【天神大牟田線 白木原駅 徒歩3分】寄り添った診療を行うしばたスマイル歯科・小児歯科・矯正歯科クリニック
しばたスマイル歯科・小児歯科・矯正歯科クリニックは、天神大牟田線 白木原駅 徒歩3分の場所にある歯科クリニックです。土日祝日も診療に対応しており、ライフスタイルに合わせて通院しやすい体制が整えられています。
地域のかかりつけ歯科医院として、生涯にわたってお口の健康を支える診療が行われています。患者様一人ひとりに寄り添った丁寧な対応を大切にし、安心して通院しやすい環境づくりが重視されている点が特徴です。
診療では、むし歯や歯周病などの一般的な症状への対応に加え、口臭に関する悩みにも配慮した診療が行われています。原因となる状態を把握しながら、適切な処置につなげることで改善を目指す取り組みが行われています。
また、歯科治療に対して不安や恐怖を感じやすい方にも配慮し、まずは丁寧なヒアリングを通じて状況を把握したうえで診療が進められています。リラックスしやすい雰囲気づくりにも力を入れており、落ち着いて治療に臨みやすい環境が整えられています。
通いやすい立地と柔軟な診療体制に加え、患者様に寄り添った対応を大切にしながら、地域の口腔健康を支えている歯科クリニックです。
地域のかかりつけ歯科医院として、生涯にわたってお口の健康を支える診療が行われています。患者様一人ひとりに寄り添った丁寧な対応を大切にし、安心して通院しやすい環境づくりが重視されている点が特徴です。
診療では、むし歯や歯周病などの一般的な症状への対応に加え、口臭に関する悩みにも配慮した診療が行われています。原因となる状態を把握しながら、適切な処置につなげることで改善を目指す取り組みが行われています。
また、歯科治療に対して不安や恐怖を感じやすい方にも配慮し、まずは丁寧なヒアリングを通じて状況を把握したうえで診療が進められています。リラックスしやすい雰囲気づくりにも力を入れており、落ち着いて治療に臨みやすい環境が整えられています。
通いやすい立地と柔軟な診療体制に加え、患者様に寄り添った対応を大切にしながら、地域の口腔健康を支えている歯科クリニックです。
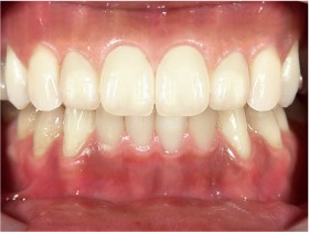
歯冠修復、欠損補綴のこだわりポイント
オールセラミックスを使用した治療例です
セラミックを用いた審美治療を得意としております。
セラミック治療は、白く自然な歯並びを整えることで口元の美しさを高め、自信をもって日常生活を送っていただくことを目的とした審美修復治療です。見た目の改善だけでなく、機能性や耐久性にも配慮しながら、患者様のご希望に合わせた素材を選択します。
メタルセラミックスは、内側を金属で補強し、外側に透明感のあるセラミックを焼き付けた被せ物です。強度に優れ、変色しにくいのが特長です。
ハイブリッドセラミックスは、セラミックと樹脂を組み合わせた素材で、自然な色調と適度な柔軟性を兼ね備えています。
ラミネートベニヤは、歯の表面をわずかに削り、薄いセラミックを貼り付ける方法で、比較的短期間で審美改善が可能です。
セラミックインレーやハイブリッドインレーは、自然な透明感を持つ白い詰め物で、特に奥歯にも適しています。
ゴールドクラウン・インレーは、生体親和性が高く、適合性や耐久性に優れています。
また、土台にはファイバーコアを用いることで、歯ぐきの変色を防ぎ、審美性を保つことができます。
保険適応のクラウン・インレーなども取り揃えておりますので、興味のある方はお問い合わせください。
セラミック治療は、白く自然な歯並びを整えることで口元の美しさを高め、自信をもって日常生活を送っていただくことを目的とした審美修復治療です。見た目の改善だけでなく、機能性や耐久性にも配慮しながら、患者様のご希望に合わせた素材を選択します。
メタルセラミックスは、内側を金属で補強し、外側に透明感のあるセラミックを焼き付けた被せ物です。強度に優れ、変色しにくいのが特長です。
