【中浦和駅徒歩8分】全世代にやさしいいちかわ歯科
いちかわ歯科は、JR埼京線中浦和駅から徒歩8分、JR埼京線・武蔵野線武蔵浦和駅から徒歩14分の立地にあり、通院しやすい環境が整っています。駐車場も7台分完備しており、近隣には提携コインパーキングも利用可能です。診療時間は月曜から水曜、金曜は9:30〜13:00/14:00〜18:00、土曜は17:30までの診療を行っており、平日はもちろん土曜日にも対応しているため、平日に通院が難しい方にも便利です。
いちかわ歯科の特徴のひとつは、すべての年代の方が安心して通えるバリアフリー設計と、個室・半個室での診療対応です。また、歯科医師や歯科衛生士に加え、保育士・管理栄養士も在籍しており、チーム医療体制を整えている点も大きな魅力です。さらに、マイクロスコープや歯科用CTなどの精密機器を活用した「なるべく削らない・痛みの少ない治療」を実施し、長く歯を保つための高精度な診療が提供されています。患者様一人ひとりに寄り添った丁寧なカウンセリングも重視し、信頼関係を大切にしています。
いちかわ歯科の特徴のひとつは、すべての年代の方が安心して通えるバリアフリー設計と、個室・半個室での診療対応です。また、歯科医師や歯科衛生士に加え、保育士・管理栄養士も在籍しており、チーム医療体制を整えている点も大きな魅力です。さらに、マイクロスコープや歯科用CTなどの精密機器を活用した「なるべく削らない・痛みの少ない治療」を実施し、長く歯を保つための高精度な診療が提供されています。患者様一人ひとりに寄り添った丁寧なカウンセリングも重視し、信頼関係を大切にしています。
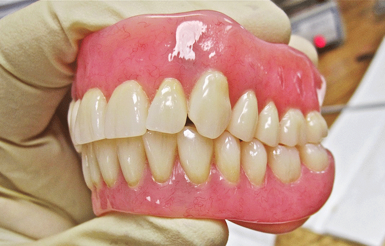
有床義歯のこだわりポイント

いちかわ歯科では、入れ歯や高齢者の口腔ケアに力を入れた診療を行っています。年齢とともに増える虫歯や歯周病によって歯を失った場合、義歯の使用は重要な選択肢となります。いちかわ歯科では、保険診療の一般的な入れ歯に加え、快適性や審美性を重視した金属床やノンクラスプデンチャー、さらにはミラクルデンチャーなど、幅広い義歯治療を提供しています。特にミラクルデンチャーは見た目が自然で安定性も高く、使用感に優れている点が特徴です。
また、高齢者特有の口腔内の問題にも対応しています。根面う蝕や唾液分泌の低下、口腔機能低下症など、高齢者に多く見られる症状を総合的に把握し、適切なケアを実施しています。全身疾患を抱える方への配慮も徹底しており、血圧や血中酸素濃度の測定、麻酔薬の選定など、安全性を重視した診療体制が整っています。
入れ歯の新規作成だけでなく、他院で作製された入れ歯の調整にも対応しており、食事や会話に支障を感じている患者様に対しても、きめ細やかなサポートを提供しています。いちかわ歯科は、高齢者が安心して通える歯科医院として、地域に根ざした診療を行っています。
また、高齢者特有の口腔内の問題にも対応しています。根面う蝕や唾液分泌の低下、口腔機能低下症など、高齢者に多く見られる症状を総合的に把握し、適切なケアを実施しています。全身疾患を抱える方への配慮も徹底しており、血圧や血中酸素濃度の測定、麻酔薬の選定など、安全性を重視した診療体制が整っています。
入れ歯の新規作成だけでなく、他院で作製された入れ歯の調整にも対応しており、食事や会話に支障を感じている患者様に対しても、きめ細やかなサポートを提供しています。いちかわ歯科は、高齢者が安心して通える歯科医院として、地域に根ざした診療を行っています。
医院としての理念・方針

いちかわ歯科では、すべての患者様が安心して通える環境づくりと、生涯にわたる口腔の健康維持を目指しています。小さなお子様から高齢の方まで、それぞれのライフステージに合わせた適切な治療と予防ケアを大切にしています。治療の場面では、見た目や使い心地だけでなく、できるだけ削らず、痛みの少ない方法を採用し、将来を見据えた歯の保存に努めています。
また、患者様との信頼関係を築くために、丁寧なカウンセリングや説明を重視し、不安や疑問に寄り添う姿勢を忘れません。医師・衛生士に加え、保育士や管理栄養士など多職種が連携し、専門性を活かしたチーム医療を提供しています。地域に根ざし、長く通える歯科医院として、常に質の高い医療を追求しています。
