【瑞穂運動場東駅 徒歩6分】インプラント実績4,000本超・精密治療に注力するてらもとファミリー歯科
てらもとファミリー歯科は、地下鉄名城線「瑞穂運動場東駅」2番出口から徒歩6分の場所にあり、専用駐車場も備えているため公共交通機関でも車でも通院しやすい立地です。平日は18時まで、土曜も17時まで診療を行っており、平日忙しい方でも通いやすい体制が整えられています。
同院の大きな特長は、インプラント治療の豊富な経験と高い技術力です。院長は名古屋大学医学部口腔外科での経験を活かし、これまでに4,000本以上のインプラント埋入実績を持ちます。なかでも、すべての歯を一度に回復するAll-on-4にも対応しており、200件を超える症例数を有しています。
また、歯科用CTやレーザーなどの先進設備を導入し、より精密な診断と負担の少ない治療を実現しています。小児歯科にも注力し、院内にはキッズコーナーを設けるなど、子どもから大人まで安心して通える環境づくりがなされています。
てらもとファミリー歯科では、豊富な経験と先進技術を活かし、地域の皆様の多様なニーズに応える歯科医療が提供されています。
同院の大きな特長は、インプラント治療の豊富な経験と高い技術力です。院長は名古屋大学医学部口腔外科での経験を活かし、これまでに4,000本以上のインプラント埋入実績を持ちます。なかでも、すべての歯を一度に回復するAll-on-4にも対応しており、200件を超える症例数を有しています。
また、歯科用CTやレーザーなどの先進設備を導入し、より精密な診断と負担の少ない治療を実現しています。小児歯科にも注力し、院内にはキッズコーナーを設けるなど、子どもから大人まで安心して通える環境づくりがなされています。
てらもとファミリー歯科では、豊富な経験と先進技術を活かし、地域の皆様の多様なニーズに応える歯科医療が提供されています。
インプラント治療のこだわりポイント
インプラント治療30年の信頼と実績
てらもとファミリー歯科では、インプラント治療において豊富な実績と高度な専門性を有しています。インプラントとは、歯を失った部分に人工歯根を埋め込み、その上に人工の歯を装着する治療法です。しっかりと噛める機能性に加え、見た目の自然さも保てるため、多くの患者様に選ばれています。
院長は名古屋大学医学部附属病院・歯科口腔外科での勤務経験を持ち、これまでに4,000本以上のインプラントを埋入してきた実績があります。さらに、少ない本数で多くの歯を支えるAll-on-4という先進的な技術も200症例以上経験しており、幅広いニーズに対応しています。
治療にあたっては、最新鋭のCT機器で立体的に骨の状態を確認し、神経や血管の位置を把握したうえで、正確かつ安全に進めていきます。また、手術には専用の無影灯や高性能のヘッドライトを使用し、精密な施術を実現しています。
術後のケアにも力を入れており、インプラントを長く使い続けていただくために、定期的なメンテナンスと丁寧なフォローを行っています。自然な噛み心地と美しい仕上がりを重視したい方にとって、心強い選択肢となるでしょう。
院長は名古屋大学医学部附属病院・歯科口腔外科での勤務経験を持ち、これまでに4,000本以上のインプラントを埋入してきた実績があります。さらに、少ない本数で多くの歯を支えるAll-on-4という先進的な技術も200症例以上経験しており、幅広いニーズに対応しています。
治療にあたっては、最新鋭のCT機器で立体的に骨の状態を確認し、神経や血管の位置を把握したうえで、正確かつ安全に進めていきます。また、手術には専用の無影灯や高性能のヘッドライトを使用し、精密な施術を実現しています。
術後のケアにも力を入れており、インプラントを長く使い続けていただくために、定期的なメンテナンスと丁寧なフォローを行っています。自然な噛み心地と美しい仕上がりを重視したい方にとって、心強い選択肢となるでしょう。
医院としての理念・方針
安心と信頼を大切にする歯科医療
