【城北公園通駅より徒歩11分】【日本歯科保存学会専門医在籍】歯を残す予防を重視する女性歯科医師の橋川ともこ歯科医院
橋川ともこ歯科医院は、城北公園通駅より徒歩11分のところにある歯科医院です。駐輪場や近隣のコインパーキングも利用できるので、買い物帰りでも通いやすいクリニックです。2014年の開業以来、患者様のお口の健康をサポートしてきました。
同院は、日本歯科保存学会専門医による予防歯科医療を特徴としています。院長は、大阪大学大学院歯学研究科を修了し歯学博士を取得しており、さらに米国での研究経験も持つ高度な専門知識を有する歯科医師です。また全員が歯科医師も含め女性スタッフであるため、女性ならではのきめ細かい対応を行っています。
虫歯や歯周病の治療はもちろんのこと、義歯作製、小児歯科、詰め物や被せ物などの審美診療やホワイトニング、訪問診療も行っています。患者様の利便性を考慮し、予約優先制を採用していますが、急患の方も随時受け付けています。
ただ治療を行うだけでなく、その原因を探り根本から予防することを使命としています。都島区のかかりつけ医として、子どもからご高齢の方まで健康的な生活を支援します。
同院は、日本歯科保存学会専門医による予防歯科医療を特徴としています。院長は、大阪大学大学院歯学研究科を修了し歯学博士を取得しており、さらに米国での研究経験も持つ高度な専門知識を有する歯科医師です。また全員が歯科医師も含め女性スタッフであるため、女性ならではのきめ細かい対応を行っています。
虫歯や歯周病の治療はもちろんのこと、義歯作製、小児歯科、詰め物や被せ物などの審美診療やホワイトニング、訪問診療も行っています。患者様の利便性を考慮し、予約優先制を採用していますが、急患の方も随時受け付けています。
ただ治療を行うだけでなく、その原因を探り根本から予防することを使命としています。都島区のかかりつけ医として、子どもからご高齢の方まで健康的な生活を支援します。
予防治療のこだわりポイント

橋川ともこ歯科医院は、日本歯科保存学会の専門医が在籍する医院として、予防歯科に力を入れています。従来の歯科治療の概念を覆し、「治療から予防へ」という治療方針を掲げています。
多くの方が、歯科医院を痛みが生じた時にのみ訪れる場所と考えがちですが、そもそも治療が必要ない口腔内の状態を目指しています。治療完了後も歯磨きやクリーニングなどを行うことで、健康な口腔環境を維持します。
虫歯や歯周病の治療後に再発し、再び痛みを経験することは避けたいものです。そのため、治療後の定期的なメンテナンスを強くお勧めしています。定期検診を受けることで、万が一虫歯や歯周病が見つかっても、早期発見・早期治療が可能となり、治療期間の短縮や治療費の抑制にもつながります。
患者様の健康な歯を長期的に守るため、積極的に予防歯科に取り組んでいます。予防を重視することで、痛みのない快適な口腔環境を維持し、生活の質の向上を目指しています。
多くの方が、歯科医院を痛みが生じた時にのみ訪れる場所と考えがちですが、そもそも治療が必要ない口腔内の状態を目指しています。治療完了後も歯磨きやクリーニングなどを行うことで、健康な口腔環境を維持します。
虫歯や歯周病の治療後に再発し、再び痛みを経験することは避けたいものです。そのため、治療後の定期的なメンテナンスを強くお勧めしています。定期検診を受けることで、万が一虫歯や歯周病が見つかっても、早期発見・早期治療が可能となり、治療期間の短縮や治療費の抑制にもつながります。
患者様の健康な歯を長期的に守るため、積極的に予防歯科に取り組んでいます。予防を重視することで、痛みのない快適な口腔環境を維持し、生活の質の向上を目指しています。
医院としての理念・方針

橋川ともこ歯科医院は、患者様の安心と満足を第一に考え、安心の歯科医療を提供しています。女性院長を中心とした女性スタッフのみで構成され、痛みに配慮した治療を心がけています。診療室は半個室となっており、プライバシーを守りながら丁寧な説明と治療に集中できる環境を整えています。
また予防とメインテナンスを重視し、治療後も患者様の口腔内の状態に応じた指導やクリーニングを行います。健康な口腔内を、長期的に維持することを目指しています。
