安心と信頼の歯科治療をお求めの方へ
みずほ台歯科クリニックは、地域の皆様の歯の健康を守る、20年以上の実績ある歯科医院です
「できれば歯科治療は受けたくない」と思われていませんか?
私たちは、多くの方が歯科治療に対して不安を抱えていることを理解しています。
「痛いんじゃないか」「こんなになるまでほっといてと怒られるんじゃないか」「高額な治療を押し付けられるんじゃないか」
といった心配や不安があるかもしれません。
しかし、当医院のスタッフは、患者様のお気持ちを真摯に受け止めており、痛みのないように優しく丁寧な歯科治療を提供しています。
トリートメントコーディネーターが患者様と歯科医師の間に入り、しっかりとお話をお聞きして、本当にお望みの治療をご提案します。
みずほ台歯科クリニックは、お子様からご年配の方まで、誰もが気軽にお越しいただける温かい自然光が差し込む明るい歯科クリニックです。
20年以上前から、みずほ台で地域の皆様の歯の健康を守るために努力を重ねてきました。
もし、お口のことでお困りのことがありましたら、ぜひ安心してみずほ台歯科クリニックにご相談ください。まずは、あなたのお話をゆっくりとお聞かせください。
私たちのスタッフ一同、皆様のご来院を心よりお待ちしています。
私たちは、多くの方が歯科治療に対して不安を抱えていることを理解しています。
「痛いんじゃないか」「こんなになるまでほっといてと怒られるんじゃないか」「高額な治療を押し付けられるんじゃないか」
といった心配や不安があるかもしれません。
しかし、当医院のスタッフは、患者様のお気持ちを真摯に受け止めており、痛みのないように優しく丁寧な歯科治療を提供しています。
トリートメントコーディネーターが患者様と歯科医師の間に入り、しっかりとお話をお聞きして、本当にお望みの治療をご提案します。
みずほ台歯科クリニックは、お子様からご年配の方まで、誰もが気軽にお越しいただける温かい自然光が差し込む明るい歯科クリニックです。
20年以上前から、みずほ台で地域の皆様の歯の健康を守るために努力を重ねてきました。
もし、お口のことでお困りのことがありましたら、ぜひ安心してみずほ台歯科クリニックにご相談ください。まずは、あなたのお話をゆっくりとお聞かせください。
私たちのスタッフ一同、皆様のご来院を心よりお待ちしています。
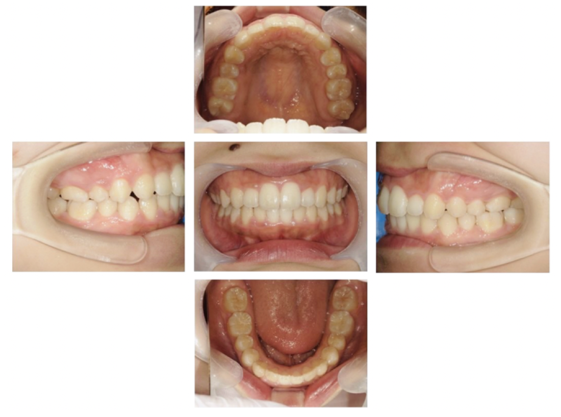
矯正歯科のこだわりポイント

マウスピース矯正治療<インビザライン>で自然な笑顔を取り戻しませんか?
