【名古屋駅ミヤコ地下街4出口から徒歩約1分】【お昼も診療】【自由診療に注力】美しさと機能性を追求する広小路歯科室
広小路歯科室は、名古屋駅ミヤコ地下街4出口より徒歩約1分と、非常にアクセスの良い立地にあります。住所は名古屋市中村区名駅4-24-12 グローバビル2階で、通勤やお買い物のついでにも立ち寄りやすい環境です。診療時間は、月曜から金曜が10:00〜19:00、土曜が10:00〜13:00で、日曜と祝日は休診日です。特に平日はお昼の休診時間がなく、昼休み中でも診療を受けられる点が大きな魅力です。
インプラントや矯正歯科、審美歯科、ホワイトニングなど、自由診療に力を入れており、患者様の多様なニーズに応えています。中でもインプラント治療では、天然歯に近い噛み心地や見た目の自然さを重視した治療を行っており、多くの方から支持を集めています。また、見えない矯正治療として舌側矯正にも対応し、美しさと快適さを両立させたい方に適しています。
さらに、器具の個別滅菌や手袋の頻繁な交換など、院内感染予防にも徹底して取り組んでいます。患者様にとって、安心して通える信頼の歯科医院です。
インプラントや矯正歯科、審美歯科、ホワイトニングなど、自由診療に力を入れており、患者様の多様なニーズに応えています。中でもインプラント治療では、天然歯に近い噛み心地や見た目の自然さを重視した治療を行っており、多くの方から支持を集めています。また、見えない矯正治療として舌側矯正にも対応し、美しさと快適さを両立させたい方に適しています。
さらに、器具の個別滅菌や手袋の頻繁な交換など、院内感染予防にも徹底して取り組んでいます。患者様にとって、安心して通える信頼の歯科医院です。
インプラント治療のこだわりポイント
噛める喜びを取り戻す治療
広小路歯科室では、インプラント治療に力を入れており、歯を失ってしまった患者様に対して、見た目と機能の両面から満足いただける治療を提供しています。インプラントとは、歯を失った箇所に人工の歯根を顎の骨に埋め込み、その上に人工の歯を取り付ける治療法です。従来の入れ歯やブリッジのように周囲の健康な歯を削る必要がなく、他の歯に負担をかけずに治療できるのが大きな特徴です。
天然歯に近い噛み心地が得られるほか、見た目も自然で違和感が少なく、会話や食事を楽しみたいと願う方に適した選択肢といえます。さらに、耐久性にも優れており、適切なメンテナンスを行えば長期的に使用することが可能です。
広小路歯科室では、患者様一人ひとりのお口の状態やご希望を丁寧にヒアリングし、適切な検査と診断をもとに治療計画を立てていきます。安全性と快適性の両立を大切にし、術後のケアについても丁寧にサポートしています。
歯を失ったことによる不安や生活の質の低下に対し、安心して相談できる体制を整えておりますので、まずはお気軽にご相談ください。噛む喜びと美しい口元を取り戻したい患者様にとって、心強い味方となる治療です。
天然歯に近い噛み心地が得られるほか、見た目も自然で違和感が少なく、会話や食事を楽しみたいと願う方に適した選択肢といえます。さらに、耐久性にも優れており、適切なメンテナンスを行えば長期的に使用することが可能です。
広小路歯科室では、患者様一人ひとりのお口の状態やご希望を丁寧にヒアリングし、適切な検査と診断をもとに治療計画を立てていきます。安全性と快適性の両立を大切にし、術後のケアについても丁寧にサポートしています。
歯を失ったことによる不安や生活の質の低下に対し、安心して相談できる体制を整えておりますので、まずはお気軽にご相談ください。噛む喜びと美しい口元を取り戻したい患者様にとって、心強い味方となる治療です。
医院としての理念・方針
安心と信頼を築く歯科診療
広小路歯科室では、「妥協しない、いい仕事」をモットーに、確かな技術と丁寧な治療で患者様の信頼に応えています。院長自身が“歯科職人”としての誇りを持ち、日々の診療に全力を注いでいる姿勢は、患者様に安心と満足を提供する原動力となっています。特に審美治療においては、「美しい口元は人生を変える力がある」という信念のもと、一人でも多くの患者様に美しさと自信を提供したいという強い想いが表れています。
