【駐車場完備・キッズスペースあり】地域に寄り添い幅広い診療に対応するみさき歯科医院
みさき歯科医院は、愛媛県西宇和郡伊方町にあり、地域の方々が安心して通える歯科医院として親しまれています。駐車場を完備しているため、お車での来院もしやすく、小さなお子様連れの方にも配慮したキッズスペースが設けられている点も特徴です。日常の通院からご家族での来院まで、さまざまなライフスタイルに対応できる環境が整えられています。
診療内容は、虫歯や歯周病などの一般歯科をはじめ、審美的治療、インプラント、ホワイトニング、義歯まで幅広く対応しています。年齢や生活背景によってお口の状態は大きく異なるため、一人ひとりの状況を丁寧に確認しながら、無理のない治療方法を提案してもらえる点が特徴です。目の前の症状だけでなく、将来を見据えた治療を重視しているため、長期的な口腔環境の維持を考えたい方にも相談しやすい歯科医院といえるでしょう。
歯を失ってしまった場合にも、単に補うだけで終わらせず、複数の治療選択肢の中から、それぞれの希望やライフスタイルに合った方法を一緒に考えてもらえます。保険診療に限らず、治療のメリット・デメリットや費用面についても事前に丁寧な説明が行われるため、納得したうえで治療に進める点も安心材料です。
さらに、より専門性の高い治療が必要と判断された場合には、提携病院から専門の歯科医師を招く体制が整えられており、安全性を最優先にした診療が行われています。急な痛みへの対応や往診への配慮など、地域の医療ニーズに応える姿勢も大切にされています。日々のケアから将来を見据えた治療まで、身近な相談先として心強い存在の歯科医院です。
診療内容は、虫歯や歯周病などの一般歯科をはじめ、審美的治療、インプラント、ホワイトニング、義歯まで幅広く対応しています。年齢や生活背景によってお口の状態は大きく異なるため、一人ひとりの状況を丁寧に確認しながら、無理のない治療方法を提案してもらえる点が特徴です。目の前の症状だけでなく、将来を見据えた治療を重視しているため、長期的な口腔環境の維持を考えたい方にも相談しやすい歯科医院といえるでしょう。
歯を失ってしまった場合にも、単に補うだけで終わらせず、複数の治療選択肢の中から、それぞれの希望やライフスタイルに合った方法を一緒に考えてもらえます。保険診療に限らず、治療のメリット・デメリットや費用面についても事前に丁寧な説明が行われるため、納得したうえで治療に進める点も安心材料です。
さらに、より専門性の高い治療が必要と判断された場合には、提携病院から専門の歯科医師を招く体制が整えられており、安全性を最優先にした診療が行われています。急な痛みへの対応や往診への配慮など、地域の医療ニーズに応える姿勢も大切にされています。日々のケアから将来を見据えた治療まで、身近な相談先として心強い存在の歯科医院です。
インプラント治療のこだわりポイント
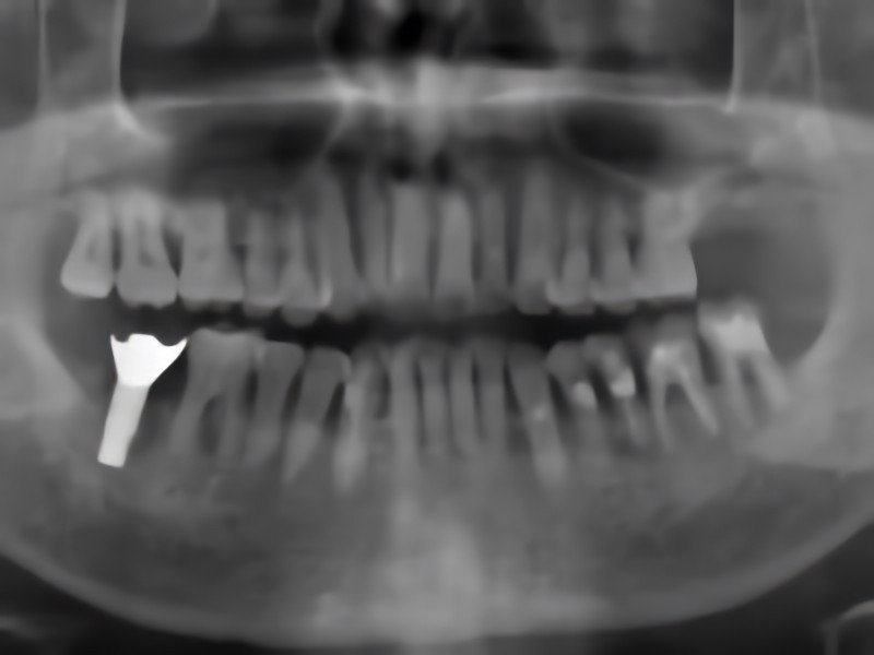
治療後のレントゲン写真
インプラントは、歯を失った部分の顎の骨に人工歯根を埋め込み、その上に人工歯を固定する治療方法です。ブリッジや入れ歯とは異なり、周囲の健康な歯を削る必要がないため、残っている歯への負担を抑えられる点が特長です。骨としっかり結合することで、自分の歯に近い噛み心地を目指せるため、食事や会話を自然に楽しみやすくなります。見た目の違和感が少ないことも選ばれる理由の一つです。
ただし、外科処置を伴うため、すべての患者様に適応できるわけではありません。糖尿病などの全身疾患がある場合や、顎の骨の量が不足している場合には、慎重な判断が必要です。そのため、治療前の十分な検査と説明が重要になります。
みさき歯科医院ではAQBインプラントシステムを採用し、お口の状態だけでなく全身の健康状態も確認したうえで治療計画を立てています。より高度な処置が必要と判断される場合には提携医療機関と連携し、安全性を最優先に対応しています。将来の生活まで見据えながら、患者様にとって無理のない選択肢を一緒に検討していきます。
