【駐車場完備・土曜診療】今井歯科医院が大切にする地域に寄り添う歯科医療
愛媛県大洲市新谷松ケ花で開業して35年、今井歯科医院は地域に根ざした歯科医療を継続してきました。一般歯科全般に対応し、副院長は審美治療や歯周病治療、保存修復治療を専門としており、むし歯や根管治療など幅広い症例に丁寧に向き合っています。歯科医療は早期発見と継続的な管理が重要とされており、今井歯科医院では患者様一人ひとりの状態を把握しながら、将来を見据えた診療を行っています。待合室には歯科用品やコラム記事を用意し、気になる点をスタッフへ相談しやすい雰囲気づくりにも努めています。
診療室には3台のチェアーを設置し、外の景色が見える配置とすることで落ち着いた空間を整えています。各チェアーはパーテーションで仕切られており、プライバシーにも配慮しています。口内炎や歯ぐきの腫れにはレーザーを活用し、負担軽減を図っています。歯科用CTを完備し、三次元的な情報をもとに正確な診断を行うほか、最大約20倍に拡大できるマイクロスコープを保険診療でも必要に応じて使用しています。院内技工室では技工士が被せ物や入れ歯を製作し、細やかな調整に対応できる体制を整えています。駐車場も完備し、通いやすい環境づくりに取り組んでいます。
診療室には3台のチェアーを設置し、外の景色が見える配置とすることで落ち着いた空間を整えています。各チェアーはパーテーションで仕切られており、プライバシーにも配慮しています。口内炎や歯ぐきの腫れにはレーザーを活用し、負担軽減を図っています。歯科用CTを完備し、三次元的な情報をもとに正確な診断を行うほか、最大約20倍に拡大できるマイクロスコープを保険診療でも必要に応じて使用しています。院内技工室では技工士が被せ物や入れ歯を製作し、細やかな調整に対応できる体制を整えています。駐車場も完備し、通いやすい環境づくりに取り組んでいます。
歯冠修復、欠損補綴のこだわりポイント
専門的診断と再生療法への取り組み
歯周病は、歯垢の中の細菌によって歯を支える歯周組織が破壊される病気であり、日本人が歯を失う原因の上位を占めています。35歳以上の多くの方が罹患しているとされ、初期段階では痛みなどの自覚症状が出にくい点が特徴です。そのため、気づいた時には重症化しているケースも少なくありません。近年では心血管疾患や糖尿病、低体重児出産、アルツハイマー型認知症などとの関連も報告されており、全身の健康を守るためにも適切な管理が重要です。今井歯科医院では歯周病認定医が在籍し、精密検査を通じて状態を把握し、段階に応じた治療を提案しています。
歯周病治療では、まず原因となる歯垢や歯石を徹底的に除去する基本治療を行い、炎症の改善を図ります。そのうえで、症例に応じて歯周組織の再生を目指す治療にも対応しています。リグロスは大阪大学歯学部附属病院の研究グループにより開発され、保険適用となった歯周病再生医薬品です。骨の喪失状態などにより適応は限定されますが、局所麻酔下で処置を行い、失われた骨の再生を促すことで歯の保存を目指します。今井歯科医院では治療内容や見通しを丁寧に説明し、患者様が安心して取り組める歯周病治療を実践しています。
歯周病治療では、まず原因となる歯垢や歯石を徹底的に除去する基本治療を行い、炎症の改善を図ります。そのうえで、症例に応じて歯周組織の再生を目指す治療にも対応しています。リグロスは大阪大学歯学部附属病院の研究グループにより開発され、保険適用となった歯周病再生医薬品です。骨の喪失状態などにより適応は限定されますが、局所麻酔下で処置を行い、失われた骨の再生を促すことで歯の保存を目指します。今井歯科医院では治療内容や見通しを丁寧に説明し、患者様が安心して取り組める歯周病治療を実践しています。
医院としての理念・方針
診療風景
今井歯科医院は、地域に密着し、患者様にとって身近で相談しやすい歯科医療の提供を目指しています。
温かみのある雰囲気の中で、安心して通っていただける環境づくりを大切にしています。
温かみのある雰囲気の中で、安心して通っていただける環境づくりを大切にしています。
院長について
▽略歴
1985年 国立 広島大学歯学部卒業
1990年 大洲市にて今井歯科医院開業
1985年 国立 広島大学歯学部卒業
1990年 大洲市にて今井歯科医院開業
【審美歯科】自然な白さと調和を目指す治療
セラミック治療
歯の色や形は、口元の印象に大きく影響します。今井歯科医院では、見た目の美しさと機能の両方に配慮した審美歯科治療を行い、患者様の希望やお口の状態に合わせた方法を提案しています。変色した歯や銀歯が気になる場合には、クラウンやインレーなどの被せ物・詰め物による修復治療で改善を図ります。保険診療では樹脂素材を使用し、保険外診療ではセラミックを用いた自然な仕上がりを目指す治療も選択できます。
