【日本補綴歯科学会認定医・指導医】【日本顎顔面補綴学会認定医】【バリアフリー対応】リラックスできる院内環境で患者様の症状に合わせた治療を提供するいっせい歯科クリニック
いっせい歯科クリニックは、越後線青山駅から徒歩12分の位置にある歯科クリニックです。一般歯科、歯周病、義歯や補綴、成人矯正などの診療科目に対応しています。
当クリニックの院長は、日本補綴歯科学会認定医・指導医、日本顎顔面補綴学会認定医の資格を有しています。精度の高い技術と豊富な経験により、患者様の様々なお困りごとに対する治療を提供可能です。
具体的には、義歯による不快感や歯周病による咀嚼不良などの症例に合わせて、義歯や補綴物をご提案いたします。また、管楽器奏者のためのリップガードやスポーツマウスガードなど、職種に特化した治療も行います。
待合室は、患者様にリラックスしていただけるように無垢の床材アッシュを使用しており、治療への緊張をほぐし日々の疲れを癒します。
また、診療室は和風の個室です。患者様とスタッフがすれ違うことなく入室できるため、落ち着いて治療を受けることができます。さらに、DVDをお持ち込みいただいて、治療中に鑑賞することができます。
患者様の生活や食事がより楽しくなるように、スタッフがサポートいたします。お気軽にご相談ください。
当クリニックの院長は、日本補綴歯科学会認定医・指導医、日本顎顔面補綴学会認定医の資格を有しています。精度の高い技術と豊富な経験により、患者様の様々なお困りごとに対する治療を提供可能です。
具体的には、義歯による不快感や歯周病による咀嚼不良などの症例に合わせて、義歯や補綴物をご提案いたします。また、管楽器奏者のためのリップガードやスポーツマウスガードなど、職種に特化した治療も行います。
待合室は、患者様にリラックスしていただけるように無垢の床材アッシュを使用しており、治療への緊張をほぐし日々の疲れを癒します。
また、診療室は和風の個室です。患者様とスタッフがすれ違うことなく入室できるため、落ち着いて治療を受けることができます。さらに、DVDをお持ち込みいただいて、治療中に鑑賞することができます。
患者様の生活や食事がより楽しくなるように、スタッフがサポートいたします。お気軽にご相談ください。
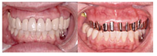
有床義歯のこだわりポイント
違和感や不快感などの症状を改善いたします
いっせい歯科クリニックは義歯に注力しております。
義歯には様々な種類があります。合わない・痛い・噛めない・すぐに外れるなど、患者様の症状やお困りごとに合わせてご提案及び治療を行います。
<無口蓋義歯>
上顎の総義歯(無歯顎)を使用している場合、嘔吐反射や異物感を感じることがあります。これは、軟口蓋とよばれる口蓋の舌根部に近い箇所に入れ歯による圧力が加わるためです。無口蓋義歯に変えることで、この不快感をなくすことができます。
<金属床義歯>
いっせい歯科クリニックでは、金属床義歯をおすすめしています。この義歯は、しっかりと噛むことができて、違和感が少なく長持ちするためです。熱伝導が良いので、食事の温かさも感じやすくなっています。
歯が欠損している場合はインプラント治療が主流となっています。しかし、当クリニックでは、インプラントよりも細菌による侵蝕が少ない従来の義歯による治療を優先しています。違和感が少なく感じにくい治療を心がけておりますので、ご安心ください。
義歯には様々な種類があります。合わない・痛い・噛めない・すぐに外れるなど、患者様の症状やお困りごとに合わせてご提案及び治療を行います。
<無口蓋義歯>
上顎の総義歯(無歯顎)を使用している場合、嘔吐反射や異物感を感じることがあります。これは、軟口蓋とよばれる口蓋の舌根部に近い箇所に入れ歯による圧力が加わるためです。無口蓋義歯に変えることで、この不快感をなくすことができます。
<金属床義歯>
