【武蔵小金井駅 徒歩5分】【日本口腔インプラント学会 専門医/日本顕微鏡歯科学会 認定医】高い技術で自由診療専門のオーダーメイド治療を提供する小金井歯科
小金井歯科は武蔵小金井駅より徒歩5分の位置にあり、土曜日も診療をおこなっている歯科医院です。
自由診療を専門とし、地域の医療に貢献してきました。
私たちは一般歯科治療をはじめとし、インプラント治療・小児歯科・歯周病治療・予防歯科・顎関節症治療・審美治療・床義歯・矯正まで
幅広い治療を提供しており、患者様のニーズに沿った個々のオーダーメイド治療をおこなっています。
小金井歯科の院長は、日本口腔インプラント学会 専門医および日本顕微鏡歯科学会 認定医の資格を持ち、多数の講演・研究会の主催などの活動も
おこなっております。
女医ならではの目線で様々な配慮をおこない、患者様の言葉をしっかり聞くためのカウンセリング・診断を重視しています。
また、患者様のご希望と最善の施術方法をすべて実現できる自由診療専門の歯科医院として
「治療を受けられた全ての患者様に幸せになっていただく」ため、日々 質の高い治療の提供に尽力しています。
私たちは将来まで考えた治療プランを提案し口内の健康を通して全身の健康を守るため、
最新の機器を使用した安心かつ精密な治療と、診断や治療の内容の丁寧な説明・感染予防対策など
患者様の全てにおいての安心・安全を最優先にした治療環境を整えています。
地域の皆様の健康をお守りし、更なる努力を続けてまいります。
安心してご希望をお聞かせください。
自由診療を専門とし、地域の医療に貢献してきました。
私たちは一般歯科治療をはじめとし、インプラント治療・小児歯科・歯周病治療・予防歯科・顎関節症治療・審美治療・床義歯・矯正まで
幅広い治療を提供しており、患者様のニーズに沿った個々のオーダーメイド治療をおこなっています。
小金井歯科の院長は、日本口腔インプラント学会 専門医および日本顕微鏡歯科学会 認定医の資格を持ち、多数の講演・研究会の主催などの活動も
おこなっております。
女医ならではの目線で様々な配慮をおこない、患者様の言葉をしっかり聞くためのカウンセリング・診断を重視しています。
また、患者様のご希望と最善の施術方法をすべて実現できる自由診療専門の歯科医院として
「治療を受けられた全ての患者様に幸せになっていただく」ため、日々 質の高い治療の提供に尽力しています。
私たちは将来まで考えた治療プランを提案し口内の健康を通して全身の健康を守るため、
最新の機器を使用した安心かつ精密な治療と、診断や治療の内容の丁寧な説明・感染予防対策など
患者様の全てにおいての安心・安全を最優先にした治療環境を整えています。
地域の皆様の健康をお守りし、更なる努力を続けてまいります。
安心してご希望をお聞かせください。
インプラント治療のこだわりポイント
日本口腔インプラント学会 専門医による確実で安全なインプラント治療
インプラント治療は外科手術を伴う治療であり、正確な位置に植え・仮歯から最終的な冠せ物の装着が完了するまで、
周りの軟組織を含む全てに一貫した適切な処置がおこなわれないと、機能面と仕上がりの美しさにも悪影響を与えてしまうため
高度な知識や技術が欠かせません。
小金井歯科の院長は日本口腔インプラント学会 専門医であり、豊富な実績を元に最少の手術回数で最大の効果を得られるよう
カウンセリング・診断・治療にいたるまで対応し、安全で確実なインプラント治療を提供しています。
■幅広い様々なインプラント治療に対応
・前歯部分の骨造成(GBR)と軟組織の移植(CTG)の併用インプラント
前歯は顔の印象を決める大きな要素になり、また噛む機能面も重要視する必要があるため、より精密な治療が必要となります。
多くのケースで、失った骨を生成するGBR法・失った歯肉を生成するCTG法と併用して進めることで、治療回数を最小限にし
天然歯のように美しく仕上げることができます。
・インプラントオーバーデンチャー(有床義歯との組み合わせ)
インプラントを2~6本固定源とし、有床義歯を装着する治療法です。
