【東三条駅徒歩6分】精密な診断と噛み合わせを重視した補綴治療を行う歯科榎本医院
歯科榎本医院は、新潟県三条市にあり、東三条駅北口から徒歩6分の場所に位置する歯科医院です。月・火・水・金は9:00〜13:00、14:30〜18:00、木曜・土曜は午前診療のみとなっており、平日に通院しやすい診療体制が整えられています。
同院の大きな特徴は、日本補綴歯科学会の補綴専門医、日本顎咬合学会の咬み合わせ認定医が在籍している点です。被せ物や入れ歯といった補綴治療だけでなく、噛み合わせ全体を考慮した診療を重視し、食事や会話といった日常生活の機能回復につながる治療が行われています。
治療に入る前には、これまでの治療歴や現在のお悩み、患者様のご希望を丁寧に確認したうえで、口腔内の状態を総合的に把握しています。そのうえで、それぞれの状況に合わせた治療方法が検討されるため、無理のない治療計画を立てやすい環境です。一人ひとりに十分な時間を確保する診療体制により、通院回数を抑えながら効率的に治療を進めやすい点も特徴です。
診断面では歯科用CTを活用し、被ばくに配慮しながら口腔内を立体的に確認できる体制が整えられています。細部まで把握したうえで治療計画を立てることで、精度の高い診療につなげています。
また、院内には歯科技工士が常駐しており、義歯の調整やトラブルにも迅速に対応できる体制です。治療後も定期検診やクリーニングを通じて長期的な口腔健康の維持がサポートされており、幅広い年代が安心して相談しやすい歯科医院です。
同院の大きな特徴は、日本補綴歯科学会の補綴専門医、日本顎咬合学会の咬み合わせ認定医が在籍している点です。被せ物や入れ歯といった補綴治療だけでなく、噛み合わせ全体を考慮した診療を重視し、食事や会話といった日常生活の機能回復につながる治療が行われています。
治療に入る前には、これまでの治療歴や現在のお悩み、患者様のご希望を丁寧に確認したうえで、口腔内の状態を総合的に把握しています。そのうえで、それぞれの状況に合わせた治療方法が検討されるため、無理のない治療計画を立てやすい環境です。一人ひとりに十分な時間を確保する診療体制により、通院回数を抑えながら効率的に治療を進めやすい点も特徴です。
診断面では歯科用CTを活用し、被ばくに配慮しながら口腔内を立体的に確認できる体制が整えられています。細部まで把握したうえで治療計画を立てることで、精度の高い診療につなげています。
また、院内には歯科技工士が常駐しており、義歯の調整やトラブルにも迅速に対応できる体制です。治療後も定期検診やクリーニングを通じて長期的な口腔健康の維持がサポートされており、幅広い年代が安心して相談しやすい歯科医院です。
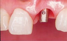
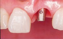
インプラント治療のこだわりポイント
失った歯の機能回復を目指す治療の中でも、インプラント治療に力を入れています
歯科榎本医院では、失った歯の機能回復を目指す治療の中でも、インプラント治療に力を入れています。
インプラントは、顎の骨に人工歯根を埋入し、その上に人工歯を装着する治療法で、天然歯に近い噛み心地や見た目を再現しやすい点が特徴です。
周囲の健康な歯を削る必要がないため、負担を最小限に抑えながら自然な咀嚼機能を取り戻すことができます。
インプラントは「フィクスチャー(人工歯根)」「アバットメント(連結部)」「クラウン(人工歯)」の3つで構成され、これらが一体となって安定性の高い咀嚼機能を発揮します。
顎の骨にしっかりと固定されるため、入れ歯のように外れやすい心配が少なく、違和感の少ない使用感が期待できます。
従来の入れ歯やブリッジと比較した場合、隣の歯を削る必要がないことや、見た目の自然さ、噛む力の強さが大きな利点として挙げられます。
治療前にはCT撮影などで骨の状態を確認し、無理のない計画を立てて進めていきます。
