【八潮駅より車で5分】【日本矯正歯科学会指導医 在籍】より良い歯並びを目指した矯正専門歯科・磯貝矯正歯科医院
磯貝矯正歯科医院は、八潮駅北出口より車で5分に位置する歯科医院です。矯正治療を専門に行っており、埼玉県の更生指定医療機関として認定されています。矯正治療は、他の医療のように元の状態に戻すのではなく、より良い状態を目指す治療です。特に成長発育という身体のプロセスに関わる点が特徴で、治療には長い時間を要することも少なくありません。
歯並びや咬み合わせの状態、患者様の置かれた環境、さらに担当する歯科医師の考え方などによって、治療の内容は変わることがあります。多くの方は見た目の改善を目的として受診されますが、実際にはしっかりと咬める機能性の向上が大きな目的であり、その結果として審美性も高まるという相関関係があるのです。
矯正治療では、装置を使って歯に力を加え少しずつ歯を動かしていくため、高い技術と豊富な経験が求められる分野です。そのため、患者様との信頼関係や丁寧なコミュニケーションも重要な要素となります。
特にお子様の場合、治療を始める際に「歯並びを治したい」という気持ちがあり、装置を付けることに納得していることが、スムーズな治療のためには欠かせません。磯貝矯正歯科医院では、こうした考え方を大切にしながら、一人ひとりに合わせた矯正治療を行っています。
歯並びや咬み合わせの状態、患者様の置かれた環境、さらに担当する歯科医師の考え方などによって、治療の内容は変わることがあります。多くの方は見た目の改善を目的として受診されますが、実際にはしっかりと咬める機能性の向上が大きな目的であり、その結果として審美性も高まるという相関関係があるのです。
矯正治療では、装置を使って歯に力を加え少しずつ歯を動かしていくため、高い技術と豊富な経験が求められる分野です。そのため、患者様との信頼関係や丁寧なコミュニケーションも重要な要素となります。
特にお子様の場合、治療を始める際に「歯並びを治したい」という気持ちがあり、装置を付けることに納得していることが、スムーズな治療のためには欠かせません。磯貝矯正歯科医院では、こうした考え方を大切にしながら、一人ひとりに合わせた矯正治療を行っています。
矯正歯科のこだわりポイント

矯正治療は、美しい歯並びとしっかり咬める口腔機能を整えるための、計画的かつ段階的な医療です。磯貝矯正歯科医院では、患者様一人ひとりの状態に合わせ、以下のような流れで治療を進めています。
まず、最初に行うのがカウンセリングです。ここでは現在の歯並びの状態を確認し、使用する矯正装置の種類、おおよその治療期間、費用、治療の概要について丁寧にご説明します。その後写真撮影、レントゲン、歯型の採取などを通じて詳しい検査を行い、正確な診断につなげていきます。
診断では検査結果をもとに、具体的な治療方針をご提案します。使用する装置や通院の頻度、期間、費用についても詳しくお伝えし、ご納得いただいた上で治療を開始します。
治療が始まると、まず矯正装置を装着し、その後は通常月に1〜2回の通院で、ワイヤーやゴムの調整などを行います。治療期間を経て歯並びが整った段階で装置を取り外し、代わりに保定装置を装着していただきます。これは、新しい歯並びを安定させるための重要なプロセスです。
保定期間中は、2〜3ヶ月に1度のペースで通院していただき、経過観察と装置の調整を行います。そして、歯並びの安定が確認された時点で、治療は完了となります。治療終了後も、万一歯並びに変化が見られた際は、いつでもご相談を受け付けています。
まず、最初に行うのがカウンセリングです。ここでは現在の歯並びの状態を確認し、使用する矯正装置の種類、おおよその治療期間、費用、治療の概要について丁寧にご説明します。その後写真撮影、レントゲン、歯型の採取などを通じて詳しい検査を行い、正確な診断につなげていきます。
診断では検査結果をもとに、具体的な治療方針をご提案します。使用する装置や通院の頻度、期間、費用についても詳しくお伝えし、ご納得いただいた上で治療を開始します。
治療が始まると、まず矯正装置を装着し、その後は通常月に1〜2回の通院で、ワイヤーやゴムの調整などを行います。治療期間を経て歯並びが整った段階で装置を取り外し、代わりに保定装置を装着していただきます。これは、新しい歯並びを安定させるための重要なプロセスです。
