【小岩駅から徒歩1分】【土曜・日曜も予約可能】遠方からも治療に訪れる実績豊富なこみや矯正歯科
こみや矯正歯科はJR総武線小岩駅から徒歩1分、昭和通り商店街の中にある矯正専門クリニックです。平日の通院が難しい方でもお越しいただけるよう、土曜日・日曜日も開院しています。
東京大学医学部付属病院にて顎顔面外科・矯正歯科の医局長も務めた院長が平成15年に開業しました。
受け口やしゃくれ・出っ歯といった口元のお悩みについて、矯正治療とともに外科矯正治療にも取り組んでいます。顎変形症については、東京大学医学部付属病院をはじめ複数の病院と連携を取り、健康医療保険を適用して治療を行うことが可能です。
矯正治療については、なるべく目立たない方法を提案しています。より目立たないブラケット・ワイヤーを使った表側矯正だけでなく、舌側矯正・マウスピース矯正など、症例経験が豊富だからこそより患者様に合った治療法をおすすめすることが可能です。
美しい歯並び・健康の元となる正しいかみ合わせは一生の財産となります。こみや矯正歯科では矯正治療の専門医が患者様1人1人に合った丁寧な矯正治療を行っています。これまでの患者様方の信頼にますますお応えできるような治療を進めてまいります。
東京大学医学部付属病院にて顎顔面外科・矯正歯科の医局長も務めた院長が平成15年に開業しました。
受け口やしゃくれ・出っ歯といった口元のお悩みについて、矯正治療とともに外科矯正治療にも取り組んでいます。顎変形症については、東京大学医学部付属病院をはじめ複数の病院と連携を取り、健康医療保険を適用して治療を行うことが可能です。
矯正治療については、なるべく目立たない方法を提案しています。より目立たないブラケット・ワイヤーを使った表側矯正だけでなく、舌側矯正・マウスピース矯正など、症例経験が豊富だからこそより患者様に合った治療法をおすすめすることが可能です。
美しい歯並び・健康の元となる正しいかみ合わせは一生の財産となります。こみや矯正歯科では矯正治療の専門医が患者様1人1人に合った丁寧な矯正治療を行っています。これまでの患者様方の信頼にますますお応えできるような治療を進めてまいります。
矯正歯科のこだわりポイント

こみや矯正歯科では手術が必要とされる外科矯正も対応しています。
保険矯正を行うための更生医療機関の指定を受けるには、施設の基準と、適切な医療機関での5年以上の矯正臨床経験と口唇口蓋裂の治療経験がある歯科医師が常勤していることなどが条件となっています。また、保険適用で顎変形症の治療を行うために、顎運動測定機等の機材の設置も必要です。
こみや矯正歯科は育成・更生医療指定・顎口腔機能指定機関として、東京大学医学部付属病院・東京医科大学医学部付属病院・東京医科歯科大学歯学部付属病院等と連携しながら外科手術を併用する治療を行っており、保険適用も可能です。
あごが歪んでいたり、あごが大きくずれてしまっていることでうまくかむことが出来ないという症状でお困りではないですか。これらの症状は顎変形症の代表的な症状です。顎変形症の治療には矯正治療だけでなく外科手術も必要となってきます。こみや矯正歯科では健康保険を適用でき、治療期間は1年半から3年ほどとなっています。お困りの方は是非こみや矯正歯科にご相談ください。
保険矯正を行うための更生医療機関の指定を受けるには、施設の基準と、適切な医療機関での5年以上の矯正臨床経験と口唇口蓋裂の治療経験がある歯科医師が常勤していることなどが条件となっています。また、保険適用で顎変形症の治療を行うために、顎運動測定機等の機材の設置も必要です。
こみや矯正歯科は育成・更生医療指定・顎口腔機能指定機関として、東京大学医学部付属病院・東京医科大学医学部付属病院・東京医科歯科大学歯学部付属病院等と連携しながら外科手術を併用する治療を行っており、保険適用も可能です。
