【いよ立花駅 徒歩7分】丁寧な説明とコミュニケーションを大切に幅広い診療に対応するひでき歯科医院
ひでき歯科医院は、いよ立花駅から徒歩7分の場所に位置する歯科医院です。駐車場も利用できるため、徒歩・お車のどちらでも通いやすい環境が整っています。予約制を採用しており、待ち時間に配慮された落ち着いた診療体制が特徴です。
こちらの歯科医院では、患者様とのコミュニケーションを大切にした診療が行われています。治療前には丁寧な説明を心がけ、不安や疑問にしっかり向き合いながら、一人ひとりに合った治療方針を提案しています。納得したうえで治療に進めるよう配慮されているため、安心して相談しやすい環境といえるでしょう。
診療内容は幅広く、入れ歯治療や予防歯科、小児歯科をはじめ、矯正歯科、審美歯科、インプラント治療、訪問診療などに対応しています。さらに、睡眠時無呼吸症候群や顎関節症への対応、スポーツ用マウスガードの作製などにも取り組んでおり、お口の機能面から日常生活を支える診療が行われています。さまざまな視点から口腔環境を整え、健康維持につなげている点も特徴です。
院内には予約制のキッズルームが設けられており、小さなお子様連れの患者様にも配慮されています。アクセス面では伊予鉄バス朝生田町東停留所から徒歩5分と公共交通機関でも通いやすく、幅広い年代の方が通院しやすい歯科医院です。
こちらの歯科医院では、患者様とのコミュニケーションを大切にした診療が行われています。治療前には丁寧な説明を心がけ、不安や疑問にしっかり向き合いながら、一人ひとりに合った治療方針を提案しています。納得したうえで治療に進めるよう配慮されているため、安心して相談しやすい環境といえるでしょう。
診療内容は幅広く、入れ歯治療や予防歯科、小児歯科をはじめ、矯正歯科、審美歯科、インプラント治療、訪問診療などに対応しています。さらに、睡眠時無呼吸症候群や顎関節症への対応、スポーツ用マウスガードの作製などにも取り組んでおり、お口の機能面から日常生活を支える診療が行われています。さまざまな視点から口腔環境を整え、健康維持につなげている点も特徴です。
院内には予約制のキッズルームが設けられており、小さなお子様連れの患者様にも配慮されています。アクセス面では伊予鉄バス朝生田町東停留所から徒歩5分と公共交通機関でも通いやすく、幅広い年代の方が通院しやすい歯科医院です。
インプラント治療のこだわりポイント
見た目と機能の両面で自然に近い状態を目指します。
インプラント治療は、むし歯や歯周病、外傷などで歯を失った場合に行う補綴治療の一つであり、従来の入れ歯やブリッジに代わる選択肢として広く知られています。あごの骨にチタン製の人工歯根を埋め込み、その上にかぶせ物を装着することで、見た目と機能の両面で自然に近い状態を目指します。骨としっかり結合する特性を活かし、安定した噛み心地が得られる点も特徴の一つといえます。
ひでき歯科医院では1993年から長年にわたりインプラント治療に取り組み、豊富な経験と知識をもとに幅広い症例に対応しています。診査ではレントゲンやCTを用いてあごの骨の状態を詳細に確認し、口腔内写真や歯型の資料をもとに治療計画を立案します。その後、費用や治療期間について丁寧に説明を行い、患者様が納得されたうえで治療を進めています。
治療は段階的に進み、まずインプラント体を埋入する1次手術を行い、骨との結合を待ちます。上顎では約6か月、下顎では約3か月の期間を経て、2次手術で土台を装着し、最終的にかぶせ物をセットします。治療後は良好な状態を維持するため、歯科医師による定期的なチェックと歯科衛生士によるメンテナンスを継続していきます。費用はCT撮影や手術、上部構造などの各工程ごとに設定されており、クレジットカードや電子マネーでの支払いにも対応しています。
ひでき歯科医院では1993年から長年にわたりインプラント治療に取り組み、豊富な経験と知識をもとに幅広い症例に対応しています。診査ではレントゲンやCTを用いてあごの骨の状態を詳細に確認し、口腔内写真や歯型の資料をもとに治療計画を立案します。その後、費用や治療期間について丁寧に説明を行い、患者様が納得されたうえで治療を進めています。