粘膜で噛む力を支える通常の有床義歯と比べ、インプラントが支えとなるため噛む機能も高くなります。
全部床義歯・部分床義歯 共に適用できるため、使用できるケースは豊富です。
・ソケットリフト
上顎の骨を再生させる手術です。
上顎部のインプラント埋入時に歯(骨部)が足りない場合、上顎洞の底部を押し上げて骨の生成を誘導し、
厚みを補う治療法です。
・PRP(多血小板血漿)
患者様ご自身の血液から歯周組織を再生させる治療です。ご自身の血液を用い再生させるので、アレルギーなどの心配がありません。
患者様ご自身の血液からPRPを抽出し、ご自身の骨や代用骨と混ぜ骨の不足している部分に注入・再生を促します。
PRPには血小板を分離・濃縮して生成する組織増殖因子が高く含まれ、様々な医療分野で活用されています。
自由診療専門の小金井歯科では多様なニーズや症例に対応しています。
お気軽にお問い合わせください。
周りの軟組織を含む全てに一貫した適切な処置がおこなわれないと、機能面と仕上がりの美しさにも悪影響を与えてしまうため
高度な知識や技術が欠かせません。
小金井歯科の院長は日本口腔インプラント学会 専門医であり、豊富な実績を元に最少の手術回数で最大の効果を得られるよう
カウンセリング・診断・治療にいたるまで対応し、安全で確実なインプラント治療を提供しています。
■幅広い様々なインプラント治療に対応
・前歯部分の骨造成(GBR)と軟組織の移植(CTG)の併用インプラント
前歯は顔の印象を決める大きな要素になり、また噛む機能面も重要視する必要があるため、より精密な治療が必要となります。
多くのケースで、失った骨を生成するGBR法・失った歯肉を生成するCTG法と併用して進めることで、治療回数を最小限にし
天然歯のように美しく仕上げることができます。
・インプラントオーバーデンチャー(有床義歯との組み合わせ)
インプラントを2~6本固定源とし、有床義歯を装着する治療法です。
粘膜で噛む力を支える通常の有床義歯と比べ、インプラントが支えとなるため噛む機能も高くなります。
全部床義歯・部分床義歯 共に適用できるため、使用できるケースは豊富です。
・ソケットリフト
上顎の骨を再生させる手術です。
上顎部のインプラント埋入時に歯(骨部)が足りない場合、上顎洞の底部を押し上げて骨の生成を誘導し、
厚みを補う治療法です。
・PRP(多血小板血漿)
患者様ご自身の血液から歯周組織を再生させる治療です。ご自身の血液を用い再生させるので、アレルギーなどの心配がありません。
患者様ご自身の血液からPRPを抽出し、ご自身の骨や代用骨と混ぜ骨の不足している部分に注入・再生を促します。
PRPには血小板を分離・濃縮して生成する組織増殖因子が高く含まれ、様々な医療分野で活用されています。
自由診療専門の小金井歯科では多様なニーズや症例に対応しています。
お気軽にお問い合わせください。
医院としての理念・方針
お口を通して健康と幸せをお守りします
■理念:患者様に笑顔になっていただける治療をご提供します
私たちは患者様一人ひとりと時間をかけ向き合い、親身に寄り添います。
患者様の笑顔が少しでも長く続くことを願い、高品質でオーダーメイドの治療をご提案し、
治療後にも良好な健康状態を長く維持していただくためのメンテナンスをおこない、生涯にわたって患者さんをサポートします。
■包括歯科診療の提供をお約束します
私たちが持てる総ての知識・技術を総動員し、機能的・審美的な多方面から治療を行うことをお約束します。
■自由診療へのこだわり
制限のある保険診療では、患者様のご希望に沿った高品質な治療をご提供することができないと考え、
常に最善・最高の治療をご提供するため自由診療のみをおこなっています。
■生涯を見据えたご提案をします
私たちは治療だけでなくメンテナンスや予防にも重点を置き、患者様の思い描く未来が
より素晴らしいものになるようご提案・サポートしてまいります。
私たちは患者様一人ひとりと時間をかけ向き合い、親身に寄り添います。
