【北越谷駅東口より徒歩5分】インプラントから訪問歯科まで幅広い診療に対応するあざみ歯科クリニック
あざみ歯科クリニックは、北越谷駅東口より徒歩5分のところにある歯科医院です。一般歯科や小児歯科をはじめ、矯正歯科やインプラント治療、審美歯科など多岐にわたる診療科目を備え、幅広いお口の悩みに対応しています。また、訪問歯科診療にも力を入れており、通院が困難な患者様にも治療を受けていただけるよう整えています。
院長は東京歯科大学卒業後、都内の開業医や医療法人での経験を積み、義歯やインプラント治療など高度な技術を習得してきました。特にインプラント治療では、スウェーデンの著名な専門家から直接指導を受け、高度医療技術であるサイナスリフトやスプリットクレストなども習得しています。
さらにあざみ歯科クリニックでは、予防歯科にも重点を置き虫歯や歯周病の早期発見・予防に努めています。患者様が安心して通える環境づくりにも配慮しており、清潔で快適な院内空間と丁寧な説明を心がけています。
北越谷エリアで信頼できる歯科医院をお探しの方は、ぜひ一度ご相談ください。
院長は東京歯科大学卒業後、都内の開業医や医療法人での経験を積み、義歯やインプラント治療など高度な技術を習得してきました。特にインプラント治療では、スウェーデンの著名な専門家から直接指導を受け、高度医療技術であるサイナスリフトやスプリットクレストなども習得しています。
さらにあざみ歯科クリニックでは、予防歯科にも重点を置き虫歯や歯周病の早期発見・予防に努めています。患者様が安心して通える環境づくりにも配慮しており、清潔で快適な院内空間と丁寧な説明を心がけています。
北越谷エリアで信頼できる歯科医院をお探しの方は、ぜひ一度ご相談ください。
歯周病治療のこだわりポイント

歯周病は歯を支える周囲組織に影響を及ぼす疾患であり、歯肉炎と歯周炎という二つの段階に分けられます。初期段階である歯肉炎は、歯垢(プラーク)による歯ぐきの炎症が特徴で、放置すると進行して歯槽骨が破壊される歯周炎へと移行します。最終的には歯が抜け落ちる可能性もあるため、早期発見と適切な治療が不可欠です。
歯周病の予防と治療に力を入れています。特にプラークコントロールを重視しており、患者様に適したブラッシングや歯ブラシの選定を提案しています。正しいブラッシングは、歯垢の除去と増殖抑制に効果的であり、日常的なケアとして非常に重要です。また定期的なスケーリングやルートプレーニングによって、歯石や取り残された歯垢を除去し炎症を抑える治療も行っています。
歯ぎしりも歯周病の進行を早める要因となります。歯ぐきや歯槽骨につよい力が加わり、歯肉の炎症がさらに激しくなるのです。歯ぎしりは夜間無意識に行ってしまうもので、意識的に止めることが難しいとされています。マウスピースを用いると、歯ぎしりを行わないように物理的に止めることができます。
歯周病の予防と治療に力を入れています。特にプラークコントロールを重視しており、患者様に適したブラッシングや歯ブラシの選定を提案しています。正しいブラッシングは、歯垢の除去と増殖抑制に効果的であり、日常的なケアとして非常に重要です。また定期的なスケーリングやルートプレーニングによって、歯石や取り残された歯垢を除去し炎症を抑える治療も行っています。
歯ぎしりも歯周病の進行を早める要因となります。歯ぐきや歯槽骨につよい力が加わり、歯肉の炎症がさらに激しくなるのです。歯ぎしりは夜間無意識に行ってしまうもので、意識的に止めることが難しいとされています。マウスピースを用いると、歯ぎしりを行わないように物理的に止めることができます。
