【上野市駅徒歩15分・駐車場完備】精密分析とシミュレーションで仕上がりを見据えた アイウエオ矯正歯科医院
アイウエオ矯正歯科医院は、上野市駅出入口から徒歩15分の場所に位置し、駐車場も完備された矯正歯科専門の歯科医院です。伊賀市エリアを中心に、矯正治療に特化した診療体制を整え、成長期のお子様から成人まで、幅広い年代の患者様の歯並びや噛み合わせの悩みに対応しています。公共交通機関に加え車での来院にも配慮された立地で、長期間にわたる通院が必要となる矯正治療においても無理なく通える環境が整えられています。
矯正治療では、歯並びを整えることだけを目的とするのではなく、口元のバランスやかみ合わせ、将来的な安定性までを考慮した診断と治療計画を重視しています。治療前にはセファロ分析や模型診断を行い、顎の骨格や歯の位置関係を多角的に把握したうえで、治療後の仕上がりを見据えたシミュレーションを実施しています。こうした工程を丁寧に踏むことで、治療の方向性を明確にし、一人ひとりに適した矯正方法を提案しています。
治療には、スタンダードエッジワイズ法(与五沢エッジワイズシステム)を用いたワイヤー矯正を中心に、精密なコントロールが求められる症例にも対応しています。院長は日本歯科専門医機構認定の矯正歯科専門医であり、専門的な知識と経験に基づいた診療を提供しています。治療内容や期間、注意点についても丁寧な説明を行い、患者様が納得したうえで治療を進められる体制を大切にしています。長期的な安定と自然な仕上がりを見据えた矯正治療を通じて、患者様一人ひとりに寄り添った歯科医療を提供しています。
矯正治療では、歯並びを整えることだけを目的とするのではなく、口元のバランスやかみ合わせ、将来的な安定性までを考慮した診断と治療計画を重視しています。治療前にはセファロ分析や模型診断を行い、顎の骨格や歯の位置関係を多角的に把握したうえで、治療後の仕上がりを見据えたシミュレーションを実施しています。こうした工程を丁寧に踏むことで、治療の方向性を明確にし、一人ひとりに適した矯正方法を提案しています。
治療には、スタンダードエッジワイズ法(与五沢エッジワイズシステム)を用いたワイヤー矯正を中心に、精密なコントロールが求められる症例にも対応しています。院長は日本歯科専門医機構認定の矯正歯科専門医であり、専門的な知識と経験に基づいた診療を提供しています。治療内容や期間、注意点についても丁寧な説明を行い、患者様が納得したうえで治療を進められる体制を大切にしています。長期的な安定と自然な仕上がりを見据えた矯正治療を通じて、患者様一人ひとりに寄り添った歯科医療を提供しています。
矯正歯科のこだわりポイント
咬み合わせと口元の仕上がりを重視しています。
アイウエオ矯正歯科医院の矯正治療は、歯並びの見た目だけでなく、口元の変化やかみ合わせの状態を丁寧に確認しながら進めています。治療前にはレントゲンや模型を用いて歯や顎の状態を詳細に把握し、治療後の状態を予測するシミュレーションを行うことで、仕上がりの方向性を把握しやすい点が特徴です。
診断ではパントモ撮影やセファロ撮影を活用し、歯列の傾きや顎の位置関係を多角的に分析しています。院長が手作業でトレースを行うことで治療前後の比較精度を高め、歯列の特徴や課題を正確に整理したうえで計画に反映しています。誤差を最小限に抑えることを重視しており、治療の質を維持するための重要な工程として位置付けています。
処置ではスタンダードエッジワイズ法を用い、患者様ごとにワイヤーを細かく調整しながら歯の動きを整えています。前歯の傾きや口元の位置など、見た目と機能の両面を考慮しながらかみ合わせを調整しており、上下の歯が適切に噛み合う状態を目指しています。治療の進行に合わせて変化を確認し、必要に応じて調整を重ねています。
治療後にはシミュレーションと実際の結果を照らし合わせ、計画との一致度を確認しています。診断から処置、治療後の確認まで一連の工程を通して、患者様の状態に合わせた矯正治療を提供しています。
診断ではパントモ撮影やセファロ撮影を活用し、歯列の傾きや顎の位置関係を多角的に分析しています。院長が手作業でトレースを行うことで治療前後の比較精度を高め、歯列の特徴や課題を正確に整理したうえで計画に反映しています。誤差を最小限に抑えることを重視しており、治療の質を維持するための重要な工程として位置付けています。
