【土曜診療・駐車場完備】歯を残す治療を大切にするクリーン歯科クリニックの専門性を生かした歯科医療
クリーン歯科クリニックは、三重県津市で日本歯科保存学会専門医(保存修復学専攻)として、天然歯を可能な限り残すことを重視した歯科医療を行っています。歯は一度削ったり失ったりすると元の状態に戻すことは難しくなるため、機能性と審美性の両面から歯を守る視点が重要とされています。虫歯治療や歯周病治療、顎関節症、口内炎といった一般的な歯科診療を基盤としながら、歯の状態を総合的に評価し、保存を意識した治療に取り組んでいます。
歯を良好な状態で長く保つためには、一般歯科治療だけでなく、審美歯科やホワイトニング、インプラント、マウスピース矯正、入れ歯、顎関節治療など、幅広い治療技術の知識と経験が欠かせません。クリーン歯科クリニックでは、それぞれの治療分野の特性を踏まえたうえで複数の治療方法を提示し、患者様と十分に話し合いながら治療方針を決定することを大切にしています。
保存歯科医はオールラウンダーと表現されることもあり、全体を見据えた判断がより良い治癒につながると考えています。セカンドオピニオンにも対応し、予約優先制の診療体制や急な症状への配慮、複数台分の駐車場を備えるなど、安心して相談できる環境を整えています。
歯を良好な状態で長く保つためには、一般歯科治療だけでなく、審美歯科やホワイトニング、インプラント、マウスピース矯正、入れ歯、顎関節治療など、幅広い治療技術の知識と経験が欠かせません。クリーン歯科クリニックでは、それぞれの治療分野の特性を踏まえたうえで複数の治療方法を提示し、患者様と十分に話し合いながら治療方針を決定することを大切にしています。
保存歯科医はオールラウンダーと表現されることもあり、全体を見据えた判断がより良い治癒につながると考えています。セカンドオピニオンにも対応し、予約優先制の診療体制や急な症状への配慮、複数台分の駐車場を備えるなど、安心して相談できる環境を整えています。
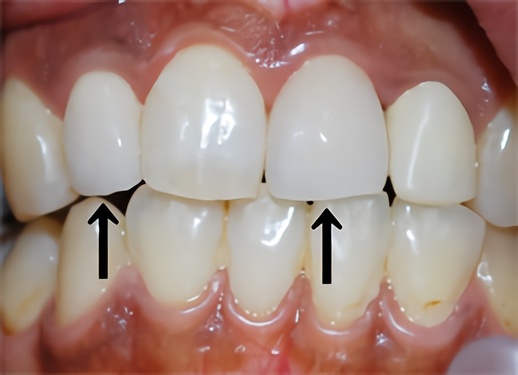
歯冠修復、欠損補綴のこだわりポイント
早期発見、早期治療が大切です
虫歯治療は、悪くなった部分を削って補うだけの処置ではなく、歯そのものや神経、周囲の骨をいかに守るかが将来のお口の健康に大きく関わります。歯は一度失ってしまうと元に戻すことができないため、可能な限り保存し、生涯自分の歯で生活できる状態を保つことが理想とされています。クリーン歯科クリニックでは、東京で保存歯科という専門分野において治療、研究、教育に携わってきた経験を生かし、歯だけでなく周囲組織との調和にも配慮した虫歯治療を行っています。見た目や一時的な改善にとどまらず、長期的な安定を見据えた治療方針を大切にしています。
歯科治療に不安を感じる理由として、多くの方が痛みへの心配を挙げます。クリーン歯科クリニックでは、患者様の苦痛をできる限り抑えるため、痛みの少ない治療を常に意識しています。その中で特に重要なのが、虫歯の早期発見と早期対応です。初期段階で治療を行うことで、歯を削る量を抑えられ、結果として治療時の負担軽減や歯の寿命を延ばすことにもつながります。わずかな違和感でも相談しやすい環境を整え、安心して受診できる体制を整えながら、丁寧な説明を行うことも重視しています。
歯科治療に不安を感じる理由として、多くの方が痛みへの心配を挙げます。クリーン歯科クリニックでは、患者様の苦痛をできる限り抑えるため、痛みの少ない治療を常に意識しています。その中で特に重要なのが、虫歯の早期発見と早期対応です。初期段階で治療を行うことで、歯を削る量を抑えられ、結果として治療時の負担軽減や歯の寿命を延ばすことにもつながります。わずかな違和感でも相談しやすい環境を整え、安心して受診できる体制を整えながら、丁寧な説明を行うことも重視しています。
