【川越駅東口より徒歩2分】真珠のような美しい歯の輝きを提供する川越パール歯科
川越パール歯科は、川越駅東口より徒歩2分の位置にある歯科医院です。川越マイン3階にあり、雨天の日でも通いやすいのが特徴です。土曜日も18時まで診療しており、買い物帰りでも診察しやすい医院となっております。
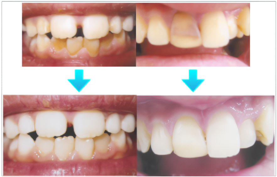
患者様に美しい歯を手に入れて欲しいという願いから、審美メニューを多く取り揃えております。クリーニングやホワイトニングはもちろん、義歯やセラミックインレー、インプラントなど、多様な選択肢をご用意しております。
美しい口元は、単に見た目の問題だけではありません。健康的な歯と口腔は、食事を楽しむ喜びや、自信を持って笑顔を見せる幸せにもつながります。患者様の人生をより豊かにするお手伝いをしたいと考えています。
また審美歯科以外にも虫歯治療や歯周病治療、小児歯科、歯科口腔外科など様々な疾患にも対応しております。痛みの少ない治療や、短期間で効果的な治療法の採用など、患者様の負担を軽減する工夫を随所に取り入れています。また、丁寧な説明と相談を心がけ、患者様が安心して治療を受けられる雰囲気づくりにも力を入れています。
美しい口元は人生を豊かに変えていきます。川越パール歯科で健康なで美しい歯を手に入れましょう。
患者様に美しい歯を手に入れて欲しいという願いから、審美メニューを多く取り揃えております。クリーニングやホワイトニングはもちろん、義歯やセラミックインレー、インプラントなど、多様な選択肢をご用意しております。
美しい口元は、単に見た目の問題だけではありません。健康的な歯と口腔は、食事を楽しむ喜びや、自信を持って笑顔を見せる幸せにもつながります。患者様の人生をより豊かにするお手伝いをしたいと考えています。
また審美歯科以外にも虫歯治療や歯周病治療、小児歯科、歯科口腔外科など様々な疾患にも対応しております。痛みの少ない治療や、短期間で効果的な治療法の採用など、患者様の負担を軽減する工夫を随所に取り入れています。また、丁寧な説明と相談を心がけ、患者様が安心して治療を受けられる雰囲気づくりにも力を入れています。
美しい口元は人生を豊かに変えていきます。川越パール歯科で健康なで美しい歯を手に入れましょう。
インプラント治療のこだわりポイント
美しさと歯の健康を維持することは同じであると考えております
川越パール歯科では、最新のインプラント治療を通じて患者様の口腔機能と審美性の向上を実現しています。インプラントは「第3の歯」とも呼ばれ、従来の入れ歯やブリッジとは異なる革新的な治療法です。
インプラントを装着することで、固い食べ物でも問題なく噛むことができ異物感や発音の障害も解消されます。さらに見た目も天然の歯と変わらないため、患者様は自信を持って食事や会話を楽しむことができるようになります。
インプラント治療では、顎の骨に人工の歯根を埋め込みその上に新しい歯を作製します。この方法により使用しない顎骨が痩せる心配がなくなり、健康な歯を削る必要もありません。また装着後は痛みや違和感もなく、歯本来の機能を維持できます。
川越パール歯科では患者様の口腔内の快適さをより追求するため、自費診療メニューも用意しています。保険適用外の診療ではありますが、より高度な治療法を用いることで患者様の期待に応える結果を提供できると考えています。
インプラント治療を通じて、患者様の健康的で喜びに満ちた生活をサポートするのが使命です。最新の技術と経験豊富な専門医による安心・安全な治療で、患者様の歯の健康と笑顔を取り戻します。
インプラントを装着することで、固い食べ物でも問題なく噛むことができ異物感や発音の障害も解消されます。さらに見た目も天然の歯と変わらないため、患者様は自信を持って食事や会話を楽しむことができるようになります。
インプラント治療では、顎の骨に人工の歯根を埋め込みその上に新しい歯を作製します。この方法により使用しない顎骨が痩せる心配がなくなり、健康な歯を削る必要もありません。また装着後は痛みや違和感もなく、歯本来の機能を維持できます。
川越パール歯科では患者様の口腔内の快適さをより追求するため、自費診療メニューも用意しています。保険適用外の診療ではありますが、より高度な治療法を用いることで患者様の期待に応える結果を提供できると考えています。
インプラント治療を通じて、患者様の健康的で喜びに満ちた生活をサポートするのが使命です。最新の技術と経験豊富な専門医による安心・安全な治療で、患者様の歯の健康と笑顔を取り戻します。
医院としての理念・方針
精鋭スタッフたちです