医院としての理念・方針

あざみ歯科クリニックは、予防歯科を重視し幅広い知識を活かした診療を提供しています。患者様の満足を第一に考え、日々の努力を惜しみません。
歯周病の早期発見と治療にも力を入れているため、症状が現れたらすぐに受診することをお勧めします。また小児歯科にも注力しており、虫歯予防だけでなく咬み合わせや舌の問題にも対応します。子供の扱いに慣れたスタッフが、個々の状況に合わせて丁寧に診療を行います。
さらに訪問歯科も実施しており、幅広いニーズに応えられる体制を整えています。あざみ歯科クリニックは、患者様一人ひとりに最適な歯科医療を提供することを使命としています。北越谷地域のみなさまに愛される歯科医院になるべく、これからも研鑽をつづけてまいります。
歯周病の早期発見と治療にも力を入れているため、症状が現れたらすぐに受診することをお勧めします。また小児歯科にも注力しており、虫歯予防だけでなく咬み合わせや舌の問題にも対応します。子供の扱いに慣れたスタッフが、個々の状況に合わせて丁寧に診療を行います。
さらに訪問歯科も実施しており、幅広いニーズに応えられる体制を整えています。あざみ歯科クリニックは、患者様一人ひとりに最適な歯科医療を提供することを使命としています。北越谷地域のみなさまに愛される歯科医院になるべく、これからも研鑽をつづけてまいります。
院長について
▽略歴
1995年
東京歯科大学卒業
都内の開業医に従事
2000年
医療法人に入職、分院長に就任
2009年7月
あざみ歯科クリニック開業
1995年
東京歯科大学卒業
都内の開業医に従事
2000年
医療法人に入職、分院長に就任
2009年7月
あざみ歯科クリニック開業
歯科に通えない方にも歯科診療を:訪問歯科

あざみ歯科クリニックでは、通院が難しい患者様のために訪問歯科診療を提供しています。ケアマネージャー兼歯科衛生士が在籍しており、患者様の状況に寄り添ったきめ細やかな対応が可能です。訪問診療は、自宅や入所先施設で通常の歯科診療と同じ内容を受けられるため、安心してご利用いただけます。
訪問診療の流れはまず、お申し込み後に医院から日時調整のご連絡を差し上げます。その際、1週間単位でおおまかなスケジュールを確認します。次に歯科医師と女性スタッフの2名が、車でご自宅や施設に伺います。特別養護老人ホームなどへの訪問も可能で、事前に許可をいただければ対応いたします。
診療内容は、持ち運び可能な機器を使用するため、通院時と変わらない治療を受けることができます。虫歯治療や義歯調整など幅広い対応が可能です。また、費用についても基本的に保険適用内で行われるため、経済的負担を心配する必要はありません。高齢者や身体的制約をお持ちで歯科医院まで行くのが困難な方は、お気軽にお電話ください。
訪問診療の流れはまず、お申し込み後に医院から日時調整のご連絡を差し上げます。その際、1週間単位でおおまかなスケジュールを確認します。次に歯科医師と女性スタッフの2名が、車でご自宅や施設に伺います。特別養護老人ホームなどへの訪問も可能で、事前に許可をいただければ対応いたします。
診療内容は、持ち運び可能な機器を使用するため、通院時と変わらない治療を受けることができます。虫歯治療や義歯調整など幅広い対応が可能です。また、費用についても基本的に保険適用内で行われるため、経済的負担を心配する必要はありません。高齢者や身体的制約をお持ちで歯科医院まで行くのが困難な方は、お気軽にお電話ください。