歯そのものの色味を明るくしたい場合には、ホワイトニングによる処置も可能です。今井歯科医院では、医院内で行うオフィスホワイトニングと、ご自宅で取り組むホームホワイトニングに対応しています。また、歯の表面に見られる白い斑点にはICONを用いたホワイトスポット治療を行い、歯を削らずに見た目の改善を目指すことも可能です。
さらに、神経を失った歯の変色にはウォーキングブリーチによる漂白処置を行うことがあります。前歯の色や形を整える方法としては、ダイレクトボンディングやラミネートベニアなどにも対応しています。加えて、PMTCによる専門的なクリーニングで着色汚れを除去し、本来の歯の色味に近づけることも可能です。今井歯科医院では、口腔内の健康状態にも配慮しながら、自然な口元を目指す審美歯科治療に取り組んでいます。
歯そのものの色味を明るくしたい場合には、ホワイトニングによる処置も可能です。今井歯科医院では、医院内で行うオフィスホワイトニングと、ご自宅で取り組むホームホワイトニングに対応しています。また、歯の表面に見られる白い斑点にはICONを用いたホワイトスポット治療を行い、歯を削らずに見た目の改善を目指すことも可能です。
さらに、神経を失った歯の変色にはウォーキングブリーチによる漂白処置を行うことがあります。前歯の色や形を整える方法としては、ダイレクトボンディングやラミネートベニアなどにも対応しています。加えて、PMTCによる専門的なクリーニングで着色汚れを除去し、本来の歯の色味に近づけることも可能です。今井歯科医院では、口腔内の健康状態にも配慮しながら、自然な口元を目指す審美歯科治療に取り組んでいます。
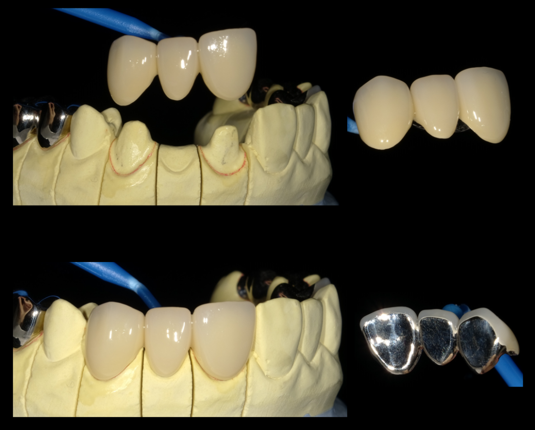
【補綴治療】失った歯の機能を回復する方法
ブリッジ
補綴治療は、歯を失った部分を人工の歯で補い、噛む機能や見た目の調和を回復するための治療です。歯を失ったままにしておくと、周囲の歯が動いたり、噛み合わせが乱れたりすることがあります。今井歯科医院では、患者様のお口の状態や生活背景を踏まえ、義歯やブリッジなど複数の選択肢の中から適切な方法を提案しています。
義歯は、基本的に適応の制限が少なく、金属と樹脂を用いて製作する方法が一般的です。保険外診療では、金属の留め具を使用しない目立ちにくい入れ歯にも対応しています。一方、ブリッジは失った歯の両側の歯を支えとして連結した被せ物を装着する方法で、固定式である点が特長です。今井歯科医院では、それぞれの利点と注意点を丁寧に説明し、患者様が納得したうえで補綴治療を進めています。
義歯は、基本的に適応の制限が少なく、金属と樹脂を用いて製作する方法が一般的です。保険外診療では、金属の留め具を使用しない目立ちにくい入れ歯にも対応しています。一方、ブリッジは失った歯の両側の歯を支えとして連結した被せ物を装着する方法で、固定式である点が特長です。今井歯科医院では、それぞれの利点と注意点を丁寧に説明し、患者様が納得したうえで補綴治療を進めています。
【精密治療】拡大視野で行う質の高い処置
マイクロスコープ
精密治療は、患部を拡大して確認しながら処置を行うことで、より正確な診断と修復を目指す治療です。通常は等倍やルーペを用いて診療を行いますが、今井歯科医院では必要に応じてマイクロスコープを使用し、最大約20倍に拡大した視野で治療を行っています。ダイレクトボンディングなどの修復処置においても細部まで確認できるため、適合性の高い仕上がりが期待できます。
また、生活歯髄療法にも取り組んでいます。むし歯の進行や外傷により神経が露出した場合でも、詳細な事前診査とマイクロスコープによる診断を行い、保存が可能と判断される症例では特殊な薬剤を用いて神経の保存を試みます。神経を残すことは歯の寿命を延ばすことにつながるとされており、今井歯科医院ではできる限り歯を守る精密治療を大切にしています。
また、生活歯髄療法にも取り組んでいます。むし歯の進行や外傷により神経が露出した場合でも、詳細な事前診査とマイクロスコープによる診断を行い、保存が可能と判断される症例では特殊な薬剤を用いて神経の保存を試みます。神経を残すことは歯の寿命を延ばすことにつながるとされており、今井歯科医院ではできる限り歯を守る精密治療を大切にしています。
【歯を残すための治療】精密な根管治療と外科的対応
ラバーダム防湿法による治療
歯を残すためには、原因を正確に見極めたうえで適切な処置を行うことが重要です。根管治療を続けても症状が改善しない場合や、抜歯と判断されたケースでも、治療の可能性が残されていることがあります。今井歯科医院では、マイクロスコープとラバーダム防湿法を用いて精査と根管治療を行い、感染源を丁寧に取り除くことを大切にしています。通常の根管治療で改善が難しい場合には、歯根端切除術や意図的再植、移植といった方法も検討しています。
