【汐入バス停 徒歩1分・駐車場完備】精密な診療と先進設備で歯を守る治療を行うふくち歯科
ふくち歯科は、汐入バス停から徒歩1分の場所に位置する歯科医院です。駐車場も備えられており、バスやお車などさまざまな方法で通院しやすい環境が整っています。患者様の歯をできるだけ長く健康に保つことを重視し、負担に配慮した診療が行われている点が特徴です。
こちらの歯科医院では、歯を必要以上に削らない治療を大切にしており、そのための正確な診断に力が入れられています。CTやパノラマレントゲンといったデジタル機器を活用し、精密な検査が行われています。デジタルレントゲンは被ばく量の軽減にもつながり、撮影データを長期的に管理できる点も特徴です。治療経過の確認や適切な治療方針の判断にも活用されています。
院内は半個室の診療室が設けられており、プライバシーに配慮された環境が整えられています。各診療スペースにはディスプレイが設置されており、レントゲン画像や治療内容を視覚的に確認できるため、ご自身のお口の状態を理解しやすい体制といえるでしょう。納得したうえで治療に進めるよう配慮されている点も魅力です。
さらに、マイクロスコープを導入することで、肉眼では確認しにくい細部まで把握しながら精密な処置が行われています。電子カルテによる情報共有も行われており、治療経過を適切に管理できる体制が整えられています。精密な診療と通いやすい環境の両面から、患者様のお口の健康を支えている歯科医院です。
こちらの歯科医院では、歯を必要以上に削らない治療を大切にしており、そのための正確な診断に力が入れられています。CTやパノラマレントゲンといったデジタル機器を活用し、精密な検査が行われています。デジタルレントゲンは被ばく量の軽減にもつながり、撮影データを長期的に管理できる点も特徴です。治療経過の確認や適切な治療方針の判断にも活用されています。
院内は半個室の診療室が設けられており、プライバシーに配慮された環境が整えられています。各診療スペースにはディスプレイが設置されており、レントゲン画像や治療内容を視覚的に確認できるため、ご自身のお口の状態を理解しやすい体制といえるでしょう。納得したうえで治療に進めるよう配慮されている点も魅力です。
さらに、マイクロスコープを導入することで、肉眼では確認しにくい細部まで把握しながら精密な処置が行われています。電子カルテによる情報共有も行われており、治療経過を適切に管理できる体制が整えられています。精密な診療と通いやすい環境の両面から、患者様のお口の健康を支えている歯科医院です。
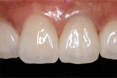
歯冠修復、欠損補綴のこだわりポイント
マイクロスコープを導入しています。
歯冠修復や欠損補綴は、むし歯や外傷などによって失われた歯の機能や形態を回復するための大切な治療です。ふくち歯科では、できるだけ歯質を温存する考え方を重視し、必要以上に削らない処置を心がけています。初期段階であれば再石灰化が期待できる場合もありますが、進行したむし歯には適切な修復処置が必要となります。早い段階で対応することで、治療の範囲を最小限に抑え、歯への負担軽減につなげています。
歯冠修復では、むし歯を除去した後に詰め物や被せ物を用いて歯の形や機能を回復します。また、歯を失った場合には、入れ歯やブリッジなどの補綴治療を行い、噛む機能や見た目のバランスを整えます。放置すると噛み合わせの乱れや周囲の歯への負担が大きくなるため、欠損部を適切に補うことが重要となります。患者様一人ひとりのお口の状態に応じて、無理のない治療計画を提案しています。
さらに、治療時の負担軽減にも配慮しています。局所麻酔を行う際には表面麻酔を併用し、注射時の刺激を和らげています。加えて、できるだけ細い注射針を使用することで痛みの軽減につなげています。こうした工夫により、患者様が安心して治療に臨める環境づくりに取り組んでいます。
