brand
サイトの特徴・使い方 閲覧履歴 会員登録 ログイン
トップ  -  東京都  -  港区  -  AO1 DENTAL CLINIC
口コミを投稿
Teech(ティーチ)を見たとお伝えください
03-3402-6480

AO1 DENTAL CLINIC

所在地
東京都 港区 北青山1-2-7 コウヅキキャピタルビル1F
最寄駅
青山一丁目駅 1番出口 徒歩1分
【青山一丁目駅 1番出口より徒歩1分】徹底的に美しい歯を追求し、ハイレベルな最新審美治療を提供する「AO1 DENTAL CLINIC」
①受付②明るい院内③開放的な診療室
①受付②明るい院内③開放的な診療室
①受付②明るい院内③開放的な診療室
出典:AO1 DENTAL CLINIC
①受付②明るい院内③開放的な診療室
AO1 DENTAL CLINICは、青山一丁目駅 1番出口より徒歩1分に位置する歯科クリニックです。駅から近い好立地、平日は20時まで診療を行っているので、通院しやすい環境となっています。

AO1 DENTAL CLINICでは、審美歯科を中心に、矯正歯科、インプラント、短期集中治療を行なっています。

審美治療では徹底して美しさにこだわっており、最新技術を導入しハイレベルな治療を提供しています。自然な見た目を実現できるセラミックをはじめとした様々な審美的にすぐれた材料をご用意、形についても十分に患者様と話し合いデッサンを描いて見ていただくなど、満足していただける仕上がりを追求しています。

短期集中治療では、一回の診療時間を長くお取りすることで、少ない治療回数で治療を終えることができます。忙しくてなかなか通院できない方や、遠方からお越しの患者様、間近にイベントを控えている方などに、大変ご好評いただいております。

インプラントにおいても、機能面はもちろん、まるで本物の歯のような美しい見た目を再現するよう、細部にまでこだわって治療を行なっています。

美しい歯を作ることは、楽しく前向きな人生を作ることにつながります。AO1 DENTAL CLINICでは、皆様の理想とする歯を作ることで、豊かな人生をサポートしていきます。
インプラント治療のこだわりポイント
正確な診断・治療を行なっています 正確な診断・治療を行なっています
AO1 DENTAL CLINICのインプラントは、最新の設備や体制を整え、完全個室の診療室でオペを行っています。診療室は、スイッチひとつで清浄度クラス10,000の安全な手術室を作り出せるシステムを導入しており、横から雑菌が入ってこないように瞬時にエアーカーテン状態にすることができます。

また、正確で安全な治療を行なうために歯科用CTを導入しております。これによって、今まで見ることができなかった部分まで見ることができるため、視覚的にイメージしやすく患者様にとっても術者にとっても大きなメリットがあります。

インプラントは、機能性と審美性の両方を叶えることができる治療法ですが、AO1 DENTAL CLINICでは見た目の美しさに特にこだわっており、歯の部分については信頼のおける高い技術を持った歯科技工士に依頼しております。

メリットの大きいインプラントですが、手術を伴う治療のため、不安を感じやすい方や、痛みに敏感な方、全身疾患をお持ちの患者様にとっては大きな負担がかかることもあります。そのような方には、通常局所麻酔で行う手術を、「静脈内鎮静法」という麻酔方法を「歯科麻酔科医」のもと併用することで、患者様の身体の負担を減らしています。この方法を用いると、半分眠っているような状態になり、緊張や不安を感じることなく手術を終わらせることができます。

体への負担が少なく、快適な機能性と見た目を実現できるAO1 DENTAL CLINICのインプラントをぜひご検討ください。
医院としての理念・方針
皆様のご来院を心よりお待ちしております 皆様のご来院を心よりお待ちしております
AO1 DENTAL CLINICでは、5つの"SAY"をコンセプトに診療を行っています。

・清「常に清潔・清掃を心がけています」
医療においては、清潔で安全な環境を整えることが基本です。スタッフ全員で院内の清掃を徹底して行い、常に清潔な環境に心がけています。

・誠「誠心誠意ある対応を行います」
歯科治療を受ける際には、だれでも緊張や不安を感じるものです。そのような患者様に少しでもリラックスして心地よく治療を受けていただけるように、患者様のお悩みに寄り添った、心からの温かい対応を心がけています。

・静「静かなリラックスできる空間を提供します」
院内環境やサービスに配慮し、落ち着いた安らげる空間作りをしています。

・整「常に整理整頓を心がけています」
審美的な治療にこだわるAO1 DENTAL CLINICでは、院内の環境についても見た目に配慮し、整理整頓されたすっきりとした空間にこだわっています。