てらもとファミリー歯科では、すべての患者様にとって安心で確かな歯科医療を提供することを理念としています。特に、大学病院で培った口腔外科の専門性を活かし、丁寧な診断と安全性の高い治療を重視しています。口腔内は全身の健康とも深く関わっているため、単に痛みを取るだけでなく、将来を見据えたトータルなケアを行うことが大切だと考えています。
また、患者様が納得して治療に臨めるよう、CT画像などを活用した視覚的な説明を徹底し、インフォームドコンセントを重視した対応を心がけています。治療計画は一方的に決めるのではなく、ご要望やライフスタイルに配慮しながら一緒に考えていく姿勢を大切にしています。
お子様からご年配の方まで、すべての年代の患者様が安心して通えるよう、設備面にも配慮した清潔で快適な環境を整えております。てらもとファミリー歯科は、地域の皆様の健康な笑顔を守るパートナーとして、誠実な医療を提供し続けます。
また、患者様が納得して治療に臨めるよう、CT画像などを活用した視覚的な説明を徹底し、インフォームドコンセントを重視した対応を心がけています。治療計画は一方的に決めるのではなく、ご要望やライフスタイルに配慮しながら一緒に考えていく姿勢を大切にしています。
お子様からご年配の方まで、すべての年代の患者様が安心して通えるよう、設備面にも配慮した清潔で快適な環境を整えております。てらもとファミリー歯科は、地域の皆様の健康な笑顔を守るパートナーとして、誠実な医療を提供し続けます。
院長について
▽略歴
新潟大学歯学部 卒業
名古屋大学 医学部口腔外科 勤務
てらもとファミリー歯科 開院
新潟大学歯学部 卒業
名古屋大学 医学部口腔外科 勤務
てらもとファミリー歯科 開院
目立たず始める歯列矯正で理想の笑顔に
噛み合わせ改善で健康な体へ
歯列矯正は、歯並びや噛み合わせを整えることで、見た目の美しさだけでなく、咀嚼機能や発音の改善、虫歯・歯周病の予防にもつながる治療です。特に最近では、装置の目立ちにくさや快適さが重視され、多様な選択肢が用意されています。
矯正装置には、歯の裏側に装着する裏側矯正や、透明で取り外し可能なマウスピース矯正、目立ちにくい白いブラケットを使用する方法などがあり、患者様のライフスタイルや希望に合わせた矯正が可能です。歯列矯正は見た目の変化だけでなく、噛み合わせのバランス改善によって、肩こりや頭痛の軽減、発音の向上といった身体面でのメリットもあります。
また、歯列矯正によって口元が引き締まり、横顔のラインが整うことも魅力のひとつです。矯正治療を受けた患者様の中には、顔の印象が大きく変わったという声も多く寄せられています。
長期的な健康と自信ある笑顔を手に入れるために、自分に合った矯正方法で一歩踏み出してみてください。
矯正装置には、歯の裏側に装着する裏側矯正や、透明で取り外し可能なマウスピース矯正、目立ちにくい白いブラケットを使用する方法などがあり、患者様のライフスタイルや希望に合わせた矯正が可能です。歯列矯正は見た目の変化だけでなく、噛み合わせのバランス改善によって、肩こりや頭痛の軽減、発音の向上といった身体面でのメリットもあります。
また、歯列矯正によって口元が引き締まり、横顔のラインが整うことも魅力のひとつです。矯正治療を受けた患者様の中には、顔の印象が大きく変わったという声も多く寄せられています。
長期的な健康と自信ある笑顔を手に入れるために、自分に合った矯正方法で一歩踏み出してみてください。
はじめてでも安心な小児歯科
お子様の成長に合わせた診療
小児歯科では、乳歯の虫歯予防や治療だけでなく、将来の健康な永久歯の育成を見据えたサポートを行います。子どもの頃からの口腔管理は、歯の健康だけでなく、全身の成長や発達にも影響する大切な要素です。
診療では、お子様が怖がらずに通えるよう、優しく丁寧な声かけを大切にしています。はじめての歯科医院でも安心して受診できるよう、キッズコーナーを設け、リラックスできる環境づくりにも力を入れています。虫歯の早期発見・治療はもちろん、歯磨き指導やフッ素塗布などの予防処置にも対応し、日々の習慣づくりをサポートします。
