【地下鉄東山線伏見駅から徒歩1分】【歯内療法の専門医】患者様にとって最善の歯内療法をご提供します
髙橋歯科は、東山線・鶴舞線伏見駅①番出口から徒歩1分の位置にある歯科クリニックです。
歯内治療のみを提供しており、歯内治療以外の治療は一切おこなっておりません。
患者様の「歯を残すこと」を最優先に、かかりつけの歯科医院様と協力し最善の治療をご提供しています。
そのため1日最大5人までの完全予約制となっており、患者様にとって必要な歯内治療処置を最良の結果にするために、1人1人に時間をかけて丁寧に治療をすすめていきます。
歯内治療とは、文字通り歯の内部の治療のことで、根の治療とよばれる治療も含まれます。
腫れ・痛み・違和感と言った症状が、歯の内部が原因で起こっている場合に、その原因を取り除くことで病気を治し再発させないようにする治療です。
初回のご来院時には、30~60分ほどの時間をかけて診査・診断・カウンセリングを行います。
そして、患者様の症状にあわせて歯内治療療法を1~4回おこないます。
1回の治療につき60~90分ほどかけて、丁寧に治療をすすめていきます。
治療のあとは、かかりつけ医院様で、修復処置を必ずおこなっていただきます。
アフターフォローとして、3ヶ月後、6ヶ月後、12ヶ月後と症状の確認とレントゲンによる治癒の評価を行い、さらに年単位で経過観察をすることで再発防止に努めています。
丁寧な治療とアフターフォローによって、患者様の大切な歯を残すことに力を注いでおります。
根管治療を長い間しているがなかなか治らない、根の治療を繰り返している、歯や歯の神経を残したい、このような方はぜひかかりつけの医院様にご相談ください。
歯内治療のみを提供しており、歯内治療以外の治療は一切おこなっておりません。
患者様の「歯を残すこと」を最優先に、かかりつけの歯科医院様と協力し最善の治療をご提供しています。
そのため1日最大5人までの完全予約制となっており、患者様にとって必要な歯内治療処置を最良の結果にするために、1人1人に時間をかけて丁寧に治療をすすめていきます。
歯内治療とは、文字通り歯の内部の治療のことで、根の治療とよばれる治療も含まれます。
腫れ・痛み・違和感と言った症状が、歯の内部が原因で起こっている場合に、その原因を取り除くことで病気を治し再発させないようにする治療です。
初回のご来院時には、30~60分ほどの時間をかけて診査・診断・カウンセリングを行います。
そして、患者様の症状にあわせて歯内治療療法を1~4回おこないます。
1回の治療につき60~90分ほどかけて、丁寧に治療をすすめていきます。
治療のあとは、かかりつけ医院様で、修復処置を必ずおこなっていただきます。
アフターフォローとして、3ヶ月後、6ヶ月後、12ヶ月後と症状の確認とレントゲンによる治癒の評価を行い、さらに年単位で経過観察をすることで再発防止に努めています。
丁寧な治療とアフターフォローによって、患者様の大切な歯を残すことに力を注いでおります。
根管治療を長い間しているがなかなか治らない、根の治療を繰り返している、歯や歯の神経を残したい、このような方はぜひかかりつけの医院様にご相談ください。
根管治療のこだわりポイント

歯内治療のこだわりポイント
髙橋歯科では歯内治療のみをおこなっております。
歯内療法の一番の目的は「歯を抜かないこと」
痛みや違和感を解消するために、歯を抜いてしまうのはできるだけ避けた方がいいのです。
なぜなら、歯を抜くことには非常に多くのデメリットを伴うからです。
歯を抜くと、まず抜いた部分の骨がやせていきます。そして、噛む力が落ちることによって、口腔全体がやせ細ってきます。
歯の高さも足りなくなり、かみ合わせに問題がおきてきます。
一本歯がなくなっただけで、まわりの歯が傾いてしまうなど口腔全体に影響をおよぼしていきます。
また、うまく噛めなくなったことで、胃腸にも負担がかかるなど、体全体に悪影響があるのです。
このように、歯を抜くことのデメリットは、数えあげるときりがありません。
髙橋歯科では、歯内治療のみをおこなうことで、患者様の大切な歯を残すことに注力しています。
歯内治療は歯の内部の治療のため、繊細かつ高度な技術が求められる治療です。
髙橋歯科の院長である髙橋玄は、米国と日本の歯内療法学会に所属する歯内療法の専門医です。