・青「青山であるということに誇りをもっています」
青山という地にふさわしい、上質な治療と品格のあるおもてなしを提供いたします。
院長について
院長の好井 健一
院長の好井 健一
▽経歴
1993年 昭和大学歯学部 卒業
1998年 青山一丁目歯科クリニック 開院
2008年 AO1 DENTAL CLINIC 開院
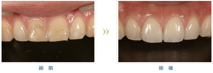
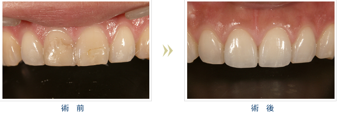
審美歯科:ハイレベルな最新治療を提供します
自然で美しい歯を作ります 自然で美しい歯を作ります
AO1 DENTAL CLINICの審美歯科では、最新技術によるハイレベルの審美治療を提供しています。「過去に行ったセラミック治療の仕上がりに不満がある」「芸能活動のために、自然できれいな歯を手に入れたい」「モデルや有名人のような高品質の審美治療をしたい」このようなご希望をお持ちの方に、大変ご好評いただいております。

美しい歯には、おもに4つの条件があります。それは、「色」「透明感」「形」「歯肉との境目」の4つです。

・色
セラミックの歯は白くきれいですが、単色で作製した場合、自然な仕上がりにはなりません。1本の歯にも色の濃淡があり、自然な質感を再現するためには、何層にも盛って色の深みを出す必要があります。AO1 DENTAL CLINICでは、約100種類のセラミックパウダーを使用し、患者様お一人お一人の歯の色に合わせて調合することで、かぎりなく天然の歯に近い色を再現します。

・透明感
自然な見た目にするには、セラミックの透明感が大切です。そのためAO1 DENTAL CLINICでは、裏側に金属を使用していないオールセラミックをおすすめしています。AO1 DENTAL CLINICで使用している「ジルコニアセラミック」は、ダイヤモンドに似た輝きを持ち、人工ダイヤモンドとして装飾品にも使われる素材で、美しく透明感のある仕上がりにできます。

・形
セラミック治療をした際に、歯の形が揃いすぎていると、違和感のある仕上がりになってしまいます。AO1 DENTAL CLINICでは、いかに自然でバランスのとれた仕上がりにできるかをポイントに治療を行なっています。

・歯肉との境目
歯のきれいさだけでなく、歯肉との境目のきれいさも大切です。メタルボンドなどの裏側に金属を使用した材料で治療を行なった場合、根元部分の金属が見えたり、金属イオンの影響で歯茎が黒ずむことがあります。このようなことをさけるために、オールセラミックを使うことをおすすめします。

AO1 DENTAL CLINICのセラミック治療は、治療したらおしまいではなく、何年たっても責任を持って保証いたします。一生快適に使っていただけるように、定期検診でメンテナンスをさせいただきますので、ご安心ください。
ホワイトニング:ホワイトニングコーディネーターがあなたにぴったりのホワイトニングをご提案します
どんなことでもお気軽にご相談ください どんなことでもお気軽にご相談ください
ホワイトニングは、クリーニングでは落とせない汚れや、加齢や生活習慣による歯の黄ばみ、生まれつき歯が黄色っぽいといった、歯の色にお悩みの方におすすめの治療法です。

ホワイトニングには、歯科医院で行う「オフィスホワイトニング」自宅で行う「ホームホワイトニング」、その両方を行う「デュアルホワイトニング」があります。

オフィスホワイトニングは歯科医院で歯に薬を塗って歯の表面から漂白する方法です。症状によって回数はことなりますが、通常2~3回以上行います。AO1 DENTAL CLINICではブリリカホワイトニングシステムを導入しております。

ホームホワイトニングは、患者様に合わせて作成したマウスピースに薬剤を入れて、一日数時間、数日間装着することによって、歯を白くしていきます。好きな時間に、好きな場所で行えるため、通院の時間が取れない方や、マイペースに行いたい方におすすめの方法です。

AO1 DENTAL CLINICには、「ホワイトニングコーディネーター」という資格を有した歯科衛生士が4人在籍しています。ホワイトニングコーディネーターとは、日本審美歯科学会(JAED)が認定する歯科衛生士の専門資格です。

ホワイトニングの専門知識を有していますので、ホワイトニングについて不安や疑問をお持ちの方は、どんなことでもお気軽にご相談ください。
短期集中治療:少ない通院回数で、理想の状態を作れます
専用の個室でおくつろぎください 専用の個室でおくつろぎください
AO1 DENTAL CLINICでは、1回の治療時間を長くお取りすることで、少ない通院回数で治療を終わらせることができる「短期集中治療」を行っています。遠方からお越しの方や、イベントを控えている方、通院の時間がなかなか取れない方などに大変喜ばれております。

短期集中治療に使用する専用の個室は、有名人の方がお忍びで使用されるVIPルームですので、まるでホテルの一室のようにくつろげる空間となっています。

短期集中治療では、通常4回かかる審美治療が2回、通常8~10回のインプラント治療が4~6回と、およそ半分の通院回数で済ませることが可能です。また、簡単な治療であれば1回で済ませることができます。

