【JR各線高田馬場駅より徒歩2分】確かな技術と治療実績を誇る、さとう矯正歯科
さとう矯正歯科は、高田馬場駅より徒歩2分の位置にあり、口唇口蓋裂の治療や外科矯正も行う矯正歯科です。
さとう矯正歯科は矯正歯科に特化した専門医院です。経験豊富な矯正歯科医師をはじめ、女性歯科医師、歯科衛生士、歯科技工士がチームを組んで診療にあたります。患者様に安心して治療を受けていただけるよう、常に安全かつ確実な診療を心がけています。
納得のいくカウンセリング
矯正治療は、お口の健康を生涯にわたって維持するために非常に重要です。さとう矯正歯科では簡単な診査や問診ではなく、豊富な臨床経験と正確な診断を重視しています。その一環として、治療予測模型を作製し、患者様に分かりやすく説明しています。この模型診断は時間がかかる作業ですが、正確な治療計画のために欠かせない重要なプロセスです。
専用デジタルレントゲン完備
さとう矯正歯科では環境に配慮したデジタルレントゲンを導入し、精度の高い診断を可能にしています。さらに、歯科用CT装置が必要な場合には、大学病院レベルのCT専門施設と提携し、正確なデータに基づく診断を行っています。
プライバシーに配慮した診察環境
診療では、患者様のプライバシーを重視した個室感覚の診察室を使用しています。長時間の治療でも安心して過ごしていただける環境を整備しています。また、院内感染対策にも万全を期し、完全滅菌やディスポーザブル機材を使用することで、25年間感染ゼロを達成しています。
最適な力を用いた歯の移動
矯正治療では、適切な力(オプティマムフォース)を歯に加えることで、歯槽骨内で歯を少しずつ移動させます。強すぎず弱すぎない最適な力を利用することで、痛みを最小限に抑え、効果的な治療を行います。この専門的な技術は、大学病院での教育や研究によって培われた知識に基づいています。
豊富な症例実績
約2年間に及ぶ治療とその経過観察を含め、すべての患者様のデータを大切に保管し、振り返りながら治療を改善しています。これまでの実績をもとに学会発表を行い、新しい知識や技術を日々の診療に反映させることで、全ての患者様に満足いただける治療を提供しています。
さとう矯正歯科は矯正歯科に特化した専門医院です。経験豊富な矯正歯科医師をはじめ、女性歯科医師、歯科衛生士、歯科技工士がチームを組んで診療にあたります。患者様に安心して治療を受けていただけるよう、常に安全かつ確実な診療を心がけています。
納得のいくカウンセリング
矯正治療は、お口の健康を生涯にわたって維持するために非常に重要です。さとう矯正歯科では簡単な診査や問診ではなく、豊富な臨床経験と正確な診断を重視しています。その一環として、治療予測模型を作製し、患者様に分かりやすく説明しています。この模型診断は時間がかかる作業ですが、正確な治療計画のために欠かせない重要なプロセスです。
専用デジタルレントゲン完備
さとう矯正歯科では環境に配慮したデジタルレントゲンを導入し、精度の高い診断を可能にしています。さらに、歯科用CT装置が必要な場合には、大学病院レベルのCT専門施設と提携し、正確なデータに基づく診断を行っています。
プライバシーに配慮した診察環境
診療では、患者様のプライバシーを重視した個室感覚の診察室を使用しています。長時間の治療でも安心して過ごしていただける環境を整備しています。また、院内感染対策にも万全を期し、完全滅菌やディスポーザブル機材を使用することで、25年間感染ゼロを達成しています。
最適な力を用いた歯の移動
矯正治療では、適切な力(オプティマムフォース)を歯に加えることで、歯槽骨内で歯を少しずつ移動させます。強すぎず弱すぎない最適な力を利用することで、痛みを最小限に抑え、効果的な治療を行います。この専門的な技術は、大学病院での教育や研究によって培われた知識に基づいています。
豊富な症例実績
約2年間に及ぶ治療とその経過観察を含め、すべての患者様のデータを大切に保管し、振り返りながら治療を改善しています。これまでの実績をもとに学会発表を行い、新しい知識や技術を日々の診療に反映させることで、全ての患者様に満足いただける治療を提供しています。
矯正歯科のこだわりポイント
患者様に適した矯正治療をご提案します
さとう矯正歯科では、患者様一人ひとりに合わせてオリジナルの矯正装置を製作しています。矯正装置というと金属の目立つ装置を思い浮かべる方が多いかもしれませんが、現在では歯の色に近い乳白色の装置が主流です。ご希望に応じて白いワイヤーを使用することも可能です。
矯正装置は大きく分けて「取り外し式」と「固定式」の2種類があります。取り外し式の装置には、口腔内のみで使用するものや、顔や頭に装着するタイプがあります。また、夜間のみの使用で良い場合と、日中もできる限り使用する必要がある場合があります。
