【JR新南陽駅徒歩10分】半世紀以上にわたり地域の口腔健康を支えてきた佐波歯科医院
佐波歯科医院は、山口県周南市清水に位置する歯科医院です。1969年の開設以来、地域に根ざした歯科医療を大切にしながら、長年にわたり多くの患者様のお口の健康について相談を受けてきました。JR新南陽駅北口から徒歩約10分の場所にあり、公共交通機関でも通院しやすい立地となっています。
診療では一般歯科を基盤としながら、矯正歯科やインプラント治療にも対応しています。むし歯や歯周病などの日常的なお口のトラブルへの対応だけでなく、歯並びや咬み合わせの改善、歯を失った場合の機能回復など、それぞれの患者様の状態に合わせた歯科治療について相談することができます。
院内では歯科医師2名を中心に、歯科衛生士、歯科技工士、歯科助手、受付スタッフが連携した診療体制が整えられています。チーム医療の体制のもと、患者様が安心して通院しやすい環境づくりにも配慮されています。また、予約の取りやすさや診療の円滑な進行についても工夫されており、継続的な通院を支える体制が整っています。
さらに、院内の清掃や医療器具の消毒・管理など衛生面にも配慮された診療環境が維持されています。長年培われてきた臨床経験と医療技術を背景に、地域の患者様に寄り添った歯科医療について相談できる歯科医院です。
診療では一般歯科を基盤としながら、矯正歯科やインプラント治療にも対応しています。むし歯や歯周病などの日常的なお口のトラブルへの対応だけでなく、歯並びや咬み合わせの改善、歯を失った場合の機能回復など、それぞれの患者様の状態に合わせた歯科治療について相談することができます。
院内では歯科医師2名を中心に、歯科衛生士、歯科技工士、歯科助手、受付スタッフが連携した診療体制が整えられています。チーム医療の体制のもと、患者様が安心して通院しやすい環境づくりにも配慮されています。また、予約の取りやすさや診療の円滑な進行についても工夫されており、継続的な通院を支える体制が整っています。
さらに、院内の清掃や医療器具の消毒・管理など衛生面にも配慮された診療環境が維持されています。長年培われてきた臨床経験と医療技術を背景に、地域の患者様に寄り添った歯科医療について相談できる歯科医院です。
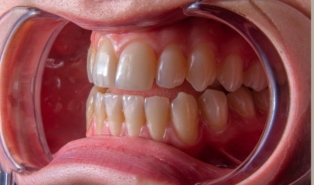
矯正歯科のこだわりポイント
TIP-EDGEテクニックを採用しています。
佐波歯科医院では、歯並びや咬み合わせの改善を目的とした矯正歯科治療を行っています。矯正方法にはさまざまな種類がありますが、佐波歯科医院ではP.C.Kesling博士(U.S.A.)が開発したTIP-EDGEテクニックを採用しています。歯に過度な負担をかけず、弱い力で歯を正しい位置へと動かす矯正方法である点が特徴です。
この方法は歯への負担を抑えながら効率的に歯を移動させることができ、従来の矯正治療と比較して治療期間の短縮が期待できる場合があります。さらに2003年には改良が加えられ、仕上げの段階で使用されていたSIDE WINDER SPRINGが不要となり、よりシンプルでスマートな矯正技術へと発展しました。
矯正治療では、歯並びの改善だけでなく、しっかり噛める咬み合わせの獲得や横顔の印象であるプロフィールの改善も目標としています。歯や歯列、顎のバランスを整えながら理想的な咬合状態を目指し、お口の健康を長く保つための矯正治療を行っています。
この方法は歯への負担を抑えながら効率的に歯を移動させることができ、従来の矯正治療と比較して治療期間の短縮が期待できる場合があります。さらに2003年には改良が加えられ、仕上げの段階で使用されていたSIDE WINDER SPRINGが不要となり、よりシンプルでスマートな矯正技術へと発展しました。
矯正治療では、歯並びの改善だけでなく、しっかり噛める咬み合わせの獲得や横顔の印象であるプロフィールの改善も目標としています。歯や歯列、顎のバランスを整えながら理想的な咬合状態を目指し、お口の健康を長く保つための矯正治療を行っています。
医院としての理念・方針
地域の患者様のお口の健康を長く支えていくことを大切な理念としています。
佐波歯科医院では、地域の患者様のお口の健康を長く支えていくことを大切な理念としています。歯科医療は常に進歩し続ける分野であり、新しい技術や知識を取り入れながら、より良い治療を追求し続ける姿勢を大切にしています。
診療を通して多くの患者様と出会い、その笑顔に触れることは歯科医療に携わる大きな喜びの一つです。歯科医療は単に治療を行うだけではなく、患者様が安心して通い続けられる環境を整え、お口の健康を長く守っていくことが重要と考えています。そのため、一人ひとりのお悩みやご希望に耳を傾けながら、丁寧な診療を心がけています。