あごが歪んでいたり、あごが大きくずれてしまっていることでうまくかむことが出来ないという症状でお困りではないですか。これらの症状は顎変形症の代表的な症状です。顎変形症の治療には矯正治療だけでなく外科手術も必要となってきます。こみや矯正歯科では健康保険を適用でき、治療期間は1年半から3年ほどとなっています。お困りの方は是非こみや矯正歯科にご相談ください。
医院としての理念・方針

歯科先進国であるヨーロッパやアメリカでは、ある科目に精通したドクターが専門医として医院を構えるケースが多くあります。中でも矯正治療は専門性が高く、矯正専門の医師が責任を持って治療を行う必要があります。よって当クリニックでは虫歯治療を行わず、歯並びに特化してお悩みを解決していきます。
院長は歯科矯正学に関する様々な知識や技術を学び、東京大学医学部付属病院では口腔顎顔面外科・矯正歯科の医局長を務めた経験を持ちます。幅広い症例を担当した経験を生かし、患者様の一生の財産となる美しい歯並びと正しいかみ合わせのために、日々治療を行っています。
ただ、矯正と言えば金属製のブラケットをイメージする方も多いことでしょう。「悪目立ちするのは避けたい」と矯正治療に二の足を踏んでいる方も多いことと思います。よって当クリニックにおいては、最新の素材・治療機器をそろえ、より目立ちにくい矯正治療法をおすすめしています。治療中であることが人に悟られない方法は多々あり、これは矯正専門医として正確な診断があってこそ提案できるものだという自負があります。矯正をお考えの方はぜひともご相談いただければと思います。
院長は歯科矯正学に関する様々な知識や技術を学び、東京大学医学部付属病院では口腔顎顔面外科・矯正歯科の医局長を務めた経験を持ちます。幅広い症例を担当した経験を生かし、患者様の一生の財産となる美しい歯並びと正しいかみ合わせのために、日々治療を行っています。
ただ、矯正と言えば金属製のブラケットをイメージする方も多いことでしょう。「悪目立ちするのは避けたい」と矯正治療に二の足を踏んでいる方も多いことと思います。よって当クリニックにおいては、最新の素材・治療機器をそろえ、より目立ちにくい矯正治療法をおすすめしています。治療中であることが人に悟られない方法は多々あり、これは矯正専門医として正確な診断があってこそ提案できるものだという自負があります。矯正をお考えの方はぜひともご相談いただければと思います。
院長について

▽略歴
昭和60年
県立千葉高校卒業
平成5年
北海道大学歯学部卒業
平成9年
東京医科歯科大学顎顔面矯正学講座大学院卒業
東京大学医学部付属病院勤務(口腔顎顔面外科・矯正歯科 元医局長)
平成15年
こみや矯正歯科開業
東京大学医学部客員研究員
平成27年
東京医科大学客員講師
平成5年
江戸川区歯科医師会理事就任
昭和60年
県立千葉高校卒業
平成5年
北海道大学歯学部卒業
平成9年
東京医科歯科大学顎顔面矯正学講座大学院卒業
東京大学医学部付属病院勤務(口腔顎顔面外科・矯正歯科 元医局長)
平成15年
こみや矯正歯科開業
東京大学医学部客員研究員
平成27年
東京医科大学客員講師
平成5年
江戸川区歯科医師会理事就任
矯正中の見た目にもこだわる表側矯正

表側矯正は対応できる装置の種類が豊富です。よってほとんどの歯並びを治療することが出来ます。また、治療費を抑えることが出来、比較的低価格で矯正することが可能です。
ただ、デメリットとしては表側に装置を付ける分、矯正をしていることがすぐにばれてしまうということがあります。出来れば矯正していることがわからないようにしたいと考える方は多いですし、人前に出るお仕事をされている患者様もいらっしゃることと思います。口を開けると金属の矯正装置が目立ってしまうのではないかと危惧されている方は多いのではないでしょうか。
よって、こみや矯正歯科では白色のセラミックやプラスチックを使用した矯正装置を選択肢に加え、社会人でも悪目立ちすることなく矯正できるようにしております。ブラケットは透明のものを使用し、金属と違って目立つことがありません。しかも金属アレルギーの患者様も安心して矯正することが出来ます。歯を動かすためにはワイヤーは必須ですが、これもコーティングされて目立つ心配のないものを使用することが出来ます。