治療は段階的に進み、まずインプラント体を埋入する1次手術を行い、骨との結合を待ちます。上顎では約6か月、下顎では約3か月の期間を経て、2次手術で土台を装着し、最終的にかぶせ物をセットします。治療後は良好な状態を維持するため、歯科医師による定期的なチェックと歯科衛生士によるメンテナンスを継続していきます。費用はCT撮影や手術、上部構造などの各工程ごとに設定されており、クレジットカードや電子マネーでの支払いにも対応しています。
医院としての理念・方針
年齢やライフステージに応じたケアを大切にしながら、長く安心して通える関係づくりを重視しています。
ひでき歯科医院は、歯とお口の健康を通じて、乳幼児から高齢者まで生涯にわたり寄り添える歯科医療を目指しています。年齢やライフステージに応じたケアを大切にしながら、長く安心して通える関係づくりを重視しています。単なる治療にとどまらず、日々の健康維持まで見据えたサポートを行うことで、患者様の暮らしを支える存在となることを大切にしています。
診療においては、患者様とのコミュニケーションを何より重視し、分かりやすく丁寧な説明を心がけています。また、予約体制を整えることで待ち時間への配慮にも努め、落ち着いて受診できる環境づくりを進めています。さらに、患者様に満足していただける診療を目指し、新しい知識や技術の習得にも日々取り組み、より質の高い歯科医療の提供につなげています。
すべては患者様の笑顔のためにという想いのもと、院長とスタッフが一体となり、お口の健康を支えています。不安や疑問をそのままにせず、気軽に相談できる関係を築くことも大切にしています。ひでき歯科医院は、信頼と安心を積み重ねながら、地域に根ざした歯科医療を実践しています。
診療においては、患者様とのコミュニケーションを何より重視し、分かりやすく丁寧な説明を心がけています。また、予約体制を整えることで待ち時間への配慮にも努め、落ち着いて受診できる環境づくりを進めています。さらに、患者様に満足していただける診療を目指し、新しい知識や技術の習得にも日々取り組み、より質の高い歯科医療の提供につなげています。
すべては患者様の笑顔のためにという想いのもと、院長とスタッフが一体となり、お口の健康を支えています。不安や疑問をそのままにせず、気軽に相談できる関係を築くことも大切にしています。ひでき歯科医院は、信頼と安心を積み重ねながら、地域に根ざした歯科医療を実践しています。
院長について
▽略歴
1985年 大阪大学歯学部卒業
1985~1988年 愛媛大学医学部歯科口腔外科勤務
1989年 ひでき歯科医院開設
1985年 大阪大学歯学部卒業
1985~1988年 愛媛大学医学部歯科口腔外科勤務
1989年 ひでき歯科医院開設
患者様の生活背景に寄り添った提案を行いながら、安心して継続できる予防環境を提供する予防歯科
日常生活に根ざしたケアの重要性にも着目し、歯磨き方法や生活習慣の見直しについて具体的なアドバイスを行っています。
ひでき歯科医院では、お口の健康を長く維持するために予防歯科と定期的なメンテナンスを重視しています。むし歯や歯周病は発症してから治療するだけでなく、未然に防ぐ意識が重要と考えています。お口の状態を良好に保つことは、食事や会話といった日常生活の質を高めるだけでなく、全身の健康維持にもつながるといわれています。歯周病が全身疾患に影響を及ぼす可能性もあるため、早期発見と早期対応を大切にしています。
メンテナンスでは、治療終了後の患者様を対象に定期的なケアを提案しています。一般的には3か月ごとの受診を目安とし、お口の状態に応じて1〜2か月ごとに調整することもあります。歯科衛生士によるPMTCでは、専用機器を用いてバイオフィルムや歯石を丁寧に除去し、セルフケアでは落としきれない汚れまでしっかり清掃します。さらにフッ素塗布や必要に応じた唾液検査を組み合わせることで、患者様それぞれに適した予防方法を見極め、むし歯や歯周病のリスク低減を図ります。