歯冠修復では、むし歯を除去した後に詰め物や被せ物を用いて歯の形や機能を回復します。また、歯を失った場合には、入れ歯やブリッジなどの補綴治療を行い、噛む機能や見た目のバランスを整えます。放置すると噛み合わせの乱れや周囲の歯への負担が大きくなるため、欠損部を適切に補うことが重要となります。患者様一人ひとりのお口の状態に応じて、無理のない治療計画を提案しています。
さらに、治療時の負担軽減にも配慮しています。局所麻酔を行う際には表面麻酔を併用し、注射時の刺激を和らげています。加えて、できるだけ細い注射針を使用することで痛みの軽減につなげています。こうした工夫により、患者様が安心して治療に臨める環境づくりに取り組んでいます。
医院としての理念・方針
診療においては対話を重視し、納得いただける形で治療方針を共有する姿勢を大切にしています。
ふくち歯科では、患者様のお気持ちやお考えを丁寧に伺うことを、よりよい歯科医療につながる大切な要素と捉えています。治療は一方的に進めるものではなく、患者様それぞれの背景やご希望を理解することから始まります。そのため、診療においては対話を重視し、納得いただける形で治療方針を共有する姿勢を大切にしています。
お口に関する不安や疑問は、人によってさまざまです。小さな違和感や日常の悩みであっても、その積み重ねが将来の健康に影響する場合があります。ふくち歯科では、そうした声をしっかり受け止め、患者様が安心して相談できる環境づくりに配慮しています。気軽に話せる雰囲気が、早期発見や適切な対応につながると考えています。
また、患者様とともに治療を考える姿勢を大切にしながら、一人ひとりに合った選択肢を丁寧に提案しています。説明を重ねながら理解を深めていくことで、不安を軽減し、前向きに治療へ進めるよう支援しています。ふくち歯科は、患者様に寄り添いながら信頼関係を築き、長くお口の健康を支えていく存在を目指しています。
お口に関する不安や疑問は、人によってさまざまです。小さな違和感や日常の悩みであっても、その積み重ねが将来の健康に影響する場合があります。ふくち歯科では、そうした声をしっかり受け止め、患者様が安心して相談できる環境づくりに配慮しています。気軽に話せる雰囲気が、早期発見や適切な対応につながると考えています。
また、患者様とともに治療を考える姿勢を大切にしながら、一人ひとりに合った選択肢を丁寧に提案しています。説明を重ねながら理解を深めていくことで、不安を軽減し、前向きに治療へ進めるよう支援しています。ふくち歯科は、患者様に寄り添いながら信頼関係を築き、長くお口の健康を支えていく存在を目指しています。
院長について
▽略歴
福岡県立九州歯科大学 卒業
2011年10月 ふくち歯科 開院
福岡県立九州歯科大学 卒業
2011年10月 ふくち歯科 開院
患者様の状態に合わせた定期管理を行い、長期的なお口の健康維持を支える歯周病治療
早期発見と予防の重要性を重視し、定期検診を通じた口腔管理を大切にしています。
歯周病は初期段階では自覚症状が少なく、気づかないうちに進行しやすい特徴があります。ふくち歯科では、早期発見と予防の重要性を重視し、定期検診を通じた口腔管理を大切にしています。歯を失う原因の多くが歯周病とされており、日本人の成人の約80%が何らかの形で関与しているともいわれています。違和感がなくても、定期的に状態を確認することでリスクの軽減につながります。
歯周病が認められる場合には、まず口腔内環境を整えることから始めます。超音波スケーラーを用いた歯石除去や、プラーク・着色の除去などを行い、清潔な状態へ導いていきます。こうした専門的な処置により、歯ぐきの炎症を抑え、進行を防ぐ基盤を整えていきます。
さらに、日常生活でのケアも重要となるため、ブラッシング方法や生活習慣の見直しについても丁寧に伝えています。歯周病は症状が落ち着いても再発しやすい性質があるため、継続的な通院とメインテナンスが欠かせません。ふくち歯科では、患者様の状態に合わせた定期管理を行い、長期的なお口の健康維持を支えています。