患者様の笑顔が少しでも長く続くことを願い、高品質でオーダーメイドの治療をご提案し、
治療後にも良好な健康状態を長く維持していただくためのメンテナンスをおこない、生涯にわたって患者さんをサポートします。
■包括歯科診療の提供をお約束します
私たちが持てる総ての知識・技術を総動員し、機能的・審美的な多方面から治療を行うことをお約束します。
■自由診療へのこだわり
制限のある保険診療では、患者様のご希望に沿った高品質な治療をご提供することができないと考え、
常に最善・最高の治療をご提供するため自由診療のみをおこなっています。
■生涯を見据えたご提案をします
私たちは治療だけでなくメンテナンスや予防にも重点を置き、患者様の思い描く未来が
より素晴らしいものになるようご提案・サポートしてまいります。
院長について
■略歴
日本大学歯学部卒 歯学博士
日本大学大学院歯学研究科基礎系専攻
社団法人 日本口腔インプラント学会 専門医
日本顕微鏡歯科学会 認定医
日本アンチエイジング歯科学会 認定医
日本大学歯学部卒 歯学博士
日本大学大学院歯学研究科基礎系専攻
社団法人 日本口腔インプラント学会 専門医
日本顕微鏡歯科学会 認定医
日本アンチエイジング歯科学会 認定医
お子様の成長を見越した歯列矯正
先の成長を見越した小児歯科
小児歯科ではこの先、生えてくる永久歯の歯並びを見越した上での治療が必要となり、
小金井歯科では技術と経験を元に先を見越した治療を提供しています。
■先の歯列や成長に影響する歯並び:お子様に多く見られる歯並びや咬み合わせの特徴があります。
・交叉咬合(クロスバイト):上が下に被さる状態の正常な歯列の途中で咬み合わせが交叉してしまう、咬み合わせがずれている歯並びです。
成長期に交叉咬合が起きていると、顎が正しく成長できず顔が歪んでしまう可能性があります。
・過蓋咬合(ディープバイト):歯を咬み合わせた時に咬み合わせが深く、下の歯列を覆い隠すように上が被さってしまう咬み合わせです。
奥歯への負担が大きいため すり減りが激しいことが多く、顎関節症のリスクも高くなります。
・反対咬合(受け口):受け口と呼ばれる、下の歯列が上よりも前に出ている咬み合わせです。
咬み合わせだけが原因である【歯性】と下顎が成長しすぎている【骨格性】の2つに分けられます。
顎の骨は身体の成長に伴い思春期に大きく成長・発達する特徴があるので、原因が骨格性である場合には早期の治療が望ましいです。
・叢生(そうせい・八重歯・乱ぐい歯):一列に並んだ歯列ではなく、歯同士が重なりデコボコになっている歯並びです。
顎の狭さに比べ歯が大きいことが要因のため、専用の装置を使用し歯を正しい位置に並べ替え、一列に整った歯列に導きます。
・開咬(オープンバイト):噛み合わせた時に奥歯だけ当たり、前歯は全く合わない・隙間が開く咬み合わせです。
奥歯に大きな力がかかり過ぎるため破損する可能性が高くなり、顎関節症のリスクも高くなります。
■Ⅰ期治療とⅡ期治療
お子様の矯正治療はⅠ期治療・Ⅱ期治療と2つに分かれ、5歳頃~10歳頃の混合歯列期をⅠ期治療
11歳頃〜18歳頃をⅡ期治療と呼び、それぞれ最適な治療方法が異なります。
Ⅰ期治療:この時期に治療する一番のメリットは、骨格や歯列に関わる筋肉の適応を最も得やすい時期のため、
骨格の成長を整えることで上下の顎のバランスを成長に合わせて整えられることです。
・9歳頃を目安として歯列に不正がある場合には、歯列を広げ先に生えてくる永久歯が並ぶ場所を作ったり、
部分的にワイヤーを用いた矯正で綺麗に並べたりする治療をおこないます。
Ⅱ期治療:この時期は、歯列に有効な残っているスペースがあることや、骨の成長誘導の余白があるため
抜歯する確率が大幅に少なくなることが一番のメリットです。
・11歳頃を目安として歯列に問題がある場合には、取り外し式または固定式の矯正装置を使って矯正をおこないます。
また、専門の歯科衛生士によるブラッシング指導やクリーニング、フッ素塗布やシーラント処置もおこなっております。
