【箕面駅より徒歩7分】【日本矯正歯科学会指導医・認定医 在籍】咬み合わせの問題を顎関節から診る足立矯正歯科
箕面駅出入口より徒歩7分に位置する足立矯正歯科は、1990年の開設以来、矯正歯科治療を専門とする医院として多くの患者様に支えられてきました。日本矯正歯科学会認定の指導医・臨床指導医・認定医が在籍しており、高度な専門知識と豊富な経験を活かした治療を提供しています。長期的な視点で「一生使い続けられる歯」を目指した治療計画を立案しています。
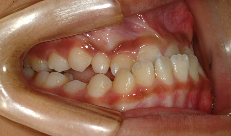
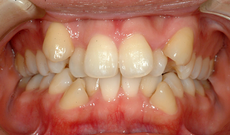
同院の大人の矯正では、出っ歯(上顎前突)、受け口(下顎前突)、叢生(歯並びの乱れ)、開咬(上下の前歯が噛み合わない状態)など、さまざまな症状に対応しています。単に見た目を整えるだけでなく、顎関節や噛み合わせの健康を重視し、機能性と美しさを両立させることを目指しています。お子様の矯正では成長期特有の骨格や歯列の変化を考慮し、適切なタイミングで治療を開始することで、将来的なトラブルを未然に防ぐサポートを行っています。
また、治療方法としてはスプリント治療やブラケット矯正などを提供しています。長年の実績と経験豊富な足立矯正歯科で、矯正治療を受けてみませんか。
同院の大人の矯正では、出っ歯(上顎前突)、受け口(下顎前突)、叢生(歯並びの乱れ)、開咬(上下の前歯が噛み合わない状態)など、さまざまな症状に対応しています。単に見た目を整えるだけでなく、顎関節や噛み合わせの健康を重視し、機能性と美しさを両立させることを目指しています。お子様の矯正では成長期特有の骨格や歯列の変化を考慮し、適切なタイミングで治療を開始することで、将来的なトラブルを未然に防ぐサポートを行っています。
また、治療方法としてはスプリント治療やブラケット矯正などを提供しています。長年の実績と経験豊富な足立矯正歯科で、矯正治療を受けてみませんか。
矯正歯科のこだわりポイント

足立矯正歯科では、年齢層に適した矯正治療を行っています。お子様の矯正治療では、成長過程を活用できる点が最大の利点です。歯の移動に伴う歯肉萎縮のリスクが低く、健康な天然歯を維持しやすい環境が特徴です。ただし、装置の着用継続にはご家族のサポートが不可欠で、進学時の環境変化にも配慮が必要です。
成人矯正の場合、治療意欲の高さから治療経過が予測しやすい反面、歯の移動速度が緩やかで期間が長期化する傾向があります。歯周病や修復物の状態によっては追加処置が必要となる可能性があるため、精密な事前検査が重要です。
顎関節調整を目的としたスプリント治療は、下顎位置の安定化を図る前段階として実施されます。この処置により咬合診断の精度が向上し、矯正装置を用いた本格治療の効果を最大化します。
ブラケット矯正では金属製とセラミック製を選ぶことができます。審美性を重視する場合には歯質に近似したセラミックタイプがおすすめです。重症例では外科的処置を併用し、機能性と審美性の両立を目指します。
成人矯正の場合、治療意欲の高さから治療経過が予測しやすい反面、歯の移動速度が緩やかで期間が長期化する傾向があります。歯周病や修復物の状態によっては追加処置が必要となる可能性があるため、精密な事前検査が重要です。
顎関節調整を目的としたスプリント治療は、下顎位置の安定化を図る前段階として実施されます。この処置により咬合診断の精度が向上し、矯正装置を用いた本格治療の効果を最大化します。
ブラケット矯正では金属製とセラミック製を選ぶことができます。審美性を重視する場合には歯質に近似したセラミックタイプがおすすめです。重症例では外科的処置を併用し、機能性と審美性の両立を目指します。
医院としての理念・方針

足立矯正歯科では、矯正治療において顎関節の診断を重要視しています。顎関節の健康状態は、噛み合わせや歯の長期的な安定性に大きく影響を及ぼすためです。たとえ歯並びが整っていても、顎の位置に問題がある場合、噛み合わせの悪化や歯の寿命が短くなる可能性があります。また、顎の痛みや疲労感、さらには治療後の後戻りといったリスクも高まります。こうした問題を回避するため、治療前に歯科用CTを用いて顎関節を詳細に診断し、必要に応じてスプリント治療を行い下顎位の安定を図ります。