歯周病が認められる場合には、まず口腔内環境を整えることから始めます。超音波スケーラーを用いた歯石除去や、プラーク・着色の除去などを行い、清潔な状態へ導いていきます。こうした専門的な処置により、歯ぐきの炎症を抑え、進行を防ぐ基盤を整えていきます。
さらに、日常生活でのケアも重要となるため、ブラッシング方法や生活習慣の見直しについても丁寧に伝えています。歯周病は症状が落ち着いても再発しやすい性質があるため、継続的な通院とメインテナンスが欠かせません。ふくち歯科では、患者様の状態に合わせた定期管理を行い、長期的なお口の健康維持を支えています。
周囲の歯への負担を抑えながら、できる限り自然に近い噛み心地を目指した治療を提案するインプラント治療
患者様の状態やご希望を踏まえながら、無理のない治療計画を提案しています。
インプラント治療は、むし歯や歯周病、外傷などによって歯を失った際に、人工の歯根を顎の骨に埋め込み、その上に人工歯を装着することで機能と見た目の回復を図る治療法です。ふくち歯科では、周囲の歯への負担を抑えながら、できる限り自然に近い噛み心地を目指した治療を提案しています。適切に処置を行うことで、自分の歯に近い感覚で食事を楽しめる点が特徴です。
メリットとしては、セラミック素材の人工歯を使用することで天然歯に近い見た目が期待できること、しっかり噛める機能性を得られることが挙げられます。また、ブリッジのように隣接歯を削る必要がなく、入れ歯のような取り外しも不要であるため、日常のケアも行いやすい点が利点です。一方で、全身状態や服用中の薬の影響により適応できない場合があるほか、治療期間が比較的長くなる傾向があります。さらに自由診療となるため、費用面についても事前の確認が重要です。
治療は段階的に進めていきます。まず顎の骨の状態を整えたうえでインプラント体を埋入し、その後1.5〜3か月ほどの治癒期間を設けて骨との結合を待ちます。安定が確認できた段階でアバットメントと呼ばれる土台を取り付け、最終的に人工歯を装着して完了となります。費用はインプラント埋入が1本264,000円〜、上部構造が121,000円〜が目安です。ふくち歯科では、患者様の状態やご希望を踏まえながら、無理のない治療計画を提案しています。
メリットとしては、セラミック素材の人工歯を使用することで天然歯に近い見た目が期待できること、しっかり噛める機能性を得られることが挙げられます。また、ブリッジのように隣接歯を削る必要がなく、入れ歯のような取り外しも不要であるため、日常のケアも行いやすい点が利点です。一方で、全身状態や服用中の薬の影響により適応できない場合があるほか、治療期間が比較的長くなる傾向があります。さらに自由診療となるため、費用面についても事前の確認が重要です。
治療は段階的に進めていきます。まず顎の骨の状態を整えたうえでインプラント体を埋入し、その後1.5〜3か月ほどの治癒期間を設けて骨との結合を待ちます。安定が確認できた段階でアバットメントと呼ばれる土台を取り付け、最終的に人工歯を装着して完了となります。費用はインプラント埋入が1本264,000円〜、上部構造が121,000円〜が目安です。ふくち歯科では、患者様の状態やご希望を踏まえながら、無理のない治療計画を提案しています。
審美性と機能性を兼ね備えたセラミック治療
患者様のご希望や口腔内の状態に合わせて無理のない治療計画を提案しています。
セラミック治療は、銀歯の見た目が気になる方や金属アレルギーに配慮したい方に選択されることの多い審美性と機能性を兼ね備えた治療です。ふくち歯科では、詰め物や被せ物にセラミック素材を用いることで、自然な白さと透明感のある仕上がりを目指しています。口元の印象を大きく左右する前歯だけでなく、奥歯にも適用できるため、見た目と噛む機能の両立を図りたい場合にも適しています。