オーダーメイドの自由診療と最新鋭の機材を用意し、お子様のご希望と保護者様のご要望に沿った治療をご提案いたします。
お子様のより良い未来を実現させるお手伝いをさせていただきます。ご相談ください。
小金井歯科では技術と経験を元に先を見越した治療を提供しています。
■先の歯列や成長に影響する歯並び:お子様に多く見られる歯並びや咬み合わせの特徴があります。
・交叉咬合(クロスバイト):上が下に被さる状態の正常な歯列の途中で咬み合わせが交叉してしまう、咬み合わせがずれている歯並びです。
成長期に交叉咬合が起きていると、顎が正しく成長できず顔が歪んでしまう可能性があります。
・過蓋咬合(ディープバイト):歯を咬み合わせた時に咬み合わせが深く、下の歯列を覆い隠すように上が被さってしまう咬み合わせです。
奥歯への負担が大きいため すり減りが激しいことが多く、顎関節症のリスクも高くなります。
・反対咬合(受け口):受け口と呼ばれる、下の歯列が上よりも前に出ている咬み合わせです。
咬み合わせだけが原因である【歯性】と下顎が成長しすぎている【骨格性】の2つに分けられます。
顎の骨は身体の成長に伴い思春期に大きく成長・発達する特徴があるので、原因が骨格性である場合には早期の治療が望ましいです。
・叢生(そうせい・八重歯・乱ぐい歯):一列に並んだ歯列ではなく、歯同士が重なりデコボコになっている歯並びです。
顎の狭さに比べ歯が大きいことが要因のため、専用の装置を使用し歯を正しい位置に並べ替え、一列に整った歯列に導きます。
・開咬(オープンバイト):噛み合わせた時に奥歯だけ当たり、前歯は全く合わない・隙間が開く咬み合わせです。
奥歯に大きな力がかかり過ぎるため破損する可能性が高くなり、顎関節症のリスクも高くなります。
■Ⅰ期治療とⅡ期治療
お子様の矯正治療はⅠ期治療・Ⅱ期治療と2つに分かれ、5歳頃~10歳頃の混合歯列期をⅠ期治療
11歳頃〜18歳頃をⅡ期治療と呼び、それぞれ最適な治療方法が異なります。
Ⅰ期治療:この時期に治療する一番のメリットは、骨格や歯列に関わる筋肉の適応を最も得やすい時期のため、
骨格の成長を整えることで上下の顎のバランスを成長に合わせて整えられることです。
・9歳頃を目安として歯列に不正がある場合には、歯列を広げ先に生えてくる永久歯が並ぶ場所を作ったり、
部分的にワイヤーを用いた矯正で綺麗に並べたりする治療をおこないます。
Ⅱ期治療:この時期は、歯列に有効な残っているスペースがあることや、骨の成長誘導の余白があるため
抜歯する確率が大幅に少なくなることが一番のメリットです。
・11歳頃を目安として歯列に問題がある場合には、取り外し式または固定式の矯正装置を使って矯正をおこないます。
また、専門の歯科衛生士によるブラッシング指導やクリーニング、フッ素塗布やシーラント処置もおこなっております。
オーダーメイドの自由診療と最新鋭の機材を用意し、お子様のご希望と保護者様のご要望に沿った治療をご提案いたします。
お子様のより良い未来を実現させるお手伝いをさせていただきます。ご相談ください。
スウェーデン式 歯周病治療システム「スカンジナヴィアン・アプローチ」による歯周病治療
マイクロスコープを使用した精密な歯周病治療を提供
歯周病は現在では世界で患者が最も多い疾患として、歯を失う原因の第一位に挙げられており、口内だけの問題ではなく
歯周病菌の影響により全身疾患のリスクが高まることが広く知られています。
小金井歯科ではスカンジナヴィアン・アプローチを採用しており、歯周病を治療・再発しないように維持し、
可能な限り天然歯を残せる治療を進めています。
また、マイクロスコープを使用することにより、身体に負担の少ない精密な歯周病治療を提供しています。
■スカンジナヴィアン・アプローチ
プラークコントロールや非外科的な処置を含む歯周基本治療と外科処置・抗菌薬を使用して歯周菌を根本から除去し、
健康な口腔内を維持させるための治療です。
小金井歯科での歯周病治療は個々の進行に最適な方法を用い、歯周病の進行により失われてしまった歯周組織を再生する