歯内療法専門医とは、根管治療に関する深い知識や、高度な技術を習得していると認められた歯科医師にのみ与えられる資格です。
虫歯が進行しているが歯の神経を残したい、根管治療の成果がなかなか感じられない、できるだけ歯を残したい、こんなお悩みをお持ちの方は、ぜひかかりつけの歯科医院様に髙橋歯科への受診をご相談ください。
髙橋歯科では歯内治療のみをおこなっております。
歯内療法の一番の目的は「歯を抜かないこと」
痛みや違和感を解消するために、歯を抜いてしまうのはできるだけ避けた方がいいのです。
なぜなら、歯を抜くことには非常に多くのデメリットを伴うからです。
歯を抜くと、まず抜いた部分の骨がやせていきます。そして、噛む力が落ちることによって、口腔全体がやせ細ってきます。
歯の高さも足りなくなり、かみ合わせに問題がおきてきます。
一本歯がなくなっただけで、まわりの歯が傾いてしまうなど口腔全体に影響をおよぼしていきます。
また、うまく噛めなくなったことで、胃腸にも負担がかかるなど、体全体に悪影響があるのです。
このように、歯を抜くことのデメリットは、数えあげるときりがありません。
髙橋歯科では、歯内治療のみをおこなうことで、患者様の大切な歯を残すことに注力しています。
歯内治療は歯の内部の治療のため、繊細かつ高度な技術が求められる治療です。
髙橋歯科の院長である髙橋玄は、米国と日本の歯内療法学会に所属する歯内療法の専門医です。
歯内療法専門医とは、根管治療に関する深い知識や、高度な技術を習得していると認められた歯科医師にのみ与えられる資格です。
虫歯が進行しているが歯の神経を残したい、根管治療の成果がなかなか感じられない、できるだけ歯を残したい、こんなお悩みをお持ちの方は、ぜひかかりつけの歯科医院様に髙橋歯科への受診をご相談ください。
医院としての理念・方針

基本理念
・できるだけ歯を残す治療をご提供
私たちの使命は、患者様の大切な歯を残す治療を提供することです。歯を残すことによって、患者様の健康につながるとの考えのもと、患者様一人ひとりのご希望を丁寧にお聞きし、患者様にとって最良の治療を提供することに情熱を注いでいます。
・安心、安全をご提供
歯内治療は目に見えない部分の治療のため、患者様にとっては心理的な負担が伴います。
髙橋歯科では、かかりつけの医院様と、治療前・治療中・治療後と密な情報交換を行うことによって、患者様にとって必要な歯内療法を安心して受けていただけます。
・長期的なフォローで安心のサポート
治療後は、3,6,12ヶ月ごとに経過観察を行い、その後は年単位で治癒の経過をみていきますチェックしていきます。
定期的にレントゲン撮影をすることによって、歯の内部の異常や問題をいち早く見つけ、症状が出る前に治療することができる体制を整えています。
・できるだけ歯を残す治療をご提供
私たちの使命は、患者様の大切な歯を残す治療を提供することです。歯を残すことによって、患者様の健康につながるとの考えのもと、患者様一人ひとりのご希望を丁寧にお聞きし、患者様にとって最良の治療を提供することに情熱を注いでいます。
・安心、安全をご提供
歯内治療は目に見えない部分の治療のため、患者様にとっては心理的な負担が伴います。
髙橋歯科では、かかりつけの医院様と、治療前・治療中・治療後と密な情報交換を行うことによって、患者様にとって必要な歯内療法を安心して受けていただけます。
・長期的なフォローで安心のサポート
治療後は、3,6,12ヶ月ごとに経過観察を行い、その後は年単位で治癒の経過をみていきますチェックしていきます。
定期的にレントゲン撮影をすることによって、歯の内部の異常や問題をいち早く見つけ、症状が出る前に治療することができる体制を整えています。
院長について

奥羽大学歯学部卒業
ペンシルバニア大学 Microscopic Training Course in Surgical Endodontics 修了
PESCJ : PENN ENDO STUDY CLUB IN JAPAN修了および所属
AAE(米国歯内療法学会)所属
JEA(日本歯内療法学会)所属
PESCJ歯内療法認定医
ペンシルバニア大学 Microscopic Training Course in Surgical Endodontics 修了