抜けた歯を取り戻す新たな選択肢:インプラント

あざみ歯科クリニックでは歯を失った患者様に対して、従来の治療法よりも優れた選択肢であるインプラント治療を提供しています。入れ歯やブリッジと比較して周囲の健康な歯を傷つけることなく、違和感の少ない快適な使用感が得られる点が特徴です。
従来の入れ歯では、固い食べ物が噛みにくい、発音が不自然になるなどの問題がありました。また、長期間使用することで合わなくなりガタつく場合があります。一方、ブリッジ治療では両隣の健康な歯を削る必要があり、削った部分は元に戻らないという欠点があります。これらの短所を克服するためにインプラント治療が注目されています。
インプラント治療は以下の手順で行われます。まず、歯科用CTによる精密な審査と診断を行い、治療計画を立てます。その後、局所麻酔下で人工歯根(フィクスチャー)を顎骨に埋入し、骨と結合するまで数ヶ月間の治癒期間を設けます。この期間中には仮歯を装着することも可能です。次に人工歯の支台となる部品(アバットメント)を連結し、型取りを経て人工歯を作製・装着します。最後に適切なホームケアと定期的な検診によるメンテナンスが必要です。
インプラントは、自分の歯とほぼ同じ感覚で食事や会話ができる点や審美性に優れている点など、多くの利点があります。さらに周囲の健康な歯や顎骨への悪影響も少なく、自分の歯を保護できるため、多くの患者様にとって理想的な選択肢となっています。
従来の入れ歯では、固い食べ物が噛みにくい、発音が不自然になるなどの問題がありました。また、長期間使用することで合わなくなりガタつく場合があります。一方、ブリッジ治療では両隣の健康な歯を削る必要があり、削った部分は元に戻らないという欠点があります。これらの短所を克服するためにインプラント治療が注目されています。
インプラント治療は以下の手順で行われます。まず、歯科用CTによる精密な審査と診断を行い、治療計画を立てます。その後、局所麻酔下で人工歯根(フィクスチャー)を顎骨に埋入し、骨と結合するまで数ヶ月間の治癒期間を設けます。この期間中には仮歯を装着することも可能です。次に人工歯の支台となる部品(アバットメント)を連結し、型取りを経て人工歯を作製・装着します。最後に適切なホームケアと定期的な検診によるメンテナンスが必要です。
インプラントは、自分の歯とほぼ同じ感覚で食事や会話ができる点や審美性に優れている点など、多くの利点があります。さらに周囲の健康な歯や顎骨への悪影響も少なく、自分の歯を保護できるため、多くの患者様にとって理想的な選択肢となっています。
小児歯科で大切な予防と治療を

1歳を過ぎると前歯が生え揃い始めるため、この時期から虫歯予防への関心を持つことが大切です。小児歯科の診療では虫歯予防だけでなく、咬み合わせや舌の問題など、口腔内全体のチェックを行います。3歳を過ぎる頃から、経験豊富な歯科医師やスタッフがお子様の状況に合わせて対応し、できるだけ一人で診療を受けられるよう導きます。
奥歯の溝に虫歯ができるのを防ぐため、プラスチックの一種でコーティングを施します(シーラント処置)。乳歯にも永久歯にも適用可能で、保険が適用されます。特に生えたての永久歯(六歳臼歯)には効果的です。またフッ素塗布を行い、歯の表面を強化し虫歯菌の酸に対する耐性を高めます。リンゴ味のフッ素を使用し、2〜4ヶ月ごとの検診で塗布します。初期虫歯の再石灰化を促進する効果もあります。