外科的処置が必要となるため、顎骨の状態によって治療が難しいケースがある点には丁寧に配慮しながら説明が行われます。
しっかり噛みたい方、入れ歯が合わず困っている方、自然な見た目を求める方にとって選択肢となる治療であり、トラブル時には院内技工士と連携して迅速に対応できる環境が整っている点も安心材料です。
インプラントは、顎の骨に人工歯根を埋入し、その上に人工歯を装着する治療法で、天然歯に近い噛み心地や見た目を再現しやすい点が特徴です。
周囲の健康な歯を削る必要がないため、負担を最小限に抑えながら自然な咀嚼機能を取り戻すことができます。
インプラントは「フィクスチャー(人工歯根)」「アバットメント(連結部)」「クラウン(人工歯)」の3つで構成され、これらが一体となって安定性の高い咀嚼機能を発揮します。
顎の骨にしっかりと固定されるため、入れ歯のように外れやすい心配が少なく、違和感の少ない使用感が期待できます。
従来の入れ歯やブリッジと比較した場合、隣の歯を削る必要がないことや、見た目の自然さ、噛む力の強さが大きな利点として挙げられます。
治療前にはCT撮影などで骨の状態を確認し、無理のない計画を立てて進めていきます。
外科的処置が必要となるため、顎骨の状態によって治療が難しいケースがある点には丁寧に配慮しながら説明が行われます。
しっかり噛みたい方、入れ歯が合わず困っている方、自然な見た目を求める方にとって選択肢となる治療であり、トラブル時には院内技工士と連携して迅速に対応できる環境が整っている点も安心材料です。
医院としての理念・方針
長く快適に過ごせる口腔環境づくりに取り組んでいます
歯科榎本医院では、地域に暮らす方々の健康寿命を支える医療を目指し、長く快適に過ごせる口腔環境づくりに取り組んでいます。
高齢化が進む中で、健康な食生活や明瞭な発音、自然な笑顔といった日常を支える機能は、お口の状態と密接に関わっています。
年代を問わず多くの患者様が通院しており、日々のメンテナンスや義歯の調整を通して、快適に過ごせる状態を保てるよう丁寧なサポートが行われています。
診療ではコミュニケーションを重視し、不安を感じやすい治療でもできるだけ負担を軽減できるよう配慮します。
丁寧な説明のもと納得したうえで進められるため、初めての方でも安心しやすい点が特徴です。
必要に応じて矯正治療やインプラント治療など多様な選択肢を提示し、長期的な視点で患者様の健康に寄り添う姿勢を大切にしています。
高齢化が進む中で、健康な食生活や明瞭な発音、自然な笑顔といった日常を支える機能は、お口の状態と密接に関わっています。
年代を問わず多くの患者様が通院しており、日々のメンテナンスや義歯の調整を通して、快適に過ごせる状態を保てるよう丁寧なサポートが行われています。
診療ではコミュニケーションを重視し、不安を感じやすい治療でもできるだけ負担を軽減できるよう配慮します。
丁寧な説明のもと納得したうえで進められるため、初めての方でも安心しやすい点が特徴です。
必要に応じて矯正治療やインプラント治療など多様な選択肢を提示し、長期的な視点で患者様の健康に寄り添う姿勢を大切にしています。
院長について
略歴
1967年 日本大学歯学部卒業
1967年 日本大学歯学部卒業
多様な選択肢から最適な入れ歯を提案
見た目と噛み心地の両方に配慮した義歯治療を提案しています
義歯は噛むための道具というだけでなく、口元の自然な見た目や顔貌との調和も重要とされています。
歯科榎本医院では、以前の治療で咬み合わせが不安定になった方や、過去に使用してきた入れ歯で満足できなかった方に対して、見た目と噛み心地の両方に配慮した義歯治療を提案しています。
保険適用の一般的な義歯だけでなく、金属のバネが目立たないノンクラスプ義歯、軽量で扱いやすい義歯、固定力を重視した二重冠方式の義歯など、多様な種類を用意している点も特徴です。
