【平日20時まで診療・駐車場完備】地域に寄り添い丁寧な診療を大切にする尾崎歯科医院
松山市上野町にある尾崎歯科医院では、一般歯科治療をはじめ、予防歯科、小児歯科、矯正歯科、補綴歯科、歯内療法、ホワイトニング、インプラント治療など、幅広い診療に対応しています。お口の健康は日々の生活の質にも深く関わるため、症状が出てから治療するだけでなく、予防や定期的なケアを通して健康な状態を維持していくことが大切とされています。尾崎歯科医院では、患者様一人ひとりのお口の状態を丁寧に確認しながら、安心して治療を受けていただける診療を心がけています。
歯科医療においては、患者様とのコミュニケーションが信頼関係を築くうえで欠かせません。尾崎歯科医院では、治療内容やお口の状態についてわかりやすく説明し、患者様が納得されたうえで治療を進めていくことを大切にしています。患者様それぞれの生活環境やご希望を踏まえながら、無理のない治療計画を提案し、安心して通える歯科医療の提供に努めています。
また、歯並びやかみ合わせの改善を目的とした矯正治療にも対応しており、お子様から大人まで幅広い年代の方が相談できる体制を整えています。歯並びを整えることは見た目の美しさだけでなく、かみ合わせやお口の健康を保つうえでも重要とされています。尾崎歯科医院では、患者様の状態に合わせた治療方法を提案し、専門スタッフが丁寧にサポートしながら、健康で美しい口元づくりを支えています。
歯科医療においては、患者様とのコミュニケーションが信頼関係を築くうえで欠かせません。尾崎歯科医院では、治療内容やお口の状態についてわかりやすく説明し、患者様が納得されたうえで治療を進めていくことを大切にしています。患者様それぞれの生活環境やご希望を踏まえながら、無理のない治療計画を提案し、安心して通える歯科医療の提供に努めています。
また、歯並びやかみ合わせの改善を目的とした矯正治療にも対応しており、お子様から大人まで幅広い年代の方が相談できる体制を整えています。歯並びを整えることは見た目の美しさだけでなく、かみ合わせやお口の健康を保つうえでも重要とされています。尾崎歯科医院では、患者様の状態に合わせた治療方法を提案し、専門スタッフが丁寧にサポートしながら、健康で美しい口元づくりを支えています。
矯正歯科のこだわりポイント
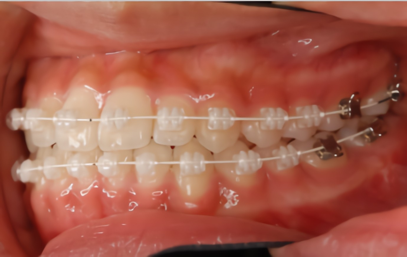
目立たない矯正装置にも対応しています
矯正歯科は、乱杭歯や受け口、出っ歯、かみ合わせのずれなどを整える治療であり、見た目の美しさだけでなく、しっかり噛める機能の回復も目的としています。歯並びが整うことで口元の印象が明るくなり、日常生活における自信にもつながります。
歯を少しずつ動かしていく治療のため、一定の期間が必要になりますが、歯や歯ぐきへの負担に配慮しながら無理なく進めていきます。歯並びが整うことで歯ブラシが届きやすくなり、むし歯や歯周病の予防につながる点も大きなメリットといえます。さらに、かみ合わせが改善されることで顎や歯への負担が軽減され、お口全体の健康維持にも役立ちます。
近年では、透明なマウスピース型の矯正装置を用いた治療にも対応しており、装着していても目立ちにくく、周囲に気づかれにくい点が特徴です。取り外しが可能なため、食事や歯みがきも普段通り行いやすく、衛生的に管理しやすいこともメリットの一つです。
歯並びやかみ合わせに不安がある場合は、早めに相談することで適した治療方法や開始時期を見極めやすくなります。将来にわたって健康なお口を保つためにも、矯正治療は有効な選択肢の一つといえます。
歯を少しずつ動かしていく治療のため、一定の期間が必要になりますが、歯や歯ぐきへの負担に配慮しながら無理なく進めていきます。歯並びが整うことで歯ブラシが届きやすくなり、むし歯や歯周病の予防につながる点も大きなメリットといえます。さらに、かみ合わせが改善されることで顎や歯への負担が軽減され、お口全体の健康維持にも役立ちます。