矯正治療に関して、多くの方がお口を開けた時に見えるワイヤーの装置を想像されるかもしれません。
しかし、私たちがおすすめするマウスピース型の矯正装置「インビザライン」は、目立たずに治療を進めることができます。
インビザラインは透明な装置であり、周囲からほとんど気づかれないため、見た目に気を使うことなく矯正治療を受けることができます。
治療中でも自然に笑顔を見せることができるのです。
さらに、インビザラインは自分で装着や取り外しが可能です。従来のワイヤー型矯正では、専用の器具で取り外す必要がありましたが、
インビザラインならご自身で簡単に装着や取り外しができます。衛生的にもとても便利です。
また、マウスピース矯正では、装置を外して食事をすることができます。ワイヤー矯正では食事中の色移りや破損の心配がありましたが、
インビザラインでは装置を外して普段通りの食事が可能です。
みずほ台歯科クリニックでは、インビザライン治療を積極的に推奨しています。自然な笑顔を取り戻し、歯並びを改善したいとお考えの方は、ぜひご相談ください。
私たちのスタッフが丁寧にサポートし、美しい歯並びを実現するお手伝いをいたします。
矯正治療に関して、多くの方がお口を開けた時に見えるワイヤーの装置を想像されるかもしれません。
しかし、私たちがおすすめするマウスピース型の矯正装置「インビザライン」は、目立たずに治療を進めることができます。
インビザラインは透明な装置であり、周囲からほとんど気づかれないため、見た目に気を使うことなく矯正治療を受けることができます。
治療中でも自然に笑顔を見せることができるのです。
さらに、インビザラインは自分で装着や取り外しが可能です。従来のワイヤー型矯正では、専用の器具で取り外す必要がありましたが、
インビザラインならご自身で簡単に装着や取り外しができます。衛生的にもとても便利です。
また、マウスピース矯正では、装置を外して食事をすることができます。ワイヤー矯正では食事中の色移りや破損の心配がありましたが、
インビザラインでは装置を外して普段通りの食事が可能です。
みずほ台歯科クリニックでは、インビザライン治療を積極的に推奨しています。自然な笑顔を取り戻し、歯並びを改善したいとお考えの方は、ぜひご相談ください。
私たちのスタッフが丁寧にサポートし、美しい歯並びを実現するお手伝いをいたします。
医院としての理念・方針

平成8年に開院して以来、医療法人社団 みずほ台歯科医院では、「思いやりと感謝の気持ちで日々治療をさせていただく」
という理念を掲げています。私たちは患者様とのコミュニケーションを重視し、一人ひとりに最適な医療を提供することを心がけています。
全スタッフが親身になり、皆様の健康を全力でサポートすることをお約束します。私たちは常に患者様との信頼関係を築きながら、最善の治療を追求しています。
みずほ台歯科クリニック内は、はじめてお越しになる方でもリラックスして診察を受けていただけるようなアットホームな雰囲気が広がっています。
また、最新の設備と治療技術を取り入れており、精密な治療を可能にするCTレントゲンも完備しています。
私たちは常に進化し続けることで、患者様に安心と満足を提供することを目指しています。皆様のお口の健康を真剣に考え、最適な治療を提案いたします。
という理念を掲げています。私たちは患者様とのコミュニケーションを重視し、一人ひとりに最適な医療を提供することを心がけています。
全スタッフが親身になり、皆様の健康を全力でサポートすることをお約束します。私たちは常に患者様との信頼関係を築きながら、最善の治療を追求しています。
みずほ台歯科クリニック内は、はじめてお越しになる方でもリラックスして診察を受けていただけるようなアットホームな雰囲気が広がっています。
また、最新の設備と治療技術を取り入れており、精密な治療を可能にするCTレントゲンも完備しています。
私たちは常に進化し続けることで、患者様に安心と満足を提供することを目指しています。皆様のお口の健康を真剣に考え、最適な治療を提案いたします。
院長について