PESCJ : PENN ENDO STUDY CLUB IN JAPAN修了および所属
AAE(米国歯内療法学会)所属
JEA(日本歯内療法学会)所属
PESCJ歯内療法認定医
生活歯髄療法

生活歯髄療法とは、歯の中の神経(歯髄)を全部または一部保存する治療法のことです。
食事をすると痛い、しみるといった症状があっても、歯髄が正常な場合に選択される治療法です。
歯の神経である歯髄を抜いてしまうと、痛みといった症状はなくなるものの、歯自体がもろくなり歯の寿命が短くなってしまいます。
歯髄には血管が含まれており、血管には歯に栄養や水分を供給する役目があるからです。
歯髄を抜いてしまうと、歯には栄養や水分が行き渡らなくなり、結果として歯が死んでしまうのです。
このことから、歯の中の神経(歯髄)が正常な場合にはできるだけ歯の神経を残す治療を選択します。
従来、歯髄を残す治療には水酸化カルシウムによる直接覆髄法が多く用いられてきました。しかし水酸化カルシウムによる処置は成功率が低く、結果的に神経を取る処置必要になることも多くありました。
髙橋歯科では、ケイ酸カルシウムを主成分としたMTAによる覆髄治療を行っております。
MTAを使うことによって、従来の水酸化カルシウムセメントによる治療と比べて、高い確率で歯髄を保存することが可能となっています。
食事をすると痛い、しみるといった症状があっても、歯髄が正常な場合に選択される治療法です。
歯の神経である歯髄を抜いてしまうと、痛みといった症状はなくなるものの、歯自体がもろくなり歯の寿命が短くなってしまいます。
歯髄には血管が含まれており、血管には歯に栄養や水分を供給する役目があるからです。
歯髄を抜いてしまうと、歯には栄養や水分が行き渡らなくなり、結果として歯が死んでしまうのです。
このことから、歯の中の神経(歯髄)が正常な場合にはできるだけ歯の神経を残す治療を選択します。
従来、歯髄を残す治療には水酸化カルシウムによる直接覆髄法が多く用いられてきました。しかし水酸化カルシウムによる処置は成功率が低く、結果的に神経を取る処置必要になることも多くありました。
髙橋歯科では、ケイ酸カルシウムを主成分としたMTAによる覆髄治療を行っております。
MTAを使うことによって、従来の水酸化カルシウムセメントによる治療と比べて、高い確率で歯髄を保存することが可能となっています。
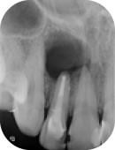
根管治療

歯の中の神経(歯髄)が壊死してしまっているなど、歯髄が残せない場合は根管治療が選択されます。
歯髄を抜いてしまうと歯の寿命が短くなるなどのデメリットがありますが、歯髄を抜くことによってつぎのようなメリットもあります。
・感染した箇所を除去して感染拡大を防ぐ
・痛みがなくなる
歯髄に虫歯の細菌が感染し歯髄炎をおこしている場合でも、軽度の段階であれば回復が見込めます。
しかし、進行の度合いによっては、回復が難しい場合もあります。
その場合、歯髄を抜く「根管治療」を行います。
根管治療とは、歯の内部に入った細菌を除去することによって、痛みや腫れといった症状を取り除く治療のことをいいます。
根管内で増殖した菌を放置すると、歯を支えているあごの骨にまで感染が広がっていきます。さらには根尖性歯周炎という病気に発展し骨が溶けていき、最終的には抜歯するしかなくなります。
こういった事態を避けるために根管治療が必要となります。
また、歯髄を抜くことによって痛みがなくなることもメリットのひとつです。
歯の痛みはよく、耐え難い痛みだと言われます。
そのような痛みから開放されるのは、患者様にとって大きなメリットといえます。
根管治療はとても繊細で、高度な技術が求められる治療です。
髙橋歯科では、細菌の感染などに細心の注意をはらい患者様が満足できる根管治療を提供しています。
歯髄を抜いてしまうと歯の寿命が短くなるなどのデメリットがありますが、歯髄を抜くことによってつぎのようなメリットもあります。
・感染した箇所を除去して感染拡大を防ぐ
・痛みがなくなる
歯髄に虫歯の細菌が感染し歯髄炎をおこしている場合でも、軽度の段階であれば回復が見込めます。
しかし、進行の度合いによっては、回復が難しい場合もあります。
