【JR大船駅より徒歩10分】マイクロスコープがとらえる精密世界 。ミクロン単位の精度が変える歯科治療「ふくしま歯科医院」
JR大船駅東口から徒歩10分のふくしま歯科医院では、精密な治療を提供しています。手術用顕微鏡(マイクロスコープ)を活用し、細部まで確認しながら診療を行い、完全予約制で一人ひとりに十分な時間を確保しています。院内の衛生管理も徹底し、清潔な環境で安心して治療を受けられる体制を整えています。
虫歯治療では、う蝕検知液を使用して感染部分を的確に除去し、精密な修復を行います。根管治療では、マイクロスコープを使用し、根の奥まで清掃・充填することで、歯の長期維持を目指します。インプラント治療では、骨造成を避ける傾斜埋入法を採用し、負担を軽減しながら安全な治療を提供します。有床義歯では、コーヌスクローネ義歯や軟性裏装義歯など、多様な症例に対応しています。
また、審美修復では、機能と美しさを両立し、歯の形や色調を自然に整えます。さらに、歯牙移植や歯牙再植にも対応し、抜歯を回避できる治療を目指しています。マイクロスコープやCTを活用した詳細な検査を行い、患者様の状態に合わせた適切な治療計画を立案します。
ふくしま歯科医院では、高度な技術と設備を活かし、患者様が長く健康な歯を維持できるようサポートしています。
虫歯治療では、う蝕検知液を使用して感染部分を的確に除去し、精密な修復を行います。根管治療では、マイクロスコープを使用し、根の奥まで清掃・充填することで、歯の長期維持を目指します。インプラント治療では、骨造成を避ける傾斜埋入法を採用し、負担を軽減しながら安全な治療を提供します。有床義歯では、コーヌスクローネ義歯や軟性裏装義歯など、多様な症例に対応しています。
また、審美修復では、機能と美しさを両立し、歯の形や色調を自然に整えます。さらに、歯牙移植や歯牙再植にも対応し、抜歯を回避できる治療を目指しています。マイクロスコープやCTを活用した詳細な検査を行い、患者様の状態に合わせた適切な治療計画を立案します。
ふくしま歯科医院では、高度な技術と設備を活かし、患者様が長く健康な歯を維持できるようサポートしています。
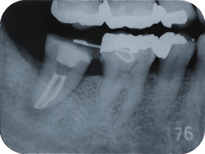
根管治療のこだわりポイント

虫歯治療では、う蝕検知液を使用し、感染した歯質を正確に把握しながら除去します。細菌感染した部分を取り残さないことは、治療後の再発を防ぐために重要です。治療後は、適切な修復材料を用い、歯質との密着性を高めることで、長期間安定した状態を維持できるよう努めています。また、歯髄(神経)をできるだけ保存する方針を採用し、患者様の負担を軽減しながら治療を行います。
根管治療では、マイクロスコープを活用し、肉眼では確認できない根管内部の細部まで視認しながら処置を進めます。根管は複雑な形状をしており、細菌が残ると再感染のリスクが高まります。そのため、根の先端まで徹底的に清掃し、緻密な充填を行うことで、治療後の安定性を高めています。根の病変による痛みや違和感がある場合にも、適切な診断と精密な処置を行い、歯の保存を目指します。
根管治療は歯を長く維持するために不可欠な治療ですが、症状が進行すると抜歯が避けられないケースもあります。そのため、早期発見・早期治療が重要です。定期的な検診を受け、虫歯の進行を抑えることで、歯の健康を維持しやすくなります。
ふくしま歯科医院では、歯をできる限り残すための精密な虫歯治療と根管治療を提供し、患者様が長く健康な歯を維持できるようサポートしています。
根管治療では、マイクロスコープを活用し、肉眼では確認できない根管内部の細部まで視認しながら処置を進めます。根管は複雑な形状をしており、細菌が残ると再感染のリスクが高まります。そのため、根の先端まで徹底的に清掃し、緻密な充填を行うことで、治療後の安定性を高めています。根の病変による痛みや違和感がある場合にも、適切な診断と精密な処置を行い、歯の保存を目指します。
根管治療は歯を長く維持するために不可欠な治療ですが、症状が進行すると抜歯が避けられないケースもあります。そのため、早期発見・早期治療が重要です。定期的な検診を受け、虫歯の進行を抑えることで、歯の健康を維持しやすくなります。
ふくしま歯科医院では、歯をできる限り残すための精密な虫歯治療と根管治療を提供し、患者様が長く健康な歯を維持できるようサポートしています。
医院としての理念・方針

ふくしま歯科医院では、患者様が生涯にわたって健康な歯を維持できるよう、精度の高い治療を提供しています。歯科医療においては、細部までこだわった丁寧な処置が重要であり、そのために手術用顕微鏡(マイクロスコープ)やCTを活用し、より正確な診断と治療を行っています。治療の際には、患者様の不安や疑問にしっかりと向き合い、納得いただいた上で進めることを大切にしています。