いっせい歯科クリニックでは、金属床義歯をおすすめしています。この義歯は、しっかりと噛むことができて、違和感が少なく長持ちするためです。熱伝導が良いので、食事の温かさも感じやすくなっています。
歯が欠損している場合はインプラント治療が主流となっています。しかし、当クリニックでは、インプラントよりも細菌による侵蝕が少ない従来の義歯による治療を優先しています。違和感が少なく感じにくい治療を心がけておりますので、ご安心ください。
医院としての理念・方針
液晶モニターにて、患者様へ丁寧にご説明いたします
当クリニックの診療方針は、清潔・快適・安全への配慮を行うことです。
また、医師による診断に責任を持ち、適切な診療時間及び回数にて最大限の効果を発揮することにより、口腔内や顔面・顎の健康と審美性を保つことのサポートをいたします。
<清潔な診療環境>
院内の感染予防・衛生管理を徹底しています。手袋・コップ・エプロンなどは使い捨てとしており、給水は除菌フィルターを使用しています。
また、排塵システム(口腔外バキュウム装置)を導入しており、歯を削る際に細菌・ウィルス・血液などの物質や、金属片、粉塵が飛び散ることはありません。
<快適な院内環境>
院内はすべてバリアフリー対応となっています。車椅子の患者様も安心してご来院ください。
<安心安全への配慮>
・X線撮影
X線撮影はデジタル方式です。被曝量がフィルム方式の1割程度であり、撮影直後に液晶モニターで患者様の口腔内状況を説明することができます。さらに、新潟県厚生農業共同組合連合会新潟医療センターの歯科口腔外科との提携しているため、三次元CTデータをDVDに記録、または印刷してお渡しすることが可能です。
・麻酔処置
痛みの少ない処置を心がけています。そのために、表面麻酔と電動注射器により、麻酔による痛みを軽減しています。
また、医師による診断に責任を持ち、適切な診療時間及び回数にて最大限の効果を発揮することにより、口腔内や顔面・顎の健康と審美性を保つことのサポートをいたします。
<清潔な診療環境>
院内の感染予防・衛生管理を徹底しています。手袋・コップ・エプロンなどは使い捨てとしており、給水は除菌フィルターを使用しています。
また、排塵システム(口腔外バキュウム装置)を導入しており、歯を削る際に細菌・ウィルス・血液などの物質や、金属片、粉塵が飛び散ることはありません。
<快適な院内環境>
院内はすべてバリアフリー対応となっています。車椅子の患者様も安心してご来院ください。
<安心安全への配慮>
・X線撮影
X線撮影はデジタル方式です。被曝量がフィルム方式の1割程度であり、撮影直後に液晶モニターで患者様の口腔内状況を説明することができます。さらに、新潟県厚生農業共同組合連合会新潟医療センターの歯科口腔外科との提携しているため、三次元CTデータをDVDに記録、または印刷してお渡しすることが可能です。
・麻酔処置
痛みの少ない処置を心がけています。そのために、表面麻酔と電動注射器により、麻酔による痛みを軽減しています。
院長について
■略歴
1986年 新潟大学歯学部附属病院第一補綴科助手
1987年 新潟大学歯学部附属病院第一補綴科講師
1987年 新潟大学歯学部附属歯科技工士学校講師併任
1991年 文部省在外研究員(アメリカ合衆国州立ミネソタ大学)
2000年 新潟大学医歯学総合病院歯科総合診療部専任講師
2004年 松本歯科大学総合歯科医学研究所教授
2005年 松本歯科大学大学院教授併任
2008年 いっせい歯科クリニック開院
【資格】
日本補綴歯科学会認定医・指導医
日本顎顔面補綴学会認定医
1986年 新潟大学歯学部附属病院第一補綴科助手
1987年 新潟大学歯学部附属病院第一補綴科講師
1987年 新潟大学歯学部附属歯科技工士学校講師併任
1991年 文部省在外研究員(アメリカ合衆国州立ミネソタ大学)
2000年 新潟大学医歯学総合病院歯科総合診療部専任講師
2004年 松本歯科大学総合歯科医学研究所教授
2005年 松本歯科大学大学院教授併任
2008年 いっせい歯科クリニック開院
【資格】
