【日本小児歯科学会専門医指導医】【日本障害者歯科学会認定医】【日本小児口腔外科学会認定医】確かな専門知識と最新設備でお子様に特化した歯科治療を提供するたかはしキッズデンタル
たかはしキッズデンタルは、中国バス東川口五丁目停留所から徒歩2分の位置にある小児歯科専門の歯科クリニックです。
「お子様に特化したプロによる歯科医療サービス」と「あたたかいコミュニケーション」を大切にし、また行きたい楽しい歯科クリニックを目指しています。
たかはしキッズデンタルの院長は、日本小児歯科学会専門医指導医と日本障害者歯科学会認定医、そして日本小児口腔外科学会認定医の資格を有しています。大学病院で得た小児歯科治療の知識と技術を活かして、院長の故郷である福山市のお子様へ提供します。
お子様の身体への影響を最小限に抑えた、最新のデジタルCT機器(ベラビューX800セファロ)を導入いたしました。これにより、より複雑なお子様の歯の症状に対応することが可能となりました。保護者の方にご理解いただいた上で使用いたしますので、ご安心ください。
口や歯を怪我した、他院で泣いてしまい治療が進まない、むし歯や歯周病の治療、予防方法を知りたい、発達特性を持っている子供の適切な対応をお願いしたいなど、お子様のお口周りに関することで気になることや不安なことがありましたら、お気軽にご相談ください。
「お子様に特化したプロによる歯科医療サービス」と「あたたかいコミュニケーション」を大切にし、また行きたい楽しい歯科クリニックを目指しています。
たかはしキッズデンタルの院長は、日本小児歯科学会専門医指導医と日本障害者歯科学会認定医、そして日本小児口腔外科学会認定医の資格を有しています。大学病院で得た小児歯科治療の知識と技術を活かして、院長の故郷である福山市のお子様へ提供します。
お子様の身体への影響を最小限に抑えた、最新のデジタルCT機器(ベラビューX800セファロ)を導入いたしました。これにより、より複雑なお子様の歯の症状に対応することが可能となりました。保護者の方にご理解いただいた上で使用いたしますので、ご安心ください。
口や歯を怪我した、他院で泣いてしまい治療が進まない、むし歯や歯周病の治療、予防方法を知りたい、発達特性を持っている子供の適切な対応をお願いしたいなど、お子様のお口周りに関することで気になることや不安なことがありましたら、お気軽にご相談ください。
小児歯科のこだわりポイント
適切なむし歯治療を提供します
子供のむし歯は、大人に比べて進行が早いと言われています。乳歯はエナメル質の厚みが永久歯の半分程度しかないため、ミュータンス菌による影響が早く出るためです。
さらに、永久歯のむし歯は茶色や黒色であることが多いですが、乳歯のむし歯は白色であることが多く、見た目で判断することが難しいです。一見問題もなさそうな歯でも、レントゲン撮影で歯間が黒く透けて見えたら注意が必要です。
たかはしキッズデンタルでは、むし歯が進行している場合、レジン(プラスチック)修復を行います。
大きなむし歯に虫歯進行止め剤を塗っても、進行は止まりません。その場合は歯根の治療を行い、レジンジャケットクラウン(プラスチックの被せもの)を使用します。根の病気が重症化すると天然歯の保存は難しくなりますので、早めの受診をおすすめします。
レジンジャケットクラウンは、金属を使用していないため、金属アレルギーや金属が溶け出して歯や歯茎が変色する心配はありません。また、白い素材なので金属製のものより天然歯に近い色で目立ちません。
さらに、永久歯のむし歯は茶色や黒色であることが多いですが、乳歯のむし歯は白色であることが多く、見た目で判断することが難しいです。一見問題もなさそうな歯でも、レントゲン撮影で歯間が黒く透けて見えたら注意が必要です。
たかはしキッズデンタルでは、むし歯が進行している場合、レジン(プラスチック)修復を行います。
大きなむし歯に虫歯進行止め剤を塗っても、進行は止まりません。その場合は歯根の治療を行い、レジンジャケットクラウン(プラスチックの被せもの)を使用します。根の病気が重症化すると天然歯の保存は難しくなりますので、早めの受診をおすすめします。
レジンジャケットクラウンは、金属を使用していないため、金属アレルギーや金属が溶け出して歯や歯茎が変色する心配はありません。また、白い素材なので金属製のものより天然歯に近い色で目立ちません。