その場合、歯髄を抜く「根管治療」を行います。
根管治療とは、歯の内部に入った細菌を除去することによって、痛みや腫れといった症状を取り除く治療のことをいいます。
根管内で増殖した菌を放置すると、歯を支えているあごの骨にまで感染が広がっていきます。さらには根尖性歯周炎という病気に発展し骨が溶けていき、最終的には抜歯するしかなくなります。
こういった事態を避けるために根管治療が必要となります。
また、歯髄を抜くことによって痛みがなくなることもメリットのひとつです。
歯の痛みはよく、耐え難い痛みだと言われます。
そのような痛みから開放されるのは、患者様にとって大きなメリットといえます。
根管治療はとても繊細で、高度な技術が求められる治療です。
髙橋歯科では、細菌の感染などに細心の注意をはらい患者様が満足できる根管治療を提供しています。
再根管治療

再根管治療は、過去に根管治療を行った歯に、再度根管治療を行うことをいいます。
過去の根管治療の際に、細菌の感染に対する処置が不十分であったり、虫歯が原因で根管が感染し根尖性歯周炎が再発した場合などに行われる治療です。
再根管治療の成功率は40%~80%といわれており、それまでの根の治療の質によって大きく左右されます。
再根管治療では、前回の治療でどのような処置が行われたか、正確に診断することが大切です。
髙橋歯科では、かかりつけの医院様と密な情報交換を行い、患者様がこれまでにどのような治療をおこなってきたかなどをしっかりと把握したうえで治療をすすめてまいります。
また、再治療の場合は、初めての根管治療に比べて歯根破折などを起こす可能性があるため、より慎重かつ正確に治療をすすめることが重要です。
そのため髙橋歯科では、マイクロスコープとよばれる歯科用の顕微鏡を用いて治療を行っております。
また、無菌環境下で治療を行うことで、細菌の感染を防ぐことにも細心の注意をはらっております。
過去の根管治療の際に、細菌の感染に対する処置が不十分であったり、虫歯が原因で根管が感染し根尖性歯周炎が再発した場合などに行われる治療です。
再根管治療の成功率は40%~80%といわれており、それまでの根の治療の質によって大きく左右されます。
再根管治療では、前回の治療でどのような処置が行われたか、正確に診断することが大切です。
髙橋歯科では、かかりつけの医院様と密な情報交換を行い、患者様がこれまでにどのような治療をおこなってきたかなどをしっかりと把握したうえで治療をすすめてまいります。
また、再治療の場合は、初めての根管治療に比べて歯根破折などを起こす可能性があるため、より慎重かつ正確に治療をすすめることが重要です。
そのため髙橋歯科では、マイクロスコープとよばれる歯科用の顕微鏡を用いて治療を行っております。
また、無菌環境下で治療を行うことで、細菌の感染を防ぐことにも細心の注意をはらっております。
歯内療法外科

根管治療、再根管治療を施しても治癒しなかった場合は、外科的な治療によって原因を除去していきます。
根管治療は、歯の内部から歯根をきれいにして痛みなどの症状を治癒する治療でした。
しかし、何らかの理由で内部からのアプローチができない場合には、外科的な治療を行います。
通常、外科的治療では歯肉を切開して病巣を取り除く治療を行います。
その際、無菌状態を保つことが非常に重要になってきます。
髙橋歯科では無菌状態を保つためにラバーダムという処置を施し、感染を防ぐことに注力しています。
根の先の病巣が大きく抜歯しかない、と言われた場合でも外科的な治療を行うことで歯を残すことは可能です。
痛みから開放されるなら抜歯したほうがいいかもしれない、と考えることもあるかもしれません。
しかし、一時痛みがなくなったとしても、その後を考えたらできるだけ歯を残す選択をおすすめいたします。
抜歯しかない、とかかりつけの医院様から伝えられた場合でも、ぜひ髙橋歯科への受診をご検討ください。
根管治療は、歯の内部から歯根をきれいにして痛みなどの症状を治癒する治療でした。
しかし、何らかの理由で内部からのアプローチができない場合には、外科的な治療を行います。
通常、外科的治療では歯肉を切開して病巣を取り除く治療を行います。
その際、無菌状態を保つことが非常に重要になってきます。