医院としての理念・方針
お気軽にご相談下さい
歯科医療の本質は、ただ悪くなった部分を治すことではなく、今ある歯をどれだけ大切に守り、長く使い続けられる状態を保てるかにあります。美しい口元を目指す審美歯科も、単に見た目を整えるための分野ではなく、歯をできるだけ削らず、歯の健康を守る保存歯科の考え方から発展してきた治療です。美しさと機能の両立は、歯を守る姿勢があってこそ成り立ちます。
歯の神経を取る必要が生じたときも、保存歯科では神経を残せる可能性を慎重に見極めます。神経は歯の寿命を左右する大切な存在であり、安易に処置を進めるのではなく、残せる道を探ることが歯を長持ちさせる第一歩になります。歯を抜くと言われた場合でも、状態によっては保存できるケースがあり、あきらめずに多角的な視点で判断することが重要です。
もし歯を失ってしまった場合でも、その補い方は残っている歯の将来に大きく影響します。失った歯をどのように補うかは、単なる機能回復ではなく、周囲の歯を守るための選択でもあります。一つひとつの判断が、口全体のバランスと長期的な安定につながります。
保存歯科の理念は、歯を削る前に守ることを考え、抜く前に残す可能性を探り、失った後も他の歯を守る道を選ぶ姿勢にあります。美しさ、機能性、そして歯の寿命を同時に見据えた歯科医療こそが、将来の安心と自然な笑顔を支える基盤になると考えています。
歯の神経を取る必要が生じたときも、保存歯科では神経を残せる可能性を慎重に見極めます。神経は歯の寿命を左右する大切な存在であり、安易に処置を進めるのではなく、残せる道を探ることが歯を長持ちさせる第一歩になります。歯を抜くと言われた場合でも、状態によっては保存できるケースがあり、あきらめずに多角的な視点で判断することが重要です。
もし歯を失ってしまった場合でも、その補い方は残っている歯の将来に大きく影響します。失った歯をどのように補うかは、単なる機能回復ではなく、周囲の歯を守るための選択でもあります。一つひとつの判断が、口全体のバランスと長期的な安定につながります。
保存歯科の理念は、歯を削る前に守ることを考え、抜く前に残す可能性を探り、失った後も他の歯を守る道を選ぶ姿勢にあります。美しさ、機能性、そして歯の寿命を同時に見据えた歯科医療こそが、将来の安心と自然な笑顔を支える基盤になると考えています。
院長について
▽略歴
日本歯科大学歯学部卒業
日本歯科大学歯学部大学院歯学研究科卒業
日本歯科大学保存学講座入局
日本歯科大学付属病院において治療
クリーン歯科クリニック
日本歯科大学歯学部卒業
日本歯科大学歯学部大学院歯学研究科卒業
日本歯科大学保存学講座入局
日本歯科大学付属病院において治療
クリーン歯科クリニック
【審美歯科】歯を守りながら自然な美しさを目指す治療
オールハイブリッド冠
審美歯科では、見た目の美しさだけでなく、歯の健康を長く保つことが重要とされています。クリーン歯科クリニックでは、金属アレルギーや金属色による審美性の低下、歯ぐきの変色といった問題に配慮し、メタルレス治療を推奨しています。素材選択によって口元の印象は大きく変わるため、機能性と安全性を踏まえた治療が大切です。
審美歯科は、歯科保存学を基盤として発展してきた分野であり、歯をできる限り残す考え方と深く関わっています。クリーン歯科クリニックでは、材質ごとの特性を踏まえ、その中で最善を目指す治療を行っています。希望や予算について丁寧に話し合い、自信を持って笑顔で過ごせる口元づくりをサポートしています。
審美歯科は、歯科保存学を基盤として発展してきた分野であり、歯をできる限り残す考え方と深く関わっています。クリーン歯科クリニックでは、材質ごとの特性を踏まえ、その中で最善を目指す治療を行っています。希望や予算について丁寧に話し合い、自信を持って笑顔で過ごせる口元づくりをサポートしています。
