【JR六合駅 南口 徒歩13分・駐車場完備】幅広い世代に寄り添う地域密着の原田歯科医院
静岡県島田市にある原田歯科医院は、JR「六合駅」から徒歩約13分の場所に位置し、アクセスしやすい立地が魅力の歯科クリニックです。平日は18時30分まで、土曜日も16時30分まで診療を行っており、仕事や学校帰りにも通いやすい体制が整っています。歯周病治療を中心に、予防歯科や小児歯科、有床義歯の相談まで、幅広い世代に対応する包括的な歯科医療を提供しています。
院内はバリアフリー設計で、キッズルームも完備。小さなお子様連れのご家族やご高齢の方も安心して通院できるよう配慮されています。また、患者様一人ひとりの要望や不安に丁寧に耳を傾け、納得いただけるまで説明を行う姿勢も信頼を集めています。
さらに、使い捨て器具の導入や診療台ごとの消毒など、徹底した感染対策を実施し、安全性を最優先に考えた診療環境を維持。島田大橋北詰交差点から東へ約300m、駐車場も5台分完備しており、お車での通院も便利です。地域に密着しながら、世代を問わず安心して通える歯科医院です。
院内はバリアフリー設計で、キッズルームも完備。小さなお子様連れのご家族やご高齢の方も安心して通院できるよう配慮されています。また、患者様一人ひとりの要望や不安に丁寧に耳を傾け、納得いただけるまで説明を行う姿勢も信頼を集めています。
さらに、使い捨て器具の導入や診療台ごとの消毒など、徹底した感染対策を実施し、安全性を最優先に考えた診療環境を維持。島田大橋北詰交差点から東へ約300m、駐車場も5台分完備しており、お車での通院も便利です。地域に密着しながら、世代を問わず安心して通える歯科医院です。
歯周病治療のこだわりポイント
丁寧なカウンセリングと根気強い治療で、歯周病の進行を抑える
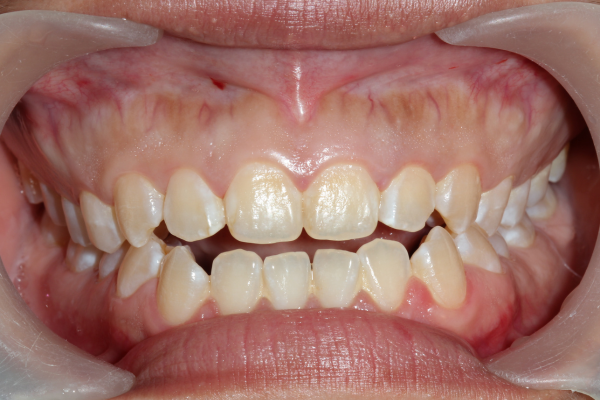
原田歯科医院では、「自分の歯で一生食べられる喜びを守ること」を目標に、歯周病治療に力を入れています。日本では高齢化が進む中で、8020運動(80歳になっても自分の歯を20本以上保とう)という考え方が広く浸透していますが、その実現には歯周病の予防と的確な処置が欠かせません。
歯周病は、歯を支える骨や歯ぐきが少しずつ破壊されていく病気で、初期段階では自覚症状がほとんどありません。そのため、気づかないうちに進行してしまうケースも多く、早期発見と定期的なケアが重要です。原田歯科医院では、歯ぐきの状態や歯の動揺を丁寧に確認し、患者様一人ひとりの進行状況に合わせた歯周病疾患処置を行っています。
治療では、歯石やプラークの除去、歯周ポケット内の清掃を中心に、時間をかけて丁寧に進めていきます。また、治療後も再発を防ぐために、ブラッシング指導や生活習慣の見直しなど、セルフケアのサポートも実施。定期的なメンテナンスを通じて、長期的に健康な歯ぐきを保つことを目指しています。
原田歯科医院は、歯周病治療を「今ある歯を守るための基礎」と位置づけ、将来にわたって快適に食事を楽しめるよう、根気強く寄り添いながらサポートを続けています。
歯周病は、歯を支える骨や歯ぐきが少しずつ破壊されていく病気で、初期段階では自覚症状がほとんどありません。そのため、気づかないうちに進行してしまうケースも多く、早期発見と定期的なケアが重要です。原田歯科医院では、歯ぐきの状態や歯の動揺を丁寧に確認し、患者様一人ひとりの進行状況に合わせた歯周病疾患処置を行っています。
治療では、歯石やプラークの除去、歯周ポケット内の清掃を中心に、時間をかけて丁寧に進めていきます。また、治療後も再発を防ぐために、ブラッシング指導や生活習慣の見直しなど、セルフケアのサポートも実施。定期的なメンテナンスを通じて、長期的に健康な歯ぐきを保つことを目指しています。
原田歯科医院は、歯周病治療を「今ある歯を守るための基礎」と位置づけ、将来にわたって快適に食事を楽しめるよう、根気強く寄り添いながらサポートを続けています。
医院としての理念・方針
相談しやすい環境と確かな説明で、不安のない歯科医療を提供
原田歯科医院が掲げる理念のひとつは、「患者様との丁寧なコミュニケーションを通じて、安心して受診できる歯科医療を実現すること」です。初診の患者様はもちろん、通院中の方に対しても、治療に対する不安や疑問を解消できるよう、しっかりと対話の時間を設けています。
わからないことがあれば、何度でも説明を繰り返す姿勢を大切にしており、「気軽に相談できる」「納得して治療に臨める」と感じられるような関係づくりに注力しています。年齢や症状に応じた口腔ケアの相談も受け付けており、0歳から老年期まで幅広いニーズに対応できる点も、原田歯科医院の大きな特徴です。
院内はバリアフリー設計で、キッズルームや駐車場も完備されているため、どの世代の患者様にも安心してご来院いただけます。患者様一人ひとりの生活や思いに寄り添った診療スタイルが、地域での信頼につながっています。