処置ではスタンダードエッジワイズ法を用い、患者様ごとにワイヤーを細かく調整しながら歯の動きを整えています。前歯の傾きや口元の位置など、見た目と機能の両面を考慮しながらかみ合わせを調整しており、上下の歯が適切に噛み合う状態を目指しています。治療の進行に合わせて変化を確認し、必要に応じて調整を重ねています。
治療後にはシミュレーションと実際の結果を照らし合わせ、計画との一致度を確認しています。診断から処置、治療後の確認まで一連の工程を通して、患者様の状態に合わせた矯正治療を提供しています。
医院としての理念・方針
咬み合わせと口元の調和を大切にしています。
アイウエオ矯正歯科医院は、歯並びの改善だけでなく、口元の変化やかみ合わせの安定を丁寧に確認する姿勢を重視しています。治療前にはレントゲンや模型を用いて歯や顎の状態を詳しく把握し、仕上がりを予測する工程を大切にしています。伊賀市で矯正治療を専門的に扱う医院として、精密な診断を基盤とした診療体制が特徴です。
理念には、治療後の状態に責任を持つという考えが明確に表れており、手作業で行うトレースにより治療前後を正確に比較する取り組みを行っています。資料を繰り返し確認し、歯列や顎の位置関係を把握することで治療計画の精度を高めています。誤差を最小限に抑える姿勢が継続的な技術向上につながっており、患者様が治療内容を理解しやすいよう丁寧に説明しています。
医院のモットーとして掲げる「あ・い・う・え・お」には、安心できる環境づくりや衛生管理への配慮、地域との信頼関係を大切にする姿勢が込められています。落ち着いた雰囲気の中で矯正治療に向き合えるよう工夫しており、疑問や不安を残さないよう丁寧に対応しています。
これらの理念は、精密な分析、丁寧な説明、治療環境の整備を中心としており、患者様が納得して矯正治療を受けやすい体制につながっています。アイウエオ矯正歯科医院は、こうした姿勢を基に矯正治療を提供しています。
理念には、治療後の状態に責任を持つという考えが明確に表れており、手作業で行うトレースにより治療前後を正確に比較する取り組みを行っています。資料を繰り返し確認し、歯列や顎の位置関係を把握することで治療計画の精度を高めています。誤差を最小限に抑える姿勢が継続的な技術向上につながっており、患者様が治療内容を理解しやすいよう丁寧に説明しています。
医院のモットーとして掲げる「あ・い・う・え・お」には、安心できる環境づくりや衛生管理への配慮、地域との信頼関係を大切にする姿勢が込められています。落ち着いた雰囲気の中で矯正治療に向き合えるよう工夫しており、疑問や不安を残さないよう丁寧に対応しています。
これらの理念は、精密な分析、丁寧な説明、治療環境の整備を中心としており、患者様が納得して矯正治療を受けやすい体制につながっています。アイウエオ矯正歯科医院は、こうした姿勢を基に矯正治療を提供しています。
院長について
▽略歴
出身地 伊賀市(旧 大山田村)
平成9年3月 北海道大学歯学部歯学科卒業
平成9年4月 新潟大学歯学部歯科矯正学教室入局
同大学院入学
歯科医師免許取得
平成13年3月 新潟大学 歯学博士取得
平成13年4月 新潟大学歯学部歯科矯正学教室研究生
平成16年3月 アイウエオ矯正歯科医院 開院
平成16年4月 日本歯科医師会 / 三重県歯科医師会入会
与五沢矯正研究会入会
平成16年12月 日本矯正歯科学会 認定医取得
平成20年10月 JBO認定歯科矯正医取得
令和6年6月 日本歯科専門医機構認定 矯正歯科専門医取得
認定医・専門医
日本矯正歯科学会 認定医
JBO認定歯科矯正医
日本歯科専門医機構認定 矯正歯科専門医
出身地 伊賀市(旧 大山田村)
平成9年3月 北海道大学歯学部歯学科卒業
平成9年4月 新潟大学歯学部歯科矯正学教室入局
同大学院入学
歯科医師免許取得
平成13年3月 新潟大学 歯学博士取得
平成13年4月 新潟大学歯学部歯科矯正学教室研究生
平成16年3月 アイウエオ矯正歯科医院 開院
平成16年4月 日本歯科医師会 / 三重県歯科医師会入会
与五沢矯正研究会入会
平成16年12月 日本矯正歯科学会 認定医取得
平成20年10月 JBO認定歯科矯正医取得