固定式装置には金属製やセラミック製の目立ちにくい装置があります。また、歯の裏側に装着する「見えない矯正装置」も選択可能です。裏側矯正は見た目に配慮できるメリットがありますが、慣れるまで多少の時間がかかることがあります。
最新の矯正技術
近年では、装置の摩擦を極力減らし、治療効率を高めた「Speed」「デーモン」「クリッピーブラケット」などの先進的な装置が登場しています。これらの装置を用いることで、治療をよりスムーズかつスピーディに進めることが可能です。
リスクと副作用
矯正治療の初期段階では、装置による痛みや不快感を感じることがありますが、多くの場合、時間とともに慣れていきます。また、矯正治療中は毎食後のブラッシングがとても重要です。清潔な口腔環境を保つため、必ず丁寧なブラッシングを心がけてください。
歯の動きには個人差があるため、治療期間はあくまで目安です。特に成人の場合は治療が長期化する可能性があり、歯肉や歯根に影響が出る場合があります。これらについては治療前に医師と十分に相談してください。
また、治療途中で転居などにより別の医院での治療が必要になった場合には、必要な資料をお渡ししますので、お気軽にご相談ください。治療費についても丁寧に対応いたします。
矯正治療は装置を外した時点で終了ではありません。治療後は、歯並びを維持するための「保定装置」を用いた管理が欠かせません。保定についても担当医師とよく相談し、適切に進めていきましょう。
矯正装置は大きく分けて「取り外し式」と「固定式」の2種類があります。取り外し式の装置には、口腔内のみで使用するものや、顔や頭に装着するタイプがあります。また、夜間のみの使用で良い場合と、日中もできる限り使用する必要がある場合があります。
固定式装置には金属製やセラミック製の目立ちにくい装置があります。また、歯の裏側に装着する「見えない矯正装置」も選択可能です。裏側矯正は見た目に配慮できるメリットがありますが、慣れるまで多少の時間がかかることがあります。
最新の矯正技術
近年では、装置の摩擦を極力減らし、治療効率を高めた「Speed」「デーモン」「クリッピーブラケット」などの先進的な装置が登場しています。これらの装置を用いることで、治療をよりスムーズかつスピーディに進めることが可能です。
リスクと副作用
矯正治療の初期段階では、装置による痛みや不快感を感じることがありますが、多くの場合、時間とともに慣れていきます。また、矯正治療中は毎食後のブラッシングがとても重要です。清潔な口腔環境を保つため、必ず丁寧なブラッシングを心がけてください。
歯の動きには個人差があるため、治療期間はあくまで目安です。特に成人の場合は治療が長期化する可能性があり、歯肉や歯根に影響が出る場合があります。これらについては治療前に医師と十分に相談してください。
また、治療途中で転居などにより別の医院での治療が必要になった場合には、必要な資料をお渡ししますので、お気軽にご相談ください。治療費についても丁寧に対応いたします。
矯正治療は装置を外した時点で終了ではありません。治療後は、歯並びを維持するための「保定装置」を用いた管理が欠かせません。保定についても担当医師とよく相談し、適切に進めていきましょう。
医院としての理念・方針
丁寧なカウンセリングにより、患者様のご希望に沿ったゴールを目指します
さとう矯正歯科は、舌側矯正を中心とした矯正歯科専門医院です。矯正歯科に特化した男性および女性歯科医師が、患者様一人ひとりのニーズに応じた診療を丁寧に行います。歯の大切さをお伝えするとともに、各種矯正治療法について分かりやすくご説明し、患者様の不安や疑問をしっかり解消することを目指しています。
さとう矯正歯科では、舌側矯正やセルフライゲーション矯正(Speed、デーモン、クリッピー)などの最新技術を駆使した治療を行っています。また、アンカースクリューを用いた治療や外科矯正にも対応しており、複雑なケースにも幅広く対応可能です。矯正治療は長期間にわたるプロセスですが、患者様が快適に治療を受けられるよう、安心・安全な診療環境を提供しています。
さとう矯正歯科では、舌側矯正やセルフライゲーション矯正(Speed、デーモン、クリッピー)などの最新技術を駆使した治療を行っています。また、アンカースクリューを用いた治療や外科矯正にも対応しており、複雑なケースにも幅広く対応可能です。矯正治療は長期間にわたるプロセスですが、患者様が快適に治療を受けられるよう、安心・安全な診療環境を提供しています。
院長について
▽略歴
1988年、新宿区高田馬場にて矯正歯科専門開業