髙橋歯科では無菌状態を保つためにラバーダムという処置を施し、感染を防ぐことに注力しています。
根の先の病巣が大きく抜歯しかない、と言われた場合でも外科的な治療を行うことで歯を残すことは可能です。
痛みから開放されるなら抜歯したほうがいいかもしれない、と考えることもあるかもしれません。
しかし、一時痛みがなくなったとしても、その後を考えたらできるだけ歯を残す選択をおすすめいたします。
抜歯しかない、とかかりつけの医院様から伝えられた場合でも、ぜひ髙橋歯科への受診をご検討ください。
自由診療のリスク・副作用、その他
自由診療について
患者様のさまざまなニーズに応えるために自由診療を提供しております。しかし、自由診療には健康保険適用外の治療が含まれるため、以下の点にご注意ください。
【リスクについて】
自由診療には、保険適用治療に比べて高度かつ専門的な治療が含まれる場合があります。これらの治療はより高い技術を要求されるため、一般的な治療よりもリスクが高まる可能性があります。
【副作用について】
すべての医療行為には副作用のリスクが伴います。自由診療の場合、使用する材料や治療方法が特殊な場合があるため、通常の治療とは異なる副作用が発生する可能性があります。
【費用について】
自由診療は健康保険の適用外であるため、保険診療と比較して高額になることがあります。治療前には必ず費用の詳細について説明を行い、ご同意をいただいてから治療を開始します。
【治療の選択について】
患者様の健康状態や希望に合わせて、最適な治療計画を提案します。自由診療は選択肢の一つであり、必ずしもすべての患者様に適しているわけではありません。
【その他の注意事項】
治療後のフォローアップやメンテナンスについても、自由診療の範囲内で行うことがあります。これには追加の費用が発生する場合があります。
患者様一人ひとりに合った治療を心がけております。自由診療を含むすべての治療オプションについて、十分な説明とともに、患者様のご理解とご同意を得ることを重視しています。ご不明な点やご心配なことがございましたら、遠慮なくご相談ください。
患者様のさまざまなニーズに応えるために自由診療を提供しております。しかし、自由診療には健康保険適用外の治療が含まれるため、以下の点にご注意ください。
【リスクについて】
自由診療には、保険適用治療に比べて高度かつ専門的な治療が含まれる場合があります。これらの治療はより高い技術を要求されるため、一般的な治療よりもリスクが高まる可能性があります。
【副作用について】
すべての医療行為には副作用のリスクが伴います。自由診療の場合、使用する材料や治療方法が特殊な場合があるため、通常の治療とは異なる副作用が発生する可能性があります。
【費用について】
自由診療は健康保険の適用外であるため、保険診療と比較して高額になることがあります。治療前には必ず費用の詳細について説明を行い、ご同意をいただいてから治療を開始します。
【治療の選択について】
患者様の健康状態や希望に合わせて、最適な治療計画を提案します。自由診療は選択肢の一つであり、必ずしもすべての患者様に適しているわけではありません。
【その他の注意事項】
治療後のフォローアップやメンテナンスについても、自由診療の範囲内で行うことがあります。これには追加の費用が発生する場合があります。
患者様一人ひとりに合った治療を心がけております。自由診療を含むすべての治療オプションについて、十分な説明とともに、患者様のご理解とご同意を得ることを重視しています。ご不明な点やご心配なことがございましたら、遠慮なくご相談ください。
この医院の口コミはまだありません
受付時間
診療時間 | 日 | 月 | 火 | 水 | 木 | 金 | 土 |
---|---|---|---|---|---|---|---|
10:00 ~ 13:00 | |||||||
14:00 ~ 18:30 | |||||||
14:00 ~ 17:00 |
休診日:日・月・水・祝
アクセスマップ
基本情報
医院名 | 髙橋歯科 |
所在地 | 〒460-0003 愛知県 名古屋市中区 錦2丁目16-21 GS伏見センタービル3F |
最寄駅 | 伏見駅 ①番出口 徒歩1分 |
診療内容 | 根管治療 |
医院ID | 84222 |