【北習志野駅から徒歩5分】【日本矯正歯科学会認定医在籍】高度な顕微鏡診療と専門技術で地域を支える清水歯科・矯正歯科
清水歯科・矯正歯科は、京成松戸線・東葉高速線が交差する北習志野駅から徒歩5分の場所に位置しています。1980年の開院以来40年以上にわたり地域医療に貢献してきており、2018年に新たにリニューアルオープンしました。
医院の大きな特徴は、マイクロスコープ(顕微鏡)を用いた精密な診療を行っていることです。特に1999年からはすべての治療において顕微鏡下で治療を行なっており、細部まで見える環境で診療が行なっています。歯科用CT(低被曝型)やNd:YAGレーザーなど最新機器も完備し、科学的根拠に基づいた治療を実践しているのも特徴です。
日本矯正歯科学会認定医である歯科医師が常勤しており、子どもから大人まで矯正治療を行なっています。セファロ(頭部X線規格写真)分析などの専門的検査を行い、正確な診断と治療計画を立案します。患者様一人に対して歯科医師一人の予約枠を確保しているため、ひとりひとりに向き合った治療を実現しています。
医院の大きな特徴は、マイクロスコープ(顕微鏡)を用いた精密な診療を行っていることです。特に1999年からはすべての治療において顕微鏡下で治療を行なっており、細部まで見える環境で診療が行なっています。歯科用CT(低被曝型)やNd:YAGレーザーなど最新機器も完備し、科学的根拠に基づいた治療を実践しているのも特徴です。
日本矯正歯科学会認定医である歯科医師が常勤しており、子どもから大人まで矯正治療を行なっています。セファロ(頭部X線規格写真)分析などの専門的検査を行い、正確な診断と治療計画を立案します。患者様一人に対して歯科医師一人の予約枠を確保しているため、ひとりひとりに向き合った治療を実現しています。
矯正歯科のこだわりポイント

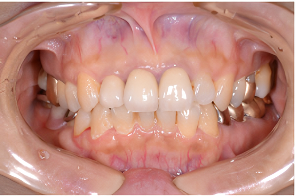
清水歯科・矯正歯科の最も得意とする診療科目は矯正歯科です。同院では日本矯正歯科学会認定医が常勤しており、矯正治療専門の高度な知識と技術を提供しています。
同医師は東京医科歯科大学で10年間勤務し、博士号を取得するなど学術的にも高い実績を持っています。特に子どもの矯正治療においては、単なる歯並びの改善だけでなく、顎の成長発達や機能の改善を視野に入れて治療を行います。
矯正治療を行うにあたり、セファロ(頭部X線規格写真)分析を必ず実施し、顎の位置関係や歯の傾きなどを詳細に分析します。分析結果に基づき、個々の患者様に最適な装置の選択や治療計画を立案することが可能です。
子どもの場合は夜間のみ使用する取り外し可能な装置を中心に、成長に合わせた治療を行っています。大人の患者様には、透明なブラケットやマウスピース型装置など、ライフスタイルに合わせた矯正方法を提案し、納得の行く歯並びの実現を目指しています。
同医師は東京医科歯科大学で10年間勤務し、博士号を取得するなど学術的にも高い実績を持っています。特に子どもの矯正治療においては、単なる歯並びの改善だけでなく、顎の成長発達や機能の改善を視野に入れて治療を行います。
矯正治療を行うにあたり、セファロ(頭部X線規格写真)分析を必ず実施し、顎の位置関係や歯の傾きなどを詳細に分析します。分析結果に基づき、個々の患者様に最適な装置の選択や治療計画を立案することが可能です。
子どもの場合は夜間のみ使用する取り外し可能な装置を中心に、成長に合わせた治療を行っています。大人の患者様には、透明なブラケットやマウスピース型装置など、ライフスタイルに合わせた矯正方法を提案し、納得の行く歯並びの実現を目指しています。
医院としての理念・方針

・自分の歯を最大限長く残す
清水歯科・矯正歯科では「なるだけ歯を残してゆく」という理念を掲げています。むし歯や歯周病を予防し、長持ちする治療方法を確立することが重要です。顕微鏡下での高度先端医療により、精密で確実な治療を提供しています。
・予防を重視した継続的なケア
むし歯や歯周病は予防可能な疾患であると考え、予防歯科に力を入れています。各個人のリスクに合わせた予防プログラムを設計し、定期的なケアを行いお口の健康維持をサポートします。フッ化物の適切な応用やブラッシング指導など、科学的根拠に基づいた予防法を実践します。