1988年、新宿区高田馬場にて矯正歯科専門開業
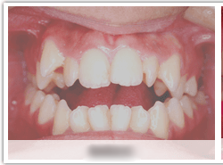
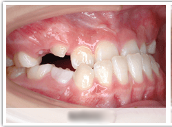
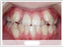
矯正治療例:叢生の治療
突出感といった不自然さを口元に残しません
叢生とは、歯が正しい位置に並びきれずに重なり合ったり、歪んで生えてしまう状態を指します。原因として、顎の大きさと歯の大きさの不均衡や、永久歯の生えるタイミングの不調和などが挙げられます。叢生は見た目だけでなく、歯磨きが難しくなり虫歯や歯周病のリスクが高まるほか、かみ合わせの問題や顎関節への負担が増えることもあります。
治療は、患者様の年齢や症状の程度に応じて異なります。顎が成長中の小児期には、顎の発育をコントロールする装置を使用することがあります。一方、成人の治療では、歯の抜歯を伴う場合もあります。抜歯によりスペースを確保し、歯を正しい位置に整えることが可能です。治療にはブラケット矯正やインビザライン(透明なマウスピース矯正)が用いられ、場合によっては舌側矯正(歯の裏側に装置を装着)も選択できます。治療後は保定装置を使用して、きれいな歯並びを維持します。
治療は、患者様の年齢や症状の程度に応じて異なります。顎が成長中の小児期には、顎の発育をコントロールする装置を使用することがあります。一方、成人の治療では、歯の抜歯を伴う場合もあります。抜歯によりスペースを確保し、歯を正しい位置に整えることが可能です。治療にはブラケット矯正やインビザライン(透明なマウスピース矯正)が用いられ、場合によっては舌側矯正(歯の裏側に装置を装着)も選択できます。治療後は保定装置を使用して、きれいな歯並びを維持します。
矯正治療例:前突の治療
親知らずのある方も場合によっては抜歯をせずに済みます
前突とは、上の前歯が過度に前に出ている状態を指します。原因は主に、遺伝的な要因や、幼少期の指しゃぶり、舌癖(舌の押し出し癖)などの習慣が挙げられます。前突があると、口が閉じにくくなる、唇が乾燥しやすい、前歯が折れやすいといった問題が生じます。また、見た目にコンプレックスを感じる方も多いです。
治療は、成長期であれば顎の成長をコントロールする装置(ヘッドギアなど)を使い、歯の位置を整えます。成人の場合、抜歯を伴う矯正が一般的です。抜歯でスペースを作り、ブラケット矯正やインビザラインを用いて前歯を後退させます。場合によっては、顎の骨の形状に合わせた外科的矯正治療が必要になることもあります。治療後は保定装置で安定させることが重要です。
治療は、成長期であれば顎の成長をコントロールする装置(ヘッドギアなど)を使い、歯の位置を整えます。成人の場合、抜歯を伴う矯正が一般的です。抜歯でスペースを作り、ブラケット矯正やインビザラインを用いて前歯を後退させます。場合によっては、顎の骨の形状に合わせた外科的矯正治療が必要になることもあります。治療後は保定装置で安定させることが重要です。
矯正治療例:反対咬合の治療
受け口の顔つきを残さないよう尽力します
反対咬合とは、上の歯が下の歯よりも内側に位置し、いわゆる「受け口」の状態を指します。この問題は、遺伝的要因、顎の成長バランスの乱れ、不適切な舌の使い方などが原因で起こります。反対咬合は見た目だけでなく、咀嚼機能や発音に影響を及ぼすほか、顎関節症の原因になることもあります。
治療方法は、患者の年齢や症状により異なります。成長期の子供には、顎の成長を調整する装置(フェイシャルマスクなど)を使うことで改善を図ります。成人の場合、矯正治療に加え、顎の骨を整える外科的治療(外科矯正)が必要になることがあります。治療にはブラケットやインビザラインなどの装置が使われ、保定装置を用いて治療後の歯並びを維持します。
治療方法は、患者の年齢や症状により異なります。成長期の子供には、顎の成長を調整する装置(フェイシャルマスクなど)を使うことで改善を図ります。成人の場合、矯正治療に加え、顎の骨を整える外科的治療(外科矯正)が必要になることがあります。治療にはブラケットやインビザラインなどの装置が使われ、保定装置を用いて治療後の歯並びを維持します。
矯正治療例:開咬の治療
発音や食事の際の咀嚼に影響を及ぼします
開咬とは、上下の歯を噛み合わせた際に、前歯または奥歯の一部が接触せず隙間ができる状態を指します。主な原因は、指しゃぶりや舌の癖、口呼吸などの習慣です。開咬は食べ物をうまく噛み切れない、発音が不明瞭になる、顎関節への負担が増すといった問題を引き起こします。