日本補綴歯科学会認定医・指導医
日本顎顔面補綴学会認定医
当クリニックの歯の欠損治療:CAD/CAMマシン(セレック4)により精巧な補綴物を作成
最新設備によりオールセラミックまたはジルニコアの補綴物を提供します
当クリニックは、医療先進国であるドイツで開発された、最先端のCAD/CAMマシン(セレック4)と備えています。このシステムと歯科技工士の技術を持っている院長により、精巧なオールセラミックの冠や詰め物、ジルニコアブリッジを作製することができます。
<セラミック>
セレック治療は、隣接した健康な歯を傷つけることなく、経年劣化による色調の変化も少ないため、審美性と機能性を併せ持った治療方法です。さらに、セラミックは耐久性に優れ、金属アレルギーの患者様も安心してご利用いただけます。
また、作製する際には3D工学カメラで歯の形状や噛み合わせを正確にスキャンするため、型を取る必要がありません。そのため、治療中の患者様への負担も少なくすることができます。
<ジルニコアブリッジ>
ジルニコアはセラミックより硬い素材です。透明度はセラミックより低いですが、噛む力が強い方や奥歯に適しています。
患者様の生活習慣や口腔状態に合わせた素材での治療を提供いたしますので、ご安心ください。
<セラミック>
セレック治療は、隣接した健康な歯を傷つけることなく、経年劣化による色調の変化も少ないため、審美性と機能性を併せ持った治療方法です。さらに、セラミックは耐久性に優れ、金属アレルギーの患者様も安心してご利用いただけます。
また、作製する際には3D工学カメラで歯の形状や噛み合わせを正確にスキャンするため、型を取る必要がありません。そのため、治療中の患者様への負担も少なくすることができます。
<ジルニコアブリッジ>
ジルニコアはセラミックより硬い素材です。透明度はセラミックより低いですが、噛む力が強い方や奥歯に適しています。
患者様の生活習慣や口腔状態に合わせた素材での治療を提供いたしますので、ご安心ください。
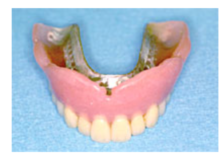
当クリニックの重度歯周病治療:コーヌステレスコープ義歯により咀嚼機能を回復する
重度歯周病にも対応しています
歯周病とは、歯周病菌により炎症が起こり、歯槽骨が溶かされてしまう病気です。
歯肉溝や歯間などのブラッシングがきちんとされていないと、歯肉が赤くなったり腫れたりする場合があります。初期症状ではほとんど痛みがないため、気がついた頃には重症化しています。
重度歯周病になると、膿が出たり歯がグラグラしたりして、よく噛むことができなくなります。また、歯が抜けてしまう可能性もあります。
<コーヌステレスコープ義歯>
この義歯は、内冠と外冠の二重構造であるため、しっかりと義歯が固定されるので噛み心地がとても良いのが特徴です。また、クラスプを使用しないため審美性に優れ、取り外し可能であるので衛生面も安心です。
歯周病により歯のグラつきや痛みでよく噛むことができない場合に装着することで、咀嚼機能を取り戻すことができます。
当クリニックでは、口腔内の問題にも対応しています。
口内炎などの軟組織に異常がある場合は、レーザー治療によりすぐに痛みをなくすことができます。気になる症状がある方は、ご相談ください。
歯肉溝や歯間などのブラッシングがきちんとされていないと、歯肉が赤くなったり腫れたりする場合があります。初期症状ではほとんど痛みがないため、気がついた頃には重症化しています。
重度歯周病になると、膿が出たり歯がグラグラしたりして、よく噛むことができなくなります。また、歯が抜けてしまう可能性もあります。
<コーヌステレスコープ義歯>
この義歯は、内冠と外冠の二重構造であるため、しっかりと義歯が固定されるので噛み心地がとても良いのが特徴です。また、クラスプを使用しないため審美性に優れ、取り外し可能であるので衛生面も安心です。
歯周病により歯のグラつきや痛みでよく噛むことができない場合に装着することで、咀嚼機能を取り戻すことができます。