近年では、透明なマウスピース型の矯正装置を用いた治療にも対応しており、装着していても目立ちにくく、周囲に気づかれにくい点が特徴です。取り外しが可能なため、食事や歯みがきも普段通り行いやすく、衛生的に管理しやすいこともメリットの一つです。
歯並びやかみ合わせに不安がある場合は、早めに相談することで適した治療方法や開始時期を見極めやすくなります。将来にわたって健康なお口を保つためにも、矯正治療は有効な選択肢の一つといえます。
医院としての理念・方針
診療室の雰囲気
歯科医院におけるコミュニケーションは、患者様の安心と信頼を築くうえで大切なものです。尾崎歯科医院では、丁寧な説明と親身な対応を心がけ、患者様が安心して治療を受けられる環境づくりに努めています。
尾崎歯科医院では、患者様一人ひとりのご希望やお口の状態を丁寧に把握し、それぞれに適した治療計画をご提案しています。治療内容についてわかりやすく説明し、患者様にご理解とご納得をいただいたうえで診療を進めていくことを大切にしていますので、気になることがありましたら安心してご相談ください。
また、矯正治療については、お子様から大人の方まで幅広い年齢層に対応しています。美しい歯並びと健康的な口元を目指し、専門スタッフが丁寧にサポートしながら、患者様の状態に合わせた治療方法をご提案しています。快適な歯並びと自然な笑顔を支える歯科医療を提供できるよう努めています。
尾崎歯科医院では、患者様一人ひとりのご希望やお口の状態を丁寧に把握し、それぞれに適した治療計画をご提案しています。治療内容についてわかりやすく説明し、患者様にご理解とご納得をいただいたうえで診療を進めていくことを大切にしていますので、気になることがありましたら安心してご相談ください。
また、矯正治療については、お子様から大人の方まで幅広い年齢層に対応しています。美しい歯並びと健康的な口元を目指し、専門スタッフが丁寧にサポートしながら、患者様の状態に合わせた治療方法をご提案しています。快適な歯並びと自然な笑顔を支える歯科医療を提供できるよう努めています。
院長について
▽略歴
2007年 神奈川歯科大学卒業
2011年 広島大学顎口腔頸部医科学講座歯科矯正大学院卒業
2011年 広島大学顎口腔頸部医科学講座歯科矯正医員
2007年 神奈川歯科大学卒業
2011年 広島大学顎口腔頸部医科学講座歯科矯正大学院卒業
2011年 広島大学顎口腔頸部医科学講座歯科矯正医員
【一般歯科】お口のトラブルに幅広く対応する基本診療
最適な治療計画を提供します
むし歯は、歯の表面に付着したプラークと呼ばれる細菌のかたまりが酸をつくり出し、その酸によって歯の表面のエナメル質や象牙質が溶けていくことで発生します。初期の段階では自覚症状が少ないこともありますが、進行すると痛みや感染を引き起こし、歯を失う原因となることもあります。尾崎歯科医院では、お口の状態を丁寧に確認しながら適切な一般歯科治療を行っています。
歯のトラブルは早期に発見し、適切な処置を行うことが大切です。むし歯や歯周病を放置すると症状が進行し、治療の負担が大きくなる場合があります。尾崎歯科医院では、患者様のお口の状態や生活習慣を踏まえながら、わかりやすい説明と丁寧な治療を心がけています。患者様が安心して診療を受けられるよう配慮しながら、お口の健康を守るためのサポートを行っています。
歯のトラブルは早期に発見し、適切な処置を行うことが大切です。むし歯や歯周病を放置すると症状が進行し、治療の負担が大きくなる場合があります。尾崎歯科医院では、患者様のお口の状態や生活習慣を踏まえながら、わかりやすい説明と丁寧な治療を心がけています。患者様が安心して診療を受けられるよう配慮しながら、お口の健康を守るためのサポートを行っています。