医院では、治療の質を維持するために完全予約制を採用し、一人ひとりに十分な時間を確保しています。初診時にはカウンセリングを行い、口腔内の状態や治療に対する希望を丁寧に伺います。治療計画を綿密に立てることで、できるだけ少ない通院回数で負担を抑えながら、確実な治療結果を目指しています。また、診療環境にも配慮し、治療器具の滅菌消毒や使い捨て製品の活用を徹底し、清潔で安全な環境を整えています。
機能的でありながら美しさも兼ね備えた口元を実現することも、歯科医療の大切な役割の一つです。噛む機能を回復させるだけでなく、自然な見た目にも配慮し、患者様にとって最適な治療を提案しています。咬み合わせや歯周組織の健康も含めた総合的な診断を行い、将来のトラブルを防ぐためのサポートを続けています。
ふくしま歯科医院は、ただ治療を行うだけでなく、患者様が安心して通える環境づくりを大切にしながら、長期的な視点でお口の健康を支えていきます。
医院では、治療の質を維持するために完全予約制を採用し、一人ひとりに十分な時間を確保しています。初診時にはカウンセリングを行い、口腔内の状態や治療に対する希望を丁寧に伺います。治療計画を綿密に立てることで、できるだけ少ない通院回数で負担を抑えながら、確実な治療結果を目指しています。また、診療環境にも配慮し、治療器具の滅菌消毒や使い捨て製品の活用を徹底し、清潔で安全な環境を整えています。
機能的でありながら美しさも兼ね備えた口元を実現することも、歯科医療の大切な役割の一つです。噛む機能を回復させるだけでなく、自然な見た目にも配慮し、患者様にとって最適な治療を提案しています。咬み合わせや歯周組織の健康も含めた総合的な診断を行い、将来のトラブルを防ぐためのサポートを続けています。
ふくしま歯科医院は、ただ治療を行うだけでなく、患者様が安心して通える環境づくりを大切にしながら、長期的な視点でお口の健康を支えていきます。
院長について
▽略歴
平成4年 福岡県立九州歯科大学 卒業
平成4年~平成14年 横浜市内の歯科医院にて勤務 分院長
平成14年 ふくしま歯科医院 開院
平成4年 福岡県立九州歯科大学 卒業
平成4年~平成14年 横浜市内の歯科医院にて勤務 分院長
平成14年 ふくしま歯科医院 開院
あなたの歯を守り活かす、最先端の移植・再植治療

ふくしま歯科医院では、患者様一人ひとりの大切な歯を最大限に活かす治療法に注力しています。特に「歯牙移植」と「歯牙再植」は、失われた歯の部位に親知らずなどご自身の歯を移植する革新的な方法です。
ご自身の体の一部を活用するため、異物反応のリスクが低く、生着後は長期的な安定が期待できます。詳細な事前検査により、適応性を丁寧に見極めています。
また、歯牙再植は通常であれば抜歯しか選択肢がないような状況でも、患者様の歯を守る最後の切り札となる治療です。根管治療では対応困難な歯に対しても、当院ではマイクロスコープを駆使した精密な処置により、高い成功率を実現しています。
これらの治療は「自分の歯で食事を楽しみたい」という患者様の願いに応えるもので、自然な噛み心地と機能性を維持できる点が大きな特長です。歯の保存にお悩みの患者様は、ぜひ一度ご相談ください。歯科医療の可能性を広げる先進的な選択肢をご提案します。再試行Claudeは間違えることがあります。回答内容を必ずご確認ください。
ご自身の体の一部を活用するため、異物反応のリスクが低く、生着後は長期的な安定が期待できます。詳細な事前検査により、適応性を丁寧に見極めています。
また、歯牙再植は通常であれば抜歯しか選択肢がないような状況でも、患者様の歯を守る最後の切り札となる治療です。根管治療では対応困難な歯に対しても、当院ではマイクロスコープを駆使した精密な処置により、高い成功率を実現しています。
これらの治療は「自分の歯で食事を楽しみたい」という患者様の願いに応えるもので、自然な噛み心地と機能性を維持できる点が大きな特長です。歯の保存にお悩みの患者様は、ぜひ一度ご相談ください。歯科医療の可能性を広げる先進的な選択肢をご提案します。再試行Claudeは間違えることがあります。回答内容を必ずご確認ください。
審美修復による機能と美しさの調和

審美修復は、歯の見た目を美しく整えるだけでなく、噛み合わせや歯ぐきの健康を考慮し、長期的な安定性を重視した治療を行うことが重要です。ふくしま歯科医院では、患者様の口元のバランスを総合的に診断し、一人ひとりに適した審美修復を提供しています。
