brand
サイトの特徴・使い方 閲覧履歴 会員登録 ログイン
トップ  -  兵庫県  -  神戸市兵庫区  -  あい歯科
口コミを投稿
Teech(ティーチ)を見たとお伝えください
078-682-6480

あい歯科

所在地
兵庫県 神戸市兵庫区 駅南通1-2-34 兵庫駅前クリニックビル2F
最寄駅
兵庫駅 南側出口 徒歩1分
【兵庫駅徒歩1分・ネット予約可】快適で安心できる診療環境を提供する歯科医院
外観・受付・待合室
外観・受付・待合室
外観・受付・待合室
出典:あい歯科
外観・受付・待合室
あい歯科は、JR兵庫駅の目の前に位置するアクセスに優れた歯科医院です。
開業から20年にわたり、地域の皆様とお口の健康を通じて信頼関係を築きながら、丁寧でわかりやすい歯科診療を行ってきました。
歯科医院に対して緊張感を抱く患者様でも安心して通えるよう、設備面や空間づくりにもこだわっています。

診療室は常に清潔で、各ユニットにはモニターが設置され、コンピュータによるネットワークシステムを導入しています。
患者様にとってより理解しやすい説明を心がけており、口腔内の画像やレントゲンをリアルタイムでモニターに映しながら、治療内容を丁寧に案内します。
また、長時間の診療でも疲れにくい構造のシートを採用し、個室診療室ではプライバシーに配慮した空間で、リラックスした状態で治療を受けられます。

治療方針の決定にあたっては、歯科医師と歯科衛生士が連携し、お口の中の状態をもとに丁寧に相談しながら、患者様にとって最善の方法を選択していきます。
虫歯や歯周病の予防を目的としたカウンセリングも積極的に行っており、治療だけでなく予防にも力を入れています。

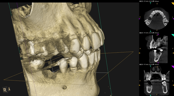
放射線被ばく量を大幅に抑えたデジタルレントゲンや、従来のレントゲンでは確認できなかった部分まで立体的に把握できる3D画像診断、そして精密な治療を可能にする歯科用マイクロスコープも導入しています。
根管治療や歯周外科、歯冠修復治療など、より高い精度と安全性が求められる診療にも対応しています。

あい歯科は患者様の快適さと安心を第一に考えた診療体制を整え、これからも地域の皆様のお口の健康をサポートし続けていきます。
インプラント治療のこだわりポイント
3Dインプラント画像診断を導入しています 3Dインプラント画像診断を導入しています
インプラント治療は、失われた歯の機能を回復し、天然の歯のような見た目と噛み心地を取り戻すことを目的とした治療法です。
兵庫駅前のあい歯科では、インプラント治療に力を入れており、食事を楽しめない、入れ歯が合わない、できるだけ自然に近い歯を取り戻したいといったお悩みをお持ちの患者様に対し、丁寧に対応しています。

インプラントは、チタン製の人工歯根を顎の骨に埋め込み、その上に人工歯を装着することで、本物の歯のようにしっかりと噛めるようにする治療法です。
見た目にも違和感が少なく、発音や咀嚼機能を改善できるため、見た目と機能の両面から満足度の高い治療といえます。

あい歯科ではCTによる3D画像診断を取り入れ、神経や血管の位置を正確に把握しながら、安全で正確なインプラント治療を心がけています。そうすることで埋入位置のミスや術後のトラブルを未然に防ぐことが可能となります。

また、骨の量が不足していてインプラント治療が難しいと診断された場合には、骨造成手術を検討します。
中でも「GBR法(Guided Bone Regeneration)」と呼ばれる骨の再生を促す治療法により、骨の厚みや高さを補い、安全にインプラントの埋入を行うことができます。
歯を失ってから時間が経過し、骨が痩せてしまった患者様にも、再び快適な噛み心地を提供することが可能です。

インプラント治療は、患者様の状態やご希望に応じて、精密な診断と丁寧なカウンセリングが欠かせません。
あい歯科では、ひとりひとりに最適な治療計画を提案し、安心して治療を受けていただける体制を整えています。
インプラント治療を検討されている方は、まずは気軽にご相談ください。
医院としての理念・方針
診療室の雰囲気 診療室の雰囲気
いつまでも美味しいものを味わいながら、自然な笑顔で健やかな毎日を過ごしていただくこと。
それは、多くの方が願う理想の暮らしではないでしょうか。
あい歯科では、そのような患者様の想いに寄り添い、少しでもその実現のお手伝いができればと考えております。