【予防歯科】健康な歯を守るための継続的なケア
お気軽にご相談下さい
予防歯科は、むし歯や歯周病などのお口のトラブルを未然に防ぎ、健康な歯を長く保つことを目的とした歯科医療の分野です。症状が出てから治療を行うだけでなく、定期的な検診やクリーニングを通してお口の状態を確認し、問題が起こる前にケアを行うことが大切とされています。むし歯や歯周病は初期の段階では自覚症状が少ないこともあるため、継続的なチェックによって早期に対応することが重要です。
予防歯科では、歯科医院で行うクリーニングだけでなく、日常生活での口腔ケアも重要になります。歯みがき方法の指導や生活習慣へのアドバイスを通して、患者様が健康なお口の環境を維持できるようサポートします。尾崎歯科医院では、お口の状態に合わせた予防ケアを提案し、むし歯や歯周病の予防を目指しています。
予防歯科では、歯科医院で行うクリーニングだけでなく、日常生活での口腔ケアも重要になります。歯みがき方法の指導や生活習慣へのアドバイスを通して、患者様が健康なお口の環境を維持できるようサポートします。尾崎歯科医院では、お口の状態に合わせた予防ケアを提案し、むし歯や歯周病の予防を目指しています。
【小児歯科】お子様の成長に寄り添う歯科診療
信頼関係を大切にしています
小児歯科は、お子様の歯や口腔の健康を守るための歯科診療です。乳歯の時期から永久歯が生えそろうまでの成長過程に合わせて、むし歯の予防や診断、治療を行い、健やかな口腔環境を育てていきます。お子様の歯はむし歯になりやすく進行も早い傾向があるため、早い段階からの予防や定期的な検診が重要とされています。尾崎歯科医院では、お子様が安心して通える環境づくりを大切にしながら、小児歯科診療に取り組んでいます。
尾崎歯科医院では、歯科医院に対する不安をできるだけ与えない診療を心がけています。無理に治療を進めるのではなく、まずは歯科医院の雰囲気に慣れていただくことから始め、少しずつ治療へと進めていきます。また、むし歯治療だけでなく、歯みがき指導やフッ素塗布などの予防ケアにも力を入れ、お子様のお口の健康を守るサポートを行っています。
尾崎歯科医院では、歯科医院に対する不安をできるだけ与えない診療を心がけています。無理に治療を進めるのではなく、まずは歯科医院の雰囲気に慣れていただくことから始め、少しずつ治療へと進めていきます。また、むし歯治療だけでなく、歯みがき指導やフッ素塗布などの予防ケアにも力を入れ、お子様のお口の健康を守るサポートを行っています。
【補綴治療】失った歯の機能と美しさを回復する治療
スマイルデンチャーを取り扱っています
補綴治療とは、むし歯や歯周病、外傷などによって失われた歯や口腔組織を人工の歯で補い、かむ機能や見た目の回復を目指す歯科治療です。歯を失った状態をそのままにしておくと、かみ合わせのバランスが崩れる原因になることもあるため、早めの対応が大切とされています。尾崎歯科医院では、お口全体の状態を丁寧に確認しながら補綴治療を行っています。
尾崎歯科医院では、見た目にも配慮した入れ歯として、金属のバネが目立ちにくいスマイルデンチャーにも対応しています。従来の入れ歯のように金属の留め具が見えにくいため、見た目を気にされる方にも選ばれている治療方法です。尾崎歯科医院では、患者様のお口の状態やご希望を丁寧に伺いながら、機能性と審美性の両方を考慮した補綴治療をご提案しています。
尾崎歯科医院では、見た目にも配慮した入れ歯として、金属のバネが目立ちにくいスマイルデンチャーにも対応しています。従来の入れ歯のように金属の留め具が見えにくいため、見た目を気にされる方にも選ばれている治療方法です。尾崎歯科医院では、患者様のお口の状態やご希望を丁寧に伺いながら、機能性と審美性の両方を考慮した補綴治療をご提案しています。
自由診療のリスク・副作用、その他