ただし、外科処置を伴うため、すべての患者様に適応できるわけではありません。糖尿病などの全身疾患がある場合や、顎の骨の量が不足している場合には、慎重な判断が必要です。そのため、治療前の十分な検査と説明が重要になります。
みさき歯科医院ではAQBインプラントシステムを採用し、お口の状態だけでなく全身の健康状態も確認したうえで治療計画を立てています。より高度な処置が必要と判断される場合には提携医療機関と連携し、安全性を最優先に対応しています。将来の生活まで見据えながら、患者様にとって無理のない選択肢を一緒に検討していきます。
医院としての理念・方針
診療室の雰囲気
加齢や歯周病など、さまざまな理由から歯を失ってしまうことは決して珍しいことではありません。みさき歯科医院では、そのような場合に保険診療のみにとらわれず、長期的な視点で患者様にとって最も適した治療方法を一緒に考え、ご提案することを大切にしています。より高度な治療が必要と判断される際には、安全性を最優先に考え、提携病院から専門的な知識と技術を持つ歯科医師を招いて対応しています。治療に伴う身体的な影響や費用面など、ご不安な点があれば、どのようなことでも気軽にご相談いただきたいと考えています。
また、みさき歯科医院では、質の高い医療を継続して提供するため、定期的に勉強会や研究会に参加し、知識と技術の研鑽を重ねています。患者様の立場を第一に考え、健康を守る歯科医療を行うことを大切にしながら、これからも地域の皆様に信頼される存在であり続けたいと考えています。
また、みさき歯科医院では、質の高い医療を継続して提供するため、定期的に勉強会や研究会に参加し、知識と技術の研鑽を重ねています。患者様の立場を第一に考え、健康を守る歯科医療を行うことを大切にしながら、これからも地域の皆様に信頼される存在であり続けたいと考えています。
院長について
▽略歴
平成7年 長崎大学歯学部 卒業
卒後山口県内の医療法人で2年勤務
平成9年7月 三崎町国保診療所勤務(副所長)
平成15年1月 みさき歯科医院 開設
平成7年 長崎大学歯学部 卒業
卒後山口県内の医療法人で2年勤務
平成9年7月 三崎町国保診療所勤務(副所長)
平成15年1月 みさき歯科医院 開設
【歯周病治療】原因を取り除き再発を防ぐために
写真はイメージです
歯周病は、歯の表面に付着するプラークや、唾液中の成分が固まってできる歯石が主な原因となります。歯石は通常の歯みがきでは取り除くことが難しく、そのままにしておくと汚れが溜まりやすくなり、歯ぐきの炎症や歯を支える骨の吸収を招いてしまいます。そのため、歯科医院での定期的な歯石除去が欠かせません。
歯石を増やさず、健康な口腔内を保つためには、日々の正しいブラッシングも重要です。歯周病治療では、処置だけでなく、患者様の状態に合わせた歯みがき指導を行い、ご自宅でのケアを支えることが大切だと考えられています。治療後には予防の一環としてクリーニングについても説明を行い、歯周病になりにくい環境づくりを目指します。
歯石を増やさず、健康な口腔内を保つためには、日々の正しいブラッシングも重要です。歯周病治療では、処置だけでなく、患者様の状態に合わせた歯みがき指導を行い、ご自宅でのケアを支えることが大切だと考えられています。治療後には予防の一環としてクリーニングについても説明を行い、歯周病になりにくい環境づくりを目指します。
【義歯・入れ歯】快適さと見た目の両立を目指して
写真はイメージです
義歯(入れ歯)は、歯を失った部分を補い、食事や会話を支える大切な治療方法です。一般的に思い浮かべられるのは、金属の留め具が付いた保険診療の入れ歯ですが、装着時の痛みや違和感、食事の際に味を感じにくい、発音しづらい、金属が見えて気になるといった悩みを抱える方も少なくありません。痛みが強い場合には十分に使用できず、日常生活に支障をきたすこともあります。