ハイブリッドセラミックスは、セラミックと樹脂を組み合わせた素材で、自然な色調と適度な柔軟性を兼ね備えています。
ラミネートベニヤは、歯の表面をわずかに削り、薄いセラミックを貼り付ける方法で、比較的短期間で審美改善が可能です。
セラミックインレーやハイブリッドインレーは、自然な透明感を持つ白い詰め物で、特に奥歯にも適しています。
ゴールドクラウン・インレーは、生体親和性が高く、適合性や耐久性に優れています。
また、土台にはファイバーコアを用いることで、歯ぐきの変色を防ぎ、審美性を保つことができます。
保険適応のクラウン・インレーなども取り揃えておりますので、興味のある方はお問い合わせください。
医院としての理念・方針
院内は品のある作りとなっております
常に患者様の立場に立った医療を心がけています。「自分が同じ症状だったらどの治療を選ぶか」という視点を大切にし、考えられる治療方法を分かりやすく丁寧に説明します。
治療は一方的に進めるのではなく、複数の選択肢の中から患者様と十分に話し合い、ご納得いただいたうえで開始します。ご希望やご不安を遠慮なく伝えていただける関係づくりを大切にし、信頼に基づく診療を実践しています。患者様の思いを最優先に考えながら、安心と満足につながる歯科医療の提供を目指しています。
治療は一方的に進めるのではなく、複数の選択肢の中から患者様と十分に話し合い、ご納得いただいたうえで開始します。ご希望やご不安を遠慮なく伝えていただける関係づくりを大切にし、信頼に基づく診療を実践しています。患者様の思いを最優先に考えながら、安心と満足につながる歯科医療の提供を目指しています。
小児歯科:いきなり治療には入らず歯医者に慣れるところからスタート
専用のキッズスペースがあるためお子様連れの方はご安心ください
小児歯科では、お子様が安心して通える環境づくりを何よりも大切にしています。初めて来院された場合には、いきなり治療を始めることはありません。まずは歯科医院の雰囲気や診療台(ユニット)に慣れてもらうことからスタートします。実際にユニットに座ってみたり、器具を見たりしながら、不安や緊張を少しずつ和らげていきます。必要に応じてお口の中を優しく洗浄するなど、負担の少ない処置から行い、段階的に治療へ進みます。
お子様の歯は大人に比べて虫歯の進行が早く、また生え替わりや顎の成長など、発達段階に応じた管理が重要です。そのため、単に虫歯を治すだけでなく、正しい歯みがき習慣の指導やフッ素塗布、定期検診を通じて、虫歯を予防することにも力を入れています。
歯科医院での体験が「怖いもの」にならないよう、スタッフ一同がお子様一人ひとりの性格やペースに合わせて丁寧に対応します。小さな頃から定期的に通うことで、健康な歯を守り、将来にわたって良好なお口の環境を維持することができます。
お子様の歯は大人に比べて虫歯の進行が早く、また生え替わりや顎の成長など、発達段階に応じた管理が重要です。そのため、単に虫歯を治すだけでなく、正しい歯みがき習慣の指導やフッ素塗布、定期検診を通じて、虫歯を予防することにも力を入れています。
歯科医院での体験が「怖いもの」にならないよう、スタッフ一同がお子様一人ひとりの性格やペースに合わせて丁寧に対応します。小さな頃から定期的に通うことで、健康な歯を守り、将来にわたって良好なお口の環境を維持することができます。
矯正歯科:歯列を整えることで口元の審美性と機能性を向上
診療チェアはパーテーションで区切られています
歯並びや噛み合わせが整っていない状態は「不正咬合」と呼ばれます。不正咬合があると、食べ物が十分に噛めない、発音が不明瞭になる、虫歯や歯周病になりやすい、口臭の原因になるなど、さまざまな問題が生じることがあります。また、顎関節への負担や歯の破折リスクが高まる場合もあります。見た目の悩みが心理的な負担につながることも少なくありません。
矯正歯科治療は、歯並びと噛み合わせを整え、機能面と審美面の両立を目指す治療です。成人の場合、治療期間は一般的に2~3年程度が目安ですが、症状により異なります。小児では成長や歯の生え替わりを考慮した適切な開始時期の見極めが重要です。