また、患者様との信頼関係を築くために、丁寧なカウンセリングや説明を重視し、不安や疑問に寄り添う姿勢を忘れません。医師・衛生士に加え、保育士や管理栄養士など多職種が連携し、専門性を活かしたチーム医療を提供しています。地域に根ざし、長く通える歯科医院として、常に質の高い医療を追求しています。
院長について
▽略歴
1994年 東京医科歯科大学 歯学部 卒業
1994年 東京医科歯科大学大学院 入学
1998年 東京医科歯科大学大学院 修了/歯学博士(高齢者歯科学)取得
1999年 UCLA歯学部 客員研究員(口腔顔面疼痛学・口腔内科)
2006年 いちかわ歯科 開院
2010年 医療法人H-P Smile 設立、現在に至る
1994年 東京医科歯科大学 歯学部 卒業
1994年 東京医科歯科大学大学院 入学
1998年 東京医科歯科大学大学院 修了/歯学博士(高齢者歯科学)取得
1999年 UCLA歯学部 客員研究員(口腔顔面疼痛学・口腔内科)
2006年 いちかわ歯科 開院
2010年 医療法人H-P Smile 設立、現在に至る
お子様の「歯医者嫌い」をなくす小児歯科

いちかわ歯科では、小児歯科においてお子様の心と身体の成長に寄り添う診療が行われています。歯科医院に対して恐怖心を抱かせないよう、初診時には治療器具に慣れてもらう「トレーニング」を実施し、無理に治療を進めない方針を取っています。こうした取り組みにより、歯医者が苦手なお子様でも安心して通える環境が整えられています。
小児歯科においては、虫歯予防や歯並びのチェックなど、成長に応じた対応が求められます。いちかわ歯科では、定期検診の際に歯科衛生士によるブラッシング指導やフッ素塗布を行い、虫歯になりにくい口内環境づくりをサポートしています。また、保育士が常駐している点も特徴で、診療中の保護者が安心して治療を受けられる体制が整っています。
さらに、将来的な歯並びや噛み合わせに影響を与える癖や習慣についても早期にアドバイスが行われており、予防的な視点に基づいた対応が徹底されています。管理栄養士による食生活へのサポートも受けられるため、総合的な健康づくりを支える体制が評価されています。いちかわ歯科は、お子様が楽しく通える歯科医院として、保護者からも高い信頼を得ています。
小児歯科においては、虫歯予防や歯並びのチェックなど、成長に応じた対応が求められます。いちかわ歯科では、定期検診の際に歯科衛生士によるブラッシング指導やフッ素塗布を行い、虫歯になりにくい口内環境づくりをサポートしています。また、保育士が常駐している点も特徴で、診療中の保護者が安心して治療を受けられる体制が整っています。
さらに、将来的な歯並びや噛み合わせに影響を与える癖や習慣についても早期にアドバイスが行われており、予防的な視点に基づいた対応が徹底されています。管理栄養士による食生活へのサポートも受けられるため、総合的な健康づくりを支える体制が評価されています。いちかわ歯科は、お子様が楽しく通える歯科医院として、保護者からも高い信頼を得ています。
健康な歯を守る、プロによる定期ケア

いちかわ歯科では、予防歯科に力を入れ、虫歯や歯周病の発症を未然に防ぐ取り組みを積極的に行っています。治療が必要になってから受診するのではなく、健康な状態を維持することを目的に通院を促しており、そのための仕組みとして「予防専用フロア」が設けられています。予防処置は個室または半個室で行われ、リラックスしながらケアを受けられる環境が整っています。
いちかわ歯科の予防歯科では、担当の歯科衛生士が継続的に口腔内をチェックし、専門的なクリーニングやブラッシング指導、フッ素塗布を実施します。患者様一人ひとりのライフスタイルや口腔状態に応じて、適切なケアプランが提案されるため、継続的に通いやすい点も特長です。
また、生活習慣が口腔内に与える影響にも注目し、管理栄養士による食生活のアドバイスも提供されています。歯科衛生士と連携したこのサポートは、単なる治療ではなく全身の健康維持にもつながる取り組みとして評価されています。予防の大切さを伝える姿勢が徹底されており、歯科医院に通う目的そのものを見直すきっかけを与える診療が実践されています。