また、歯科医療は歯科医師だけで成り立つものではありません。歯科衛生士や歯科技工士、歯科助手、受付スタッフなど、多くのスタッフが協力し合うことで、より良い診療環境が生まれます。佐波歯科医院では、チームとして患者様を支える体制を大切にしながら、地域の皆様に信頼される歯科医療の提供を目指しています。
これからも患者様とのつながりを大切にしながら、地域に寄り添う歯科医療を継続し、お口の健康を守るパートナーとして役割を果たしていきます。
診療を通して多くの患者様と出会い、その笑顔に触れることは歯科医療に携わる大きな喜びの一つです。歯科医療は単に治療を行うだけではなく、患者様が安心して通い続けられる環境を整え、お口の健康を長く守っていくことが重要と考えています。そのため、一人ひとりのお悩みやご希望に耳を傾けながら、丁寧な診療を心がけています。
また、歯科医療は歯科医師だけで成り立つものではありません。歯科衛生士や歯科技工士、歯科助手、受付スタッフなど、多くのスタッフが協力し合うことで、より良い診療環境が生まれます。佐波歯科医院では、チームとして患者様を支える体制を大切にしながら、地域の皆様に信頼される歯科医療の提供を目指しています。
これからも患者様とのつながりを大切にしながら、地域に寄り添う歯科医療を継続し、お口の健康を守るパートナーとして役割を果たしていきます。
院長について
▽略歴
1969年 大阪歯科大学 卒業
1969年 山口県周南市にて佐波歯科医院 開業
2008年 院長を佐波義明氏に譲り、医療法人杏林会 理事長・顧問に就任
1969年 大阪歯科大学 卒業
1969年 山口県周南市にて佐波歯科医院 開業
2008年 院長を佐波義明氏に譲り、医療法人杏林会 理事長・顧問に就任
天然歯に近い咀嚼機能の回復を目指すインプラント治療
患者様の口腔内状態に応じた治療計画を立案しています。
佐波歯科医院では、歯を失った部分の機能回復を目的としたインプラント治療に対応しています。インプラントとは、顎の骨に人工歯根となる金属(チタン)を埋め込み、その上に人工の歯を装着することで、天然歯に近い見た目と機能を回復する治療方法です。食事をしっかり噛むことや自然に会話をすることなど、日常生活の機能を取り戻すことを目的とした歯科治療として広く行われています。
人工歯根には、生体との親和性が高いチタンという金属を使用します。チタンは顎の骨と結合しやすい特性を持っており、一定期間を経て骨と安定して結びつくことが研究によって確認されています。そのため、しっかりと固定された人工歯として機能し、安定した咬み心地を得られる可能性があります。
また、歯を1本失った場合でも、インプラント治療では両隣の健康な歯を削る必要がありません。周囲の歯への負担を抑えながら歯を補うことができる点も特徴の一つです。さらに、歯を失った本数に応じて治療を行うことが可能で、1本の欠損から複数本の欠損まで対応できる場合があります。
入れ歯のように装置が動いたり外れたりする違和感が少なく、自然な噛み心地を目指せることもインプラント治療の利点です。見た目の自然さにも配慮しながら、患者様の生活の質の向上につながる歯科治療として提供しています。
人工歯根には、生体との親和性が高いチタンという金属を使用します。チタンは顎の骨と結合しやすい特性を持っており、一定期間を経て骨と安定して結びつくことが研究によって確認されています。そのため、しっかりと固定された人工歯として機能し、安定した咬み心地を得られる可能性があります。
また、歯を1本失った場合でも、インプラント治療では両隣の健康な歯を削る必要がありません。周囲の歯への負担を抑えながら歯を補うことができる点も特徴の一つです。さらに、歯を失った本数に応じて治療を行うことが可能で、1本の欠損から複数本の欠損まで対応できる場合があります。
入れ歯のように装置が動いたり外れたりする違和感が少なく、自然な噛み心地を目指せることもインプラント治療の利点です。見た目の自然さにも配慮しながら、患者様の生活の質の向上につながる歯科治療として提供しています。
進行度や患者様のお口の状態に合わせたむし歯治療
患者様一人ひとりのお口の状態に合わせたケアを行いながら、むし歯の予防と健康な歯の維持をサポートしています。
佐波歯科医院では、むし歯の進行度や患者様のお口の状態に合わせたむし歯治療を行っています。むし歯は、口腔内に存在する細菌が糖分を分解することで酸をつくり、その酸によって歯が溶けてしまう病気です。初期の段階では自覚症状が少ないことも多いため、早期発見と早期治療が大切になります。