金属床義歯のように耐久性が高く、たわみが少ない義歯にも対応しているため、長期間安定して使用しやすい選択肢も揃っています。
また、印象採得の方法にこだわった義歯では、痛みが出やすかった患者様にも快適に利用しやすい仕様が採用されています。
入れ歯の種類や特徴を理解しやすいよう丁寧な説明が行われ、患者様の要望と生活スタイルを踏まえたうえで適した義歯を提案していることが特徴です。
咬み合わせや見た目の自然さを意識しながら調整を進めているため、日常生活の負担を和らげやすい治療が受けられます。
歯科榎本医院では、以前の治療で咬み合わせが不安定になった方や、過去に使用してきた入れ歯で満足できなかった方に対して、見た目と噛み心地の両方に配慮した義歯治療を提案しています。
保険適用の一般的な義歯だけでなく、金属のバネが目立たないノンクラスプ義歯、軽量で扱いやすい義歯、固定力を重視した二重冠方式の義歯など、多様な種類を用意している点も特徴です。
金属床義歯のように耐久性が高く、たわみが少ない義歯にも対応しているため、長期間安定して使用しやすい選択肢も揃っています。
また、印象採得の方法にこだわった義歯では、痛みが出やすかった患者様にも快適に利用しやすい仕様が採用されています。
入れ歯の種類や特徴を理解しやすいよう丁寧な説明が行われ、患者様の要望と生活スタイルを踏まえたうえで適した義歯を提案していることが特徴です。
咬み合わせや見た目の自然さを意識しながら調整を進めているため、日常生活の負担を和らげやすい治療が受けられます。
全身の不調に配慮した噛み合わせ改善
写真はイメージです
咬み合わせの不調は、顎関節の違和感や肩こり、偏頭痛、耳の付け根の痛みなど、全身の症状につながることがあります。
歯科榎本医院では、顎の状態を正確に把握するため、初診時にお口の型を採取し、レントゲンで関節の形態や動きを詳細に確認しています。
こうした診査を通じて、噛み合わせのズレや顎の負担を見極め、必要に応じて生活習慣の見直しや機能訓練を提案している点が特徴です。
状態によってはマウスピースを用いた治療にも対応しており、就寝時や日常生活での歯ぎしり・食いしばりによる負担を抑えやすくなります。
加えて、専門的な対応が必要な場合には大学病院を紹介できる体制も整えており、幅広い症状に向き合いやすい環境が確保されています。
咬み合わせの調整は見た目の改善にもつながるため、審美性と機能性の両立を目指した治療が行われている点もポイントです。
顎や筋肉への負担を軽減し、快適な口腔環境を保つためのサポートを重視しています。
歯科榎本医院では、顎の状態を正確に把握するため、初診時にお口の型を採取し、レントゲンで関節の形態や動きを詳細に確認しています。
こうした診査を通じて、噛み合わせのズレや顎の負担を見極め、必要に応じて生活習慣の見直しや機能訓練を提案している点が特徴です。
状態によってはマウスピースを用いた治療にも対応しており、就寝時や日常生活での歯ぎしり・食いしばりによる負担を抑えやすくなります。
加えて、専門的な対応が必要な場合には大学病院を紹介できる体制も整えており、幅広い症状に向き合いやすい環境が確保されています。
咬み合わせの調整は見た目の改善にもつながるため、審美性と機能性の両立を目指した治療が行われている点もポイントです。
顎や筋肉への負担を軽減し、快適な口腔環境を保つためのサポートを重視しています。
軽度から重度まで幅広く対応する歯ぐきケア
写真はイメージです
歯周病は歯を支える歯周組織に炎症が起こる病気で、歯垢や歯石が主な原因とされています。
自宅のブラッシングで落とせる汚れもありますが、硬くなった歯石は歯科医院での専門的な処置が必要です。
歯科榎本医院では、まず歯ぐきや歯の状態を丁寧に検査し、歯周ポケットの深さや炎症の程度を確認したのち、適切なスケーリングを行っています。
軽度から中等度の歯周病には、歯石除去やブラッシング指導を行い、セルフケアの改善も含めた治療を実施しています。