当クリニックでは、口腔内の問題にも対応しています。
口内炎などの軟組織に異常がある場合は、レーザー治療によりすぐに痛みをなくすことができます。気になる症状がある方は、ご相談ください。
管楽器奏者やスポーツ選手のための歯科治療:当クリニックの治療と取り組み
患者様の症状に合わせて、適切な治療方法をご提案いたします
楽器奏者やスポーツ選手の患者様のために、リップガードやマウスガードを提供しています。お悩みに合わせた治療を行いますので、お気軽にお問い合わせください。
<リップガード>
管楽器奏者(トランペットやクラリネットなど)にとって歯はとても大切です。
前歯に被せ物をしたり抜歯したりした影響で、楽器の音色に悪い影響が出る可能性があります。奥歯であってもアンブシュア(口唇、頬、舌の形)に変化が起きてしまいます。
管楽器はと口で演奏するため、歯並びが悪い場合はリップガードなどをおすすめしています。歯科医として演奏者の患者様へのご支援をさせていただきます。
<スポーツマウスガード>
スポーツマウスガードをつけることで、スポーツ中に受けるダメージから歯を守ることができます。
市販のものでは強い衝撃から歯を守るのは難しく、噛み合わせに問題が起こる場合もあります。当クリニックでは、患者様に合わせて精密で強度のあるマウスガードを提供可能です。
<リップガード>
管楽器奏者(トランペットやクラリネットなど)にとって歯はとても大切です。
前歯に被せ物をしたり抜歯したりした影響で、楽器の音色に悪い影響が出る可能性があります。奥歯であってもアンブシュア(口唇、頬、舌の形)に変化が起きてしまいます。
管楽器はと口で演奏するため、歯並びが悪い場合はリップガードなどをおすすめしています。歯科医として演奏者の患者様へのご支援をさせていただきます。
<スポーツマウスガード>
スポーツマウスガードをつけることで、スポーツ中に受けるダメージから歯を守ることができます。
市販のものでは強い衝撃から歯を守るのは難しく、噛み合わせに問題が起こる場合もあります。当クリニックでは、患者様に合わせて精密で強度のあるマウスガードを提供可能です。
いっせい歯科クリニックの予防歯科:フッ素やMIペースト塗布することで歯の健康を守る
フッ素やMIペーストの塗布により、歯の健康を守ります
歯を健康に保つために、患者様ご自身で行うブラッシングや歯科クリニックで行う口腔ケアはとても重要です。予防方法として、フッ素塗布が挙げられます。
当クリニックでは、患者様一人ひとりの歯並びに合わせて、マウスピース型トレー(ドラックリテーナ)を使用します。さらに、歯質の再石灰化を促進するMIペーストも追加しています。
時間は約45分かかりますが、お持ち込みいただいたDVDを鑑賞しながら塗布することができます。また、フルーツの味なので不快感はありません。
<フッ素>
患者様の上下の歯型をとり、個人専用のトレーを作成します。そのトレーにフッ素を塗り、装着します。
フッ素には、歯質強化の効果があります。さらに、むし歯菌から酸が発生する過程を防いだり、初期のむし歯を治癒したりすることができます。
<MIペースト>
ブラッシング後に歯に塗るだけの牛乳由来の成分を使用したペーストです。歯の原料となるミネラルが豊富に含まれています。また、口腔内を酸性の状態になりにくくします。
当クリニックでは、患者様一人ひとりの歯並びに合わせて、マウスピース型トレー(ドラックリテーナ)を使用します。さらに、歯質の再石灰化を促進するMIペーストも追加しています。
時間は約45分かかりますが、お持ち込みいただいたDVDを鑑賞しながら塗布することができます。また、フルーツの味なので不快感はありません。
<フッ素>
患者様の上下の歯型をとり、個人専用のトレーを作成します。そのトレーにフッ素を塗り、装着します。
フッ素には、歯質強化の効果があります。さらに、むし歯菌から酸が発生する過程を防いだり、初期のむし歯を治癒したりすることができます。
<MIペースト>