・学術的根拠に基づく診療
最新の医療技術と学術的知見に基づいた診療を心がけています。世界最高基準のクラスB滅菌器導入など徹底した衛生管理や、マイクロスコープを用いた精密治療を行い、確かな品質の医療を提供します。
清水歯科・矯正歯科では「なるだけ歯を残してゆく」という理念を掲げています。むし歯や歯周病を予防し、長持ちする治療方法を確立することが重要です。顕微鏡下での高度先端医療により、精密で確実な治療を提供しています。
・予防を重視した継続的なケア
むし歯や歯周病は予防可能な疾患であると考え、予防歯科に力を入れています。各個人のリスクに合わせた予防プログラムを設計し、定期的なケアを行いお口の健康維持をサポートします。フッ化物の適切な応用やブラッシング指導など、科学的根拠に基づいた予防法を実践します。
・学術的根拠に基づく診療
最新の医療技術と学術的知見に基づいた診療を心がけています。世界最高基準のクラスB滅菌器導入など徹底した衛生管理や、マイクロスコープを用いた精密治療を行い、確かな品質の医療を提供します。
院長について
▽略歴
船橋市立習志野台第一小学校、私立海城高校卒業
2006年
新潟大学歯学部卒業、臨床研修医
2007年
東京医科歯科大学 矯正歯科
(咬合機能矯正学分野)入局
2011年
東京医科歯科大学大学院博士課程修了
博士号取得
2012年
東京医科歯科大学歯学部附属病院
矯正歯科外来 医員(~2017年)
2017年~
東京医科歯科大学歯学部 矯正歯科
非常勤講師(~現在)
船橋市立習志野台第一小学校、私立海城高校卒業
2006年
新潟大学歯学部卒業、臨床研修医
2007年
東京医科歯科大学 矯正歯科
(咬合機能矯正学分野)入局
2011年
東京医科歯科大学大学院博士課程修了
博士号取得
2012年
東京医科歯科大学歯学部附属病院
矯正歯科外来 医員(~2017年)
2017年~
東京医科歯科大学歯学部 矯正歯科
非常勤講師(~現在)
マイクロスコープを活用した精密な一般歯科治療

清水歯科・矯正歯科では、一般歯科治療においても高い専門性と丁寧な診療を提供しています。特にマイクロスコープ(顕微鏡)を用いた精密治療は、肉眼では見えない細部まで確認しながら行うことができるため、治療の質と精度を高めることが可能です。
同院では1999年から全ての治療において顕微鏡下での診療を行っており、この長年の経験に基づく技術力が大きな強みとなっています。また、歯科用CTによる立体的な診断や、Nd:YAGレーザーを活用した最新治療にも取り組んでいます。
患者様一人一人に対して歯科医師が十分な時間を確保するため、丁寧な説明と同意に基づいた治療が実現可能です。患者様との信頼関係構築のため、「治療における選択肢を説明し、同意を頂いてから治療を行う」というインフォームドコンセントを重視した姿勢も大切にしています。また、折れた歯や抜けた歯の救急対応にも力を入れており、適切な初期対応と迅速な治療により本来なら失われる可能性のある歯を救える場合もあります。
同院では1999年から全ての治療において顕微鏡下での診療を行っており、この長年の経験に基づく技術力が大きな強みとなっています。また、歯科用CTによる立体的な診断や、Nd:YAGレーザーを活用した最新治療にも取り組んでいます。
患者様一人一人に対して歯科医師が十分な時間を確保するため、丁寧な説明と同意に基づいた治療が実現可能です。患者様との信頼関係構築のため、「治療における選択肢を説明し、同意を頂いてから治療を行う」というインフォームドコンセントを重視した姿勢も大切にしています。また、折れた歯や抜けた歯の救急対応にも力を入れており、適切な初期対応と迅速な治療により本来なら失われる可能性のある歯を救える場合もあります。
子どもの健やかな成長と歯の発達を支える小児歯科

清水歯科・矯正歯科の小児歯科では、子どもの成長に合わせた治療を行なっています。単なるむし歯治療だけでなく、将来を見据えた予防中心の診療が特徴的です。
虫歯予防のためのフッ素塗布や適切なブラッシング指導を行い、健康な歯を守る習慣形成に目指しています。特に子どもの時期は、口腔内環境や歯並びが将来の口腔健康に大きく影響するため、定期的な検診による早期発見・早期対応を重視しています。