外科手術を用いた再生治療もおこなっています。
・歯石除去:4mm以下の歯周ポケットにおこなう処置です。器具を用い、歯と歯肉の境目より上部の歯石と歯垢を除去していきます。
・デブライドメント:肉眼では確認が難しい歯肉の縁より深い歯垢と歯石をマイクロスコープを使用して確認し、
的確な診断や精密性の高い手術が可能になる超音波スケーラーを用いて除去することにより歯肉の炎症が改善されます。
・歯周ポケット掻破術:軽~中度の歯周炎におこなう処置です。マイクロスコープを使用することで切開をせず施術することが可能です。
治療箇所に麻酔をし、歯周ポケットの奥の歯石や歯垢・歯周病菌に感染した歯肉を取り除きます。
・フラップ手術:中~重度の歯周炎におこなう処置です。治療箇所に麻酔をして歯肉を切開し歯根を露出させ、マイクロスコープを使用し
歯垢や極細な歯石・歯周菌に感染した歯肉組織を取り除き、縫合します。
・GTR法:重度の歯周炎におこなう治療です。歯周病によって失われた歯周組織の再生のために、歯槽骨に特殊な膜(GTRメンブレン)を入れ
骨より再生が速い歯肉が入り込むのを防ぎ組織の再生を促します。
・エムドゲイン法:GTR法と同様に歯周組織を再生させる治療です。
歯が生える過程を再現する働きがあるエムドゲインゲルを、歯周菌によって破壊されてしまった部分に塗布し再生を促します。
早期発見と早期治療が大きな予防に繋がります。少しでも気になることがありましたら、ご相談ください。
歯周病菌の影響により全身疾患のリスクが高まることが広く知られています。
小金井歯科ではスカンジナヴィアン・アプローチを採用しており、歯周病を治療・再発しないように維持し、
可能な限り天然歯を残せる治療を進めています。
また、マイクロスコープを使用することにより、身体に負担の少ない精密な歯周病治療を提供しています。
■スカンジナヴィアン・アプローチ
プラークコントロールや非外科的な処置を含む歯周基本治療と外科処置・抗菌薬を使用して歯周菌を根本から除去し、
健康な口腔内を維持させるための治療です。
小金井歯科での歯周病治療は個々の進行に最適な方法を用い、歯周病の進行により失われてしまった歯周組織を再生する
外科手術を用いた再生治療もおこなっています。
・歯石除去:4mm以下の歯周ポケットにおこなう処置です。器具を用い、歯と歯肉の境目より上部の歯石と歯垢を除去していきます。
・デブライドメント:肉眼では確認が難しい歯肉の縁より深い歯垢と歯石をマイクロスコープを使用して確認し、
的確な診断や精密性の高い手術が可能になる超音波スケーラーを用いて除去することにより歯肉の炎症が改善されます。
・歯周ポケット掻破術:軽~中度の歯周炎におこなう処置です。マイクロスコープを使用することで切開をせず施術することが可能です。
治療箇所に麻酔をし、歯周ポケットの奥の歯石や歯垢・歯周病菌に感染した歯肉を取り除きます。
・フラップ手術:中~重度の歯周炎におこなう処置です。治療箇所に麻酔をして歯肉を切開し歯根を露出させ、マイクロスコープを使用し
歯垢や極細な歯石・歯周菌に感染した歯肉組織を取り除き、縫合します。
・GTR法:重度の歯周炎におこなう治療です。歯周病によって失われた歯周組織の再生のために、歯槽骨に特殊な膜(GTRメンブレン)を入れ
骨より再生が速い歯肉が入り込むのを防ぎ組織の再生を促します。
・エムドゲイン法:GTR法と同様に歯周組織を再生させる治療です。
歯が生える過程を再現する働きがあるエムドゲインゲルを、歯周菌によって破壊されてしまった部分に塗布し再生を促します。
早期発見と早期治療が大きな予防に繋がります。少しでも気になることがありましたら、ご相談ください。
顎関節症の治療にも対応する咬み合わせ治療
様々な観点からの咬み合わせ治療
咬み合わせは口内や食事だけの問題ではなく全身の健康に深く関係しており、乱れがあると悪影響が全身へ及ぶことがあります。
小金井歯科では咬み合わせを重視し、顎関節症の治療もおこなっています。
■咬み合わせと様々な関係