また、治療技術だけでなく、衛生管理にも徹底して取り組んでおり、個別滅菌や使い捨て器具の使用を徹底することで、安全で清潔な治療環境を実現しています。笑顔と気配りを第一に、あたたかくゆったりとした雰囲気づくりを心がけ、患者様にとって身近で信頼できる存在であり続けたいと考えています。
小さなお悩みからでも相談できる安心感と、丁寧で高品質な治療で、患者様の健康と笑顔を長く支え続ける歯科医院を目指しています。
また、治療技術だけでなく、衛生管理にも徹底して取り組んでおり、個別滅菌や使い捨て器具の使用を徹底することで、安全で清潔な治療環境を実現しています。笑顔と気配りを第一に、あたたかくゆったりとした雰囲気づくりを心がけ、患者様にとって身近で信頼できる存在であり続けたいと考えています。
小さなお悩みからでも相談できる安心感と、丁寧で高品質な治療で、患者様の健康と笑顔を長く支え続ける歯科医院を目指しています。
見えない矯正で自然な笑顔を実現
笑顔に自信を持てる矯正治療
歯列矯正は、乱れた歯並びを整えることで見た目を美しくするだけでなく、発音や咀嚼機能の改善、そして全身のバランスにも良い影響を与える重要な治療です。前歯でしっかり食べ物を噛み切り、奥歯で噛み砕けるようになることで、食生活の質が向上します。また、歯並びのガタつきを解消することで清掃性が高まり、虫歯や歯周病を予防し、結果として歯の寿命を延ばす効果も期待できます。
特に成長期のお子様にとっては、矯正治療が顎や顔の健全な成長を促す役割も果たします。早い段階で正しい噛み合わせや歯列を整えることは、将来的なトラブルの予防につながります。
広小路歯科室では、通常の矯正治療に加えて「見えない矯正治療」にも対応しています。これは、歯の裏側に装置を取り付ける「裏側矯正(舌側矯正)」のことで、治療中であっても外見にほとんど影響しません。「周囲に気づかれずに歯並びをきれいにしたい」という方に適した治療法です。
審美性、機能性、予防の三つを兼ね備えた矯正歯科は、単なる見た目の改善にとどまらず、将来の健康を守る大切な治療です。歯並びや噛み合わせでお悩みの方は、ぜひ一度ご相談ください。
特に成長期のお子様にとっては、矯正治療が顎や顔の健全な成長を促す役割も果たします。早い段階で正しい噛み合わせや歯列を整えることは、将来的なトラブルの予防につながります。
広小路歯科室では、通常の矯正治療に加えて「見えない矯正治療」にも対応しています。これは、歯の裏側に装置を取り付ける「裏側矯正(舌側矯正)」のことで、治療中であっても外見にほとんど影響しません。「周囲に気づかれずに歯並びをきれいにしたい」という方に適した治療法です。
審美性、機能性、予防の三つを兼ね備えた矯正歯科は、単なる見た目の改善にとどまらず、将来の健康を守る大切な治療です。歯並びや噛み合わせでお悩みの方は、ぜひ一度ご相談ください。
見た目も快適さも追求した入れ歯治療
薄くて軽い入れ歯で快適に
入れ歯は、歯を失った際に噛む機能や見た目を回復するための重要な治療法です。広小路歯科室では、患者様のライフスタイルや審美的なご希望に応じて、さまざまなタイプの入れ歯を提案しています。特に目立たず、装着時の違和感が少ない「ノンクラスプデンチャー」の取り扱いがあり、見た目に配慮した入れ歯治療を希望される方に適した選択肢となっています。
ノンクラスプデンチャーは、金属のバネを使わないため、口を開けた際にも入れ歯と気づかれにくく、自然な口元を演出できます。さらに、従来の入れ歯と比較して素材が薄く軽いため、装着時の違和感が少なく、日常生活でも快適に過ごせるというメリットがあります。
義歯の安定性や噛み心地にもこだわり、一人ひとりの口腔内の状態に合わせて丁寧に調整することで、使用中のトラブルを軽減し、長く使い続けられるよう配慮されています。また、見た目の美しさと機能性の両立を重視し、患者様が自信を持って笑顔になれるサポートを行っています。
見た目と機能性の両方にこだわった入れ歯治療で、より快適な毎日を実感してみてください。
ノンクラスプデンチャーは、金属のバネを使わないため、口を開けた際にも入れ歯と気づかれにくく、自然な口元を演出できます。さらに、従来の入れ歯と比較して素材が薄く軽いため、装着時の違和感が少なく、日常生活でも快適に過ごせるというメリットがあります。