ただ単に悪くなった部分を削って詰める従来型の治療にとどまるのではなく、「なぜ悪くなってしまったのか」「どうすれば再び悪くならずに済むのか」といった根本的な原因に目を向けた診療を大切にしています。
病気の背景や生活習慣、セルフケアの方法まで含めて丁寧に見つめ直し、再発を防ぐことを重視した治療と予防を提供しております。

そして私たちは、日々の診療の中で「この治療が患者様の人生に笑顔をひとつでも増やすことができているだろうか」と自問しながら、常に真摯な姿勢で歯科医療に向き合っています。
日々進歩を続ける現代歯科医療の技術や知識を柔軟に取り入れ、より安心で確かな治療を目指し、これからも努力を続けてまいります。
院長について
▽略歴
徳島大学歯学部出身
【入れ歯】自然な見た目と快適な噛み心地を目指します
最適な入れ歯を提案してくれます 最適な入れ歯を提案してくれます
入れ歯は、失われた歯の機能を補い、再び食事や会話を楽しむために欠かせない治療法の一つです。
すべての歯を失った場合に用いる「総入れ歯」と、歯が一部残っている場合に使用する「部分入れ歯」があります。
部分入れ歯は、残っている歯にクラスプと呼ばれる金属のバネをかけて固定するため、一本でも歯が残っていれば装着が可能です。
それぞれの入れ歯は、患者様のお口の状態やご希望に応じて適切に選択されます。

あい歯科では、まずカウンセリングを丁寧に行い、見た目の自然さや装着時の違和感の少なさ、そして長期的に安定して使えるかどうかを重視して、義歯の設計を行っています。
歯の色や並び方、歯茎の色調まで患者様のお顔立ちに調和するよう細やかに調整することで、自然な笑顔と快適な毎日を取り戻すサポートをしてくれます。
入れ歯に関する不安やご要望がある方も、どうぞお気軽にご相談ください。
【審美歯科】美しさと機能性を両立させる治療
パウダールーム パウダールーム
審美歯科は歯の見た目の美しさを追求するだけでなく、噛む・話すといった本来の機能を損なわずに美しさを引き出すことを目的とした歯科治療です。
自然な歯の色や形、歯並び、歯茎のラインまでを整えることで、患者様の笑顔に自信をもたらし、健康的な印象を与えることができます。

あい歯科では、セラミックを用いた補綴治療やホワイトニング、歯肉の色調やラインの整え方など、幅広い選択肢から患者様一人ひとりに適した方法を提案しています。
見た目の美しさだけでなく、長期間快適に使える耐久性や、噛み合わせのバランスなどにも十分配慮し、天然歯に近い自然な仕上がりを目指します。

審美歯科は、美容目的だけでなく、口元のコンプレックスを解消し、より前向きな気持ちで日常生活を送っていただくための一助にもなります。
自分らしい美しい笑顔を手に入れたいとお考えの方は、ぜひご相談ください。
【歯周病】歯を守る第一歩は歯周病への対策から
診療室 診療室
歯周病は、歯を支える歯ぐきや骨が少しずつ侵されていく病気で、初期には痛みや出血といった自覚症状がほとんどないまま進行してしまうことが多くあります。
だからこそ、症状がなくても定期的な検診やメンテナンスを受けることが、歯の健康を守るうえで非常に大切です。

あい歯科では、歯周病の早期発見・早期治療に努め、進行度に応じた最適な処置を行っています。
軽度のうちに治療を開始することで、病気の進行を食い止めることが可能です。
重度の歯周病に対しても歯周外科手術などの専門的な治療を用いて、できる限りご自身の歯を残すことを目指します。

歯周病や虫歯の原因、そしてどうすれば今ある歯を長く保てるのかという点についても、歯科医師と歯科衛生士が丁寧に説明してくれます。
患者様の口腔状態に合わせた無理のないケア方法を提案し、日常生活の中で自然に取り入れられるセルフケアのアドバイスも行っています。
大切な歯を守るために、歯周病の早期発見・早期治療に取り組みましょう。
【矯正歯科】見た目も機能も大切にする、快適な矯正治療
カウンセリング風景 カウンセリング風景
矯正歯科は、見た目の美しさを整えるだけでなく、噛み合わせや発音、歯の健康を長期的に保つためにも重要な治療の一つです。
歯並びが整うことで、歯磨きがしやすくなり、虫歯や歯周病の予防にもつながります。
また、口元の印象が変わることで、笑顔にも自信が持てるようになります。