また、顎や歯の発育段階に応じて、歯並びや噛み合わせのチェックも行い、必要に応じて小児矯正への移行もスムーズに行える体制が整っています。子ども一人ひとりの個性や成長に合わせた診療を行うことで、将来にわたって健康な歯を守る土台を築きます。
診療では、お子様が怖がらずに通えるよう、優しく丁寧な声かけを大切にしています。はじめての歯科医院でも安心して受診できるよう、キッズコーナーを設け、リラックスできる環境づくりにも力を入れています。虫歯の早期発見・治療はもちろん、歯磨き指導やフッ素塗布などの予防処置にも対応し、日々の習慣づくりをサポートします。
また、顎や歯の発育段階に応じて、歯並びや噛み合わせのチェックも行い、必要に応じて小児矯正への移行もスムーズに行える体制が整っています。子ども一人ひとりの個性や成長に合わせた診療を行うことで、将来にわたって健康な歯を守る土台を築きます。
歯周病予防で生涯自分の歯を
歯ぐきの出血は危険のサイン
歯周病は、歯を支える歯茎や骨が細菌により破壊されていく病気で、進行すると歯を失う原因にもなります。初期には自覚症状がほとんどないため、気づかないうちに進行してしまうケースも多く見られます。歯茎からの出血や腫れといった症状が現れた時点で、すでに状態が悪化していることが少なくありません。
診療では、歯周ポケットの測定や動揺度の確認、出血の有無を通じて現在の状態を丁寧に診断します。軽度の段階では歯石除去や歯磨き指導を行い、進行した場合にはスケーリング・ルートプレーニングや外科的処置も視野に入れ、症状に応じた治療を行います。
さらに、歯周病は口腔内だけでなく、全身の健康にも関わる病気です。心疾患や糖尿病、早産など多くのリスクと関係していることが明らかになっており、口腔ケアの重要性はますます高まっています。
継続的なメンテナンスと丁寧なセルフケアにより、再発を防ぎ、健康な歯と歯茎を維持しましょう。
診療では、歯周ポケットの測定や動揺度の確認、出血の有無を通じて現在の状態を丁寧に診断します。軽度の段階では歯石除去や歯磨き指導を行い、進行した場合にはスケーリング・ルートプレーニングや外科的処置も視野に入れ、症状に応じた治療を行います。
さらに、歯周病は口腔内だけでなく、全身の健康にも関わる病気です。心疾患や糖尿病、早産など多くのリスクと関係していることが明らかになっており、口腔ケアの重要性はますます高まっています。
継続的なメンテナンスと丁寧なセルフケアにより、再発を防ぎ、健康な歯と歯茎を維持しましょう。
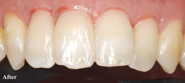
口元の印象が変わる審美治療
削らず守る美しい口元づくり
審美歯科は、歯の色や形、歯並びなど見た目の美しさを重視しつつ、健康面にも配慮した治療を行う分野です。単に白く美しい歯を目指すだけでなく、噛み合わせや発音など機能的な側面にも対応し、全体のバランスを整えることを目指しています。
詰め物や被せ物には、金属を使用しないセラミック素材を用いることで、金属アレルギーの心配を減らし、自然な透明感と色合いを再現できます。ホワイトニングでは対応できない変色歯や神経を失った歯にも対応可能で、短期間で見た目に大きな変化をもたらします。
また、軽度の歯並びの乱れであれば、セラミックを用いた「クイック矯正」によって短期間で改善することも可能です。歯を削る量を最小限に抑え、神経を残す治療を基本とするため、健康な歯を守りながら美しさを追求できます。
笑ったときに見える歯の印象が変わるだけで、表情や気分までも明るくなることがあります。歯の美しさを整えることは、自信ある笑顔につながります。
詰め物や被せ物には、金属を使用しないセラミック素材を用いることで、金属アレルギーの心配を減らし、自然な透明感と色合いを再現できます。ホワイトニングでは対応できない変色歯や神経を失った歯にも対応可能で、短期間で見た目に大きな変化をもたらします。
また、軽度の歯並びの乱れであれば、セラミックを用いた「クイック矯正」によって短期間で改善することも可能です。歯を削る量を最小限に抑え、神経を残す治療を基本とするため、健康な歯を守りながら美しさを追求できます。