就職や結婚式などを控え、「〇月までに治療を終わらせたい」というご希望がある場合は、セラミック治療と部分矯正を併用するなど、期限内で最善の治療法をご提案します。

また、遠方からお越しの患者様で宿泊をご希望の場合は、AO1 DENTAL CLINICにて提携ホテルを特別価格にて手配することも可能です。

時間の都合がつかず、今まで治療をあきらめていた方は、ぜひAO1 DENTAL CLINICの短期集中治療をご検討ください。
矯正治療:丁寧なカウンセリングで最適な治療法をご提案します
きれいな歯並びを作る治療です きれいな歯並びを作る治療です
AO1 DENTAL CLINICでは、歯の美しさを求める患者様のために、矯正治療も行っています。矯正治療には様々な方法がありますので、AO1 DENTAL CLINICでは患者様としっかりとカウンセリングを行い、安心して治療を受けていただけるように努めています。

矯正治療はお子様が行うものというイメージが強いかと思いますが、大人の方でも治療は十分可能です。

AO1 DENTAL CLINICでは、目立たない透明なマウスピースを使っての矯正治療「インビザライン」を行っています。透明なマウスピースのため、従来のワイヤー矯正に比べて非常に目立ちにくく、人からほとんど気付かれることなく治療を行なえます。

マウスピースは患者様に合わせたカスタムメイドのため、違和感や痛みが少なく、取り外し可能で、歯磨きや食事が普段通りにできます。そのため、口腔内を清潔に保つことができ、虫歯や歯周病のリスクも少なく、好きなものを食べることが可能です。

インビザラインの他にも、歯の裏側に装置を付けることによって、人に気付かれることなく矯正ができる裏側矯正や、気になる部分だけを短期間で治すことができる部分矯正、矯正期間を大幅に短縮可能なインプラント矯正など、様々な治療法があります。

矯正治療に興味のある方は、ぜにお気軽にお問い合わせください。
自由診療のリスク・副作用、その他
自由診療について
患者様のさまざまなニーズに応えるために自由診療を提供しております。しかし、自由診療には健康保険適用外の治療が含まれるため、以下の点にご注意ください。

【リスクについて】
自由診療には、保険適用治療に比べて高度かつ専門的な治療が含まれる場合があります。これらの治療はより高い技術を要求されるため、一般的な治療よりもリスクが高まる可能性があります。

【副作用について】
すべての医療行為には副作用のリスクが伴います。自由診療の場合、使用する材料や治療方法が特殊な場合があるため、通常の治療とは異なる副作用が発生する可能性があります。

【費用について】
自由診療は健康保険の適用外であるため、保険診療と比較して高額になることがあります。治療前には必ず費用の詳細について説明を行い、ご同意をいただいてから治療を開始します。

【治療の選択について】
患者様の健康状態や希望に合わせて、最適な治療計画を提案します。自由診療は選択肢の一つであり、必ずしもすべての患者様に適しているわけではありません。

【その他の注意事項】
治療後のフォローアップやメンテナンスについても、自由診療の範囲内で行うことがあります。これには追加の費用が発生する場合があります。
患者様一人ひとりに合った治療を心がけております。自由診療を含むすべての治療オプションについて、十分な説明とともに、患者様のご理解とご同意を得ることを重視しています。ご不明な点やご心配なことがございましたら、遠慮なくご相談ください。
この医院の口コミはまだありません
受付時間
診療時間
10:00 ~ 13:30
15:00 ~ 20:00
10:00 ~ 13:00
14:00 ~ 17:00
休診日:日曜・祝日
アクセスマップ
基本情報
医院名 AO1 DENTAL CLINIC
所在地 〒107-0061 東京都 港区 北青山1-2-7 コウヅキキャピタルビル1F
最寄駅 青山一丁目駅 1番出口 徒歩1分
診療内容 歯冠修復、欠損補綴 / 根管治療 / 歯周病治療 / 予防治療 / 矯正歯科 / 口腔外科治療 / インプラント治療
医院ID 19228
03-3402-6480
Teech(ティーチ)を見たとお伝えください
Feature Teechの特徴
1

あなたの「今の症状に合った」歯科医院が探せます

icons

歯科医院が広告掲載する際、得意な治療1つのみを選択し広告しています。これにより2つのメリットが得られます。

①あなたの今の症状に合った治療を1番得意とする歯科医院のみ検索できます。

②表示される歯科医院の数が絞られるため、今の症状に合った歯科医院を効率よく検索できます。

2

その歯科医院で「本当に治療した患者さんの口コミ」を掲載

icons

歯科検索サイトには、その歯科医院で治療を受けていない方の口コミが散見されますが、Teechへの口コミ投稿には、領収書の添付を必須としているため、本当にその歯科医院で治療した患者さんの口コミが掲載されています。また、口コミ点数・件数によって検索結果が上下しないため(標準検索した場合)、サクラの口コミ投稿の誘因を減らしています。

3

「プロが選ぶプロ」の歯科医院を探せます

icons

掲載している医院に3医院(自医院を除く)までオススメできる機能を付与することで、プロが選ぶプロの歯科医院を探せます。

4

「先生の人柄」が分かるご挨拶動画を設置

icons

外からは見えにくい歯科医院ですが、事前に先生の人柄が伝わるように、院長のご挨拶動画を掲載しております。