人目が気になって矯正に踏み出せなかった方におすすめです。
ただ、デメリットとしては表側に装置を付ける分、矯正をしていることがすぐにばれてしまうということがあります。出来れば矯正していることがわからないようにしたいと考える方は多いですし、人前に出るお仕事をされている患者様もいらっしゃることと思います。口を開けると金属の矯正装置が目立ってしまうのではないかと危惧されている方は多いのではないでしょうか。
よって、こみや矯正歯科では白色のセラミックやプラスチックを使用した矯正装置を選択肢に加え、社会人でも悪目立ちすることなく矯正できるようにしております。ブラケットは透明のものを使用し、金属と違って目立つことがありません。しかも金属アレルギーの患者様も安心して矯正することが出来ます。歯を動かすためにはワイヤーは必須ですが、これもコーティングされて目立つ心配のないものを使用することが出来ます。
人目が気になって矯正に踏み出せなかった方におすすめです。
ハーフリンガルなら費用を抑えることも可能

表側矯正よりも目立たない矯正方法として、舌側矯正(裏側矯正)があります。葉の裏側に装置を付けて、矯正していることが目立ちにくくなる矯正方法です。治療効果としては、表側矯正と比べても遜色のないものになります。
ただし、歯の裏側はでこぼこも多く、装置を付ける場所も小さいのが難点です。舌側矯正を行うにはより高度な治療技術が必要になってきます。こみや矯正歯科院長は臨床経験が豊富であり、舌側矯正も安心してお任せ下さい。
しかしながら、高度な治療技術が必要となる分、表側矯正と比べて費用が掛かることは否めません。費用面でお悩みの方にはハーフリンガル矯正をおすすめしています。
ハーフリンガル矯正とは、上の歯のみを舌側矯正とし、下の歯は表側矯正とするスタイルです。下の歯は上の歯と比べて矯正器具が目立ちにくいという特性があり、それによって費用を抑えることが出来ます。また、下の歯を表側矯正とすることで、舌が装置に触れてしゃべりにくいというデメリットを解消することもできます。
ご検討されている患者様には、ご相談いただいたうえで、可能かどうかを判断させていただきます。
ただし、歯の裏側はでこぼこも多く、装置を付ける場所も小さいのが難点です。舌側矯正を行うにはより高度な治療技術が必要になってきます。こみや矯正歯科院長は臨床経験が豊富であり、舌側矯正も安心してお任せ下さい。
しかしながら、高度な治療技術が必要となる分、表側矯正と比べて費用が掛かることは否めません。費用面でお悩みの方にはハーフリンガル矯正をおすすめしています。
ハーフリンガル矯正とは、上の歯のみを舌側矯正とし、下の歯は表側矯正とするスタイルです。下の歯は上の歯と比べて矯正器具が目立ちにくいという特性があり、それによって費用を抑えることが出来ます。また、下の歯を表側矯正とすることで、舌が装置に触れてしゃべりにくいというデメリットを解消することもできます。
ご検討されている患者様には、ご相談いただいたうえで、可能かどうかを判断させていただきます。
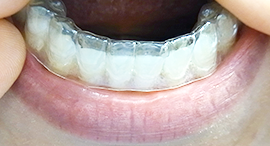
医師の診断力がものをいうマウスピース矯正もお任せください

ワイヤー装置が目立つのが嫌で矯正に一歩踏み出せなかった方にも人気なのがマウスピース矯正です。
ワイヤー矯正と違って、マウスピース矯正の装置は透明で目立ちません。患者様が自分自身で取り外しが出来るという点で非常に画期的な矯正装置と言えるでしょう。
また、ブラッシングの大変さもなく、しゃべりづらいという苦労も感じる必要がないのもマウスピース矯正の良い点です。矯正していることが全く目立たないその見た目の良さも相まって、最近は特にマウスピース矯正を希望する方が増えてきました。