笑ったときに見える歯の印象が変わるだけで、表情や気分までも明るくなることがあります。歯の美しさを整えることは、自信ある笑顔につながります。
自由診療のリスク・副作用、その他
自由診療について
患者様のさまざまなニーズに応えるために自由診療を提供しております。しかし、自由診療には健康保険適用外の治療が含まれるため、以下の点にご注意ください。
【リスクについて】
自由診療には、保険適用治療に比べて高度かつ専門的な治療が含まれる場合があります。これらの治療はより高い技術を要求されるため、一般的な治療よりもリスクが高まる可能性があります。
【副作用について】
すべての医療行為には副作用のリスクが伴います。自由診療の場合、使用する材料や治療方法が特殊な場合があるため、通常の治療とは異なる副作用が発生する可能性があります。
【費用について】
自由診療は健康保険の適用外であるため、保険診療と比較して高額になることがあります。治療前には必ず費用の詳細について説明を行い、ご同意をいただいてから治療を開始します。
【治療の選択について】
患者様の健康状態や希望に合わせて、最適な治療計画を提案します。自由診療は選択肢の一つであり、必ずしもすべての患者様に適しているわけではありません。
【その他の注意事項】
治療後のフォローアップやメンテナンスについても、自由診療の範囲内で行うことがあります。これには追加の費用が発生する場合があります。
患者様一人ひとりに合った治療を心がけております。自由診療を含むすべての治療オプションについて、十分な説明とともに、患者様のご理解とご同意を得ることを重視しています。ご不明な点やご心配なことがございましたら、遠慮なくご相談ください。
患者様のさまざまなニーズに応えるために自由診療を提供しております。しかし、自由診療には健康保険適用外の治療が含まれるため、以下の点にご注意ください。
【リスクについて】
自由診療には、保険適用治療に比べて高度かつ専門的な治療が含まれる場合があります。これらの治療はより高い技術を要求されるため、一般的な治療よりもリスクが高まる可能性があります。
【副作用について】
すべての医療行為には副作用のリスクが伴います。自由診療の場合、使用する材料や治療方法が特殊な場合があるため、通常の治療とは異なる副作用が発生する可能性があります。
【費用について】
自由診療は健康保険の適用外であるため、保険診療と比較して高額になることがあります。治療前には必ず費用の詳細について説明を行い、ご同意をいただいてから治療を開始します。
【治療の選択について】
患者様の健康状態や希望に合わせて、最適な治療計画を提案します。自由診療は選択肢の一つであり、必ずしもすべての患者様に適しているわけではありません。
【その他の注意事項】
治療後のフォローアップやメンテナンスについても、自由診療の範囲内で行うことがあります。これには追加の費用が発生する場合があります。
患者様一人ひとりに合った治療を心がけております。自由診療を含むすべての治療オプションについて、十分な説明とともに、患者様のご理解とご同意を得ることを重視しています。ご不明な点やご心配なことがございましたら、遠慮なくご相談ください。
この医院の口コミはまだありません
受付時間
| 診療時間 | 日 | 月 | 火 | 水 | 木 | 金 | 土 |
|---|---|---|---|---|---|---|---|
| 09:00 ~ 12:00 | |||||||
| 13:30 ~ 18:00 | |||||||
| 13:30 ~ 17:00 |
休診日:木曜・日曜・祝日
アクセスマップ
基本情報
| 医院名 | てらもとファミリー歯科 |
| 所在地 | 〒467-0064 愛知県 名古屋市瑞穂区 弥富通3-45-5 |
| 最寄駅 | 瑞穂運動場東駅 2番出口より徒歩6分 |
| 診療内容 | 歯冠修復、欠損補綴 / 歯周病治療 / 予防治療 / 小児歯科 / 矯正歯科 / 口腔外科治療 / インプラント治療 / 咬み合わせ治療 |
| 医院ID | 20478 |