修復治療には、天然歯に近い色調や透明感を持つセラミック素材を使用し、金属を使わないメタルフリー治療にも対応しています。金属アレルギーのリスクを軽減できるだけでなく、経年による変色が少ないため、美しさを長く保つことができます。また、詰め物や被せ物の形状を調整し、噛み合わせを最適化することで、機能性と審美性を両立させています。
歯ぐきの健康も審美修復において重要な要素の一つです。歯ぐきの黒ずみや歯肉退縮がある場合は、必要に応じて形態を整え、見た目だけでなく清潔な状態を維持しやすい環境を整えます。治療後も定期的なメンテナンスを行うことで、健康的で美しい口元を長期間維持できるようサポートしています。
ふくしま歯科医院では、機能と美しさの両面を考慮し、患者様が自信を持って笑える口元を目指した審美修復を提供しています。
修復治療には、天然歯に近い色調や透明感を持つセラミック素材を使用し、金属を使わないメタルフリー治療にも対応しています。金属アレルギーのリスクを軽減できるだけでなく、経年による変色が少ないため、美しさを長く保つことができます。また、詰め物や被せ物の形状を調整し、噛み合わせを最適化することで、機能性と審美性を両立させています。
歯ぐきの健康も審美修復において重要な要素の一つです。歯ぐきの黒ずみや歯肉退縮がある場合は、必要に応じて形態を整え、見た目だけでなく清潔な状態を維持しやすい環境を整えます。治療後も定期的なメンテナンスを行うことで、健康的で美しい口元を長期間維持できるようサポートしています。
ふくしま歯科医院では、機能と美しさの両面を考慮し、患者様が自信を持って笑える口元を目指した審美修復を提供しています。
骨造成不要の革新的インプラント

ふくしま歯科医院では、患者様の身体的・経済的負担を最小限に抑えた先進的インプラント治療を提供しています。特に「サージカルガイドを用いた傾斜埋入法」は同院が誇る専門技術です。
従来のインプラント治療では、上あごの骨が薄い場合、人工骨を作る処置が必要でした。この方法は腫れや痛みを伴い、治療費も高額になりがちです。しかし当院の傾斜埋入法では、骨の薄い部分を避けて最適な角度でインプラントを埋入することで、骨造成手術を回避できます。
実際の治療例では、わずか4.53ミリの骨厚でも対応可能です。治療前には精密な検査と入念なシミュレーションを行い、専用のサージカルガイドを作成。これにより正確な位置への埋入が実現し、体への負担を大幅に軽減しています。
この技術により、従来は「骨が足りない」と諦めざるを得なかった患者様にも、侵襲性の低いインプラント治療が可能になりました。術後の回復も早く、患者様の生活への影響を最小限に抑えられます。「インプラントを考えているが、大掛かりな手術は避けたい」とお考えの患者様は、ぜひ一度ご相談ください。患者様の立場に立った優しい治療をご提案します。
従来のインプラント治療では、上あごの骨が薄い場合、人工骨を作る処置が必要でした。この方法は腫れや痛みを伴い、治療費も高額になりがちです。しかし当院の傾斜埋入法では、骨の薄い部分を避けて最適な角度でインプラントを埋入することで、骨造成手術を回避できます。
実際の治療例では、わずか4.53ミリの骨厚でも対応可能です。治療前には精密な検査と入念なシミュレーションを行い、専用のサージカルガイドを作成。これにより正確な位置への埋入が実現し、体への負担を大幅に軽減しています。
この技術により、従来は「骨が足りない」と諦めざるを得なかった患者様にも、侵襲性の低いインプラント治療が可能になりました。術後の回復も早く、患者様の生活への影響を最小限に抑えられます。「インプラントを考えているが、大掛かりな手術は避けたい」とお考えの患者様は、ぜひ一度ご相談ください。患者様の立場に立った優しい治療をご提案します。
入れ歯の常識を変える先進義歯治療

ふくしま歯科医院では、患者様の生活の質を高める多彩な義歯治療を提供しています。特にコーヌスクローネ義歯は同院が豊富な症例実績を持つ専門分野です。
コーヌスクローネ義歯は、残存歯に金属冠を装着し、その上から入れ歯を被せる革新的な設計です。茶筒のふたのような構造により、従来の金具(クラスプ)で固定する方式と異なり、歯に横方向の無理な力がかかりにくくなっています。これにより残存歯への負担を軽減しながら、義歯の安定性を大幅に向上させることが可能です。また、装着時に金具が一切見えないため、周囲の方に入れ歯と気づかれにくいという審美的メリットも備えています。実際の症例では、歯周病で弱った歯も義歯と一体化して固定され、咬合力が歯の軸方向に適切に分散。ぐらつきが解消され、硬い食物もしっかり噛めるようになりました。
さらに、歯ぐきの痩せた方向けの「軟性裏装義歯」や、下あごの総入れ歯を安定させる「インプラントオーバーデンチャー」など、患者様の症状や希望に合わせた多様な選択肢をご用意しています。