ただ、マウスピース矯正は取り外せるというそのメリットがデメリットにもなるのが懸念事項です。一日20時間以上の装着が必要ですが、ついつい外したまま長く過ごしてしまい、治療計画通りにうまく治療が進まないことも多いのも事実なのです。よって、患者様本人が矯正治療に積極的であり協力的であることが何より大切になってきます。
それと同じくらい大切なことは、治療する医師の力量です。どのマウスピースが合っているか検査して診断するのは担当する医師の力にかかってきます。こみや矯正歯科はマウスピース矯正の症例も豊富です。患者様にマウスピース矯正が合っているかどうか、一緒に考え診断しています。
ワイヤー矯正と違って、マウスピース矯正の装置は透明で目立ちません。患者様が自分自身で取り外しが出来るという点で非常に画期的な矯正装置と言えるでしょう。
また、ブラッシングの大変さもなく、しゃべりづらいという苦労も感じる必要がないのもマウスピース矯正の良い点です。矯正していることが全く目立たないその見た目の良さも相まって、最近は特にマウスピース矯正を希望する方が増えてきました。
ただ、マウスピース矯正は取り外せるというそのメリットがデメリットにもなるのが懸念事項です。一日20時間以上の装着が必要ですが、ついつい外したまま長く過ごしてしまい、治療計画通りにうまく治療が進まないことも多いのも事実なのです。よって、患者様本人が矯正治療に積極的であり協力的であることが何より大切になってきます。
それと同じくらい大切なことは、治療する医師の力量です。どのマウスピースが合っているか検査して診断するのは担当する医師の力にかかってきます。こみや矯正歯科はマウスピース矯正の症例も豊富です。患者様にマウスピース矯正が合っているかどうか、一緒に考え診断しています。
ホワイトニングできれいな歯並びをより美しく

こみや矯正歯科ではホワイトニングも行っています。歯を削らなくても、天然の歯を薬剤で漂白することにより、歯の色を自然な白さにすることが可能です。ホワイトニング剤に含まれる過酸化水素などの薬剤が歯の表面で作用し、歯のエナメル質に着色してしまった成分を分解して白くします。
こみや矯正歯科で行えるホワイトニングは3パターンあります。
オフィスホワイトニング
こみや矯正歯科内で歯科衛生士が行います。歯に濃度の濃い薬剤を塗布して、光やレーザーを当てて歯を白くするホワイトニング方法です。効果が高く、歯が白くなるスピードは非常に早いです。
ホームホワイトニング
こみや矯正歯科で歯型からマウスピースを作成し、それを用いて自宅でホワイトニングを患者様に行ってもらう方法です。マウスピースに薬剤を入れて使用します。ご自身のペースで行えるので楽だという声は多いです。薬剤の濃度はオフィスホワイトニングより薄い分、効果が表れるのに期間が必要とはなりますが、仕上がりは透明感がありより自然なものとなります。
デュアルホワイトニング
オフィスホワイトニングとホームホワイトニングを併用する方法で、歯が白くなるスピードが速い上にその白さを維持することが可能となります。コストはかかりますが、いつも白い歯でいたいという方にはおすすめです。
矯正治療後はもちろん、矯正施術前にも受けていただくことが出来ます。
こみや矯正歯科で行えるホワイトニングは3パターンあります。
オフィスホワイトニング
こみや矯正歯科内で歯科衛生士が行います。歯に濃度の濃い薬剤を塗布して、光やレーザーを当てて歯を白くするホワイトニング方法です。効果が高く、歯が白くなるスピードは非常に早いです。
ホームホワイトニング
こみや矯正歯科で歯型からマウスピースを作成し、それを用いて自宅でホワイトニングを患者様に行ってもらう方法です。マウスピースに薬剤を入れて使用します。ご自身のペースで行えるので楽だという声は多いです。薬剤の濃度はオフィスホワイトニングより薄い分、効果が表れるのに期間が必要とはなりますが、仕上がりは透明感がありより自然なものとなります。
デュアルホワイトニング