症状が進行している場合には、歯周外科手術や歯周組織再生療法など、より高度な治療にも対応している点が特徴です。
治療後は定期的なクリーニングを推奨し、健康な口腔状態を維持しやすいよう継続的にサポートされています。
喫煙や飲料による着色汚れにも注意が促されており、自宅では落としにくい汚れに対しても専門的なケアが受けられます。
長期的な健康維持を重視し、将来のトラブルを防ぎやすい環境づくりに取り組んでいる点も魅力です。
自宅のブラッシングで落とせる汚れもありますが、硬くなった歯石は歯科医院での専門的な処置が必要です。
歯科榎本医院では、まず歯ぐきや歯の状態を丁寧に検査し、歯周ポケットの深さや炎症の程度を確認したのち、適切なスケーリングを行っています。
軽度から中等度の歯周病には、歯石除去やブラッシング指導を行い、セルフケアの改善も含めた治療を実施しています。
症状が進行している場合には、歯周外科手術や歯周組織再生療法など、より高度な治療にも対応している点が特徴です。
治療後は定期的なクリーニングを推奨し、健康な口腔状態を維持しやすいよう継続的にサポートされています。
喫煙や飲料による着色汚れにも注意が促されており、自宅では落としにくい汚れに対しても専門的なケアが受けられます。
長期的な健康維持を重視し、将来のトラブルを防ぎやすい環境づくりに取り組んでいる点も魅力です。
見た目と機能を整える総合的な歯列矯正
写真はイメージです
歯並びの乱れや咬み合わせの問題は、見た目の印象だけでなく、噛む力の伝わり方や発音のしやすさなど日常の働きにも影響しやすいとされています。
歯科榎本医院の矯正相談では、まず丁寧なカウンセリングを通して、現在感じている不安や疑問、治療に関する希望をしっかりと受け止めています。
そのうえで、治療が必要となる理由や進め方、予測される期間、使用する装置の種類などについて、患者様が理解しやすいよう分かりやすく説明している点が特徴です。
相談には成長期のお子様だけでなく、大人の方も多く、年齢や生活環境に合わせた治療の選択肢を提示しやすい体制が整っています。
歯列不正の例として、デコボコした歯並び、前歯同士が噛み合わない状態、特定の歯だけが飛び出している位置異常、口元がうまく閉じづらいケースなどが挙げられており、こうした状態は虫歯や歯周病を引き起こす要因にもなるため、早期相談が勧められています。
診断時には、口腔内の形だけでなく顎の動きやバランスも合わせて確認し、見た目の整いと機能面の改善を両立できるよう治療計画を立てています。
また、矯正治療は健康保険が適用されない自由診療である点も丁寧に説明し、治療内容を十分に理解したうえで進行できるよう配慮されています。
こうした姿勢により、幅広い年齢層が安心して相談しやすい矯正体制が整えられています。
歯科榎本医院の矯正相談では、まず丁寧なカウンセリングを通して、現在感じている不安や疑問、治療に関する希望をしっかりと受け止めています。
そのうえで、治療が必要となる理由や進め方、予測される期間、使用する装置の種類などについて、患者様が理解しやすいよう分かりやすく説明している点が特徴です。
相談には成長期のお子様だけでなく、大人の方も多く、年齢や生活環境に合わせた治療の選択肢を提示しやすい体制が整っています。
歯列不正の例として、デコボコした歯並び、前歯同士が噛み合わない状態、特定の歯だけが飛び出している位置異常、口元がうまく閉じづらいケースなどが挙げられており、こうした状態は虫歯や歯周病を引き起こす要因にもなるため、早期相談が勧められています。
診断時には、口腔内の形だけでなく顎の動きやバランスも合わせて確認し、見た目の整いと機能面の改善を両立できるよう治療計画を立てています。
また、矯正治療は健康保険が適用されない自由診療である点も丁寧に説明し、治療内容を十分に理解したうえで進行できるよう配慮されています。
こうした姿勢により、幅広い年齢層が安心して相談しやすい矯正体制が整えられています。