安全で清潔な衛生管理にも徹底的に取り組んでいます。ヨーロッパ基準のクラスB規格滅菌器や専用の器具洗浄器を導入し、使い捨て用具の使用も積極的に行っています。患者様とスタッフの双方に安心できる診療環境を提供しています。
また予防とメインテナンスを重視し、治療後も患者様の口腔内の状態に応じた指導やクリーニングを行います。健康な口腔内を、長期的に維持することを目指しています。
安全で清潔な衛生管理にも徹底的に取り組んでいます。ヨーロッパ基準のクラスB規格滅菌器や専用の器具洗浄器を導入し、使い捨て用具の使用も積極的に行っています。患者様とスタッフの双方に安心できる診療環境を提供しています。
院長について
▽略歴
1994年
大阪大学歯学部 卒業
1998年
大阪大学大学院歯学研究科 修了(歯学博士取得)
1999年
米国オクラホマ医学研究財団 研究員
2002年
大阪大学歯学部付属病院 医員
2003年
大阪大学大学院歯学研究科 助教
2011年
大阪市内医療法人 院長として勤務
2014年
大阪市都島区にて橋川ともこ歯科医院開院
専門医
日本歯科保存学会 専門医
1994年
大阪大学歯学部 卒業
1998年
大阪大学大学院歯学研究科 修了(歯学博士取得)
1999年
米国オクラホマ医学研究財団 研究員
2002年
大阪大学歯学部付属病院 医員
2003年
大阪大学大学院歯学研究科 助教
2011年
大阪市内医療法人 院長として勤務
2014年
大阪市都島区にて橋川ともこ歯科医院開院
専門医
日本歯科保存学会 専門医
歯科通院が困難な方に向けた訪問診療

橋川ともこ歯科医院では、ご自宅や介護施設での訪問歯科診療を提供しています。ご高齢の方や身体に不自由のある患者様を対象としており、歯科医院に通院することが困難な方々に向けたサービスです。
訪問診療では、むし歯の治療や入れ歯の調整など、通常の歯科医院で行うほぼすべての治療が可能となっています。口腔ケアにも力を入れており、日々ケアを行うことによって誤嚥性肺炎のリスクを軽減することができます。
診療にあたるスタッフは、豊富な訪問歯科診療の経験を持っています。各患者様の状況や治療の難しさを十分に理解した上で、安全かつストレスの少ない治療を提供いたします。
患者様やそのご家族の方々が、歯科治療や口腔ケアについて不安や疑問をお持ちの場合は、遠慮なくご相談ください。各患者様とそのご家族に合わせた治療方針をご提案いたします。誤嚥性肺炎は、寝たきりの方にとって起こるリスクの高い疾患です。日々のケアと訪問診療でのケアで、リスクを予防していきましょう。
訪問診療では、むし歯の治療や入れ歯の調整など、通常の歯科医院で行うほぼすべての治療が可能となっています。口腔ケアにも力を入れており、日々ケアを行うことによって誤嚥性肺炎のリスクを軽減することができます。
診療にあたるスタッフは、豊富な訪問歯科診療の経験を持っています。各患者様の状況や治療の難しさを十分に理解した上で、安全かつストレスの少ない治療を提供いたします。
患者様やそのご家族の方々が、歯科治療や口腔ケアについて不安や疑問をお持ちの場合は、遠慮なくご相談ください。各患者様とそのご家族に合わせた治療方針をご提案いたします。誤嚥性肺炎は、寝たきりの方にとって起こるリスクの高い疾患です。日々のケアと訪問診療でのケアで、リスクを予防していきましょう。
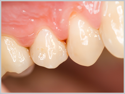
歯の保存を第一とした虫歯・歯周病治療

橋川ともこ歯科医院では、むし歯と歯周病などの一般歯科治療を行っています。治療において、「できるだけ歯を抜かない治療」を基本方針としています。歯を可能な限り保存することを目指し、痛みを最小限に抑えた治療を心がけています。長年歯科医院から足が遠のいていた方も、安心して相談できる環境が整っています。
また、歯周病治療にも力を入れています。歯周病は初期の段階では自覚症状がほとんどなく、気づいたときにはかなり進行してしまっていることが多い病気です。特に歯茎の出血、腫れ、歯のグラグラいった症状には要注意です。すでに歯周病になっている可能性があります。定期的なチェックが重要であり、早期に発見し治療することによって病気の進行を防ぐことができます。