いちかわ歯科の予防歯科では、担当の歯科衛生士が継続的に口腔内をチェックし、専門的なクリーニングやブラッシング指導、フッ素塗布を実施します。患者様一人ひとりのライフスタイルや口腔状態に応じて、適切なケアプランが提案されるため、継続的に通いやすい点も特長です。
また、生活習慣が口腔内に与える影響にも注目し、管理栄養士による食生活のアドバイスも提供されています。歯科衛生士と連携したこのサポートは、単なる治療ではなく全身の健康維持にもつながる取り組みとして評価されています。予防の大切さを伝える姿勢が徹底されており、歯科医院に通う目的そのものを見直すきっかけを与える診療が実践されています。
歯と全身の健康を守る歯周病治療

いちかわ歯科では、歯周病の早期発見と進行抑制に重点を置いた治療を提供しています。歯周病は自覚症状が少ないまま進行するため、定期的な検査と専門的なケアが欠かせません。いちかわ歯科では、歯科衛生士による歯周ポケットの検査やプラークコントロール、スケーリング・ルートプレーニングなどの基本治療が丁寧に行われています。
歯周病は歯を支える骨が溶けていく病気であり、全身の健康とも深い関係があります。特に糖尿病や心疾患などとの関連も指摘されているため、口腔内だけでなく全身を見据えた管理が求められます。いちかわ歯科では、患者様の全身状態を考慮した上で治療計画を立て、必要に応じて内科との連携も行われています。
また、再発を防ぐためのメンテナンスにも力を入れており、定期的な通院による口腔内のチェックとプロフェッショナルケアが徹底されています。予防専用フロアでの診療や、患者様ごとのカルテ管理によって、継続的かつ的確なアプローチが可能です。長期的に健康な口腔環境を維持するための取り組みとして、高い信頼を得ている歯科医院です。
歯周病は歯を支える骨が溶けていく病気であり、全身の健康とも深い関係があります。特に糖尿病や心疾患などとの関連も指摘されているため、口腔内だけでなく全身を見据えた管理が求められます。いちかわ歯科では、患者様の全身状態を考慮した上で治療計画を立て、必要に応じて内科との連携も行われています。
また、再発を防ぐためのメンテナンスにも力を入れており、定期的な通院による口腔内のチェックとプロフェッショナルケアが徹底されています。予防専用フロアでの診療や、患者様ごとのカルテ管理によって、継続的かつ的確なアプローチが可能です。長期的に健康な口腔環境を維持するための取り組みとして、高い信頼を得ている歯科医院です。
快適な日常を取り戻すインプラントの選択

いちかわ歯科では、失った歯を補う選択肢の一つとして、インプラント治療に対応しています。インプラントは、顎の骨に人工歯根を埋め込んで人工歯を装着する治療法であり、見た目や噛む力の面でも自然な歯に近い状態が得られることから、多くの患者様に支持されています。入れ歯やブリッジに比べ、他の歯への負担が少なく、快適な日常生活を取り戻しやすい点も特長です。
治療にあたっては、歯科用CTによる詳細な画像診断を行い、骨の厚みや神経の位置などを精密に把握したうえで計画が立てられます。いちかわ歯科には、外科処置の経験が豊富な歯科医師が在籍しており、安全性に配慮した丁寧な施術が行われています。また、患者様の全身状態を確認し、持病がある方や高齢の方にも対応できる体制が整っています。
インプラント治療は術後のメンテナンスも重要です。いちかわ歯科では、歯科衛生士による定期的なケアと専門的な指導を通じて、長期的なインプラントの安定性を維持できるよう支援しています。専門知識と設備を備えた体制により、安心してインプラント治療を受けられる環境が整えられています。
治療にあたっては、歯科用CTによる詳細な画像診断を行い、骨の厚みや神経の位置などを精密に把握したうえで計画が立てられます。いちかわ歯科には、外科処置の経験が豊富な歯科医師が在籍しており、安全性に配慮した丁寧な施術が行われています。また、患者様の全身状態を確認し、持病がある方や高齢の方にも対応できる体制が整っています。