自由診療のリスク・副作用、その他
自由診療について
患者様のさまざまなニーズに応えるために自由診療を提供しております。しかし、自由診療には健康保険適用外の治療が含まれるため、以下の点にご注意ください。
【リスクについて】
自由診療には、保険適用治療に比べて高度かつ専門的な治療が含まれる場合があります。これらの治療はより高い技術を要求されるため、一般的な治療よりもリスクが高まる可能性があります。
【副作用について】
すべての医療行為には副作用のリスクが伴います。自由診療の場合、使用する材料や治療方法が特殊な場合があるため、通常の治療とは異なる副作用が発生する可能性があります。
【費用について】
自由診療は健康保険の適用外であるため、保険診療と比較して高額になることがあります。治療前には必ず費用の詳細について説明を行い、ご同意をいただいてから治療を開始します。
【治療の選択について】
患者様の健康状態や希望に合わせて、最適な治療計画を提案します。自由診療は選択肢の一つであり、必ずしもすべての患者様に適しているわけではありません。
【その他の注意事項】
治療後のフォローアップやメンテナンスについても、自由診療の範囲内で行うことがあります。これには追加の費用が発生する場合があります。
患者様一人ひとりに合った治療を心がけております。自由診療を含むすべての治療オプションについて、十分な説明とともに、患者様のご理解とご同意を得ることを重視しています。ご不明な点やご心配なことがございましたら、遠慮なくご相談ください。
患者様のさまざまなニーズに応えるために自由診療を提供しております。しかし、自由診療には健康保険適用外の治療が含まれるため、以下の点にご注意ください。
【リスクについて】
自由診療には、保険適用治療に比べて高度かつ専門的な治療が含まれる場合があります。これらの治療はより高い技術を要求されるため、一般的な治療よりもリスクが高まる可能性があります。
【副作用について】
すべての医療行為には副作用のリスクが伴います。自由診療の場合、使用する材料や治療方法が特殊な場合があるため、通常の治療とは異なる副作用が発生する可能性があります。
【費用について】
自由診療は健康保険の適用外であるため、保険診療と比較して高額になることがあります。治療前には必ず費用の詳細について説明を行い、ご同意をいただいてから治療を開始します。
【治療の選択について】
患者様の健康状態や希望に合わせて、最適な治療計画を提案します。自由診療は選択肢の一つであり、必ずしもすべての患者様に適しているわけではありません。
【その他の注意事項】
治療後のフォローアップやメンテナンスについても、自由診療の範囲内で行うことがあります。これには追加の費用が発生する場合があります。
患者様一人ひとりに合った治療を心がけております。自由診療を含むすべての治療オプションについて、十分な説明とともに、患者様のご理解とご同意を得ることを重視しています。ご不明な点やご心配なことがございましたら、遠慮なくご相談ください。
この医院の口コミはまだありません
受付時間
| 診療時間 | 日 | 月 | 火 | 水 | 木 | 金 | 土 |
|---|---|---|---|---|---|---|---|
| 09:00 ~ 13:00 | |||||||
| 14:30 ~ 18:00 | |||||||
| 09:00 ~ 12:00 |
休診日: 木曜午後、土曜午後、日曜・祝日
アクセスマップ
基本情報
| 医院名 | 歯科榎本医院 |
| 所在地 | 〒955-0045 新潟県 三条市 一ノ門2-8-15 |
| 最寄駅 | 東三条駅 北口 徒歩6分 |
| 診療内容 | 歯冠修復、欠損補綴 / 歯周病治療 / 予防治療 / 矯正歯科 / 口腔外科治療 / 有床義歯 / インプラント治療 / 咬み合わせ治療 / 顎関節症治療 |
| 医院ID | 53464 |