日本矯正歯科学会認定医がカウンセリングから治療まで担当し、安心してご相談いただける体制を整えています。なお、矯正歯科治療は原則として自費診療となります。
矯正歯科治療は、歯並びと噛み合わせを整え、機能面と審美面の両立を目指す治療です。成人の場合、治療期間は一般的に2~3年程度が目安ですが、症状により異なります。小児では成長や歯の生え替わりを考慮した適切な開始時期の見極めが重要です。
日本矯正歯科学会認定医がカウンセリングから治療まで担当し、安心してご相談いただける体制を整えています。なお、矯正歯科治療は原則として自費診療となります。
インプラント:違和感なくしっかりと噛める人工歯をご提案
※画像はイメージです。
インプラント治療は、歯を失った部位の顎の骨にチタン製の人工歯根を埋め込み、その上に人工歯を装着する治療法です。見た目の自然さ、装着時の違和感の少なさ、そしてしっかり噛める機能性において高い評価を受けています。特に大きな特長は、ブリッジ治療のように周囲の健康な歯を削る必要がない点です。
メリットとしては、取り外し式の入れ歯に比べて装着感が自然で、食事を快適に楽しめることが挙げられます。また、しっかり噛むことで脳への刺激が伝わり、全身の健康維持にも良い影響が期待されます。
デメリットとしては、顎骨の状態によっては適応できない場合があること、外科処置が必要であることなどが挙げられます。インプラントに使用されるチタンは、アレルギー反応が起こりにくく、生体親和性に優れた金属で、整形外科分野でも使用されています。
手術は十分な麻酔下で行われるため、痛みはほとんどありません。治療後は日々の丁寧なブラッシングと、約3~4か月ごとの定期的なメンテナンスが重要です。適切なケアを継続することで、10年以上良好に使用されているケースも多くあります。
メリットとしては、取り外し式の入れ歯に比べて装着感が自然で、食事を快適に楽しめることが挙げられます。また、しっかり噛むことで脳への刺激が伝わり、全身の健康維持にも良い影響が期待されます。
デメリットとしては、顎骨の状態によっては適応できない場合があること、外科処置が必要であることなどが挙げられます。インプラントに使用されるチタンは、アレルギー反応が起こりにくく、生体親和性に優れた金属で、整形外科分野でも使用されています。
手術は十分な麻酔下で行われるため、痛みはほとんどありません。治療後は日々の丁寧なブラッシングと、約3~4か月ごとの定期的なメンテナンスが重要です。適切なケアを継続することで、10年以上良好に使用されているケースも多くあります。
ホワイトニング:安全で手軽に削ることなく歯を白く美しいものに
※画像はイメージです。
ホワイトニングは、歯を削らずに専用の薬剤を用いて歯の色調を明るくする審美治療です。比較的安全性が高く、手軽に取り組める治療法として人気があります。歯を白くすることで口元の印象が明るくなり、若々しさを感じさせる効果も期待できます。
歯は外側からエナメル質、象牙質、歯髄という構造になっています。表面のエナメル質は半透明で、その内側にある象牙質の色が透けて見えることで歯の色が決まります。象牙質は加齢とともに色が濃くなるため、通常の歯磨きやクリーニングでは内側からの黄ばみを改善することはできません。
ホワイトニングには、歯科医院で行う「オフィスホワイトニング」と、自宅で行う「ホームホワイトニング」があります。ホームホワイトニングでは、専用トレーに薬剤を入れて一定時間装着し、約2週間ほどで徐々に白さを実感できるのが一般的です。
歯は外側からエナメル質、象牙質、歯髄という構造になっています。表面のエナメル質は半透明で、その内側にある象牙質の色が透けて見えることで歯の色が決まります。象牙質は加齢とともに色が濃くなるため、通常の歯磨きやクリーニングでは内側からの黄ばみを改善することはできません。
ホワイトニングには、歯科医院で行う「オフィスホワイトニング」と、自宅で行う「ホームホワイトニング」があります。ホームホワイトニングでは、専用トレーに薬剤を入れて一定時間装着し、約2週間ほどで徐々に白さを実感できるのが一般的です。