オフィスホワイトニングとホームホワイトニングを併用する方法で、歯が白くなるスピードが速い上にその白さを維持することが可能となります。コストはかかりますが、いつも白い歯でいたいという方にはおすすめです。
矯正治療後はもちろん、矯正施術前にも受けていただくことが出来ます。
自由診療のリスク・副作用、その他
自由診療について
患者様のさまざまなニーズに応えるために自由診療を提供しております。しかし、自由診療には健康保険適用外の治療が含まれるため、以下の点にご注意ください。
【リスクについて】
自由診療には、保険適用治療に比べて高度かつ専門的な治療が含まれる場合があります。これらの治療はより高い技術を要求されるため、一般的な治療よりもリスクが高まる可能性があります。
【副作用について】
すべての医療行為には副作用のリスクが伴います。自由診療の場合、使用する材料や治療方法が特殊な場合があるため、通常の治療とは異なる副作用が発生する可能性があります。
【費用について】
自由診療は健康保険の適用外であるため、保険診療と比較して高額になることがあります。治療前には必ず費用の詳細について説明を行い、ご同意をいただいてから治療を開始します。
【治療の選択について】
患者様の健康状態や希望に合わせて、最適な治療計画を提案します。自由診療は選択肢の一つであり、必ずしもすべての患者様に適しているわけではありません。
【その他の注意事項】
治療後のフォローアップやメンテナンスについても、自由診療の範囲内で行うことがあります。これには追加の費用が発生する場合があります。
患者様一人ひとりに合った治療を心がけております。自由診療を含むすべての治療オプションについて、十分な説明とともに、患者様のご理解とご同意を得ることを重視しています。ご不明な点やご心配なことがございましたら、遠慮なくご相談ください。
患者様のさまざまなニーズに応えるために自由診療を提供しております。しかし、自由診療には健康保険適用外の治療が含まれるため、以下の点にご注意ください。
【リスクについて】
自由診療には、保険適用治療に比べて高度かつ専門的な治療が含まれる場合があります。これらの治療はより高い技術を要求されるため、一般的な治療よりもリスクが高まる可能性があります。
【副作用について】
すべての医療行為には副作用のリスクが伴います。自由診療の場合、使用する材料や治療方法が特殊な場合があるため、通常の治療とは異なる副作用が発生する可能性があります。
【費用について】
自由診療は健康保険の適用外であるため、保険診療と比較して高額になることがあります。治療前には必ず費用の詳細について説明を行い、ご同意をいただいてから治療を開始します。
【治療の選択について】
患者様の健康状態や希望に合わせて、最適な治療計画を提案します。自由診療は選択肢の一つであり、必ずしもすべての患者様に適しているわけではありません。
【その他の注意事項】
治療後のフォローアップやメンテナンスについても、自由診療の範囲内で行うことがあります。これには追加の費用が発生する場合があります。
患者様一人ひとりに合った治療を心がけております。自由診療を含むすべての治療オプションについて、十分な説明とともに、患者様のご理解とご同意を得ることを重視しています。ご不明な点やご心配なことがございましたら、遠慮なくご相談ください。
この医院の口コミはまだありません
受付時間
診療時間 | 日 | 月 | 火 | 水 | 木 | 金 | 土 |
---|---|---|---|---|---|---|---|
10:00 ~ 13:00 | |||||||
14:30 ~ 19:00 |
休診日:隔週日曜・祝日
アクセスマップ
基本情報
医院名 | こみや矯正歯科 |
所在地 | 〒133-0056 東京都 江戸川区 南小岩7-27-2 地場ビル2F |
最寄駅 | 小岩駅 南口 徒歩1分 |
診療内容 | 矯正歯科 |
医院ID | 16442 |