医院としての理念・方針
お子様のために、設備や治療法にこだわりがあります
小児歯科では、お子様と保護者様、そしてスタッフの3者の関係がとても大切です。そのために、コミュニケーションを欠かさず、患者様がどのような思いでご来院されたかをしっかりとヒアリングいたします。
ただし、応急処置が必要である場合はこの限りではありません。
<ここだけはゆずれないお子様へのこだわり>
たかはしキッズデンタルのこだわりの一部を紹介いたします。
・オリジナル歯のれんらくノート
どのような処置をしたのか、治療後に気をつけること、次回のお約束や内容を記載します。成長記録としてもご利用ください。
・デジタルレントゲン
放射線被爆量が従来のレントゲンの1割以下ですので、お子様への負担を最小限に抑えることができます。
・天井テレビ
たかはしキッズデンタルの天井にはテレビモニターが設置されており、笑顔で治療を受けることができます。
・無痛麻酔
麻酔針の痛みを抑えることができる表面麻酔と、注入速度をコンピューターで制御する麻酔器を使用します。また、麻酔中は好きな音楽を流すので、楽しく麻酔を行うことが可能です。
・トレーを用いたフッ素塗布法
たかはしキッズデンタルではフッ素の効果を高めるためトレーを使用します。フッ素の味はリンゴやブドウなので、小さなお子様も親しみやすいです。
・ラバーダム防湿法
治療する歯のみをゴムのシートで隔離して、お口の中に細菌が侵入したり器具を誤飲したりするのを防ぎます。
ただし、応急処置が必要である場合はこの限りではありません。
<ここだけはゆずれないお子様へのこだわり>
たかはしキッズデンタルのこだわりの一部を紹介いたします。
・オリジナル歯のれんらくノート
どのような処置をしたのか、治療後に気をつけること、次回のお約束や内容を記載します。成長記録としてもご利用ください。
・デジタルレントゲン
放射線被爆量が従来のレントゲンの1割以下ですので、お子様への負担を最小限に抑えることができます。
・天井テレビ
たかはしキッズデンタルの天井にはテレビモニターが設置されており、笑顔で治療を受けることができます。
・無痛麻酔
麻酔針の痛みを抑えることができる表面麻酔と、注入速度をコンピューターで制御する麻酔器を使用します。また、麻酔中は好きな音楽を流すので、楽しく麻酔を行うことが可能です。
・トレーを用いたフッ素塗布法
たかはしキッズデンタルではフッ素の効果を高めるためトレーを使用します。フッ素の味はリンゴやブドウなので、小さなお子様も親しみやすいです。
・ラバーダム防湿法
治療する歯のみをゴムのシートで隔離して、お口の中に細菌が侵入したり器具を誤飲したりするのを防ぎます。
院長について
【経歴】
2002年 国立 東京医科歯科大学 歯学部卒業
同小児歯科学講座 入局
同付属病院小児歯科外来 勤務
2004年 岩瀬矯正歯科(埼玉県の矯正専門医院) 勤務
2006年 いとう矯正歯科(埼玉県の矯正専門医院) 勤務
2006年 明海大学歯学部口腔小児科学分野 助手
2007年 同 助教
2011年 同 講師
2012年 たかはしキッズデンタル 開院
日本小児歯科学会専門医指導医
日本小児歯科学会認定 小児歯科専門医
日本障害者歯科学会 認定医
日本小児口腔外科学会 認定医
厚生労働省認可 歯科医師臨床研修指導医
2002年 国立 東京医科歯科大学 歯学部卒業
同小児歯科学講座 入局
同付属病院小児歯科外来 勤務
2004年 岩瀬矯正歯科(埼玉県の矯正専門医院) 勤務
2006年 いとう矯正歯科(埼玉県の矯正専門医院) 勤務
2006年 明海大学歯学部口腔小児科学分野 助手
2007年 同 助教
2011年 同 講師
2012年 たかはしキッズデンタル 開院
日本小児歯科学会専門医指導医
日本小児歯科学会認定 小児歯科専門医
日本障害者歯科学会 認定医
日本小児口腔外科学会 認定医
厚生労働省認可 歯科医師臨床研修指導医
確かな知識と技術により様々な症状と向き合う:たかはしキッズデンタルの治療への取り組み
気になる症状があれば、お気軽にご相談ください
たかはしキッズデンタルでは様々な症状に対応しています。気になる症状があれば、お気軽にご相談ください。
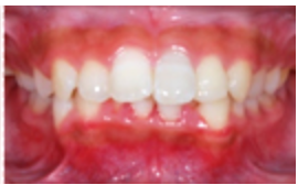