保定期間中は、2〜3ヶ月に1度のペースで通院していただき、経過観察と装置の調整を行います。そして、歯並びの安定が確認された時点で、治療は完了となります。治療終了後も、万一歯並びに変化が見られた際は、いつでもご相談を受け付けています。
医院としての理念・方針

磯貝矯正歯科医院では、「より良い状態をつくる医療」を理念として、矯正治療に取り組んでいます。矯正治療は、単に歯並びを美しく整えるだけでなく、しっかり咬める機能を高めることを目指す医療です。見た目の美しさと機能性は切り離されたものではなく、機能を追求する中で、自然と審美性も向上するという考え方が根本にあります。
治療においては、歯並びや咬み合わせの状態だけでなく、生活環境や成長の段階、そして患者様一人ひとりの気持ちも含めて丁寧に向き合うことが大切です。特にお子様の矯正治療においては、装置を受け入れる気持ちが育っているかを重視し、納得のうえで治療に臨んでいただくことを心がけています。
治療中に交わされる対話を通じて、共にゴールを目指す姿勢を持つことが、磯貝矯正歯科医院の理念です。歯科医療の枠を超えた、人生の質を高めるサポートを行っていくことを大切にしています。
治療においては、歯並びや咬み合わせの状態だけでなく、生活環境や成長の段階、そして患者様一人ひとりの気持ちも含めて丁寧に向き合うことが大切です。特にお子様の矯正治療においては、装置を受け入れる気持ちが育っているかを重視し、納得のうえで治療に臨んでいただくことを心がけています。
治療中に交わされる対話を通じて、共にゴールを目指す姿勢を持つことが、磯貝矯正歯科医院の理念です。歯科医療の枠を超えた、人生の質を高めるサポートを行っていくことを大切にしています。
院長について
▽略歴
日本歯科大学卒
矯正学専攻
歯学博士
指導医・認定医
日本矯正歯科学会指導医、認定医
日本歯科大学卒
矯正学専攻
歯学博士
指導医・認定医
日本矯正歯科学会指導医、認定医
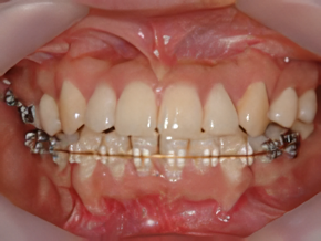
多く選ばれる信頼性の高いメタルブラケット治療

メタルブラケットによる矯正治療は、金属製の小さなブラケットを歯の表面に装着し、ワイヤーを通すことで計画的に歯を動かしていきます。素材に金属を使用しているため、強度に優れ、あらゆる症例に対応しやすい点が特長です。
この治療法は、比較的費用が抑えられることも魅力の一つです。見た目の点では、透明な装置や裏側矯正に比べて目立ちやすいものの、機能性やコントロールのしやすさから、多くの歯科医がスタンダードな方法として採用しています。特に歯の移動量が多い症例や、治療精度が求められる場面では、その強みが発揮されます。
治療中は、月に1〜2回程度の通院で、ワイヤーの調整やゴムの交換などを行い、徐々に歯を理想的な位置へと導いていきます。また金属の耐久性が高いため、装置の破損やトラブルも比較的少なく、安心して治療を進めることができます。
磯貝矯正歯科医院では、患者様のライフスタイルやご希望を伺いながら、最適な装置をご提案しています。メタルブラケットも、確かな技術と経験のもと丁寧に治療を行っておりますので、安心してご相談ください。
この治療法は、比較的費用が抑えられることも魅力の一つです。見た目の点では、透明な装置や裏側矯正に比べて目立ちやすいものの、機能性やコントロールのしやすさから、多くの歯科医がスタンダードな方法として採用しています。特に歯の移動量が多い症例や、治療精度が求められる場面では、その強みが発揮されます。
治療中は、月に1〜2回程度の通院で、ワイヤーの調整やゴムの交換などを行い、徐々に歯を理想的な位置へと導いていきます。また金属の耐久性が高いため、装置の破損やトラブルも比較的少なく、安心して治療を進めることができます。
磯貝矯正歯科医院では、患者様のライフスタイルやご希望を伺いながら、最適な装置をご提案しています。メタルブラケットも、確かな技術と経験のもと丁寧に治療を行っておりますので、安心してご相談ください。
審美性を重視したセラミックブラケット治療

セラミックブラケットは、歯の色に近いセラミック製のブラケットを使用するため、装置が自然に歯に馴染み装着中も口元の印象が柔らかく見える点が特長です。矯正中であることを気づかれにくく、見た目を気にされる患者様に多く選ばれています。
