brand
サイトの特徴・使い方 閲覧履歴 会員登録 ログイン
トップ  -  東京都  -  目黒区  -  小山歯科 中目黒デンタルスクエア
口コミを投稿
Teech(ティーチ)を見たとお伝えください
03-5724-3500

小山歯科 中目黒デンタルスクエア

得意治療: 根管治療
所在地
東京都 目黒区 上目黒2-25-10
最寄駅
中目黒駅 東口2 徒歩5分
【中目黒駅より徒歩5分】【精密歯科治療】歯医者を通してより質の高い生活を届ける小山歯科 中目黒デンタルスクエア
①医院外観②受付③診療室
①医院外観②受付③診療室
①医院外観②受付③診療室
出典:小山歯科 中目黒デンタルスクエア
①医院外観②受付③診療室
小山歯科 中目黒デンタルスクエアは、「歯科医療を通じて、患者様の人生をより豊かなものにする」ことをコンセプトに掲げている歯科医院です。中目黒駅より徒歩5分の場所に位置しており、駅からのアクセスが良く、通いやすい環境です。

小山歯科 中目黒デンタルスクエアでは、患者様にとって安心して治療を受けられるよう、不安を取り除く丁寧な説明を重視しています。大型モニターを使用して治療内容をわかりやすく説明し、患者様一人ひとりの理解を深めることを心がけています。精密な歯科治療を提供するため、歯科用CTやマイクロスコープなどの先進設備を導入し、質の高い治療を実現しています。

痛みに対して敏感な方のために、小山歯科 中目黒デンタルスクエアでは電動注射器や表面麻酔、極細の注射針などを用いて、できる限り痛みの少ない治療を行っています。お子様から大人まで、すべての患者様がリラックスして通える歯科医院を目指し、患者様の口腔ケアを通じて生活の質(Quality Of Life)の向上をサポートいたします。

お口や歯の健康について何か気になることがございましたら、お気軽に小山歯科 中目黒デンタルスクエアにご相談ください。
根管治療のこだわりポイント
精密根管治療 精密根管治療
根管治療とは、虫歯が進行し、歯の内部にある神経に炎症が及んだ場合に行う治療です。神経が痛んでいる場合、その部分を取り除くことで痛みを解消し、歯を残すことが可能になります。小山歯科 中目黒デンタルスクエアでは、痛みを感じにくくするための麻酔に力を入れており、治療中もできるだけ快適に過ごしていただけます。

また、複雑な根管内を正確に治療するために、小山歯科 中目黒デンタルスクエアでは歯科用顕微鏡(マイクロスコープ)を使用しています。これにより、根の内部の状態を25.6倍に拡大して確認できるため、細かな部分も見逃さずに治療を行うことが可能です。さらに、歯科用CTを用いて立体的に根管の構造を把握し、正確な診断を行います。

治療にはニッケルチタンファイルを使用し、根の形態を維持しながら余分な削り込みを抑え、成功率の高い治療を実現しています。さらに、ラバーダムと呼ばれるシートを使用することで、治療中の感染リスクを最小限に抑え、安全な治療環境を提供しています。

根管治療は、進行した虫歯でも歯を残すために非常に有効な治療法です。患者様の歯を守るために、最新の技術と専門的な知識を駆使して治療を行っています。
医院としての理念・方針
患者様に寄り添って治療を行います 患者様に寄り添って治療を行います
小山歯科 中目黒デンタルスクエアは、中目黒の地域に根ざした歯科クリニックとして、患者様にとって安心できる存在でありたいと考えています。私たちは、患者様が困ったときにいつでも相談できる、頼りにされるクリニックを目指しています。そのためには、患者様一人ひとりに適した治療を提案する環境が不可欠です。

小山歯科 中目黒デンタルスクエアでは、患者様のお口の状態だけでなく、生活習慣や健康状態、その他の環境要素をきちんと把握し、その情報をもとに最適な治療計画を立てます。そして、患者様が十分にご納得いただけるまで説明を行い、共に治療を進めていくことを大切にしています。