インプラント治療は術後のメンテナンスも重要です。いちかわ歯科では、歯科衛生士による定期的なケアと専門的な指導を通じて、長期的なインプラントの安定性を維持できるよう支援しています。専門知識と設備を備えた体制により、安心してインプラント治療を受けられる環境が整えられています。
自由診療のリスク・副作用、その他
自由診療について
患者様のさまざまなニーズに応えるために自由診療を提供しております。しかし、自由診療には健康保険適用外の治療が含まれるため、以下の点にご注意ください。
【リスクについて】
自由診療には、保険適用治療に比べて高度かつ専門的な治療が含まれる場合があります。これらの治療はより高い技術を要求されるため、一般的な治療よりもリスクが高まる可能性があります。
【副作用について】
すべての医療行為には副作用のリスクが伴います。自由診療の場合、使用する材料や治療方法が特殊な場合があるため、通常の治療とは異なる副作用が発生する可能性があります。
【費用について】
自由診療は健康保険の適用外であるため、保険診療と比較して高額になることがあります。治療前には必ず費用の詳細について説明を行い、ご同意をいただいてから治療を開始します。
【治療の選択について】
患者様の健康状態や希望に合わせて、最適な治療計画を提案します。自由診療は選択肢の一つであり、必ずしもすべての患者様に適しているわけではありません。
【その他の注意事項】
治療後のフォローアップやメンテナンスについても、自由診療の範囲内で行うことがあります。これには追加の費用が発生する場合があります。
患者様一人ひとりに合った治療を心がけております。自由診療を含むすべての治療オプションについて、十分な説明とともに、患者様のご理解とご同意を得ることを重視しています。ご不明な点やご心配なことがございましたら、遠慮なくご相談ください。
患者様のさまざまなニーズに応えるために自由診療を提供しております。しかし、自由診療には健康保険適用外の治療が含まれるため、以下の点にご注意ください。
【リスクについて】
自由診療には、保険適用治療に比べて高度かつ専門的な治療が含まれる場合があります。これらの治療はより高い技術を要求されるため、一般的な治療よりもリスクが高まる可能性があります。
【副作用について】
すべての医療行為には副作用のリスクが伴います。自由診療の場合、使用する材料や治療方法が特殊な場合があるため、通常の治療とは異なる副作用が発生する可能性があります。
【費用について】
自由診療は健康保険の適用外であるため、保険診療と比較して高額になることがあります。治療前には必ず費用の詳細について説明を行い、ご同意をいただいてから治療を開始します。
【治療の選択について】
患者様の健康状態や希望に合わせて、最適な治療計画を提案します。自由診療は選択肢の一つであり、必ずしもすべての患者様に適しているわけではありません。
【その他の注意事項】
治療後のフォローアップやメンテナンスについても、自由診療の範囲内で行うことがあります。これには追加の費用が発生する場合があります。
患者様一人ひとりに合った治療を心がけております。自由診療を含むすべての治療オプションについて、十分な説明とともに、患者様のご理解とご同意を得ることを重視しています。ご不明な点やご心配なことがございましたら、遠慮なくご相談ください。
この医院の口コミはまだありません
受付時間
診療時間 | 日 | 月 | 火 | 水 | 木 | 金 | 土 |
---|---|---|---|---|---|---|---|
09:30 ~ 13:00 | |||||||
14:00 ~ 18:00 | |||||||
09:30 ~ 11:45 | |||||||
14:00 ~ 17:30 |
休診日:木曜・日曜・祝日
アクセスマップ
基本情報
医院名 | いちかわ歯科 |
所在地 | 〒336-0031 埼玉県 さいたま市南区 鹿手袋3-24-12 メゾン癸生川1F |
最寄駅 | JR中浦和駅 西口 徒歩8分 |
診療内容 | 歯冠修復、欠損補綴 / 根管治療 / 歯周病治療 / 予防治療 / 小児歯科 / 矯正歯科 / 口腔外科治療 / 有床義歯 / インプラント治療 / 咬み合わせ治療 / 顎関節症治療 / 訪問診療 |
医院ID | 43729 |