令和6年6月 日本歯科専門医機構認定 矯正歯科専門医取得
認定医・専門医
日本矯正歯科学会 認定医
JBO認定歯科矯正医
日本歯科専門医機構認定 矯正歯科専門医
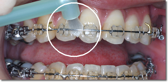
スタンダードエッジワイズ法によるオーダーメイドの矯正治療
矯正歯科医が患者様一人一人の歯並びや噛み合わせを丁寧に分析し、その結果をもとにワイヤーを細かく調整しながら進める点が特徴です。※写真はイメージです。
アイウエオ矯正歯科医院では、スタンダードエッジワイズ法によるオーダーメイドの矯正治療を行っています。この治療法は、矯正歯科医が患者様一人一人の歯並びや噛み合わせを丁寧に分析し、その結果をもとにワイヤーを細かく調整しながら進める点が特徴です。既製の装置に頼らず、治療の過程そのものに専門性が反映されます。
スタンダードエッジワイズ法では、レントゲンや口腔内写真、歯型模型などを総合的に確認しながら、理想とする歯列を具体的に思い描きます。そのうえで、矯正歯科医自身がワイヤーを曲げ、歯の動きをコントロールしていきます。この工程こそが、治療結果に大きく影響する重要なポイントです。
この治療法は、与五沢メカニクスという考え方を基盤にしています。歯をどの方向に、どの程度動かすのかを論理的に組み立てることで、治療計画と仕上がりのイメージを限りなく近づけることが可能になります。矯正医の知識と経験がそのまま治療の質につながるため、幅広い症例への対応力も高まります。
一方で、スタンダードエッジワイズ法は高度な技術を必要とします。ワイヤーの曲げ方一つで歯の動きが変わるため、十分な経験と繊細な手技が欠かせません。その分、患者様の個性に合わせた細やかな調整ができ、オーダーメイドの矯正治療として高い評価を受けています。
スタンダードエッジワイズ法では、レントゲンや口腔内写真、歯型模型などを総合的に確認しながら、理想とする歯列を具体的に思い描きます。そのうえで、矯正歯科医自身がワイヤーを曲げ、歯の動きをコントロールしていきます。この工程こそが、治療結果に大きく影響する重要なポイントです。
この治療法は、与五沢メカニクスという考え方を基盤にしています。歯をどの方向に、どの程度動かすのかを論理的に組み立てることで、治療計画と仕上がりのイメージを限りなく近づけることが可能になります。矯正医の知識と経験がそのまま治療の質につながるため、幅広い症例への対応力も高まります。
一方で、スタンダードエッジワイズ法は高度な技術を必要とします。ワイヤーの曲げ方一つで歯の動きが変わるため、十分な経験と繊細な手技が欠かせません。その分、患者様の個性に合わせた細やかな調整ができ、オーダーメイドの矯正治療として高い評価を受けています。
満足度の高い結果を提供するストレートワイヤー矯正治療
既成のアーチ形ワイヤーを装着して歯並びを整えていく矯正治療です。※写真はイメージです。
ストレートワイヤー法は、ブラケットにあらかじめ平均的な歯の傾きやねじれ、凹凸が組み込まれており、既成のアーチ形ワイヤーを装着して歯並びを整えていく矯正治療です。治療工程がある程度標準化されているため、計画に沿って段階的に歯を動かしていく方法として広く用いられています。
この矯正方法では、既成のワイヤーを使用することから、矯正歯科医にとって操作しやすく、治療の進行を管理しやすい点が特徴です。一定の設計思想に基づいた装置を用いることで、比較的安定した力を歯に加えやすく、症例によっては効率的に歯列を整えることができます。
一方で、歯の大きさや形、傾き、ねじれ方は患者様一人一人で大きく異なります。平均値をもとに設計されたブラケットやワイヤーは、多くの方に対応できる反面、すべての患者様に完全に適合するとは限りません。そのため、歯の動きに微調整が必要になる場合や、仕上がりに個人差が生じることもあります。
ストレートワイヤー法を選択する際には、この治療法の特徴や考え方を理解したうえで、自身の歯並びや治療目標に合っているかを確認することが重要です。矯正治療は長期間にわたるため、治療方法の特性を把握し、納得したうえで進めることが満足度の高い結果につながります。