また、日常生活に根ざしたケアの重要性にも着目し、歯磨き方法や生活習慣の見直しについて具体的なアドバイスを行っています。ひでき歯科医院では担当歯科衛生士制を採用し、継続して同じ衛生士が関わることで、小さな変化にも早く気づける体制を整えています。患者様の生活背景に寄り添った提案を行いながら、安心して継続できる予防環境を提供しています。
メンテナンスでは、治療終了後の患者様を対象に定期的なケアを提案しています。一般的には3か月ごとの受診を目安とし、お口の状態に応じて1〜2か月ごとに調整することもあります。歯科衛生士によるPMTCでは、専用機器を用いてバイオフィルムや歯石を丁寧に除去し、セルフケアでは落としきれない汚れまでしっかり清掃します。さらにフッ素塗布や必要に応じた唾液検査を組み合わせることで、患者様それぞれに適した予防方法を見極め、むし歯や歯周病のリスク低減を図ります。
また、日常生活に根ざしたケアの重要性にも着目し、歯磨き方法や生活習慣の見直しについて具体的なアドバイスを行っています。ひでき歯科医院では担当歯科衛生士制を採用し、継続して同じ衛生士が関わることで、小さな変化にも早く気づける体制を整えています。患者様の生活背景に寄り添った提案を行いながら、安心して継続できる予防環境を提供しています。
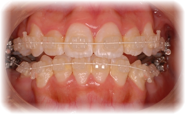
お子様から成人まで幅広い年代に対応する矯正歯科
見た目への配慮として、目立ちにくい矯正装置も導入しています。
ひでき歯科医院では、お子様から成人まで幅広い年代に対応した矯正歯科治療を行っています。歯並びや噛み合わせの乱れは、見た目だけでなく咀嚼機能の低下やむし歯・歯周病のリスク増加にも関係すると考えられています。そのため、口腔全体の健康維持という観点からも、適切な矯正治療を行うことが重要といえます。歯並びや噛み合わせを整えることで、日常生活の質向上にもつながります。
見た目への配慮として、目立ちにくい矯正装置も導入しています。歯の色に近いセラミックブラケットを使用することで装置の存在感を抑え、治療中の見た目に配慮しています。また、症例に応じてインビザラインによるマウスピース矯正にも対応しており、ライフスタイルに合わせた選択が可能です。叢生や上顎前突、下顎前突といったさまざまな症状に対応し、それぞれの状態に応じた治療計画を立案しています。
さらに、お子様の成長段階に合わせた予防矯正にも力を入れています。乳歯から永久歯へ生え替わる時期に適切な誘導を行うことで、将来の歯並びや噛み合わせの改善につなげています。発育途中であれば、比較的負担の少ない装置で短期間の改善が期待できる場合もあります。費用は検査診断料や装置の種類ごとに設定されており、支払いにはクレジットカードや電子マネーの利用にも対応しています。気になる症状がある場合は、早めに相談することで適切な対応につながります。
見た目への配慮として、目立ちにくい矯正装置も導入しています。歯の色に近いセラミックブラケットを使用することで装置の存在感を抑え、治療中の見た目に配慮しています。また、症例に応じてインビザラインによるマウスピース矯正にも対応しており、ライフスタイルに合わせた選択が可能です。叢生や上顎前突、下顎前突といったさまざまな症状に対応し、それぞれの状態に応じた治療計画を立案しています。
さらに、お子様の成長段階に合わせた予防矯正にも力を入れています。乳歯から永久歯へ生え替わる時期に適切な誘導を行うことで、将来の歯並びや噛み合わせの改善につなげています。発育途中であれば、比較的負担の少ない装置で短期間の改善が期待できる場合もあります。費用は検査診断料や装置の種類ごとに設定されており、支払いにはクレジットカードや電子マネーの利用にも対応しています。気になる症状がある場合は、早めに相談することで適切な対応につながります。
早期発見と適切な治療を重視する歯周病治療
違和感に気づいた時点での対応が大切です。