過剰歯は、乳歯や永久歯が余分に生えてきた歯のことです。100人に2人程度の確率で発現し、上の前歯の間や裏側から生えてくることが多いです。過剰歯がある場合、歯並びや生える時期に悪い影響を与えたり、歯根が溶けたり生えるのを邪魔したりする場合があります。
前歯の間が空いていた患者様の症例では、レントゲン撮影により過剰歯を発見しました。このままだと前歯はくっつくことはできません。抜歯をして3ヶ月ほど経過観察すると、自然と歯が動きほとんど隙間がなくなりました。
乳歯には将来生えてくる永久歯を正しい位置へ誘導する大切な役割があります。
乳歯をむし歯などで失った場合は保隙処置を行います。保隙処置とは、永久歯が正しく生えることができるように保隙装置を使って永久歯が生えるスペースを確保する治療方法です。装着位置や失った乳歯の本数により、どの装置を使用するかを決定します。
過剰歯は、乳歯や永久歯が余分に生えてきた歯のことです。100人に2人程度の確率で発現し、上の前歯の間や裏側から生えてくることが多いです。過剰歯がある場合、歯並びや生える時期に悪い影響を与えたり、歯根が溶けたり生えるのを邪魔したりする場合があります。
前歯の間が空いていた患者様の症例では、レントゲン撮影により過剰歯を発見しました。このままだと前歯はくっつくことはできません。抜歯をして3ヶ月ほど経過観察すると、自然と歯が動きほとんど隙間がなくなりました。
乳歯には将来生えてくる永久歯を正しい位置へ誘導する大切な役割があります。
乳歯をむし歯などで失った場合は保隙処置を行います。保隙処置とは、永久歯が正しく生えることができるように保隙装置を使って永久歯が生えるスペースを確保する治療方法です。装着位置や失った乳歯の本数により、どの装置を使用するかを決定します。
お子様の成長段階に合わせた歯列矯正:精密検査による的確な治療を提供
的確な診断と治療を提供します
歯がデコボコしている、前歯が出ている、噛み合わせがずれている、指しゃぶりが続いているなどお悩みはありませんか?
たかはしキッズデンタルの矯正治療は、3歳から18歳くらいまでのお子様に対応いたします。歯の生え変わりやお顔、顎骨など、お子様一人ひとりの発達・成長に合わせて歯並びや噛み合わせの異常の予防を行います。
<矯正治療の考え方>
・乳歯の歯並び
この時期には細かな歯の移動は行いません。将来の歯のために、大きな顎のずれや指しゃぶりなどの習慣などに対応します。
・永久歯との生え変わり
将来の歯並びや噛み合わせのために、お口や顎骨の成長に悪影響となりうる原因を取り除き、適切な矯正治療を提供します。
・永久歯の歯並び
永久歯への生え変わりが完了した時期には、並びや噛み合わせの最終調整を行います。
<精密検査>
診断や治療計画のためには、精密検査は欠かせません。
まず、歯型の精密模型を作製します。治療後に比較すると治った箇所がよくわかります。
次に行うのは、4種類ほどのレントゲン撮影です。これにより、問題のある箇所が数値で見ることができ、歯や骨の成長もわかります。
そして、口腔内写真や顔貌写真により、歯並びや噛み合わせ、歯茎の状態も確認します。
最後に、舌の機能や呼吸、顎関節なども必要であれば診査します。
たかはしキッズデンタルの矯正治療は、3歳から18歳くらいまでのお子様に対応いたします。歯の生え変わりやお顔、顎骨など、お子様一人ひとりの発達・成長に合わせて歯並びや噛み合わせの異常の予防を行います。
<矯正治療の考え方>
・乳歯の歯並び
この時期には細かな歯の移動は行いません。将来の歯のために、大きな顎のずれや指しゃぶりなどの習慣などに対応します。
・永久歯との生え変わり
将来の歯並びや噛み合わせのために、お口や顎骨の成長に悪影響となりうる原因を取り除き、適切な矯正治療を提供します。
・永久歯の歯並び
永久歯への生え変わりが完了した時期には、並びや噛み合わせの最終調整を行います。
<精密検査>
診断や治療計画のためには、精密検査は欠かせません。
まず、歯型の精密模型を作製します。治療後に比較すると治った箇所がよくわかります。
次に行うのは、4種類ほどのレントゲン撮影です。これにより、問題のある箇所が数値で見ることができ、歯や骨の成長もわかります。
そして、口腔内写真や顔貌写真により、歯並びや噛み合わせ、歯茎の状態も確認します。
