して治療を受けられるような環境を整え、スタッフ一同が一丸となって患者様の健康を支える診療を心がけています。
院長について
▽略歴
東京歯科大学卒業
小幡歯科医院開業
医療法人社団 桂由会 小幡歯科開設
東京歯科大学卒業
小幡歯科医院開業
医療法人社団 桂由会 小幡歯科開設
自然な白さで美しい歯を手にいれる審美治療
審美歯科
白く輝く美しい歯は、あなたの第一印象を高める重要な要素です。歯の汚れや茶シブ、ヤニなどを自分で取り除こうとすると、研磨力の強い歯磨き剤でゴシゴシ磨いてしまいがちです。この方法では歯の付け根を削りすぎて、知覚過敏の原因になることもあります。小幡歯科中目黒医院では、歯を傷つけることなく本来の美しい歯を取り戻すことが可能です。
ホワイトニングの治療にはオフィスホワイトニングとホームホワイトニングがあります。オフィスホワイトニングは、最新技術を使い光を使わずに短時間で自然な白さを得る方法です。中性の薬剤を使用しているため、歯へのダメージが少なく、知覚過敏も予防できます。また、ホームホワイトニングは、ご自宅でマウスピースを使って行う手軽な方法です。どちらも個人差はありますが、美しく白い歯を目指す方に効果的です。
さらに、サンライズセラミックやメタルボンドなど、審美性と機能性を兼ね備えた治療法も提供しております。サンライズセラミックは、純度の高い金の鍛錬メタルを使い、歯周組織に優しい仕上がりで、歯肉の健康にも配慮した選択です。メタルボンドは、強度と自然な見た目を兼ね備えており、長く愛されているセラミッククラウンです。
小幡歯科中目黒医院では、患者様の美しい笑顔を実現するためのさまざまな治療法を提供しております。
ホワイトニングの治療にはオフィスホワイトニングとホームホワイトニングがあります。オフィスホワイトニングは、最新技術を使い光を使わずに短時間で自然な白さを得る方法です。中性の薬剤を使用しているため、歯へのダメージが少なく、知覚過敏も予防できます。また、ホームホワイトニングは、ご自宅でマウスピースを使って行う手軽な方法です。どちらも個人差はありますが、美しく白い歯を目指す方に効果的です。
さらに、サンライズセラミックやメタルボンドなど、審美性と機能性を兼ね備えた治療法も提供しております。サンライズセラミックは、純度の高い金の鍛錬メタルを使い、歯周組織に優しい仕上がりで、歯肉の健康にも配慮した選択です。メタルボンドは、強度と自然な見た目を兼ね備えており、長く愛されているセラミッククラウンです。
小幡歯科中目黒医院では、患者様の美しい笑顔を実現するためのさまざまな治療法を提供しております。
乳歯の虫歯を治療して歯並びの綺麗な子どもに育てる
小児歯科
乳歯は赤ちゃんがお母さんのお腹にいる間に既に成長を始めています。乳歯が顔を出す頃には、永久歯も育ち始めており、乳歯は永久歯が正しい位置に生えるための大切な役割を担っています。したがって、「どうせ永久歯が生えるから」と虫歯を放置して乳歯を抜いてしまうのは非常に危険です。乳歯が早く抜けてしまうと、隣の歯がずれて永久歯が生えるスペースがなくなることがあります。このような状況は、将来的に歯並びの問題を引き起こす可能性が高まります。
さらに、最近の子供たちには顎が小さいケースや、顎に対して歯が大きいケースが多く見られ、矯正治療が必要になることが増えています。また、6歳頃には乳歯の奥に6歳臼歯が生えてきますが、これに気づかず放置すると、生えきった時にはすでに虫歯になっていることもあります。乳歯が長く残ってしまうと、永久歯が歯並びを乱して生えてくることがあり、早期の検診と予防が非常に重要です。
小幡歯科中目黒医院では、お子さんが怖がらずに治療を受けられるように配慮し、無理な治療は行いません。初めての治療でも安心していただけるように心がけております。歯の健康を守るために、定期的な検診と予防治療を大切にしましょう。