さらに、将来を見据えたコンサルテーションを実施しています。例えば、上顎前突(出っ歯)で悩む患者様には、単に現在の見た目を改善するだけでなく、年齢を重ねた際にも若々しく美しい印象を保てる治療計画を提案します。現在と将来の両面から最適な治療目標を設定しています。
また指定自立支援医療機関として、保険適用の外科手術が必要な顎変形症や、先天異常に伴う不正咬合など高度な矯正治療も行っています。
さらに、将来を見据えたコンサルテーションを実施しています。例えば、上顎前突(出っ歯)で悩む患者様には、単に現在の見た目を改善するだけでなく、年齢を重ねた際にも若々しく美しい印象を保てる治療計画を提案します。現在と将来の両面から最適な治療目標を設定しています。
また指定自立支援医療機関として、保険適用の外科手術が必要な顎変形症や、先天異常に伴う不正咬合など高度な矯正治療も行っています。
院長について
▽略歴
1980年
大阪大学歯学部卒業
1984年
大阪大学大学院歯学研究科修了 歯学博士
大阪大学歯学部付属病院医員
1985年
大阪大学歯学部助手
1986年
カナダ ブリティッシュコロンビア大学 歯科矯正学講座 客員臨床助教授
1990年
大阪府箕面市にて矯正歯科専門医院を開設
指導医・認定医
日本矯正歯科学会(認定)指導医・臨床指導医・認定医
1980年
大阪大学歯学部卒業
1984年
大阪大学大学院歯学研究科修了 歯学博士
大阪大学歯学部付属病院医員
1985年
大阪大学歯学部助手
1986年
カナダ ブリティッシュコロンビア大学 歯科矯正学講座 客員臨床助教授
1990年
大阪府箕面市にて矯正歯科専門医院を開設
指導医・認定医
日本矯正歯科学会(認定)指導医・臨床指導医・認定医
出っ歯の矯正治療

出っ歯(正式名称:上顎前突)は、上の前歯や上顎全体が下顎よりも前に突出した状態を指します。この状態は見た目の問題だけでなく、口腔内の健康にも影響を及ぼす可能性があります。出っ歯の原因には、遺伝的な要因や舌癖、口呼吸といった口腔習癖が挙げられます。また、下顎の発育不全や顎関節の異常も一因となることがあります。
出っ歯は見た目に影響を与えるだけでなく、むし歯や歯周病のリスクを高める可能性があります。前歯が乾燥しやすくなることで再石灰化が行われにくくなり、さらに顎関節症を引き起こす場合もあります。
矯正治療は年齢や症状に応じて異なります。お子様の場合、上顎の成長を抑えつつ下顎の成長を促進する方法が取られることがあります。例えば、スプリント治療によって顎関節への負担を軽減し、上下顎のバランスを整えることが目指されます。一方、大人の場合は、矯正治療前に歯科用CTで検査を行い、顎関節の状態を確認します。その後、ブラケットを用いて歯並びを整える方法が一般的です。必要に応じて永久歯の抜歯が行われる場合もあります。
出っ歯は見た目に影響を与えるだけでなく、むし歯や歯周病のリスクを高める可能性があります。前歯が乾燥しやすくなることで再石灰化が行われにくくなり、さらに顎関節症を引き起こす場合もあります。
矯正治療は年齢や症状に応じて異なります。お子様の場合、上顎の成長を抑えつつ下顎の成長を促進する方法が取られることがあります。例えば、スプリント治療によって顎関節への負担を軽減し、上下顎のバランスを整えることが目指されます。一方、大人の場合は、矯正治療前に歯科用CTで検査を行い、顎関節の状態を確認します。その後、ブラケットを用いて歯並びを整える方法が一般的です。必要に応じて永久歯の抜歯が行われる場合もあります。
受け口の矯正治療

受け口(正式名称:下顎前突)は、下の歯や下顎全体が上の歯や上顎よりも前方に突出している状態を指します。この状態を放置すると、奥歯の噛み合わせが悪化し、顎関節や奥歯に過度な負担がかかることがあります。
受け口の原因には遺伝的要因や上下顎骨のバランスの不均衡、歯の傾きなどが挙げられます。特に成長期のお子様の場合、放置すると症状が進行する可能性があり、大掛かりな外科手術が必要となるケースもあります。また、受け口は顎関節への負担を増加させるだけでなく、補綴治療(詰め物や被せ物など)が外れやすくなるなどの問題も引き起こします。