義歯の安定性や噛み心地にもこだわり、一人ひとりの口腔内の状態に合わせて丁寧に調整することで、使用中のトラブルを軽減し、長く使い続けられるよう配慮されています。また、見た目の美しさと機能性の両立を重視し、患者様が自信を持って笑顔になれるサポートを行っています。
見た目と機能性の両方にこだわった入れ歯治療で、より快適な毎日を実感してみてください。
早期発見・早期治療で守る歯の健康
痛みの少ない丁寧な虫歯治療
虫歯は、細菌が作り出す酸によって歯が溶かされていく病気であり、進行すればするほど治療が複雑になります。できるだけ歯を削らず、自分の歯を長く保つことを目指すためにも、早期発見と早期治療が重要です。初期段階であれば、簡単な処置で済むことが多く、早めの受診が歯の寿命を大きく左右します。
虫歯は初期には自覚症状が少なく、気づかないまま進行してしまうケースも少なくありません。痛みや違和感を感じたときにはすでに神経にまで達していることもあり、その場合は根の治療や抜歯が必要になることもあります。症状の進行を防ぐためにも、小さな異変を感じた段階での対応が重要です。
治療では、患者様の状態に応じて必要最小限の処置を行い、歯への負担を減らすよう配慮しています。また、治療後の再発を防ぐために、ブラッシング指導や生活習慣のアドバイスを通じて予防にも力を入れています。
歯科治療に不安を感じる方にも安心して通っていただけるよう、丁寧であたたかい対応を大切にしています。早めの対処が、健やかな口腔環境を保つための第一歩です。
虫歯は初期には自覚症状が少なく、気づかないまま進行してしまうケースも少なくありません。痛みや違和感を感じたときにはすでに神経にまで達していることもあり、その場合は根の治療や抜歯が必要になることもあります。症状の進行を防ぐためにも、小さな異変を感じた段階での対応が重要です。
治療では、患者様の状態に応じて必要最小限の処置を行い、歯への負担を減らすよう配慮しています。また、治療後の再発を防ぐために、ブラッシング指導や生活習慣のアドバイスを通じて予防にも力を入れています。
歯科治療に不安を感じる方にも安心して通っていただけるよう、丁寧であたたかい対応を大切にしています。早めの対処が、健やかな口腔環境を保つための第一歩です。
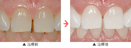
見た目も健康も整える審美治療
白く輝く歯で印象をアップ
見た目の美しさを高めるだけでなく、噛む力や発音など機能面にも配慮した治療が求められるのが審美治療です。ホワイトニングやラミネートベニア、セラミッククラウンなど、口元をより美しく整える治療法には多くの選択肢があり、それぞれの患者様の希望や状態に合わせて最適な方法を提案しています。
ホワイトニングでは、院内で行うオフィスホワイトニングと、自宅でできるホームホワイトニングの2つの方法に対応しています。それぞれのライフスタイルや希望の白さに応じて選択でき、手軽に歯を白く美しく仕上げることが可能です。また、歯の色だけでなく形や並びに関する悩みにも対応しており、歯の表面に専用の素材を貼り付けるラミネートベニアや、セラミックを用いたクラウンによる修復も提供されています。
審美治療は、単なる見た目の改善にとどまらず、歯の清掃性を高めることで虫歯や歯周病の予防にもつながります。さらに、歯並びや色味の改善によって自信を持って笑えるようになり、生活の質が大きく向上することも少なくありません。
一人ひとりに合わせた丁寧な治療とカウンセリングを通じて、安心して受けられる審美的な歯科ケアを目指しています。
ホワイトニングでは、院内で行うオフィスホワイトニングと、自宅でできるホームホワイトニングの2つの方法に対応しています。それぞれのライフスタイルや希望の白さに応じて選択でき、手軽に歯を白く美しく仕上げることが可能です。また、歯の色だけでなく形や並びに関する悩みにも対応しており、歯の表面に専用の素材を貼り付けるラミネートベニアや、セラミックを用いたクラウンによる修復も提供されています。