自由診療のリスク・副作用、その他
自由診療について
患者様のさまざまなニーズに応えるために自由診療を提供しております。しかし、自由診療には健康保険適用外の治療が含まれるため、以下の点にご注意ください。
【リスクについて】
自由診療には、保険適用治療に比べて高度かつ専門的な治療が含まれる場合があります。これらの治療はより高い技術を要求されるため、一般的な治療よりもリスクが高まる可能性があります。
【副作用について】
すべての医療行為には副作用のリスクが伴います。自由診療の場合、使用する材料や治療方法が特殊な場合があるため、通常の治療とは異なる副作用が発生する可能性があります。
【費用について】
自由診療は健康保険の適用外であるため、保険診療と比較して高額になることがあります。治療前には必ず費用の詳細について説明を行い、ご同意をいただいてから治療を開始します。
【治療の選択について】
患者様の健康状態や希望に合わせて、最適な治療計画を提案します。自由診療は選択肢の一つであり、必ずしもすべての患者様に適しているわけではありません。
【その他の注意事項】
治療後のフォローアップやメンテナンスについても、自由診療の範囲内で行うことがあります。これには追加の費用が発生する場合があります。
患者様一人ひとりに合った治療を心がけております。自由診療を含むすべての治療オプションについて、十分な説明とともに、患者様のご理解とご同意を得ることを重視しています。ご不明な点やご心配なことがございましたら、遠慮なくご相談ください。
患者様のさまざまなニーズに応えるために自由診療を提供しております。しかし、自由診療には健康保険適用外の治療が含まれるため、以下の点にご注意ください。
【リスクについて】
自由診療には、保険適用治療に比べて高度かつ専門的な治療が含まれる場合があります。これらの治療はより高い技術を要求されるため、一般的な治療よりもリスクが高まる可能性があります。
【副作用について】
すべての医療行為には副作用のリスクが伴います。自由診療の場合、使用する材料や治療方法が特殊な場合があるため、通常の治療とは異なる副作用が発生する可能性があります。
【費用について】
自由診療は健康保険の適用外であるため、保険診療と比較して高額になることがあります。治療前には必ず費用の詳細について説明を行い、ご同意をいただいてから治療を開始します。
【治療の選択について】
患者様の健康状態や希望に合わせて、最適な治療計画を提案します。自由診療は選択肢の一つであり、必ずしもすべての患者様に適しているわけではありません。
【その他の注意事項】
治療後のフォローアップやメンテナンスについても、自由診療の範囲内で行うことがあります。これには追加の費用が発生する場合があります。
患者様一人ひとりに合った治療を心がけております。自由診療を含むすべての治療オプションについて、十分な説明とともに、患者様のご理解とご同意を得ることを重視しています。ご不明な点やご心配なことがございましたら、遠慮なくご相談ください。
この医院の口コミはまだありません
受付時間
| 診療時間 | 日 | 月 | 火 | 水 | 木 | 金 | 土 |
|---|---|---|---|---|---|---|---|
| 10:00 ~ 14:00 | |||||||
| 15:30 ~ 20:00 | |||||||
| 10:00 ~ 15:00 |
休診日:水曜
アクセスマップ
基本情報
| 医院名 | しばたスマイル歯科・小児歯科・矯正歯科クリニック |
| 所在地 | 〒816-0943 福岡県 大野城市 白木原1-7-5 Jクリスタル3F304 |
| 最寄駅 | 白木原駅 西口 徒歩3分 |
| 診療内容 | 歯冠修復、欠損補綴 / 予防治療 / 小児歯科 / 矯正歯科 / 有床義歯 / インプラント治療 |
| 医院ID | 77927 |