【インプラント】失った歯の機能を補う慎重な治療
お気軽にご相談下さい
インプラントは、歯を失った部位の顎の骨に人工歯根を埋め込み、その上に人工の歯を装着することで噛む機能を回復させる治療法です。差し歯とは異なり、歯が完全に失われた状態から機能を補うため、外科的な処置を伴い、十分な診査と計画が求められます。そのため、治療の流れや注意点を理解したうえで進めることが大切とされています。
クリーン歯科クリニックでは、患者様との対話を重視し、不安や疑問を丁寧に確認しながら治療を検討しています。インプラントは自分の歯のような噛み心地が期待でき、従来の入れ歯と比べて食事のしやすさが向上する点が特徴です。また、ブリッジ治療のように隣の歯を削る必要がないため、周囲の歯を守る治療としても注目されています。機能性と将来の口腔環境を考慮した選択肢として、納得のいく相談を行っています。
クリーン歯科クリニックでは、患者様との対話を重視し、不安や疑問を丁寧に確認しながら治療を検討しています。インプラントは自分の歯のような噛み心地が期待でき、従来の入れ歯と比べて食事のしやすさが向上する点が特徴です。また、ブリッジ治療のように隣の歯を削る必要がないため、周囲の歯を守る治療としても注目されています。機能性と将来の口腔環境を考慮した選択肢として、納得のいく相談を行っています。
【マウスピース治療】多様な症状に対応する装置治療
症状に合わせたマウスピースを作成します
マウスピース治療は、睡眠時無呼吸症候群やいびき、歯ぎしり、顎関節症による痛みの緩和、スポーツ時の歯や顎の保護など、幅広い目的で用いられる治療法です。顎関節症では、口周りの筋肉の痛みや頭痛、肩こりなどの症状が現れることもあり、原因として歯並びや姿勢、噛み癖、くいしばりなどが関係すると考えられています。
クリーン歯科クリニックでは、症状や原因を確認したうえで、マウスピースによって顎を安静な位置に導き、筋肉や関節への負担軽減を図ります。歯ぎしり防止装置にはソフトタイプを中心に用い、条件により保険適用にも対応しています。また、医科の診断に基づく睡眠時無呼吸症候群用や、競技特性に合わせたスポーツ用マウスピースの相談も受け付けています。
クリーン歯科クリニックでは、症状や原因を確認したうえで、マウスピースによって顎を安静な位置に導き、筋肉や関節への負担軽減を図ります。歯ぎしり防止装置にはソフトタイプを中心に用い、条件により保険適用にも対応しています。また、医科の診断に基づく睡眠時無呼吸症候群用や、競技特性に合わせたスポーツ用マウスピースの相談も受け付けています。
【ホワイトニング】自然な白さを大切にした治療
ホームホワイトニングをおすすめしています
ホワイトニングは、歯の色調を整えることで口元の印象を明るくし、清潔感や自信につながる治療です。近年は白い歯への関心が高まっており、大学病院でも専門的な研究や治療が行われてきました。歯の状態や特性を正しく把握したうえで進めることが、安全で満足度の高い結果につながるとされています。
クリーン歯科クリニックでは、研究と臨床の経験を踏まえ、安定した白さが得られやすいホームホワイトニングを提案しています。歯を白くすることで、日常のセルフケアや定期的なクリーニングへの意識が高まり、結果としてお口の健康維持にもつながります。治療前後の説明や管理を大切にし、安心して続けられるホワイトニングを行っています。
クリーン歯科クリニックでは、研究と臨床の経験を踏まえ、安定した白さが得られやすいホームホワイトニングを提案しています。歯を白くすることで、日常のセルフケアや定期的なクリーニングへの意識が高まり、結果としてお口の健康維持にもつながります。治療前後の説明や管理を大切にし、安心して続けられるホワイトニングを行っています。
自由診療のリスク・副作用、その他
自由診療について