セラミックの特徴として、変色しにくく長期間にわたり美しさを維持しやすい点が挙げられます。また表面が滑らかで細菌が付着しにくく、むし歯や歯周病のリスク軽減にもつながります。さらに金属を使用しないオールセラミックであれば、金属アレルギーの心配がある患者様にも対応可能です。一方で、強い衝撃が加わると破損する可能性があり、保険診療の素材と比較すると費用が高くなる傾向があります。
治療では、歯の状態を確認したうえで適切な範囲を修復し、自然な形態と色調に整えていきます。特に前歯の修復では、強度と審美性のバランスを考慮しながらオールセラミックを選択することで、より自然な仕上がりが期待できます。費用の目安は、インレーが66,000円〜、クラウンが99,000円〜です。ふくち歯科では、患者様のご希望や口腔内の状態に合わせて無理のない治療計画を提案しています。
セラミックの特徴として、変色しにくく長期間にわたり美しさを維持しやすい点が挙げられます。また表面が滑らかで細菌が付着しにくく、むし歯や歯周病のリスク軽減にもつながります。さらに金属を使用しないオールセラミックであれば、金属アレルギーの心配がある患者様にも対応可能です。一方で、強い衝撃が加わると破損する可能性があり、保険診療の素材と比較すると費用が高くなる傾向があります。
治療では、歯の状態を確認したうえで適切な範囲を修復し、自然な形態と色調に整えていきます。特に前歯の修復では、強度と審美性のバランスを考慮しながらオールセラミックを選択することで、より自然な仕上がりが期待できます。費用の目安は、インレーが66,000円〜、クラウンが99,000円〜です。ふくち歯科では、患者様のご希望や口腔内の状態に合わせて無理のない治療計画を提案しています。
健康なお口の状態を長く維持するために欠かせない予防歯科
患者様一人ひとりの状態に合わせた予防プログラムを提案し、継続的な口腔管理を支えています。
予防歯科は、むし歯や歯周病を未然に防ぎ、健康なお口の状態を長く維持するために欠かせない取り組みです。ふくち歯科では、日常のセルフケアに加え、専門的なケアを組み合わせることで、トラブルの発生を抑えることを大切にしています。自覚症状が出る前から定期的に状態を確認することで、早期対応につなげやすくなります。
専門的なケアの一つとしてPMTCがあります。歯科専用の器具を用いて、歯の表面や歯周ポケット内の汚れを丁寧に除去し、通常の歯みがきでは落としきれないバイオフィルムや着色を取り除きます。仕上げに歯面をなめらかに整えることで、汚れが再付着しにくい環境へ導きます。また、フッ素塗布では歯質を強化し、再石灰化を促進することでむし歯の発生を抑えます。歯科医院で使用するフッ素は高濃度で浸透性にも優れており、定期的に行うことで予防効果が高まります。
さらに、お子様のむし歯予防にはシーラントが有効です。奥歯の溝は汚れが溜まりやすく、磨き残しが生じやすい部位ですが、あらかじめ樹脂でコーティングすることで清掃性を高めることができます。特に6歳頃に生える第一大臼歯は重要な歯であり、早い段階での予防処置が将来の健康維持につながります。ふくち歯科では、患者様一人ひとりの状態に合わせた予防プログラムを提案し、継続的な口腔管理を支えています。
専門的なケアの一つとしてPMTCがあります。歯科専用の器具を用いて、歯の表面や歯周ポケット内の汚れを丁寧に除去し、通常の歯みがきでは落としきれないバイオフィルムや着色を取り除きます。仕上げに歯面をなめらかに整えることで、汚れが再付着しにくい環境へ導きます。また、フッ素塗布では歯質を強化し、再石灰化を促進することでむし歯の発生を抑えます。歯科医院で使用するフッ素は高濃度で浸透性にも優れており、定期的に行うことで予防効果が高まります。
さらに、お子様のむし歯予防にはシーラントが有効です。奥歯の溝は汚れが溜まりやすく、磨き残しが生じやすい部位ですが、あらかじめ樹脂でコーティングすることで清掃性を高めることができます。特に6歳頃に生える第一大臼歯は重要な歯であり、早い段階での予防処置が将来の健康維持につながります。ふくち歯科では、患者様一人ひとりの状態に合わせた予防プログラムを提案し、継続的な口腔管理を支えています。