治療において詳細な検査を行い、患者様に合わせた治療計画を立案します。治療はもちろんのこと、予防にも力を入れており、健康な歯と笑顔を長く維持できるよう日々のケアや健康的な食生活についてのアドバイスしています。
また、歯周病治療にも力を入れています。歯周病は初期の段階では自覚症状がほとんどなく、気づいたときにはかなり進行してしまっていることが多い病気です。特に歯茎の出血、腫れ、歯のグラグラいった症状には要注意です。すでに歯周病になっている可能性があります。定期的なチェックが重要であり、早期に発見し治療することによって病気の進行を防ぐことができます。
治療において詳細な検査を行い、患者様に合わせた治療計画を立案します。治療はもちろんのこと、予防にも力を入れており、健康な歯と笑顔を長く維持できるよう日々のケアや健康的な食生活についてのアドバイスしています。
美しさと機能性を両立する詰め物・被せ物:審美治療

橋川ともこ歯科医院では、従来の金属製のつめものやかぶせものに代わり、セラミックなどの新素材を用いる審美治療を提供しています。保険適用外のため、費用面でのデメリットはありますが、長期的な口腔の健康と美しさを追求する上で有効的です。
審美治療は単に外観を整えるだけでなく、かみ合わせや口腔全体のバランス、耐久性も考慮しています。
ジルコニアセラミッククラウンや、ハイブリッドクラウンなどのかぶせもの、オールセラミックインレー、ハイブリッドインレーなどのつめものを取り扱っています。これらの治療法は、それぞれ特徴や利点があります。
例えば、ジルコニアセラミッククラウンは、自然な透明感と光沢を持ち、変色しにくい特徴があります。一方ハイブリッドクラウンは、セラミックとプラスチックの特性を併せ持つため、欠けにくく比較的安価です。
つめものについても、オールセラミックインレーは審美性に優れ、ハイブリッドインレーは適度な硬さでかみ合わせへの影響が少ないなど、患者様の状態や希望に応じて選択できます。
審美治療は単に外観を整えるだけでなく、かみ合わせや口腔全体のバランス、耐久性も考慮しています。
ジルコニアセラミッククラウンや、ハイブリッドクラウンなどのかぶせもの、オールセラミックインレー、ハイブリッドインレーなどのつめものを取り扱っています。これらの治療法は、それぞれ特徴や利点があります。
例えば、ジルコニアセラミッククラウンは、自然な透明感と光沢を持ち、変色しにくい特徴があります。一方ハイブリッドクラウンは、セラミックとプラスチックの特性を併せ持つため、欠けにくく比較的安価です。
つめものについても、オールセラミックインレーは審美性に優れ、ハイブリッドインレーは適度な硬さでかみ合わせへの影響が少ないなど、患者様の状態や希望に応じて選択できます。
輝く笑顔を手に入れる:ホワイトニング治療

歯の黄ばみは加齢や食生活、喫煙などの影響で徐々に進行します。これら悩みに対して効果的なホワイトニング治療を行っています。ホワイトニングは、歯を削ることなく特殊な薬剤を使用して歯を白くする方法です。橋川ともこ歯科医院では、通院して行う「オフィスホワイトニング」と自宅で行う「ホームホワイトニング」の両方に対応しています。
オフィスホワイトニングは、ホワイトニング剤と専用照射器を併用する方法で、短期間で効果が現れやすいという特徴があります。一方ホームホワイトニングは、マウスピースにジェルを入れて装着し、2~3週間かけて歯を白くしていきます。
どちらの方法も、施術中や施術後に一時的な知覚過敏が生じる可能性があります。また白くなる程度には個人差があり、神経を抜いた歯や人工のかぶせ物、抗生物質の影響で変色が強い歯には効果が出にくいことがあります。
患者様の生活スタイルや希望に合わせて、お好みのホワイトニング方法をお選びください。
オフィスホワイトニングは、ホワイトニング剤と専用照射器を併用する方法で、短期間で効果が現れやすいという特徴があります。一方ホームホワイトニングは、マウスピースにジェルを入れて装着し、2~3週間かけて歯を白くしていきます。