■略歴
昭和63年 九州歯科大学卒業。
平成4年 島原デンタルクリニック分院長就任
平成6年 沖縄県 役所前歯科医院開院
平成8年 医療法人社団 みずほ台歯科医院開院
日本外傷歯学会認定医
日本外傷歯学会指導医
昭和63年 九州歯科大学卒業。
平成4年 島原デンタルクリニック分院長就任
平成6年 沖縄県 役所前歯科医院開院
平成8年 医療法人社団 みずほ台歯科医院開院
日本外傷歯学会認定医
日本外傷歯学会指導医
虫歯治療から予防まで、お口の健康をトータルでサポートします

一般歯科は、虫歯治療や歯周病の治療など、お口の健康に関する幅広い治療を提供します。
みずほ台歯科クリニックでは、患者様の個別のニーズに合わせた最適な治療プランをご提案し、お口の健康状態を総合的にサポートいたします。
特に、虫歯治療においては、削らない虫歯治療の一環として「ドックベストセメント療法」を取り入れています。
この治療法では、セメントを使用して虫歯菌を死滅させることで、歯を削ることなく虫歯を治療します。
歯の組織を最大限に保護しながら、効果的な虫歯治療を行います。
ただし、治療後のケアも非常に重要です。虫歯の再発を予防するためには、定期的な検診や口内のクリーニングが欠かせません。
みずほ台歯科クリニックでは、定期健診においてお口の状態を評価し、適切なケアをご提案いたします。さらに、日常のホームケアのアドバイスも行い、
患者様がご自宅でもお口の健康を維持できるようサポートいたします。
一般歯科での治療は、お口の健康を長期間にわたって維持するための基盤となります。私たちは患者様のお口の健康を真剣に考え、
最適な治療とケアを提供することに取り組んでいます。お口の健康に関するお悩みやご要望がありましたら、お気軽にみずほ台歯科クリニックにご相談ください。
あなたのお口の健康をサポートするために、私たちがお手伝いいたします。
みずほ台歯科クリニックでは、患者様の個別のニーズに合わせた最適な治療プランをご提案し、お口の健康状態を総合的にサポートいたします。
特に、虫歯治療においては、削らない虫歯治療の一環として「ドックベストセメント療法」を取り入れています。
この治療法では、セメントを使用して虫歯菌を死滅させることで、歯を削ることなく虫歯を治療します。
歯の組織を最大限に保護しながら、効果的な虫歯治療を行います。
ただし、治療後のケアも非常に重要です。虫歯の再発を予防するためには、定期的な検診や口内のクリーニングが欠かせません。
みずほ台歯科クリニックでは、定期健診においてお口の状態を評価し、適切なケアをご提案いたします。さらに、日常のホームケアのアドバイスも行い、
患者様がご自宅でもお口の健康を維持できるようサポートいたします。
一般歯科での治療は、お口の健康を長期間にわたって維持するための基盤となります。私たちは患者様のお口の健康を真剣に考え、
最適な治療とケアを提供することに取り組んでいます。お口の健康に関するお悩みやご要望がありましたら、お気軽にみずほ台歯科クリニックにご相談ください。
あなたのお口の健康をサポートするために、私たちがお手伝いいたします。
自然で輝く白さが魅力のホワイトニング。みずほ台歯科医院でプロの技術を体感しませんか?

ホワイトニング治療で美しい白い歯を手に入れましょう
みずほ台歯科クリニックでは、ホワイトニングという治療法を提供しています。ホワイトニングは、専用の薬剤を使用して歯の中にある色素を分解し、歯を白くする方法です。この治療では、歯の表面を傷つけることなく、コーヒーや紅茶の着色汚れ、タバコのヤニ、加齢による黄ばみなどを効果的に取り除くことができます。
みずほ台歯科クリニックでは、従来のホワイトニングに加え、さらなる効果を得るためにポリリン酸ナトリウムを配合したホワイトニングも取り扱っています。ポリリン酸は歯の汚れを落とし、着色や歯石の再付着を防ぐ効果があります。つまり、ホワイトニングと歯のコーティングを同時に行うことができるのです。
みずほ台歯科クリニックでは以下のホワイトニングの種類を取り扱っています:
・オフィスホワイトニング
・セルフホワイトニング
・ホームホワイトニング
・デュアルホワイトニング
各ホワイトニングの詳細については、お問い合わせください。また、心配事や疑問点がございましたら、お気軽にみずほ台歯科クリニックまでご連絡ください。公式LINE@からもお問い合わせを受け付けていますので、ぜひお友達登録していただき、お気軽にご相談ください。
美しい白い歯を手に入れ、自信に満ちた笑顔を取り戻しましょう。詳細はみずほ台歯科クリニックの公式ウェブサイトをご覧ください。
みずほ台歯科クリニックでは、ホワイトニングという治療法を提供しています。ホワイトニングは、専用の薬剤を使用して歯の中にある色素を分解し、歯を白くする方法です。この治療では、歯の表面を傷つけることなく、コーヒーや紅茶の着色汚れ、タバコのヤニ、加齢による黄ばみなどを効果的に取り除くことができます。
みずほ台歯科クリニックでは、従来のホワイトニングに加え、さらなる効果を得るためにポリリン酸ナトリウムを配合したホワイトニングも取り扱っています。ポリリン酸は歯の汚れを落とし、着色や歯石の再付着を防ぐ効果があります。つまり、ホワイトニングと歯のコーティングを同時に行うことができるのです。
みずほ台歯科クリニックでは以下のホワイトニングの種類を取り扱っています:
・オフィスホワイトニング
・セルフホワイトニング
・ホームホワイトニング
・デュアルホワイトニング
各ホワイトニングの詳細については、お問い合わせください。また、心配事や疑問点がございましたら、お気軽にみずほ台歯科クリニックまでご連絡ください。公式LINE@からもお問い合わせを受け付けていますので、ぜひお友達登録していただき、お気軽にご相談ください。
美しい白い歯を手に入れ、自信に満ちた笑顔を取り戻しましょう。詳細はみずほ台歯科クリニックの公式ウェブサイトをご覧ください。
自信を取り戻すインプラント治療!みずほ台歯科医院が提供する安心・便利な選択肢

インプラント治療は、大切な歯が失われた場合に顎の骨に人工の根を植え込み、歯を再生させる方法です。
みずほ台歯科クリニックでは、固定式と入れ歯タイプの2つのインプラント治療をご用意しています。
固定式インプラントは、ご自分の歯のように咬めることができ、異物感もありません。
一方、入れ歯型インプラントは顎の骨が少ない方でも安定した入れ歯を実現できます。
さらに、手術が怖いと感じる方には静脈内鎮静法も提供しています。この方法では、鎮痛薬や向精神薬を静脈に注入し、
痛みや不安を和らげながら治療を行います。リラックス効果や健忘効果もあり、治療時間が短く感じられるでしょう。
みずほ台歯科クリニックでは20年以上にわたり、インプラント治療に取り組んできました。累計1000本以上の埋入手術を行い、年間60症例以上の患者様を治療しています。
また、他の医院で断られてしまった方にもサイナスリフト(上顎洞挙上術)を行い、インプラント治療を実現します。
インプラント治療をご検討中の方は、みずほ台歯科クリニックまでお気軽にご相談ください。安心・安全な治療を提供し、あなたの自信を取り戻せるようサポートいたします。
みずほ台歯科クリニックでは、固定式と入れ歯タイプの2つのインプラント治療をご用意しています。
固定式インプラントは、ご自分の歯のように咬めることができ、異物感もありません。
一方、入れ歯型インプラントは顎の骨が少ない方でも安定した入れ歯を実現できます。
さらに、手術が怖いと感じる方には静脈内鎮静法も提供しています。この方法では、鎮痛薬や向精神薬を静脈に注入し、
痛みや不安を和らげながら治療を行います。リラックス効果や健忘効果もあり、治療時間が短く感じられるでしょう。
みずほ台歯科クリニックでは20年以上にわたり、インプラント治療に取り組んできました。累計1000本以上の埋入手術を行い、年間60症例以上の患者様を治療しています。
また、他の医院で断られてしまった方にもサイナスリフト(上顎洞挙上術)を行い、インプラント治療を実現します。