むし歯が小さい段階であれば、必要最小限の処置で歯を残せる可能性があります。しかし、進行すると歯の内部まで感染が広がり、神経の治療が必要になる場合もあります。佐波歯科医院では、歯の状態を丁寧に確認しながら、できる限り歯への負担を抑えた治療を心がけています。
また、むし歯は治療を行うだけでなく、再発を防ぐことも重要です。日々の歯みがきや生活習慣の見直し、定期的な検診などを通して、お口の健康を長く保てる環境づくりを大切にしています。患者様一人ひとりのお口の状態に合わせたケアを行いながら、むし歯の予防と健康な歯の維持をサポートしています。
むし歯が小さい段階であれば、必要最小限の処置で歯を残せる可能性があります。しかし、進行すると歯の内部まで感染が広がり、神経の治療が必要になる場合もあります。佐波歯科医院では、歯の状態を丁寧に確認しながら、できる限り歯への負担を抑えた治療を心がけています。
また、むし歯は治療を行うだけでなく、再発を防ぐことも重要です。日々の歯みがきや生活習慣の見直し、定期的な検診などを通して、お口の健康を長く保てる環境づくりを大切にしています。患者様一人ひとりのお口の状態に合わせたケアを行いながら、むし歯の予防と健康な歯の維持をサポートしています。
歯を支える歯ぐきや骨の健康を守る歯周病治療
お口の健康を長く維持できる環境づくりをサポートしています。※写真はイメージです。
佐波歯科医院では、歯を支える歯ぐきや骨の健康を守るため、歯周病治療に取り組んでいます。歯周病は、歯と歯ぐきの境目にたまったプラーク(細菌のかたまり)が原因となり、歯ぐきの炎症や出血を引き起こす病気です。進行すると歯を支えている骨が溶け、最終的には歯が抜けてしまう可能性もあります。
初期の歯周病は自覚症状が少ないことが多く、気付かないまま進行する場合があります。そのため、歯ぐきの腫れや出血、口臭などの変化を早期に確認し、適切な治療を行うことが大切です。佐波歯科医院では、歯ぐきの状態を丁寧に確認しながら、歯石やプラークの除去を行い、歯周組織の改善を目指した治療を進めています。
また、歯周病の改善には日々のセルフケアも重要です。患者様のお口の状態に合わせてブラッシング方法のアドバイスを行い、歯科医院での専門的なクリーニングと併せて歯周病の再発予防につなげています。定期的な検診とメンテナンスを通して、お口の健康を長く維持できる環境づくりをサポートしています。
初期の歯周病は自覚症状が少ないことが多く、気付かないまま進行する場合があります。そのため、歯ぐきの腫れや出血、口臭などの変化を早期に確認し、適切な治療を行うことが大切です。佐波歯科医院では、歯ぐきの状態を丁寧に確認しながら、歯石やプラークの除去を行い、歯周組織の改善を目指した治療を進めています。
また、歯周病の改善には日々のセルフケアも重要です。患者様のお口の状態に合わせてブラッシング方法のアドバイスを行い、歯科医院での専門的なクリーニングと併せて歯周病の再発予防につなげています。定期的な検診とメンテナンスを通して、お口の健康を長く維持できる環境づくりをサポートしています。
むし歯や歯周病を未然に防ぐことを目的とした予防歯科
患者様が安心して予防に取り組める環境づくりを大切にしながら、健康なお口の状態を長く維持できるようサポートしています。※写真はイメージです。
佐波歯科医院では、むし歯や歯周病を未然に防ぐことを目的とした予防歯科にも力を入れています。歯科治療は、痛みや症状が出てから行うものだけではなく、病気を防ぎ健康な状態を維持することが大切です。定期的にお口の状態を確認し、トラブルが起こる前に適切なケアを行うことで、大切な歯を長く守ることにつながります。
予防歯科では、歯科医院で行う専門的なクリーニングによって、歯みがきでは取りきれない歯石やプラークを除去し、お口の中を清潔な状態に整えます。さらに、患者様一人ひとりの歯並びや磨き方の癖を確認しながら、適切なブラッシング方法やセルフケアのポイントについても丁寧にアドバイスしています。
むし歯や歯周病は生活習慣とも深く関係しているため、日々のセルフケアと歯科医院でのメンテナンスを継続することが重要です。定期的な検診を受けることで、お口の変化を早期に確認し、必要に応じて適切な処置を行うことができます。
佐波歯科医院では、患者様が安心して予防に取り組める環境づくりを大切にしながら、健康なお口の状態を長く維持できるようサポートしています。