この矯正方法では、既成のワイヤーを使用することから、矯正歯科医にとって操作しやすく、治療の進行を管理しやすい点が特徴です。一定の設計思想に基づいた装置を用いることで、比較的安定した力を歯に加えやすく、症例によっては効率的に歯列を整えることができます。
一方で、歯の大きさや形、傾き、ねじれ方は患者様一人一人で大きく異なります。平均値をもとに設計されたブラケットやワイヤーは、多くの方に対応できる反面、すべての患者様に完全に適合するとは限りません。そのため、歯の動きに微調整が必要になる場合や、仕上がりに個人差が生じることもあります。
ストレートワイヤー法を選択する際には、この治療法の特徴や考え方を理解したうえで、自身の歯並びや治療目標に合っているかを確認することが重要です。矯正治療は長期間にわたるため、治療方法の特性を把握し、納得したうえで進めることが満足度の高い結果につながります。
「目立ちやすさ」という欠点を改善した審美ブラケット矯正
機能面と審美面のバランスを考えながら治療を進める方法です。※写真はイメージです。
審美ブラケット矯正は、従来の金属ブラケットが持つ「目立ちやすさ」という欠点を改善した矯正治療です。ブラケット自体が半透明の素材で作られており、歯の色になじみやすいため、装置を装着していても口元の印象が大きく変わりにくい点が特徴になります。
審美ブラケットは、見た目への配慮を重視しながらも、ワイヤーを用いた本格的な矯正治療を行える点が強みです。金属ブラケットと比べると強度の関係からやや厚みがありますが、日常生活の中で他人から気づかれにくく、会話や笑顔の際も自然な印象を保ちやすくなります。
装置の存在感を抑えたい患者様にとって、審美ブラケット矯正は大きなメリットがあります。仕事や学校など、人前に出る機会が多い方でも取り入れやすく、矯正治療への心理的なハードルを下げる選択肢として支持されています。
一方で、見た目だけでなく、歯並びや噛み合わせをしっかり整えることも重要です。審美ブラケット矯正は、機能面と審美面のバランスを考えながら治療を進める方法であり、装置が気になる方に適した矯正治療といえます。
審美ブラケットは、見た目への配慮を重視しながらも、ワイヤーを用いた本格的な矯正治療を行える点が強みです。金属ブラケットと比べると強度の関係からやや厚みがありますが、日常生活の中で他人から気づかれにくく、会話や笑顔の際も自然な印象を保ちやすくなります。
装置の存在感を抑えたい患者様にとって、審美ブラケット矯正は大きなメリットがあります。仕事や学校など、人前に出る機会が多い方でも取り入れやすく、矯正治療への心理的なハードルを下げる選択肢として支持されています。
一方で、見た目だけでなく、歯並びや噛み合わせをしっかり整えることも重要です。審美ブラケット矯正は、機能面と審美面のバランスを考えながら治療を進める方法であり、装置が気になる方に適した矯正治療といえます。
幅広い歯並びや噛み合わせの問題に対応しやすい金属ブラケット矯正
確立された治療法として信頼性が高く、機能面を重視しながら歯並びを整えたい患者様に向いています。※写真はイメージです。
金属ブラケット矯正は、歯の表側に装着する最も一般的な矯正治療です。長い歴史の中で数多くの症例が積み重ねられており、治療方法や力のかけ方が体系的に確立しています。そのため、幅広い歯並びや噛み合わせの問題に対応しやすい点が特徴です。
金属ブラケットは強度に優れており、矯正中に加わる力にも安定して耐えられます。装置自体が比較的薄く設計されているため、口腔内での違和感が抑えやすく、日常生活にもなじみやすい構造になっています。治療期間中のトラブルが起こりにくい点も利点の一つです。
一方で、金属製であることから装置の色が目立ちやすいという側面があります。見た目を重視する患者様にとっては気になる場合もありますが、その分、耐久性や治療の安定性を重視したい方には適した選択肢といえます。
金属ブラケット矯正は、確立された治療法として信頼性が高く、機能面を重視しながら歯並びを整えたい患者様に向いています。症例の幅が広いため、矯正治療の基本となる方法として現在も多く用いられています。
金属ブラケットは強度に優れており、矯正中に加わる力にも安定して耐えられます。装置自体が比較的薄く設計されているため、口腔内での違和感が抑えやすく、日常生活にもなじみやすい構造になっています。治療期間中のトラブルが起こりにくい点も利点の一つです。