インプラント治療をご検討中の方は、みずほ台歯科クリニックまでお気軽にご相談ください。安心・安全な治療を提供し、あなたの自信を取り戻せるようサポートいたします。
リンクルセラピー:歯科クリニックで受けられる最新のフェイシャルエステ

リンクルセラピーは、歯科業界で初めて導入された画期的なフェイシャルエステです。高濃度のプラセンタやヒアルロン酸、
ビタミンCなどの美容成分を使用し、エレクトロパルスポレーション技術を応用して効果的なフェイシャルケアを提供しています。
みずほ台歯科クリニックでは、ホワイトニングやインプラント治療と一緒にリンクルセラピーの施術を受けることができます。しわやリフトアップだけでなく、
顎のたるみや顔全体の筋肉の引き締めにも効果的です。
以下はリンクルセラピーに関連する情報です。
エレクトロパルスポレーション(電子穿孔)とは:
電子穿孔理論を美容に応用した技術で、有効成分の浸透効率を高めるために電気パルスを使用します。
コラーゲンやヒアルロン酸などの美容成分を肌の深部に浸透させ、肌のトリートメントを一度に行います。
プラセンタの美容効果:
胎盤から抽出されるプラセンタは、肌のシミやソバカスの発生を抑制する効果があります。また、血流を促進して酸素や栄養の供給を改善し、
肌の新陳代謝を促進します。さらに、抗アレルギー作用もあり、過敏肌の方にもおすすめです。
みずほ台歯科クリニックのリンクルセラピーは、施術時間がわずか30分で完了する簡単かつシンプルな方法です。
リンクルセラピーは、歯科クリニックで受けることができる画期的なフェイシャルエステです。ぜひ、みずほ台歯科クリニックでリンクルセラピーを体験してみてください。
ビタミンCなどの美容成分を使用し、エレクトロパルスポレーション技術を応用して効果的なフェイシャルケアを提供しています。
みずほ台歯科クリニックでは、ホワイトニングやインプラント治療と一緒にリンクルセラピーの施術を受けることができます。しわやリフトアップだけでなく、
顎のたるみや顔全体の筋肉の引き締めにも効果的です。
以下はリンクルセラピーに関連する情報です。
エレクトロパルスポレーション(電子穿孔)とは:
電子穿孔理論を美容に応用した技術で、有効成分の浸透効率を高めるために電気パルスを使用します。
コラーゲンやヒアルロン酸などの美容成分を肌の深部に浸透させ、肌のトリートメントを一度に行います。
プラセンタの美容効果:
胎盤から抽出されるプラセンタは、肌のシミやソバカスの発生を抑制する効果があります。また、血流を促進して酸素や栄養の供給を改善し、
肌の新陳代謝を促進します。さらに、抗アレルギー作用もあり、過敏肌の方にもおすすめです。
みずほ台歯科クリニックのリンクルセラピーは、施術時間がわずか30分で完了する簡単かつシンプルな方法です。
リンクルセラピーは、歯科クリニックで受けることができる画期的なフェイシャルエステです。ぜひ、みずほ台歯科クリニックでリンクルセラピーを体験してみてください。
自由診療のリスク・副作用、その他
詳しくはHPをご覧ください
この医院の口コミはまだありません
受付時間
診療時間 | 日 | 月 | 火 | 水 | 木 | 金 | 土 |
---|---|---|---|---|---|---|---|
09:30 ~ 13:00 | |||||||
14:30 ~ 19:00 |
木曜・日曜・祝日
※木曜日は祭日がある週のみ診療しております。
※休診日については変更される場合がございます。 トップページのお知らせをご確認ください。
アクセスマップ
基本情報
医院名 | みずほ台歯科クリニック |
所在地 | 〒299-3234 千葉県 大網白里市 みずほ台1-43-6 |
電話番号 | 0475-72-8214 |
最寄駅 | 外房線JR「大網駅」より徒歩7分 |
ホームページ | https://mizuhodaishika.net/ |
診療内容 | 歯冠修復、欠損補綴 / 根管治療 / 歯周病治療 / 小児歯科 / 矯正歯科 / 口腔外科治療 / インプラント治療 / 顎関節症治療 |
医院ID | 84367 |