また、患者様が少しでも気軽に相談できるような、開かれた雰囲気を心がけています。些細なことでも構いませんので、どうぞお気軽にご相談ください。私たちは、皆様のお悩みを解消し、笑顔を取り戻すお手伝いをしたいと願っています。地域の皆様にとって、信頼される存在であり続けるために、日々努力を重ねてまいります。皆様にお会いできることを心よりお待ちしております。
院長について
院長の小山 徹
院長の小山 徹
▽略歴
日本歯科大学歯学部 卒業
世田谷区、品川区にて勤務医
スマイルデンタルクリニック 副院長 後に院長就任
小山歯科 中目黒デンタルスクエア 開院
失った歯を自然に取り戻すインプラント治療
インプラント治療 インプラント治療
インプラント治療は、失った歯を天然の歯のように回復する治療方法です。歯を失った際に、健康な歯を削ることなく、噛む機能と見た目を取り戻すことができます。この治療法は、噛み心地が自然で、まるで自分の歯のように感じられることが特徴です。失った歯があることで、美味しい食事や楽しい会話に支障が出ることも少なくありません。インプラント治療を通じて、そのような日常生活の不便さを解消し、生活の質(QOL)向上に大きく貢献します。

小山歯科 中目黒デンタルスクエアでは、精密なインプラント治療を実現するために、マイクロスコープを使用しています。これにより、最小限の切開で正確な位置にインプラントを埋め込むことが可能となり、患者様の体への負担を軽減し、術後の腫れや痛みを少なくすることができます。また、ドイツのシロナ社製の歯科用CTを使用して、骨の形態や神経の位置を3Dで把握し、安全な治療を行います。治療前にはインプラントシミュレーションシステムを使用し、CTデータをもとに治療計画を立てます。これにより、手術の安全性がさらに向上します。
歯並びの悩みを改善し楽しい生活を送る
矯正歯科 矯正歯科
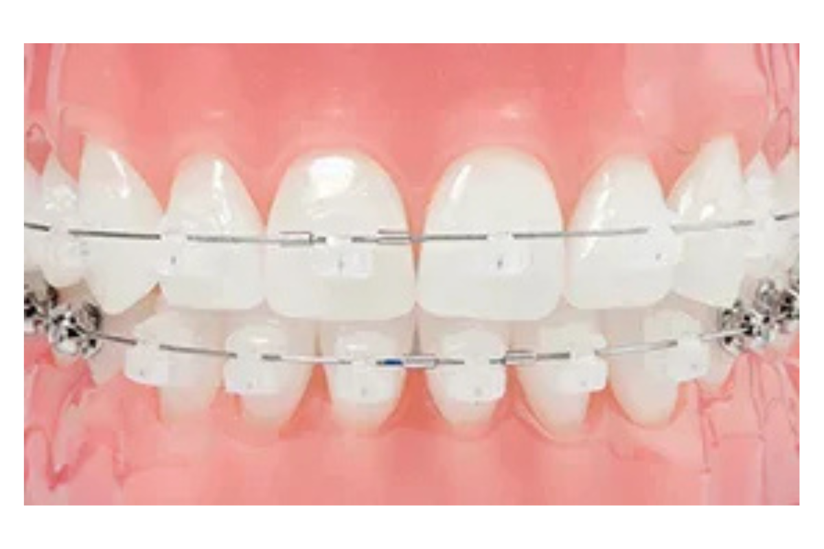
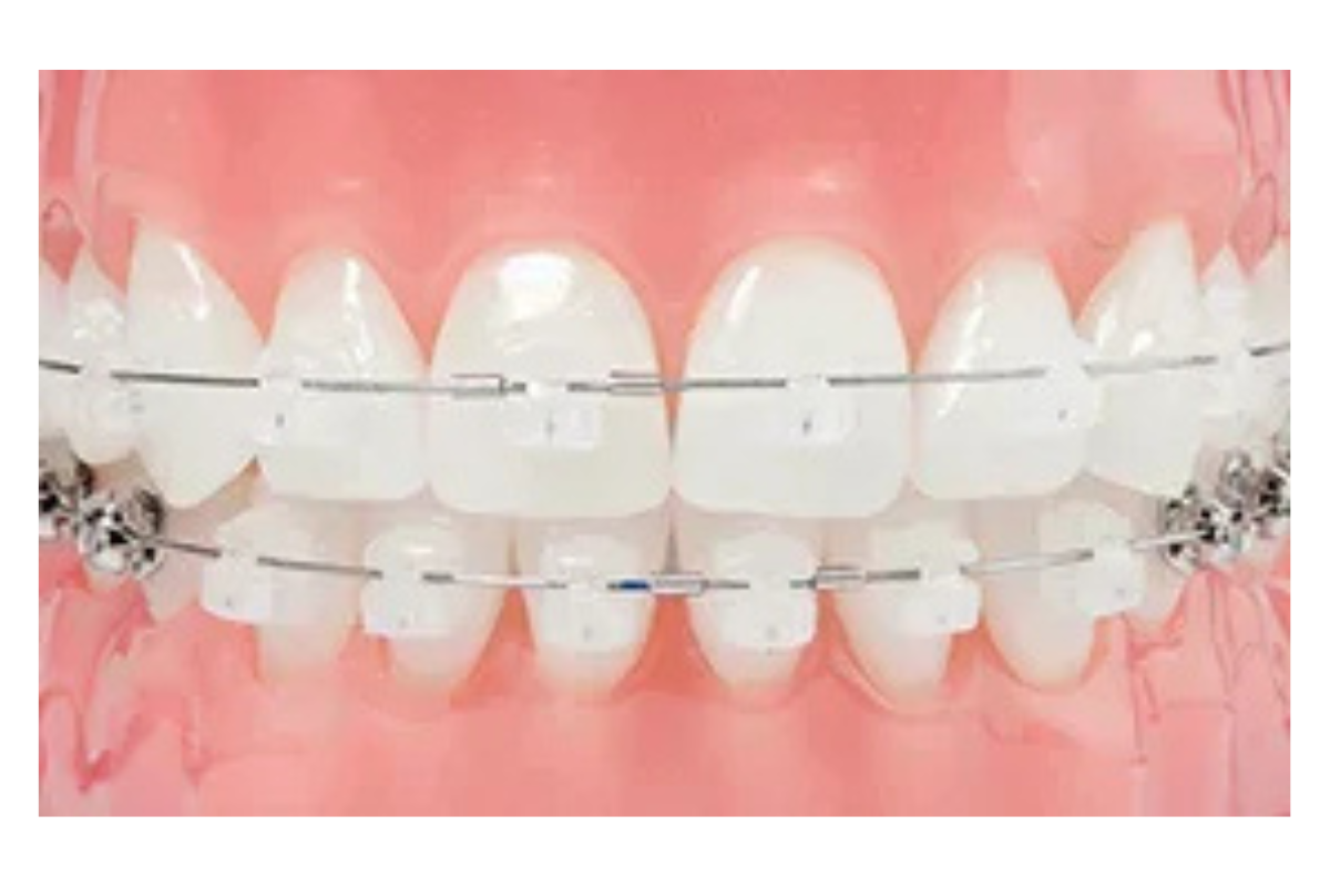
矯正歯科(歯列矯正)は、歯を移動させることで、不正咬合と呼ばれる歯並びの問題を改善する治療法です。出っ歯、八重歯、隙っ歯、受け口など、さまざまなタイプの不正咬合に対応しています。患者様の成長段階や症状に応じて、ワイヤー矯正やマウスピース矯正など、多様な矯正装置を使用します。