審美治療は、単なる見た目の改善にとどまらず、歯の清掃性を高めることで虫歯や歯周病の予防にもつながります。さらに、歯並びや色味の改善によって自信を持って笑えるようになり、生活の質が大きく向上することも少なくありません。
一人ひとりに合わせた丁寧な治療とカウンセリングを通じて、安心して受けられる審美的な歯科ケアを目指しています。
自由診療のリスク・副作用、その他
自由診療について
患者様のさまざまなニーズに応えるために自由診療を提供しております。しかし、自由診療には健康保険適用外の治療が含まれるため、以下の点にご注意ください。
【リスクについて】
自由診療には、保険適用治療に比べて高度かつ専門的な治療が含まれる場合があります。これらの治療はより高い技術を要求されるため、一般的な治療よりもリスクが高まる可能性があります。
【副作用について】
すべての医療行為には副作用のリスクが伴います。自由診療の場合、使用する材料や治療方法が特殊な場合があるため、通常の治療とは異なる副作用が発生する可能性があります。
【費用について】
自由診療は健康保険の適用外であるため、保険診療と比較して高額になることがあります。治療前には必ず費用の詳細について説明を行い、ご同意をいただいてから治療を開始します。
【治療の選択について】
患者様の健康状態や希望に合わせて、最適な治療計画を提案します。自由診療は選択肢の一つであり、必ずしもすべての患者様に適しているわけではありません。
【その他の注意事項】
治療後のフォローアップやメンテナンスについても、自由診療の範囲内で行うことがあります。これには追加の費用が発生する場合があります。
患者様一人ひとりに合った治療を心がけております。自由診療を含むすべての治療オプションについて、十分な説明とともに、患者様のご理解とご同意を得ることを重視しています。ご不明な点やご心配なことがございましたら、遠慮なくご相談ください。
患者様のさまざまなニーズに応えるために自由診療を提供しております。しかし、自由診療には健康保険適用外の治療が含まれるため、以下の点にご注意ください。
【リスクについて】
自由診療には、保険適用治療に比べて高度かつ専門的な治療が含まれる場合があります。これらの治療はより高い技術を要求されるため、一般的な治療よりもリスクが高まる可能性があります。
【副作用について】
すべての医療行為には副作用のリスクが伴います。自由診療の場合、使用する材料や治療方法が特殊な場合があるため、通常の治療とは異なる副作用が発生する可能性があります。
【費用について】
自由診療は健康保険の適用外であるため、保険診療と比較して高額になることがあります。治療前には必ず費用の詳細について説明を行い、ご同意をいただいてから治療を開始します。
【治療の選択について】
患者様の健康状態や希望に合わせて、最適な治療計画を提案します。自由診療は選択肢の一つであり、必ずしもすべての患者様に適しているわけではありません。
【その他の注意事項】
治療後のフォローアップやメンテナンスについても、自由診療の範囲内で行うことがあります。これには追加の費用が発生する場合があります。
患者様一人ひとりに合った治療を心がけております。自由診療を含むすべての治療オプションについて、十分な説明とともに、患者様のご理解とご同意を得ることを重視しています。ご不明な点やご心配なことがございましたら、遠慮なくご相談ください。
この医院の口コミはまだありません
受付時間
| 診療時間 | 日 | 月 | 火 | 水 | 木 | 金 | 土 |
|---|---|---|---|---|---|---|---|
| 10:00 ~ 19:00 | |||||||
| 10:00 ~ 13:00 |
休診日:日曜・祝日
アクセスマップ
基本情報
| 医院名 | 広小路歯科室 |
| 所在地 | 〒450-0002 愛知県 名古屋市中村区 名駅4-24-12 グローバルビル2F |
| 最寄駅 | 名古屋駅 ミヤコ地下街4出口 徒歩1分 |
| 診療内容 | 歯冠修復、欠損補綴 / 根管治療 / 歯周病治療 / 予防治療 / 小児歯科 / 矯正歯科 / 口腔外科治療 / 有床義歯 / インプラント治療 / 咬み合わせ治療 |
| 医院ID | 20087 |