予防歯科では、歯科医院で行う専門的なクリーニングによって、歯みがきでは取りきれない歯石やプラークを除去し、お口の中を清潔な状態に整えます。さらに、患者様一人ひとりの歯並びや磨き方の癖を確認しながら、適切なブラッシング方法やセルフケアのポイントについても丁寧にアドバイスしています。
むし歯や歯周病は生活習慣とも深く関係しているため、日々のセルフケアと歯科医院でのメンテナンスを継続することが重要です。定期的な検診を受けることで、お口の変化を早期に確認し、必要に応じて適切な処置を行うことができます。
佐波歯科医院では、患者様が安心して予防に取り組める環境づくりを大切にしながら、健康なお口の状態を長く維持できるようサポートしています。
自由診療のリスク・副作用、その他
自由診療について
患者様のさまざまなニーズに応えるために自由診療を提供しております。しかし、自由診療には健康保険適用外の治療が含まれるため、以
下の点にご注意ください。
【リスクについて】
自由診療には、保険適用治療に比べて高度かつ専門的な治療が含まれる場合があります。これらの治療はより高い技術を要求されるため、
一般的な治療よりもリスクが高まる可能性があります。
【副作用について】
すべての医療行為には副作用のリスクが伴います。自由診療の場合、使用する材料や治療方法が特殊な場合があるため、通常の治療と
は異なる副作用が発生する可能性があります。
【費用について】
自由診療は健康保険の適用外であるため、保険診療と比較して高額になることがあります。治療前には必ず費用の詳細について説明を行
い、ご同意をいただいてから治療を開始します。
【治療の選択について】
患者様の健康状態や希望に合わせて、最適な治療計画を提案します。自由診療は選択肢の一つであり、必ずしもすべての患者様に適して
いるわけではありません。
【その他の注意事項】
治療後のフォローアップやメンテナンスについても、自由診療の範囲内で行うことがあります。これには追加の費用が発生する場合がありま
す。
患者様一人ひとりに合った治療を心がけております。自由診療を含むすべての治療オプションについて、十分な説明とともに、患者様のご
理解とご同意を得ることを重視しています。ご不明な点やご心配なことがございましたら、遠慮なくご相談ください。
患者様のさまざまなニーズに応えるために自由診療を提供しております。しかし、自由診療には健康保険適用外の治療が含まれるため、以
下の点にご注意ください。
【リスクについて】
自由診療には、保険適用治療に比べて高度かつ専門的な治療が含まれる場合があります。これらの治療はより高い技術を要求されるため、
一般的な治療よりもリスクが高まる可能性があります。
【副作用について】
すべての医療行為には副作用のリスクが伴います。自由診療の場合、使用する材料や治療方法が特殊な場合があるため、通常の治療と
は異なる副作用が発生する可能性があります。
【費用について】
自由診療は健康保険の適用外であるため、保険診療と比較して高額になることがあります。治療前には必ず費用の詳細について説明を行
い、ご同意をいただいてから治療を開始します。
【治療の選択について】
患者様の健康状態や希望に合わせて、最適な治療計画を提案します。自由診療は選択肢の一つであり、必ずしもすべての患者様に適して
いるわけではありません。
【その他の注意事項】
治療後のフォローアップやメンテナンスについても、自由診療の範囲内で行うことがあります。これには追加の費用が発生する場合がありま
す。
患者様一人ひとりに合った治療を心がけております。自由診療を含むすべての治療オプションについて、十分な説明とともに、患者様のご
理解とご同意を得ることを重視しています。ご不明な点やご心配なことがございましたら、遠慮なくご相談ください。
この医院の口コミはまだありません
受付時間
| 診療時間 | 日 | 月 | 火 | 水 | 木 | 金 | 土 |
|---|---|---|---|---|---|---|---|
| 09:00 ~ 12:30 | |||||||
| 14:30 ~ 18:30 |
休診日:日曜・祝日
アクセスマップ
基本情報
| 医院名 | 佐波歯科医院 |
| 所在地 | 〒746-0015 山口県 周南市 清水2-3-4 |
| 最寄駅 | 新南陽駅 北口 徒歩10分 |
| 診療内容 | 歯冠修復、欠損補綴 / 根管治療 / 歯周病治療 / 予防治療 / 小児歯科 / 矯正歯科 / 口腔外科治療 / 有床義歯 / インプラント治療 / 咬み合わせ治療 |
| 医院ID | 60904 |