コーヌスクローネ義歯は、残存歯に金属冠を装着し、その上から入れ歯を被せる革新的な設計です。茶筒のふたのような構造により、従来の金具(クラスプ)で固定する方式と異なり、歯に横方向の無理な力がかかりにくくなっています。これにより残存歯への負担を軽減しながら、義歯の安定性を大幅に向上させることが可能です。また、装着時に金具が一切見えないため、周囲の方に入れ歯と気づかれにくいという審美的メリットも備えています。実際の症例では、歯周病で弱った歯も義歯と一体化して固定され、咬合力が歯の軸方向に適切に分散。ぐらつきが解消され、硬い食物もしっかり噛めるようになりました。
さらに、歯ぐきの痩せた方向けの「軟性裏装義歯」や、下あごの総入れ歯を安定させる「インプラントオーバーデンチャー」など、患者様の症状や希望に合わせた多様な選択肢をご用意しています。
自由診療のリスク・副作用、その他
自由診療について
患者様のさまざまなニーズに応えるために自由診療を提供しております。しかし、自由診療には健康保険適用外の治療が含まれるため、以下の点にご注意ください。
【リスクについて】
自由診療には、保険適用治療に比べて高度かつ専門的な治療が含まれる場合があります。これらの治療はより高い技術を要求されるため、一般的な治療よりもリスクが高まる可能性があります。
【副作用について】
すべての医療行為には副作用のリスクが伴います。自由診療の場合、使用する材料や治療方法が特殊な場合があるため、通常の治療とは異なる副作用が発生する可能性があります。
【費用について】
自由診療は健康保険の適用外であるため、保険診療と比較して高額になることがあります。治療前には必ず費用の詳細について説明を行い、ご同意をいただいてから治療を開始します。
【治療の選択について】
患者様の健康状態や希望に合わせて、最適な治療計画を提案します。自由診療は選択肢の一つであり、必ずしもすべての患者様に適しているわけではありません。
【その他の注意事項】
治療後のフォローアップやメンテナンスについても、自由診療の範囲内で行うことがあります。これには追加の費用が発生する場合があります。
患者様一人ひとりに合った治療を心がけております。自由診療を含むすべての治療オプションについて、十分な説明とともに、患者様のご理解とご同意を得ることを重視しています。ご不明な点やご心配なことがございましたら、遠慮なくご相談ください。
患者様のさまざまなニーズに応えるために自由診療を提供しております。しかし、自由診療には健康保険適用外の治療が含まれるため、以下の点にご注意ください。
【リスクについて】
自由診療には、保険適用治療に比べて高度かつ専門的な治療が含まれる場合があります。これらの治療はより高い技術を要求されるため、一般的な治療よりもリスクが高まる可能性があります。
【副作用について】
すべての医療行為には副作用のリスクが伴います。自由診療の場合、使用する材料や治療方法が特殊な場合があるため、通常の治療とは異なる副作用が発生する可能性があります。
【費用について】
自由診療は健康保険の適用外であるため、保険診療と比較して高額になることがあります。治療前には必ず費用の詳細について説明を行い、ご同意をいただいてから治療を開始します。
【治療の選択について】
患者様の健康状態や希望に合わせて、最適な治療計画を提案します。自由診療は選択肢の一つであり、必ずしもすべての患者様に適しているわけではありません。
【その他の注意事項】
治療後のフォローアップやメンテナンスについても、自由診療の範囲内で行うことがあります。これには追加の費用が発生する場合があります。
患者様一人ひとりに合った治療を心がけております。自由診療を含むすべての治療オプションについて、十分な説明とともに、患者様のご理解とご同意を得ることを重視しています。ご不明な点やご心配なことがございましたら、遠慮なくご相談ください。
この医院の口コミはまだありません
受付時間
診療時間 | 日 | 月 | 火 | 水 | 木 | 金 | 土 |
---|---|---|---|---|---|---|---|
09:30 ~ 12:00 | |||||||
14:30 ~ 18:00 |
休診日: 木曜・日曜・祝日
アクセスマップ
基本情報
医院名 | ふくしま歯科医院 |
所在地 | 〒247-0056 神奈川県 鎌倉市 大船3-6-22 |
最寄駅 | 大船駅 東口 徒歩10分 |
診療内容 | 歯冠修復、欠損補綴 / 根管治療 / 歯周病治療 / 予防治療 / 小児歯科 / 口腔外科治療 / 有床義歯 / インプラント治療 |
医院ID | 35595 |