みさき歯科医院では、より快適に使える義歯の選択肢も提案しています。現在お使いの入れ歯に不具合を感じている場合にも、状態を確認しながら改善方法を検討しています。
一つ目は、金属を使用せず見た目に配慮した部分入れ歯です。弾力性と強度を兼ね備えた素材を用いることで、薄く仕上げることができ、装着時の違和感を軽減しやすい特長があります。金具が目立ちにくいため、口元の自然さを重視したい方にも適しています。
二つ目は、歯ぐきに触れる面にクッション性のある素材を使用した義歯です。やわらかい素材が衝撃を和らげることで痛みを軽減し、密着性を高めることで安定した噛み心地を目指します。外れにくさの向上も期待できます。
義歯は見た目だけでなく、噛み合わせやお口全体の状態を踏まえて選ぶことが重要です。みさき歯科医院では、患者様のご希望や生活背景に合わせ、長く快適に使える義歯を一緒に考えていきます。
みさき歯科医院では、より快適に使える義歯の選択肢も提案しています。現在お使いの入れ歯に不具合を感じている場合にも、状態を確認しながら改善方法を検討しています。
一つ目は、金属を使用せず見た目に配慮した部分入れ歯です。弾力性と強度を兼ね備えた素材を用いることで、薄く仕上げることができ、装着時の違和感を軽減しやすい特長があります。金具が目立ちにくいため、口元の自然さを重視したい方にも適しています。
二つ目は、歯ぐきに触れる面にクッション性のある素材を使用した義歯です。やわらかい素材が衝撃を和らげることで痛みを軽減し、密着性を高めることで安定した噛み心地を目指します。外れにくさの向上も期待できます。
義歯は見た目だけでなく、噛み合わせやお口全体の状態を踏まえて選ぶことが重要です。みさき歯科医院では、患者様のご希望や生活背景に合わせ、長く快適に使える義歯を一緒に考えていきます。
【ホワイトニング】自然な白さを引き出す穏やかな方法
写真はイメージです
ホワイトニングは、加齢や生活習慣によって色調が変化した歯を、薬剤の作用によって明るく整える治療です。歯の表面に付着した色素を除去するだけでなく、歯の内部に沈着した色素にも働きかけることで、歯本来の自然な白さを引き出します。見た目の印象を整えることは、口元への自信につながり、日常生活にも前向きな変化をもたらします。
みさき歯科医院では、ご自宅で無理なく取り組めるホームホワイトニングを中心に案内しています。時間をかけて徐々に白さを高めていくため、色戻りが起こりにくく、自然な仕上がりを目指せる点が特徴です。使用するホワイトニング材にも配慮し、歯や歯ぐきへの負担を抑えながら、安心して継続できる環境を整えています。
みさき歯科医院では、ご自宅で無理なく取り組めるホームホワイトニングを中心に案内しています。時間をかけて徐々に白さを高めていくため、色戻りが起こりにくく、自然な仕上がりを目指せる点が特徴です。使用するホワイトニング材にも配慮し、歯や歯ぐきへの負担を抑えながら、安心して継続できる環境を整えています。
【歯科一般】日常の不調に幅広く対応する診療
写真はイメージです
歯科一般では、虫歯や歯周病をはじめ、歯の痛みやしみ、噛み合わせの違和感、詰め物や被せ物の不具合など、日常生活の中で起こりやすいお口のトラブルに幅広く対応します。これらの症状は、初期の段階で適切な診断と処置を行うことで、治療の負担を抑えやすくなり、大切な歯を長く守ることにもつながります。
みさき歯科医院では、まず口腔内の状態を丁寧に確認し、治療の必要性や選択肢についてわかりやすく説明することを大切にしています。患者様一人ひとりの生活背景や通院のしやすさにも配慮しながら、無理のない治療計画を提案しています。症状が出たときだけでなく、定期的なチェックやメンテナンスを通じて、健康な口腔環境を維持していくことも歯科一般の重要な役割です。
みさき歯科医院では、まず口腔内の状態を丁寧に確認し、治療の必要性や選択肢についてわかりやすく説明することを大切にしています。患者様一人ひとりの生活背景や通院のしやすさにも配慮しながら、無理のない治療計画を提案しています。症状が出たときだけでなく、定期的なチェックやメンテナンスを通じて、健康な口腔環境を維持していくことも歯科一般の重要な役割です。