一方で、金属製であることから装置の色が目立ちやすいという側面があります。見た目を重視する患者様にとっては気になる場合もありますが、その分、耐久性や治療の安定性を重視したい方には適した選択肢といえます。
金属ブラケット矯正は、確立された治療法として信頼性が高く、機能面を重視しながら歯並びを整えたい患者様に向いています。症例の幅が広いため、矯正治療の基本となる方法として現在も多く用いられています。
自由診療のリスク・副作用、その他
自由診療について
患者様のさまざまなニーズに応えるために自由診療を提供しております。しかし、自由診療には健康保険適用外の治療が含まれるため、以下の点にご注意ください。
【リスクについて】
自由診療には、保険適用治療に比べて高度かつ専門的な治療が含まれる場合があります。これらの治療はより高い技術を要求されるため、一般的な治療よりもリスクが高まる可能性があります。
【副作用について】
すべての医療行為には副作用のリスクが伴います。自由診療の場合、使用する材料や治療方法が特殊な場合があるため、通常の治療とは異なる副作用が発生する可能性があります。
【費用について】
自由診療は健康保険の適用外であるため、保険診療と比較して高額になることがあります。治療前には必ず費用の詳細について説明を行い、ご同意をいただいてから治療を開始します。
【治療の選択について】
患者様の健康状態や希望に合わせて、最適な治療計画を提案します。自由診療は選択肢の一つであり、必ずしもすべての患者様に適しているわけではありません。
【その他の注意事項】
治療後のフォローアップやメンテナンスについても、自由診療の範囲内で行うことがあります。これには追加の費用が発生する場合があります。
患者様一人ひとりに合った治療を心がけております。自由診療を含むすべての治療オプションについて、十分な説明とともに、患者様のご理解とご同意を得ることを重視しています。ご不明な点やご心配なことがございましたら、遠慮なくご相談ください。
患者様のさまざまなニーズに応えるために自由診療を提供しております。しかし、自由診療には健康保険適用外の治療が含まれるため、以下の点にご注意ください。
【リスクについて】
自由診療には、保険適用治療に比べて高度かつ専門的な治療が含まれる場合があります。これらの治療はより高い技術を要求されるため、一般的な治療よりもリスクが高まる可能性があります。
【副作用について】
すべての医療行為には副作用のリスクが伴います。自由診療の場合、使用する材料や治療方法が特殊な場合があるため、通常の治療とは異なる副作用が発生する可能性があります。
【費用について】
自由診療は健康保険の適用外であるため、保険診療と比較して高額になることがあります。治療前には必ず費用の詳細について説明を行い、ご同意をいただいてから治療を開始します。
【治療の選択について】
患者様の健康状態や希望に合わせて、最適な治療計画を提案します。自由診療は選択肢の一つであり、必ずしもすべての患者様に適しているわけではありません。
【その他の注意事項】
治療後のフォローアップやメンテナンスについても、自由診療の範囲内で行うことがあります。これには追加の費用が発生する場合があります。
患者様一人ひとりに合った治療を心がけております。自由診療を含むすべての治療オプションについて、十分な説明とともに、患者様のご理解とご同意を得ることを重視しています。ご不明な点やご心配なことがございましたら、遠慮なくご相談ください。
この医院の口コミはまだありません
受付時間
| 診療時間 | 日 | 月 | 火 | 水 | 木 | 金 | 土 |
|---|---|---|---|---|---|---|---|
| 10:00 ~ 13:00 | |||||||
| 14:00 ~ 17:00 | |||||||
| 15:00 ~ 19:00 |
休診日:木曜・隔週 水曜・隔週 日曜
アクセスマップ
基本情報
| 医院名 | アイウエオ矯正歯科医院 |
| 所在地 | 〒518-0007 三重県 伊賀市 服部町3-98 |
| 最寄駅 | 上野市駅 徒歩15分 |
| 診療内容 | 矯正歯科 / 咬み合わせ治療 / 顎関節症治療 |
| 医院ID | 79576 |