わからないことがあれば、何度でも説明を繰り返す姿勢を大切にしており、「気軽に相談できる」「納得して治療に臨める」と感じられるような関係づくりに注力しています。年齢や症状に応じた口腔ケアの相談も受け付けており、0歳から老年期まで幅広いニーズに対応できる点も、原田歯科医院の大きな特徴です。
院内はバリアフリー設計で、キッズルームや駐車場も完備されているため、どの世代の患者様にも安心してご来院いただけます。患者様一人ひとりの生活や思いに寄り添った診療スタイルが、地域での信頼につながっています。
院長について
▽略歴
2004年:原田歯科医院 開院
歯学博士
2004年:原田歯科医院 開院
歯学博士
小さなうちから大切に お子様のための小児歯科
※画像はイメージです
原田歯科医院では、小児歯科にも力を入れており、0歳からの歯科相談に対応しています。お子様の歯は、乳歯の時期から将来の歯並びや咬み合わせに大きく影響を与えるため、早期からの適切なケアが不可欠です。原田泰先生は、お子様の成長段階に応じた口腔ケアの提案を行い、親御様とのコミュニケーションも大切にしながら診療を進めています。
虫歯予防に有効な「シーラント処置」や「フッ素塗布」など、予防的なアプローチを取り入れ、痛みや恐怖心を与えない診療を心がけている点も特徴です。また、キッズルームを備えることで、待ち時間もリラックスして過ごせる環境を整えています。小さな頃から歯科医院に親しむことで、歯に対する意識を自然と育てていく――そんなサポートが受けられるのが原田歯科医院の小児歯科です。
虫歯予防に有効な「シーラント処置」や「フッ素塗布」など、予防的なアプローチを取り入れ、痛みや恐怖心を与えない診療を心がけている点も特徴です。また、キッズルームを備えることで、待ち時間もリラックスして過ごせる環境を整えています。小さな頃から歯科医院に親しむことで、歯に対する意識を自然と育てていく――そんなサポートが受けられるのが原田歯科医院の小児歯科です。
入れ歯の悩みに寄り添う 有床義歯の相談にも対応
※画像はイメージです
加齢や歯の喪失に伴って必要となる入れ歯についても、原田歯科医院では丁寧な診療を行っています。患者様の生活習慣や噛み合わせをしっかりと把握し、一人ひとりに合った有床義歯の製作・調整を進めていくのが特徴です。使い心地や装着感に不満を感じている方に対しても、細かな調整を重ねながら快適な装着感を目指しています。
咀嚼や発音といった日常生活に直結する機能面だけでなく、見た目の自然さにも配慮した義歯を提供している点も評価されています。原田泰先生のもと、幅広い世代のニーズに応じた義歯相談ができる体制が整っており、初めての入れ歯に不安を感じている方でも安心して相談できる環境です。しっかり噛めることは、健康維持と食生活の質の向上に直結します。
咀嚼や発音といった日常生活に直結する機能面だけでなく、見た目の自然さにも配慮した義歯を提供している点も評価されています。原田泰先生のもと、幅広い世代のニーズに応じた義歯相談ができる体制が整っており、初めての入れ歯に不安を感じている方でも安心して相談できる環境です。しっかり噛めることは、健康維持と食生活の質の向上に直結します。
歯の健康は予防から 定期的な口腔ケアをサポート
※画像はイメージです
虫歯や歯周病を未然に防ぐには、定期的な予防ケアが重要です。原田歯科医院では、歯科衛生士による歯のクリーニングをはじめ、歯の定期検診や歯周病検診など、予防に特化した診療を実施しています。加齢やライフスタイルの変化に応じて、口腔内のリスクも変化していくため、継続的なチェックが欠かせません。
また、口腔ケア指導や歯周の予防指導といったサポートも行っており、患者様自身が日常的にできるセルフケアの方法を丁寧に説明しています。特に、歯のクリーニングは、歯石の除去だけでなく、歯の寿命を延ばすためにも有効です。原田泰先生のもと、予防を重視した診療体制が整っており、地域の皆様が安心して通える環境づくりがなされています。
また、口腔ケア指導や歯周の予防指導といったサポートも行っており、患者様自身が日常的にできるセルフケアの方法を丁寧に説明しています。特に、歯のクリーニングは、歯石の除去だけでなく、歯の寿命を延ばすためにも有効です。原田泰先生のもと、予防を重視した診療体制が整っており、地域の皆様が安心して通える環境づくりがなされています。
気になる咬み合わせにも対応 快適な毎日をサポート
※画像はイメージです
咬み合わせの不具合は、肩こりや顎の疲労感、食事のしにくさなど、日常生活にさまざまな影響を与えることがあります。原田歯科医院では、こうした咬合に関する悩みにも対応しており、噛合調整を通じて機能的な改善を目指しています。