川越パール歯科は、『健康的な美しい歯を作るお手伝い』『予防による健康促進のお手伝い』を二大コンセプトとして掲げています。単に歯を治療するだけでなく、口元の美しさを常に意識した診療を心がけているのです。
この方針は、美しさと健康が密接に結びついているという考えに基づいています。真珠のような輝きを持つ歯は、患者様の人生を豊かにする力を秘めていると考えられます。そのため治療だけでなく、予防やメンテナンスにも力を入れています。
患者様の口腔の健康を長期的に維持することで、美しい笑顔を守り続けることができます。川越パール歯科は、この理念を実現するために日々努力を重ねています。歯科医師、歯科衛生士、歯科助手などのスタッフが一丸となり患者様の歯の健康をサポートしてまいります。
この方針は、美しさと健康が密接に結びついているという考えに基づいています。真珠のような輝きを持つ歯は、患者様の人生を豊かにする力を秘めていると考えられます。そのため治療だけでなく、予防やメンテナンスにも力を入れています。
患者様の口腔の健康を長期的に維持することで、美しい笑顔を守り続けることができます。川越パール歯科は、この理念を実現するために日々努力を重ねています。歯科医師、歯科衛生士、歯科助手などのスタッフが一丸となり患者様の歯の健康をサポートしてまいります。
院長について
▽略歴
1991年
日本大学 卒業
1991年
日本大学松戸歯学部付属病院口腔外科 入局
1998年
千葉県内開業医院の勤務医を経て、12月に川越パール歯科を開院
1991年
日本大学 卒業
1991年
日本大学松戸歯学部付属病院口腔外科 入局
1998年
千葉県内開業医院の勤務医を経て、12月に川越パール歯科を開院
パールのような美しい歯を:自然に輝くホワイトニング
自宅で白い歯を作ることができます
川越パール歯科では、患者様の歯を美しく健康に保つためのホワイトニング治療を提供しています。歯の白さは、自信に満ちた笑顔の重要な要素です。川越パール歯科のホワイトニング治療は、麻酔を使用せずにエステ感覚で行えるため快適な施術を体験できます。
ホワイトニングの方法として、川越パール歯科では「ホームホワイトニング」を推奨しています。この方法では、専用のマウスピースにホワイトニングジェルを入れて装着します。患者様のライフスタイルに合わせて、毎日または2、3日に1回の頻度で行うことができます。
毎日継続して行う場合、2週間から4週間程度で効果が現れます。一方2、3日に1回のペースでは、1〜2ヶ月ほどでゆっくりと歯が白くなっていきます。この緩やかな変化により、自然な仕上がりを実現できます。
ホワイトニングは単に見た目を改善するだけでなく、口腔衛生の向上にも貢献します。定期的なクリーニングと組み合わせることで、さらに効果的な結果が得られます。川越パール歯科では、3ヶ月に1回の定期検診と合わせてクリーニングを行うことをお勧めしています。
美しい白い歯は自信を高め、人生に良い影響を与えます。ホワイトニング治療で、輝く笑顔を手に入れてみませんか。
ホワイトニングの方法として、川越パール歯科では「ホームホワイトニング」を推奨しています。この方法では、専用のマウスピースにホワイトニングジェルを入れて装着します。患者様のライフスタイルに合わせて、毎日または2、3日に1回の頻度で行うことができます。
毎日継続して行う場合、2週間から4週間程度で効果が現れます。一方2、3日に1回のペースでは、1〜2ヶ月ほどでゆっくりと歯が白くなっていきます。この緩やかな変化により、自然な仕上がりを実現できます。
ホワイトニングは単に見た目を改善するだけでなく、口腔衛生の向上にも貢献します。定期的なクリーニングと組み合わせることで、さらに効果的な結果が得られます。川越パール歯科では、3ヶ月に1回の定期検診と合わせてクリーニングを行うことをお勧めしています。
美しい白い歯は自信を高め、人生に良い影響を与えます。ホワイトニング治療で、輝く笑顔を手に入れてみませんか。
見た目も機能も優れた新世代の義歯:ノンクラスプデンチャーのご紹介
次世代の義歯を体験してみませんか
川越パール歯科では、従来の義歯に抵抗がある方にも安心して使用していただける新しいタイプの義歯、ノンクラスプデンチャーを提供しています。この革新的な義歯は外観や装着感、そして素材の面で多くの利点を持っています。
ノンクラスプデンチャーは金属のバネ(クラスプ)を使用しません。半透明の薄い材質を採用しているため、外から見ると義歯を装着していることがほとんど分かりません。これにより患者様は人目を気にすることなく、自信を持って笑顔を見せることができます。