金属ブラケットと同様に、歯の表面にブラケットを装着し、ワイヤーを通して歯を徐々に動かしていきます。素材がセラミックであるため、審美性に優れているだけでなく、治療の精度にも妥協がなく、機能的にも高いレベルでの治療が可能です。
ただし、金属に比べてやや壊れやすい性質を持つため、取扱いには注意が必要です。また、ワイヤーの種類によっては目立たない白色や透明なものを組み合わせることで、さらに自然な仕上がりが期待できます。
磯貝矯正歯科医院では、患者様のご希望に沿った装置の選択を大切にしています。セラミックブラケットは、審美性を重視しつつ、しっかりと機能を果たす治療方法として、自信を持ってご案内しております。矯正中も自然な笑顔で過ごしたい方は、ぜひご相談ください。
金属ブラケットと同様に、歯の表面にブラケットを装着し、ワイヤーを通して歯を徐々に動かしていきます。素材がセラミックであるため、審美性に優れているだけでなく、治療の精度にも妥協がなく、機能的にも高いレベルでの治療が可能です。
ただし、金属に比べてやや壊れやすい性質を持つため、取扱いには注意が必要です。また、ワイヤーの種類によっては目立たない白色や透明なものを組み合わせることで、さらに自然な仕上がりが期待できます。
磯貝矯正歯科医院では、患者様のご希望に沿った装置の選択を大切にしています。セラミックブラケットは、審美性を重視しつつ、しっかりと機能を果たす治療方法として、自信を持ってご案内しております。矯正中も自然な笑顔で過ごしたい方は、ぜひご相談ください。
裏側矯正で目立ちにくいリンガルブラケット治療

リンガルブラケットによる矯正治療は、装置が歯の裏側に装着されるため、外からはほとんど見えないという特長があります。矯正中であることを周囲に気づかれずに治療を進められる点が、大きなメリットとなります。
治療の仕組み自体は他のブラケット矯正と同様で、装置とワイヤーによって歯を計画的に動かしていきます。ただし、装置が歯の裏側にあるため、より繊細な技術と経験が求められます。また慣れるまでの間は、発音のしづらさや舌への違和感を感じる場合もありますが、多くの方が時間とともに順応されています。
リンガルブラケットは、表側に装置が見えない点で高い審美性を保ちつつ、精度の高い矯正治療が可能です。治療期間や費用は症例によって異なりますが、見た目を気にせずにしっかりと歯並びを整えたいという方には、非常に適した方法です。
磯貝矯正歯科医院では、リンガル矯正にも対応しており、患者様のライフスタイルやご希望に合わせた治療プランをご提案しています。見えない矯正をお考えの方は、お気軽にご相談ください。
治療の仕組み自体は他のブラケット矯正と同様で、装置とワイヤーによって歯を計画的に動かしていきます。ただし、装置が歯の裏側にあるため、より繊細な技術と経験が求められます。また慣れるまでの間は、発音のしづらさや舌への違和感を感じる場合もありますが、多くの方が時間とともに順応されています。
リンガルブラケットは、表側に装置が見えない点で高い審美性を保ちつつ、精度の高い矯正治療が可能です。治療期間や費用は症例によって異なりますが、見た目を気にせずにしっかりと歯並びを整えたいという方には、非常に適した方法です。
磯貝矯正歯科医院では、リンガル矯正にも対応しており、患者様のライフスタイルやご希望に合わせた治療プランをご提案しています。見えない矯正をお考えの方は、お気軽にご相談ください。
口腔全体の機能バランスを整える噛み合わせ治療

噛み合わせの治療は、単に歯並びを整えるだけでなく、口腔全体の機能バランスを整えるために重要な治療です。噛み合わせが乱れていると、見た目だけでなく、食事や発音、顎関節の動きにも影響を及ぼすことがあり、放置すると肩こりや頭痛、顎の痛みなど全身症状に発展することもあります。
磯貝矯正歯科医院では、咬合(こうごう)と呼ばれる上下の歯の接触関係に注目し、機能的かつ安定した噛み合わせを目指した矯正治療を行っています。噛み合わせのズレは、歯の傾きや位置の異常、骨格的な問題、さらには生活習慣など複合的な要因によって生じるため、丁寧な診査と正確な診断が欠かせません。
治療は歯並びを正しい位置に導くことで、噛み合わせのバランスを整えていきます。また、噛み合わせの改善は、結果として見た目の印象にも良い変化をもたらすことがあります。
正しい噛み合わせは、長期的な歯の健康維持にも大きく関わります。お口の違和感や咬みにくさが気になる方は、ぜひ一度ご相談ください。