自由診療のリスク・副作用、その他
自由診療について
患者様のさまざまなニーズに応えるために自由診療を提供しております。しかし、自由診療には健康保険適用外の治療が含まれるため、以下の点にご注意ください。
【リスクについて】
自由診療には、保険適用治療に比べて高度かつ専門的な治療が含まれる場合があります。これらの治療はより高い技術を要求されるため、一般的な治療よりもリスクが高まる可能性があります。
【副作用について】
すべての医療行為には副作用のリスクが伴います。自由診療の場合、使用する材料や治療方法が特殊な場合があるため、通常の治療とは異なる副作用が発生する可能性があります。
【費用について】
自由診療は健康保険の適用外であるため、保険診療と比較して高額になることがあります。治療前には必ず費用の詳細について説明を行い、ご同意をいただいてから治療を開始します。
【治療の選択について】
患者様の健康状態や希望に合わせて、最適な治療計画を提案します。自由診療は選択肢の一つであり、必ずしもすべての患者様に適しているわけではありません。
【その他の注意事項】
治療後のフォローアップやメンテナンスについても、自由診療の範囲内で行うことがあります。これには追加の費用が発生する場合があります。
患者様一人ひとりに合った治療を心がけております。自由診療を含むすべての治療オプションについて、十分な説明とともに、患者様のご理解とご同意を得ることを重視しています。ご不明な点やご心配なことがございましたら、遠慮なくご相談ください。
患者様のさまざまなニーズに応えるために自由診療を提供しております。しかし、自由診療には健康保険適用外の治療が含まれるため、以下の点にご注意ください。
【リスクについて】
自由診療には、保険適用治療に比べて高度かつ専門的な治療が含まれる場合があります。これらの治療はより高い技術を要求されるため、一般的な治療よりもリスクが高まる可能性があります。
【副作用について】
すべての医療行為には副作用のリスクが伴います。自由診療の場合、使用する材料や治療方法が特殊な場合があるため、通常の治療とは異なる副作用が発生する可能性があります。
【費用について】
自由診療は健康保険の適用外であるため、保険診療と比較して高額になることがあります。治療前には必ず費用の詳細について説明を行い、ご同意をいただいてから治療を開始します。
【治療の選択について】
患者様の健康状態や希望に合わせて、最適な治療計画を提案します。自由診療は選択肢の一つであり、必ずしもすべての患者様に適しているわけではありません。
【その他の注意事項】
治療後のフォローアップやメンテナンスについても、自由診療の範囲内で行うことがあります。これには追加の費用が発生する場合があります。
患者様一人ひとりに合った治療を心がけております。自由診療を含むすべての治療オプションについて、十分な説明とともに、患者様のご理解とご同意を得ることを重視しています。ご不明な点やご心配なことがございましたら、遠慮なくご相談ください。
この医院の口コミはまだありません
受付時間
| 診療時間 | 日 | 月 | 火 | 水 | 木 | 金 | 土 |
|---|---|---|---|---|---|---|---|
| 09:00 ~ 12:30 | |||||||
| 14:00 ~ 18:00 | |||||||
| 14:00 ~ 17:00 |
休診日:日曜・祝日
アクセスマップ
基本情報
| 医院名 | ふくち歯科 |
| 所在地 | 〒857-1175 長崎県 佐世保市 天神町1302-7 |
| 最寄駅 | 汐入 バス停 徒歩1分 |
| 診療内容 | 歯冠修復、欠損補綴 / 根管治療 / 歯周病治療 / 予防治療 / 小児歯科 / 口腔外科治療 / 有床義歯 / インプラント治療 |
| 医院ID | 81648 |