素材には「スーパーポリアミドナイロン」と呼ばれるナイロン系素材を使用しています。この素材は無味・無臭であり、アレルギー反応を引き起こす心配もありません。また軽量で弾力性があるため、装着時の違和感を大幅に軽減することができます。
さらにノンクラスプデンチャーは耐久性にも優れています。折り曲げに強い特性を持っているため、日常的な取り扱いも簡単です。義歯の破損を心配することなく、快適に使用することができます。
川越パール歯科では患者様一人ひとりの口腔状態に合わせて、最適なノンクラスプデンチャーを提供しています。見た目の美しさと機能性を両立させた新世代の義歯で、より快適な生活を送りませんか。
ノンクラスプデンチャーは金属のバネ(クラスプ)を使用しません。半透明の薄い材質を採用しているため、外から見ると義歯を装着していることがほとんど分かりません。これにより患者様は人目を気にすることなく、自信を持って笑顔を見せることができます。
素材には「スーパーポリアミドナイロン」と呼ばれるナイロン系素材を使用しています。この素材は無味・無臭であり、アレルギー反応を引き起こす心配もありません。また軽量で弾力性があるため、装着時の違和感を大幅に軽減することができます。
さらにノンクラスプデンチャーは耐久性にも優れています。折り曲げに強い特性を持っているため、日常的な取り扱いも簡単です。義歯の破損を心配することなく、快適に使用することができます。
川越パール歯科では患者様一人ひとりの口腔状態に合わせて、最適なノンクラスプデンチャーを提供しています。見た目の美しさと機能性を両立させた新世代の義歯で、より快適な生活を送りませんか。
患者様の歯を大切にする優しい治療:歯周病、虫歯治療
患者様がリラックスできる環境を整えてまいります
川越パール歯科では、患者様の歯の健康を第一に考えた治療を提供しています。虫歯治療や歯周病治療など一般的な歯科治療を行う中で、可能な限り歯を削る量を最小限に抑える方針を採用しています。患者様自身の歯を最大限に生かすことを目指しています。自然な歯を保存することで、長期的な口腔の健康維持に繋がります。
また予防歯科にも力を入れています。定期健診の重要性を強調し、何も異常を感じない場合でも来院を推奨しています。早期発見・早期治療によって、より侵襲の少ない治療で済む可能性が高まります。定期健診では歯や歯茎の状態をチェックするだけでなく、口腔内の清掃状態や生活習慣についても丁寧にアドバイスを行います。
川越パール歯科では単に症状を治すだけでなく、患者様の口腔の健康を長期的に維持・向上させることを目指しています。優しい治療と丁寧な予防ケアを通じて、患者様が健康で美しい歯を保ち続けられるようサポートしています。
また予防歯科にも力を入れています。定期健診の重要性を強調し、何も異常を感じない場合でも来院を推奨しています。早期発見・早期治療によって、より侵襲の少ない治療で済む可能性が高まります。定期健診では歯や歯茎の状態をチェックするだけでなく、口腔内の清掃状態や生活習慣についても丁寧にアドバイスを行います。
川越パール歯科では単に症状を治すだけでなく、患者様の口腔の健康を長期的に維持・向上させることを目指しています。優しい治療と丁寧な予防ケアを通じて、患者様が健康で美しい歯を保ち続けられるようサポートしています。
お子様の笑顔を守る小児歯科づくり
絵本やぬいぐるみなども用意しております
川越パール歯科では、お子様の歯の健康を守るための丁寧な治療を提供しています。小さな患者様が安心して診療を受けられるよう、様々な工夫を凝らしております。
治療時の恐怖心を軽減するために、お子様の年齢や性格に合わせて優しく声かけを行っています。また治療の説明をわかりやすく行なうことで、リラックスした状態で診療を受けられるよう心がけています。
また乳歯期の口腔ケアの重要性にも注目しています。乳歯は永久歯の土台となる大切な役割を果たすため、この時期にしっかりと口腔内環境を整えることが重要です。お子様の成長に合わせた適切な治療や予防措置を行い、健康な永久歯列への移行をサポートしています。
さらに虫歯予防にも力を入れています。フッ素塗布などの予防処置を通じて、歯の質を強化し虫歯のリスクを低減させます。これにより、お子様の歯を長期的に守ることができます。
川越パール歯科ではお子様の歯の健康を守るだけでなく、歯科治療に対する恐怖心を和らげ将来にわたって良好な口腔環境を維持できるよう支援しています。お子様の笑顔と健康な歯を守るため、丁寧かつ優しい治療アプローチを心がけているのです。
治療時の恐怖心を軽減するために、お子様の年齢や性格に合わせて優しく声かけを行っています。また治療の説明をわかりやすく行なうことで、リラックスした状態で診療を受けられるよう心がけています。