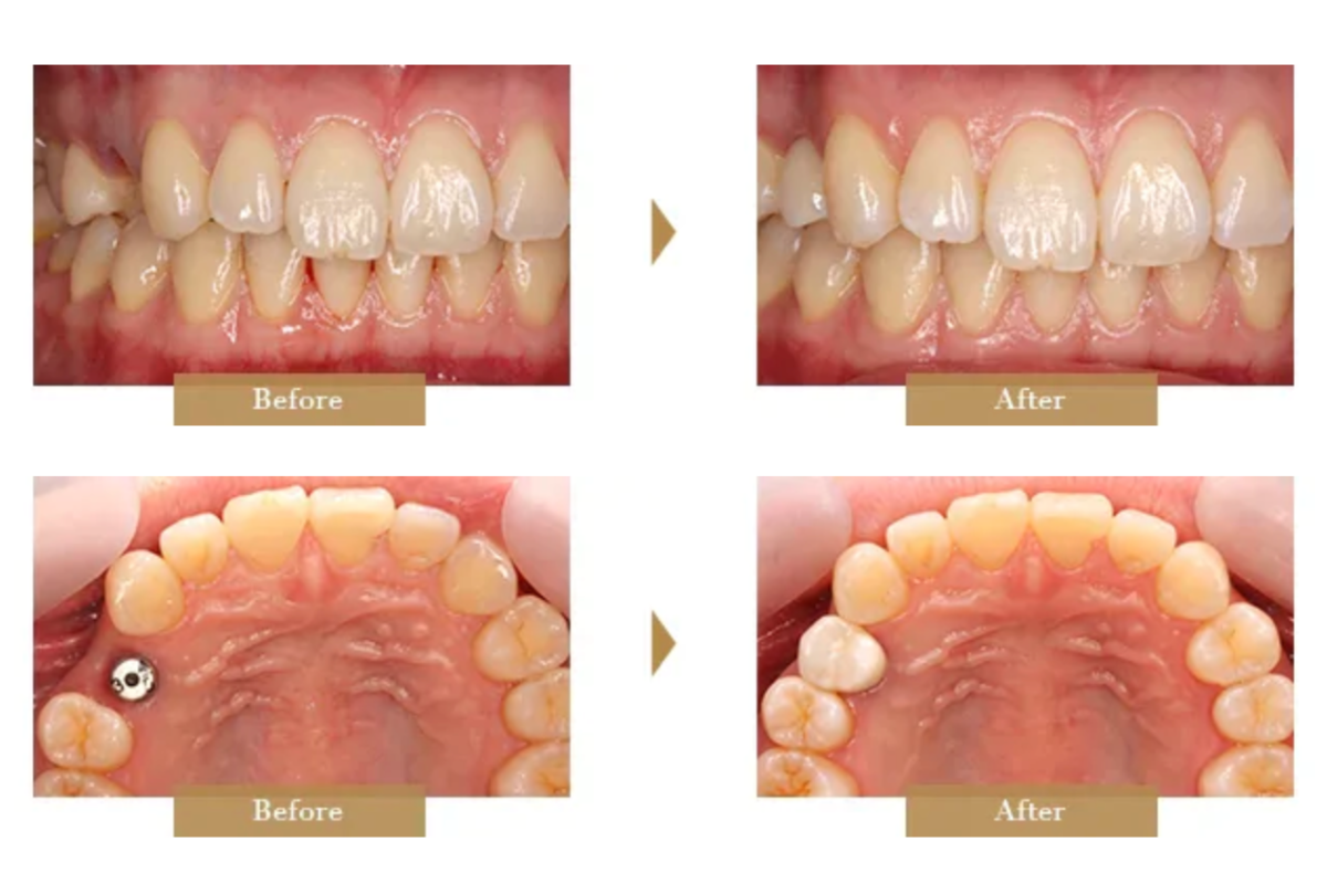
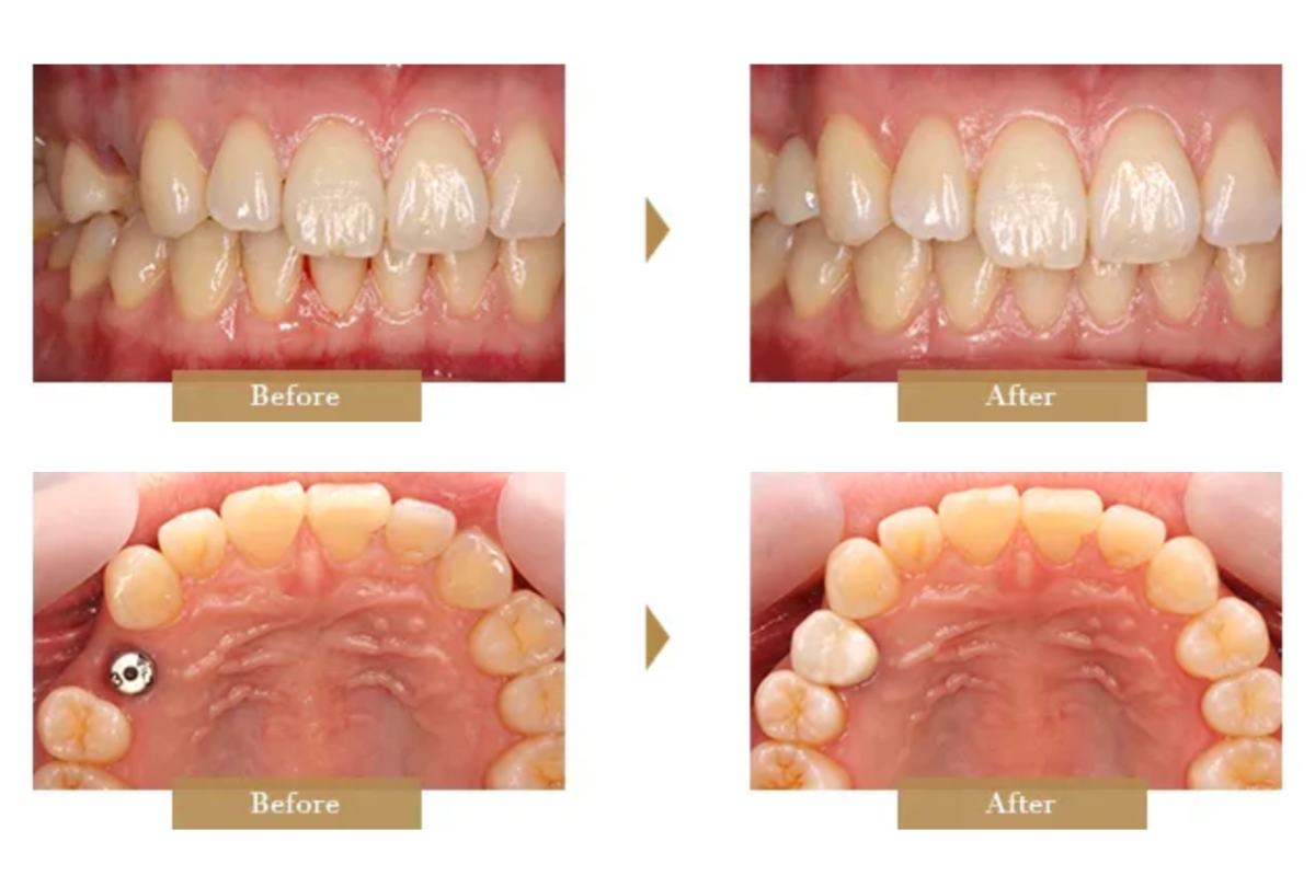
矯正治療を行うことで、歯並びを美しく整えるだけでなく、長期的にご自身の歯を健康に保つことができます。正しい歯並びや咬み合わせは、歯に過度な負担をかけず、汚れがたまりにくいため、むし歯や歯周病のリスクを低くする効果もあります。また、歯並びが整うことで、口腔内の唾液の流れが改善され、口の中を清潔に保つ助けにもなります。