さらに、最近の子供たちには顎が小さいケースや、顎に対して歯が大きいケースが多く見られ、矯正治療が必要になることが増えています。また、6歳頃には乳歯の奥に6歳臼歯が生えてきますが、これに気づかず放置すると、生えきった時にはすでに虫歯になっていることもあります。乳歯が長く残ってしまうと、永久歯が歯並びを乱して生えてくることがあり、早期の検診と予防が非常に重要です。
小幡歯科中目黒医院では、お子さんが怖がらずに治療を受けられるように配慮し、無理な治療は行いません。初めての治療でも安心していただけるように心がけております。歯の健康を守るために、定期的な検診と予防治療を大切にしましょう。
歯周病と心臓の関係 歯を守ることで健康を守る
歯周病治療
歯周病は歯と歯茎の境目に住みついた歯周病菌によって引き起こされます。初期段階では歯茎が赤く腫れ、歯磨きの際に出血が見られることがありますが、痛みが少ないため見逃されがちです。しかし、歯周病が進行すると、歯茎や周囲の組織に炎症が広がり、口臭が発生し始めます。さらに放置すれば、歯を支える骨が溶けて歯がグラグラし、最終的には抜け落ちてしまうことになります。
歯周病菌は口内だけにとどまりません。血液を通じて全身を巡り、心臓にまで達することが分かっています。これにより、冠動脈に炎症が起こり、動脈硬化を誘発します。この動脈硬化が進行すると、狭心症や心筋梗塞といった心臓病のリスクが高まります。動脈硬化の部分からは歯周病菌が多数発見されることも報告されています。
歯周病は、老化現象ではなく細菌感染症が原因で起こる病気です。早期に適切な治療を受けることで、歯だけでなく全身の健康も守ることができます。歯肉の腫れや出血に気づいたら、早めに歯科医を受診し、進行を防ぎましょう。
歯周病菌は口内だけにとどまりません。血液を通じて全身を巡り、心臓にまで達することが分かっています。これにより、冠動脈に炎症が起こり、動脈硬化を誘発します。この動脈硬化が進行すると、狭心症や心筋梗塞といった心臓病のリスクが高まります。動脈硬化の部分からは歯周病菌が多数発見されることも報告されています。
歯周病は、老化現象ではなく細菌感染症が原因で起こる病気です。早期に適切な治療を受けることで、歯だけでなく全身の健康も守ることができます。歯肉の腫れや出血に気づいたら、早めに歯科医を受診し、進行を防ぎましょう。
噛み合わせを整え生活の質を向上させる
噛み合わせ治療
噛み合わせが悪いと、食事中の不快感や歯の痛みを引き起こすことがあります。さらに、噛み合わせの問題は頭痛や肩こり、顎の痛みの原因になることも多いです。このような症状が長期間続くと、生活の質が低下するだけでなく、歯そのものの健康にも影響を及ぼします。
噛み合わせの治療は、まず問題の原因を特定することから始まります。小幡歯科中目黒医院では、歯の形状や顎の動き、筋肉の状態を総合的に診断し、患者様一人ひとりに合った治療法を提案いたします。例えば、矯正器具を用いた治療や、歯の形を調整することで正しい噛み合わせに戻す方法があります。また、顎の負担を軽減するための筋肉リラクゼーションなども有効です。
噛み合わせの改善により、食事がしやすくなり、全身の健康も向上することが期待できます。痛みや違和感が続く方は、ぜひ一度専門の診断を受けてみてください。
噛み合わせの治療は、まず問題の原因を特定することから始まります。小幡歯科中目黒医院では、歯の形状や顎の動き、筋肉の状態を総合的に診断し、患者様一人ひとりに合った治療法を提案いたします。例えば、矯正器具を用いた治療や、歯の形を調整することで正しい噛み合わせに戻す方法があります。また、顎の負担を軽減するための筋肉リラクゼーションなども有効です。
噛み合わせの改善により、食事がしやすくなり、全身の健康も向上することが期待できます。痛みや違和感が続く方は、ぜひ一度専門の診断を受けてみてください。