ひでき歯科医院では、歯を失う主な原因とされる歯周病の早期発見と適切な治療を重視しています。歯ぐきの腫れや出血、口のねばつき、口臭、歯ぐきの下がりなどの症状は歯周病のサインであり、初期段階であればセルフケアによる改善も期待できます。進行すると歯を支える骨が溶け、最終的に歯の喪失につながるため、違和感に気づいた時点での対応が大切です。
また、歯周病はお口の問題にとどまらず、心疾患や糖尿病、誤嚥性肺炎など全身の健康にも影響を及ぼす可能性があるとされています。そのため、口腔内の状態を整えることは全身の健康維持にもつながります。ひでき歯科医院では、歯周ポケット測定やレントゲン検査を行い、患者様ごとの状態を丁寧に把握したうえで治療を進めています。
治療ではスケーリングによって歯石やプラークを除去し、必要に応じてルートプレーニングを行い、歯ぐきの奥に付着した汚れまでしっかり取り除きます。さらにブラッシング指導や生活習慣の見直しを通じて再発防止に取り組み、治療後も定期的なメンテナンスを継続することで、安定した口腔環境の維持を目指しています。
また、歯周病はお口の問題にとどまらず、心疾患や糖尿病、誤嚥性肺炎など全身の健康にも影響を及ぼす可能性があるとされています。そのため、口腔内の状態を整えることは全身の健康維持にもつながります。ひでき歯科医院では、歯周ポケット測定やレントゲン検査を行い、患者様ごとの状態を丁寧に把握したうえで治療を進めています。
治療ではスケーリングによって歯石やプラークを除去し、必要に応じてルートプレーニングを行い、歯ぐきの奥に付着した汚れまでしっかり取り除きます。さらにブラッシング指導や生活習慣の見直しを通じて再発防止に取り組み、治療後も定期的なメンテナンスを継続することで、安定した口腔環境の維持を目指しています。
歯を削ることなく自然な白さを目指すホワイトニング治療
治療室で行うオフィスホワイトニングと、ご自宅で取り組むホームホワイトニングを組み合わせて進める方法を採用しています。
ひでき歯科医院では、歯を削ることなく自然な白さを目指すホワイトニング治療に対応しています。専用のホワイトニング剤を用いることで、本来の歯の色味を明るくし、口元の印象を向上させることが期待できます。歯石除去や着色除去といった保険診療とは異なり、自費診療として行うことで、より高い審美性を追求できる点が特徴です。ただし、変色の原因や加齢による象牙質の影響などにより、効果の現れ方には個人差があります。
施術は、治療室で行うオフィスホワイトニングと、ご自宅で取り組むホームホワイトニングを組み合わせて進める方法を採用しています。まず検査を行い、歯石や汚れを除去したうえで、色調の確認や口腔内写真の撮影を実施します。ホームホワイトニング用のトレーを作製し、院内での施術と並行してご自宅でもケアを行うことで、透明感のある自然な仕上がりを目指します。症例に応じて審美歯科の他の治療方法についても提案しています。
ホワイトニング後は、食生活などの影響により時間の経過とともに色戻りが起こる場合があります。そのため、効果を維持するためには定期的なメンテナンスが重要です。必要に応じて追加のホワイトニングジェルを使用しながら、長期的な白さの維持を図ります。費用はオフィスホワイトニングやホームホワイトニングの内容により異なり、組み合わせによって柔軟に選択できます。支払いにはクレジットカードや電子マネーも利用可能です。
施術は、治療室で行うオフィスホワイトニングと、ご自宅で取り組むホームホワイトニングを組み合わせて進める方法を採用しています。まず検査を行い、歯石や汚れを除去したうえで、色調の確認や口腔内写真の撮影を実施します。ホームホワイトニング用のトレーを作製し、院内での施術と並行してご自宅でもケアを行うことで、透明感のある自然な仕上がりを目指します。症例に応じて審美歯科の他の治療方法についても提案しています。
ホワイトニング後は、食生活などの影響により時間の経過とともに色戻りが起こる場合があります。そのため、効果を維持するためには定期的なメンテナンスが重要です。必要に応じて追加のホワイトニングジェルを使用しながら、長期的な白さの維持を図ります。費用はオフィスホワイトニングやホームホワイトニングの内容により異なり、組み合わせによって柔軟に選択できます。支払いにはクレジットカードや電子マネーも利用可能です。