矯正治療の流れとしては、まず無料相談で歯並びや治療について説明を行います。その後、診査と診断を通じて治療計画を立て、患者様に治療内容をご提案します。必要な前処置を行った後、矯正装置を取り付け、月に一度の定期的な通院で歯の移動を進めていきます。治療が完了したら、保定装置を使用して、歯並びが戻らないようにサポートを続けます。

成人の矯正では、ワイヤー矯正やマウスピース矯正が用いられ、約2〜3年の治療期間が一般的です。見た目が気になりにくい舌側矯正や透明なマウスピース矯正も用意しており、日常生活に配慮した治療が可能です。
目立たない入れ歯ノンクラスプデンチャー
入れ歯治療 入れ歯治療
入れ歯が痛い、合わない、外れるなどの違和感を感じている方はいませんか?これを放置すると、口腔内のバランスが崩れ、歯ぎしりや食いしばりの原因になることがあります。さらに、残存歯にも大きな負担がかかりやすくなります。たとえ最初は入れ歯がうまく咬み合っていても、むし歯や歯周病などのトラブルにより、口内の状態は変化します。そのため、定期的に歯科医院で診察を受け、適切な調整を行うことが重要です。

入れ歯にはさまざまな種類があります。たとえば、周囲に入れ歯だと気づかれたくない方におすすめなのが「ノンクラスプデンチャー」です。この入れ歯は金属を使用していないため、見た目に自然で、金属アレルギーの方にも安心です。

また、食事をより楽しみたい方には「金属床義歯」をおすすめします。金属床義歯は床部分が金属で作られているため、一般的な保険義歯よりも薄く、装着時の違和感が少なくなります。さらに、金属の高い熱伝導率により、食事の温度を感じやすく、美味しさをより実感できます。入れ歯の違和感や痛みを感じた場合は、放置せず、早めに歯科医師の診察を受けることを心がけましょう。
先端治療で体に負担をかけずに治療
体に優しい歯科治療 体に優しい歯科治療
患者様の健康に配慮し、できるだけ体に負担をかけない治療法のことです。小山歯科 中目黒デンタルスクエアでは、金属を一切使用しないノンメタル(メタルフリー)治療や、削る量を最小限にするMI治療などを行っています。これにより、金属アレルギーのリスクを軽減し、歯の健康を長く維持することが可能です。