どちらの方法も、施術中や施術後に一時的な知覚過敏が生じる可能性があります。また白くなる程度には個人差があり、神経を抜いた歯や人工のかぶせ物、抗生物質の影響で変色が強い歯には効果が出にくいことがあります。
患者様の生活スタイルや希望に合わせて、お好みのホワイトニング方法をお選びください。
自由診療のリスク・副作用、その他
自由診療について
患者様のさまざまなニーズに応えるために自由診療を提供しております。しかし、自由診療には健康保険適用外の治療が含まれるため、以下の点にご注意ください。
【リスクについて】
自由診療には、保険適用治療に比べて高度かつ専門的な治療が含まれる場合があります。これらの治療はより高い技術を要求されるため、一般的な治療よりもリスクが高まる可能性があります。
【副作用について】
すべての医療行為には副作用のリスクが伴います。自由診療の場合、使用する材料や治療方法が特殊な場合があるため、通常の治療とは異なる副作用が発生する可能性があります。
【費用について】
自由診療は健康保険の適用外であるため、保険診療と比較して高額になることがあります。治療前には必ず費用の詳細について説明を行い、ご同意をいただいてから治療を開始します。
【治療の選択について】
患者様の健康状態や希望に合わせて、最適な治療計画を提案します。自由診療は選択肢の一つであり、必ずしもすべての患者様に適しているわけではありません。
【その他の注意事項】
治療後のフォローアップやメンテナンスについても、自由診療の範囲内で行うことがあります。これには追加の費用が発生する場合があります。
患者様一人ひとりに合った治療を心がけております。自由診療を含むすべての治療オプションについて、十分な説明とともに、患者様のご理解とご同意を得ることを重視しています。ご不明な点やご心配なことがございましたら、遠慮なくご相談ください。
患者様のさまざまなニーズに応えるために自由診療を提供しております。しかし、自由診療には健康保険適用外の治療が含まれるため、以下の点にご注意ください。
【リスクについて】
自由診療には、保険適用治療に比べて高度かつ専門的な治療が含まれる場合があります。これらの治療はより高い技術を要求されるため、一般的な治療よりもリスクが高まる可能性があります。
【副作用について】
すべての医療行為には副作用のリスクが伴います。自由診療の場合、使用する材料や治療方法が特殊な場合があるため、通常の治療とは異なる副作用が発生する可能性があります。
【費用について】
自由診療は健康保険の適用外であるため、保険診療と比較して高額になることがあります。治療前には必ず費用の詳細について説明を行い、ご同意をいただいてから治療を開始します。
【治療の選択について】
患者様の健康状態や希望に合わせて、最適な治療計画を提案します。自由診療は選択肢の一つであり、必ずしもすべての患者様に適しているわけではありません。
【その他の注意事項】
治療後のフォローアップやメンテナンスについても、自由診療の範囲内で行うことがあります。これには追加の費用が発生する場合があります。
患者様一人ひとりに合った治療を心がけております。自由診療を含むすべての治療オプションについて、十分な説明とともに、患者様のご理解とご同意を得ることを重視しています。ご不明な点やご心配なことがございましたら、遠慮なくご相談ください。
この医院の口コミはまだありません
受付時間
診療時間 | 日 | 月 | 火 | 水 | 木 | 金 | 土 |
---|---|---|---|---|---|---|---|
10:00 ~ 13:00 | |||||||
14:30 ~ 19:30 |
休診日:水曜・土曜午後・日曜・祝日
アクセスマップ
基本情報
医院名 | 橋川ともこ歯科医院 |
所在地 | 〒534-0001 大阪府 大阪市都島区 毛馬町2-10-41 ソレアード1F |
最寄駅 | 城北公園通駅 徒歩11分 |
診療内容 | 歯冠修復、欠損補綴 / 歯周病治療 / 予防治療 / 小児歯科 / 有床義歯 / 訪問診療 |
医院ID | 20200 |