磯貝矯正歯科医院では、咬合(こうごう)と呼ばれる上下の歯の接触関係に注目し、機能的かつ安定した噛み合わせを目指した矯正治療を行っています。噛み合わせのズレは、歯の傾きや位置の異常、骨格的な問題、さらには生活習慣など複合的な要因によって生じるため、丁寧な診査と正確な診断が欠かせません。
治療は歯並びを正しい位置に導くことで、噛み合わせのバランスを整えていきます。また、噛み合わせの改善は、結果として見た目の印象にも良い変化をもたらすことがあります。
正しい噛み合わせは、長期的な歯の健康維持にも大きく関わります。お口の違和感や咬みにくさが気になる方は、ぜひ一度ご相談ください。
自由診療のリスク・副作用、その他
自由診療について
患者様のさまざまなニーズに応えるために自由診療を提供しております。しかし、自由診療には健康保険適用外の治療が含まれるため、以下の点にご注意ください。
【リスクについて】
自由診療には、保険適用治療に比べて高度かつ専門的な治療が含まれる場合があります。これらの治療はより高い技術を要求されるため、一般的な治療よりもリスクが高まる可能性があります。
【副作用について】
すべての医療行為には副作用のリスクが伴います。自由診療の場合、使用する材料や治療方法が特殊な場合があるため、通常の治療とは異なる副作用が発生する可能性があります。
【費用について】
自由診療は健康保険の適用外であるため、保険診療と比較して高額になることがあります。治療前には必ず費用の詳細について説明を行い、ご同意をいただいてから治療を開始します。
【治療の選択について】
患者様の健康状態や希望に合わせて、最適な治療計画を提案します。自由診療は選択肢の一つであり、必ずしもすべての患者様に適しているわけではありません。
【その他の注意事項】
治療後のフォローアップやメンテナンスについても、自由診療の範囲内で行うことがあります。これには追加の費用が発生する場合があります。
患者様一人ひとりに合った治療を心がけております。自由診療を含むすべての治療オプションについて、十分な説明とともに、患者様のご理解とご同意を得ることを重視しています。ご不明な点やご心配なことがございましたら、遠慮なくご相談ください。
患者様のさまざまなニーズに応えるために自由診療を提供しております。しかし、自由診療には健康保険適用外の治療が含まれるため、以下の点にご注意ください。
【リスクについて】
自由診療には、保険適用治療に比べて高度かつ専門的な治療が含まれる場合があります。これらの治療はより高い技術を要求されるため、一般的な治療よりもリスクが高まる可能性があります。
【副作用について】
すべての医療行為には副作用のリスクが伴います。自由診療の場合、使用する材料や治療方法が特殊な場合があるため、通常の治療とは異なる副作用が発生する可能性があります。
【費用について】
自由診療は健康保険の適用外であるため、保険診療と比較して高額になることがあります。治療前には必ず費用の詳細について説明を行い、ご同意をいただいてから治療を開始します。
【治療の選択について】
患者様の健康状態や希望に合わせて、最適な治療計画を提案します。自由診療は選択肢の一つであり、必ずしもすべての患者様に適しているわけではありません。
【その他の注意事項】
治療後のフォローアップやメンテナンスについても、自由診療の範囲内で行うことがあります。これには追加の費用が発生する場合があります。
患者様一人ひとりに合った治療を心がけております。自由診療を含むすべての治療オプションについて、十分な説明とともに、患者様のご理解とご同意を得ることを重視しています。ご不明な点やご心配なことがございましたら、遠慮なくご相談ください。
この医院の口コミはまだありません
受付時間
診療時間 | 日 | 月 | 火 | 水 | 木 | 金 | 土 |
---|---|---|---|---|---|---|---|
10:00 ~ 19:00 |
休診日:月曜・木曜・日曜・祝日
アクセスマップ
基本情報
医院名 | 磯貝矯正歯科医院 |
所在地 | 〒340-0816 埼玉県 八潮市 中央2-12-28 |
最寄駅 | 八潮駅 北出口 車で5分 |
診療内容 | 矯正歯科 / 咬み合わせ治療 |
医院ID | 42988 |