患者様のさまざまなニーズに応えるために自由診療を提供しております。しかし、自由診療には健康保険適用外の治療が含まれるため、以下の点にご注意ください。
【リスクについて】
自由診療には、保険適用治療に比べて高度かつ専門的な治療が含まれる場合があります。これらの治療はより高い技術を要求されるため、一般的な治療よりもリスクが高まる可能性があります。
【副作用について】
すべての医療行為には副作用のリスクが伴います。自由診療の場合、使用する材料や治療方法が特殊な場合があるため、通常の治療とは異なる副作用が発生する可能性があります。
【費用について】
自由診療は健康保険の適用外であるため、保険診療と比較して高額になることがあります。治療前には必ず費用の詳細について説明を行い、ご同意をいただいてから治療を開始します。
【治療の選択について】
患者様の健康状態や希望に合わせて、最適な治療計画を提案します。自由診療は選択肢の一つであり、必ずしもすべての患者様に適しているわけではありません。
【その他の注意事項】
治療後のフォローアップやメンテナンスについても、自由診療の範囲内で行うことがあります。これには追加の費用が発生する場合があります。
患者様一人ひとりに合った治療を心がけております。自由診療を含むすべての治療オプションについて、十分な説明とともに、患者様のご理解とご同意を得ることを重視しています。ご不明な点やご心配なことがございましたら、遠慮なくご相談ください。
患者様のさまざまなニーズに応えるために自由診療を提供しております。しかし、自由診療には健康保険適用外の治療が含まれるため、以下の点にご注意ください。
【リスクについて】
自由診療には、保険適用治療に比べて高度かつ専門的な治療が含まれる場合があります。これらの治療はより高い技術を要求されるため、一般的な治療よりもリスクが高まる可能性があります。
【副作用について】
すべての医療行為には副作用のリスクが伴います。自由診療の場合、使用する材料や治療方法が特殊な場合があるため、通常の治療とは異なる副作用が発生する可能性があります。
【費用について】
自由診療は健康保険の適用外であるため、保険診療と比較して高額になることがあります。治療前には必ず費用の詳細について説明を行い、ご同意をいただいてから治療を開始します。
【治療の選択について】
患者様の健康状態や希望に合わせて、最適な治療計画を提案します。自由診療は選択肢の一つであり、必ずしもすべての患者様に適しているわけではありません。
【その他の注意事項】
治療後のフォローアップやメンテナンスについても、自由診療の範囲内で行うことがあります。これには追加の費用が発生する場合があります。
患者様一人ひとりに合った治療を心がけております。自由診療を含むすべての治療オプションについて、十分な説明とともに、患者様のご理解とご同意を得ることを重視しています。ご不明な点やご心配なことがございましたら、遠慮なくご相談ください。
この医院の口コミはまだありません
受付時間
| 診療時間 | 日 | 月 | 火 | 水 | 木 | 金 | 土 |
|---|---|---|---|---|---|---|---|
| 09:00 ~ 13:00 | |||||||
| 14:30 ~ 18:30 | |||||||
| 14:30 ~ 17:30 |
休診日:木曜・日曜・祝日
アクセスマップ
基本情報
| 医院名 | クリーン歯科クリニック |
| 所在地 | 〒514-0016 三重県 津市 乙部2018 |
| 最寄駅 | 津駅 東出口 車で5分 |
| 診療内容 | 歯冠修復、欠損補綴 / 根管治療 / 歯周病治療 / 予防治療 / 小児歯科 / 矯正歯科 / 口腔外科治療 / 有床義歯 / インプラント治療 / 咬み合わせ治療 / 顎関節症治療 |
| 医院ID | 50389 |