ノンメタル治療は、銀合金などの金属を使わず、セラミックなどの素材を用いるため、金属が体内に溶け出して蓄積される心配がありません。また、金属は時間が経つと変形しやすく、むし歯の再発や歯周病のリスクを高める原因となります。一方、セラミックは変形しにくく、細菌の付着も少ないため、健康を保ちやすいのが特徴です。
さらに、MI治療では、歯をできるだけ削らず、必要最小限の処置を行います。これにより、歯の寿命を縮めることなく、患者様の歯を可能な限り守ります。また、治療時には歯科用拡大鏡やマイクロスコープを使い、精密な治療を心がけています。

小山歯科 中目黒デンタルスクエアでは、患者様の体に優しい治療を目指し、被曝量の少ないCTやレーザーを使用し、院内感染予防にも取り組んでいます。患者様の健康を第一に考えた、安全で負担の少ない治療をご提供しています。
自由診療のリスク・副作用、その他
自由診療について
患者様のさまざまなニーズに応えるために自由診療を提供しております。しかし、自由診療には健康保険適用外の治療が含まれるため、以下の点にご注意ください。

【リスクについて】
自由診療には、保険適用治療に比べて高度かつ専門的な治療が含まれる場合があります。これらの治療はより高い技術を要求されるため、一般的な治療よりもリスクが高まる可能性があります。

【副作用について】
すべての医療行為には副作用のリスクが伴います。自由診療の場合、使用する材料や治療方法が特殊な場合があるため、通常の治療とは異なる副作用が発生する可能性があります。

【費用について】
自由診療は健康保険の適用外であるため、保険診療と比較して高額になることがあります。治療前には必ず費用の詳細について説明を行い、ご同意をいただいてから治療を開始します。

【治療の選択について】
患者様の健康状態や希望に合わせて、最適な治療計画を提案します。自由診療は選択肢の一つであり、必ずしもすべての患者様に適しているわけではありません。

【その他の注意事項】
治療後のフォローアップやメンテナンスについても、自由診療の範囲内で行うことがあります。これには追加の費用が発生する場合があります。
患者様一人ひとりに合った治療を心がけております。自由診療を含むすべての治療オプションについて、十分な説明とともに、患者様のご理解とご同意を得ることを重視しています。ご不明な点やご心配なことがございましたら、遠慮なくご相談ください。
この医院の口コミはまだありません
受付時間
診療時間
10:00 ~ 13:00
14:30 ~ 19:00
休診日:木曜・日曜・祝日
アクセスマップ
基本情報
医院名 小山歯科 中目黒デンタルスクエア
所在地 〒153-0051 東京都 目黒区 上目黒2-25-10
最寄駅 中目黒駅 東口2 徒歩5分
診療内容 歯冠修復、欠損補綴 / 根管治療 / 歯周病治療 / 予防治療 / 小児歯科 / 矯正歯科 / 口腔外科治療 / 有床義歯 / インプラント治療
医院ID 8073
03-5724-3500
Teech(ティーチ)を見たとお伝えください
Feature Teechの特徴
1

あなたの「今の症状に合った」歯科医院が探せます

icons

歯科医院が広告掲載する際、得意な治療1つのみを選択し広告しています。これにより2つのメリットが得られます。

①あなたの今の症状に合った治療を1番得意とする歯科医院のみ検索できます。

②表示される歯科医院の数が絞られるため、今の症状に合った歯科医院を効率よく検索できます。

2

その歯科医院で「本当に治療した患者さんの口コミ」を掲載

icons

歯科検索サイトには、その歯科医院で治療を受けていない方の口コミが散見されますが、Teechへの口コミ投稿には、領収書の添付を必須としているため、本当にその歯科医院で治療した患者さんの口コミが掲載されています。また、口コミ点数・件数によって検索結果が上下しないため(標準検索した場合)、サクラの口コミ投稿の誘因を減らしています。

3

「プロが選ぶプロ」の歯科医院を探せます

icons

掲載している医院に3医院(自医院を除く)までオススメできる機能を付与することで、プロが選ぶプロの歯科医院を探せます。

4

「先生の人柄」が分かるご挨拶動画を設置

icons

外からは見えにくい歯科医院ですが、事前に先生の人柄が伝わるように、院長のご挨拶動画を掲載しております。