さらに、歯が歯ぐきの中に埋もれて保存が困難と判断された場合でも、エクストルージョン法により歯を引き上げて保存を目指せることがあります。被せ物が繰り返し外れる原因の一つに、歯の位置や長さの問題が関係している場合もあります。今井歯科医院では、歯の状態を総合的に評価し、可能な限り歯を守る治療方針を提案しています。
さらに、歯が歯ぐきの中に埋もれて保存が困難と判断された場合でも、エクストルージョン法により歯を引き上げて保存を目指せることがあります。被せ物が繰り返し外れる原因の一つに、歯の位置や長さの問題が関係している場合もあります。今井歯科医院では、歯の状態を総合的に評価し、可能な限り歯を守る治療方針を提案しています。
自由診療のリスク・副作用、その他
自由診療について
患者様のさまざまなニーズに応えるために自由診療を提供しております。しかし、自由診療には健康保険適用外の治療が含まれるため、以下の点にご注意ください。
【リスクについて】
自由診療には、保険適用治療に比べて高度かつ専門的な治療が含まれる場合があります。これらの治療はより高い技術を要求されるため、一般的な治療よりもリスクが高まる可能性があります。
【副作用について】
すべての医療行為には副作用のリスクが伴います。自由診療の場合、使用する材料や治療方法が特殊な場合があるため、通常の治療とは異なる副作用が発生する可能性があります。
【費用について】
自由診療は健康保険の適用外であるため、保険診療と比較して高額になることがあります。治療前には必ず費用の詳細について説明を行い、ご同意をいただいてから治療を開始します。
【治療の選択について】
患者様の健康状態や希望に合わせて、最適な治療計画を提案します。自由診療は選択肢の一つであり、必ずしもすべての患者様に適しているわけではありません。
【その他の注意事項】
治療後のフォローアップやメンテナンスについても、自由診療の範囲内で行うことがあります。これには追加の費用が発生する場合があります。
患者様一人ひとりに合った治療を心がけております。自由診療を含むすべての治療オプションについて、十分な説明とともに、患者様のご理解とご同意を得ることを重視しています。ご不明な点やご心配なことがございましたら、遠慮なくご相談ください。
患者様のさまざまなニーズに応えるために自由診療を提供しております。しかし、自由診療には健康保険適用外の治療が含まれるため、以下の点にご注意ください。
【リスクについて】
自由診療には、保険適用治療に比べて高度かつ専門的な治療が含まれる場合があります。これらの治療はより高い技術を要求されるため、一般的な治療よりもリスクが高まる可能性があります。
【副作用について】
すべての医療行為には副作用のリスクが伴います。自由診療の場合、使用する材料や治療方法が特殊な場合があるため、通常の治療とは異なる副作用が発生する可能性があります。
【費用について】
自由診療は健康保険の適用外であるため、保険診療と比較して高額になることがあります。治療前には必ず費用の詳細について説明を行い、ご同意をいただいてから治療を開始します。
【治療の選択について】
患者様の健康状態や希望に合わせて、最適な治療計画を提案します。自由診療は選択肢の一つであり、必ずしもすべての患者様に適しているわけではありません。
【その他の注意事項】
治療後のフォローアップやメンテナンスについても、自由診療の範囲内で行うことがあります。これには追加の費用が発生する場合があります。
患者様一人ひとりに合った治療を心がけております。自由診療を含むすべての治療オプションについて、十分な説明とともに、患者様のご理解とご同意を得ることを重視しています。ご不明な点やご心配なことがございましたら、遠慮なくご相談ください。
この医院の口コミはまだありません
受付時間
| 診療時間 | 日 | 月 | 火 | 水 | 木 | 金 | 土 |
|---|---|---|---|---|---|---|---|
| 09:00 ~ 13:00 | |||||||
| 14:30 ~ 18:30 |
休診日:木曜・日曜・祝日
アクセスマップ
基本情報
| 医院名 | 今井歯科医院 |
| 所在地 | 〒795-0071 愛媛県 大洲市 新谷乙191 |
| 最寄駅 | 五郎駅 車で5分 |
| 診療内容 | 歯冠修復、欠損補綴 / 根管治療 / 歯周病治療 / 予防治療 / 小児歯科 / 有床義歯 |
| 医院ID | 70824 |