成長期のお子様には、上顎の自然な成長を促しながら上下顎のバランスを整える治療が行われます。早期に前歯の反対咬合を改善することで、顎関節への負担を軽減しつつ、健全な成長発育を目指します。
成人の場合矯正治療に先立ち、顎関節や歯並び、顔貌などを精密に診断します。必要に応じてスプリント治療で下顎位置を安定させた後、ブラケット矯正装置を用いて歯列を整えます。また、上下顎骨のバランスが大きく崩れている場合には外科手術を併用することがあります。
受け口の原因には遺伝的要因や上下顎骨のバランスの不均衡、歯の傾きなどが挙げられます。特に成長期のお子様の場合、放置すると症状が進行する可能性があり、大掛かりな外科手術が必要となるケースもあります。また、受け口は顎関節への負担を増加させるだけでなく、補綴治療(詰め物や被せ物など)が外れやすくなるなどの問題も引き起こします。
成長期のお子様には、上顎の自然な成長を促しながら上下顎のバランスを整える治療が行われます。早期に前歯の反対咬合を改善することで、顎関節への負担を軽減しつつ、健全な成長発育を目指します。
成人の場合矯正治療に先立ち、顎関節や歯並び、顔貌などを精密に診断します。必要に応じてスプリント治療で下顎位置を安定させた後、ブラケット矯正装置を用いて歯列を整えます。また、上下顎骨のバランスが大きく崩れている場合には外科手術を併用することがあります。
ガタガタな歯並びの矯正治療

歯並びがガタガタな状態(正式名称:叢生(そうせい))は、八重歯や乱ぐい歯なども含まれます。叢生は見た目の印象に影響を与えるだけでなく、むし歯や歯周病のリスクを高める原因にもなります。ブラッシングが難しくなるため、口腔内の衛生状態を保つことが困難になる場合があります。
叢生の主な原因は、歯と顎のサイズの不均衡です。顎に対して歯が大きい場合や、小さい場合にスペース不足が生じ、歯がデコボコに並んでしまいます。この状態は見た目のコンプレックスを引き起こすだけでなく、むし歯や口内炎のリスクを高める要因となります。また、歯が重なり合うことで治療が難しくなるケースもあります。
叢生の矯正治療は、お子様と大人で異なります。お子様の場合、成長期に合わせて顎や噛み合わせを調整し、永久歯が揃った後に本格的な矯正装置を使用することがあります。一方、大人の場合はブラケットなどの矯正装置を用いて直接的に歯並びを整えます。ただし、顎関節に問題がある場合はスプリント治療などを先行させることがあります。
叢生の主な原因は、歯と顎のサイズの不均衡です。顎に対して歯が大きい場合や、小さい場合にスペース不足が生じ、歯がデコボコに並んでしまいます。この状態は見た目のコンプレックスを引き起こすだけでなく、むし歯や口内炎のリスクを高める要因となります。また、歯が重なり合うことで治療が難しくなるケースもあります。
叢生の矯正治療は、お子様と大人で異なります。お子様の場合、成長期に合わせて顎や噛み合わせを調整し、永久歯が揃った後に本格的な矯正装置を使用することがあります。一方、大人の場合はブラケットなどの矯正装置を用いて直接的に歯並びを整えます。ただし、顎関節に問題がある場合はスプリント治療などを先行させることがあります。
上下の前歯が噛み合わない人の矯正治療

上下の前歯が噛み合わない状態、いわゆる「開咬(オープンバイト)」は、不正咬合の中でも特に治療が難しいとされる症状です。この状態では、奥歯を噛んでも前歯の間に隙間ができ、食事や発音に支障をきたすことがあります。また放置すると顎関節症や肩こり、腰痛など全身的な不調を引き起こす可能性もあります。
開咬の原因には、遺伝的要因や顎の成長バランスの乱れ、指しゃぶりや舌癖といった口腔習癖が挙げられます。先天的に縦長の顎を持つ場合も、この症状を引き起こすことがあります。
お子様の場合、成長期における顎の垂直的な成長をコントロールすることで、悪化を防ぐことが可能です。舌癖や指しゃぶりなどの悪習癖を改善しつつ、顎関節への負担軽減や上下顎のバランスを整える治療が行われます。
大人の場合は、歯科用CTで顎関節の状態を確認し、必要に応じてスプリント治療で顎位を調整します。その後、ブラケットやワイヤーを用いた矯正治療を進めます。症状が重度の場合には、矯正治療だけでなく外科手術を併用するケースもあります。
開咬の原因には、遺伝的要因や顎の成長バランスの乱れ、指しゃぶりや舌癖といった口腔習癖が挙げられます。先天的に縦長の顎を持つ場合も、この症状を引き起こすことがあります。