・顎関節:咬み合わせに異常があると顎関節にかかる力のバランスが崩れることにより、顎関節症が起こる可能性があります。
顎関節は、話す・咀しゃくするなど複雑な顎の働きを制御しているため、
異常が生じると繋がりのある筋肉や脳・全身に悪影響を与えてしまいます。
・認知症:天然歯が20本以上 又は床義歯を使用し咬み合わせが安定している場合と
天然歯が19本以下で床義歯を使用していない場合では、認知症になる割合が倍近く異なります。
また咬み合わせの異常は神経細胞の減少・脳内ストレスの発生に繋がるため、
改善することでアルツハイマー病の予防・治療になると考えられています。
・姿勢や顔貌:咬み合わせに異常があると顎関節にかかる咬む力のバランスが悪くなり、
全身の姿勢・口元や顎・顔つきに歪みが生じる可能性があります。
歪みが長期にわたると骨格や筋肉を変形させ全身に傾きをもたらし、咬み合わせを改善しても戻せなくなってしまいます。
■スプリントとマニュピレーションによる顎関節症 治療
・スプリント治療:マウスピースを使用し、顎関節への負担を軽減する治療法です。
患者様 専用のマウスピースを装着していただくことにより、顎の位置やバランスが正しく調整され、顎関節を守ります。
・マニュピレーション:口内に手を入れ直接おこなう治療法です。
頭蓋骨と下顎のつなぎ目にある組織である関節円板を徐々に正常な位置に移動させることで、顎関節症が改善されます。
高い技術と豊富な経験により、咬み合わせ異常による問題を改善・治療いたします。
安心してお任せください。
小金井歯科では咬み合わせを重視し、顎関節症の治療もおこなっています。
■咬み合わせと様々な関係
・顎関節:咬み合わせに異常があると顎関節にかかる力のバランスが崩れることにより、顎関節症が起こる可能性があります。
顎関節は、話す・咀しゃくするなど複雑な顎の働きを制御しているため、
異常が生じると繋がりのある筋肉や脳・全身に悪影響を与えてしまいます。
・認知症:天然歯が20本以上 又は床義歯を使用し咬み合わせが安定している場合と
天然歯が19本以下で床義歯を使用していない場合では、認知症になる割合が倍近く異なります。
また咬み合わせの異常は神経細胞の減少・脳内ストレスの発生に繋がるため、
改善することでアルツハイマー病の予防・治療になると考えられています。
・姿勢や顔貌:咬み合わせに異常があると顎関節にかかる咬む力のバランスが悪くなり、
全身の姿勢・口元や顎・顔つきに歪みが生じる可能性があります。
歪みが長期にわたると骨格や筋肉を変形させ全身に傾きをもたらし、咬み合わせを改善しても戻せなくなってしまいます。
■スプリントとマニュピレーションによる顎関節症 治療
・スプリント治療:マウスピースを使用し、顎関節への負担を軽減する治療法です。
患者様 専用のマウスピースを装着していただくことにより、顎の位置やバランスが正しく調整され、顎関節を守ります。
・マニュピレーション:口内に手を入れ直接おこなう治療法です。
頭蓋骨と下顎のつなぎ目にある組織である関節円板を徐々に正常な位置に移動させることで、顎関節症が改善されます。
高い技術と豊富な経験により、咬み合わせ異常による問題を改善・治療いたします。
安心してお任せください。
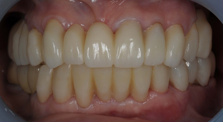
機能性を備えた自然で美しい審美歯科治療
高い技術の審美歯科を提供しています
歯や口は正しく機能することが大きな役割であり重要であることは勿論ですが、
他人からの印象を大きく左右する見た目も重要であると考えます。
小金井歯科では機能性を備えた患者様のご希望に沿った美しい口元を提供するため、治療前に綿密なカウンセリングをおこない
望まれる方向性を詳細に確認したうえで、様々な素材・色調・形態など個々の患者様に最適な治療方法をご提案します。
■オールセラミッククラウン:全ての部分にセラミック(陶材)素材を使用したクラウンです。
金属を使用していないため金属アレルギーの方にも有効です。