自由診療について
患者様のさまざまなニーズに応えるために自由診療を提供しております。しかし、自由診療には健康保険適用外の治療が含まれるため、以下の点にご注意ください。
【リスクについて】
自由診療には、保険適用治療に比べて高度かつ専門的な治療が含まれる場合があります。これらの治療はより高い技術を要求されるため、一般的な治療よりもリスクが高まる可能性があります。
【副作用について】
すべての医療行為には副作用のリスクが伴います。自由診療の場合、使用する材料や治療方法が特殊な場合があるため、通常の治療とは異なる副作用が発生する可能性があります。
【費用について】
自由診療は健康保険の適用外であるため、保険診療と比較して高額になることがあります。治療前には必ず費用の詳細について説明を行い、ご同意をいただいてから治療を開始します。
【治療の選択について】
患者様の健康状態や希望に合わせて、最適な治療計画を提案します。自由診療は選択肢の一つであり、必ずしもすべての患者様に適しているわけではありません。
【その他の注意事項】
治療後のフォローアップやメンテナンスについても、自由診療の範囲内で行うことがあります。これには追加の費用が発生する場合があります。
患者様一人ひとりに合った治療を心がけております。自由診療を含むすべての治療オプションについて、十分な説明とともに、患者様のご理解とご同意を得ることを重視しています。ご不明な点やご心配なことがございましたら、遠慮なくご相談ください。
患者様のさまざまなニーズに応えるために自由診療を提供しております。しかし、自由診療には健康保険適用外の治療が含まれるため、以下の点にご注意ください。
【リスクについて】
自由診療には、保険適用治療に比べて高度かつ専門的な治療が含まれる場合があります。これらの治療はより高い技術を要求されるため、一般的な治療よりもリスクが高まる可能性があります。
【副作用について】
すべての医療行為には副作用のリスクが伴います。自由診療の場合、使用する材料や治療方法が特殊な場合があるため、通常の治療とは異なる副作用が発生する可能性があります。
【費用について】
自由診療は健康保険の適用外であるため、保険診療と比較して高額になることがあります。治療前には必ず費用の詳細について説明を行い、ご同意をいただいてから治療を開始します。
【治療の選択について】
患者様の健康状態や希望に合わせて、最適な治療計画を提案します。自由診療は選択肢の一つであり、必ずしもすべての患者様に適しているわけではありません。
【その他の注意事項】
治療後のフォローアップやメンテナンスについても、自由診療の範囲内で行うことがあります。これには追加の費用が発生する場合があります。
患者様一人ひとりに合った治療を心がけております。自由診療を含むすべての治療オプションについて、十分な説明とともに、患者様のご理解とご同意を得ることを重視しています。ご不明な点やご心配なことがございましたら、遠慮なくご相談ください。
この医院の口コミはまだありません
受付時間
| 診療時間 | 日 | 月 | 火 | 水 | 木 | 金 | 土 |
|---|---|---|---|---|---|---|---|
| 08:30 ~ 12:00 | |||||||
| 14:00 ~ 20:00 |
休診日:木曜・土曜午後・日曜・祝日
アクセスマップ
基本情報
| 医院名 | 尾崎歯科医院 |
| 所在地 | 〒791-1136 愛媛県 松山市 上野町206-1 |
| 最寄駅 | 鷹ノ子駅 車で15分 |
| 診療内容 | 歯冠修復、欠損補綴 / 根管治療 / 歯周病治療 / 予防治療 / 小児歯科 / 矯正歯科 / 口腔外科治療 / 有床義歯 / インプラント治療 / 咬み合わせ治療 / 顎関節症治療 / 訪問診療 |
| 医院ID | 61467 |