あい歯科では、マウスピース型矯正装置(インビザライン)による目立ちにくい矯正治療にも対応しています。
従来のワイヤー矯正についても、目立ちにくい白い装置を使用することで、見た目に配慮しながら治療を進めることが可能です。
患者様一人ひとりのご希望やライフスタイルを大切にし、無理のない治療計画を提案します。

JR兵庫駅から徒歩1分の好立地に位置するため、お仕事や学校の帰りにも通いやすく、継続した治療を安心して受けていただけます。
お子様から大人の方まで、矯正治療をご検討の際は、ぜひ一度ご相談ください。
自由診療のリスク・副作用、その他
自由診療について
患者様のさまざまなニーズに応えるために自由診療を提供しております。しかし、自由診療には健康保険適用外の治療が含まれるため、以下の点にご注意ください。

【リスクについて】
自由診療には、保険適用治療に比べて高度かつ専門的な治療が含まれる場合があります。これらの治療はより高い技術を要求されるため、一般的な治療よりもリスクが高まる可能性があります。

【副作用について】
すべての医療行為には副作用のリスクが伴います。自由診療の場合、使用する材料や治療方法が特殊な場合があるため、通常の治療とは異なる副作用が発生する可能性があります。

【費用について】
自由診療は健康保険の適用外であるため、保険診療と比較して高額になることがあります。治療前には必ず費用の詳細について説明を行い、ご同意をいただいてから治療を開始します。

【治療の選択について】
患者様の健康状態や希望に合わせて、最適な治療計画を提案します。自由診療は選択肢の一つであり、必ずしもすべての患者様に適しているわけではありません。

【その他の注意事項】
治療後のフォローアップやメンテナンスについても、自由診療の範囲内で行うことがあります。これには追加の費用が発生する場合があります。
患者様一人ひとりに合った治療を心がけております。自由診療を含むすべての治療オプションについて、十分な説明とともに、患者様のご理解とご同意を得ることを重視しています。ご不明な点やご心配なことがございましたら、遠慮なくご相談ください。
この医院の口コミはまだありません
受付時間
診療時間
09:00 ~ 13:00
15:00 ~ 19:00
15:00 ~ 16:00
休診日:木曜・土曜午後・日曜・祝日
アクセスマップ
基本情報
医院名 あい歯科
所在地 〒652-0897 兵庫県 神戸市兵庫区 駅南通1-2-34 兵庫駅前クリニックビル2F
最寄駅 兵庫駅 南側出口 徒歩1分
診療内容 歯冠修復、欠損補綴 / 根管治療 / 歯周病治療 / 予防治療 / 小児歯科 / 矯正歯科 / 口腔外科治療 / 有床義歯 / インプラント治療
医院ID 30401
078-682-6480
Teech(ティーチ)を見たとお伝えください
Feature Teechの特徴
1

あなたの「今の症状に合った」歯科医院が探せます

icons

歯科医院が広告掲載する際、得意な治療1つのみを選択し広告しています。これにより2つのメリットが得られます。

①あなたの今の症状に合った治療を1番得意とする歯科医院のみ検索できます。

②表示される歯科医院の数が絞られるため、今の症状に合った歯科医院を効率よく検索できます。

2

その歯科医院で「本当に治療した患者さんの口コミ」を掲載

icons

歯科検索サイトには、その歯科医院で治療を受けていない方の口コミが散見されますが、Teechへの口コミ投稿には、領収書の添付を必須としているため、本当にその歯科医院で治療した患者さんの口コミが掲載されています。また、口コミ点数・件数によって検索結果が上下しないため(標準検索した場合)、サクラの口コミ投稿の誘因を減らしています。

3

「プロが選ぶプロ」の歯科医院を探せます

icons

掲載している医院に3医院(自医院を除く)までオススメできる機能を付与することで、プロが選ぶプロの歯科医院を探せます。

4

「先生の人柄」が分かるご挨拶動画を設置

icons

外からは見えにくい歯科医院ですが、事前に先生の人柄が伝わるように、院長のご挨拶動画を掲載しております。