治療は、原因となる習慣を改善することから始まります。成長期の患者では、顎の発育をサポートする装置を使用します。成人では、歯の移動を伴う矯正治療が主な選択肢です。ブラケットやインビザラインを用いて、隙間を埋めるように歯を整えます。開咬が骨格的な問題に起因している場合、外科矯正が必要になる場合もあります。治療終了後は、再発を防ぐために保定装置を使い、歯並びの安定を図ります。
治療は、原因となる習慣を改善することから始まります。成長期の患者では、顎の発育をサポートする装置を使用します。成人では、歯の移動を伴う矯正治療が主な選択肢です。ブラケットやインビザラインを用いて、隙間を埋めるように歯を整えます。開咬が骨格的な問題に起因している場合、外科矯正が必要になる場合もあります。治療終了後は、再発を防ぐために保定装置を使い、歯並びの安定を図ります。
自由診療のリスク・副作用、その他
自由診療について
患者様のさまざまなニーズに応えるために自由診療を提供しております。しかし、自由診療には健康保険適用外の治療が含まれるため、以下の点にご注意ください。
【リスクについて】
自由診療には、保険適用治療に比べて高度かつ専門的な治療が含まれる場合があります。これらの治療はより高い技術を要求されるため、一般的な治療よりもリスクが高まる可能性があります。
【副作用について】
すべての医療行為には副作用のリスクが伴います。自由診療の場合、使用する材料や治療方法が特殊な場合があるため、通常の治療とは異なる副作用が発生する可能性があります。
【費用について】
自由診療は健康保険の適用外であるため、保険診療と比較して高額になることがあります。治療前には必ず費用の詳細について説明を行い、ご同意をいただいてから治療を開始します。
【治療の選択について】
患者様の健康状態や希望に合わせて、最適な治療計画を提案します。自由診療は選択肢の一つであり、必ずしもすべての患者様に適しているわけではありません。
【その他の注意事項】
治療後のフォローアップやメンテナンスについても、自由診療の範囲内で行うことがあります。これには追加の費用が発生する場合があります。
患者様一人ひとりに合った治療を心がけております。自由診療を含むすべての治療オプションについて、十分な説明とともに、患者様のご理解とご同意を得ることを重視しています。ご不明な点やご心配なことがございましたら、遠慮なくご相談ください。
患者様のさまざまなニーズに応えるために自由診療を提供しております。しかし、自由診療には健康保険適用外の治療が含まれるため、以下の点にご注意ください。
【リスクについて】
自由診療には、保険適用治療に比べて高度かつ専門的な治療が含まれる場合があります。これらの治療はより高い技術を要求されるため、一般的な治療よりもリスクが高まる可能性があります。
【副作用について】
すべての医療行為には副作用のリスクが伴います。自由診療の場合、使用する材料や治療方法が特殊な場合があるため、通常の治療とは異なる副作用が発生する可能性があります。
【費用について】
自由診療は健康保険の適用外であるため、保険診療と比較して高額になることがあります。治療前には必ず費用の詳細について説明を行い、ご同意をいただいてから治療を開始します。
【治療の選択について】
患者様の健康状態や希望に合わせて、最適な治療計画を提案します。自由診療は選択肢の一つであり、必ずしもすべての患者様に適しているわけではありません。
【その他の注意事項】
治療後のフォローアップやメンテナンスについても、自由診療の範囲内で行うことがあります。これには追加の費用が発生する場合があります。
患者様一人ひとりに合った治療を心がけております。自由診療を含むすべての治療オプションについて、十分な説明とともに、患者様のご理解とご同意を得ることを重視しています。ご不明な点やご心配なことがございましたら、遠慮なくご相談ください。
この医院の口コミはまだありません
受付時間
| 診療時間 | 日 | 月 | 火 | 水 | 木 | 金 | 土 |
|---|---|---|---|---|---|---|---|
| 10:00 ~ 13:00 | |||||||
| 14:30 ~ 18:30 | |||||||
| 10:00 ~ 19:30 | |||||||
| 10:00 ~ 17:30 |
休診日:木曜・日曜・祝日 第一日曜日は診療
アクセスマップ
基本情報
| 医院名 | さとう矯正歯科 |
| 所在地 | 〒169-0075 東京都 新宿区 高田馬場3-3-1 ユニオン駅前ビル4F |
| 最寄駅 | 高田馬場駅 1番出口 徒歩2分 |
| 診療内容 | 矯正歯科 |
| 医院ID | 4886 |