お子様の場合、成長期における顎の垂直的な成長をコントロールすることで、悪化を防ぐことが可能です。舌癖や指しゃぶりなどの悪習癖を改善しつつ、顎関節への負担軽減や上下顎のバランスを整える治療が行われます。
大人の場合は、歯科用CTで顎関節の状態を確認し、必要に応じてスプリント治療で顎位を調整します。その後、ブラケットやワイヤーを用いた矯正治療を進めます。症状が重度の場合には、矯正治療だけでなく外科手術を併用するケースもあります。
自由診療のリスク・副作用、その他
自由診療について
患者様のさまざまなニーズに応えるために自由診療を提供しております。しかし、自由診療には健康保険適用外の治療が含まれるため、以
下の点にご注意ください。
【リスクについて】
自由診療には、保険適用治療に比べて高度かつ専門的な治療が含まれる場合があります。これらの治療はより高い技術を要求されるため、
一般的な治療よりもリスクが高まる可能性があります。
【副作用について】
すべての医療行為には副作用のリスクが伴います。自由診療の場合、使用する材料や治療方法が特殊な場合があるため、通常の治療と
は異なる副作用が発生する可能性があります。
【費用について】
自由診療は健康保険の適用外であるため、保険診療と比較して高額になることがあります。治療前には必ず費用の詳細について説明を行
い、ご同意をいただいてから治療を開始します。
【治療の選択について】
患者様の健康状態や希望に合わせて、最適な治療計画を提案します。自由診療は選択肢の一つであり、必ずしもすべての患者様に適して
いるわけではありません。
【その他の注意事項】
治療後のフォローアップやメンテナンスについても、自由診療の範囲内で行うことがあります。これには追加の費用が発生する場合がありま
す。
患者様一人ひとりに合った治療を心がけております。自由診療を含むすべての治療オプションについて、十分な説明とともに、患者様のご
理解とご同意を得ることを重視しています。ご不明な点やご心配なことがございましたら、遠慮なくご相談ください。
患者様のさまざまなニーズに応えるために自由診療を提供しております。しかし、自由診療には健康保険適用外の治療が含まれるため、以
下の点にご注意ください。
【リスクについて】
自由診療には、保険適用治療に比べて高度かつ専門的な治療が含まれる場合があります。これらの治療はより高い技術を要求されるため、
一般的な治療よりもリスクが高まる可能性があります。
【副作用について】
すべての医療行為には副作用のリスクが伴います。自由診療の場合、使用する材料や治療方法が特殊な場合があるため、通常の治療と
は異なる副作用が発生する可能性があります。
【費用について】
自由診療は健康保険の適用外であるため、保険診療と比較して高額になることがあります。治療前には必ず費用の詳細について説明を行
い、ご同意をいただいてから治療を開始します。
【治療の選択について】
患者様の健康状態や希望に合わせて、最適な治療計画を提案します。自由診療は選択肢の一つであり、必ずしもすべての患者様に適して
いるわけではありません。
【その他の注意事項】
治療後のフォローアップやメンテナンスについても、自由診療の範囲内で行うことがあります。これには追加の費用が発生する場合がありま
す。
患者様一人ひとりに合った治療を心がけております。自由診療を含むすべての治療オプションについて、十分な説明とともに、患者様のご
理解とご同意を得ることを重視しています。ご不明な点やご心配なことがございましたら、遠慮なくご相談ください。
この医院の口コミはまだありません
受付時間
診療時間 | 日 | 月 | 火 | 水 | 木 | 金 | 土 |
---|---|---|---|---|---|---|---|
14:00 ~ 20:00 | |||||||
10:30 ~ 18:00 |
休診日:火曜・木曜・日曜・祝日
月1回日曜診療あり
アクセスマップ
基本情報
医院名 | 足立矯正歯科 |
所在地 | 〒562-0001 大阪府 箕面市 箕面5-11-8 峰松ビル2F |
最寄駅 | 箕面駅 出口 徒歩7分 |
診療内容 | 矯正歯科 |
医院ID | 20022 |