自然な白さと透明感が再現可能なため、周りの天然歯とも見分けがつきません。
・オールセラミックのブリッジを用いる歯列の治療
歯の大きさに不調和があり通常の矯正治療をおこなっても綺麗な歯列に戻らない可能性が高い場合にも、
オールセラミックのブリッジを使用し歯列を治すことで健康と美しさの両方を叶えることも可能です。
■メタルボンド:金属製の表面にセラミックを焼き付けたクラウンです。強度が高く、奥歯にも多く使用されます。
■ラミネートベニア:歯面を薄く削りセラミック製の薄い板を貼り付けることで、形や歯列の乱れを整える治療法です。
ホワイトニングで白くならなかった歯にも効果的です。
■ジルコニア:内側に人工ダイヤモンドにも使用されるジルコニアを使用し、外側にセラミックスを使用したクラウンです。
天然歯に近い色と高い強度があるため奥歯に適しています。
■ダイレクトコンポジット修復:セラミックと歯科用プラスチック(レジン)を掛け合わせたハイブリッドセラミックを
歯に直接 盛り付け形を整え、歯の本来の美しさを再現する治療法です。
保険治療内で使用する歯科材料と比べ、患者様に合った透明度や色調が選択でき、更に耐久性にも優れています。
■ダイレクトクラウン:ハイブリッドセラミックを使用した白いクラウンを1日で製作する方法です。
短時間での製作が可能で費用を抑えられるメリットがありますが、治療箇所や歯の状態により適用できない場合もあります。
お時間が取れずお急ぎの方、保険治療の銀歯には抵抗があるが審美的な治療を受けたいと思われる方などの選択肢としてご提案しています。
また、ブライダルケアもおこなっており、美しさの追求と自然の模倣どちらも患者様のニーズにお答えする技術を提供いたします。
お気軽にお問い合わせください。
他人からの印象を大きく左右する見た目も重要であると考えます。
小金井歯科では機能性を備えた患者様のご希望に沿った美しい口元を提供するため、治療前に綿密なカウンセリングをおこない
望まれる方向性を詳細に確認したうえで、様々な素材・色調・形態など個々の患者様に最適な治療方法をご提案します。
■オールセラミッククラウン:全ての部分にセラミック(陶材)素材を使用したクラウンです。
金属を使用していないため金属アレルギーの方にも有効です。
自然な白さと透明感が再現可能なため、周りの天然歯とも見分けがつきません。
・オールセラミックのブリッジを用いる歯列の治療
歯の大きさに不調和があり通常の矯正治療をおこなっても綺麗な歯列に戻らない可能性が高い場合にも、
オールセラミックのブリッジを使用し歯列を治すことで健康と美しさの両方を叶えることも可能です。
■メタルボンド:金属製の表面にセラミックを焼き付けたクラウンです。強度が高く、奥歯にも多く使用されます。
■ラミネートベニア:歯面を薄く削りセラミック製の薄い板を貼り付けることで、形や歯列の乱れを整える治療法です。
ホワイトニングで白くならなかった歯にも効果的です。
■ジルコニア:内側に人工ダイヤモンドにも使用されるジルコニアを使用し、外側にセラミックスを使用したクラウンです。
天然歯に近い色と高い強度があるため奥歯に適しています。
■ダイレクトコンポジット修復:セラミックと歯科用プラスチック(レジン)を掛け合わせたハイブリッドセラミックを
歯に直接 盛り付け形を整え、歯の本来の美しさを再現する治療法です。
保険治療内で使用する歯科材料と比べ、患者様に合った透明度や色調が選択でき、更に耐久性にも優れています。
■ダイレクトクラウン:ハイブリッドセラミックを使用した白いクラウンを1日で製作する方法です。
短時間での製作が可能で費用を抑えられるメリットがありますが、治療箇所や歯の状態により適用できない場合もあります。
お時間が取れずお急ぎの方、保険治療の銀歯には抵抗があるが審美的な治療を受けたいと思われる方などの選択肢としてご提案しています。
また、ブライダルケアもおこなっており、美しさの追求と自然の模倣どちらも患者様のニーズにお答えする技術を提供いたします。
お気軽にお問い合わせください。