ブラッシング後に歯に塗るだけの牛乳由来の成分を使用したペーストです。歯の原料となるミネラルが豊富に含まれています。また、口腔内を酸性の状態になりにくくします。
自由診療のリスク・副作用、その他
自由診療について
患者様のさまざまなニーズに応えるために自由診療を提供しております。しかし、自由診療には健康保険適用外の治療が含まれるため、以下の点にご注意ください。
【リスクについて】
自由診療には、保険適用治療に比べて高度かつ専門的な治療が含まれる場合があります。これらの治療はより高い技術を要求されるため、一般的な治療よりもリスクが高まる可能性があります。
【副作用について】
すべての医療行為には副作用のリスクが伴います。自由診療の場合、使用する材料や治療方法が特殊な場合があるため、通常の治療とは異なる副作用が発生する可能性があります。
【費用について】
自由診療は健康保険の適用外であるため、保険診療と比較して高額になることがあります。治療前には必ず費用の詳細について説明を行い、ご同意をいただいてから治療を開始します。
【治療の選択について】
患者様の健康状態や希望に合わせて、最適な治療計画を提案します。自由診療は選択肢の一つであり、必ずしもすべての患者様に適しているわけではありません。
【その他の注意事項】
治療後のフォローアップやメンテナンスについても、自由診療の範囲内で行うことがあります。これには追加の費用が発生する場合があります。
患者様一人ひとりに合った治療を心がけております。自由診療を含むすべての治療オプションについて、十分な説明とともに、患者様のご理解とご同意を得ることを重視しています。ご不明な点やご心配なことがございましたら、遠慮なくご相談ください。
患者様のさまざまなニーズに応えるために自由診療を提供しております。しかし、自由診療には健康保険適用外の治療が含まれるため、以下の点にご注意ください。
【リスクについて】
自由診療には、保険適用治療に比べて高度かつ専門的な治療が含まれる場合があります。これらの治療はより高い技術を要求されるため、一般的な治療よりもリスクが高まる可能性があります。
【副作用について】
すべての医療行為には副作用のリスクが伴います。自由診療の場合、使用する材料や治療方法が特殊な場合があるため、通常の治療とは異なる副作用が発生する可能性があります。
【費用について】
自由診療は健康保険の適用外であるため、保険診療と比較して高額になることがあります。治療前には必ず費用の詳細について説明を行い、ご同意をいただいてから治療を開始します。
【治療の選択について】
患者様の健康状態や希望に合わせて、最適な治療計画を提案します。自由診療は選択肢の一つであり、必ずしもすべての患者様に適しているわけではありません。
【その他の注意事項】
治療後のフォローアップやメンテナンスについても、自由診療の範囲内で行うことがあります。これには追加の費用が発生する場合があります。
患者様一人ひとりに合った治療を心がけております。自由診療を含むすべての治療オプションについて、十分な説明とともに、患者様のご理解とご同意を得ることを重視しています。ご不明な点やご心配なことがございましたら、遠慮なくご相談ください。
この医院の口コミはまだありません
受付時間
| 診療時間 | 日 | 月 | 火 | 水 | 木 | 金 | 土 |
|---|---|---|---|---|---|---|---|
| 09:00 ~ 13:00 | |||||||
| 15:00 ~ 19:00 |
休診日:木曜・日曜・祝日
ただし、祝祭日がある週の木曜日は診察いたします
アクセスマップ
基本情報
| 医院名 | いっせい歯科クリニック |
| 所在地 | 〒950-2002 新潟県 新潟市西区 青山4-7-1 |
| 最寄駅 | 青山駅 徒歩12分 |
| 診療内容 | 歯冠修復、欠損補綴 / 根管治療 / 歯周病治療 / 予防治療 / 小児歯科 / 矯正歯科 / 有床義歯 |
| 医院ID | 82570 |