自由診療のリスク・副作用、その他
自由診療について
患者様のさまざまなニーズに応えるために自由診療を提供しております。しかし、自由診療には健康保険適用外の治療が含まれるため、以下の点にご注意ください。
【リスクについて】
自由診療には、保険適用治療に比べて高度かつ専門的な治療が含まれる場合があります。これらの治療はより高い技術を要求されるため、一般的な治療よりもリスクが高まる可能性があります。
【副作用について】
すべての医療行為には副作用のリスクが伴います。自由診療の場合、使用する材料や治療方法が特殊な場合があるため、通常の治療とは異なる副作用が発生する可能性があります。
【費用について】
自由診療は健康保険の適用外であるため、保険診療と比較して高額になることがあります。治療前には必ず費用の詳細について説明を行い、ご同意をいただいてから治療を開始します。
【治療の選択について】
患者様の健康状態や希望に合わせて、最適な治療計画を提案します。自由診療は選択肢の一つであり、必ずしもすべての患者様に適しているわけではありません。
【その他の注意事項】
治療後のフォローアップやメンテナンスについても、自由診療の範囲内で行うことがあります。これには追加の費用が発生する場合があります。
患者様一人ひとりに合った治療を心がけております。自由診療を含むすべての治療オプションについて、十分な説明とともに、患者様のご理解とご同意を得ることを重視しています。ご不明な点やご心配なことがございましたら、遠慮なくご相談ください。
患者様のさまざまなニーズに応えるために自由診療を提供しております。しかし、自由診療には健康保険適用外の治療が含まれるため、以下の点にご注意ください。
【リスクについて】
自由診療には、保険適用治療に比べて高度かつ専門的な治療が含まれる場合があります。これらの治療はより高い技術を要求されるため、一般的な治療よりもリスクが高まる可能性があります。
【副作用について】
すべての医療行為には副作用のリスクが伴います。自由診療の場合、使用する材料や治療方法が特殊な場合があるため、通常の治療とは異なる副作用が発生する可能性があります。
【費用について】
自由診療は健康保険の適用外であるため、保険診療と比較して高額になることがあります。治療前には必ず費用の詳細について説明を行い、ご同意をいただいてから治療を開始します。
【治療の選択について】
患者様の健康状態や希望に合わせて、最適な治療計画を提案します。自由診療は選択肢の一つであり、必ずしもすべての患者様に適しているわけではありません。
【その他の注意事項】
治療後のフォローアップやメンテナンスについても、自由診療の範囲内で行うことがあります。これには追加の費用が発生する場合があります。
患者様一人ひとりに合った治療を心がけております。自由診療を含むすべての治療オプションについて、十分な説明とともに、患者様のご理解とご同意を得ることを重視しています。ご不明な点やご心配なことがございましたら、遠慮なくご相談ください。
この医院の口コミはまだありません
受付時間
| 診療時間 | 日 | 月 | 火 | 水 | 木 | 金 | 土 |
|---|---|---|---|---|---|---|---|
| 09:00 ~ 13:00 | |||||||
| 14:30 ~ 18:30 |
休診日:木曜午後・土曜午後・日曜・祝日
アクセスマップ
基本情報
| 医院名 | みさき歯科医院 |
| 所在地 | 〒796-0801 愛媛県 西宇和郡伊方町 三崎692-2 |
| 最寄駅 | 農事センター前 バス停 徒歩1分 |
| 診療内容 | 歯冠修復、欠損補綴 / 根管治療 / 歯周病治療 / 予防治療 / 小児歯科 / 口腔外科治療 / 有床義歯 / インプラント治療 / 訪問診療 |
| 医院ID | 77628 |