最後に、舌の機能や呼吸、顎関節なども必要であれば診査します。
歯折など緊急処置も適切な治療を提供:たかはしキッズデンタルの治療と取り組み
歯を怪我した場合は早めの受診をおすすめします
活発なお子様はケガがつきものです。歯の怪我は、傷を受けてからの時間と治療方法によっては、将来生えてくる永久歯に悪い影響を与えるかもしれません。
たかはしキッズデンタルでは、基本的には数回のトレーニングから始めることをおすすめしています。しかし、歯の怪我や痛みが強い場合はこの限りではありません。保護者様と相談した上で治療方針を決定します。怪我をしたら、症状がなくても早めの受診をおすすめします。
たかはしキッズデンタルでは、乳歯根の歯折や永久歯冠・歯根の歯折などの症状にも対応可能です。
<乳歯根の歯折>
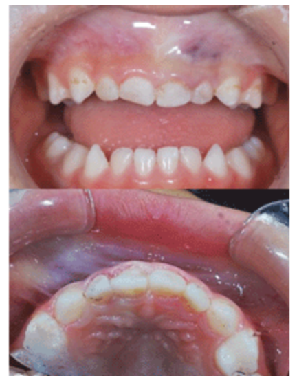
歯をぶつけてしまい出血も多く驚いて受診された患者様の症例です。歯根が折れ、歯が大きく動いていました。そこで、歯の位置を戻し、ギプスのようなもので固定しました。治療後、固定は取れ元通りになりました。しかし、永久歯への影響が起こる可能性があるため、経過観察を行うことが大切です。
<永久歯冠・歯根の歯折>
歯をぶつけてしまい、歯が数本折れて動いていたり歯根にヒビが入ったりしていました。たかはしキッズデンタルでは、歯の位置を戻して固定し、折れた箇所をレジン修復しました。この場合も、治療後の定期検査は欠かさないことが重要です。
たかはしキッズデンタルでは、基本的には数回のトレーニングから始めることをおすすめしています。しかし、歯の怪我や痛みが強い場合はこの限りではありません。保護者様と相談した上で治療方針を決定します。怪我をしたら、症状がなくても早めの受診をおすすめします。
たかはしキッズデンタルでは、乳歯根の歯折や永久歯冠・歯根の歯折などの症状にも対応可能です。
<乳歯根の歯折>
歯をぶつけてしまい出血も多く驚いて受診された患者様の症例です。歯根が折れ、歯が大きく動いていました。そこで、歯の位置を戻し、ギプスのようなもので固定しました。治療後、固定は取れ元通りになりました。しかし、永久歯への影響が起こる可能性があるため、経過観察を行うことが大切です。
<永久歯冠・歯根の歯折>
歯をぶつけてしまい、歯が数本折れて動いていたり歯根にヒビが入ったりしていました。たかはしキッズデンタルでは、歯の位置を戻して固定し、折れた箇所をレジン修復しました。この場合も、治療後の定期検査は欠かさないことが重要です。
たかはしキッズデンタルのスペシャルニーズ歯科治療:麻酔医によるリラックス診療を提供
お子様が安心して治療を受けることができるように善処します
お子様が「怖くない!楽しい!」と感じること、なぜこの治療が必要なのかを理解すること、そして適切な治療によりお子様の健康を守ります。
・かめさんコース
2歳以上のお子様が対象です。お子様の協力状態を引き出し、楽しく遊びながら治療を受けていただくことができます。
・うさぎさんコース
短時間で安全に的確な治療を提供します。場合によってはお子様を抑えさせていただく器具を使用いたします。
障害や全身疾患があるお子様も安心してご来院ください。
障害のあるお子様はどの歯医者に行けば良いか分からず、お口の中の病気が放置されてしまうことがあります。
日本障害者歯科学会認定医の資格を有している院長が、お子様の特性に合わせた歯科治療を提案いたします。
<通常治療が可能である場合>
障害の種類や特性に合わせて、保護者様と相談した上で治療方法を検討いたします。
<通常治療が難しい場合>
笑気鎮静法や静脈内鎮静法などリラックス診療をご選択可能です。たかはしキッズデンタルの副院長は日本麻酔学会認定医の資格を有しておりますので、ご安心ください。
・かめさんコース
2歳以上のお子様が対象です。お子様の協力状態を引き出し、楽しく遊びながら治療を受けていただくことができます。
・うさぎさんコース
短時間で安全に的確な治療を提供します。場合によってはお子様を抑えさせていただく器具を使用いたします。
障害や全身疾患があるお子様も安心してご来院ください。
障害のあるお子様はどの歯医者に行けば良いか分からず、お口の中の病気が放置されてしまうことがあります。
日本障害者歯科学会認定医の資格を有している院長が、お子様の特性に合わせた歯科治療を提案いたします。