子どもの歯並びの問題については、常勤の矯正専門医が対応しており、成長発達段階に応じた適切な介入時期や治療法を提案することができます。必要に応じて矯正治療を行うことで、永久歯列期の重度な不正咬合を予防することも可能となるでしょう。
在籍する歯科医師は習志野台第一小学校の学校歯科医を担当し、多数の健歯児童を育てた実績も持っています。これらの経験と専門知識を活かし、子どもの口腔健康を総合的にサポートする体制が整えられているのです。
虫歯予防のためのフッ素塗布や適切なブラッシング指導を行い、健康な歯を守る習慣形成に目指しています。特に子どもの時期は、口腔内環境や歯並びが将来の口腔健康に大きく影響するため、定期的な検診による早期発見・早期対応を重視しています。
子どもの歯並びの問題については、常勤の矯正専門医が対応しており、成長発達段階に応じた適切な介入時期や治療法を提案することができます。必要に応じて矯正治療を行うことで、永久歯列期の重度な不正咬合を予防することも可能となるでしょう。
在籍する歯科医師は習志野台第一小学校の学校歯科医を担当し、多数の健歯児童を育てた実績も持っています。これらの経験と専門知識を活かし、子どもの口腔健康を総合的にサポートする体制が整えられているのです。
科学的根拠に基づく効果的な予防歯科プログラム

清水歯科・矯正歯科の予防歯科では、40年以上にわたる臨床経験と多くのデータに基づいた診療を行なっています。むし歯や歯周病の「予防」と「早期発見」に力を入れ、各個人に合わせた予防歯科計画を立案します。
人によってむし歯のリスクが異なるため、個々の状態に合わせた予防法を設計しています。特に歯周病予防では、正しいブラッシング技術の習得が重要であるため、詳細な指導を行います。「みがいている」と「みがけている」は大きく異なるため、それぞれに合った歯ブラシの選び方や使い方を丁寧に教えています。
また、フッ化物の適切な応用がむし歯予防に効果的であるという科学的根拠に基づき、年齢や口腔状態に応じたフッ素塗布を実施しています。酸性飲食物の影響や、くいしばり・歯ぎしりへの対応など、歯を長期的に守るためのアドバイスも提供しています。予防歯科の成果として、多数の千葉県健歯児童を輩出した実績があり、長期的な予防プログラムの有効性を裏付けています。
人によってむし歯のリスクが異なるため、個々の状態に合わせた予防法を設計しています。特に歯周病予防では、正しいブラッシング技術の習得が重要であるため、詳細な指導を行います。「みがいている」と「みがけている」は大きく異なるため、それぞれに合った歯ブラシの選び方や使い方を丁寧に教えています。
また、フッ化物の適切な応用がむし歯予防に効果的であるという科学的根拠に基づき、年齢や口腔状態に応じたフッ素塗布を実施しています。酸性飲食物の影響や、くいしばり・歯ぎしりへの対応など、歯を長期的に守るためのアドバイスも提供しています。予防歯科の成果として、多数の千葉県健歯児童を輩出した実績があり、長期的な予防プログラムの有効性を裏付けています。
安全で効果的な医療ホワイトニングの提供

清水歯科・矯正歯科のホワイトニングは、歯科医師による診断のもとで行う医療ホワイトニングとして、安全性と効果を両立させています。表面の着色汚れだけでなく、歯の内部の黄ばみまで分解することが可能です。
医院で使用するホワイトニングジェルに含まれる有効成分(過酸化水素・過酸化尿素)は、歯を傷めることなく内部まで浸透し、着色汚れや沈着した色素を分解することで歯を白くするという仕組みです。専門的な知識と技術に基づき、患者様の理想の色に近づけるようお手伝いします。
ホームホワイトニングは専用のマウストレーとホワイトニングジェルを用いて、自宅で徐々に歯を白くしていく方法です。1日1回最長120分の装着を14日間続けることで、自然で美しい白さを実現します。
診療室での処置と自宅でのケアを組み合わせることで、患者様のライフスタイルに合わせた柔軟なホワイトニングプランを提案します。審美的な満足度を高めながら、歯の健康も維持できる効果的なホワイトニングを医院で行いませんか。
医院で使用するホワイトニングジェルに含まれる有効成分(過酸化水素・過酸化尿素)は、歯を傷めることなく内部まで浸透し、着色汚れや沈着した色素を分解することで歯を白くするという仕組みです。専門的な知識と技術に基づき、患者様の理想の色に近づけるようお手伝いします。