自由診療のリスク・副作用、その他
自由診療について
患者様のさまざまなニーズに応えるために自由診療を提供しております。しかし、自由診療には健康保険適用外の治療が含まれるため、以下の点にご注意ください。
【リスクについて】
自由診療には、保険適用治療に比べて高度かつ専門的な治療が含まれる場合があります。これらの治療はより高い技術を要求されるため、一般的な治療よりもリスクが高まる可能性があります。
【副作用について】
すべての医療行為には副作用のリスクが伴います。自由診療の場合、使用する材料や治療方法が特殊な場合があるため、通常の治療とは異なる副作用が発生する可能性があります。
【費用について】
自由診療は健康保険の適用外であるため、保険診療と比較して高額になることがあります。治療前には必ず費用の詳細について説明を行い、ご同意をいただいてから治療を開始します。
【治療の選択について】
患者様の健康状態や希望に合わせて、最適な治療計画を提案します。自由診療は選択肢の一つであり、必ずしもすべての患者様に適しているわけではありません。
【その他の注意事項】
治療後のフォローアップやメンテナンスについても、自由診療の範囲内で行うことがあります。これには追加の費用が発生する場合があります。
患者様一人ひとりに合った治療を心がけております。自由診療を含むすべての治療オプションについて、十分な説明とともに、患者様のご理解とご同意を得ることを重視しています。ご不明な点やご心配なことがございましたら、遠慮なくご相談ください。
患者様のさまざまなニーズに応えるために自由診療を提供しております。しかし、自由診療には健康保険適用外の治療が含まれるため、以下の点にご注意ください。
【リスクについて】
自由診療には、保険適用治療に比べて高度かつ専門的な治療が含まれる場合があります。これらの治療はより高い技術を要求されるため、一般的な治療よりもリスクが高まる可能性があります。
【副作用について】
すべての医療行為には副作用のリスクが伴います。自由診療の場合、使用する材料や治療方法が特殊な場合があるため、通常の治療とは異なる副作用が発生する可能性があります。
【費用について】
自由診療は健康保険の適用外であるため、保険診療と比較して高額になることがあります。治療前には必ず費用の詳細について説明を行い、ご同意をいただいてから治療を開始します。
【治療の選択について】
患者様の健康状態や希望に合わせて、最適な治療計画を提案します。自由診療は選択肢の一つであり、必ずしもすべての患者様に適しているわけではありません。
【その他の注意事項】
治療後のフォローアップやメンテナンスについても、自由診療の範囲内で行うことがあります。これには追加の費用が発生する場合があります。
患者様一人ひとりに合った治療を心がけております。自由診療を含むすべての治療オプションについて、十分な説明とともに、患者様のご理解とご同意を得ることを重視しています。ご不明な点やご心配なことがございましたら、遠慮なくご相談ください。
この医院の口コミはまだありません
受付時間
| 診療時間 | 日 | 月 | 火 | 水 | 木 | 金 | 土 |
|---|---|---|---|---|---|---|---|
| 10:00 ~ 13:00 | |||||||
| 15:00 ~ 19:00 |
休診日:日・木・祝日
アクセスマップ
基本情報
| 医院名 | 小幡歯科中目黒医院 |
| 所在地 | 〒153-0051 東京都 目黒区 上目黒2-43-6 キャトルセゾン1F |
| 最寄駅 | 中目黒駅 西口 徒歩6分 |
| 診療内容 | 歯冠修復、欠損補綴 / 歯周病治療 / 小児歯科 / 矯正歯科 / 咬み合わせ治療 |
| 医院ID | 8077 |