自由診療のリスク・副作用、その他
自由診療について
患者様のさまざまなニーズに応えるために自由診療を提供しております。しかし、自由診療には健康保険適用外の治療が含まれるため、以下の点にご注意ください。
【リスクについて】
自由診療には、保険適用治療に比べて高度かつ専門的な治療が含まれる場合があります。これらの治療はより高い技術を要求されるため、一般的な治療よりもリスクが高まる可能性があります。
【副作用について】
すべての医療行為には副作用のリスクが伴います。自由診療の場合、使用する材料や治療方法が特殊な場合があるため、通常の治療とは異なる副作用が発生する可能性があります。
【費用について】
自由診療は健康保険の適用外であるため、保険診療と比較して高額になることがあります。治療前には必ず費用の詳細について説明を行い、ご同意をいただいてから治療を開始します。
【治療の選択について】
患者様の健康状態や希望に合わせて、最適な治療計画を提案します。自由診療は選択肢の一つであり、必ずしもすべての患者様に適しているわけではありません。
【その他の注意事項】
治療後のフォローアップやメンテナンスについても、自由診療の範囲内で行うことがあります。これには追加の費用が発生する場合があります。
患者様一人ひとりに合った治療を心がけております。自由診療を含むすべての治療オプションについて、十分な説明とともに、患者様のご理解とご同意を得ることを重視しています。ご不明な点やご心配なことがございましたら、遠慮なくご相談ください。
患者様のさまざまなニーズに応えるために自由診療を提供しております。しかし、自由診療には健康保険適用外の治療が含まれるため、以下の点にご注意ください。
【リスクについて】
自由診療には、保険適用治療に比べて高度かつ専門的な治療が含まれる場合があります。これらの治療はより高い技術を要求されるため、一般的な治療よりもリスクが高まる可能性があります。
【副作用について】
すべての医療行為には副作用のリスクが伴います。自由診療の場合、使用する材料や治療方法が特殊な場合があるため、通常の治療とは異なる副作用が発生する可能性があります。
【費用について】
自由診療は健康保険の適用外であるため、保険診療と比較して高額になることがあります。治療前には必ず費用の詳細について説明を行い、ご同意をいただいてから治療を開始します。
【治療の選択について】
患者様の健康状態や希望に合わせて、最適な治療計画を提案します。自由診療は選択肢の一つであり、必ずしもすべての患者様に適しているわけではありません。
【その他の注意事項】
治療後のフォローアップやメンテナンスについても、自由診療の範囲内で行うことがあります。これには追加の費用が発生する場合があります。
患者様一人ひとりに合った治療を心がけております。自由診療を含むすべての治療オプションについて、十分な説明とともに、患者様のご理解とご同意を得ることを重視しています。ご不明な点やご心配なことがございましたら、遠慮なくご相談ください。
この医院の口コミはまだありません
受付時間
| 診療時間 | 日 | 月 | 火 | 水 | 木 | 金 | 土 |
|---|---|---|---|---|---|---|---|
| 09:00 ~ 12:00 | |||||||
| 14:00 ~ 18:30 | |||||||
| 14:00 ~ 18:00 |
休診日:水曜・日曜・祝日
アクセスマップ
基本情報
| 医院名 | ひでき歯科医院 |
| 所在地 | 〒790-0952 愛媛県 松山市 朝生田町2-9-33 |
| 最寄駅 | いよ立花駅 徒歩7分 |
| 診療内容 | 歯冠修復、欠損補綴 / 根管治療 / 歯周病治療 / 予防治療 / 小児歯科 / 矯正歯科 / 口腔外科治療 / 有床義歯 / インプラント治療 / 咬み合わせ治療 / 顎関節症治療 / 訪問診療 |
| 医院ID | 61453 |