ホームホワイトニングは専用のマウストレーとホワイトニングジェルを用いて、自宅で徐々に歯を白くしていく方法です。1日1回最長120分の装着を14日間続けることで、自然で美しい白さを実現します。
診療室での処置と自宅でのケアを組み合わせることで、患者様のライフスタイルに合わせた柔軟なホワイトニングプランを提案します。審美的な満足度を高めながら、歯の健康も維持できる効果的なホワイトニングを医院で行いませんか。
自由診療のリスク・副作用、その他
自由診療について
患者様のさまざまなニーズに応えるために自由診療を提供しております。しかし、自由診療には健康保険適用外の治療が含まれるため、以下の点にご注意ください。
【リスクについて】
自由診療には、保険適用治療に比べて高度かつ専門的な治療が含まれる場合があります。これらの治療はより高い技術を要求されるため、一般的な治療よりもリスクが高まる可能性があります。
【副作用について】
すべての医療行為には副作用のリスクが伴います。自由診療の場合、使用する材料や治療方法が特殊な場合があるため、通常の治療とは異なる副作用が発生する可能性があります。
【費用について】
自由診療は健康保険の適用外であるため、保険診療と比較して高額になることがあります。治療前には必ず費用の詳細について説明を行い、ご同意をいただいてから治療を開始します。
【治療の選択について】
患者様の健康状態や希望に合わせて、最適な治療計画を提案します。自由診療は選択肢の一つであり、必ずしもすべての患者様に適しているわけではありません。
【その他の注意事項】
治療後のフォローアップやメンテナンスについても、自由診療の範囲内で行うことがあります。これには追加の費用が発生する場合があります。
患者様一人ひとりに合った治療を心がけております。自由診療を含むすべての治療オプションについて、十分な説明とともに、患者様のご理解とご同意を得ることを重視しています。ご不明な点やご心配なことがございましたら、遠慮なくご相談ください。
患者様のさまざまなニーズに応えるために自由診療を提供しております。しかし、自由診療には健康保険適用外の治療が含まれるため、以下の点にご注意ください。
【リスクについて】
自由診療には、保険適用治療に比べて高度かつ専門的な治療が含まれる場合があります。これらの治療はより高い技術を要求されるため、一般的な治療よりもリスクが高まる可能性があります。
【副作用について】
すべての医療行為には副作用のリスクが伴います。自由診療の場合、使用する材料や治療方法が特殊な場合があるため、通常の治療とは異なる副作用が発生する可能性があります。
【費用について】
自由診療は健康保険の適用外であるため、保険診療と比較して高額になることがあります。治療前には必ず費用の詳細について説明を行い、ご同意をいただいてから治療を開始します。
【治療の選択について】
患者様の健康状態や希望に合わせて、最適な治療計画を提案します。自由診療は選択肢の一つであり、必ずしもすべての患者様に適しているわけではありません。
【その他の注意事項】
治療後のフォローアップやメンテナンスについても、自由診療の範囲内で行うことがあります。これには追加の費用が発生する場合があります。
患者様一人ひとりに合った治療を心がけております。自由診療を含むすべての治療オプションについて、十分な説明とともに、患者様のご理解とご同意を得ることを重視しています。ご不明な点やご心配なことがございましたら、遠慮なくご相談ください。
この医院の口コミはまだありません
受付時間
診療時間 | 日 | 月 | 火 | 水 | 木 | 金 | 土 |
---|---|---|---|---|---|---|---|
09:00 ~ 12:00 | |||||||
14:00 ~ 18:00 |
休診日:木曜・日曜・祝日
アクセスマップ
基本情報
医院名 | 清水歯科・矯正歯科 |
所在地 | 〒274-0063 千葉県 船橋市 習志野台2-10-8 |
最寄駅 | 北習志野駅 T5出口 徒歩5分 |
診療内容 | 歯冠修復、欠損補綴 / 根管治療 / 歯周病治療 / 予防治療 / 小児歯科 / 矯正歯科 / 有床義歯 |
医院ID | 41653 |