お子様が自分で適切に歯磨きできるようになるのは小学4年生頃です。それまでは保護者による仕上げ磨きが重要です。あざみ歯科クリニックは、お子様が快適に過ごせるようプレイルームを完備しています。リラックスして診療をお待ちいただけます。
奥歯の溝に虫歯ができるのを防ぐため、プラスチックの一種でコーティングを施します(シーラント処置)。乳歯にも永久歯にも適用可能で、保険が適用されます。特に生えたての永久歯(六歳臼歯)には効果的です。またフッ素塗布を行い、歯の表面を強化し虫歯菌の酸に対する耐性を高めます。リンゴ味のフッ素を使用し、2〜4ヶ月ごとの検診で塗布します。初期虫歯の再石灰化を促進する効果もあります。
お子様が自分で適切に歯磨きできるようになるのは小学4年生頃です。それまでは保護者による仕上げ磨きが重要です。あざみ歯科クリニックは、お子様が快適に過ごせるようプレイルームを完備しています。リラックスして診療をお待ちいただけます。
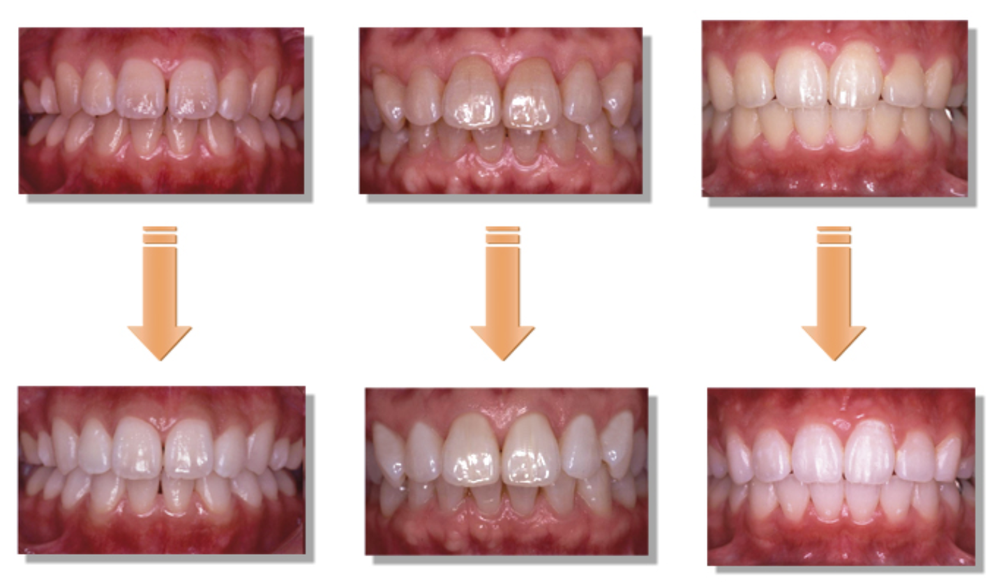
審美歯科:自宅でできるホームホワイトニング

あざみ歯科クリニックでは、自宅で手軽に行えるホームホワイトニングを提供しています。ホームホワイトニングは、アメリカを始めとする国々で広く普及している歯のケア方法です。エチケットやファッションの一環として認識されており、日本でも徐々に浸透しつつあります。
ホームホワイトニングは、最短2回の通院で開始できます。通常約1ヶ月程度で効果が現れますが、個人差や歯の変色度合いによって期間が異なる場合もあります。
治療の流れは以下の通りです。まず、歯科医師による説明と口腔内検査を行います。必要に応じて歯石除去などの前処置を行った後、患者様の歯型を採取してマウストレーを作製します。その後、自宅での実施方法について詳しい指導を受けます。
自宅でのケアはとても簡単です。歯科医師の指示に従ってマウストレーにジェルを塗布し、装着するだけです。ただし、ホワイトニング中は着色しやすい食べ物や飲み物を避けることが推奨されます。
2〜4週間程度で歯の白さが向上し始めます。定期的に歯科医師のチェックを受けながら、継続的なケアを行うことでより長もちできます。
ホームホワイトニングは、最短2回の通院で開始できます。通常約1ヶ月程度で効果が現れますが、個人差や歯の変色度合いによって期間が異なる場合もあります。
治療の流れは以下の通りです。まず、歯科医師による説明と口腔内検査を行います。必要に応じて歯石除去などの前処置を行った後、患者様の歯型を採取してマウストレーを作製します。その後、自宅での実施方法について詳しい指導を受けます。
自宅でのケアはとても簡単です。歯科医師の指示に従ってマウストレーにジェルを塗布し、装着するだけです。ただし、ホワイトニング中は着色しやすい食べ物や飲み物を避けることが推奨されます。
2〜4週間程度で歯の白さが向上し始めます。定期的に歯科医師のチェックを受けながら、継続的なケアを行うことでより長もちできます。
自由診療のリスク・副作用、その他
自由診療について
患者様のさまざまなニーズに応えるために自由診療を提供しております。しかし、自由診療には健康保険適用外の治療が含まれるため、以
下の点にご注意ください。
【リスクについて】
自由診療には、保険適用治療に比べて高度かつ専門的な治療が含まれる場合があります。これらの治療はより高い技術を要求されるため、
一般的な治療よりもリスクが高まる可能性があります。