また乳歯期の口腔ケアの重要性にも注目しています。乳歯は永久歯の土台となる大切な役割を果たすため、この時期にしっかりと口腔内環境を整えることが重要です。お子様の成長に合わせた適切な治療や予防措置を行い、健康な永久歯列への移行をサポートしています。
さらに虫歯予防にも力を入れています。フッ素塗布などの予防処置を通じて、歯の質を強化し虫歯のリスクを低減させます。これにより、お子様の歯を長期的に守ることができます。
川越パール歯科ではお子様の歯の健康を守るだけでなく、歯科治療に対する恐怖心を和らげ将来にわたって良好な口腔環境を維持できるよう支援しています。お子様の笑顔と健康な歯を守るため、丁寧かつ優しい治療アプローチを心がけているのです。
自由診療のリスク・副作用、その他
自由診療のリスク、副作用、その他
自由診療について
患者様のさまざまなニーズに応えるために自由診療を提供しております。しかし、自由診療には健康保険適用外の治療が含まれるため、以下の点にご注意ください。
【リスクについて】
自由診療には、保険適用治療に比べて高度かつ専門的な治療が含まれる場合があります。これらの治療はより高い技術を要求されるため、一般的な治療よりもリスクが高まる可能性があります。
【副作用について】
すべての医療行為には副作用のリスクが伴います。自由診療の場合、使用する材料や治療方法が特殊な場合があるため、通常の治療とは異なる副作用が発生する可能性があります。
【費用について】
自由診療は健康保険の適用外であるため、保険診療と比較して高額になることがあります。治療前には必ず費用の詳細について説明を行い、ご同意をいただいてから治療を開始します。
【治療の選択について】
患者様の健康状態や希望に合わせて、最適な治療計画を提案します。自由診療は選択肢の一つであり、必ずしもすべての患者様に適しているわけではありません。
【その他の注意事項】
治療後のフォローアップやメンテナンスについても、自由診療の範囲内で行うことがあります。これには追加の費用が発生する場合があります。
患者様一人ひとりに合った治療を心がけております。自由診療を含むすべての治療オプションについて、十分な説明とともに、患者様のご理解とご同意を得ることを重視しています。ご不明な点やご心配なことがございましたら、遠慮なくご相談ください。
自由診療について
患者様のさまざまなニーズに応えるために自由診療を提供しております。しかし、自由診療には健康保険適用外の治療が含まれるため、以下の点にご注意ください。
【リスクについて】
自由診療には、保険適用治療に比べて高度かつ専門的な治療が含まれる場合があります。これらの治療はより高い技術を要求されるため、一般的な治療よりもリスクが高まる可能性があります。
【副作用について】
すべての医療行為には副作用のリスクが伴います。自由診療の場合、使用する材料や治療方法が特殊な場合があるため、通常の治療とは異なる副作用が発生する可能性があります。
【費用について】
自由診療は健康保険の適用外であるため、保険診療と比較して高額になることがあります。治療前には必ず費用の詳細について説明を行い、ご同意をいただいてから治療を開始します。
【治療の選択について】
患者様の健康状態や希望に合わせて、最適な治療計画を提案します。自由診療は選択肢の一つであり、必ずしもすべての患者様に適しているわけではありません。
【その他の注意事項】
治療後のフォローアップやメンテナンスについても、自由診療の範囲内で行うことがあります。これには追加の費用が発生する場合があります。
患者様一人ひとりに合った治療を心がけております。自由診療を含むすべての治療オプションについて、十分な説明とともに、患者様のご理解とご同意を得ることを重視しています。ご不明な点やご心配なことがございましたら、遠慮なくご相談ください。
この医院の口コミはまだありません
受付時間
| 診療時間 | 日 | 月 | 火 | 水 | 木 | 金 | 土 |
|---|---|---|---|---|---|---|---|
| 10:00 ~ 13:00 | |||||||
| 15:00 ~ 20:00 | |||||||
| 10:00 ~ 18:00 |
休診日:木曜・日曜・祝日
アクセスマップ
基本情報
| 医院名 | 川越パール歯科 |
| 所在地 | 〒350-1122 埼玉県 川越市 脇田町103 川越マイン3F |
| 最寄駅 | 川越駅 東口 徒歩2分 |
| 診療内容 | 歯冠修復、欠損補綴 / 歯周病治療 / 予防治療 / 小児歯科 / 矯正歯科 / 口腔外科治療 / 有床義歯 / インプラント治療 / 顎関節症治療 |
| 医院ID | 44877 |