自由診療のリスク・副作用、その他
■自由診療のリスク、副作用、その他
自由診療について
当院では患者様のさまざまなニーズにお応えし、常に最善・最高の治療をご提供するため自由診療を専門にしております。
しかし、自由診療には健康保険適用外の治療が含まれるため、以下の点にご注意ください。
【リスクについて】
自由診療には、保険適用治療に比べて高度かつ専門的な治療が含まれる場合があります。これらの治療はより高い技術を要求されるため、一般的な治療よりもリスクが高まる可能性があります。
【副作用について】
すべての医療行為には副作用のリスクが伴います。自由診療の場合、使用する材料や治療方法が特殊な場合があるため、通常の治療とは異なる副作用が発生する可能性があります。
【費用について】
自由診療は健康保険の適用外であるため、保険診療と比較して高額になることがあります。治療前には必ず費用の詳細について説明を行い、ご同意をいただいてから治療を開始します。
【治療の選択について】
患者様の健康状態や希望に合わせて、最適な治療計画を提案します。自由診療は選択肢の一つであり、必ずしもすべての患者様に適しているわけではありません。
【その他の注意事項】
治療後のフォローアップやメンテナンスについても、自由診療の範囲内で行うことがあります。これには追加の費用が発生する場合があります。
患者様一人ひとりに合った治療を心がけております。自由診療を含むすべての治療オプションについて、十分な説明とともに、患者様のご理解とご同意を得ることを重視しています。ご不明な点やご心配なことがございましたら、遠慮なくご相談ください。
自由診療について
当院では患者様のさまざまなニーズにお応えし、常に最善・最高の治療をご提供するため自由診療を専門にしております。
しかし、自由診療には健康保険適用外の治療が含まれるため、以下の点にご注意ください。
【リスクについて】
自由診療には、保険適用治療に比べて高度かつ専門的な治療が含まれる場合があります。これらの治療はより高い技術を要求されるため、一般的な治療よりもリスクが高まる可能性があります。
【副作用について】
すべての医療行為には副作用のリスクが伴います。自由診療の場合、使用する材料や治療方法が特殊な場合があるため、通常の治療とは異なる副作用が発生する可能性があります。
【費用について】
自由診療は健康保険の適用外であるため、保険診療と比較して高額になることがあります。治療前には必ず費用の詳細について説明を行い、ご同意をいただいてから治療を開始します。
【治療の選択について】
患者様の健康状態や希望に合わせて、最適な治療計画を提案します。自由診療は選択肢の一つであり、必ずしもすべての患者様に適しているわけではありません。
【その他の注意事項】
治療後のフォローアップやメンテナンスについても、自由診療の範囲内で行うことがあります。これには追加の費用が発生する場合があります。
患者様一人ひとりに合った治療を心がけております。自由診療を含むすべての治療オプションについて、十分な説明とともに、患者様のご理解とご同意を得ることを重視しています。ご不明な点やご心配なことがございましたら、遠慮なくご相談ください。
この医院の口コミはまだありません
受付時間
| 診療時間 | 日 | 月 | 火 | 水 | 木 | 金 | 土 |
|---|---|---|---|---|---|---|---|
| 09:30 ~ 12:00 | |||||||
| 14:00 ~ 17:00 |
休診日:日曜・祝日
アクセスマップ
基本情報
| 医院名 | 小金井歯科 |
| 所在地 | 〒184-0004 東京都 小金井市 本町5丁目7-2 小金井ビル |
| 最寄駅 | 武蔵小金井駅 北口 徒歩5分 |
| 診療内容 | 歯冠修復、欠損補綴 / 根管治療 / 歯周病治療 / 予防治療 / 小児歯科 / 矯正歯科 / 口腔外科治療 / 有床義歯 / インプラント治療 / 咬み合わせ治療 / 顎関節症治療 |
| 医院ID | 19859 |