<通常治療が可能である場合>
障害の種類や特性に合わせて、保護者様と相談した上で治療方法を検討いたします。
<通常治療が難しい場合>
笑気鎮静法や静脈内鎮静法などリラックス診療をご選択可能です。たかはしキッズデンタルの副院長は日本麻酔学会認定医の資格を有しておりますので、ご安心ください。
自由診療のリスク・副作用、その他
自由診療について
患者様のさまざまなニーズに応えるために自由診療を提供しております。しかし、自由診療には健康保険適用外の治療が含まれるため、以下の点にご注意ください。
【リスクについて】
自由診療には、保険適用治療に比べて高度かつ専門的な治療が含まれる場合があります。これらの治療はより高い技術を要求されるため、一般的な治療よりもリスクが高まる可能性があります。
【副作用について】
すべての医療行為には副作用のリスクが伴います。自由診療の場合、使用する材料や治療方法が特殊な場合があるため、通常の治療とは異なる副作用が発生する可能性があります。
【費用について】
自由診療は健康保険の適用外であるため、保険診療と比較して高額になることがあります。治療前には必ず費用の詳細について説明を行い、ご同意をいただいてから治療を開始します。
【治療の選択について】
患者様の健康状態や希望に合わせて、最適な治療計画を提案します。自由診療は選択肢の一つであり、必ずしもすべての患者様に適しているわけではありません。
【その他の注意事項】
治療後のフォローアップやメンテナンスについても、自由診療の範囲内で行うことがあります。これには追加の費用が発生する場合があります。
患者様一人ひとりに合った治療を心がけております。自由診療を含むすべての治療オプションについて、十分な説明とともに、患者様のご理解とご同意を得ることを重視しています。ご不明な点やご心配なことがございましたら、遠慮なくご相談ください。
患者様のさまざまなニーズに応えるために自由診療を提供しております。しかし、自由診療には健康保険適用外の治療が含まれるため、以下の点にご注意ください。
【リスクについて】
自由診療には、保険適用治療に比べて高度かつ専門的な治療が含まれる場合があります。これらの治療はより高い技術を要求されるため、一般的な治療よりもリスクが高まる可能性があります。
【副作用について】
すべての医療行為には副作用のリスクが伴います。自由診療の場合、使用する材料や治療方法が特殊な場合があるため、通常の治療とは異なる副作用が発生する可能性があります。
【費用について】
自由診療は健康保険の適用外であるため、保険診療と比較して高額になることがあります。治療前には必ず費用の詳細について説明を行い、ご同意をいただいてから治療を開始します。
【治療の選択について】
患者様の健康状態や希望に合わせて、最適な治療計画を提案します。自由診療は選択肢の一つであり、必ずしもすべての患者様に適しているわけではありません。
【その他の注意事項】
治療後のフォローアップやメンテナンスについても、自由診療の範囲内で行うことがあります。これには追加の費用が発生する場合があります。
患者様一人ひとりに合った治療を心がけております。自由診療を含むすべての治療オプションについて、十分な説明とともに、患者様のご理解とご同意を得ることを重視しています。ご不明な点やご心配なことがございましたら、遠慮なくご相談ください。
この医院の口コミはまだありません
受付時間
| 診療時間 | 日 | 月 | 火 | 水 | 木 | 金 | 土 |
|---|---|---|---|---|---|---|---|
| 09:00 ~ 12:00 | |||||||
| 14:30 ~ 19:00 | |||||||
| 14:30 ~ 18:00 | |||||||
| 14:30 ~ 17:00 |
※基本的に、水曜日は休診いたします。また、日曜日は月1回診療となります。
毎月の診療日は、HPのカレンダーをご確認ください。
アクセスマップ
基本情報
| 医院名 | たかはしキッズデンタル |
| 所在地 | 〒720-0821 広島県 福山市 東川口町5-18-15 |
| 最寄駅 | 中国バス 東川口五丁目停留所 徒歩2分 |
| 診療内容 | 小児歯科 |
| 医院ID | 83200 |