【副作用について】
すべての医療行為には副作用のリスクが伴います。自由診療の場合、使用する材料や治療方法が特殊な場合があるため、通常の治療と
は異なる副作用が発生する可能性があります。
【費用について】
自由診療は健康保険の適用外であるため、保険診療と比較して高額になることがあります。治療前には必ず費用の詳細について説明を行
い、ご同意をいただいてから治療を開始します。
【治療の選択について】
患者様の健康状態や希望に合わせて、最適な治療計画を提案します。自由診療は選択肢の一つであり、必ずしもすべての患者様に適して
いるわけではありません。
【その他の注意事項】
治療後のフォローアップやメンテナンスについても、自由診療の範囲内で行うことがあります。これには追加の費用が発生する場合がありま
す。
患者様一人ひとりに合った治療を心がけております。自由診療を含むすべての治療オプションについて、十分な説明とともに、患者様のご
理解とご同意を得ることを重視しています。ご不明な点やご心配なことがございましたら、遠慮なくご相談ください。
患者様のさまざまなニーズに応えるために自由診療を提供しております。しかし、自由診療には健康保険適用外の治療が含まれるため、以
下の点にご注意ください。
【リスクについて】
自由診療には、保険適用治療に比べて高度かつ専門的な治療が含まれる場合があります。これらの治療はより高い技術を要求されるため、
一般的な治療よりもリスクが高まる可能性があります。
【副作用について】
すべての医療行為には副作用のリスクが伴います。自由診療の場合、使用する材料や治療方法が特殊な場合があるため、通常の治療と
は異なる副作用が発生する可能性があります。
【費用について】
自由診療は健康保険の適用外であるため、保険診療と比較して高額になることがあります。治療前には必ず費用の詳細について説明を行
い、ご同意をいただいてから治療を開始します。
【治療の選択について】
患者様の健康状態や希望に合わせて、最適な治療計画を提案します。自由診療は選択肢の一つであり、必ずしもすべての患者様に適して
いるわけではありません。
【その他の注意事項】
治療後のフォローアップやメンテナンスについても、自由診療の範囲内で行うことがあります。これには追加の費用が発生する場合がありま
す。
患者様一人ひとりに合った治療を心がけております。自由診療を含むすべての治療オプションについて、十分な説明とともに、患者様のご
理解とご同意を得ることを重視しています。ご不明な点やご心配なことがございましたら、遠慮なくご相談ください。
この医院の口コミはまだありません
受付時間
診療時間 | 日 | 月 | 火 | 水 | 木 | 金 | 土 |
---|---|---|---|---|---|---|---|
10:00 ~ 13:00 | |||||||
15:00 ~ 19:30 | |||||||
14:30 ~ 16:30 |
休診日:木曜・日曜・祝日
訪問歯科は木曜のみ
ほか臨時休診日あり ホームページを確認ください
アクセスマップ
基本情報
医院名 | あざみ歯科クリニック |
所在地 | 〒343-0026 埼玉県 越谷市 北越谷5-9-4 |
最寄駅 | 北越谷駅 東口 徒歩5分 |
診療内容 | 歯冠修復、欠損補綴 / 根管治療 / 歯周病治療 / 予防治療 / 小児歯科 / 矯正歯科 / 口腔外科治療 / インプラント治療 / 訪問診療 |
医院ID | 44837 |