診療では、患者様の生活習慣や口腔の状態を把握した上で、適切な調整を段階的に行っていくのが特徴です。特定の歯に負担がかかっている場合や、義歯使用時の咬み合わせの不具合など、さまざまなケースに柔軟に対応できる体制が整っています。
明確な専門治療ではなくとも、日常の「噛みにくさ」を改善したいというニーズに寄り添い、丁寧なフォローを行っているのが原田泰先生の診療姿勢です。
診療では、患者様の生活習慣や口腔の状態を把握した上で、適切な調整を段階的に行っていくのが特徴です。特定の歯に負担がかかっている場合や、義歯使用時の咬み合わせの不具合など、さまざまなケースに柔軟に対応できる体制が整っています。
明確な専門治療ではなくとも、日常の「噛みにくさ」を改善したいというニーズに寄り添い、丁寧なフォローを行っているのが原田泰先生の診療姿勢です。
自由診療のリスク・副作用、その他
自由診療について
患者様のさまざまなニーズに応えるために自由診療を提供しております。しかし、自由診療には健康保険適用外の治療が含まれるため、以下の点にご注意ください。
【リスクについて】
自由診療には、保険適用治療に比べて高度かつ専門的な治療が含まれる場合があります。これらの治療はより高い技術を要求されるため、一般的な治療よりもリスクが高まる可能性があります。
【副作用について】
すべての医療行為には副作用のリスクが伴います。自由診療の場合、使用する材料や治療方法が特殊な場合があるため、通常の治療とは異なる副作用が発生する可能性があります。
【費用について】
自由診療は健康保険の適用外であるため、保険診療と比較して高額になることがあります。治療前には必ず費用の詳細について説明を行い、ご同意をいただいてから治療を開始します。
【治療の選択について】
患者様の健康状態や希望に合わせて、最適な治療計画を提案します。自由診療は選択肢の一つであり、必ずしもすべての患者様に適しているわけではありません。
【その他の注意事項】
治療後のフォローアップやメンテナンスについても、自由診療の範囲内で行うことがあります。これには追加の費用が発生する場合があります。
患者様一人ひとりに合った治療を心がけております。自由診療を含むすべての治療オプションについて、十分な説明とともに、患者様のご理解とご同意を得ることを重視しています。ご不明な点やご心配なことがございましたら、遠慮なくご相談ください。
患者様のさまざまなニーズに応えるために自由診療を提供しております。しかし、自由診療には健康保険適用外の治療が含まれるため、以下の点にご注意ください。
【リスクについて】
自由診療には、保険適用治療に比べて高度かつ専門的な治療が含まれる場合があります。これらの治療はより高い技術を要求されるため、一般的な治療よりもリスクが高まる可能性があります。
【副作用について】
すべての医療行為には副作用のリスクが伴います。自由診療の場合、使用する材料や治療方法が特殊な場合があるため、通常の治療とは異なる副作用が発生する可能性があります。
【費用について】
自由診療は健康保険の適用外であるため、保険診療と比較して高額になることがあります。治療前には必ず費用の詳細について説明を行い、ご同意をいただいてから治療を開始します。
【治療の選択について】
患者様の健康状態や希望に合わせて、最適な治療計画を提案します。自由診療は選択肢の一つであり、必ずしもすべての患者様に適しているわけではありません。
【その他の注意事項】
治療後のフォローアップやメンテナンスについても、自由診療の範囲内で行うことがあります。これには追加の費用が発生する場合があります。
患者様一人ひとりに合った治療を心がけております。自由診療を含むすべての治療オプションについて、十分な説明とともに、患者様のご理解とご同意を得ることを重視しています。ご不明な点やご心配なことがございましたら、遠慮なくご相談ください。
この医院の口コミはまだありません
受付時間
| 診療時間 | 日 | 月 | 火 | 水 | 木 | 金 | 土 |
|---|---|---|---|---|---|---|---|
| 08:30 ~ 12:00 | |||||||
| 14:00 ~ 18:30 | |||||||
| 16:00 ~ 18:30 | |||||||
| 14:00 ~ 16:30 |
休診日:日曜・祝日 ※木曜午後は休診の時あり
アクセスマップ
基本情報
| 医院名 | 原田歯科医院 |
| 所在地 | 〒427-0018 静岡県 島田市 旭3-23-30 |
| 最寄駅 | 六合駅 南口 徒歩13分 |
| 診療内容 | 歯冠修復、欠損補綴 / 歯周病治療 / 予防治療 / 小児歯科 / 有床義歯 / 咬み合わせ治療 |
| 医院ID | 71700 |